I Norge registreres hvert år ca. 1 500 tilfeller av malignt melanom (1). Tidlig diagnose og adekvat kirurgisk behandling kurerer mange pasienter (80 – 90 %). Av dem som blir operert, vil ca. 10 – 20 % oppleve lokalt/regionalt tilbakefall eller fjernspredning (2). Disse trenger rask vurdering og behandling. Cellegiftbehandling vil være standard for de fleste pasienter med fjernspredning, men noen vil kunne tilbys nyere typer systembehandling som ofte er mer målrettet og effektiv enn cellegift. Nyere medikamenter gir håp til denne pasientgruppen etter mange års stillstand i behandlingstilbudet. Denne publikasjonen er tenkt som en oppsummering av den etablerte behandlingen og de nyeste trendene innen diagnostikk og behandling av pasienter med føflekkreft i Norge.
Kunnskapsgrunnlag
Artikkelen bygger på et søk i PubMed etter relevante publikasjoner i tidsrommet 1.1. 2000 – 1.4. 2013. Følgende stikkord ble brukt i søket: «malignant melanoma» (alene og i kombinasjon med følgende tilleggsstikkord:) «surgery», «sentinel node procedure», «chemotherapy», «immunotherapy», «radiation», «molecular biology», «BRAF», «CTLA-4», og «MEK». I tillegg bygger artikkelen på forfattergruppens samlede kliniske og forskningsmessige erfaringer knyttet til malignt melanom.
Epidemiologi, forebygging og solariebruk
Siden Kreftregisteret ble opprettet i 1952 er forekomsten av malignt melanom i hud mer enn åttedoblet (1). I aldersgruppen 15 – 54 år er dette nå den nest hyppigst forekommende kreftformen for begge kjønn samlet. I 1953 var den aldersjusterte insidensraten (antall tilfeller per 100 000 per år) for kvinner og menn henholdsvis 1,9 og 2,2, mens tilsvarende tall for 2010 var 19,6 og 19,0 (3). Den største økningen ser vi i aldersgruppen over 60 år, særlig for menn. Forekomsten av malignt melanom er mer enn dobbelt så hyppig i Sør-Norge som i Nord-Norge. Det tilskrives ulik soleksponering (dose av ultrafiolett (UV)-stråling), som er den viktigste kjente årsaken til utviklingen av malignt melanom (4). Intermitterende og intens eksponering som kan medføre forbrenning regnes som spesielt skadelig. Best overlevelse har pasienter med lokal sykdom. Langtidsoverlevelsen ved melanom i avansert stadium er lav og marginalt bedret over tid.
Primær forebygging innebærer derfor beskyttelse mot intens eksponering for sol som kan medføre solforbrenning. Kreftforeningens solvettregler anbefaler pauser fra solen mellom kl 11 og kl 15, bruk av beskyttende plagg og solkrem med minst faktor 15. I en metaanalyse utført av en internasjonal arbeidsgruppe i samarbeid med World Health Organization (WHO) har man dessuten dokumentert økt risiko for malignt melanom for solariumbrukere, og på denne bakgrunn frarådes bruk av solarium (5). Sekundær forebygging oppnås gjennom økt bevissthet og kunnskap i befolkningen.
Kliniske kjennetegn
Kliniske funn ved malignt melanom varierer. Anamnese sammenholdt med klinisk undersøkelse og eventuelt dermatoskopi vil kunne bidra til at diagnosen mistenkes. ABCD(E)-regelen (4) er nyttig for en klinisk vurdering av hudlesjoner (ramme 1). Pigmenterte lesjoner som avviker fra pasientens øvrige nævuser («den stygge andungen») er viktig diagnostisk og kan være et melanomsensitivt tegn (6). For pasienter i høyrisikogrupper kan helkroppsfotografier være aktuelt for å følge utviklingen av nævuser og for å oppdage nye lesjoner tidlig. Diagnosen baseres på histopatologisk undersøkelse ved eksisjonsbiopsi av lesjonen. Eksisjonsbiopsi kan ofte utføres av allmennlege eller hudlege. Ved spesielt store lesjoner eller beliggenhet på kosmetisk vanskelige områder bør eksisjon foretas av kirurg/plastikkirurg.
ABCD(E)-regelen) for klinisk vurdering av hudlesjoner (4)
A for Asymmetri
B for Begrensning
C for Colour = farge
D for Diameter (> 6 mm)
E for Endring
Histopatologisk vurdering
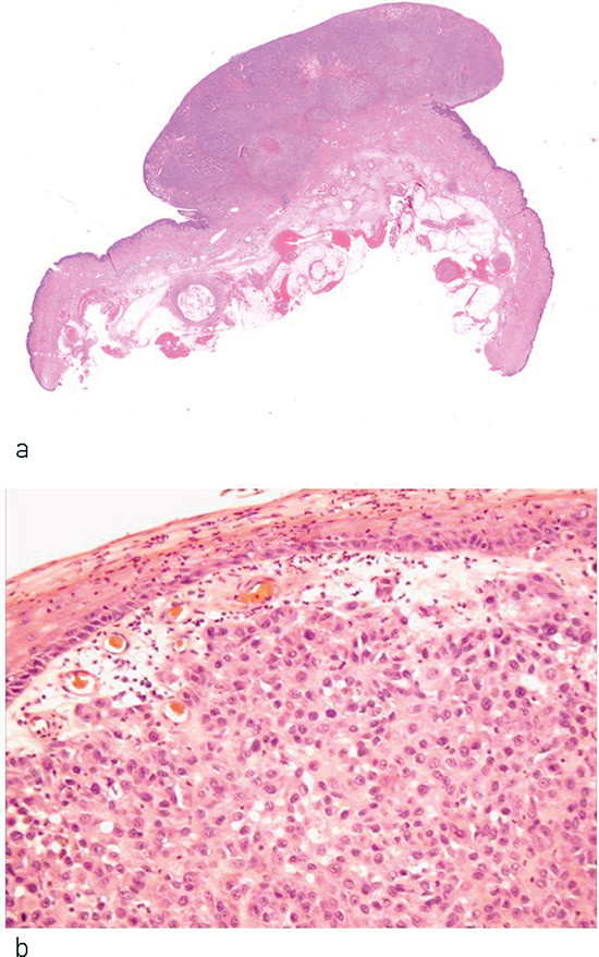
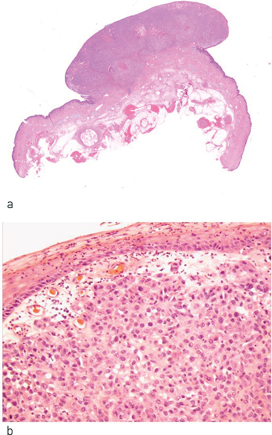
Diagnosen malignt melanom stilles ved histopatologisk undersøkelse (fig 1). Melanom klassifiseres i følgende hovedtyper: superfisielt spredende melanom, nodulært melanom, lentigo maligna-melanom, og akralt lentiginøst melanom (2) (fig 2). Det finnes også sjeldnere varianter, som desmoplastisk melanom. Bortsett fra nodulære melanomer kan alle hovedtypene foreligge som in situ-lesjoner (ikke-invasive) eller invasive. Diagnosen «nævuscelletumor med atypi» indikerer at man ikke kan utelukke et melanom, og dette tilsier ofte at lesjonen behandles som melanom (2). Flere karakteristika har prognostisk og behandlingsmessig betydning. De viktigste inngår i klassifikasjonen av maligne melanomer som obligate variable (7): tykkelse, ulcerasjon og mitosetall.
Vaktpostlymfeknutediagnostikk innføres nå i Norge for 2 – 4 mm tykke melanomer. Prosedyren og nytteverdien forklares i det nasjonale handlingsprogrammet for maligne melanomer som nylig ble publisert av Helsedirektoratet (1).
Genetikk
Personer med lys hudtype og/eller mange føflekker (f.eks. som ved atypisk nævus-syndrom) er mer disponert for malignt melanom enn andre (2). Familiær opphopning av malignt melanom kan skyldes f.eks. nedarvede genfeil i CDKN2A- eller CDK4-genet (8, 9), såkalt dominant arvelig melanom. Det drives et omfattende internasjonalt samarbeid for å finne andre gener som kan føre til arvelige typer malignt melanom i regi av konsortiet Genomel (10). Nytten av systematiske kontroller av personer med familiær opphopning av føflekkreft er vist i kliniske studier (11). Ved mistanke om arvelig disposisjon, f.eks. ved tre maligne melanomer blant første- eller annengradsslektninger (rule of threes) bør personene henvises til en genetisk avdeling (2). Personer med påvist genfeil følges med årlige kontroller ved hudavdeling, eventuelt kreftavdeling (1).
Kirurgi
Kirurgisk behandling er foreløpig den eneste potensielt kurative behandlingen for malignt melanom, og en korrekt prosedyre er derfor ekstremt viktig.
Primærbehandling
Eksisjonsbiopsi av en melanomsuspekt hudlesjon skal gjøres ved at hele tumor fjernes med 2 – 5 mm margin ut i normal hud med en pute av subkutant fett (2) (fig 3). Biopsien sendes alltid til histologisk undersøkelse. Resultatet danner grunnlag for videre kirurgisk behandling. Insisjonsbiopsi, stansebiopsi og laserbehandling av melanomsuspekte hudlesjoner anbefales ikke, da disse prosedyrene ofte umuliggjør bedømmelse av tumortykkelsen. Primæreksisjonen kan foregå i primærhelsetjenesten. Ved spesielle lokalisasjoner er det naturlig å henvise pasienten videre til hudlege eller kirurg.
Utvidet eksisjon
De siste årene har de anbefalte eksisjonsavstandene for utvidet eksisjon ved histologisk påvist malignt melanom blitt redusert. Den utvidede eksisjonen bør gjøres ned til underliggende fascie. Det er den klinisk målte avstanden fra tumor/arret som gjelder, og ikke marginen i det fikserte materialet. De fleste defektene som oppstår med dagens anbefalinger, kan lukkes direkte, dvs. uten hudtransplantat. Anbefalte hudmarginer ved utvidet eksisjon i Norge er gjengitt i tabell 1. Anbefalingene baserer seg på store, prospektive, randomiserte, kliniske studier der man har sammenlignet overlevelse og lokale tilbakefall med ulike eksisjonsmarginer (12). Fjerning av maligne melanomer i ansikt, øre, fingre og tær samt fotsåle er komplisert og krever spesielle kirurgiske hensyn (1).
Tabell 1
Anbefalte hudmarginer ved utvidet eksisjon i Norge (1)
| Type melanom/Breslow-tykkelse |
Eksisjonsbredde (in vivo) |
| In situ/lentigo maligna |
0,5 cm |
| ≤ 1 mm |
1 cm |
| 1,1 – 2 mm |
1 cm |
| 2,1 – 4 mm |
2 cm |
| > 4 mm/desmoplastisk |
2 – 3 cm |
Ved mistanke om lokalt residiv og metastaser
Pasienter med residiv skal henvises til kirurgisk avdeling som opererer pasienter med malignt melanom, som oftest en plastikkirurgisk avdeling. Behandlingen er kirurgisk så langt det kan gjennomføres. Før operasjon utredes pasienten med finnålsaspirat (fine-needle aspiration cytology, FNAC) hvis mulig samt med bildediagnostikk (ultralyd/CT/PET-CT). Utvidet eksisjon, lymfeknutetoalett og eksisjon av utvalgte fjernmetastaser kan være aktuelle operative inngrep.
Vaktpostlymfeknuter
Vaktpostlymfeknuteundersøkelse (sentinel node procedure) i primærdiagnostikk av kutane maligne melanomer er nå i utstrakt bruk (13, 14). Inklusjon i internasjonale studier betinger ofte at vaktpostlymfeknuteundersøkelser er utført. Prosedyren er i Norge aktuell hos pasienter med ekstremitetsmelanomer med tumortykkelse 2 – 4 mm uten ulcerasjon (stadium IIa, pT3a), eller tumortykkelse 1 – 2 mm med ulcerasjon (stadium IIa, pT2b) (1). Ved tynne melanomer er risikoen for lymfeknutemetastaser mindre, men det vurderes også i Norge å utføre prosedyren hos pasienter med tumortykkelse 1 – 2 mm. I tillegg vurderer man å utføre prosedyren også hos pasienter med melanomer på truncus. Prosedyren bør utføres samtidig med utvidet eksisjon. Melanompasienter som er aktuelle for lymfeknutekartlegging bør undersøkes i aksille eller lyske med ultralyd. Pasienter med klare lymfeknutemetastaser kan gå til direkte lymfeknutetoalett. Effekten av en vaktpostlymfeknutediagnostikk på overlevelse er uavklart. Funn av metastase i vaktpostlymfeknute påvirker ikke overlevelse, men øker kun sykdomsfritt intervall (15, 16).
Oppfølging etter kirurgi
Metastaser fra malignt melanom ses hyppigst til regionale lymfeknuter, mens fjernmetastaser forekommer i hud, lunger, lever, skjelett, mage/tarm og hjerne. De fleste tilbakefall skjer i løpet av de første tre årene (1). I sjeldne tilfeller er det beskrevet mer enn 30 års latenstid før metastasene manifesterer seg (2). I de fleste tilfeller kan kontroller utføres av fastlegen. Ved forekomst av utbredte atypiske nævuser eller ved familiær risiko for malignt melanom bør enkelte av kontrollene utføres av hudlege med samtidig dermatoskopi av øvrige pigmenterte lesjoner. Risiko for tilbakefall er relatert til primærtumors tykkelse, og oppfølgingen bør tilpasses dette, se detaljer hos Robsahm og medarbeidere (1).
Lokal cellegiftbehandling
Pasienter med multiple (inoperable) metastaser til (utelukkende) en ekstremitet kan være egnet for en intensiv lokal cellegiftbehandling (isolated limb perfusion) (17). Det anvendes hypertermi i kombinasjon med intraarteriell melfalanhydroklorid enten alene eller i kombinasjon med tumornekrosefaktor (TNF). Pasienter som skal vurderes for denne behandlingen skal henvises direkte til Oslo universitetssykehus, Radiumhospitalet, som har landsfunksjon for slik behandling i Norge.
Systembehandling
Ingen adjuvant behandling har inntil nylig vist seg å være livsforlengende. For å forlenge overlevelsen har alt fra cellegifter og ulike målrettede behandlinger til forskjellige former for immunterapi og kombinasjoner vært prøvd ut, uten at dette har bedret overlevelsen. Dakarbazin, temozolomid, vinblastin, og cykloheksyl-kloroetyl-nitrosourea (CCNU) er blitt stående som «standardterapi», men alle har svært lave responsrater og ingen har vist seg å være livsforlengende (18) – (21). De siste årene er det imidlertid blitt utviklet helt nye medikamentelle alternativer som radikalt har forandret behandlingen av malignt melanom.
Immunterapi
Ipilimumab er et humant monoklonalt antistoff mot cytotoksisk T-lymfocytt antigen-4 (CTLA-4) (22). Normalt nedregulerer CTLA-4 T-celle-aktivering. Ipilimumab potenserer dermed T-celle-aktivering. Ipilimumab og glykoprotein-peptid-vaksine (Gp 100-vaksine) ble testet i en trearmet studie (23). Studien inkluderte pasienter som hadde inoperabelt stadium III/IV-melanom med progresjon av sykdommen etter systemisk behandling (23). Ipilimumab ga, som det første medikamentet noensinne, signifikant forlenget overlevelse. Hos over 20 % av pasientene gir ipilimumab langtidsvirkning som kan vare i flere år. Bivirkningene ved bruk av medikamentet er autoimmune sykdommer. De vanligste er kolitt, hepatitt, hypofysitt og dermatitt (23). På grunnlag av denne studien har U.S. Food and Drug Administration (FDA) og European Medicine Agency (EMA) godkjent ipilimumab for behandling av metastaserende malignt melanom. Markedsføringstillatelse ble gitt under forutsetning av at produsenten gjennomførte en fase IV-studie. En slik studie er nå i gang i Europa. I Norge vil det i stedet, etter pålegg fra Helse- og omsorgsdepartementet, gjennomføres en nasjonal fase IV-forskningsstudie. Frem til studien kommer i gang, etter godkjenning av Statens legemiddelverk og etisk komité, skal alle egnede pasienter med metastaser fra malignt melanom få muligheten til behandling med ipilimumab. Medikament- og studiekostnader skal dekkes over egen bevilgning over statsbudsjettet.
Kombinasjonsbehandling med ipilimumab og nivolumab (PD-1-antistoff) testes i øyeblikket i en fase III-studie etter meget lovende resultater i en fase I-studie (24).
Nyere, målrettet behandling
Serin-treonin-protein-kinasen BRAF (v-raf murine sarcoma viral oncogene homolog B1) er mutert i mange maligne melanomer. Aktiverende mutasjoner (f.eks. BRAF-V600E) i tumorceller finnes hos ca. 50% av alle melanompasienter i Norge. BRAF-hemmeren PLX4032 (vemurafenib) virker selektivt på celler som har BRAF-V600E-mutasjoner. I fase I-II-studier har vemurafenib vist responsrater på ca. 50% (25, 26).
To multisenter fase III-studier med vemurafenib eller dabrafenib versus dakarbazin som førstelinjebehandling hos pasienter med BRAF-V600E-positive svulster har vist at vemurafenib gir signifikant forlenget overlevelse, mens dabrafenib gir signifikant forlenget progresjonsfri overlevelse. Begge medikamentene hadde høye responsrater (27, 28).De vanligste bivirkninger var utslett, alopesi, fotosensitivitet, fatigue, artralgi og keratokantom/plateepitelkarsinom i hud. Dersom man kombinerer BRAF-hemmere med MEK-inhibitorer, kan responsraten økes ytterligere, mens hudkomplikasjonene reduseres (29).Den kliniske effekten av BRAF-hemmere kommer i løpet av dager til noen få uker, dvs. raskere og alt i alt med kort varighet sammenliknet med immunterapi. Både vemurafenib og dabrafenib er godkjent av U.S. Food and Drug Administration og European Medicine Agency. Begge medikamenter appliseres i tablettform og kan skrives ut etter søknad til HELFO om individuell refusjon.
Strålebehandling
Stråleterapi har ingen plass i behandlingen av primære maligne melanomer, med unntak av lokalavansert malignt melanom og ved melanomer i øyet, der spesialisert stråleterapi kan gi kurativ effekt og spart øyefunksjon (30). Strålebehandling (50 kV rtg) gis også ved større lentigo maligna-melanomer i ansiktet.
Postoperativ strålebehandling bør vurderes der det foreligger usikker radikalitet og der reoperasjon ikke er aktuelt, for eksempel etter ekstirpert lokalt residiv og etter lymfeknutetoalett der det ikke foreligger tumorfrie reseksjonsflater og eventuelt ved ekstranodulær tumorvekst. Studier tyder på at pasienter med melanom i hode-hals-regionen og lymfeknutemetastaser på halsen, særlig med perinodal tumorvekst, kan ha nytte av postoperativ strålebehandling (31). Det foreligger imidlertid ikke dokumentert effekt på overlevelse av postoperativ strålebehandling etter lymfeknutetoalett.
Strålebehandling kan gi god palliasjon og lokal kontroll av inoperable metastaser som ellers ville gi betydelige lokale problemer (2).
Ved metastaser fra malignt melanom bør stråleterapi vurderes i følgende situasjoner:
Hudmetastaser som ikke kan fjernes kirurgisk og som er symptomgivende
Skjelettmetastaser som forårsaker smerter og/eller frakturfare
Metastaser som komprimerer eller truer viktige strukturer, for eksempel medulla spinalis, større nerver eller nerverøtter og sentrale luftveier
Hjernemetastaser. Ved 1 – 3 hjernemetastaser der kirurgi ikke er aktuelt bør stereotaktisk strålebehandling vurderes. Det ses forbigående lokal kontroll hos 85 – 90 % av pasientene som får denne behandlingen (7). Oftest har pasienten multiple hjernemetastaser. Det vil da være aktuelt å strålebehandle hele hjernen. Det oppnås da symptomatisk bedring hos 60 – 70 % av pasientene (2)
Solitære lunge- eller levermetastaser som er egnet for stereotaktisk strålebehandling (se nasjonale retningslinjer for detaljer) (1)
Melanomer i øyet og andre sjeldne melanomer
Av alle melanomer i kroppen oppstår 5 % i øyet, inkludert naboområdene konjuktiva, orbita og øyelokk (1). Uveale melanomer er den vanligste primære maligne øyetumoren hos voksne (fig 4). Samtidig er denne lokalisasjonen den nest hyppigste for et melanom (etter kutane melanomer). Svulsten kan være lokalisert til iris (5 %), corpus ciliare (10 %) eller choroidea (85 %) (1). Insidensen av uveale melanomer er 5 – 8 per million innbyggere/år, dvs. ca. 30 – 40 nye tilfeller per år i Norge (1).
På tross av fremskritt i diagnostikk samt effektiv laserbehandling har mortaliteten ved uveale melanomer vært uendret de siste 50 årene (1). Mortaliteten er i uselekterte materialer opp til 50 % etter ti år. Ved uvealt melanom må det i løpet av to uker gjøres malignitetsutredning i form av en nøye klinisk undersøkelse, ultralyd abdomen, røntgen thorax, leverfunksjonstester og vanlig blodstatus. Prognosen er vanskelig å stille på individnivå. Symptomene ved uvealt malignt melanom er uspesifikke og avhenger av svulstens lokalisasjon i øyet.
I dag er episkleral brakyterapi den behandlingen som er best dokumentert og mest benyttet internasjonalt. Ifølge litteraturen kan opp imot 90 % av dem som blir behandlet regne med å ha sitt eget øye etter ti år, kosmetisk pent og uten vesentlig ubehag (1). Strålekilden sys fast utenpå sklera, nøyaktig svarende til det stedet der svulsten er lokalisert inne i øyet.
Det er to sentre i Norge som er ansvarlige for diagnostikk, behandling og oppfølging av alle maligne intraokulære svulster (Oslo universitetssykehus, Ullevål og Haukeland Universitetssykehus).
Bare 2 % av pasientene har påvisbare metastaser på diagnosetidspunktet (1). Leveren er det hyppigst rammede og mest avgjørende organet ved metastasering.
For behandling av andre, sjeldne lokalisasjoner av primære maligne melanomer (slimhinner i hode-hals-regionen, tynntarm, genitalia etc.) se Nasjonale retningslinjer for diagnostikk, behandling og oppfølging av maligne melanomer (1).
Artikkelen utgår fra Norsk Melanom Gruppe, der alle forfatterne er medlemmer. Alle forfatterne har også bidratt til Helsedirektoratets retningslinjer for diagnostikk, behandling og oppfølging av maligne melanomer ().
HOVEDBUDSKAP
Hvert år får ca. 1 500 pasienter i Norge diagnosen malignt melanom, og 80 – 90 % av disse vil bli helbredet med tidlig og adekvat kirurgi
Pasienter med lokalt tilbakefall kan i noen tilfeller helbredes dersom de får tidlig behandling med kirurgi, ev. etterfulgt av strålebehandling
Standard cellegiftbehandling kan i korte perioder stabilisere sykdommen hos 5 – 10 % av pasientene som har metastatisk sykdom
Alvorlige bivirkninger og høye kostnader ved de nye medikamentene har ført til en omfattende diskusjon i norske og utenlandske medier
- 1.
Robsahm TE, Johannesen TB, Bachmann IM et al. Nasjonale retningslinjer for diagnostikk, behandling og oppfølging av maligne melanomer. Oslo: Helsedirektoratet, 2011.
- 2.
Balch CM. red. Cutaneous melanoma. St. Louis, MO: Quality Medical Pub, 2010.
- 3.
Cancer in Norway 2010. Cancer incidence, mortality, survival and prevalence in Norway. Oslo: Kreftregisteret, 2012.
- 5.
International Agency for Research on Cancer Working Group on artificial ultraviolet (UV) light and skin cancer. The association of use of sunbeds with cutaneous malignant melanoma and other skin cancers: a systemic review. Int J Cancer 2007; 120: 1116 – 22. [PubMed]
- 10.
GenoMEL. www.genomel.org (17.7.2013).
- 12.
Sladden MJ, Balch C, Barzilai DA et al. Surgical excision margins for primary cutaneous melanoma. Cochrane Database Syst Rev 2009; nr. 4: CD004835. [PubMed]
- 14.
Garbe C, Terheyden P, Keilholz U et al. Treatment of melanoma. Dtsch Arztebl Int 2008; 105: 845 – 51. [PubMed]
- 18.
Middleton M, Hauschild A, Thomson D et al. Results of a multicenter randomized study to evaluate the safety and efficacy of combined immunotherapy with interleukin-2, interferon-alpha2b and histamine dihydrochloride versus dacarbazine in patients with stage IV melanoma. Ann Oncol 2007; 18: 1691 – 7. [PubMed] [CrossRef]
- 19.
Schadendorf D, Ugurel S, Schuler-Thurner B et al. Dacarbazine (DTIC) versus vaccination with autologous peptide-pulsed dendritic cells (DC) in first-line treatment of patients with metastatic melanoma: a randomized phase III trial of the DC study group of the DeCOG. Ann Oncol 2006; 17: 563 – 70. [PubMed] [CrossRef]
- 21.
Middleton MR, Grob JJ, Aaronson N et al. Randomized phase III study of temozolomide versus dacarbazine in the treatment of patients with advanced metastatic malignant melanoma. J Clin Oncol 2000; 18: 158 – 66. [PubMed]
Til tross for at stadig mer effektive solkremer er tatt i bruk de siste 50 årene, er forekomsten av malignt melanom 8-doblet siden Kreftregisteret ble opprettet i 1952. Rådene om måtehold og solforbrenning er ganske godt kjent i befolkningen, men resultatene fra Kreftregisteret kan indikere at rådene ikke er korrekte. Det synes ikke å være sikker sammenheng mellom dose og respons når det gjelder soling. Bruk av høy solfaktor innebærer at man kan oppholde seg i sterk sol mange flere timer enn man kunne på 50-tallet, og antall soltimer er derfor kanskje viktigere enn overdose av UV-bestråling. Og for alle som bor eller har bodd i Nord-Norge, er det neppe noen nyhet at solskade er vanskelig å pådra seg på disse breddegradene.
Malignt melanom - diagnostikk, behandling og oppfølging i Norge
I det siste tidsskriftet (nr. 20/2013) står det en interessant oversiktsartikkel basert på oppdatert kunnskap om diagnostikk, behandling og oppfølging av malignt melanom. Hovedbudskapet fokuserer på at det per i dag ikke eksisterer annen kurativ behandling enn kirurgi både når det gjelder primærtumor og ved metastatisk sykdom, men at både lokal og generell cytostatikabehandling samt strålebehandling kan stabilisere sykdommen i kortere perioder. Artikkelen henviser til det nasjonale handlingsprogramet for maligne melanomer utgitt av Helsedirektoratet i 2011,men verken der eller i oversiktsartikkelen nevnes ultralyd som nyttig verktøy i primærdiagnostikken av maligne melanomer.
Man vet at ca. 15% av pasientene med kutane melanomer debuterer med metastatisk sykdom. Dette kan være satelitter (tumorreder eller knuter < 2 cm fra primærtumor), in-transit metastaser (tumorreder eller knuter i hud eller underhud > 2 cm fra primærtumor, men innenfor området for regionale lymfeknuter), regionale lymfeknutemetastaser, fjernmetastaser, en kombinasjon av disse, eller kun metastaser uten synlig primærtumor. Ved overfladisk tumor uten ulcerasjon er det liten fare for at det allerede ved debut foreligger spredning,mens spredningsfaren absolutt er til stede ved ulcerasjon uansett tumortykkelse. Det samme gjelder nodulære melanomer som man vet metastaserer tidlig. I dag er det mulig å påvise helt ned til under 1 mm-store subcutane satelitter og in-transitt metastaser ved bruk av høyfrekvent (15-18mHz) ultralyd, men artikkelen nevner ikke ultralyd som nyttig verktøy med henblikk på diagnostikk av slik spredning i lokalområdet.
Det presiseres i artikkelen at korrekt kirurgisk prosedyre er ekstremt viktig for kurativ behandling. Vi er enige i at primæreksisjon av overfladiske melanomer uten ulcerasjon godt kan foretas i primærhelsetjenesten uten supplerende undersøkelser siden det er svært liten fare for at det allerede foreligger spredning. Hvis det imidlertid ved inspeksjon foreligger et melanom med ulcerasjon eller en nodulær tumor, eller histopatologisk vurdering av fjernet tumor viser at det er nødvendig med utvidet eksisjon, mener vi at det før eksisjon bør gjøres ultralydundersøkelse av lokalområdet for evt å påvise satelitter eller in-transit metastaser. Gir ultralyd mistanke om dette, bør pasienten henvises direkte til kirurgisk avdeling som opererer pasienter med malignt melanom.
I forbindelse med vaktpostlymfeknuteundersøkelse ved ekstremitetsmelanomer (sentinel node procedure) skriver forfatterne at aksille eller lyske bør undersøkes med ultralyd. Vi mener at det ikke er godt nok. Både primærtumors lokalområde, den regionale lymfeknutestasjonen og området mellom disse bør undersøkes, evt supplert med ultralydveiledet cytologisk biopsi (FNAC) ved mistanke om metastaser.
Først når ultralyd tas med i utredningen av maligne melanomer hvor det allerede ved debut foreligger fare for spredning, har kirurgen de beste forutsetningene for å utføre en mest mulig korrekt kirurgisk prosedyre hvilket gjør det potensielt mulig å helbrede pasienten.
Medlemmene i den Norske Melanom Gruppen takker kommuneoverlege Oddmund Suhrke for en relevant kommentar. Vi er enige med Suhrke i at bruk av solkrem i enkelte tilfeller muligens kan virke mot sin hensikt dersom resultatet blir i praksis en betydelig forlenget eksponering til UV-stråling. På den andre siden foreligger det en prospektiv studie som kan tyde på at regelmessig bruk av solkrem (solfaktor 16) kan forebygge utvikling av maligne melanomer (1).
Dessverre er det ikke lengre slik at høye rater av maligne melanomer er forbehold Sør-Øst Norge. De siste årene har f. eks. Trøndelagsfylkene hatt en svært høy økning av maligne melanomer som ikke kan forklares med sterk trøndersol alene, men må ses i sammenheng med endrete reisevaner etc.
Vi mener at det ikke er grunn til å tvile på at kreftforeningens solvettregler er korrekte, men dessverre er det slik at ikke alle følger reglene til enhver tid.
Her kommer solvettreglene én gang til:
1. Ta pauser fra solen (f. eks. mellom kl. 12 og 15) - unngå å bli solbrent
2. Bruk klær, solhatt og solbriller
3. Bruk solkrem med minst faktor 15
4. Unngå solarium (solarium frarådes for alle under 18 år!)
Litteratur:
1. Green AC, Williams GM, Logan V, Strutton GM. Reduced melanoma after regular sunscreen use: randomized trial follow-up. J Clin Oncol 2010; 29: 257-263.
Kommentaren skrevet av Heilo & Håskjold berører ett av mange viktige, men hittil ubesvarte spørsmål: Hvor mye diagnostikk er nødvendig og tilstrekkelig for pasienter med maligne melanomer? Ultralydundersøkelser blir allerede i dag brukt som et ledd i diagnostikken av maligne melanomer og virker lovende i noen situasjoner. På den andre siden stiller man i dag høye krav til nye medikamenter, og omfattende dokumentasjon fra store kliniske studier er nødvendig mens man ser på kost-nytte-verdien etc. Vi mener at nye diagnostiske muligheter er viktige og burde utvikles og evalueres på like fot med nye medikamenter før disse anbefales til alle melanompasienter (f.eks. i våre nasjonale anbefalinger). Kliniske studier som avklarer nytteverdien av (f.eks. høyfrekvente) ultralydundersøkelser (innflytelse på residivrisikoen eller totaloverlevelsen) ønskes derfor velkommen!
Norsk Melanom Gruppe