K. Skoglund & O. Hjortdal svarer:

    ()

    sporsmal_grey_rgb
    Artikkel

    I Tidsskriftet nr. 10/2015 har Fink Eriksen en kritisk kommentar til vår artikkel Femurfraktur og kjeveleddsdestruksjon etter bruk av bisfosfonater som ble publisert i Tidsskriftet nr. 2/2015 (1). Eriksen er uenig i både vår diagnose og konklusjon.

    På grunn av plasshensyn i Tidsskriftet fikk vi ikke med det bildematerialet og den teksten som ligger til grunn for vår vurdering. Artikkelen var opprinnelig forsynt med ni figurer/bilder. Dette ble av redaksjonen redusert til to.

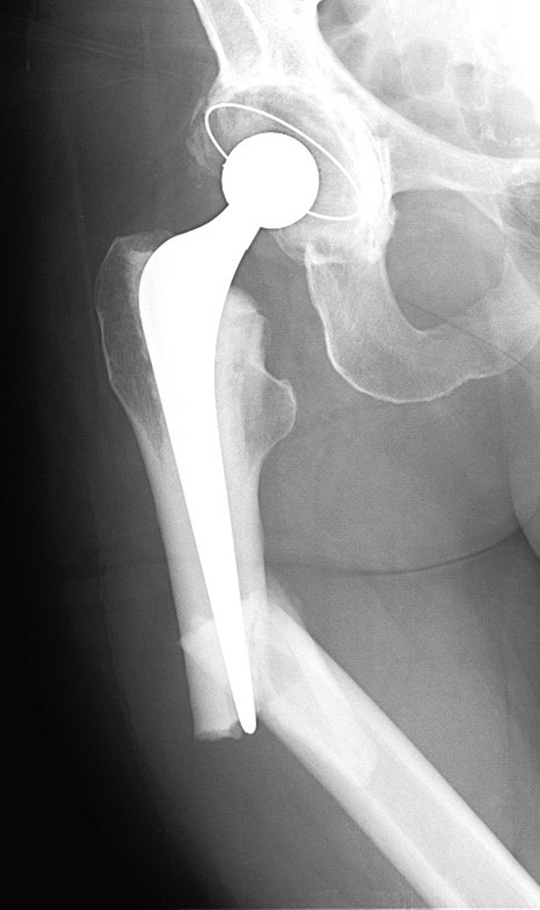
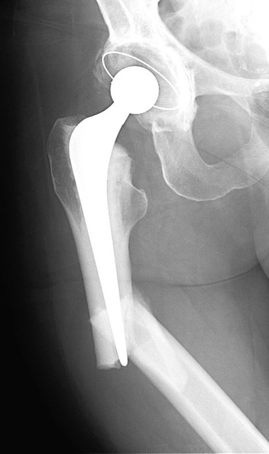
    Når det gjelder femurfrakturene hos vår pasient, supplerer vi her med et preoperativt bilde av høyre femur som oppfyller kriteriene på atypisk fraktur, med frakturlinje som er i rett vinkel på femurs lengdeakse lateralt (figur 1). I figur 2 ser vi et primærbilde av venstre femur, som viser en inkomplett, atypisk fraktur.

    Schilcher og medarbeidere har i sin registerbaserte studie, som omfatter 97  % av alle brudd i Sverige i 2008, funnet en sterk assosiasjon mellom bisfosfonatbruk og atypiske brudd i femur (2). Han definerer et atypisk brudd som brudd lokalisert til den subtrokantære og diafysære delen av femur, med en rett bruddlinje lateralt, vinkelrett på en kortikalt fortykket femur. Han finner at brukere av bisfosfonater har en relativ risiko på 47 for å pådra seg denne frakturen. Økningen av absolutt risiko var 5 per 10 000 pasientår, dvs. «patients needed to harm» 2 000 per år. På grunn av studiedesignen og den store populasjonen den omfatter, er det grunn til å mene at konklusjonene som trekkes i denne studien, har høy evidens. Etter vår mening feilinformerer Fink Eriksen når han skriver at disse komplikasjonene er ekstremt sjeldne.

    Det er rapportert høy komplikasjonsrate ved behandling av atypiske femurfrakturer, opptil 68  % (3), og vi anser det som viktig å informere om den.

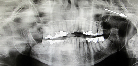
    I figur 3 og 4 ser vi et CT-bilde av kjeveleddene og ortopantomogram (OPG) av mandibula hos vår pasient, som viser nærmest fullstendig destruksjon av kondylene på begge sider, noe som forklarer den betydelige retrusjonen av mandibula og bittåpning i fronten på hele fem millimeter. Både det kliniske og det røntgenologiske bildet er forskjellig fra det man vanligvis finner ved kjeveleddsartrose, en lidelse som stort sett er begrenset til leddbrusken og det periartikulære beinet. I dette tilfellet er hele kondylen destruert.

    Fink Eriksen skriver at kjeveosteonekrose primært er en tilstand som er assosiert med manglende tilheling av mucosalesjoner etter invasive inngrep i munnhulen. Dette er ikke alltid riktig, og han synes da å være ukjent med nyere litteratur som viser at såkalte lukkede tilfeller, uten slimhinnelesjon, kan opptre i opptil 29 – 45  % av tilfellene (4, 5). I en nyere studie gjennomgår forfatterne et materiale på 102 pasienter og viser at 14  % av tilfellene er uten slimhinnelesjoner (6). De foreslår en klassifikasjon av kjeveosteonekrose i såkalt erosive og nonerosive former. Vårt kasus kan da trolig henregnes til den sistnevnte gruppen. Flere har påpekt at den viktigste årsaken til at osteonekrose vesentlig opptrer i underkjeven, er denne knokkelens spesielle blodforsyning og funksjon, med en høy beinomsetning.

    Fink Eriksen advarer mot at man ved ensidig å fokusere på sjeldne bivirkninger uten å sette dem i relasjon til bisfosfonatenes positive virkninger, kan forvirre både pasienter og kolleger. Dette har ikke vært vår agenda. Vi har ikke bestridt den positive effekten som bisfosfonatene kan ha som frakturprofylakse hos pasienter med osteoporose. Slik behandling er dokumentert å redusere insidensen av osteoporotiske brudd med 15/1 000 (7).

    Vår hensikt har vært å presentere sykehistorien til en pasient som etter langvarig bruk – 14 år uten behandlingspauser – av Fosamax, fikk alvorlige, til dels refraktære, invalidiserende bivirkninger.

    Kommentarer  ( 0 )
    PDF
    Skriv ut

    Anbefalte artikler