Kardial resynkroniseringsterapi ved hjertesvikt – norske retningslinjer

    ()

    sporsmal_grey_rgb
    Abstract
    BAKGRUNN

    BAKGRUNN

    Norsk Cardiologisk Selskap (NCS) har gjennom arbeidsgruppene for hjertesvikt og hjerterytmer og i samarbeid med alle sentere som tilbyr kardial resynkroniseringsbehandling (CRT), opprettet et utvalg med oppgave å utarbeide retningslinjer som bør gjelde for denne behandlingen i Norge.

    KUNNSKAPSGRUNNLAG

    KUNNSKAPSGRUNNLAG

    Grunnlaget for retningslinjene er en gjennomgang av relevant litteratur, inkludert de siste europeiske og amerikanske retningslinjene, med et skjønnsmessig utvalg av artikler basert på utvalgsmedlemmenes kliniske erfaring innen feltet. Konsensus ble oppnådd etter tre arbeidsmøter.

    RESULTATER

    RESULTATER

    Utvalget anbefaler at pasienter med hjertesvikt i funksjonsklasse III-IV, med verifisert redusert ejeksjonsfraksjon ≤ 35 % og venstre grenblokk i EKG med QRS-bredde ≥ 120 ms eller intraventrikulær ledningsforstyrrelse med QRS-bredde ≥ 150 ms bør tilbys kardial resynkroniseringsbehandling for reduksjon av både mortalitet og morbiditet. Pasienter i funksjonsklasse II med sinusrytme bør også tilbys denne behandlingen for reduksjon av både mortalitet og morbiditet hvis de i tillegg til ejeksjonsfraksjon ≤ 35 % har venstre grenblokk i EKG med QRS-bredde ≥ 130 ms eller intraventrikulær ledningsforstyrrelse med QRS-bredde ≥ 150 ms. Behandlingsmåten bør vurderes for pasienter med hjertesvikt og behov for pacemaker hvis man forventer høy grad av ventrikkelpacing, og for pasienter med hjertesvikt og generelt breddeforøket QRS for reduksjon av morbiditet. Pasientene som får kardial resynkroniseringsbehandling bør følges ved senter med kompetanse innen denne behandlingen og ha hjemmemonitorering.

    FORTOLKNING

    FORTOLKNING

    Utvalget mener at disse nye norske retningslinjene bør implementeres ved alle sentre som behandler pasienter med hjertesvikt i Norge, og pasientene som oppfyller kriteriene for denne behandlingen bør henvises til et spesialisert senter.

    Artikkel

    Kronisk hjertesvikt er en alvorlig tilstand med høy dødelighet og med en forekomst på 1 – 3 % av befolkningen i den vestlige verden (1). Årlig vil ca. 2,5 % av befolkningen i 60-årsalderen rammes, og prevalensen stiger med økende alder. Sykelighet og dødelighet er høy tross moderne farmakologisk behandling med angiotensinkonvertasehemmere (ACE-hemmere)/angiotensinreseptorblokkere, betablokkere og aldosteronantagonister (1, 2). Hjertesvikt representerer også et stort økonomisk problem der den største kostnaden knyttet til behandlingen (ca. 50 – 55 %) er liggedøgn i sykehus (2, 3). Et delmål for ny behandling av denne voksende gruppen av pasienter vil derfor være å redusere antall innleggelser i sykehus.

    Ca. 25 % av pasienter med moderat eller alvorlig hjertesvikt har venstre grenblokk med QRS-bredde > 120 ms (4). Ved alvorlig hjertesvikt vil grenblokk medføre at man får en asynkron bevegelse av ventrikkelkontraksjonen med ytterligere endret form og struktur av hjertet (remodulering) og betydelig forverret prognose (4). Flere multisenterstudier har vist at kardial resynkroniseringsbehandling (cardiac resynchronization therapi, CRT) bedrer venstre ventrikkel-funksjon, ejeksjonsfraksjon (LVEF), pasientens fysiske funksjonskapasitet, livskvalitet og reduserer dødelighet (5) – (10) (ramme 1).

    RAMME 1

    De viktigste kliniske og hemodynamiske effektene av kardial resynkroniseringsbehandling

    Symptomer bedres

    NYHA-funksjonsklasse bedres (0,5 – 0,8 poeng)

    Arbeidstoleranse (6 MGT/maks VO₂) bedres 10 – 20 %

    Livskvalitet bedres

    Volum i venstre ventrikkel reduseres

    Venstre ventrikkel-ejeksjonsfraksjon bedres

    Sykehusinnleggelser reduseres

    Dødeligheten reduseres

    Behandlingen er i tillegg kostnadseffektiv og reduserer antall liggedøgn i sykehus for pasienter med kronisk hjertesvikt og venstre grenblokk (3). Behandlingsformen fikk derfor ifølge retningslinjer fra både European Society of Cardiology (ESC) og de to amerikanske kardiologiske foreningene American Heart Association (AHA) og American College of Cardiology (ACC) allerede i 2005 klasse 1-indikasjon. Retningslinjene er fortløpende revidert, og i 2010 ga European Society of Cardiology denne behandlingen klasse 1-indikasjon også hos pasienter med mildere symptomer (NYHA-klasse II) (11). I Norge har implantasjonsraten vært lav. I 2012 var det 88 implantasjoner kardial resynkroniseringsbehandlings-implantasjoner/million innbyggere, mens det f.eks. i Danmark var 177 implantasjoner/million innbyggere (12). Vi mener det derfor er behov for norske retningslinjer og at dette kan bidra til at flere pasienter med hjertesvikt tilbys denne behandlingen.

    Kardial resynkroniseringsbehandling

    Kardial resynkroniseringsbehandling

    Resynkroniserende biventrikulær pacing ble introdusert i 1990-årene som behandling til pasienter med alvorlig hjertesvikt og venstre grenblokkmønster (13, 14). Et biventrikulært pacemakersystem resynkroniserer en asynkron venstre ventrikkel-kontraksjon grunnet intra- eller interventrikulær ledningsforstyrrelse og kalles kardial resynkroniseringsbehandling (CRT). Denne behandlingen reverserer eller motvirker remoduleringsprosessen, øker fylningstiden av venstre ventrikkel, reduserer både mitralinsuffisiens, endediastolisk og endesystolisk volum samt bedrer ejeksjonsfraksjonen (15) – (19) (ramme 1). Mulig korreksjon av årsak til hjertesvikt og medikamentell optimalisering skal gjøres før implantasjon (ramme 2).

    RAMME 2

    Tiltak før eventuell implantasjon av kardial resynkroniseringsbehandling

    Korriger underliggende årsak til hjertesvikt (myokardiskemi (PCI/ACB), klaffesykdom, rytmeforstyrrelser)

    Korriger ikke-kardiale faktorer (anemi, hypo-/hypertyreose, glukosestoffskifte, nyresvikt)

    Optimal medikamentell behandling (ACE-hemmer/angiotensinreseptorblokker, betablokker og aldosteronantagonist)

    Fjern ev. uheldige medikamenter (mange antiarytmika, ikke-steroide antinflammatoriske midler)

    Er diett, saltinntak, røyk, og alkoholkonsum vurdert?

    Vil pasienten ha nytte av fysisk trening, vektreduksjon og behandling for søvnapné?

    Hvordan er pasientens etterlevelse med medikamentell og ikke-medikamentell behandling?

    Er det gått lang nok tid for å vurdere medikamentell og ikke-medikamentell behandling?

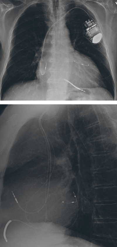
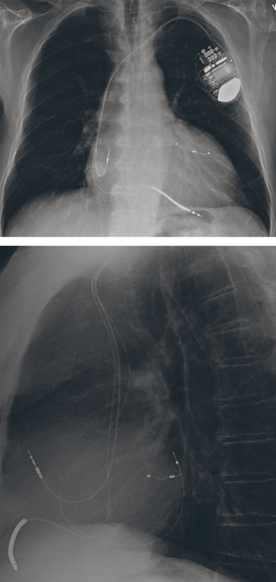
    Et system med kardial resynkroniseringsbehandling implanteres ved at en pacemakerledning plasseres via sinus coronarius i en koronarvene over laterale del av venstre ventrikkel og en ledning endokardialt apikalt eller i interventrikulærseptum i høyre ventrikkel (15, 16). Ved simultan stimulering fra høyre og venstre elektrode oppnår man mekanisk resynkronisering av venstre ventrikkel. Hos pasienter med sinusrytme implanteres en ledning til høyre atrium for sensing av egenrytme og for å synkronisere AV-overledningen med biventrikulær pacing for ytterligere å øke den hemodynamiske effekten. Ventriklene må stimuleres kontinuerlig av pacemakeren simultant for å resynkronisere kontraksjonen og øke venstre ventrikkels ejeksjonsfraksjon. Ved alvorlige ventrikulære takyarytmier eller ved høy risiko for hjertestans kombineres pacemakersystem med innebygd kardioverter-defibrillator-funksjon (implantable cardioverter defibrillator, ICD ), da kalt CRT-D (fig 1). Et biventrikulært pacemakersystem uten innebygd kardioverter-defibrillator-funksjon kalles CRT-P.

    Implantasjonen foregår med pasienten i våken tilstand uten behov for generell anestesi og krever som regel kun ett liggedøgn i sykehus. Implantasjonen kan imidlertid være teknisk krevende, der den største utfordringen ligger i plasseringen av ledningen i en koronarvene. For optimal plassering kreves erfaring fra både operatør og senteret for kardial resynkroniseringsbehandling. Komplikasjonsraten ved kardial resynkroniseringsbehandlings-implantasjon er vesentlig høyere enn ved konvensjonelle pacemakere eller kardioverter-defibrillator-implantasjon med kun én ventrikkelelektrode og eventuelt en atrieelektrode, men er som ved mange andre prosedyrer også betinget i operatørens kompetanse, erfaring og operasjonsvolum. De viktigste komplikasjonene er elektrodedislokasjon, opp mot 20 % av pasientene kan trenge replassering av ledning i løpet av en toårsperiode (19). Perioperative komplikasjoner som arytmi, perforasjon av ledning, lokale blødninger og infeksjon i pacemakerlommen er sjeldnere og ses hos 2 – 9 % (19). Den viktigste begrensningen ved kardial resynkroniseringsbehandling er imidlertid at nær 30 % av pasientene ikke får klinisk bedring. Studier har vist at det er multifaktorielle årsaker til manglende respons og at flere av årsakene kan korrigeres (20). Det er derfor vesentlig med adekvat pasientseleksjon, optimal plassering av ledning i koronarvene av erfaren operatør samt oppfølging etter implantasjon (21).

    Kunnskapsgrunnlag

    Kunnskapsgrunnlag

    Disse retningslinjene bygger på den viten og erfaringer man sitter med i Norsk Cardiologisk Selskaps arbeidsgrupper for hjertesvikt og hjerterytmer samt alle sentrene som tilbyr denne behandlingen i Norge. Utvalget har gjort en bred gjennomgang av vitenskapelig dokumentasjon, basert på forfatternes kjennskap til litteraturen på området samt gjennomgang av nye retningslinjer utgitt fra European Society of Cardiology 2010/2012 og Heart Failure Society of America/American Heart Association i 2012 (2, 11, 22). Det er ikke gjort vesentlige tilpasninger til norske forhold, men utvalget har forholdt seg til vitenskapelig dokumentasjon der de nye europeiske og amerikanske retningslinjene er blitt grundig gjennomgått, sammen med nye substudieanalyser.

    Generelle betraktninger og metode

    Generelle betraktninger og metode

    Vanligvis har man ved utarbeiding av retningslinjer lagt vekt på inklusjonskriterier i de tilgrunnliggende studiene og vært skeptisk til bruk av subgruppeanalyser når man velger ut pasienter til behandling, da det kan føre til at pasienter som kunne ha effekt av behandlingen ikke får den. Kardial resynkroniseringsbehandling er imidlertid forbundet med risiko for komplikasjoner og engangskostnaden er ikke ubetydelig, særlig ved kombinasjon med hjertestarter (CRT-D). I både europeiske og amerikanske retningslinjer anbefales det derfor å implantere på den/de subgrupper av pasientene som studiene har vist effekt hos ved subgruppeanalyser. Også forfatterne av disse norske retningslinjene rettferdiggjør avgjørelsen om å avvike fra tradisjonelle retningslinjer basert på inklusjonskriteriene i studieprotokollene. For eksempel ble pasienter i både New York Heart Association (NYHA)-funksjonsklasse I og klasse II inkludert i Madit-CRT-studien (23), men pasienter i NYHA-funksjonsklasse I omfattet kun 15 % av studiepopulasjonen, og mange av disse pasientene hadde tidligere hatt hjertesviktsymptomer. Basert på dette og tilsvarende funn i REVERSE-studien (7) ble det kun funnet indikasjon for kardial resynkroniseringsbehandling hos pasienter i funksjonsklasse II. I Madit-CRT-studien var QRS ≥ 130 ms et inklusjonskriterium, men subgruppeanalyse viste at det bare var pasienter med QRS ≥ 150 ms som hadde bedring av de primære endepunktene. Det samme fant man i REVERSE-studien, og dermed ble QRS ≥ 150 ms uten rent venstre grenblokk anbefalt som indikasjon for kardial resynkroniseringsbehandling hos pasienter i funksjonsklasse II i de europeiske retningslinjene fra 2010 så vel som disse norske retningslinjene. Dette håper vi blir oppfattet som en mer realistisk måte å anvende forskningsdataene på i klinisk praksis. Arbeidsgruppen mener også at man på det nåværende tidspunkt kanskje må akseptere å fordele de økonomiske og fagpersonellmessige ressursene vi har til denne behandlingsmetoden på pasienter som i subgruppeanalyser har vist god effekt av behandlingen.

    NYHA-funksjonsklasse III og IV

    NYHA-funksjonsklasse III og IV

    Effekten av kardial resynkroniseringsbehandling ble først demonstrert i 1996 i en serie pasienter med hjertesvikt i endestadiet (15). I flere påfølgende mindre studier evaluerte man hemodynamiske konsekvenser og effekt av ledningsplassering i koronarvene over venstre ventrikkel (16) – (19)før den første større randomiserte studien Multisite Stimulation in Cardiomyopathy (MUSTIC) ble publisert i 2001 (6) – (7). Denne studien inkluderte 67 pasienter med hjertesvikt og grenblokk med sinusrytme. Det var symptomatiske pasienter i NYHA-klasse III med venstre ventrikkel-ejeksjonsfraksjon under 35 % og QRS-bredde over 150 ms. Gjennomsnittlig ejeksjonsfraksjon var 23 %, flesteparten (87 %) hadde venstre grenblokk og ca. 50 % hadde iskemisk kardiomyopati. Alle fikk implantert pacemakersystem uten innebygd kardioverter-defibrillator-funksjon (CRT-P), men bare halvparten fikk aktivert systemet i første omgang, og etter tre måneder var det overkrysning for gruppene, slik at de som hadde aktivt system fikk slått det av. Designet var enkeltblindet, dvs. at forskerne, men ikke pasientene, visste hvilke pasienter som hadde aktivert behandling.

    Resultatene viste at pasientene foretrakk aktivt system. Ved aktiv pacing var det en klar økning i funksjonsnivå, og antall sykehusinnleggelser ble redusert. En oppfølgingsstudie viste at pasientene fikk redusert venstre ventrikkels endediastoliske diameter og fikk ytterligere økt funksjonsnivå etter 12 måneders oppfølging med aktiv pacing (20). I denne studien er langtidsresultatene også vist å gjelde pasienter med atrieflimmer (20). Resultatene i denne relativt lille studien ble bekreftet i Multicenter InSynch randomized Clinical Evaluation (MIRACLE)- studien, som var en stor dobbeltblindet randomisert studie som omfattet pasienter i NYHA III- og IV-klasse (5). 571 pasienter med både iskemisk og ikke-iskemisk kardiomyopati med ejeksjonsfraksjon under 35 % og QRS-bredde over 130 ms ble inkludert. Både livskvalitet og funksjonsnivå økte, men hovedbudskapet var en 40 % reduksjon av det kombinerte endepunktet død eller hospitalisering for hjertesvikt.

    COMPANION (Comparison of medical therapy pacing and defibrillation in heart failure)-studien inkluderte 1 520 pasienter i NYHA-klasse III eller IV med QRS-bredde over 120 ms og ejeksjonsfraksjon under 35 % (8). Her ble pasientene randomisert i en 1-2-3-modell, der gruppe 1 fikk optimal medisinsk behandling, gruppe 2 kardial resynkroniseringsbehandling uten hjertestarter (CRT-P) og gruppe 3 kardial resynkroniseringsbehandling med hjertestarter (CTR-D). For begge behandlinger med kardial resynkronisering var det ingen annen indikasjon enn hjertesvikt per se. Allerede i MADIT-studien var det vist at en profylaktisk hjertestarter hos pasienter med symptomatisk hjertesvikt og betydelig redusert venstre ventrikkel-ejeksjonsfraksjon på iskemisk grunnlag ga en klar overlevelsesgevinst (18). Så langt var imidlertid dette ikke vist hos pasienter med ikke-iskemisk kardiomyopati. Man fant at implantasjon både med og uten hjertestarter reduserte det primære endepunktet død eller hospitalisering for hjertesvikt med ca. 20 %.

    I CARE HF (Cardiac Resynchronization – Heart Failure)-studien ønsket man å evaluere effekten av kardial resynkroniseringsbehandling uten hjertestarter på mortalitet (9). Pasienter med QRS-bredde 120 – 150 ms måtte ha tilleggsindikasjon med ekkokardiografisk påvist mekanisk dyssynkroni, dvs. forskjell i kontraksjonstidspunkt i de forskjellige delene av hjertet. Grenblokksmorfologi var derimot ikke omtalt. Man kunne altså ha både venstre og høyre grenblokk bare QRS-komplekset var vidt nok. Man fant en 36 % lavere mortalitet i intervensjonsgruppen, men studien ble stoppet prematurt av «data safety and monitoring board». Effekten gjaldt både i populasjonen med iskemisk og ikke-iskemisk kardiomyopati, og den vedvarte over tid (9).

    QRS-bredde

    QRS-bredde

    QRS-bredde har utvilsomt betydning for respons på kardial resynkroniseringsbehandling. Jo bredere QRS-kompleks, jo bedre effekt. Indikasjon for behandlingsmetoden gis i retningslinjer fra både European Society of Cardiology og Heart Failure Society of America, sist oppdatert i publikasjoner 2012, pasienter i funksjonsklasse III og ambulatoriske pasienter i funksjonsklasse IV med hjertesvikt med ejeksjonsfraksjon under 35 % og QRS-bredde over 120 ms med venstre grenblokk 1A (2, 11, 22). Dette er basert på studiene ovenfor med hovedvekt på CARE HF og COMPANION-studien.

    I de enkelte studiene ser man at effekten av kardial resynkroniseringsbehandling først er statistisk signifikant for pasienter med QRS-bredde over 150 ms. I MUSTIC var det et inklusjonskriterium. Basert på metaanalyser som inkluderte pasienter i NYHA klasse II, III og IV er det konkludert med at det er spesielt pasienter med QRS-bredde > 150 ms som har statistisk signifikant klinisk effekt av kardial resynkroniseringsbehandling (24). Beregnes relasjonen mellom QRS-bredden som kontinuerlig variabel og effekten på klinisk sammensatte endepunkt, viser data positiv effekt også for NYHA-klasse II pasienter fra QRS ≥ 120 ms, men med økende effekt ved økende QRS-bredde (25). I arbeidsgruppen er det derfor enighet om at også pasienter med QRS ≥ 120 ms og < 150 ms må vurderes for kardial resynkroniseringsbehandling, spesielt siden dette ofte er den siste behandlingsmuligheten for en stor del av disse pasientene i funksjonsklasse III og IV som har meget plagsomme symptomer og dårlig livskvalitet (tab 1). Ut fra vår kliniske erfaring vil mange pasienter i funksjonsklasse III og IV med QRS-bredde 120 – 150 ms, også uten venstre grenblokk, ha god klinisk effekt av behandlingen og må vurderes for kardial resynkroniseringsbehandling (tab 2). Denne metoden gjør det ofte også mulig å optimalisere betablokkerdosen hos pasienter der bradykardi har hindret dette, og det kan bidra til bedring av pasientenes symptomer.

    Tabell 1

    Anbefalinger for reduksjon av mortalitet og morbiditet hos pasienter med hjertesvikt i NYHA-funksjonsklasse III og ambulatorisk funksjonsklasse IV, dvs. ikke innlagt i sykehus siste måned

    Anbefalinger

    Pasientkarakteristikk

    Kardial resynkroniseringsbehandling uten eller med hjertestarter (CRT-P/CRT-D) er anbefalt for reduksjon av både mortalitet og morbiditet

    1 Venstre ventrikkel-ejeksjonsfraksjon ≤ 35 %

    og

    2 Venstre grenblokk og QRS ≥ 120ms

    eller

    Intraventrikulær ledningsforstyrrelse¹ og QRS ≥ 150ms

    og

    3 Optimalt medisinsk behandlet

    og

    4 Forventet overlevelse > 1 år

    [i]

    [i] ¹   Intraventrikulær ledningsforstyrrelse: Ikke typisk venstre- eller høyre-grenblokk (EKG-avledning I,V1 og V6)

    Tabell 2

    Pasienter som kan vurderes for kardial resynkroniseringsbehandling, med hjertesvikt i NYHA-funksjonsklasse III og ambulatorisk funksjonsklasse IV (ikke innlagt i sykehus siste måned), for reduksjon av morbiditet

    Anbefalinger

    Pasientkarakteristikk

    Kardial resynkroniseringsbehandling uten eller med hjertestarter (CRT-P/CRT-D) kan vurderes for reduksjon av morbiditet

    1 Venstre ventrikkel-ejeksjonsfraksjon ≤ 35 %

    og

    2 QRS ≥ 120 ms

    og

    3 Optimalt medisinsk behandlet

    og

    4 Forventet overlevelse > 1 år

    QRS-morfologi

    QRS-morfologi

    QRS-kompleksets morfologi har også betydning. I de fleste studiene er det ikke satt krav til QRS-morfologien, men i de studiene der man har sett på betydning av ulik type grenblokk, finner man best effekt av behandlingen ved venstre grenblokk, som også er den vanligste typen. Fordelingen av venstre grenblokk i de mest sentrale studiene er ulik. I MUSTIC hadde 87 % venstre grenblokk, i COMPANION ca. 70 % og i RAFT 70 % (7) – (8, 10). I MIRACLE og CARE HF var ikke dette nærmere spesifisert. Imidlertid vet man at pasienter med høyre grenblokk har dårligere prognose enn pasienter med venstre grenblokk etter kardial resynkroniseringsbehandling kombinert med hjertestarter (CRT-D) (24, 26). Selv om det foreløpig ikke foreligger verken metaanalyser eller større randomiserte studier på kardial resynkroniseringsbehandling ved høyre grenblokk, har man så langt ikke funnet noen effekt av denne type implantasjon i det tilgjengelige publiserte materialet (25). Uttalt venstre ventrikkelsvikt og høyre grenblokk ved iskemisk og dilatert kardiomyopati er oftest uttrykk for dårlig høyre ventrikkelfunksjon med ledsagende betydelig trikuspidal insuffisiens. Vår erfaring er at disse pasientene ikke har klinisk effekt av kardial resynkroniseringsbehandling. Konsensus i arbeidsgruppen er derfor at man fortrinnsvis skal ha et venstre grenblokk eller intraventrikulær ledningsforstyrrelse for å vurderes for behandlingen. Det bemerkes at venstre grenblokk som kriterium spesifiseres tydeligere i de amerikanske retningslinjene fra 2012 enn i retningslinjene fra European Society of Cardiology (2, 11, 22).

    Venstre ventrikkel-funksjon og etiologi for hjertesvikt

    Venstre ventrikkel-funksjon og etiologi for hjertesvikt

    Selv om de fleste studiene inkluderer pasienter med ejeksjonsfraksjon under 35 %, viser subanalyser at de som faktisk var inkludert hadde mye dårligere ejeksjonsfraksjon enn inklusjonskriteriet tilsa. Man fant i REVERSE-studien ingen effekt av kardial resynkroniseringsbehandling på kombinerte endepunkter hos pasienter med kun moderat nedsatt venstre ventrikkel-funksjon og venstre grenblokk-mønster (ejeksjonsfraksjon < 40 % og QRS > 120 ms) (7). Kardial resynkroniseringsbehandling skal derfor forbeholdes dem med betydelig redusert venstre ventrikkel-funksjon (ejeksjonsfraksjon ≤ 35 %) og er i tråd med retningslinjer både fra European Society of Cardiology og American Heart Failure Association. Videre har studier vist best effekt hos pasienter med dilatert venstre ventrikkel, og særlig hos pasienter med dilatert kardiomyopati (2, 22). Pasienter med utbredt iskemisk skade og store arrområder har på den annen side mindre effekt av behandlingen (27). Ekkokardiografi eller MR inngår derfor i preoperative undersøkelser for å vurdere omfanget av myokardskade. Særlig er dette viktig ved iskemisk kardiomyopati, da man ikke kan forvente vesentlig respons hvis store deler av venstre ventrikkel kun består av arrområder uten kontraktile egenskaper.

    Man har imidlertid så langt ikke overbevisende data fra randomiserte kontrollerte studier for at mekanisk dyssynkroni predikerer responsen ved kardial resynkroniseringsbehandling (28). Verken i de europeiske eller de amerikanske retningslinjene inngår derfor mekanisk dyssynkroni evaluert med ultralyd når man skal velge ut pasienter til behandlingen (2, 13). I ECHO-CRT-studien, der man forsøkte å se på pasienter med mekanisk dyssynkroni ved ultralyd og QRS < 120 ms, fant man økt antall hendelser hos dem som fikk kardial resynkroniseringsbehandling, og studien ble stoppet prematurt (29). Dette understøtter ytterligere at mekanisk dyssynkroni vurdert med ultralyd ikke kan brukes som kriterium for utvelgelse av pasienter og at kun pasienter med grenblokk i EKG (QRS > 120 ms) bør vurderes for denne behandlingen.

    Atrieflimmer

    Atrieflimmer

    De store randomiserte studiene har nesten utelukkende inkludert pasienter med sinusrytme, og dokumentasjonen på effekten ved atrieflimmer er derfor sparsom. Kardial resynkroniseringsbehandling brukes imidlertid utbredt hos pasienter med atrieflimmer og hjertesvikt, f.eks. var det i European CRT Survey 15 % som hadde atrieflimmer (30). Dokumentasjonen er således basert på mindre observasjonsstudier og på subgruppeanalyse i studier på hjertesviktpasienter i funksjonsklasse III og IV (både med sinusrytme og atrieflimmer) (31) og metaanalyser, som konkluderer med en tilsvarende effekt ved atrieflimmer som ved sinusrytme (32). Man må forsikre seg om at pasienten er i biventrikulær pacing-rytme minst 93 % av tiden, helst 100 %, og ablasjon av AV-knuten kan derfor være nødvendig for å oppnå adekvat pacing hos disse pasientene (33).

    Oppsummering

    Oppsummering

    Ved implantasjonssenteret foretas en individuell vurdering av hver enkelt pasient der pasientens NYHA-klasse, venstre ventrikkels dimensjon og venstre ventrikkels ejeksjonsfraksjon, QRS-bredde, grenblokksmorfologi og komorbiditet tas med i betraktning. Dilatasjon av venstre ventrikkel er ikke et obligat kriterium for kardial resynkroniseringsbehandling, men den gunstige og remodellerende effekten er best dokumentert for store ventrikler, spesielt i fravær av utbredt iskemisk skade/arr. Pasienter med isolert høyre grenblokk har generelt liten effekt av kardial resynkroniseringsbehandling, og metoden bør forbeholdes pasienter som ikke har høyre grenblokk. For å få utbytte hos pasienter med atrieflimmer må man etter implantasjonen oppnå pacing > 93 % av tiden. Dette kan oppnås enten med medikamentell senkning av hjertefrekvens, men ofte er det nødvendig å gjøre ablasjon av AV-knuten. Dokumentasjonen for effekt av kardial resynkroniseringsbehandling ved atrieflimmer er svakere enn ved sinusrytme, men kunnskapsgrunnlaget peker på større positiv effekt ved økende QRS-bredde. De fleste pasienter med indikasjon for kardial resynkroniseringsbehandling vil også ha indikasjon for primærprofylaktisk innebygd kardioverter-defibrillator hvis forventet overlevelse er > 1 år. Dette må derfor has in mente ved den individuelle vurdering av hver enkelt pasient.

    NYHA-funksjonsklasse II og hjertesvikt

    NYHA-funksjonsklasse II og hjertesvikt

    I de siste årene er det gjennomført tre store randomiserte studier hos pasienter med hjertesvikt og mildere symptomer (NYHA-gruppe I og II): REVERSE, MADIT-CRT og RAFT. I REVERSE ble pasientene randomisert til optimal medikamentell behandling (CRT-OFF) eller kardial resynkroniseringsbehandling med/uten innebygd kardioverter-defibrillator-funksjon (CRT-P/CRT-D-ON) og i MADIT-CRT-studien til innebygd kardioverter-defibrillator (ICD) eller kardial resynkroniseringsbehandling kombinert med hjertestarter (CRT-D). Basert på subgruppeanalyser konkluderes det i retningslinjene fra European Society of Cardiology med at optimalt medikamentelt behandlede hjertesviktpasienter i NYHA-funksjonsklasse II med QRS ≥ 150 ms, venstre ventrikkel-ejeksjonsfraksjon ≤ 35 % og sinusrytme har en klasse I-indikasjon for fortrinnsvis kardial resynkroniseringsbehandling kombinert med hjertestarter (CRT-D) for å redusere morbiditet og hindre progresjon av hjertesvikten (11).

    Pasienter i NYHA-funksjonsklasse I utgjorde bare henholdsvis 18 % og 15 % i MADIT-CRT-studien og REVERSE-studien, og datagrunnlaget for å anbefale kardial resynkroniseringsbehandling til disse ble derfor oppfattet som for svakt (7, 11, 16). Dessuten viste subgruppeanalyse i MADIT-CRT-studien at behandlingen ikke hadde effekt på kombinert total mortalitet og hjertesvikthendelser for disse pasientene, og i REVERSE-studien så man samme trenden for disse pasientene sammeliknet med dem i NYHA-funksjonklasse II. I REVERSE-studien skulle pasientene også ha dilatert venstre ventrikkel (LVEDD ≥ 5,5 cm), men dette er utelatt i både europeiske og amerikanske retningslinjer, trolig fordi dette ikke var et krav i MADIT-CRT-studien. I MADIT-CRT-studien fikk alle pasientene som ble randomisert til kardial resynkroniseringsbehandling kombinert med hjertestarter (CRT-D), og i REVERSE-studien fikk 85 % av de randomiserte dette, mens resten fikk implantasjon uten hjertestarter (CRT-P). Basert på at få pasienter i studiene fikk implantasjonen uten hjertestarter, anbefales behandlingen med hjertestarter (CTR-D) fremfor uten (CRT-P) hos pasienter i NYHA-funksjonsklasse II. For denne gruppen er en bedring av prognose like viktig som bedring av symptomer.

    RAFT-studien som ble publisert etter at retningslinjene fra European Society of Cardiology fra 2010 kom, inkluderte pasienter i NYHA-funksjonsklasse II og III etter optimal medikamentell hjertesviktbehandling, QRS ≥ 120 ms eller pacet QRS ≥ 200 ms, venstre ventrikkel-ejeksjonsfraksjon ≤ 30 %, dilatert venstre ventrikkel ≥ 60 mm, sinusrytme eller kronisk atrieflimmer/flutter med hvile ventrikkelfrekvens ≤ 60 slag/min og ventrikkelfrekvens ≤ 90 slag/min under seks minutters gangtest, eller planlagt ablasjon av AV-knute (10, 11). Pasientene ble randomisert til innebygd kardioverter-defibrillator (ICD) eller kardial resynkroniseringsbehandling kombinert med hjertestarter (CRT-D). RAFT-studien har fem år oppfølgingstid, som er lenger enn de andre studiene, og viser at kardial resynkroniseringsbehandling kombinert med hjertestarter (CRT-D) versus innebygd kardioverter-defibrillator (ICD) hos pasienter i funksjonsklasse II førte til 29 % reduksjon av total mortalitet, og det kombinerte endepunktet innleggelse for hjertesvikt og total mortalitet ble redusert med 27 %. RAFT-studien viser altså for første gang at kardial resynkroniseringsbehandling kombinert med hjertestarter (CRT-D) bedrer overlevelsen utover det innebygd kardioverter-defibrillator (ICD) yter hos pasienter i NYHA-klasse II som allerede har indikasjon for primærprofylaktisk innebygd kardioverter-defibrillator, og effekten var den samme hos pasienter i NYHA-funksjonsklasse II og III (10).

    Det er tvilsomt om det blir gjort sammenliknende studier av effekten av kardial resynkroniseringsbehandling uten hjertestarter (CRT-P) versus med hjertestarter (CRT-D) i denne pasientpopulasjonen, som jo oftest allerede har en indikasjon for primærprofylaktisk innebygd kardioverter-defibrillator som gjør det etisk vanskelig å utføre kardial resynkroniseringsbehandling uten hjertestarter (CRT-P). Ut ifra de tunge og entydige dataene i tre store randomiserte studier bør man støtte retningslinjene fra European Society of Cardiology fra 2012 (2) som anbefaler kardial resynkroniseringsbehandling med hjertestarter (CRT-D) fremfor uten hjertestarter (CRT-P) hos pasientene i NYHA-funksjonsklasse II som er optimal medisinsk behandlet, og med venstre grenblokk, QRS ≥ 130 ms, venstre ventrikkel-ejeksjonsfraksjon ≤ 30 % og sinusrytme (klasse I), og ved ikke-venstre grenblokk med QRS ≥ 150 ms (klasse IIa) (tab 3).

    Tabell 3

    Anbefalinger for pasienter med hjertesvikt i NYHA-funksjonsklasse II

    Anbefalinger

    Pasientkarakteristikk

    Kardial resynkroniseringsbehandling uten eller med hjertestarter (CRT-P/CRT-D) er anbefalt for reduksjon av både mortalitet og morbiditet (primært med hjertestarter, CRT-D)

    1 Venstre ventrikkel-ejeksjonsfraksjon≤ 35 %

    og

    2 Sinusrytme

    og

    3 Venstre grenblokk og QRS ≥ 130 ms

    eller

    Intraventrikulær ledningsforstyrrelse¹ og

    QRS ≥ 150ms

    og

    4 Optimalt medisinsk behandlet

    og

    5 Forventet overlevelse > 1år

    [i]

    [i] ¹   Intraventrikulær ledningsforstyrrelse: Ikke typisk venstre- eller høyre-grenblokk (EKG-avledning I,V1 og V6)

    Hjertesvikt og konvensjonell pacemakerindikasjon

    Hjertesvikt og konvensjonell pacemakerindikasjon

    Bruk av konvensjonell pacemaker, med pacing i høyre ventrikkel, gir unormal aktivering og dyssynkroni som likner det man ser ved nativt venstre grenblokk. Flere studier har vist at høy grad av høyre ventrikkel-pacing er assosiert med økt grad av hjertesvikt (34) – (35).

    Det foreligger flere små studier på oppgradering til biventrikulær pacing hos pasienter som er overveiende ventrikkelpacet (80 – 100 %) og utvikler svikt (36, 37). I flere av studiene har man sammenliknet effekten av oppgradering til kardial resynkroniseringsbehandling hos disse pasientene med pasienter som har fått denne type behandling på indikasjon etablert hjertesvikt (38) – (41). Studiene viser nokså entydig at oppgradering har samme kliniske effekter som kardial resynkroniseringsbehandling på sviktindikasjon. I Foleys studie ble pasientene fulgt i over to år, og overlevelseskurvene fulgte da kurvene til dem som fikk kardial resynkroniseringsbehandling i CARE-HF-studien (9, 41).

    For pasienter med konvensjonell pacemaker og høy grad av ventrikkelpacing som utvikler svikt, bør derfor oppgradering til kardial resynkroniseringsbehandling vurderes.

    Pacemaker etter bradykardi

    Pacemaker etter bradykardi

    Det foreligger to mindre studier og en nylig publisert større studie der man har sett på effekten av hhv. høyre ventrikkel-pacing og kardial resynkroniseringsbehandling hos pasienter med indikasjon for ventrikkelpacing (AV-blokk) og redusert ejeksjonsfraksjon. I de to mindre studiene fikk alle pasientene implantert biventrikulær pacemaker, og de ble randomisert til høyre ventrikkelpacing eller biventrikulær pacing i tre måneders perioder (42). I begge studiene fant man signifikant bedring av ejeksjonsfraksjonen ved biventrikulær pacing sammenliknet med høyre ventrikkelpacing. I Block-HF-studien ble nær 700 pasienter med behov for pacemaker randomisert til enten konvensjonell høyre ventrikkel pacing eller kardial resynkroniseringsbehandling. Hos dem med kun lett redusert venstre ventrikkelfunksjon (EF < 45 %) er dette den første store studien som viser en klar bedring av prognose, inkludert mortalitet, hos dem som får biventrikulær pacing sammenliknet med høyre ventrikkel-pacing (43).

    Det foreligger også data på biventrikulær versus høyre ventrikkel-pacing ved bradykardiindikasjon og normal venstre ventrikkel-funksjon. I PACE-studien fikk 177 pasienter med bradykardiindikasjon biventrikulær pacemaker, de ble så randomisert til høyre ventrikkel-pacing eller biventrikulær pacing (44). Her fant man signifikant fall i ejeksjonsfraksjonen i gruppen som ble pacet i høyre ventrikkel, men ingen endring ved biventrikulær pacing. Toårsresultater på samme populasjon viser at fallet i ejeksjonsfraksjon progredierte, fra gjennomsnittlig 61 % ved utgangspunktet til 55 % etter ett år og 53 % etter to år (44). Etter to år angis at 17 % av pasientene hadde fall i ejeksjonsfraksjon til under 45 %, mens dem som ble biventrikulær pacet holdt seg stabile (45).

    Ved redusert venstre ventrikkel-funksjon og behov for ventrikkelpacing pga. AV-blokk ser det altså ut til å være fordelaktig med biventrikulær pacing. Med bevart venstre ventrikkel-funksjon vil noen utvikle hjertesvikt med tiden, og biventrikulær pacing kan sannsynligvis forebygge dette.

    Ved implantasjon av pacemaker kan man da velge mellom to ulike strategier.

    • Implantere vanlig pacemaker med ledning til høyre ventrikkel og så følge pasienten klinisk og ekkokardiografisk med tanke på sviktutvikling

    • Implantere biventrikulær pacemaker initialt

    Alternativ 2 vil innebære lengre operativ prosedyre og høyere komplikasjonsrate. Implantasjon av biventrikulært system krever også mer trent personell.

    Alternativ 1 kan innebære behov for to operative prosedyrer hos pasientene som utvikler svikt, og data fra REPLACE-registret viser at komplikasjonsraten ved oppgradering er betydelig høyere enn ved initial implantasjon (46).

    Oppsummering

    Oppsummering

    Ut fra foreliggende data synes det ikke riktig å anbefale implantasjon av biventrikulær pacemaker initialt ved bradykardiindikasjon og normal venstre ventrikkel-funksjon. Det synes likevel rimelig å vurdere biventrikulær pacing ved redusert venstre ventrikkel-funksjon og hjertesvikt. Dette er i tråd med retningslinjer fra European Society of Cardiology 2010 (11). Dette må vurderes individuelt ut fra forventet behov for ventrikkelpacing, pasientens funksjonsnivå, alder og komorbiditet (tab 4). Som en konsekvens av dette bør det alltid vurderes ekkokardiografiundersøkelse før planlagt implantasjon av pacemaker og ved planlagte skifter/reoperasjoner hos pasienter med eksisterende pacemaker.

    Tabell 4

    Anbefalinger for pasienter med behov for konvensjonell pacemaker

    Anbefalinger

    Pasientkarakteristikk

    Vurdere kardial resynkroniseringsbehandling uten eller med hjertestarter (CRT-P/CRT-D), eller oppgradering til kardial resynkroniseringsbehandling fra konvensjonell pacemaker

    1 NYHA-funksjonsklasse II-IV

    og

    2 Venstre ventrikkel-ejeksjonsfraksjon ≤ 35 %

    og

    3 Forventet høy grad av ventrikkelpacing

    eller

    Forverring av hjertesvikt under høyre ventrikkelpacing

    og

    4 Optimalt medisinsk behandlet

    og

    5 Forventet overelevelse > 1år

    Valg av generatorsystem

    Valg av generatorsystem

    Det foreligger få direkte sammenlikninger mellom effekten av kardial resynkroniseringsbehandling uten hjertestarter (CRT-P) versus med hjertestarter (CRT-D). I COMPANION-studien ble pasientene randomisert til kardial resynkroniseringsbehandling uten hjertestarter (CRT-P), kardial resynkroniseringsbehandling med hjertestarter (CRT-D) eller optimal medisinsk behandling (8). Studien var imidlertid styrkeberegnet for å vurdere effekten av kardial resynkroniseringsbehandling og ikke direkte sammenlikning av de to variantene. Begge disse strategiene reduserte forekomsten av det primære endepunkt (dødelighet og hospitalisering for hjertesvikt) med henholdsvis 35 % (CTR-P) og 40 % (CTR-D) (begge med p < 0,001) sammenliknet med medisinsk behandling. For dødelighet alene ble dette redusert med 24 % med kardial resynkroniseringsbehandling uten hjertestarter (CRT-P) (p = 0,059) og 36 % med kardial resynkroniseringsbehandling med hjertestarter (CRT-D) (p = 0,003). I CARE-HF, der kardial resynkroniseringsbehandling uten hjertestarter (CRT-P) ble testet, fant man en signifikant effekt ikke bare på totaldødelighet, men også plutselig død i sammenliknet med medisinsk behandling. Dette tyder på at kardial resynkroniseringsbehandling har en spesifikk antiarytmisk effekt alene (9). Selv om COMPANION-studien viste en tilsynelatende bedre effekt ved implantasjon med hjertestarter (CRT-D) enn uten (CRT-P), hadde behandlingsmetoden med hjertestarter en noe høyere apparatrelatert komplikasjonsrisiko (8). Fordelen ved kardial resynkroniseringsbehandling med hjertestarter (CRT-D) sammenliknet med uten hjertestarter (CRT-P) hos pasienter i funksjonklasse III er derfor fortsatt usikker. RAFT-studien viste imidlertid at kardial resynkroniseringsbehandling med hjertestarter mot innebygd kardioverter-defibrillator (ICD) hos pasienter i funksjonsklasse II førte til 29 % reduksjon av total mortalitet, og de kombinerte endepunktene innleggelse for hjertesvikt og total mortalitet ble redusert med 27 % (10). RAFT-studien viste altså for første gang at kardial resynkroniseringsbehandling med hjertestarter (CRT-D) bedrer overlevelsen utover innebygd kardioverter-defibrillator (ICD) alene hos pasienter i NYHA-klasse II som allerede har indikasjon for primærprofylaktisk innebygd kardioverter-defibrillator (10). Ut ifra disse dataene bør man støtte implantasjon av kardial resynkroniseringsbehandling med hjertestarter (CRT-D) fremfor uten (CRT-P) hos pasientene i NYHA-funksjonsklasse II tross optimal medisinsk behandling og med øvrig indikasjon for kardial resynkroniseringsbehandling.

    Arbeidsgruppen mener derfor at pasienter som vurderes for kardial resynkroniseringsbehandling bør henvises til et spesialisert senter (CRT-senter). Her må man gjøre en individuell vurdering av hver pasient der etiologi, symptomer, arytmitendens og ikke minst komorbiditet er vesentlig for valg av generatorsystem. Generelt kan man si at kardial resynkroniseringsbehandling med hjertestarter (CRT-D) i hovedsak bør tilbys de pasientene som for øvrig oppfyller kriteriene for innebygd kardioverter-defibrillator (ICD) og som har stor sannsynlighet for plutselig død, da særlig pasienter med iskemisk hjertesvikt. Den bør særlig tilbys pasienter i NYHA-klasse II med primærprofylaktisk indikasjon for innebygd kardioverter-defibrillator. Kardial resynkroniseringsbehandling uten hjertestarter (CRT-P) bør vurderes særlig hos pasienter med dilatert kardiomyopati, uten påvist ventrikulær arytmi. Behandlingsformen bør også vurderes spesielt hos de med komorbidiet av betydning for forventet livslengde.

    Oppfølging av pasienter

    Oppfølging av pasienter

    Hjertesvikt er et komplekst syndrom. Pasientene bør følges regelmessig med henblikk på symptomer og optimalisering av den medikamentelle behandlingen. Man må forsikre seg om at pasienten er i biventrikulær pacingrytme minst 93 % av tiden, helst oppunder 100 % (23). Hos pasienter som viser ingen eller liten effekt av kardial resynkroniseringsbehandling er det viktig å optimalisere ledningstiden mellom venstre ventrikkel og atrioventrikulært (23). Dette gjøres best med ekkokardiografi. De fleste pasienter bør ha et kardial resynkroniseringsbehandlingssystem som kan fjernmonitoreres for å sikre adekvat biventrikulær pacing samt oppdage tidlige tegn på forverring av hjertesvikt.

    Kommentarer  ( 0 )
    PDF
    Skriv ut

    Anbefalte artikler