Ultralyd som integrert del av medisinstudiet

    ()

    sporsmal_grey_rgb
    Artikkel

    Ved innføring av ny studieplan ved medisinstudiet i Oslo har man satset på ultralyd som en viktig del av utdanningen fra begynnelse til slutt. Bruk av ultralyd kan gjøre anatomi og fysiologi enklere å forstå. I tillegg vil undervisningen integrere flere fag og gi et godt grunnlag for senere spesialisering.

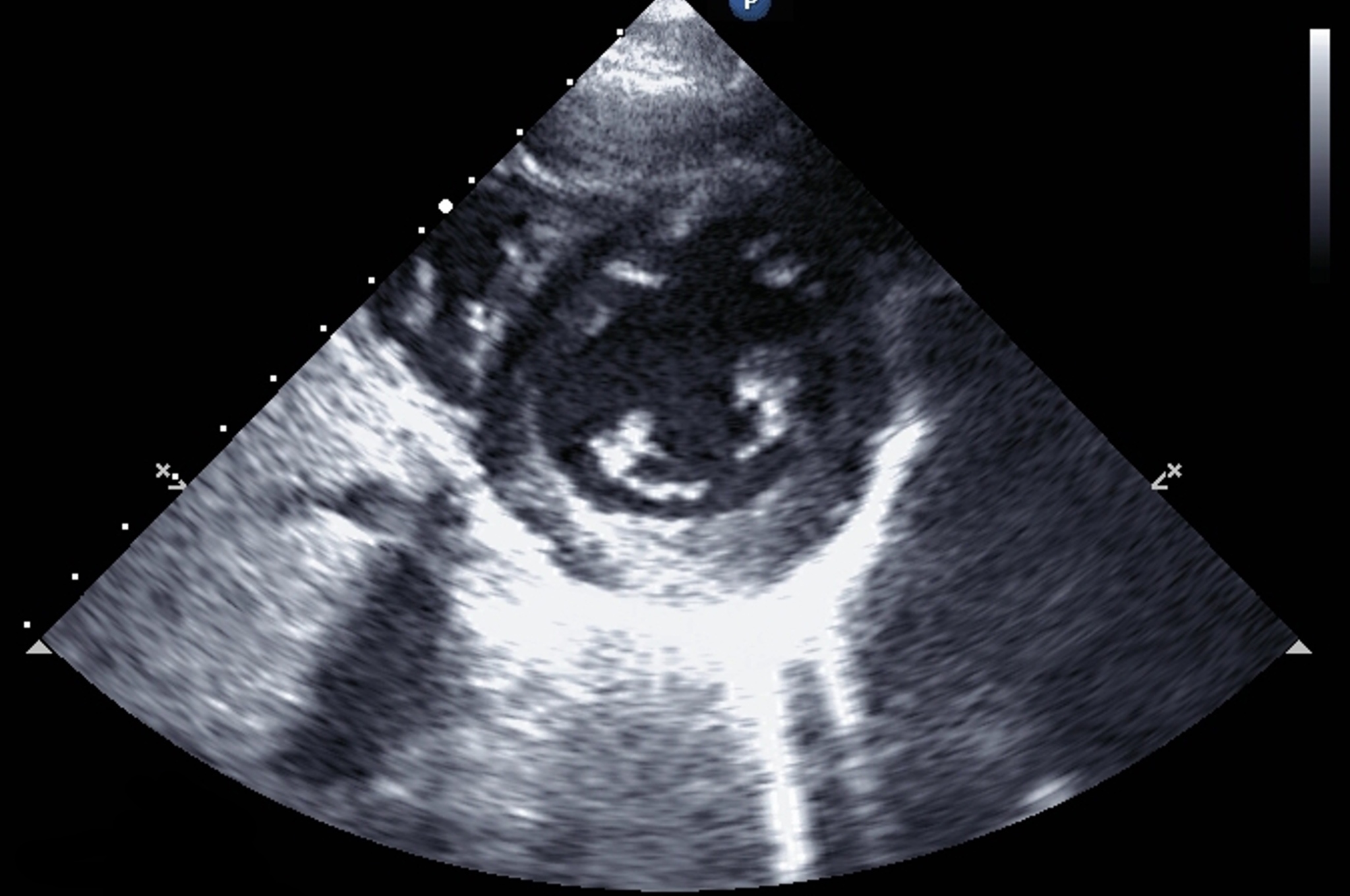
    I forbindelse med revisjonen av studieplanen i medisin, Oslo 2014 (1), blir ultralyd en del av det organiserte undervisningsopplegget i flere fag. I en pilot ved Universitetet i Oslo har erfarne klinikere, sammen med lærere i basalfag, brukt ultralyd i gruppeundervisningen i anatomi i første studieår i medisinstudiet, som et tillegg til den tradisjonelle undervisningen. Hjertets struktur, leie og funksjon er blitt demonstrert på en ny og innovativ måte. Det er vist at bruk av ultralyd som et tillegg til ordinær undervisning, øker læringseffekten (2), men studenters forståelse av ultralydbildene har vært dårlig (3).

    Pasienter i og utenfor sykehus blir ofte utredet med bildediagnostiske metoder. Metodene er blitt mer avanserte og krever ofte store investeringer, mens ultralydapparatene er blitt mindre, mer tilgjengelige og rimeligere. Ultralyd utføres av leger med forskjellig bakgrunn, og av andre helseprofesjoner, og med en stor variasjon i problemstillinger (4).

    Målet for undervisningen i ultralyd er at studentene for det første skal forstå metodens muligheter og begrensninger for å kunne evaluere og ha en kritisk holdning til bruken. For det andre er målet at de bedre skal forstå normal og patologisk anatomi og fysiologi og sammenhengen med ulike sykdommer. Og endelig er målet at studentene skal få grunnleggende ferdigheter i ultralydundersøkelser, som et godt grunnlag for senere læring.

    Undervisningsopplegget

    Flere steder i verden er ultralyd innarbeidet i medisinerutdanningen (4) – (6). I medisinstudiet ved Universitetet i Oslo etablerer vi et unikt opplegg. Ultralydundervisning vil de neste årene gjennomsyre medisinstudiet i flere fag, fra start til slutt.

    Ultralyd representerer en ny måte å se og forstå anatomi og fysiologi på. Dette knytter basalfagene tettere til de kliniske fagene og forbereder studentene på bruk av ultralyd i klinisk arbeid. Tematisk deles undervisningen i både basalfagene og klinisk arbeid med utgangspunkt i de store anatomiske hovedområdene thorax, abdomen og bevegelsesapparat. Dette skaper faglig konsistens og legger til rette for spirallæring.

    I løpet av høsten 2016 starter en systematisk opptrening av studentinstruktører som sammen med erfarne lærere skal delta i undervisningen. Samtidig utvikles e-læringsmateriale. I løpet av våren 2017 starter vi den organiserte undervisningen med forelesninger og e-læringskurs om ultralydteknologi, fulgt av en serie praktiske kurs.

    Undervisningen vil i hovedsak vektlegge praktisk bruk av ultralyd, men vil forutgås av teori og undervisning med bruk av videoer, implementert som e-læring.

    Den praktiske fasen vil omfatte trening på fantommodeller og medstudenter, før man får praktisere på pasienter.

    Godt grunnlag

    Den nyutdannede legen må ha en kunnskapsbasert forståelse både av nytten av ultralyddiagnostikk, men også av når ultralyd ikke kan brukes. Det er en forutsetning for korrekt henvisningspraksis, forståelse av svar basert på ultralyd og basis for eventuell egen ultralydvirksomhet.

    Med et helhetlig undervisningsopplegg som inkluderer mange fag, med undervisning også på tvers av fag og med ulike aktører, vil læringen gå som en rød tråd gjennom hele studiet. Undervisningen vil gi et godt grunnlag for senere læring i bruk av ultralyd i spesialiseringen, men også bidra til å integrere flere fag i studiet.

    Kommentarer  ( 4 )
    PDF
    Skriv ut

    Anbefalte artikler