En mann i 50-årene med inkontinens, gangvansker og hypernatremi

    ()

    sporsmal_grey_rgb
    Artikkel

    En mann i 50-årene fikk påvist hydrocephalus sekundært til en araknoidalcyste. I de påfølgende årene ble han flere ganger innlagt med ulike nevrologiske symptomer og systemisk inflammatorisk respons-syndrom. Han utviklet etter hvert hypernatremi, og det bidro til at riktig diagnose ble stilt.

    En mann i 50-årene ble innlagt på lokalsykehus etter hodetraume. Han hadde kjent adipositas, hypertensjon, søvnapnésyndrom, gjennomgått hjerteinfarkt, hypotyreose og langvarig inkontinens. Alkoholkonsumet hadde periodevis vært høyt. De siste månedene hadde han hatt et funksjonstap med svimmelhet og ustøhet, og han hadde fått hjemmesykepleie.

    Ved innkomst ble det tatt et CT caput som viste obstruktiv hydrocephalus med dilatasjon av sideventrikler og komprimert tredje ventrikkel. Under innleggelsen ble pasienten tilsett av nevrolog, som mente at hydrocephalus kunne være årsaken til pasientens symptomer. Alternative forklaringer som høyt alkoholkonsum ble også diskutert.

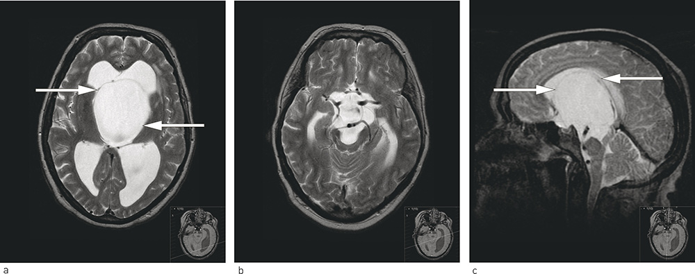
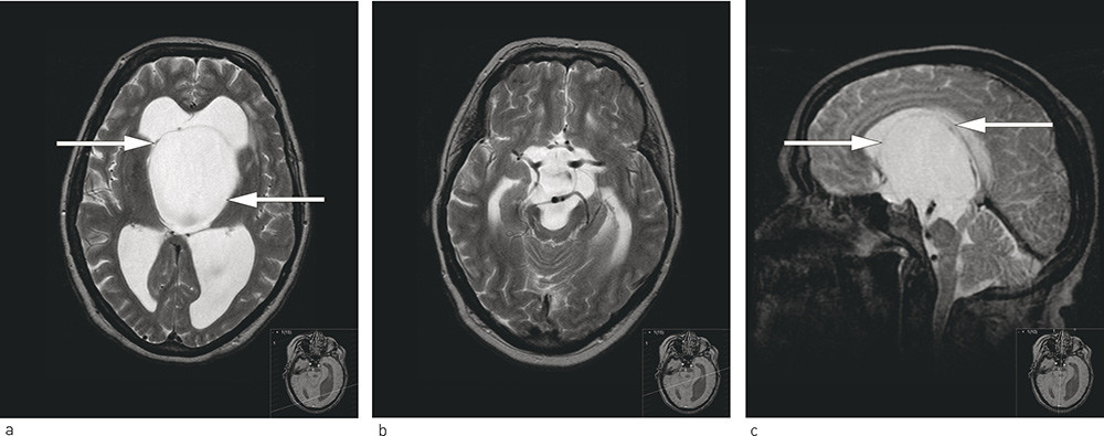
    Videre utredning med MR caput viste obstruktiv hydrocephalus som så ut til å være forårsaket av en suprasellær, prepontin cyste. Cysten var sannsynligvis en araknoidalcyste (fig1a – c), og obstruerte tredje ventrikkel og utløpet til aqueductus Sylvii. Pasienten ble henvist til regionsykehus, der diagnosen araknoidalcyste ble verifisert, og samme år ble han operert med forsøk på å fenestrere cysten endoskopisk. Cysteveggen lot seg imidlertid ikke penetrere, men cysten ble likevel krympet ved bruk av diatermi. Ny MR-undersøkelse et par måneder senere bekreftet at araknoidalcysten hadde krympet noe, og ved samtidig klinisk kontroll på regionsykehus var gangfunksjonen bedret. Man sa seg derfor fornøyd og anbefalte oppfølging på lokalsykehus. Kopi av det polikliniske notatet fra regionsykehuset ble imidlertid kun sendt til fastlegen, og pasienten ble aldri kontrollert ved lokalsykehuset.

    Pasientens ustøhet, svimmelhet og inkontinens passet med hydrocephalus (1). Imidlertid kan balanseproblemer og svimmelhet også skyldes alkoholskader (2, 3), slik at det forelå minst én alternativ forklaring.

    Andre innleggelse: Ett år etter første innleggelse ble pasienten innlagt for andre gang. Han hadde økende gangvansker; spesielt var høyre bein blitt svakere. Gangen bedret seg imidlertid spontant under innleggelsen. Pasienten hadde imidlertid en plagsom inkontinens, som det ble fokusert på ved denne innleggelsen. Det ble målt en resturin på 0,5 l, og pasienten fikk permanent kateter. Blodprøver viste blant annet lavt nivå av thyreoideastimulerende hormon (TSH) på 0,01 mU/l (0,3 – 4,0), og normalt fritt tyroksin (FT4) på 12,3 pmol/l (10,0 – 18,5). CT caput var uendret fra året før. Pasienten ble henvist til nevrologisk tilsyn, men på grunn av plassproblemer ble han skrevet ut før tilsynet var utført.

    Det ble antatt at forklaringen på gangvanskene var et cerebralt insult. Det kan ha vært for lite til å synes på CT, i et område der CT gir dårlig visualisering, eller CT kunne vært tatt så tidlig at infarktet ikke var synlig (4). Pasienten sto imidlertid allerede på adekvat profylakse mot hjerneslag, og han ble utskrevet uten ytterligere utredning. I og med at han spontant ble bedre, ble det vurdert at symptomene ikke var relatert til hydrocephalus eller araknoidalcysten.

    Pasienten brukte tyroksin-Na på grunn av hypotyreose, og at pasienter er over- eller underdosert forekommer hyppig (5). Oftest ser man høyere fritt T4 ved overdosering, men man tolket likevel lav TSH i dette tilfellet som uttrykk for overdosering. Stoffskifteprøvene ble derfor ikke satt i sammenheng med pasientens symptomer.

    Tredje innleggelse: To år etter første innleggelse ble pasienten innlagt for tredje gang, nå med pareser i høyre hånd og ansiktshalvdel og økende gangvansker. Man mistenkte at paresene skyldtes et hjerneslag, men CT caput viste ingen nytilkommen patologi. Araknoidalcysten hadde nå økt ca. 5 mm i diameter siden siste undersøkelse. Pasienten ble etter hvert febril og CRP ble målt til maksimalt 221 mg/l (< 5). Han oppfylte kriteriene for systemisk inflammatorisk respons-syndrom (SIRS), og tilstanden ble oppfattet som en sepsis uten sikkert infeksjonsfokus. Han ble behandlet med flere bredspektrede antibiotikaregimer uten sikker effekt. Til slutt fikk han prednisolon under dekke av antibiotika. Etter dette tilkom bedring, og pasienten ble utskrevet med prednisolon i avtrappende dose.

    Under innleggelsen hadde pasienten hypernatremi med maksimal verdi 167 mmol/l (137 – 145). Kortisol kl 0730 ble målt til 293 nmol/l (142 – 651).

    Ved innkomst ble hjerneslag vurdert som sannsynlig årsak til de nevrologiske symptomene. Etter hvert rettet man oppmerksomheten mot systemisk inflammatorisk respons-syndromet, og araknoidalcysten eller hydrocephalusen ble ikke vurdert som alternative forklaringer. Pasienten ble bedømt å ha en infeksjon, men responderte ikke på bredspektrede antibiotika. I slike tilfeller foreligger noen ganger en systemisk revmatisk sykdom eller bindevevssykdom, som for eksempel Stills sykdom (6), og som i dette tilfellet forsøker man av og til å behandle med glukokortikoider.

    Under innleggelsen ble det antatt at pasientens hypernatremi skyldtes dehydrering, og hypernatremi ble vurdert som en mulig delforklaring på pasientens symptomer. E-ramme 1 gjengir de vanligste årsakene til hypernatremi (7).

    RAMME 1

    Årsaker til hypernatremi (modifisert etter (7))

    Netto vanntap

    Hypodipsi

    Sentral diabetes insipidus

    Renale årsaker

    •  

      Nefrogen diabetes insipidus

    •  

      Loopdiuretika

    •  

      Osmotiske diuretika

    •  

      Polyuri etter akutt tubulær nekrose eller obstruksjon

    Gastrointestinale årsaker

    •  

      Oppkast

    •  

      Drenasje fra gastrointestinalkanalen

    •  

      Fistler

    •  

      Diaré

    Kutant tap

    •  

      Brannsår

    •  

      Svette

    Økt tilførsel av natrium

    Hypernatremiske infusjoner

    Sondeernæring

    Økt saltinntak per os

    Hyperton dialyse

    Hormonelle årsaker

    Primær hyperaldosteronisme

    Cushings syndrom

    Kortisolverdien som ble målt var innenfor laboratoriets referanseverdi, men utelukket ikke kortisolmangel. Det vanlige hos kritisk dårlige pasienter er at kortisol er over 414 nmol/l, uavhengig av tid på døgnet (8).

    Fjerde innleggelse: En måned etter tredje innleggelse ble han innlagt for fjerde gang. Han hadde feber og høy CRP og tilstanden ble igjen oppfattet som sepsis uten sikkert infeksjonsfokus. Det ble forsøkt flere antibiotikaregimer samt flukonazol i tilfelle soppinfeksjon. Han ble til slutt bedre på meropenem og metylprednisolon intravenøst. Natrium var som sist maksimalt 167 mmol/l.

    Som ved tredje innleggelse oppfylte pasienten kriteriene for systemisk inflammatorisk respons-syndrom. Han var alvorlig syk, og man var nødt til å gi flere behandlingsmodaliteter samtidig – uten at man kunne si hvilken behandling som hadde effekt. Det ble i journalen spekulert på om de høye natriumverdiene kunne skyldes «cerebral årsak».

    Femte innleggelse: tre år etter første innleggelsen ble pasienten innlagt for femte gang. Han kom inn med feber, forhøyet CRP og redusert allmenntilstand. Initialt ble pasienten behandlet med antibiotika. Serum-natrium ved innkomst var 161 mmol/l.

    Vi foretok nå en grundig anamnestisk og diagnostisk gjennomgang. Pasienten hadde fra barnealder hatt lærevansker, konsentrasjonsvansker, klossethet og dårlig koordinasjon. Fra ungdomstiden hadde han vært plaget med skjelving, men dette hadde senere forsvunnet. Han mente selv at erektil evne hadde forsvunnet ca. to år før denne innleggelsen. Ved undersøkelse var han uten behåring aksillært og genitalt. De siste månedene hadde han vært mye tørst og måttet drikke om natten.

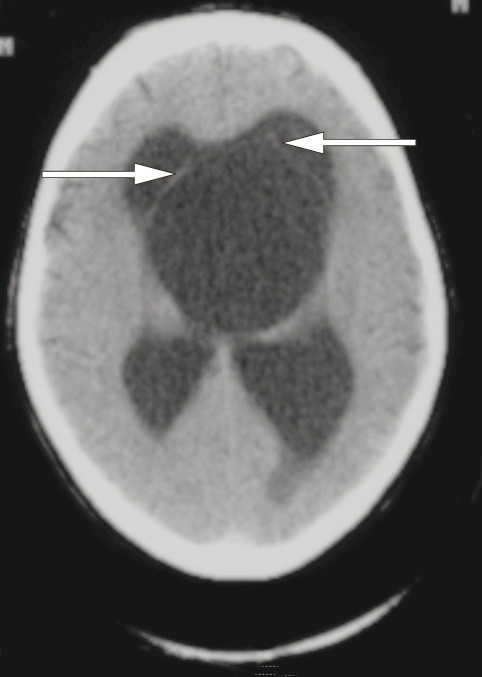
    Både datajournal og papirjournal ble grundig gjennomgått. Sykehistorien spenner over et langt tidsrom og illustreres med en tidslinje (fig 2). Allerede rundt 25 år før første innleggelse var han til vurdering for subjektive synsproblemer, og senere flere ganger for tåkesyn. Perimetri hadde påvist synsfeltdefekter, men pasienten hadde samarbeidsproblemer ved undersøkelsen og synsfeltdefektene varierte fra gang til gang, så man var usikker på om de var reelle. Ca. fem år senere ble han første gang vurdert av urolog, og i notatet blir det nevnt at han i flere år hadde hatt imperiøs vannlatingstrang og av og til inkontinens. Både da og senere var konklusjonen motorisk uhemmet blære. Som ledd i utredningen ble det omtrent 16 år før første innleggelse gjort en CT caput på samme lokalsykehus, og denne viste obstruktiv hydrocephalus (fig 3). Det var ikke beskrevet noen araknoidalcyste, men retrospektivt anes likevel araknoidalcysten på CT-bildene. Etter denne undersøkelsen ble han vurdert av nevrolog. Nevrologen fikk i sitt anamneseopptak kun frem «litt hyppig vannlating», og konkluderte med at pasienten hadde hatt hydrocephalus lenge og at cerebrospinalvæsketrykket ikke var vesentlig økt. Derfor henviste han ikke pasienten til nevrokirurg, men anbefalte kommunelegen å bestille en kontroll-CT om ca. 1/2 år. Noen annen oppfølging ble ikke anført. CT- funnet ble imidlertid ikke kontrollert, og diagnosen hydrocephalus nevnes ikke i pasientjournalen etter dette.

    Under en innleggelse 12 år før det vi har kalt første innleggelse, ble det påvist normal TSH på 2,20 mU/l (0,27 – 4,20) og samtidig lavt fritt T4 på 6,6 pmol/L (13,0 – 23,0). Lege på medisinsk avdeling anbefalte lokal kontrollmåling.

    Pasientens araknoidalcyste lå nær hypofysen, noe som kan gi hypofysesvikt (9). Vi utredet derfor hypofysefunksjonen.

    Det ble gjort en fullstendig hypofyseutredning og blodprøvesvar er gjengitt i tabell 1. Vi konkluderte med at pasienten hadde en uttalt hypofysesvikt, sannsynligvis inkludert diabetes insipidus. Han ble satt på kortisontabletter og desmopressin nesespray og utskrevet fra sykehuset i bedret allmenntilstand.

    Noen uker senere ble veksthormonproduksjonen elektivt utredet med intravenøs stimulasjonstest med veksthormonfrigjørende hormon og arginin (GHRH-arginin-test). Her steg veksthormon (GH) til maksimalt 1,9 mIE/l; det normale er over 4,2 mIE/l (10). For å undersøke om hypernatremien skyldtes diabetes insipidus (via redusert utskilling av antidiuretisk hormon (ADH)) ble det gjort en tørsteprøve over åtte timer. Etter åtte timer var osmolaliteten i serum og urin henholdsvis 325 mOsm/kg og 479 mOsm/kg (ratio 1,5), mens antidiuretisk hormon (ADH) var 0,8 pmol/l (0,8 – 4,3). Det normale etter åtte timer er at urinosmolalitet-serumosmolalitet-ratioen er over 2 (9).

    Etter den femte innleggelsen ble pasienten igjen henvist til nevrokirurgisk avdeling på regionsykehus. Han ble på ny operert, og araknoidalcysten lot seg denne gangen fenestrere endoskopisk. Imidlertid fikk pasienten i forløpet et hjerneslag med venstresidig hemiparese. Han klarte ikke lenger å gå og måtte benytte rullestol. Han flyttet permanent på sykehjem.

    Tabell 1

    Blodprøver tatt under femte innleggelse¹

    Blodprøver

    Pasient

    Referanseverdi

    Testosteron (nmol/l)

    0,07

    6,73 – 31,88

    Seksualhormonbindende globulin (SHBG) (nmol/l)

    44

    15 – 83

    Luteiniserende hormon (LH) (IE/l)

    0,4

    1,3 – 9,6

    Insulinliknende vekstfaktor 1 (IgF-1) (nmol/l)

    9,7

    11,0 – 31,0

    Thyreoideastimulerende hormon (TSH) (mU/l)

    0,03

    0,27 – 4,20

    Fritt tyroksin (FT4) (pmol/l)

    14,1

    13,0 – 23,0

    Kortisol (nmol/l)

    10

    142 – 651

    Kortisol kl 20

    55

    142 – 651

    Kortisol kl 24

    26

    142 – 651

    Prolaktin (mIE/l)

    231

    86 – 324

    [i]

    [i] ¹   Alle prøvene bortsett fra de to kortisolmålingene merket med klokkeslett er tatt fastende kl 0730

    Diskusjon

    Diskusjon

    Pasienten hadde en suprasellær araknoidalcyste som førte til obstruktiv hydrocephalus og utviklet uttalt hypofysesvikt, inkludert sentral diabetes insipidus. Han hadde fra unge år hatt lærevansker og klossethet, og det er mulig at allerede dette skyldtes den cerebrale patologien. Både mangeårige inkontinensplager og gangvansker kan tilskrives hydrocephalus. Videre hadde han allerede over ti år før første innleggelse normal TSH, men svært lavt nivå av fritt T4. Sannsynligvis hadde han allerede da begynnende hypofysesvikt.

    Ved tredje og fjerde innleggelse hadde pasienten effekt av glukokortikoider, og dette skyldtes sannsynligvis kortisolmangel på grunn av nedsatt produksjon av ACTH i hypofysen. Imidlertid hadde han ved begge innleggelsene systemisk inflammatorisk respons-syndrom, slik at det var vanskelig å avklare om det var behandling med glukokortikoider eller antibiotika som hjalp. Ved tredje innleggelse hadde pasienten relativt lav morgenkortisol. Imidlertid gir hypokortisolisme vanligvis hyponatremi (11), mens pasienten hadde hypernatremi. Derfor ble ikke det lave kortisolnivået tillagt vekt. Hypernatremien var til stede fra tredje innleggelse. Dette skyldtes diabetes insipidus. Manglende genital og aksillar behåring og manglende seksualfunksjon indikerer at pasienten i lang tid hadde hatt sekundær (hypofysær) hypogonadisme.

    Hypofysesvikten disponerte sannsynligvis for bildet av systemisk inflammatorisk respons-syndrom under tredje og fjerde innleggelse (12). Utover dette ser vi ingen direkte assosiasjon mellom verken hydrocephalus eller araknoidalcysten og syndromet. Ved de tre første innleggelsene vi har beskrevet hadde pasienten nevrologiske symptomer, og ved både andre og tredje innleggelse ble hjerneslag vurdert som sannsynlig årsak. Pasienten hadde kjent hjertekarsykdom, men retrospektivt mener vi det er sannsynlig at hydrocephalus bidro til symptomene.

    Araknoidalcyster forekommer hos opptil 1,1 % av befolkningen (13), og ca. 75 % av de symptomatiske finnes hos barn (14). Suprasellære araknoidalcyster (lokalisasjon over sella turcica, der hypofysen ligger) utgjør under 10 % av alle araknoidalcyster (14). Generelt gir araknoidalcyster få symptomer, men over 94 % av de suprasellære er symptomatiske (14). De kan gi symptomer direkte via kompresjon av omliggende strukturer (hypofyse, hypothalamus og synsbaner) eller via utvikling av hydrocephalus. Ved symptomgivende araknoidalcyster kan det foreligge operasjonsindikasjon (15). Hypofysesvikt som følge av araknoidalcyster er sjelden rapportert. Når det gjelder diabetes insipidus som følge av araknoidalcyste, har vi i litteraturen kun funnet det beskrevet hos barn (16, 17). Dette er, så langt vi kan se, den første beskrivelsen av dette hos en voksen pasient.

    Hydrocephalus kan utvikles akutt eller langsomt. Symptomene avhenger av hastigheten av utviklingen. En gradvis utviklet, kompensert obstruktiv hydrocephalus kan være symptomfattig, men typisk er symptomene man også ser ved normaltrykkshydrocephalus, med gangforstyrrelser, kognitivt funksjonstap og vannlatingsproblemer (Hakims triade) (1). Gangen er typisk bredsporet, langsom og ustødig med korte, subbende skritt. Det kognitive funksjonstapet debuterer gjerne som nedsatt oppmerksomhet og hukommelse, eksekutiv svikt og apati. Imperiøs vannlatingstrang (urge) er den vanligste måten vannlatingsplagene debuterer på, senere i forløpet utvikles ofte inkontinens.

    I hypofysens forlapp produseres veksthormon (GH), luteiniserende hormon (LH), follikkelstimulerende hormon (FSH), TSH, ACTH og prolaktin. Antidiuretisk hormon produseres i celler i hypothalamus og fraktes i cellenes aksoner til hypofysens baklapp. Alle typer patologiske prosesser i eller ved hypofysen kan forårsake hypofysesvikt med sviktende hormonproduksjon (9). Blant de vanligste årsakene er mekanisk trykk fra svulster. Hypofysesvikt kan føre til en rekke symptomer, avhengig av hvilke hormoner som er affisert. Uttalt hypofysesvikt kan være livstruende. I diagnostikk av hypofysesvikt brukes både basale hormonprøver og stimulasjonstester (9). Vi verifiserte veksthormonmangel ved GHRH-arginin-stimulasjonstest og diabetes insipidus ved tørsteprøve. Lav LH og meget lavt testosteronnivå var diagnostisk for sekundær hypogonadisme og døgnprofil av kortisol (lav morgenkortisol) for hypokortisolisme. Prolaktinproduksjonen var den eneste som var intakt.

    Hva sviktet i oppfølgingen av pasienten?

    Hva sviktet i oppfølgingen av pasienten?

    På bakgrunn av pasientens langvarige sykehistorie må oppfølging og behandling vurderes kritisk. For det første: Burde pasienten vært operert for hydrocephalus 15 år før det vi har kalt første innleggelse? Han hadde da hatt vannlatingsproblemer, tåkesyn, mangeårige lærevansker, klossethet og dårlig koordinasjon. Nevrologen som vurderte ham fikk imidlertid kun frem beskjedne vannlatingsplager og vurderte sammenhengen mellom hydrocephalus og symptomene som usikker. På denne tiden var behandling av symptomfattig hydrocephalus omdiskutert (18). Vi mener derfor at beslutningen om ikke å henvise til nevrokirurg kan forsvares.

    Araknoidalcysten var på dette tidspunktet ikke påvist. Retrospektivt kan den nok anes på CT, og kanskje kunne spesialundersøkelser med CT (ventrikulografi eller cisternografi) avslørt cysten. På denne tiden var MR-teknologien ny og lite tilgjengelig. Vi mener likevel det ville vært naturlig å videreutrede hydrocephalus hos en mann i 40-årene. Sannsynligvis hadde påvisning av cysten ført til kontakt med nevrokirurg.

    Nevrologen som undersøkte pasienten 15 år før det vi har kalt første innleggelse, vurderte pasienten og anbefalte at ny CT caput skulle bestilles av primærlege. Dette ble ikke fulgt opp. Etter vår vurdering burde det vært gitt klarere retningslinjer for videre klinisk og radiologisk oppfølging.

    Pasientens hydrocephalus ble «glemt» etter at nevrologen hadde vurdert pasienten. Det finnes ikke noe «diagnosekort» som følger en pasient. Journalopptak bygger ofte på tidligere sykehistorie og diagnoser fra tidligere innleggelse. Polikliniske notater kan ofte overses. Videre gikk man over til elektronisk pasientjournal i 2002, og papirjournalen var kun skannet inn etter 2000. I dag innhentes papirjournal kun unntaksvis, så derfor manglet vi i praksis kunnskap om hans hydrocephalus.

    Første gang det ble påvist patologiske thyreoideaprøver var fire år etter at hydrocephalus først var oppdaget. Allerede da burde det etter vår vurdering vært gjort en hypofyseutredning (9). Det ble kun anbefalt kontroll av stoffskiftet hos primærlege, som oppfattet dette som en hypotyreose og satte pasienten på tyroksin-Na.

    Under tredje og fjerde innleggelse burde man tenkt på diabetes insipidus ved konstellasjonen suprasellær araknoidalcyste og serum-natrium på 167 mmol/l (19). Hypokortisolisme burde vært vurdert da han ved tredje innleggelse i en stressituasjon kun hadde en kortisolverdi på 293 nmol/l (8). Sannsynlig effekt av glukokortikoidbehandling ved tredje og fjerde innleggelse pekte i samme retning.

    Ved begge operasjonene var operasjonsindikasjonen økende funksjonstap, ved den andre kombinert med hypofysesvikt. Kirurgi både ved araknoidalcyster og hydrocephalus er vist å bedre kognitiv funksjon og andre funksjonstap (20), og kirurgi av hypofyseadenomer vil ofte bedre hypofysens hormonproduksjon (21). Vi mener derfor at operasjonene ble utført på korrekt indikasjon. Et annet spørsmål er om man ved første operasjon, når araknoidalcysten ikke lot seg penetrere, burde vurdert åpen operasjon eller mikrokirurgisk fenestrasjon av cysten. På bakgrunn av bedringen etter operasjonen var man imidlertid fornøyd og avsto fra dette.

    Nevrokirurg anbefalte videre kontroller på lokalsykehus etter første operasjon, men epikrisen gikk kun til primærhelsetjenesten og ikke til lokalsykehuset.

    Noe som også kan ha bidratt til at diagnostiseringen gikk langsomt, er at pasienten har vært en beskjeden og forsiktig mann i møte med helsevesenet.

    Konklusjon

    Konklusjon

    Hos denne pasienten mener vi at kontrollopplegget etter at pasienten fikk påvist hydrocephalus var mangelfullt. Det er også iøynefallende at kommunikasjonen mellom første- og annenlinjetjenesten sviktet. Videre gikk påvisningen av hypofysesvikten for sent. Imidlertid er hydrocephalus, hypofysesvikt og araknoidalcyster sjeldne problemstillinger, og det kan ha bidratt til forsinket diagnostikk.

    I samband med at en artikkelforfatterne intervjuet pasienten, ble mulighetene for erstatning nevnt og det ble formidlet kontakt med pasientombudet.

    Takk til sykepleier Hege Solberg, Medisinsk poliklinikk, Sykehuset Namsos, som utførte GHRH-arginin-testen og tørsteprøven og til overlege Sila Heibert-Vandré, Avdeling for bildediagnostikk, Sykehuset Namsos, for tolking av røntgenbilder. Pasienten har gitt samtykke til at artikkelen blir publisert.

    Kommentarer  ( 0 )
    PDF
    Skriv ut

    Anbefalte artikler