Woman with high central venous oxygen saturation

    ()

    sporsmal_grey_rgb
    Artikkel

    In the critically ill, central venous oxygen saturation is often used as an indicator of whether oxygen delivery is sufficient for the patient’s needs. Low central venous saturation is common upon circulatory failure, but what might cause a very high saturation?

    A woman in her late 40s in very poor general condition was admitted to the surgical department of a university hospital after a week of abdominal pain, nausea and vomiting. She had a history of anorexia nervosa in childhood, low-grade asthma/chronic obstructive pulmonary disease (COPD) and previous opioid abuse. She had been admitted on several occasions in the last six years due to functional decline, poor nutritional status and seizures of unknown aetiology. She had not been outdoors for at least 6 months when she was admitted.

    Upon admission, she was in poor general condition, febrile with a temperature of 38.1 °C and tachycardic with a pulse of 120/minute. Auscultation revealed normal heart sounds and basal crackles. There was diffuse tenderness of the abdomen upon palpation. CRP was 205.3 mg/l (0.0 – 4.0 mg/l), Hb was 10.6 g/100 ml (11.7 – 15.3 g/100 ml), Na+ 132 mmol/l (137 – 145 mmol/l), K+ 2.5 mmol/l (3.6 – 4.6 mmol/l) and albumin 23 g/l (36 – 45 g/l). Other blood tests were mostly normal.

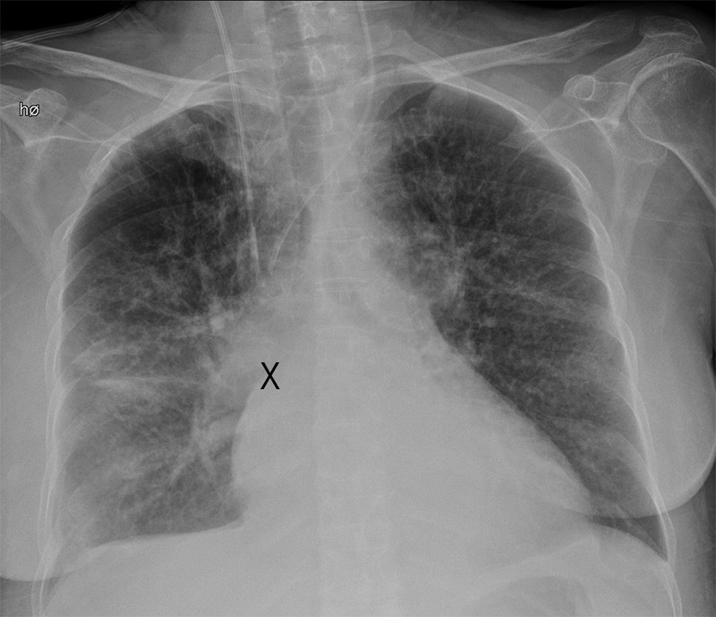
    Ileus was initially suspected. Abdominal CT showed no free air or potential blockages, but raised suspicion of colitis in the right colic flexure. Areas of low attenuation in the lower pole of the spleen raised suspicion of splenic infarcts. Cefuroxime and metronidazole were administered on the basis of the unresolved abdominal condition and elevated infection parameters. Because of difficult peripheral intravenous access, a central venous catheter (CVC) was inserted via the right subclavian vein. Chest X-ray after admission showed that the catheter was correctly positioned with the tip deep in the superior vena cava. The patient deteriorated further, colonoscopy showed possible ischaemic colitis, and she was transferred six days later to the department of internal medicine. Since she was in a very poor state and clinically dehydrated with persistent electrolyte imbalance, she was placed in intensive care.

    The consultants there suspected endocarditis on the basis of signs of infection and possible septic emboli in the spleen and intestines.

    Upon arrival in the intensive care unit, she was tachycardic with a pulse of 120/min and laboured breathing with peripheral capillary O₂ saturation (SpO₂) of around 90 % (normal range 94 – 99 %) with 10 l/min O₂ via a mask. To gain a better overview of circulatory status, a blood gas sample was taken from the central venous catheter. The results showed, somewhat surprisingly, a central venous oxygen saturation in blood from the superior vena cava (ScvO₂) that was nearly identical to the oxygen saturation in a simultaneously taken sample from the radial artery. ScvO₂ was 92.5 % (normal range 72 – 78 %) and arterial oxygen saturation 93.3 % (normal range 92 – 99 %). Control blood gas samples from the central venous catheter analysed on a different machine gave equivalent results.

    Nearly all oxygen in the blood (normally about 98.5 %) is bound to haemoglobin. The haemoglobin concentration and oxygen saturation therefore typically reflect the oxygen content of the blood. An increase in central venous saturation is seen when oxygen delivery increases more than consumption and/or when oxygen consumption is reduced without an equivalent reduction in delivery. During normal aerobic metabolism at rest, about 25 % of total oxygen, or 200 – 250 ml/min, is extracted from the blood. The average saturation of blood from all organs (mixed venous blood (SvO₂)) is therefore normally around 75 % (1, 2). SvO₂ is measured in samples taken from the distal port of a catheter in the pulmonary artery, but the use of these is generally in decline (3). However, many patients have a central venous catheter, which can be used to measure central venous saturation in the superior vena cava. Samples from these catheters reflect the oxygen balance in the upper body only, and whether such measurements can be used as surrogates for measures of mixed venous blood, SvO₂, is therefore controversial (1, 3, 4).

    Doubling oxygen delivery by doubling cardiac output will increase SvO₂ to approximately 85 %. Such values can be seen in patients in vasodilatory (often septic) shock. In some rare conditions, including certain genetic disorders and poisonings (for example, cyanide), O₂-consumption can be greatly reduced due to mitochondrial dysfunction. In such cases, SvO₂ can be much higher than the clinical condition would suggest. However, increased lactic acid production will be seen with increasing blood lactate, as a sign of anaerobic metabolism.

    Upon transfer the patient was afebrile, with haemoglobin of 9.2 g/dl and normal lactate levels of 0.9 mmol/l (normal range 0.4 – 2.2 mmol/l).

    Since the patient was afebrile with normal lactate, septic shock and mitochondrial dysfunction were unlikely. Other causes of very high SvO₂ include incorrect catheter position (either inside an artery or with the catheter tip perforating an artery/pulmonary vein/the left heart) and patient anatomy giving rise to a left-to-right shunt, where the catheter opening lies in a left-right jetstream (patent foramen ovale, central arteriovenous shunts).

    The possibility that the tip of the central venous catheter was inside an artery was ruled out by re-examination of the chest X-ray, and by the fact that electronic pressure measurements for the catheter lumen showed venous pressure levels.

    Transoesophageal echocardiography was performed due to the continued suspicion of endocarditis. Since the patient's respiration was borderline, she was intubated prior to the examination, which revealed moderate to severe aortic insufficiency. Aortic valve endocarditis with previous vegetations could not be ruled out. There was no evidence for atrial septal defect (ASD), ventricular septal defect (VSD) or patent foramen ovale.

    Despite reasonable confidence that the central venous catheter was positioned correctly, it was decided the day after the transfer to the intensive care unit to insert another, this time via the right internal jugular vein. X-ray confirmed that this catheter was also correctly positioned. However, samples of blood gases from the distal port showed almost equivalent values to those of the day before (ScvO2 91 % and 87 %, and SaO₂ 93.8 % and 90.3 %). Parallel samples from the distal and proximal ports (separation 6 cm) a few days later gave values of 85.8 % and 78 % respectively, i.e., a difference of almost 8 %.

    Varying values may indicate that the blood in the superior vena cava is not fully mixed, such that the location of sampling can greatly affect the results.

    The patient was placed on a respirator for a total of eight days due to respiratory failure. She remained in the intensive care unit for a further six days due to very poor general condition and the development of heart failure with dyspnoea, pleural effusion and declive oedema. Upon transfer to the wards she was still weak and in need of parenteral nutrition. Several surgical investigations and imaging tests resulted in a diagnosis of paralytic ileus. On the ward, a new central venous catheter was inserted due to redness around the original insertion site. The first attempt at insertion, now via the left internal jugular vein, was aborted because the anaesthetist saw bright red blood upon aspiration and assumed that he had entered an artery. A new insertion was performed under ultrasound guidance, which revealed no traces of bleeding due to perforation of an artery. In retrospect, it is reasonable to assume that the first attempt was also successful, but that the unexpected aspiration of arterial-coloured blood was misinterpreted by a doctor unaware of the patient's history. Blood samples from this third catheter, the tip of which was judged by X-ray to be in the same position as catheter 2 (Figure 1), persistently showed venous values virtually identical to those of arterial samples, at around 95 %. The patient was therefore referred for CT angiography on suspicion of a central arteriovenous malformation. Examination revealed a rare anatomical anomaly in which one branch of the left pulmonary vein drained directly into the left brachiocephalic vein (Figure 2, Figure 3). Several chest X-rays had been taken during the patient’s hospitalisation, but none had suggested such a condition.

    The anatomical anomaly possessed by the patient causes highly oxygenated blood from the lung to drain into the venous system. Functionally, this is equivalent oxygenation-wise to a large left-to-right shunt, which explains the almost identical SO₂ values in arterial and venous blood gases.

    Upon reassessment of earlier echocardiographic images (both transoesophageal and transthoracic), calculations revealed right ventricular cardiac output to be approximately 34 % greater than left ventricular output. In addition, septal flattening during diastole suggested elevated pressure in the right ventricle. CT images also showed a dilated left brachiocephalic vein with diameter 18 mm, which is about 50 % larger than normal. This is consistent with the substantially increased flow through the vessel.

    Partial anomalous pulmonary venous connection (PAPVC) is a rare congenital anomaly, with an incidence of 0.4 to 0.7 % (5, 6). In PAPVC, one or more pulmonary veins are typically connected to the right atrium or vena cava instead of to the left atrium, allowing oxygenated blood to flow back to the right heart; the anomaly is thus analogous to a left-to-right shunt. Isolated PAPVC (with no atrial septal defect) is rare, and most often involves the upper right pulmonary vein draining into the superior vena cava. The anomaly in our patient, with involvement of the left pulmonary vein and drainage to the left brachiocephalic vein, is seen in approximately 3 % of those with PAPVC (5), and is thus very rare. Symptoms are dependent on how many pulmonary veins drain into the right side of the heart. A single anomalous vein is rarely haemodynamically significant and therefore often gives no symptoms (5), but nevertheless represents an increased strain on the right ventricle.

    When the central venous catheter was to be removed, duplicate central venous blood gases were taken after every other centimetre of catheter withdrawal. This was to see how the central venous saturation changed depending on the catheter position relative to the entry point of the anomalous vein. Seven samples were taken in total (Table 1). SpO₂ was 92 – 94 % with 3 l/min O₂ via nasal cannula.

    On the basis of major aortic insufficiency and damage to one of the aortic valve cusps, the patient was treated for presumed staphylococcal endocarditis with empirical antibiotics. However, repeat blood cultures were negative, and no vegetations or pendulum-like movements were observed with repeated echocardiography. The PAPVC had no obvious clinical haemodynamic consequences, but the aortic insufficiency itself was severe enough to potentially warrant surgery. However, after an interdisciplinary assessment, surgery was ruled out due to significant comorbidity, nutritional problems, ongoing fever and uncertain recovery capacity. Upon discharge, the patient was still in need of care and was transferred to a nursing home after roughly two months in hospital.

    Table 1

    Blood gases sampled via the third central venous catheter upon catheter withdrawal, from the most distal position (deep in the superior vena cava) (ScvO₂) to the insertion site (left internal jugular vein), with duplicates in parentheses. On the basis of estimated catheter position during withdrawal, the sample taken 8 cm from the starting position corresponds to the catheter tip being positioned at the entry point of the pulmonary vein into the left brachiocephalic vein (see Figure 2)

    Location of catheter tip

    ScvO2 (duplicate) (%)

    Starting position in superior vena cava

    80.8 (80.9)

    – 2 cm

    77.6 (78.2)

    – 4 cm

    80.4 (80.6)

    – 6 cm

    56.5 (57.6)

    – 8 cm

    91.7 (89.3)

    – 10 cm

    66.8 (67.1)

    – 12 cm

    51.4 (52.5)

    Discussion

    Discussion

    Oxygen saturation in mixed venous blood, SvO₂, provides information on the relationship between oxygen delivery and oxygen consumption. Oxygen delivery is dependent on cardiac output, arterial oxygen saturation and haemoglobin level, while oxygen consumption is related to factors including body temperature, muscle activity and hormonal factors. Increased oxygen consumption will normally be fully or partly compensated for by an increase in cardiac output. Falling SvO₂ can be a sign of increased oxygen consumption without adequate circulatory compensation, or of a compromised O₂ supply (for example, due to heart failure). Persistently low values are associated with tissue hypoxia and lactate acidosis. SvO2 values lower than 55 % in patients undergoing cardiac surgery are associated with higher mortality and prolonged stays in intensive care (7). However, normal or supranormal values do not guarantee adequate tissue oxygenation, as high SvO₂ values may be seen with arteriovenous shunting or when the tissue is unable to extract oxygen due to mitochondrial dysfunction (poisoning, disease) or cell death.

    The first catheter was positioned distally in the superior vena cava, such that powerful reflux from an atrial septal defect could conceivably produce a high ScvO2 value. However, the next two catheters were positioned more proximally in the superior vena cava, and it is difficult to explain high central venous saturation here in the same way (Figure 1).

    The patient had a rare congenital vascular anomaly, PAPVC, which seldom produces symptoms before adulthood. Increased flow to the right heart can cause pulmonary hypertension, right ventricular dysfunction, arrhythmias and tricuspid valve insufficiency (5). Increased strain on the right heart was observed in our patient. Dysfunction of the right heart can lead to symptoms such as exhaustion/fatigue, dyspnoea and impaired physical performance, and this may have contributed to the patient’s poor general condition. She also had significant comorbidity (anorexia nervosa and former opioid abuse), which could equally well explain her reduced physical functioning.

    There are few data on mortality and morbidity in PAPVC (5), as most cases are incidental findings. The definitive treatment is surgical repair, but there is disagreement as to when surgery is indicated. Some believe that surgery should be performed in childhood to prevent any potential complications from developing, given the low morbidity and mortality associated with surgery. Others believe that surgery is not indicated until there is a symptomatic shunt (5).

    In our patient, analysis of blood gas from a central vein gave an unexpected and surprising result. Our first thought was that the result must be incorrect, and a new blood test was thus carried out. The result of this analysis, performed with a different machine, was identical to the first. Another plausible explanation was that the cannula was positioned in an artery, which could have serious consequences for the patient. However, this too was ruled out. In this particular case, it then took several weeks for further investigations into the cause of the persistently high SCVO₂. This may be because the patient was moved between several different departments and because there were inadequate follow-up routines in place.

    Diagnostic imaging thus revealed the cause of an unexpectedly high central venous saturation. This case illustrates the importance of providing radiologists with precise information about symptoms and clinical data to ensure that they have an optimal basis on which to make a diagnosis. The condition diagnosed was so rare that it could easily be overlooked in hectic day-to-day practice in which the most common diagnoses are, after all, most common. The definitive diagnosis had no practical consequences for the patient, but could have been highly relevant had surgery been performed on the basis of the aortic insufficiency.

    The patient has consented to the publication of this article.

    Kommentarer  ( 0 )
    PDF
    Skriv ut

    Anbefalte artikler