Hjerneslag etter seponering av nye antikoagulasjonsmidler før kirurgi

    ()

    sporsmal_grey_rgb
    Artikkel

    I de fleste tilfeller er det tilstrekkelig at nye perorale antikoagulasjonsmidler seponeres i 24–48 timer for å unngå blødningskomplikasjoner ved invasive prosedyrer. Midlene har kort halveringstid, og den beskyttende effekten mot iskemisk hjerneslag hos pasienter med atrieflimmer opphører raskt etter seponering. Opphold i behandlingen kan derfor være forbundet med økt risiko for hjerneslag.

    Atrieflimmer er forbundet med økt risiko for iskemisk hjerneslag. Hos pasienter som i tillegg har andre risikofaktorer, som høy alder, hypertensjon, diabetes mellitus, aterosklerotisk sykdom eller tidligere hjerneinfarkt eller transitorisk iskemisk anfall (TIA, «drypp»), er det indikasjon for antikoagulasjonsbehandling for å forebygge slag. I de europeiske retningslinjene for behandling av atrieflimmer fra 2016 anbefales det å bruke CHA2DS2-VASc-skår til vurdering av individuell slagrisiko hos pasienter med atrieflimmer (ramme 1) (1).

    Ramme 1

    Det er god dokumentasjon for at antikoagulasjonsbehandling kan forebygge de fleste hjerneslag hos personer med atrieflimmer. Det anbefales å vurdere indikasjon for antikoagulasjonsbehandling ved atrieflimmer ved hjelp av CHA

    2

    DS

    2

    -VASc-skår, der C står for Congestive heart failure (hjertesvikt), H for hypertensjon, A

    2

    for alder ≥ 75 år, D for diabetes, S

    2

    for Stroke (hjerneinfarkt/TIA), V for vaskulær sykdom og Sc for kjønnskategori. Høyere skår indikerer høyere slagrisiko, og antikoagulasjonsbehandling anbefales klart ved CHA

    2

    DS

    2

    -VASc-skår ≥ 2 hos menn og ≥ 3 hos kvinner. Ved CHA

    2

    DS

    2

    -VASc-skår 1 hos menn og 2 hos kvinner kan antikoagulasjonsbehandling vurderes (

    )

    Elementene i poengskåren (faktor til stede)

    C: Hjertesvikt (svekket venstre ventrikkel-funksjon, ejeksjonsfraksjon ≤ 40 %) – poengskår 1

    H: Hypertensjon – poengskår 1

    A2: Alder ≥ 75 år – poengskår 2

    D: Diabetes – poengskår 1

    S2: Hjerneinfarkt/TIA – poengskår 2

    V: Vaskulær sykdom (tidligere hjerteinfarkt, perifer karsykdom, plakk i aorta) – poengskår 1

    A: Alder 65–74 år – poengskår 1

    Sc: Kjønnskategori: kvinne – poengskår 1

    Maksimal CHA2DS2-VASc-skår 9

    Nylig publiserte data fra reseptregisteret viser at nesten 130 000 nordmenn fikk forskrevet orale antikoagulasjonsmidler på grunn av atrieflimmer i perioden januar 2010 til desember 2015 (2). Mange vil ha behov for kortere opphold i antikoagulasjonsbehandlingen i forbindelse med invasive prosedyrer (3, 4).

    Bruken av «nye» perorale antikoagulasjonsmidler NOAK (ikke-vitamin K-avhengige orale antikoagulasjonsmidler)/DOAK (direktevirkende orale antikoagulasjonsmidler) har økt kraftig siden de første medikamentene ble introdusert på det norske markedet i 2011 (2). De fire tilgjengelige medikamentene er apiksaban (Eliquis), edoksaban (Lixiana), dabigatran (Pradaxa) og rivaroksaban (Xarelto).

    Erfaringen med disse er fortsatt begrenset, og de er under overvåkning av Statens legemiddelverk (5). Halveringstiden varierer fra åtte til 17 timer. Mens man ved warfarinbehandling kan forvente gradvis avtagende antikoagulerende effekt i flere dager etter seponering, vil antikoagulasjonseffekten av de nye midlene opphøre helt i løpet av 12 dager. Dette er viktig i forbindelse med seponering av antikoagulasjonsbehandling i forkant av invasive prosedyrer. For pasienter som har redusert nyrefunksjon kan halveringstiden være betydelig lengre. Dette gjelder særlig for dabigatran, hvor den kan være opptil 28 timer ved GFR < 30 ml/min, og dermed kan antikoagulasjonseffekten vare utover to dager (6).

    Ved warfarinbehandling kan antikoagulasjonseffekten monitoreres med regelmessige INR-målinger og effekten reverseres med K-vitamin. Selv om serumkonsentrasjonsmålinger er tilgjengelige for de nye antikoagulasjonsmidlene, er disse ikke i rutinemessig klinisk bruk, da det er usikkert hvordan doseringen bør endres ved målinger utenfor referanseområdene (7). Dabigatran er så langt det eneste av de nye antikoagulasjonsmidlene med antidot tilgjengelig for klinisk bruk.

    Råd om antikoagulasjonsbehandling

    Råd om antikoagulasjonsbehandling

    Nasjonal rådgivende spesialistgruppe innen antikoagulasjon utga i 2015 informasjon om bruk av de nye perorale antikoagulasjonsmidlene, med praktiske råd i forbindelse med kirurgiske inngrep (8). Rådene er primært basert på konsensus hos norske eksperter og angir at de fleste små inngrep kan gjennomføres 24 timer etter siste inntak av NOAK-midler, mens man ved større inngrep eller hos pasienter med høy blødningsrisiko kan operere 48 timer etter siste inntak. Type bedøvelse ved inngrepet kan også ha betydning (narkose versus spinal- eller epiduralbedøvelse). Lengre behandlingsopphold anbefales hos pasienter med redusert nyrefunksjon som bruker dabigatran.

    Eksempler på mindre inngrep er endoskopi med biopsitaking, større tanninngrep, hudtransplantasjoner og øyelokksoperasjoner. Ved mindre inngrep kan antikoagulasjonsbehandlingen startes opp igjen første postoperative dag. Ved større inngrep kan det være nødvendig å vente i inntil tre dager.

    Det er vanlig praksis at pasienten i forbindelse med innkalling til kirurgiske inngrep og invasive prosedyrer mottar et brev med instruksjon om å slutte å ta antikoagulasjonsmidler. Instruksjonene gis av helsepersonell med varierende kunnskap om og begrenset erfaring med de nye antikoagulasjonsmidlene. Vår erfaring er at det også er varierende praksis når det gjelder hvilke instruksjoner som gis for perioperativ seponering av antikoagulasjonsbehandling.

    Kasuistikker

    Kasuistikker

    Vi har ved vår avdeling i løpet av kort tid hatt flere pasienter med iskemisk hjerneslag få dager etter seponering av henholdsvis dabigatran, apiksaban og rivaroksaban i forkant av mindre kirurgiske inngrep. To av disse har gitt samtykke til at deres sykehistorier blir publisert i Tidsskriftet.

    Pasient 1. Dette er en sprek mann i 80-årene som går lange turer flere ganger i uken. Han har kronisk atrieflimmer og kostregulert diabetes mellitus type 2. For noen år siden hadde han et iskemisk hjerneslag og ble da operert på grunn av en stenose i venstre a. carotis. Hans CHA2DS2-VASc-skår er dermed 6 (alder, diabetes, tidligere slag og aterosklerotisk sykdom).

    Han får behandling med Pradaxa tabletter 110 mg × 2 (redusert dose på grunn av alder > 80 år). I forkant av en øyelokksoperasjon fikk han skriftlig instruksjon om å seponere tablettbehandlingen noen dager (ikke nærmere spesifisert) før inngrepet og valgte selv å slutte med Pradaxa seks dager før operasjonen.

    Første postoperative dag fikk han akutt innsettende talevansker og lammelser i venstre arm og ben. Ved undersøkelse i akuttmottaket hadde han redusert bevissthet, neglekt, sentral facialisparese og pareser i venstre arm og ben. NIHSS-skår (National Institutes of Health Stroke Scale) var 8. CT caput viste et hyperdenst område i a. cerebri media og «insula ribbon sign» på høyre side, forenlig med akutt hjerneinfarkt.

    Pasienten ble behandlet med actilyse 50 minutter etter symptomdebut og 22 minutter etter at han kom til sykehuset. CT-angiografi viste en kontrastdefekt i M1-segmentet, forenlig med trombe. Da MR-bilder tatt etter actilysebehandling viste rekanalisering av okkludert M1 og pasienten var i bedring, med NIHSS-skår 2, var trombektomi ikke aktuelt.

    Denne pasienten hadde betydelig forhøyet slagrisiko på grunn av atrieflimmer og flere andre risikofaktorer. Det var riktig å seponere Pradaxa for å unngå blødningskomplikasjoner, men pasienten hadde ikke nyresvikt eller høy risiko for blødning og kunne i henhold til spesialistgruppens råd ha brukt medikamentet frem til 24 timer før operasjonen (8).

    Pasient 2. Dette er en mann i 60-årene som reiser mye og trener regelmessig. For noen år siden fikk han påvist paroksysmal atrieflimmer. Han hadde på det tidspunktet en CHA2DS2-VASc-skår på 0, og det ble ikke startet antikoagulasjonsbehandling.

    Noen måneder senere ble han innlagt i sykehus med dysartri og sentral facialisparese. CT-undersøkelse viste akutt hjerneinfarkt frontalt i høyre hjernehalvdel, og han ble behandlet med actilyse. Han kom seg raskt og kunne utskrives uten sekvele. Siden har han brukt Eliquis tabletter 5 mg × 2 for å forebygge nye iskemiske slag.

    På grunn av tiden som var gått var CHA2DS2-VASc-skåren 3 (alder og tidligere hjerneinfarkt) da han et par år senere ble innlagt på nytt på grunn av akutt innsettende talevansker og ustøhet. Han hadde på forhånd fått både muntlig og skriftlig instruksjon om å seponere Eliquis syv dager før et planlagt inngrep i neseskilleveggen, men hadde bare rukket å holde opp i mindre enn to døgn (3 doser).

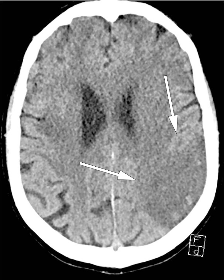
    Ved undersøkelse i akuttmottaket hadde pasienten ekspressiv og impressiv afasi, pareser og styringsvansker i høyre arm og ben og nedsatt sensibilitet i høyre kroppshalvdel. NIHSS-skår var 8. CT caput viste ingen sikre infarktforandringer, og CT-angiografi viste ingen stenoser eller tromber. Han ble behandlet med actilyse omtrent to timer etter symptomdebut og 21 minutter etter at han kom til sykehuset. Kontroll-CT tatt neste dag viste forandringer forenlige med et ferskt infarkt i forsyningsområdet til venstre a. cerebri media (fig 1).

    Figur 1 Kontroll-CT caput tatt 26 timer etter symptomdebut viser diffust avgrenset område med lavattenuasjon og utvisket…
    Figur 1 Kontroll-CT caput tatt 26 timer etter symptomdebut viser diffust avgrenset område med lavattenuasjon og utvisket differensiering mellom grå og hvit substans og overflaterelieff, tilsvarende bakre forsyningsområde til venstre a. cerebri media, forenlig med etablert hjerneinfarkt

    Ut fra CHA2DS2-VASc-skåren hadde ikke pasienten spesielt høy risiko for hjerneinfarkt. Imidlertid hadde han tidligere hatt et hjerneinfarkt mens han var uten antikoagulasjonsbehandling. Pasienten hadde ikke kjente risikofaktorer for blødningskomplikasjoner og kunne i henhold til spesialistgruppens råd brukt Eliquis frem til 24 timer før inngrepet (8).

    Diskusjon

    Diskusjon

    Selv om rådene fra den nasjonale spesialistgruppen er klare, viser kasuistikkene variasjoner i praktisk håndtering av antikoagulasjonsbehandling i forbindelse med kirurgiske inngrep. Dette kan skyldes manglende erfaring med de nye antikoagulasjonsmidlene og at rådene ikke har nådd frem til dem som lager prosedyrer for perioperativ seponering av disse medikamentene i forbindelse med kirurgi.

    Kirurgen vil kanskje være tilbøyelig til å være mer opptatt av risikoen for perioperative blødninger enn av risikoen for hjerneslag, og det er også praktiske utfordringer knyttet til hvordan man skal vurdere den individuelle risikoen for både slag og blødningskomplikasjoner.

    Fase 3-studiene viste at de nye antikoagulasjonsmidlene enten er «ikke dårligere» (non-inferior) eller bedre enn warfarin i forebygging av slag hos pasienter med atrieflimmer (9–12). Når det gjelder risiko for slag og blødninger i forbindelse med perioperativ seponering av disse midlene, er dokumentasjonen begrenset.

    I ROCKET-AF- og ARISTOTLE-studien ble det vist økt risiko for hjerneslag etter seponering av henholdsvis rivaroksaban og apiksaban med overgang til warfarin, sammenlignet med kontinuerlig warfarinbehandling (13, 14). I ROCKET-AF-studien observerte man ingen signifikant forskjell i slagrisiko ved seponering av henholdsvis rivarokaban og warfarin (3).

    I en nylig publisert registerstudie fra Slovenia fant man en høy insidens av hjerneslag de første ukene etter seponering av nye antikoagulasjonsmidler hos atrieflimmerpasienter (15). Men hos 69 pasienter med midlertidig opphold i NOAK-behandling (median varighet fire dager, spredning 2–14 dager) på grunn av invasive inngrep, ble det kun observert én tromboembolisk hendelse.

    I den pågående studien Perioperative Anticoagulant Use for Surgery Evaluation (PAUSE) er atrieflimmerpasienter under behandling med nye antikoagulasjonsmidler og behov for kirurgiske inngrep inkludert, med mål om å etablere standardiserte og dokumenterte retningslinjer for perioperativ seponering (16).

    Midlertidig behandling («bridging») med lavmolekulært heparin ved seponering av antikoagulasjonsbehandling kan være aktuelt hos pasienter med mekanisk hjerteventil (warfarin) og hos pasienter med atrieflimmer og hjerneslag i løpet av de siste tre måneder eller særlig høy slagrisiko (CHA2DS2-VASc-skår ≥ 7) (4). Nytten av slik behandling er imidlertid kun undersøkt ved warfarinbehandling, og i de europeiske retningslinjene for behandling av atrieflimmer er midlertidig behandling ikke anbefalt som rutine, bortsett fra hos pasienter med mekanisk hjerteventil (1). I rådene fra den nasjonale spesialistgruppen er det anbefalt å vurdere supplerende postoperativ profylakse med lavmolekulært heparin inntil behandling med NOAK-midler kan startes opp igjen (8).

    Kasuistikkene støtter opp om spesialistgruppens råd om korte opphold i antikoagulasjonsbehandlingen hos pasienter med atrieflimmer. Individuell tilpasning kan være nødvendig, og nytten av det kirurgiske inngrepet eller den invasive prosedyren må alltid vurderes opp mot risikoen for både hjerneslag og blødningskomplikasjoner. Komoribiditet, for eksempel koronarsykdom, og samtidig bruk av andre antikoagulerende medikamenter kan påvirke denne vurderingen.

    I noen tilfeller vil pasienten selv ikke ha full oversikt over indikasjonen for antikoagulasjonsbehandling eller annen medikamentbehandling, og ofte kan det være nødvendig å rådføre seg med pasientens fastlege eller spesialist i kardiologi, geriatri, nevrologi eller hematologi for å kunne gi forsvarlige råd om perioperativ seponering av antikoagulasjonsbehandling.

    Den andre kasuistikken illustrerer at iskemiske hjerneslag kan inntreffe selv hos pasienter med relativt lav risiko ut fra CHA2DS2-VASc-skåren og selv ved korte opphold i antikoagulasjonsbehandlingen. Det ser ut til at de som tidligere har hatt et iskemisk hjerneslag, har en særlig høy risiko for å få et nytt (17). De nye perorale antikoagulasjonsmidlene elimineres renalt, og eldre og andre med redusert nyrefunksjon er eksempler på pasientgrupper hvor lengre opphold i behandlingen skal vurderes.

    Konklusjon

    Konklusjon

    Vi anbefaler helsepersonell med ansvar for invasive prosedyrer å gjøre seg kjent med den nasjonale spesialistgruppens informasjon om bruk av nye antikoagulasjonsmidler og å gjennomgå sine retningslinjer for perioperativ seponering av antikoagulasjonsbehandling. I de fleste tilfeller er et opphold i behandlingen på 24–48 timer tilstrekkelig.

    Pasient 1 og pasient 2 har gitt samtykke til at artikkelen blir publisert.

    Kommentarer  ( 1 )
    PDF
    Skriv ut

    Anbefalte artikler