Risikofaktorer for hjerneslag i Tanzania

    ()

    sporsmal_grey_rgb
    Artikkel

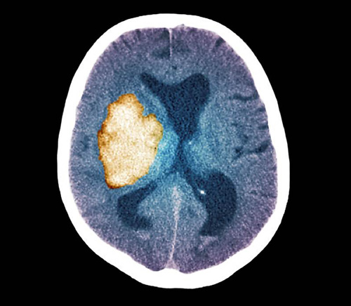
    En ny studie fra Tanzania tyder på at hiv er en uavhengig risikofaktor for hjerneslag.

    Hjerneslag representerer en økende byrde for helsevesenet i lavinntekts- og mellominntektsland. For å kunne forebygge sykdommen er det behov for kunnskap om risikofaktorer. Det finnes imidlertid lite data om risikofaktorer hos befolkningen i Afrika sør for Sahara. I en ny pasient-kontroll-studie har forskere kartlagt risikofaktorer for hjerneslag i Tanzanias største by, Dar-es-Salaam, og i det rurale Hai-distriktet nord i landet (1).

    Totalt ble 200 pasienter med gjennomgått hjerneslag og 398 kontrollpersoner inkludert. Ujusterte analyser viste nokså like resultater for Dar-es-Salaam og Hai-distriktet. I den justerte analysen ble materialet analysert samlet. Tidligere hjerneslag eller TIA (OR 7,39; 95 % KI 2,42 – 22,53), hivinfeksjon (OR 5,61; 95 % KI 2,41 – 13,09), dyslipidemi, røyking og hypertensjon var signifikant assosiert med økt risiko for hjerneslag i den justerte analysen.

    Ingen av de hivpositive hadde kjent infeksjon fra tidligere, og de var heller ikke under behandling med antiretrovirale medikamenter. Prevalensen av hypertensjon var høy, både hos dem som hadde gjennomgått hjerneslag (87 % i Dar-es-Salaam og 81 % i Hai) og hos kontrollpersonene (67 % og 70 %).

    I en ledsagende kommentar understrekes det at assosiasjonen mellom hiv og hjerneslag er et viktig funn (2). Samtidig pekes det på at studien har svakheter – som at under halvparten av pasientene ble CT-undersøkt og at det manglet opplysninger om hivstatus for en stor del av dem. Det er derfor behov for videre studier for å bekrefte assosiasjonen, samtidig som arbeidet med reduksjon av hypertensjon og andre modifiserbare risikofaktorer bør styrkes (2).

    Kommentarer  ( 0 )
    PDF
    Skriv ut

    Anbefalte artikler