Undersøkelse og behandling av brudd og pseudartrose i skafoid

    ()

    sporsmal_grey_rgb
    Abstract
    BAKGRUNN

    BAKGRUNN

    Brudd i båtbeinet, os scaphoideum, rammer ca. 2 000 pasienter årlig i Norge. Utredning og diagnostikk kan være vanskelig, og frakturer blir oversett. Tradisjonelt har skafoidfrakturer blitt gipset, men siste tiår har skruefiksering av frakturer økt og gitt håp om høyere tilhelingsfrekvens og bedre funksjon. Noen skafoidfrakturer blir ikke diagnostisert i akuttfasen og noen gror ikke etter behandling. Pasientene kan da ende opp med en smertefull psuedartrose. Formålet med denne artikkelen er å gi en oversikt over utredning, behandling og resultater etter skafoidfraktur.

    KUNNSKAPSGRUNNLAG

    KUNNSKAPSGRUNNLAG

    Artikkelen er basert på søk på PubMed og forfatternes egne kliniske erfaringer.

    RESULTATER

    RESULTATER

    Primær diagnostisering av skafoidfraktur og etterfølgende behandling i gips gir meget godt klinisk resultat. Kirurgisk behandling bør begrenses til dislokerte frakturer, frakturer som del av større håndrotsskader og unntaksvis hos andre. Resultater på høyde med gipsbehandling oppnås av erfarne kirurger på dette feltet. Ubehandlet skafoidfraktur fører ofte til smertefull pseudartrose med påfølgende feilstilling i håndrotsknoklene og sekundær artrose. Denne utviklingen kan motvirkes ved at eldre frakturer opereres med beintransplantasjon, intern fiksasjon og gipsimmobilisering.

    FORTOLKNING

    FORTOLKNING

    Norske rutiner ved behandling av skafoidfraktur/pseudartrose er i samsvar med internasjonalt dokumentert god behandling. Utredning av håndrotssmerter etter fall kan bedres ved å klinisk teste for skafoidfraktur og ved radiologisk utredning med fire håndrotsprojeksjoner. Ved klinisk mistanke, men manglende røntgenfunn bør det henvises til CT- eller MR-undersøkelse.

    Artikkel

    Os scaphoideum er en av åtte knokler i håndroten. Om lag halvparten av beinet er dekket av leddbrusk. Det artikulerer med radius, lunatum, capitatum, trapezoid og trapezium. Tidligere kadaverstudier viste retrograd hovedsirkulasjon i skafoid med inngang i beinet rundt distale pol. Dette ble antatt å gi en sårbar sirkulasjon av den proksimale delen av knokkelen (1), lik caput femoris hos voksne. I nyere kadaverstudier har man imidlertid påvist mindre sårbar sirkulasjon med anastomoser til alle deler av skafoid (2). Dette forklarer den gode tilhelingsevnen ved tidlig diagnostikk og behandling. Med unntak av frakturer helt distalt gjennom skafoids tuberkel (som nesten uten unntak gror med gips i seks uker) er alle brudd intraartikulære. Kombinasjonen av liten kontaktflate mellom bruddfragmentene og store bevegelser rundt skafoid ved bøy og strekk i håndleddet gir høy risiko for manglende tilheling om bruddet ikke stabiliseres med gips eller intern fiksasjon (3).

    Skafoidfraktur rammer menn ca. fire ganger hyppigere enn kvinner, med en topp i alderen 20 – 40 år. Anslått årlig norsk insidens er 1 800 – 2 200 (4, 5), hvorav ca. 5 % er nyoppdagede pseudartroser (6). Nesten alle norske sykehus og skadestuer behandlet i 2006 akutte frakturer med gipsimmobilisering i 8 – 12 uker. De fleste skafoidpseudartroser ble henvist til håndkirurger og operert med beintransplantasjon og intern fiksasjon fulgt av gipsimmobilisering (7). Formålet med denne gjennomgangen er å gi en oversikt over utredning, behandling og resultater etter skafoidfraktur.

    Kunnskapsgrunnlag

    Kunnskapsgrunnlag

    Vi har gjennomført følgende litteratursøk på PubMed med gitte eksklusjonskriterier:

    • «scaphoid» og «fracture» (filter: randomized controlled trial): 36 treff, 14 etter eksklusjon.

    • «scaphoid» og «fracture» og «treatment» (filter: english, human og abstrakt tilgjengelig, siste 40 år, søkeord i tittel eller abstrakt): 281 treff, 111 etter eksklusjon. 50 av de 111 var oversiktsartikler.

    • «scaphoid» og «nonunion» eller «non-union» (filter: english, human og siste 40 år, søkeord i tittel eller abstrakt): 159 treff, 59 etter eksklusjon. 12 av de 59 var oversiktsartikler, to var randomiserte studier.

    Vi ekskluderte artikler der skafoid ikke var tema og kadaverstudier av anatomi, biomekanikk eller operasjonsteknikker. Publikasjoner der skafoidfraktur var omtalt som en del av større håndskader (radiusfraktur/håndrotsfraktur/ligamentskade) ble ekskludert. Epidemiologiske studier, artikler om følgetilstander, enkeltkasuistikker, ekspertmeninger eller rapporter ble også ekskludert. Etter å ha ekskludert duplikater satt vi igjen med 160 artikler. Vi leste igjennom sammendragene fra alle disse artiklene. Forfatterne har omfattende erfaring med behandling av håndrotsskader og brudd i os scaphoideum. Denne oversikten er basert på de prospektive studiene samt det vi oppfatter som de mest relevante og representative oversiktsartiklene/metaanalysene og retrospektive studiene, til sammen 37 artikler, i tillegg til egen erfaring med problemstillingen.

    Resultater

    Resultater

    Studienes kvalitet

    Studienes kvalitet

    Til tross for mange publikasjoner som omhandler skafoidproblemstillinger, er det få randomiserte studier, og ingen er gjennomført med blinding av pasient eller oppfølgende helsepersonell. De fleste studiene er retrospektive eller kasusserier av lav kvalitet. Metodeproblemene omfatter varierende grad av preoperativ vurdering, manglende sammenlikning og ingen randomisering av behandlingene, forskjellig radiologisk utredning og oppfølging, varierende oppfølgingstid og ulike preoperative- og oppfølgingsparametere. Det er vanskelig å lage gode oversiktsartikler og metaanalyser, og det foreligger ingen Cochrane-anbefalinger.

    Utredning av skafoidfraktur

    Utredning av skafoidfraktur

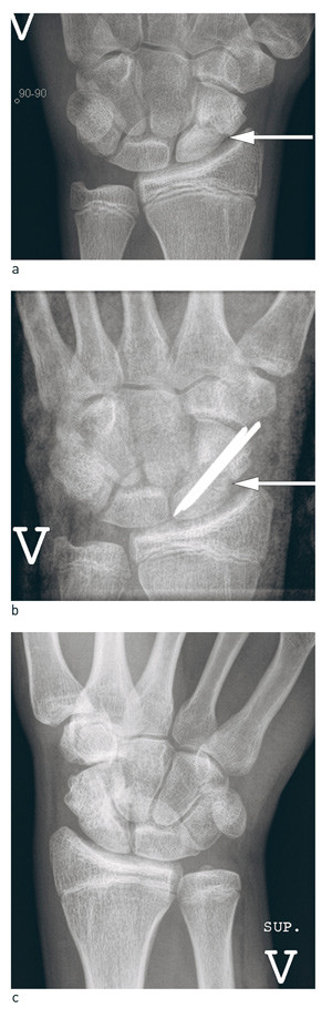
    Pasienter med smerter i håndroten etter fall bør undersøkes klinisk med tanke på skafoidfraktur. Den kliniske undersøkelsen skal omfatte palpasjon i «den anatomiske snusdåsen» med håndleddet ulnardeviert, der hele midtre del av skafoid kan palperes mellom extensor pollicis longus og abductor pollicis longus/extensor pollicis brevis. Dessuten palperes den volare skafoidtuberkelen, og tommelen stukes i skafoids lengderetning (fig 1). Testene har høy sensitivitet (100 % når alle tre testene er positive (8)) og dermed høy negativ prediktiv verdi. Den positive prediktive verdien er lavere (58 %). Positiv test må derfor føre til videre utredning (8, 9).

    De fire radiologiske standardprojeksjonene (fig 2) avslører de fleste frakturer, men noen brudd er ikke synlige på initiale bilder. Pasienter med positive kliniske funn og negative funn på røntgenbilder må derfor følges videre. De kan enten avklares umiddelbart med MR/CT eller gipses og kontrolleres klinisk og røntgenologisk etter to uker. Ved fortsatt klinisk mistanke og negativt røntgenbilde tas CT eller MR slik at fraktur kan bekreftes eller avkreftes (fig 3). MR og CT har begge 100 % sensitivitet. CT vil bedre avsløre dislokasjon og tegn på eldre fraktur eller pseudartrose (10). Om man har mulighet, bør man avklare problemstillingen umiddelbart med supplerende bildediagnostikk, slik at pasienten slipper unødvendig gipsimmobilisering. Se flytskjema for utredning av mistenkt skafoidfraktur (fig 4).

    Behandling av fersk skafoidfraktur

    Behandling av fersk skafoidfraktur

    De fleste retrospektive oppfølgingsstudiene viser høy tilhelingsfrekvens (89 – 100 %) og god håndleddsfunksjon både etter gipsimmobilisering og etter operasjon (4, 11, 12). Gipsbehandling må starte tidlig. En forsinkelse på fire uker gir dramatisk økning i frekvensen av pseudartrose og forsinket tilheling (> 80 %) (13).

    Forskjellige typer gips (med eller uten tommel immobilisert, lett flektert eller ekstendert håndledd, under eller over albuen) er sammenliknet i tre randomiserte kontrollerte studier (14) – (16) uten forskjell i tilhelingsfrekvens (89 – 96 %) eller håndleddsfunksjon. I seks randomiserte kontrollerte studier uten blinding ble 8 – 12 ukers gipsimmobilisering sammenliknet med skruefiksering (17) – (22). Bruddet ble vurdert som tilhelet om beintrabekler krysset frakturspalten på de fire nevnte projeksjonene. Ved tvil ble tilhelingen avklart med CT. Operasjon ga noe bedre håndleddsfunksjon etter tre måneder, men ikke etter 6 – 12 måneder. Begge grupper oppnådde utmerket håndleddsfunksjon, men de opererte fikk imidlertid mer artrose i trapezium-skafoid-leddet der skruen ble introdusert. Med unntak av i én studie, som også inkluderte dislokerte og komminute brudd (23), ble det ikke funnet signifikante forskjeller i tilhelingsfrekvens (87 – 100 %). Det er laget flere metaanalyser og oversiktsartikler av litteraturen, inkludert de få prospektive studiene som finnes. I tre metastudier ble det ikke funnet forskjell i tilhelingsfrekvens. I én studie fant man en liten økt relativ risiko for pseudartrose ved gipsimmobilisering, men ikke når det var tatt hensyn til frafall av pasienter ved oppfølging. Komplikasjonsfrekvensen er signifikant høyere ved kirurgi, men de fleste komplikasjoner er milde og forbigående (24) – (27). Det er konsensus om at dislokerte frakturer og frakturer som ledd i håndrotsfrakturdislokasjoner bør opereres med intern fiksasjon (28, 29). Hvis man ser dislokasjon på røntgen, bør frakturen utredes med CT og vurderes for operasjon. Gips i slike tilfeller gir ikke nok stabilitet for tilheling. Det sikreste er å gipsbehandle alle i 12 uker før man kontrollerer med røntgen.

    Behandling av skafoidpseudartrose

    Behandling av skafoidpseudartrose

    En skafoidfraktur som ikke viser tegn til tilheling etter 3 – 4 måneder med gips, vil ikke gro med ytterligere konservativ behandling og bør henvises til kirurgi (13). En gjennomgang av 270 skafoidpseudartroser viste at nesten halvparten av pasientene ikke oppsøkte lege da de skadet seg. Kun 53 av de 270 ble diagnostisert med skafoidfraktur akutt, mens 93 frakturer ble oversett av legen. I 60 av disse tilfellene var det tatt røntgenbilder. Kun 30 skafoidfrakturer ble gipsimmobilisert og fikk gjennomført behandlingen etter planen, men sju av disse frakturene var dislokerte og skulle vært operert primært (3). 47 av de 270 pasientene fikk unødvendig gipsbehandling i 2 – 4 måneder etter at de ble diagnostisert med manifest pseudartrose.

    Pseudartrose med inkongruens og feilstilling gir artroseutvikling, som starter radialt og brer seg ulnart og midtkarpalt. Artrose ses hos de fleste pasientene i løpet av 5 – 10 år (30) – (32). Ved avansert artrose med betydelige smerter og bevegelsesinnskrenkning har det ingen hensikt å operere pseudartrosen. Avhengig av smerter, artroseutbredelse og funksjonsbehov bør disse pasientene tilbys håndleddsprotese, alternativt delvis/total avstivning av håndleddet (33) – (35).

    Det er konsensus om at skafoidpseudartroser i midtre og distale del uten artroseforandringer bør opereres med avaskulær beintransplantasjon fra crista iliaca eller distale radius, intern fiksasjon med metallpinner eller skruer (fig 5). Det sikreste er å ha gips i 12 uker postoperativt. 85 – 95 % tilheler, pasientene angir lite smerter og oppnår utmerket håndleddsfunksjon, men ledsagende artrose gir reduksjon i funksjon (36) – (38). Lavere tilhelingsfrekvens er beskrevet ved foreldede metoder, der det kun transplanteres bein uten samtidig intern fiksasjon (39). Det er gjennomført to prospektive randomiserte studier av skafoidpseudartroser der stilket vaskularisert radiusbeintransplantat ble sammenliknet med avaskulært cristatransplantat og avaskulært radiustransplantat. Pasientene i den første studien ble gipset i fire uker, og tilhelingsfrekvensen for avaskulært beintransplantat (73 %) var lavere enn for vaskulært beintransplantat (89 %), men også lavere enn i de fleste retrospektive studiene der pasientene gipses i 8 – 12 uker. Studien har ikke ført til endring i valg av beintransplantat ved pseudartrosebehandling (40). I den andre studien var tilhelingsfrekvensen lik, og gevinsten av vaskulært beintransplantat var for liten og kunne ikke legitimere den mer omfattende og teknisk krevende prosedyren (41).

    Det er uenighet om behandlingen av de mest proksimale skafoidpseudartrosene. Redusert blodsirkulasjon, liten kontaktflate mellom fragmentene, små fragmenter som gir lite tak for fiksasjon, og store krefter som virker over pseudartrosespalten, kan redusere tilhelingen. Standard pseudartroseoperasjon som beskrevet ovenfor benyttes av mange, mens noen foretrekker teknisk krevende vaskulære beintransplantat fra distale radius. Resultatene er varierende, og det er ikke holdepunkter for at en metode er bedre enn andre. Uenighet om definisjonen av avaskularitet i skafoid (sklerotisk proksimalt fragment på røntgen, avaskulært fragment sett på MR med kontrast, kirurgens intraoperative vurdering av vaskularitet i fragmentet) gjør det vanskelig å sammenlikne pasientseriene og resultatene (37, 42) – (44). De mest proksimale skafoidpseudartrosene omfatter en svært liten del av pasientene. Det er vår mening at disse bør henvises til håndkirurgiske spesialavdelinger.

    Diskusjon

    Diskusjon

    Utredning og behandling av skafoidfraktur i Norge slik det ble rapportert i 2006 (7) er i tråd med internasjonalt dokumentert god behandling. Raskere rehabilitering og mulighet for tidligere håndleddsaktivitet er gevinsten ved skafoidkirurgi utført i akuttfasen. Dette må veies mot komplikasjonsrisiko. Pasientene i de publiserte studiene er operert av dedikerte håndkirurger med lang erfaring, slik at resultater og komplikasjonsfrekvens må antas å representere det aller beste som kan oppnås.

    Den norske tilnærmingen med gipsimmobilisering fra underarm til tommelens interfalangealledd som første valg og tilbud om kirurgi til pasienter som har behov for tidlig mobilisering og som aksepterer den operative komplikasjonsrisikoen, er fornuftig i påvente av at større og bedre studier kan differensiere behandlingen. Ved kirurgi skal frakturen fikseres med skrue (stabil fiksasjon) for å slippe gipsimmobilisering. Skruer kan være vanskelige å plassere korrekt, noe som er kritisk i et område med bruskflater på alle sider. Pasientene bør opereres av kirurger med erfaring i kirurgi på skafoid/håndrotsknokler. Ellers bør gipsimmobilisering alene være standardbehandling for udislokerte ferske skafoidbrudd uansett hvor de måtte være lokalisert.

    Skafoidpseudartroser skilles fra akutte frakturer ved anamnese (tid fra skade) og radiologiske funn (resorpsjon i frakturspalte, sklerotiske frakturender, cyster og økende feilstilling). Disse tilheler ikke med gipsimmobilisering. Det er verdt å granske røntgenbilder og sykehistorie for å skille ut eldre skader. Langtidsresultatene etter vellykket pseudartrosekirurgi er gode ved tidlig diagnostikk og normale leddflater. Det kliniske resultatet forverres ved reoperasjoner og sekundære artroseforandringer (38, 42). Om den sekundære artrosen er tilstrekkelig smertefull og omfatter radioskafoidleddfasetten eller større deler av leddet, kan pasienten tilbys delvis avstiving av håndleddet (firebeinsartrodese), håndleddsprotese eller total avstivning.

    Kommentarer  ( 0 )
    PDF
    Skriv ut

    Anbefalte artikler