En mann i 40-årene med smerter i høyre lår og kne

    ()

    sporsmal_grey_rgb
    Artikkel

    Smerter i lår og kne som oppstår spontant, kan ha mange årsaker. Vi beskriver her en tilstand som kan diagnostiseres ved hjelp av MR-undersøkelse, og som det er viktig å kjenne til.

    En mann ble henvist fra fastlege til ortopedisk poliklinikk for belastningssmerter i høyre lår og kne. Smertene hadde oppstått spontant over natten og var så sterke at han ikke kunne belaste høyre ben uten krykker. Han brukte medikamenter mot hypertensjon og gastroøsofageal refluks, men var ellers frisk. Han hadde ikke vært spesielt fysisk aktiv før det aktuelle. Henvisende lege hadde rekvirert MR-undersøkelse av høyre kne som viste normalt funn.

    Smerte i lår og kne kan skrive seg fra hofteregionen. Det er derfor viktig at også hoften undersøkes.

    To måneder etter symptomdebut ble han vurdert av ortoped som ikke fant noe galt i kneet, men ortopeden noterte redusert bevegelighet i høyre hofteledd og rekvirerte skjelettrøntgen og MR-undersøkelse av bekken og hofte.

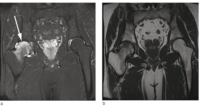
    Røntgen viste en liten ujevnhet lateralt i høyre caput femoris av usikker betydning. MR-bildene viste på høyre side et diffust benmargsødem i caput og collum femoris (fig 1). Etter kontrast var det opptak i samme område og ubetydelig væske i leddet. Det var ingen tegn til subkondral fraktur.

    Pasienten ble deretter henvist til revmatologisk avdeling hvor han ble undersøkt én uke senere. Han hadde ikke hatt tegn til diaré, infeksjon eller flåttbitt før symptomene startet.

    Mot smertene hadde han forsøkt paracetamol og NSAID-preparater med kun moderat effekt. Han var helt smertefri i hvile, men ved belastning anga han 8 på en 0 – 10 numerisk smerteskala. Pasienten hadde et lavt alkoholforbruk og røykte ikke.

    Ved klinisk undersøkelse var han afebril og i god allmenntilstand. Han hadde en haltende gange, og passiv fleksjon og innadrotasjon i høyre hofteledd var redusert på grunn av smerte. Organstatus, inkludert hud, negler og øvrige ledd, var upåfallende. Ved ultralyd av høyre hofteledd ble det notert ubetydelig økt væske i leddet, men ikke fortykket synovialhinne. Bentetthet målt med dobbelt radioabsorpsjonsmetri (dual X-ray absorptiometri, DXA) var redusert i begge hofter med T-skår henholdsvis –2,7 på høyre side og –2,2 på venstre side. Ut fra pasientens alder tilsvarer dette henholdsvis 65  % og 72  % av forventet verdi. T-skår lavere enn –2,5 regnes som osteoporose.

    Omfattende laboratorieutredning, inkludert bl.a. SR, CRP, Hb, blodtelling, lever- og nyrefunksjon, var upåfallende bortsett fra lett forhøyet parathyreoideahormon 8,5 pmol/l (1,5 – 7,6). Ionisert kalsium var normal 1,21 mmol/l (1,18 – 1,32) og 25-OH-vitamin D total 45 nmol/l (37 – 131).

    Endokrinolog mente at det kunne foreligge en lett sekundær hyperparatyroidisme og anbefalte tilskudd av kalsium og vitamin D. Parathyroideascintigrafi viste ikke tegn til adenom.

    På MR-bilder er benmargsødem karakterisert av diffust utbredte forandringer i form av væskelignende signal fra benmarg med nedsatt signalintensitet på T1-vektede bilder og økt signalintensitet på væskesensitive sekvenser, f.eks. T2-vektede bilder med fettsuppresjon eller «short tau inversion recovery»-sekvens (STIR) (1).

    Benmargsødem kan også påvises med skjelettscintigrafi (2), men da scintigrafi ikke antas å gi mer informasjon enn MR-undersøkelse, ble dette ikke utført her. Benmargsødem er et uspesifikt funn, og man kan se det ved en rekke tilstander i skjelettet, både inflammatoriske, degenerative og traumatiske (3). Det var derfor mange aktuelle differensialdiagnoser hos denne pasienten.

    I og med at symptomene hadde oppstått spontant, så vi bort fra traume eller gjentatte mikrotraumer som utløsende årsak (4). Benmargsødem kan være et tidlig funn ved begynnende artrose, men med intakt leddbrusk og fravær av osteofytter anså vi artrose som usannsynlig (5). Mer aktuelt var muligheten for en inflammatorisk revmatologisk sykdom. Artritt i hofteleddet skyldes ofte en spondylartrittilstand, enten i form av psoriasisartritt, reaktiv artritt eller ankyloserende spondylitt (tidligere Bekhterevs sykdom). Disse sykdommene kan ha svært varierende forløp, og CRP-nivået trenger ikke å være forhøyet. Det var imidlertid sparsomt med væske i leddet, og synovialhinnen var ikke fortykket, noe man ville forventet ved artritt. Fravær av symptomer fra hud, rygg, øyne, urinveier eller tarm støttet heller ikke en slik diagnose. Den lange sykehistorien, upåvirket allmenntilstand og normalt CRP-nivå gjorde infeksjon som bakteriell artritt eller osteomyelitt svært lite sannsynlig. Det er kjent at tuberkulose kan gi vage og ukarakteristiske symptomer, men vi fant også dette så usannsynlig at vi ikke gikk videre med biopsi fra synovialhinnen. Virusinfeksjoner er vanligvis ikke assosiert med koksitt og ble ikke utredet nærmere. MR-bildene og den videre utredningen ga heller ikke holdepunkter for malign tumor eller metastase. Man ville da forventet hvilesmerter. Muligheten for avaskulær nekrose ble vurdert, men benmargsødem ved avaskulær nekrose er skarpt avgrenset mot omliggende ben, ikke diffust utbredt som i dette tilfellet (6). Andre mulige årsaker som labrumrift, iliopsoas bursitt, tendinose i hofteflektorer, psoasabscess eller hematom kunne utelukkes ut fra sykehistorie, kliniske funn og MR-undersøkelse (7).

    Da vi ikke fant andre årsaker til de påviste MR-forandringene, konkluderte vi med at det dreide seg om et primært benmargsødem. Smertene og påvisningen av lav bentetthet i det affiserte området var forenlige med tilstanden benmargsødemsyndrom (8).

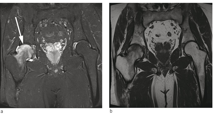
    På bakgrunn av flere kasuistikker hvor man beskrev mulig effekt av peroral bisfosfonatbehandling ved benmargsødemsyndrom, startet vi med alendronat 70 mg en gang i uken (9). Pasienten ble fulgt opp med regelmessige telefonkonsultasjoner, og både smerter og funksjonsnivå bedret seg gradvis. Ved kontroll seks måneder etter symptomdebut var han smertefri og kunne belaste benet fullt. Ny MR-undersøkelse viste full tilbakegang av benmargsødemet i caput femoris, men noe ødem i acetabulum. Etter ytterligere tre måneder var MR bekken og hofteledd helt normalisert (fig 2). Bentetthetsmåling viste da T-skår –2,6, og –2,1 i henholdsvis høyre og venstre hofte. Videre oppfølging av endokrinolog viste vedvarende lett forhøyet PTH-nivå uten at det ble funnet noen sikker årsak til dette.

    Diskusjon

    Diskusjon

    Tilstanden vi omtaler i denne kasuistikken, ble først beskrevet i 1959 som lokalisert osteoporose fordi skjelettrøntgen viste redusert mineralisering i hofteregionen (10). Da smerter og røntgenforandringer viste seg å være reversible, ble begrepet «transient osteoporosis of the hip» (TOH) introdusert. «Regional migratory osteoporosis» (RMO) har senere vært benyttet hvor tilstanden flytter seg fra ett ledd til et annet (11). Etter at MR-undersøkelser kom i bruk er dette blitt standardmetoden for å diagnostisere tilstanden. I ICD-10 kodes benmargsødemsyndrom som M 81.6 (lokalisert osteoporose/Lequesnes sykdom). Lequesne beskrev ti pasienter med «transient osteoporosis of the hip» som han oppfattet som en variant av Südecks atrofi (12). I senere studier har man imidlertid ikke kunnet bekrefte sammenheng mellom benmargsødemsyndrom og Südecks atrofi (komplekst regionalt smertesyndrom) (13). På norsk har tilstanden så vidt vært omtalt som lokalisert osteoporose med benmargsødem, og som benmargsødem i forbigående osteoporose (14, 15).

    Litteraturen om benmargsødemsyndrom utgjøres hovedsakelig av kasuistikker og små pasientserier, og man har liten kunnskap om etiologi eller patofysiologi (13). Epidemiologiske data finnes ikke. Tilstanden er særlig beskrevet hos menn i alderen 30 – 60 år, men er også sett blant gravide kvinner i siste trimester. Benmargsødemsyndrom synes hyppigst å affisere hofteregionen, men forekommer også i kne, ankel og fot, sjelden i overekstremitetene eller andre lokalisasjoner. I hoften ses forandringene oftest i proksimale femur, men de kan også forekomme i acetabulum. Spontan bedring uten sekvele ser ut til å være det vanligste, symptomene kan vare fra noen måneder opp til et par år, men residiv forekommer (16). I de tilfellene hvor det er utført benmineralmåling, har det vært påvist reduserte verdier i det affiserte området slik som hos vår pasient, det er også rapportert om brudd (10, 17). Kasuistikker tyder på at bentettheten kan normalisere seg uten spesifikk behandling (18). Det er kjent at avlastning av en ekstremitet i seg selv kan medføre redusert bentetthet, men neppe så mye som i dette tilfellet (19).

    Ifølge flere kasuistikker og små ukontrollerte studier er pasienter med benmargsødemsyndrom blitt behandlet med osteoporosemidler, spesielt bisfosfonater (9, 20) – (23). Det finnes imidlertid ingen placebokontrollerte studier, og det er derfor ikke mulig å vite hvilken effekt bisfosfonater eventuelt kan ha på sykdomsforløpet ved tilstanden. Hos vår pasient startet vi med alendronat. Vi har senere hatt fire pasienter med benmargsødemsyndrom, den første av disse fikk også alendronat, de siste tre har vi ikke gitt bisfosfonater. Alle fem pasienter er blitt bedre. Det foreligger også rapporter om bruk av prostasyklinanaloger (24), hyperbar oksygenterapi (25) og trykkbølgebehandling (26), men per i dag finnes det ingen behandling hvor effekten er tilstrekkelig dokumentert til å kunne anbefales.

    Konklusjon

    Konklusjon

    Benmargsødemsyndrom er en aktuell differensialdiagnose hos pasienter med spontant oppståtte smerter i store ledd i underekstremitetene, særlig hofte. Det er en uavklart tilstand med et åpenbart behov for mer kunnskap. Vi deltar gjerne i et samarbeid med andre interesserte om dette.

    Pasienten har gitt samtykke til at artikkelen blir publisert.

    Kommentarer  ( 0 )
    PDF
    Skriv ut

    Anbefalte artikler