Primær myelofibrose – patogenese, diagnostikk og behandling

    ()

    sporsmal_grey_rgb
    Abstract
    BAKGRUNN

    BAKGRUNN

    Primær myelofibrose er en malign myeloproliferativ sykdom. Den karakteriseres av proliferasjon av megakaryocyttene i beinmargen, forstyrret cytokinproduksjon samt reaktiv fibrose som medfører beinmargssvikt. Hensikten med denne artikkelen er å gi en oppdatert fremstilling av patofysiologi, diagnostikk og behandling av sykdommen.

    KUNNSKAPSGRUNNLAG

    KUNNSKAPSGRUNNLAG

    Artikkelen bygger på egen erfaring og på utvalg av artikler identifisert gjennom mange års erfaring med behandlingen av pasienter med myelofibrose.

    RESULTATER

    RESULTATER

    De sykdomsinitierende molekylære mekanismer er fortsatt uavklarte, men mutasjon i to gener (JAK2 og MPL) forkommer hos 70 % av pasientene og medfører økt produksjon av hematopoetiske celler. Diagnosen baseres på kliniske funn, beinmarghistologi og molekylærbiologiske undersøkelser. Primær myelofibrose har et variert klinisk forløp. Leveutsiktene avhenger av flere faktorer og er sterkt redusert ved høyrisikosykdom. Allogen stamcelletransplantasjon er den eneste behandling med kurativt potensial, men kun et mindretall av pasientene er egnet. Dersom transplantasjon ikke er aktuelt, er behandlingen symptomrettet. JAK2-hemmere er nye medikamenter som motvirker cytokinproduksjon og celleproliferasjon. Ruxolitinib er den første godkjente JAK2-hemmeren og har vist effekt på symptomer og livskvalitet.

    FORTOLKNING

    FORTOLKNING

    Medikamentell hemning av JAK2-genet og den tilhørende signalveien JAK-STAT er et fremskritt i behandlingen. Stamcelletransplantasjon er midlertid fortsatt den eneste mulige kurative behandlingen av myelofibrose.

    Abstract

    BACKGROUND

    Primary myelofibrosis is a malignant myeloproliferative disease. It is characterised by proliferation of megakaryocytes in the bone marrow, dysregulated cytokine production and reactive fibrosis that causes bone marrow failure. The purpose of this article is to provide an up-to-date presentation of the pathophysiology, diagnostics and treatment of the disease.

    METHOD

    The article is based on the authors' own experience and on a selection of articles identified through many years of experience of treating patients with myelofibrosis.

    RESULTS

    The molecular mechanisms that trigger the disease remain unidentified, but mutations in two genes (JAK2 and MPL) occur in 70 % of patients and result in increased production of haematopoietic cells. Diagnosis is based on clinical examination, bone marrow histology and molecular biological examinations. The clinical course of primary myelofibrosis varies. Life expectancy depends on a number of factors and is severely decreased by high-risk disease. Allogeneic stem cell transplantation is the only treatment with a curative potential, but only a minority of patients are eligible for it. If transplantation is not possible, therapy is symptomatic. JAK2-inhibitors are new drugs that counteract cytokine production and cell proliferation. Ruxolitinib is the first approved JAK2 inhibitor and has proved effective on symptoms and quality of life.

    INTERPRETATION

    Medical inhibition of the JAK2 gene and associated JAK-STAT signalling pathway is a step forward in treatment. However, stem cell transplantation remains the only potentially curative treatment for myelofibrosis.

    Artikkel

    Primær myelofibrose er en malign myeloproliferativ sykdom som kan vise seg med anemi, slapphet og magesmerter eller med konstitusjonelle symptomer som feber, svette, og vekttap. Sykdommen karakteriseres ved beinmargsproliferasjon av megakaryocyttene og granulocyttforstadiene, forstyrret cytokinproduksjon samt reaktiv fibrose som medfører beinmargssvikt og ekstramedullær hematopoese (1). Den har et varierende klinisk forløp og påvirker leveutsiktene (2).

    Primær myelofibrose hører til gruppen myeloproliferative neoplasier som omfatter blant annet polycythemia vera og essensiell trombocytose. Disse beslektede sykdommene kan transformeres til myelofibrose og kalles da post-polycythemia vera eller post-essensiell trombocytose-myelofibrose. Ramme 1 viser Verdens helseorganisasjons klassifikasjon av myeloproliferative neoplasier (1).

    RAMME 1

    Verdens Helseorganisasjons klassifikasjon av myeloproliferative neoplasier (1)

    Kronisk myelogen leukemi (KML)

    Kronisk nøytrofil leukemi

    Polycythemia vera

    Primær myelofibrose

    Essensiell trombocytemi

    Kronisk eosinofil leukemi

    Mastocytose

    Ikke klassifiserbare myeloproliferative neoplasier

    Ved myeloproliferative neoplasier er det påvist mutasjoner i genet for Janus-kinase-2 (JAK2) (fig 1). Denne oppdagelsen har gjort diagnostikken sikrere og ført til utviklingen av nye medikamenter som hemmer JAK2-proteinet. Hensikten med artikkelen er å gi en oppdatert gjennomgang av patogenese, diagnostikk og behandling ved primær myelofibrose.

    Kunnskapsgrunnlag

    Kunnskapsgrunnlag

    Artikkelen bygger på utvalg av relevante studier og oversiktsartikler identifisert gjennom mange års erfaring i behandlingen av pasienter med myelofibrose, inkludert bruk av den nylig registrerte JAK2-hemmeren ruxolitinib.

    Patogenese

    Patogenese

    De sykdomsinitierende genmutasjonene ved primær myelofibrose er ukjente, men 50 – 60 % av pasientene har mutasjonen JAK2 V617F (3). Mutasjonen kan også påvises ved polycythemia vera (over 90 %) og essensiell trombocytose (ca. 60 %). Omtrent 10 % av pasientene med primær myelofibrose har mutasjon i MPL W515/L-genet (myeloproliferativ leukemi virus onkogen/trombopoietin-reseptor) (3). Andre mutasjoner er sjeldnere, er ikke sykdomsspesifikke og brukes ikke rutinemessig i diagnostikken (4). JAK2- og MPL-mutasjoner gir økt signalering via JAK-STAT-signalveien (STAT = signaltransduser og aktivator av transkripsjon), se figur 1 (4). Dette fører til myeloproliferasjon og en sekundær inflammasjon som medfører forstyrret cytokinproduksjon, inkludert frisetting av vekstfaktorer som stimulerer fibroblastene og medfører lokal fibrose og senere osteosklerose og beinmargssvikt som sluttresultat. Dette kalles primær beinmargsfibrose fordi den utløses av en primær malign beinmargssykdom; dette er i motsetning til sekundær beinmargsfibrose som utløses av medikamenter som trombopoietinreseptoragonister (5), autoimmune sykdommer eller maligniteter (6).

    Diagnose og utredning

    Diagnose og utredning

    Insidensen av primær myelofibrose er angitt til 0,3 – 1,5 per 100 000/år (7, 8). I Norge er insidensen 0,4 per 100 000 (9). Diagnosen stilles i henhold til WHOs 2008-kriterier for primær myelofibrose og baseres på kliniske funn, beinmarghistologi og molekylærbiologiske undersøkelser, se ramme 2 (1). Det kan iblant være vanskelig å skille primær myelofibrose fra andre tilstander som er ledsaget av beinmargsfibrose, særskilt ved fravær av mutasjon, som f. eks. andre hematologiske neoplasier (andre myeloproliferative sykdommer eller myelodysplastisk syndrom) eller metastaserende neoplasier i beinmargen, som prostatakreft.

    RAMME 2

    Verdens helseorganisasjons kriterier for diagnose av primær myelofibrose. Diagnosen krever tilstedeværelse av alle hovedkriterier og minst to bikriterier (1)

    Hovedkriterier

    • 1

      Megakaryocyttproliferasjon og atypi¹ vanligvis ledsaget av retikulin og/eller kollagenfibrose i beinmarg

    • 2

      Fravær av polycythemia vera, kronisk myelogen leukemi, myelodysplastisk syndrom eller andre myeloide neoplasier

    • 3

      JAK2-V617F-mutasjon eller annen klonal markør, f.eks. MPL W515K/L, eller fravær av reaktiv fibrose i beinmargen

    Bikriterier

    • 1

      Leukoerytroblastose

    • 2

      Økning i serum-laktatdehydrogenase

    • 3

      Anemi

    • 4

      Splenomegali

    ¹   Små til store megakaryocytter med forstyrret kjerne-cytoplasma-ratio, hyperkromasi, bulløs eller irregulær lobulering og ansamling (clustering)

    Median alder ved diagnosetidspunktet er 65 – 70 år og kjønnsfordelingen er lik. Det kliniske forløpet av primær myelofibrose er svært varierende. Hos noen er det en indolent sykdom med lang overlevelse, hos andre en aggressiv symptomgivende sykdom med kort overlevelse. Primær myelofibrose kan være asymptomatisk og fanges opp ved rutineprøver som viser lett anemi, trombocytose og/eller leukocytose. Vanlige symptomer og funn ved symptomatisk sykdom er anemi, slapphet, hepatosplenomegali med abdominale smerter, metthetsfølelse eller konstitusjonelle symptomer (feber, svette, og vekttap) (3). Ekstramedullær hematopoese kan forekomme hos 10 %, og symptomene avhenger av lokalisasjonen (10). Symptomatisk sykdom ses ofte ved det fibrotiske stadiet av primær myelofibrose, i motsetning til det tidlige prefibrotiske stadiet, som utgjør ca. 30 % av tilfellene.

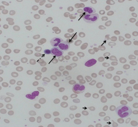
    Utredningen starter med perifere blodtellinger, blodutstryk og biokjemiske prøver. Anisopoikilocytose, mikrocytær/normocytær anemi, dacryocytter (dråpeformede), schistocytter (fragmenter), erytroblaster og myeloblaster kan ses i utstryket (fig 2), men utstryket kan også være normalt i tidlige stadier. Forhøyet laktatdehydrogenase (LDH) ses ofte og indikerer ineffektiv hematopoese og hemolyse (10).

    Beinmargshistologi

    Beinmargshistologi

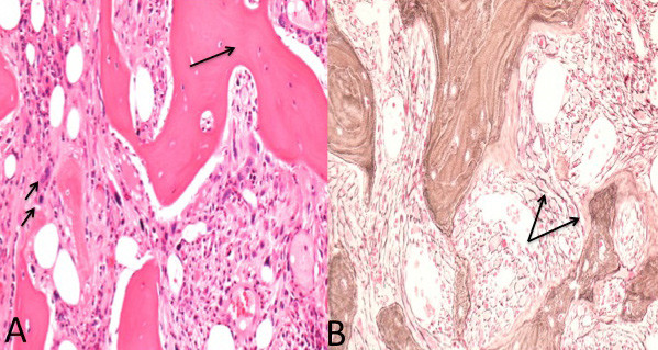
    Beinmargsbiopsi er helt sentral for å stille diagnosen primær myelofibrose (fig 3), siden histologiske forandringer utgjør et av hovedkriteriene for diagnosen. Megakaryocyttproliferasjon og atypi samt økt bindevev (fibrose), som hovedsakelig består av kollagen type III (også kalt retikulin) og kollagen type I-fibre i beinmargen er de mest typiske forandringene. Fibrosen graderes i fire grader fra MF-0 til MF-3 (11). Ved prefibrotisk stadium av primær myelofibrose ser man enten ingen fibrose (MF-0) eller liten fibrose (MF-1). Større mengder av tykkere og kryssende fibre av kollagen type III og ofte kollagen type I ses ved det fibrotiske stadiet. Prefibrotisk primær myelofibrose er en ny klassifisering og representerer en diagnostisk utfordring fordi det ofte kan være vanskelig å skille den fra essensiell trombocytose (12, 13). Prefibrotisk primær myelofibrose progredierer i betydelig større grad til fibrotisk primær myelofibrose enn det essensiell trombocytose gjør og har signifikant kortere overlevelse (14).

    Cytogenetisk analyse

    Cytogenetisk analyse

    Cyotogenetisk analyse, såkalt karyotyping, anbefales gjennomført hos alle yngre pasienter. Karyotyping har diagnostisk (for å utelukke kronisk myelogen leukemi), prognostisk og behandlingsmessig betydning. Cytogenetisk analyse utføres på beinmargsaspirat. Cytogenetiske avvik kan forekomme hos 30 %.

    Molekylærbiologiske undersøkelser

    Molekylærbiologiske undersøkelser

    JAK2-mutasjonen utgjør et diagnostisk hovedkriterium (1). Prøven tas på perifert blod. MPL W515K/L-mutasjon bør gjøres dersom JAK2 er negativ (15). BCR-ABL-analyse skal gjøres for å utelukke kronisk myelogen leukemi. Andre mutasjonsanalyser utføres ikke rutinemessig.

    Overlevelse og prognostiske faktorer

    Overlevelse og prognostiske faktorer

    Primær myelofibrose har et svært variert klinisk forløp. Median overlevelse er ca. fem år, men kan variere fra ett år til > 30 år. Hyppigste dødsårsaker er transformasjon til akutt leukemi, progresjon av primær myelofibrose, trombose, portal hypertensjon og blødninger, kardiovaskulære komplikasjoner og infeksjoner (16). Myeloproliferative sykdommer er hyppigste enkeltårsak til abdominal trombose (17).

    Det er etablert prognostiske skåringssystemer, dels for vurdering av forventet overlevelse fra diagnosetidspunkt (IPSS (16)), dels for vurdering av risiko under sykdomsforløpet (DIPSS (18) og DIPSS pluss (19)). DIPSS er mest anvendt (tab 1).

    Tabell 1

    DIPSS – prognostisk skåringssystem for primær myelofibrose (18). Skåren kan anvendes under hele sykdomsforløpet for å estimere overlevelsen. Median overlevelse ved lavrisiko (summert risikoskår 0) = > 240 måneder, intermediær risiko 1 (summert risikoskår 1–2) = 170 måneder, intermediær risiko 2 (summert risikoskår 3–4) = 48 måneder og høyrisiko (summert risikoskår 5–6) = 18 måneder

    Prognostiske faktorer

    Risikoskår

    Alder > 65 år

    1

    Anemi (Hb < 10g/dl)

    2

    Leukocytter > 25 × 10⁹

    1

    Blaster i blod ≥ 1 %

    1

    Konstitusjonelle symptomer

    1

    Behandlingsmål og behandlingsmuligheter

    Behandlingsmål og behandlingsmuligheter

    Primær myelofibrose håndteres hovedsakelig av spesialister i blodsykdommer ved område- eller lokalsykehus og i samarbeid med universitetssykehusene. Behandlingsmålet må kartlegges før start av behandling. Målet med behandlingen er å øke overlevelsen ved å hindre beinmargssvikt og transformasjon til akutt leukemi, og å behandle symptomer som anemi, konstitusjonelle symptomer, symptomgivende hepatosplenomegali og ekstramedullær hematopoese samt hindre trombohemoragiske komplikasjoner (10, 20). Den eneste dokumentert livsforlengende og mulig kurative behandlingen er allogen stamcelletransplantasjon. Det er viktig ved diagnosetidspunktet å ta stilling til om pasienten kan være kandidat for dette, og den vurderingen må fortløpende gjøres under oppfølgingen av pasienten. Når denne behandlingsmuligheten ikke foreligger, er behandlingen symptomrettet.

    Valg av behandling baseres på risikostratifisering. Ubehandlet observasjon er aktuelt hos asymptomatiske pasienter med lav risiko og intermediær risiko 1. Dersom behandling er nødvendig pga. trombocytose, kan alternativene være interferon, hydroksyurea eller anagrelid. Pasienter med intermediær risiko 2 eller høy risiko har relativt kort forventet overlevelse (tab 1), har vanligvis symptomer og er dermed behandlingstrengende. Disse pasientene skal vurderes med tanke på allogen stamcelletransplantasjon når de er under 60 – 65 år. De som ikke egner seg for transplantasjon pga. manglende donor, komorbiditet eller alder, kan tilbys symptomrettet behandling, se behandlingsalgoritme (fig 4). For en mer detaljert oversikt over behandlingen, se nordiske retningslinjer for diagnose og behandling av myeloproliferative neoplasier (20).

    Kurativ allogen stamcelletransplantasjon

    Kurativ allogen stamcelletransplantasjon

    Allogen stamcelletransplantasjon er den eneste behandlingen med kurativt potensial, men på grunn av mortalitetsrisikoen som er knyttet til selve transplantasjonen er dette bare aktuelt hos yngre pasienter med kort forventet levetid (< 3 – 5 år), dvs. gruppen klassifisert med høy risiko eller intermediær risiko 2 (4, 10, 21). Allogen stamcelletransplantasjon kan utføres enten med fullintensitetskondisjonering, også kalt myeloablativ kondisjonering, dvs. å gi store mengder cellegift for å oppnå fullstendig utrydning av beinmargscellene, eller med doseredusert kondisjonering som gir lavere kortsiktig toksisitet (21) og muliggjør allogen stamcelletransplantasjon opp mot 60 – 65 års alder. 3 – 5 års overlevelse er rapportert å være 30 – 70 % etter fullintensitetskondisjonering og 45 – 85 % etter doseredusert kondisjonering (21). Det finnes ingen kontrollerte studier der man har sammenliknet respons og overlevelse for de to transplantasjonsformene. Generelt foretrekkes det fortsatt full intensitet for yngre pasienter (opp mot 40 – 45 år) og doseredusert for eldre pasienter (4, 21).

    Symptomrettet behandling med ikke-målrettede midler

    Symptomrettet behandling med ikke-målrettede midler

    Behandling av anemi

    Behandling av anemi

    Anemi er det vanligste funnet ved primær myelofibrose. Den skal behandles når den er symptomgivende, og blodtransfusjoner er standardbehandlingen (10). Gjentatte transfusjoner medfører jernakkumulering og er som førstevalg mest aktuell for eldre pasienter med kort leveutsikt. Erytropoietin (f.eks. 150 – 300 μg darbepoietin-α subkutant ukentlig) kan forsøkes hos pasienter med moderat anemi og lavt serum-erytropoietin (< 125 U/l), særlig hvis det ikke foreligger vesentlig splenomegali. Om lag 50 % responderer på behandlingen (22).

    Andre medikamenter som danazol og talidomid kan ha effekt på anemien. Effekten kan forbedres ved kombinasjon med prednisolon. Danazol 200 mg daglig med gradvis doseøkning til 600 mg daglig, kan gi forbigående transfusjonsuavhengighet hos 35 % (23). Talidomid (50 – 100 mg daglig) kan redusere anemi og splenomegali (24); opptil 60 % kan få økning i hemoglobinkonsentrasjonen ved kombinasjon med prednisolon (0,5 mg/kg/dag, deretter nedtrapping) (25). Lenalidomid og pomalidomid (uregistrert) er talidomidderivater som også har vist god effekt på anemien, men med mindre bivirkninger som nevrotoksisitet (26). Effekten av alle disse medikamentene er imidlertid kortvarig, og de er ikke undersøkt i sammenliknende studier.

    Behandling av trombocytose

    Behandling av trombocytose

    Trombocytose forekommer ofte i den tidlige fasen av primær myelofibrose, særskilt ved prefibrotisk primær myelofibrose. Ettersom det er vanskelig å skille prefibrotisk primær myelofibrose fra essensiell trombocytose, anbefales det å behandle disse på samme vis. Aktuelle medikamenter er interferon-α, hydroksyurea eller anagrelid samt acetylsalisylsyre (4, 20).

    Hydroksyurea er myelosuppressivt og reduserer leukocyttall og trombocyttall og foretrekkes for pasienter > 60 år. Nøye oppfølging av perifere blodverdier er nødvendig, siden hydroksyurea kan gi leukotrombopeni. Interferon-α er immunmodulerende og har cytoreduktiv effekt. Interferon-α er det eneste medikamentet som har vist en viss effekt på fibroseutviklingen i beinmarg (27). Pegylerte interferoner er førstevalg til pasienter < 60 år som trenger cytoreduktiv behandling.

    Splenomegali og konstitusjonelle symptomer

    Splenomegali og konstitusjonelle symptomer

    Hydroksyurea regnes som førstelinjevalg for pasienter med symptomgivende splenomegali (4). Medikamentet kan redusere miltstørrelsen og konstitusjonelle symptomer (28). Splenektomi kan være et alternativ for pasienter med symptomgivende splenomegali som ikke responderer på medikamentell behandling. Om lag 50 % av pasientene kan bli transfusjonsuavhengige og noen kan bli kvitt konstitusjonelle symptomer (4). Effekten av splenektomi og hydroksyurea er imidlertid kortvarig. Splenektomi er et alternativ, men er forbundet med en høy operativ mortalitet (7 – 9 %) og morbiditet (30 %) (29, 30).

    JAK2-hemmere – en ny målrettet behandling

    JAK2-hemmere – en ny målrettet behandling

    JAK2-hemmere er den mest sykdomsspesifikke behandlingen ved myelofibrose. Disse medikamentene er tyrosinkinasehemmere som hemmer JAK2 -signalveien og dermed reduserer cytokinproduksjon og celleproliferasjon. Denne signalveien er viktig i hematopoetiske celler uavhengig av om JAK2-genet er mutert eller ikke. JAK2-hemmere virker derfor både hos pasienter med og uten JAK2-mutasjon.

    Ruxolitinib (Jakavi) er en JAK1- og JAK2-hemmer og er den første JAK-hemmeren som har fullført fase 3-studiene. Medikamentet er nå blitt godkjent for behandling av sykdomsrelatert splenomegali eller andre symptomer hos voksne pasienter med primær myelofibrose eller sekundær myelofibrose (post-polycythemia vera eller essensiell trombocytemi). I de to fase 3-studiene COMFORT-1 og -2 ble effekten og sikkerheten av ruxolitinib sammenliknet med henholdsvis placebo og beste behandlingsalternativ (31, 32). Ruxolitinib ga signifikant reduksjon av miltstørrelsen (minst 35 % reduksjon av miltvolum) hos 30 – 40 % av pasientene etter 24 – 48 uker, mot < 1 % i kontrollgruppen. Man så også bedring av konstitusjonelle symptomer sammenliknet med kontrollpersonene. I begge studier førte ruxolitinib til signifikant bedring i livskvaliteten. Begge studiene indikerer bedre overlevelse med ruxolitinib. Medikamentet ser ikke ut til å stanse eller reversere utviklingen av fibrose i beinmargen. Trombocytopeni og anemi er de hyppigste hematologiske bivirkningene, mens hodepine og svimmelhet var de hyppigste ikke-hematologiske bivirkningene. Det er flere JAK2-hemmere under utvikling og testing i kliniske studier. Foreløpige resultater tyder på en god del variasjon i virkningsmekanismene, effekt og bivirkningsprofil ved de forskjellige preparatene.

    Konklusjon

    Konklusjon

    Primær myelofibrose er en myeloproliferativ neoplastisk sykdom med variert klinisk forløp. Sykdommen reduserer levetiden og livskvaliteten. Allogen stamcelletransplantasjon er den eneste mulige kurative behandlingen. JAK2-hemmere er nye og lovende medikamenter som kan redusere splenomegali og konstitusjonelle symptomer, forbedre livskvaliteten og muligens forlenge levetiden ved myelofibrose.

    Kommentarer  ( 0 )
    PDF
    Skriv ut

    Anbefalte artikler