Progredierende multifokal leukoencefalopati

    ()

    sporsmal_grey_rgb
    Artikkel

    Progredierende multifokal leukoencefalopati er en sjelden, opportunistisk infeksjonssykdom i hjernen, forårsaket av John Cunningham-virus (JCV). Det finnes ingen effektiv antiviral behandling, og reetablering av immunkompetanse er nødvendig for overlevelse. Skjer dette for raskt, kan imidlertid den inflammatoriske responsen i verste fall føre til døden. Dette er en oppdatert oversikt over tilstanden, beregnet på klinikere som gir immunmodulerende terapi.

    Progredierende multifokal leukoencefalopati (PML) er en demyeliniserende sykdom som første gang ble rapportert i 1958 som en inntil da ukjent komplikasjon til kronisk lymfatisk leukemi og Hodgkins sykdom (1). I 1970 ble viruset som forårsaker sykdommen isolert fra hjernen til en pasient og fikk navn etter hans initialer (John Cunningham-virus, JCV) (1).

    I midten av 1980-årene, da hiv-/aidspandemien startet for alvor, økte insidensen av sykdommen brått. Introduksjonen av effektiv antiviral behandling ved hivinfeksjon (highly active anti-retroviral therapy, HAART) i 1996 førte til en kraftig nedgang i antall tilfeller av progredierende multifokal leukoencefalopati og betydelig høyere overlevelse i denne pasientgruppen. I 1996 var insidensraten hos pasienter med hiv estimert til rundt 10/1 000 personår, mens den nå ligger på 1/1 000 personår (2). Pasienter med hivassosiert sykdom utgjør likevel fortsatt rundt 80 % av alle rapporterte tilfeller av progredierende multifokal leukoencefalopati, og drøyt halvparten dør innen to år etter at diagnosen er stilt (2).

    Den nest største risikogruppen, som utgjør ca. 10 % av alle tilfeller, er pasienter med maligne blodsykdommer. Ett eksempel er progredierende multifokal leukoencefalopati ved kronisk lymfatisk leukemi.

    Pasient 1. En mann i 60-årene med kjent kronisk lymfatisk leukemi ble innlagt på grunn av kraftsvikt i venstre arm, kognitive vansker og problemer med dagligdagse gjøremål. Ved klinisk undersøkelse fremsto han som motorisk og mentalt langsom, og han hadde problemer med å samarbeide. Man fant en lett spastisk venstresidig hemiparese.

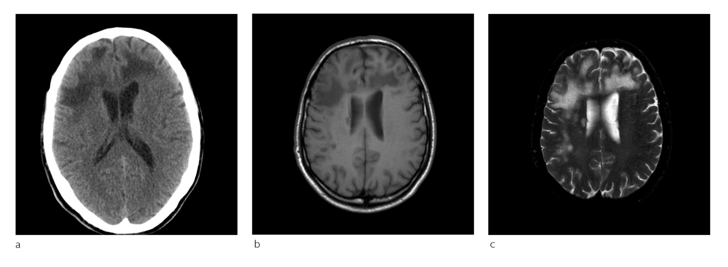
    Det ble gjort CT- og MR-undersøkelse (fig 1). PCR-undersøkelse av JCV-DNA viste store mengder med viruset i spinalvæsken: 4,1 milliarder kopier/ml. Spinalvæskeundersøkelsen for øvrig var normal. Pasienten fikk humant immunoglubulin intravenøst (Octagam), men ble gradvis dårligere og døde i sykehus etter noen uker.

    Overlevelsen i denne gruppen er svært lav, med en dødelighet på rundt 90 % innen to måneder etter diagnosetidspunktet. Forekomsten er sannsynligvis underestimert, da diagnosen ofte ikke blir stilt på grunn av alvorlig grunnlidelse og forventede komplikasjoner ved kjemoterapi.

    En tredje risikogruppe som omtales i denne oversikten, er pasienter som får immunmodulerende behandling ved immunmedierte sykdommer.

    Med økende bruk av slike medikamenter vil man kunne forvente flere tilfeller av progredierende multifokal leukoencefalopati. Dette er en oppdatert oversikt basert på egne erfaringer og en skjønnsmessig gjennomgang av nyere litteratur.

    Vanlig forekommende virus

    Vanlig forekommende virus

    JCV-viruset er ett av 13 identifiserte humane polyomavirus. Det finnes syv ulike genotyper, og genotype 1 og genotype 4 er mest vanlig i Europa (1). Virusene er små (42 nm i diameter) og består kun av et sirkulært dobbeltrådet DNA-molekyl på ca. 5 100 basepar som er pakket rundt cellulære histoner og omsluttet av et kapsid. Den ytre delen av kapsidet består av 360 molekyler viralt kapsid-protein 1 (VP1).

    Fordi JCV-viruset mangler en ytre lipidmembran, karakteriseres det som et nakent eller ikke-kappekledd virus. Dette gjør at det er motstandsdyktig mot desinfeksjonsmidler, tørke og lav pH. Da det verken koder for en viral protease eller en DNA-polymerase, mangler det klassiske mål for spesifikk antiviral terapi.

    30–70 % av friske voksne mennesker har antistoffer mot viruset (3). Det er beregnet at 1–2 % av befolkningen blir smittet hvert år, og seroprevalensen, som måles som tilstedeværelse av antistoffer (IgG) mot VP1, øker dermed med økende alder. Fortsatt vet vi ikke hvordan viruset smitter, men oral eller respiratorisk smittevei er sannsynlig.

    Etter primærinfeksjonen, som vanligvis går ubemerket hen, transporteres sannsynligvis JCV-viruset via blod til epitelceller i nyrer og urinveier og etablerer en latent infeksjon der, trolig også i andre organer eller celler. Viruset kan reaktiveres og gjenoppta replikasjonen, noe som fører til at det skilles ut i urinen, ofte i store mengder, uten å gi symptomer.

    Det første steget i virusets livssyklus er at viralt kapsid-protein 1 binder seg til en reseptor på en vertscelle. Hvilken reseptor dette er, vet man fortsatt ikke, men den har sannsynligvis et sukkermolekyl (sialinsyre) bundet til seg. Viruset ser også ut til å binde seg til serotoninreseptor 5HT2AR (4).

    Etter at viruset har kommer inn i cellen, åpnes kapsidet og genomet kommer inn i cellekjernen. Her foregår transkripsjon av virale gener, DNA-replikasjon av det virale genom og til slutt oppbygging av flere tusen nye viruspartikler per infiserte celle. Det er uklart om det finnes en aktiv transport av viruspartikler ut fra cellen eller om alt virus frigjøres når vertscellen dør.

    Kompleks patofysiologi

    Kompleks patofysiologi

    Det er ikke kjent når og hvordan JCV-viruset kommer til hjernen. Tre ulike senarioer er foreslått (1).

    • Det når hjernen allerede ved primærinfeksjonen, men holdes under kontroll av T-celler

    • Det persisterer i lymfocytter eller stamceller, og reaktivering og okkult sekundær viremi fører til at celler i hjernen infiseres

    • Det persisterer i andre celler i tillegg til nyreepitel, for eksempel lymfocytter, og får adgang til sentralnervesystemet via disse

    Når viruset replikerer i oligodendrocytter, ødelegges cellene, noe som fører til demyelinisering. Ved sekvensering av virus-DNA fra spinalvæske eller hjernebiopsi vil man vanligvis gjøre to karakteristiske funn.

    Det første: Den delen av virusgenomet som ikke koder for virusproteiner, men som styrer viral transkripsjon og DNA-replikasjon (non-coding control region, NCCR), har nesten alltid gjennomgått delesjoner og dupliseringer og vil være forskjellig fra den varianten som man vanligvis finner i urin. Mekanismene bak disse rearrangeringene er ukjent, men forsøk i cellekultur viser at virus med rearrangert NCCR vanligvis replikerer bedre enn virus uten rearrangert NCCR.

    Det andre: Vanligvis vil det være mutasjoner i genet for viralt kapsid-protein 1 som fører til én til flere aminosyreendringer i de delene av kapsidproteinet som binder seg til reseptoren (5). Det spekuleres i at disse muterte variantene favoriseres ved progredierende multifokal leukoencefalopati fordi de ikke bindes opp til sialinsyremolekyler som finnes på mange celletyper, mens de fortsatt kan infisere oligodendrocytter.

    Alltid immunsvikt – mange potensielle årsaker

    Alltid immunsvikt – mange potensielle årsaker

    Vi vet nå at progredierende multifokal leukoencefalopati rammer personer som mangler JCV-spesifikke T-celler (CD4- og CD8-positive) i hjernen på tross av at de allerede har dannet antistoffer mot viruset (1). En sjelden gang ses sykdommen ved tilsynelatende normal immunfunksjon, og man bør da være spesielt oppmerksom på faren for å overse idiopatisk CD4-positiv T-lymfocytopeni (ICL) (5).

    En rekke tilstander, som medfødte immundefekter, solide svulster, systemsykdommer, benmargs- og organtransplantasjon, har vært assosiert med progredierende multifokal leukoencefalopati, men disse utgjør kun en liten andel av det totale antall tilfeller. Forekomsten ved benmargstransplantasjon er estimert til 35 per 100 000 personår (6). Den omfattende bruken av immunsuppressive medikamenter, ofte i kombinasjoner, og progredierende multifokal leukoencefalopati assosiert med nye immunmodulerende legemidler har ført til økt årvåkenhet i de senere år.

    Immunmodulerende behandling

    Immunmodulerende behandling

    Immunmodulerende medikamenter har ofte en mer målrettet effekt på én eller få komponenter i immunsystemet enn immunsuppressive medikamenter, som har en bredere og mer uspesifikk immundempende virkning. Likevel kan spesifikk hemming av enkeltkomponenter gi uventede følger.

    Natalizumab er et monoklonalt antistoff mot α4β1-integrin, et adhesjonsmolekyl på overflaten av hvite blodceller (unntatt nøytrofile granulocytter), som har vært brukt som annenlinjebehandling ved multippel sklerose. I 2005 ble det trukket fra markedet på grunn av tre tilfeller av natalizumabassosiert progredierende multifokal leukoencefalopati, men ble året etter reintrodusert. Pasienthistorien under er et eksempel på progredierende multifokal leukoencefalopati under natalizumabbehandling ved multippel sklerose.

    Pasient 2. En kvinne i 50-årene med attakkpreget multippel sklerose var blitt behandlet med natalizumab (Tysabri) over flere år da hun fikk påvist diskrete forandringer på en MR-undersøkelse. Hun hadde da ikke hatt tegn til sykdomsaktivitet på flere år. JCV-antistoff var blitt påvist i serum to år tidligere, men indeks var ikke tilgjengelig på dette tidspunktet. Natalizumab ble seponert, men pasienten utviklet etter hvert likevel ustøhet og dobbeltsyn, og MR-undersøkelse to måneder senere viste betydelig økning av forandringer (fig 2a). Det var en inhomogen høyattenuerende forandring i høyre lillehjernestilk som ikke er lett å skille fra en forandringer ved multippel sklerose. PCR-undersøkelse av JCV-DNA avdekket 1 173 kopier/ml i spinalvæske.

    Plasmaferesebehandling ble gitt, men symptomene progredierte. Ny MR-undersøkelse tre uker senere viste kontrastladende lesjoner, forenlig med immunrekonstitusjonsinflammasjonssyndrom (fig 2b). Pasienten fikk høydose metylprednisolon (Solu-medrol), med påfølgende remisjon. Hun ble frisk fra progredierende multifokal leukoencefalopati, men fikk sekvele.

    Per mars 2017 hadde produsenten rapportert 711 natalizumabassosierte tilfeller av progredierende multifokal leukoencefalopati – 708 av disse pasientene var blitt behandlet for multippel sklerose og tre for Crohns sykdom (7).

    Autoreaktive CD4-positive (8) og CD8-positive T-lymfocytter (9) antas å ha nøkkelroller i patogenesen ved multippel sklerose. Når natalizumab binder seg til α4β1-integrin, blokkerer medikamentet for interaksjon med liganden VCAM-1 (vascular cell adhesion protein) på endotelceller og hindrer autoreaktive T-lymfocytter fra å krysse blod-hjerne-barrieren. Andre «normale» lymfocytter stenges også ute fra hjernen, og resultatet blir derfor redusert immunovervåkning av sentralnervesystemet, med ledsagende risiko for potensielle opportunistiske infeksjoner.

    Multippel sklerose i seg selv synes ikke å være noen risikofaktor for progredierende multifokal leukoencefalopati, men behandling krever særlig oppmerksomhet, siden samtlige av de nyeste midlene mot sykdommen, som alle direkte eller indirekte påvirker T-celleforsvaret (8), har potensial til å forårsake progredierende multifokal leukoencefalopati (10). Natalizumab står imidlertid i en særstilling og er derfor underlagt særlig overvåkning, og det er utarbeidet en algoritme for risikostratifisering for progredierende multifokal leukoencefalopati før oppstart og under behandling (11).

    Generelt er risikoen for sykdommen ved bruk av natalizumab estimert til i overkant av 4/1 000 behandlede pasienter (7). Risikoen øker imidlertid med behandlingsvarigheten, spesielt hvis den går utover to år, ved tidligere immunsuppressiv behandling og med økende nivå av anti-JCV-antistoff. Tidligere immunsuppressiv behandling i denne sammenheng betyr i praksis (i Norge) mitoksantron, en behandling som nå er mer eller mindre forlatt.

    Imidlertid bør man etter vår mening være oppmerksom på at ethvert medikament som gir langvarig lymfocytopeni, medfører økt risiko for progredierende multifokal leukoencefalopati – lenge etter seponering. Risikoen ved bruk av natalizumab i to år, uten tidligere immunsuppressiv behandling med mitoksantron og med JCV-indeks i området 0,9–1,5, er ca. 6/1 000 behandlede pasienter. Dersom JCV-indeksen er > 1,5, er risikoen estimert til 17/1 000 behandlede pasienter (12).

    Andre medikamenter som brukes ved multippel sklerose har også gitt progredierende multifokal leukoencefalopati. Det er blant annet rapportert flere tilfeller under behandling med fingolimod og dimetylfumarat (13). Begge kan gi langvarig lymfocytopeni. Teriflunomid, som er en aktiv metabolitt av leflunomid, er til nå ikke assosiert med sykdommen, men flere tilfeller er knyttet til leflunomidbehandling ved revmatologisk sykdom (14).

    Daklizumab er nylig godkjent for bruk ved attakkpreget multippel sklerose. Antistoffet blokkerer IL-2-reseptor på aktiverte T-celler. Det er så langt ikke rapportert om tilfeller av progredierende multifokal leukoencefalopati assosiert med dette medikamentet (15). Kladribin er et medikament mot hårcelleleukemi som også har vist seg effektivt ved multippel sklerose (16). Dessverre er bruk av kladribin også nylig blitt assosiert med progredierende multifokal leukoencefalopati (10).

    Av de revmatiske sykdommene predisponerer systemisk lupus erythematosus for progredierende multifokal leukoencefalopati, trolig uavhengig av immunterapi (17). Sykdommen kan ramme sentralnervesystemet og gi både fokale og diffuse symptomer samt funn ved MR-undersøkelse som kan ligne på funnene ved progredierende multifokal leukoencefalopati, noe som potensielt kan føre til at tilfeller av sistnevnte sykdom blir underdiagnostisert.

    I en amerikansk studie identifiserte man vel å merke kun fire tilfeller av progredierende multifokal leukoencefalopati per 100 000 utskrevne pasienter med systemisk lupus erythematosis (17). Det var imidlertid ti ganger flere enn ved revmatoid artritt og 20 ganger flere enn i normalbefolkningen. I 2006 ble det rapportert om to tilfeller av progredierende multifokal leukoencefalopati hos pasienter med systemisk lupus erythematosis som ble behandlet med det monoklonale antistoffet rituximab.

    Rituximab er rettet mot B-cellemarkøren CD20 og fører til redusert antall B-celler i blodet. Det har vist seg effektivt ved leukemi og en rekke autoimmune tilstander. Flere tilfeller av progredierende multifokal leukoencefalopati er blitt assosiert med dette medikamentet, men så langt ikke ved multippel sklerose.

    Det er heller ikke rapportert om tilfeller assosiert med ocrelizumab, et nytt monoklonalt antistoff mot B-cellemarkøren CD20, som også har vist god effekt ved multippel sklerose (18). Et annet monoklonalt antistoff som inhiberer T-celleadhesjon og diapedese fra sirkulasjonen, efalizumab, ble trukket fra markedet i 2009 etter tre tilfeller av progredierende multifokal leukoencefalopati hos pasienter behandlet for psoriasis (19).

    Diagnostikk av progredierende multifokal leukoencefalopati

    Diagnostikk av progredierende multifokal leukoencefalopati

    Progredierende multifokal leukoencefalopati forårsaker ikke feber eller andre konstitusjonelle symptomer, men slike kan representere grunnlidelsen. Vanlige symptomer og tegn inkluderer – i tillegg til kognitive forandringer – pareser, synsfeltsutfall, språkforstyrrelser, ataksi og hjernestammeutfall. Noen ganger forekommer bare subtile endringer av kognisjon og personlighet, noe som kan forsinke diagnosen.

    Subakutte nevrologiske symptomer hos en pasient med økt risiko for progredierende multifokal leukoencafalopati sammen med typiske MR-funn og påvisning av JCV-DNA i spinalvæske er tilstrekkelig for diagnosen. Av og til må det gjøres hjernebiopsi for å påvise virus. Screening av immunstatus anbefales, og det bør etter vår mening også inkludere telling av CD4- og CD8-positive T-lymfocytter.

    Påvisning av JCV-antistoff

    Påvisning av JCV-antistoff

    Metoden JCV-ELISA (enzyme-linked immunosorbent assay) kan benyttes for å påvise og kvantifisere antistoff mot viruset, men er foreløpig ikke kommersielt tilgjengelig. Testen StratifyJCV, som er utviklet og finansiert av Biogen, anvendes kun hos pasienter med multippel sklerose og utføres i København.

    Analysen måler JCV-IgG i serum og gir en anti-JCV-indeks, som er et optisk tetthetsmål for antistoffnivået. Hvis indeksen er høyere enn 0,4, har pasienten antistoffer mot JCV-viruset, er den lavere enn 0,2, mangler pasienten antistoffer, og er verdien i området 0,2–0,4, er resultatet uklart. De som tester negativt, har svært lav risiko for progredierende multifokal leukoencafalopati, men falskt negative tester forekommer. Dessuten kan man ikke utelukke nyoppståtte infeksjoner.

    PCR, immunhistokjemi og in situ-hybridisering

    PCR, immunhistokjemi og in situ-hybridisering

    Mengden virus i spinalvæsken kan være svært lav, og det er viktig å ta en rikelig prøvemengde (minimum 1 ml) som tillater oppkonsentrering av DNA. Polymerasekjedereaksjon (PCR) med høy sensitivitet må benyttes. Negativ JCV-PCR av spinalvæsken utelukker aldri progredierende multifokal leukoencafalopati.

    Gullstandarden for diagnose er hjernebiopsi med påvisning av JCV-proteiner ved immunhistokjemi og/eller JCV-DNA ved in situ-hybridisering eller PCR-undersøkelse. Selv om dette er en invasiv prøvetaking, kan det være nødvendig ved negativ spinalvæskeundersøkelse dersom det likevel er klar klinisk og radiologisk mistanke (5). Plasma og urin kan ikke brukes for å diagnostisere tilstanden, selv om noen pasienter med progredierende multifokal leukoencafalopati vil kunne ha JCV-DNA i plasma.

    Magnetisk resonanstomografi

    Magnetisk resonanstomografi

    Ved mistanke om progredierende multifokal leukoencafalopati skal det gjennomføres MR-undersøkelse. Forandringer kan ses i hjernens hvite substans som multiple små lesjoner og/eller større konfluerende områder hvor som helst i storehjernen, oftest subkortikalt (fig 1), og i lillehjerne og hjernestamme (fig 3). Signalforandringer i ryggmargen bør gi mistanke om annen lidelse, men kan angivelig forekomme ved progredierende multifokal leukoencafalopati, men svært sjelden (20). Normale MR-bilder utelukker vanligvis tilstanden, men ved vedvarende klinisk mistanke bør undersøkelsen gjentas.

    Diagnostikken kan være utfordrende hos pasienter med multippel sklerose, da grunnsykdommen i seg selv gir varierende nevrologisk utfall og multiple lesjoner i hvit substans, og den lar seg ikke uten videre skille radiologisk fra progredierende multifokal leukoencafalopati. MR-undersøkelse før oppstart med immunmodulerende behandling for senere sammenligninger er derfor viktig. Det ses ingen eller kun minimal masseeffekt, og vanligvis er det ikke eller kun beskjedent kontrastopptak.

    Dersom det er kontrastopptak i en lesjon ved progredierende multifokal leukoencafalopati, indikerer det sterkt at det foreligger immunrekonstitusjonsinflammasjonssyndrom (IRIS) (fig 2). Dette ses relativt ofte ved både natalizumab- og hivassosiert infeksjon. En halvmåneformet cerebellær lesjon ses nesten utelukkende ved progredierende multifokal leukoencafalopati (fig 3) (20). De viktigste differensialdiagnosene inkluderer multippel sklerose, hivencefalitt eller eventuelt andre encefalitter (herpes simplex-virus, cytomegalovirus), gliomatosis cerebri, lymfom i sentralnervesystemet, akutt disseminert encefalomyelitt (ADEM), vaskulitter/cerebrale infarkter og mitokondriecytopatier (20).

    Behandling og prognose

    Behandling og prognose

    Bare reetablering av et effektivt immunforsvar kan forhindre forverring av sykdommen og død ved progredierende multifokal leukoencefalopati. Paradoksalt nok kan imidlertid hurtig reetablering av immunforsvaret føre til klinisk forverring og i verste fall rask død på grunn av en kraftig immunrespons, såkalt immunrekonstitusjonsinflammasjonssyndrom.

    Ved alvorlig immunrekonstitusjonsinflammasjonssyndrom er det konsensus om å behandle med høydose metylprednisolon (11). HAART-behandling har redusert dødeligheten av JCV-virusinfeksjon ved aids, og prognosen er i stor grad avhengig av CD4-positivt T-lymfocyttnivå. Ved natalizumabassosiert sykdom er dødeligheten i overkant av 20 % (7), altså langt lavere enn ved andre årsaker til tilstanden. Rask diagnostikk og seponering av natalizumab, eventuelt plasmaferese for å fjerne midlet fra sirkulasjonen, og steroidbehandling ved immunrekonstitusjonsinflammasjonssyndrom er sannsynligvis hovedårsakene til dette.

    Ung alder, lav virusmengde i spinalvæsken og begrenset utbredelse av sykdommen i hjernen er faktorer assosiert med økt overlevelse. Kasuistiske meddelelser rapporterer effekt av flere antivirale midler som er vist å redusere JCV-replikasjonen in vitro – cidofovir, brincidofovir, cytarabin og topotecan – men ingen har vist effekt i kliniske studier (21). Ganciklovir har vist seg å undertrykke JCV-virus i cellekulturer, og det har vært rapportert klinisk effektivt i en kasuistikk (21). Meflokin, et antimalariamiddel som også hemmer JCV-virusreplikasjon in vitro, hadde ingen effekt i en klinisk studie (22).

    I 2004 viste Elphick og medarbeidere at JCV-viruset benyttet serotoninreseptor 5HT2AR for å infisere astrogliaceller i cellekulturer, og at det antidepressive midlet mirtazapin effektivt blokkerte dette (4). Siden har mirtazapin vært rapportert som en potensielt gunstig behandling en rekke ganger, men effekten er fortsatt høyst usikker (23). Foreløpig må behandlingen likevel kunne anbefales (23).

    Effekt av immunresponsmodulerende behandling er ikke vist preklinisk, men man har klart å reetablere adekvat T-cellerespons ved å benytte interleukin 2 (IL-2) eller interleukin 7 (IL-7) hos enkeltpasienter (5). Behandling med rekombinant humant IL-7 (CYT107, ikke markedstilgjengelig) er spesielt spennende, da det kan synes å forsterke JCV-spesifikk T-cellerespons (5). Positivt resultat hos to pasienter immunisert med JCV-VP1-vaksine (kapsidprotein) og IL-7 er rapportert (24).

    Pasienter/pårørende har gitt samtykke til at artikkelen blir publisert.

    Kommentarer  ( 0 )
    PDF
    Skriv ut

    Anbefalte artikler