Spesialpoliklinikk for skjelettdysplasier

    ()

    sporsmal_grey_rgb
    Artikkel

    Diagnostikk av skjelettdysplasier hos barn kan være vanskelig. For å bedre det diagnostiske tilbudet etablerte vi våren 2011 en spesialpoliklinikk ved Barneklinikken i Bergen. Her presenterer og drøfter vi våre erfaringer etter tre års virksomhet.

    Skjelettdysplasier omfatter forskjellige tilstander som kjennetegnes av medfødte, generaliserte og hovedsakelig genetisk betingede endringer i skjelettet. Forekomsten er 6 – 9 per 10 000 fødte. Det er hittil beskrevet 456 ulike typer, som er delt inn i 40 grupper på grunnlag av molekylære, biokjemiske og/eller radiografiske funn (1). Innen hver av de 40 gruppene finnes beslektede typer av svært ulik alvorlighetsgrad. Om lag en tredel av skjelettdysplasiene er letale (2, s.1).

    Diagnostikk

    Diagnostikk

    Diagnostikk av barn med mistenkt skjelettdysplasi er viktig, først og fremst for å kunne gi adekvat oppfølging og behandling, men også for å bestemme gjentakelsesrisikoen når det gjelder eventuelle fremtidige søsken – 25 % ved autosomalt recessiv arvegang, 50 % ved autosomalt dominant arvegang og 0 – 4 % ved nyoppståtte mutasjoner. Tilstanden kan oppdages i alle aldre – prenatalt, ved nyfødtundersøkelsen eller som videre utredning av symptomer og funn som oppstår eller oppdages senere i barneårene.

    Rutinemessig ultralydscreening i svangerskapsuke 18 – 20, med utvidet undersøkelse av fostre med avvikende funn, som korte rørknokler, liten brystkasse eller forsinket forbeining, avdekker opptil 80 – 90 % av de alvorligste skjelettdysplasiene (3, s. 310, 4). Spesifisiteten er imidlertid noe lavere, om lag 50 – 60 % (3, s. 329).

    Utredningen i nyfødtperioden og senere barnealder inkluderer klinisk undersøkelse, antropometriske målinger, røntgen totalskjelett og i noen tilfeller laboratorieundersøkelser/genetiske tester. Ved den kliniske undersøkelsen vurderer vi ansiktstrekk, hud og hårkvalitet, tann- og øyestatus.

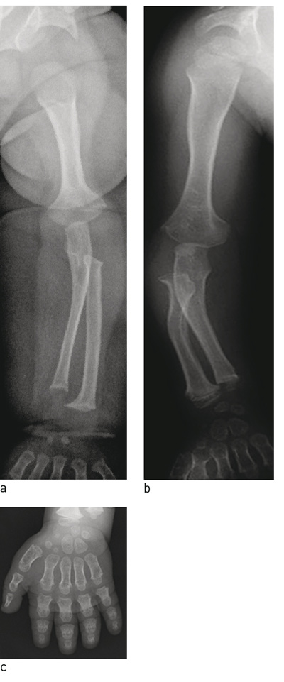
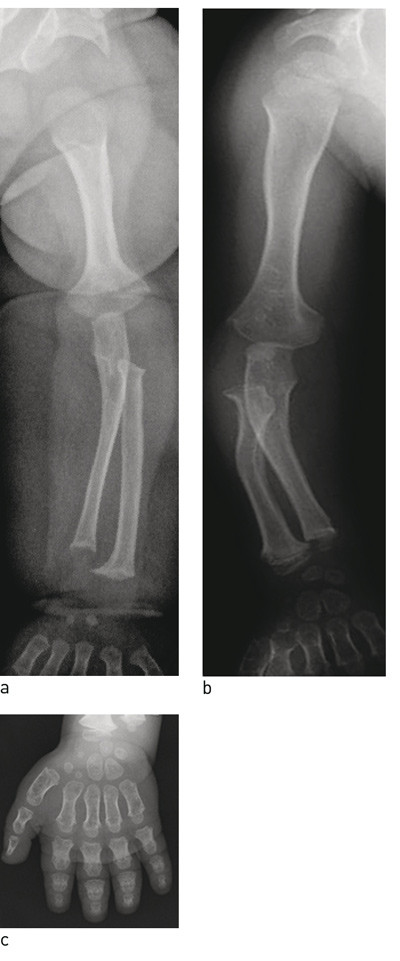
    Antropometriske målinger er spesielt viktig ved tilstander som debuterer etter nyfødtalder. De omfatter lengde/høyde, vekt, hodeomkrets, sittehøyde og armspenn, men kan også omfatte andre kroppsmål som underarmslengde, håndstørrelse, legglengde og fotstørrelse. Slike målinger kan identifisere rhizomeliske former (korte overarmer/lår), mesomeliske former (korte underarmer/legger) og akromeliske former (korte hender/føtter) (fig 1).

    Dersom det ved klinisk undersøkelse, inkludert målinger og røntgenundersøkelse, ikke kan stilles sikker diagnose, kan supplerende gentester samt ny røntgen totalskjelett ved ett års alder være nyttig.

    Spesialpoliklinikk

    Spesialpoliklinikk

    Vi etablerte våren 2011 en poliklinikk for utredning av mistenkt skjelettdysplasi ved Barneklinikken i Bergen. En dag i måneden ble avsatt til undersøkelse av 3 – 4 barn, henvist fra hele landet. Alle barna blir undersøkt av barnelege (PBJ), med målinger (5) og fotografering, før det eventuelt blir utført supplerende røntgenundersøkelser og/eller laboratorieprøver.

    Funnene blir diskutert i et tverrfaglig møte senere samme dag, med barnelege, genetikere, barneradiolog og barneortoped til stede, etter mønster fra sentre i utlandet. Sykehistorien blir presentert, lysbilder av barnet og vekstkurver samt røntgenbilder blir vist og diskutert. Enkelte barn blir kontrollert etter 6 – 12 måneder dersom det er tvil om diagnosen. I tillegg vurderer vi pasienter på grunnlag av tilsendte kliniske opplysninger og røntgenbilder.

    I perioden 20.5. 2011–24.4. 2014 vurderte vi 121 barn, hvorav 58 møtte til undersøkelse. Gjennomsnittsalderen hos dem som møtte var 5 år og 10 måneder (variasjonsbredde 4 md.–17,5 år). 34 var hjemmehørende i Helse Vest. Bakgrunnen for henvisning var kortvoksthet og/eller andre funn som ga mistanke om skjelettdysplasi.

    48 av de 58 barna fikk påvist en diagnose: 39 skjelettdysplasi og ni skjelettanomalier, enten isolerte eller som ledd i en syndromtilstand. Av de 39 barna som fikk påvist en skjelettdysplasi, kunne denne typebestemmes hos 29, enten basert på kliniske og radiologiske funn alene (n = 16) eller på grunnlag av en kombinasjon av kliniske og radiologiske funn og gentester (n = 13). De resterende seks har foreløpig fått en deskriptiv diagnose i henhold til affiserte skjelettavsnitt (spondylo-epi-meta-diafysær dysplasi).

    Av 63 pasienter som ble vurdert på bakgrunn av tilsendte røntgenbilder og kliniske opplysninger, fikk 36 påvist en skjelettdysplasi.

    Gode erfaringer

    Gode erfaringer

    Erfaringene etter tre års drift av en spesialpoliklinikk for barn med mistenkt skjelettdysplasi er gode. Oppklaringsprosenten ligger mellom 65 og 75, noe som samsvarer godt med resultatene fra andre grupper (prof.em. C. Hall, Great Ormond Street Hospital for Children, London, personlig meddelelse) og reflekterer kompleksiteten ved denne type problemstillinger. Vi synes den tverrfaglige tilnærmingen har vært nyttig, spesielt hos pasienter med atypiske funn. Kliniske og radiologiske funn hos barn med akondroplasi, multippel epifyseal dysplasi, spondyloepifyseal dysplasi av kongenital type og dyskondrosteose kan være diagnostiske, men den store variasjonen i fenotype nødvendiggjør supplerende gentester hos enkelte der funnene er overlappende.

    Av barn med skjelettdysplasi har vi foreløpig kun typebestemt om lag tre firedeler, til tross for bruk av databaser og internasjonale eksperter samt i noen tilfeller også oppfølging over tid og/eller bruk av ny sekvenseringsteknologi. Et problem ved sistnevnte er at man ved molekylærgenetisk utredning ikke helt sjelden oppdager sjeldne sekvensvarianter som kan være vanskelig å tolke og som i verste fall fører til feildiagnostikk fordi det egentlig dreier seg om en sjelden normalvariant. Man må derfor spørre seg om nytteverdien av en molekylærgenetisk bekreftet diagnose i hvert enkelt tilfelle. Vi anbefaler derfor at molekylærgenetisk utredning drøftes med genetiker i forkant.

    Den resterende firedel av barna som fikk påvist en skjelettdysplasi, har så langt kun fått en uspesifikk dysplasidiagnose. Dette er etter vår mening bedre enn å falle for fristelsen til å gi en usikker typebestemmelse, som erfaringsmessig kan hefte ved pasienten i lang tid og etter hvert bli oppfattet som sikker.

    Tidlige røntgenbilder er viktig!

    Tidlige røntgenbilder er viktig!

    Pasientens alder ved utredningstidspunktet er viktig, idet tidlige og spesifikke radiologiske funn ofte forsvinner med skjelettmodningen. Etter hvert vil de radiologiske funnene bli mer og mer like, og når det kommer sekundære degenerative forandringer, ofte i ung voksen alder, er det vanskelig å typebestemme en dysplasi radiologisk. Siden dagens lovgivning kun pålegger oppbevaring i ti år, er det slett ikke sikkert det er mulig å få tak i røntgenbilder fra tidlig barnealder ved evaluering av voksne.

    Hos nyfødte kan oppfølging over tid, med nye røntgenbilder etter om lag ett år, være nyttig ved flere tilstander der de initiale radiologiske funnene er sparsomme, som for eksempel ved metafysær dysplasi eller dyskondrosteose. En annen tilstand med sparsomme radiologiske forandringer er hypokondroplasi, der interpedunkulæravstanden i lumbosakralcolumna avtar i distal retning, istedenfor å øke, og der ekstremitetene er litt korte med korte lårhalser. Tilstanden viser seg ofte når barnet begynner på skolen, eventuelt like før.

    Behov for tverrfaglig tilnærming

    Behov for tverrfaglig tilnærming

    Poliklinikkmodellen, med undersøkelse av pasienten, etterfulgt av en tverrfaglig diskusjon, fungerte etter vår mening bedre enn varianten med tilsendte kliniske opplysninger og røntgenbilder. Den hadde dessuten en noe høyere oppklaringsprosent, 75 versus 65. I løpet av perioden valgte vi derfor stadig oftere å anbefale at barnet ble henvist til vurdering ved spesialpoliklinikken.

    Vi har hittil lagt vekt på utredning og diagnostikk og kun i mindre grad tilbudt oppfølging eller behandling til pasienter bosatt utenfor vår helseregion. Brukertilfredsheten er foreløpig ikke undersøkt på en systematisk måte. Dette bør gjøres, spesielt fordi litt eldre barn med udiagnostiserte skjelettdysplasier ofte har vært undersøkt en rekke ganger tidligere uten resultat. Dette kan være en belastning for barnet, som kan få følelsen av å være et interessant tilfelle på en negativ måte.

    Diagnostikk og klassifisering av skjelettdysplasier er en viktig oppgave. Vi mener at vår nyetablerte tverrfaglige spesialpoliklinikk ivaretar kompleksiteten ved disse tilstandene og er åpne for henvisninger fra hele landet.

    Publisert først på nett.

    Kommentarer  ( 1 )
    PDF
    Skriv ut

    Anbefalte artikler