BACKGROUND
In light of the Norwegian Orthopaedic Association’s wish to prepare guidelines for treatment of distal radius fractures, we have reviewed the knowledge base for the provision of such treatment.
KNOWLEDGE BASIS
The article is based on a search for systematic review articles on treatment of distal radius fractures in these databases: The Cochrane Library, Cochrane Database of Systematic Reviews, Database of Abstracts of Reviews of Effects (DARE Cochrane), the Health Technology Assessment (HTA) database, PreMEDLINE, MEDLINE and EMBASE.
RESULTS
There is a knowledge basis for recommending percutaneous pinning of unstable, dorsally dislocated distal radius fractures, rather than conservative treatment, but the best choice of pinning method remains uncertain. There is also documentation to support the use of external fixation rather than conservative treatment. There is insufficient documentation available to draw conclusions regarding the relative effect of the various methods of external fixation, although an external fixation in combination with an extra pin in the fractured fragment gives a better result than external fixation alone. The knowledge basis may indicate that plates produce better functional short-term results for unstable distal radius fractures when compared to external fixation.
INTERPRETATION
There is evidence in support of differentiated treatment of distal radius fractures. However, many questions remain unanswered, and there is a need for good prospective, randomised multi-centre studies.
Norge er distale radiusfrakturer den hyppigst forekommende frakturtypen, den utgjør ca. 20 % av alle brudd. Vurdert ut fra påviste insidensrater har vi her i landet mer enn 15 000 slike frakturer per år (1, 2). Skademekanismen er vanligvis et fall hvor pasienten tar seg for med utstrakt hånd. Ved fraktur med feilstilling vil pasienten typisk ha en håndleddsdeformitet. Det vil være smerter ved bevegelse og ømhet ved palpasjon av distale radius.
For en del pasienter ender det med forsinket operasjon eller en fraktur som har tilhelet med feilstilling. Dette skyldes oftest at man aksepterer en god reposisjon uten å vurdere om frakturen kan være så ustabil at den senere glir tilbake mot den opprinnelige frakturstillingen. Økende grad av energi i traumet og økende alder gir økende grad av knusning i frakturområdet. Dette er de viktigste faktorene for å predikere tap av stilling under behandlingsforløpet (3) – (6). Stabiliteten vurderes på skadetidspunktet indirekte ut fra anatomiske kriterier som endring av radial helning i sideplan (tilt) og/eller radial helning i frontplan (inklinasjon) og/eller radial forkorting (7). Utfordringen er således ved første legekonsultasjon å velge ut de frakturene som bør opereres.
Konservativ behandling med eventuell reponering, stabiliserende bandasjering og påfølgende stillingskontroller har en viktig plass i behandlingen av udislokerte og lite dislokerte distale radiusfrakturer. For dislokerte brudd har vi de siste par decennier sett en økende bruk av operativ behandling. Dette skyldes den påviste sammenhengen mellom anatomisk og funksjonelt resultat (8) – (12) samt at produktutviklingen har vært stor. Spesielt har volare plater med vinkelstabile skruer vunnet stor popularitet, til tross for at dokumentasjonen var sparsom før slike plater ble tatt i bruk i stort omfang. Den økte bruken av operativ behandling av de antatt ustabile høyenergifrakturene i de yngre årsklassene har hatt smitteeffekt og har ført til at også flere eldre, kognitivt friske pasienter med feilstilte brudd nå behandles operativt.
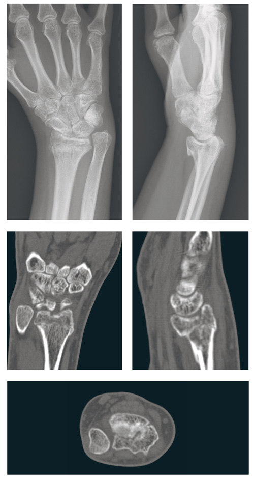
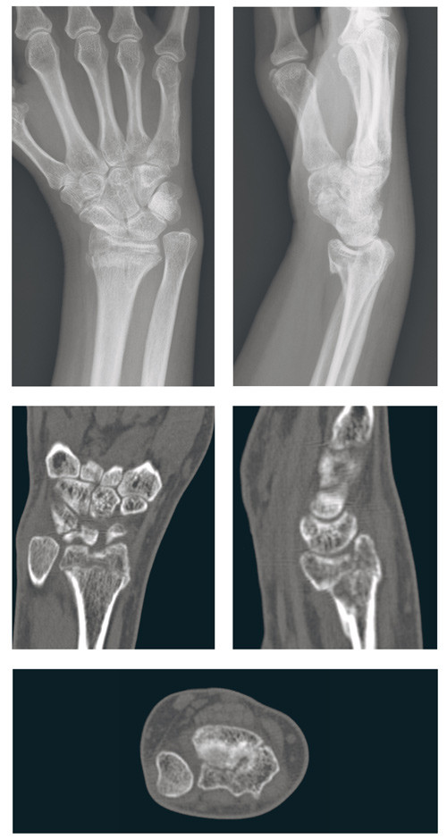
Til tross for økende vektlegging av behandling av distale radiusfrakturer er det stor variasjon i praksis. Ved mange sykehus tilstreber man differensiert behandling. Ved andre sykehus er tilbudet mer begrenset, både når det gjelder seleksjon av hvilke brudd som blir operert og valg av behandlingsmetode. Dette kan resultere i et dårligere resultat for noen pasienter enn det som kunne forventes ut fra dagens behandlingsmuligheter (fig 1). Disse forhold illustreres også i tall fra Norsk pasientskadeerstatning, som viser at distale radiusfrakturer er en av de hyppigste årsakene til klagesaker der pasienten har fått medhold (13). Det er derfor viktig å sikre pasienter med slike brudd optimal behandling. Formålet med denne artikkelen er å gjennomgå kunnskapsgrunnlaget for behandling av distale radiusfrakturer.
Kunnskapsgrunnlag
Styret i Norsk ortopedisk forening fant i 2005 at Norsk pasientskadeerstatnings høye antall saker der pasienten hadde fått medhold i klage etter behandling av distale radiusfrakturer var iøynefallende. Styret søkte derfor i desember samme år Nasjonalt kunnskapssenter for helsetjenesten om bistand til gjennomgang av kunnskapsgrunnlaget for behandling av slike frakturer og fikk i 2006 mandat fra generalforsamlingen til å nedsette en konsensusgruppe bestående av leger med spesiell interesse for dette. Målet var å etablere retningslinjer for å sikre ensartet og høy kvalitet på behandlingen.
På bakgrunn av dette utarbeidet konsensusgruppen forskningsspørsmålene:
Hvilke pasientgrupper har nytte av operativ behandling istedenfor konservativ?
Hvilke typer operativ behandling gir best resultat?
Kunnskapssenteret foretok et litteratursøk i oktober 2007. Oppdatert søk ble utført i april 2008, i juni 2009 og i november 2009. De benyttede søkeordene var forearm- or wrist injuries og forearm-, wrist-, radius-, Colles-, Smith-, chauffeur- and/or die punch fracture. Samtlige søk ble foretatt i databasene The Cochrane Library, Cochrane Database of Systematic Reviews (CDSR), Database of Abstracts of Reviews of Effects (DARE Cochrane), Health Technology Assessment (HTA)-databasen, PreMedline, Medline og Embase. Inklusjonskriteriene fremgår av ramme 1. Kun artikler på engelsk, finsk, tysk og de skandinaviske språk ble inkludert.
Inklusjonskriterier for systematiske oversiktsartikler om behandling av distale radiusfrakturer. Alle hovedkriteriene måtte være til stede for at en oversiktsartikkel skulle inkluderes
Studiedesign
Systematiske oversiktsartikler
Populasjon
Voksne over 18 år
Alle typer brudd i distale radius
Intervensjoner
Konservativ behandling
Operativ behandling
Sammenlikninger
Operativ versus konservativ behandling
Mellom ulike operative metoder
Utfall
Funksjon
Smerte
Livskvalitet
Radiologiske/anatomiske funn
Instabilitet
Feiltilheling
Komplikasjoner
Artrose (radiokarpal, radioulnar)
Oppfølgingstid
Minimum 12 måneder for feilstilling og radiologiske funn
Minimum 6 måneder for tidlig mekanisk svikt
Gruppen evaluerte 114 systematiske oversiktsartikler som oppfylte alle hovedkriteriene i ramme 1, og besluttet grunnet kvaliteten på disse å inkludere kun fire systematiske oversiktsartikler (nivå 1-studier) av behandling av distale radiusfrakturer. På tidspunktet for søkene foretatt av Kunnskapssenteret forelå det ingen systematiske oversiktsartikler vedrørende volare anatomiske vinkelstabile plater. Forfatterne utførte i desember 2011 et nytt søk og inkluderte etter dette ytterligere en systematisk oversiktsartikkel. Denne gjennomgangen er således en oversikt over oversikter, dvs. en sammenfatning av flere systematiske oversiktsartikler (14).
Flytskjema for arbeidsprosessen og utvelgelsen av de systematiske oversiktsartiklene fremgår av e-figur 2. Kvalitetsvurderingen ble utført ved hjelp av Kunnskapssenterets sjekkliste for systematiske oversiktsartikler (14). Denne er en utvidet versjon av kvalitetskriteriene for systematiske oversiktsartikler beskrevet i Cochrane Handbook for Systematic reviews of Interventions (15). Styrken av dokumentasjonen for hvert utfall i studiene ble vurdert ved bruk av GRADE-systemet (Grading of Recommendations Assessment, Development and Evaluation) (16). I GRADE-vurderingen blir randomiserte, kontrollerte studier i utgangspunktet vurdert å ha høy kvalitet, mens resultater fra ikke-randomiserte studier blir vurdert å ha lav. Høy kvalitet betyr også at det er usannsynlig at videre forskning vil påvirke tilliten til effektestimatet.
Resultater
Av de 115 artiklene som ble vurdert, ble fire systematiske oversikter vurdert å være av høy kvalitet (17) – (20). Én systematisk oversiktsartikkel (21) inkluderte kun randomiserte, kontrollerte studier, men den var av middels kvalitet, siden søkestrategien kun delvis var angitt. Den ble likevel inkludert, siden denne artikkelen var den eneste der plateosteosyntese og volare vinkelstabile plater var omtalt. De inkluderte studier fremgår av tabell 1.
Tabell 1
Inkluderte systematiske oversiktsartikler. Deltakerne i samtlige studier var voksne pasienter med hovedsakelig ustabile dorsalt dislokerte eller intraartikulære brudd
| Førsteforfatter, publiseringsår (referanse) |
Sammenliknet behandling¹ |
Antall studier og pasienter |
Søk |
Kvalitet² |
| Handoll og medarbeidere, 2007(17) |
Perkutan pinning versus konservativ behandling Kapandji-pinning versus transstyloideuspinning |
13 randomiserte, kontrollerte studier med 904 pasienter |
Oktober 2007 |
Høy |
| Handoll og medarbeidere, 2007 (18) |
Eksternfiksasjon versus konservativ behandling |
15 randomiserte, kontrollerte studier med 1 022 pasienter |
Oktober 2007 |
Høy |
| Handoll og medarbeidere, 2008 (19) |
Overbroende ekstern fiksasjon versus konservativ behandling Overbroende versus ikke-overbroende ekstern fiksasjon Supplerende pinning av frakturfragment versus ingen pinning Dynamisk versus statisk ekstern fiksasjon |
9 randomiserte, kontrollerte studier med 510 pasienter |
November 2008 |
Høy |
| Handoll og medarbeidere, 2008 (20) |
Ekstern fiksasjon kombinert med beintransplantasjon eller beinsubstitutt versus kun ekstern fiksasjon |
10 randomiserte, kontrollerte studier med 874 pasienter |
November 2008 |
Høy |
| Cui og medarbeidere, 2011 (21) |
Plater versus ekstern fiksasjon |
10 randomiserte, kontrollerte studier med 738 pasienter |
Desember 2011 |
Middels |
1 Sammenlikningene er beskrevet i resultatdelen av denne artikkelen i samme rekkefølge som de fremstår og er beskrevet i de refererte artiklene
² Kvalitetsvurderingen (lav, middels eller høy) er gjort i henhold til forhåndsbestemte kriterier basert på Cochrane Handbook (15)
Primærstudiene i samtlige oversiktsartikler var med få unntak gjennomgående små. Vi fant det derfor hensiktsmessig å beskrive kun utfall med tilhørende effektestimat fra sammenlikninger som enten omfattet 100 eller flere deltakere eller fra mindre studier med statistisk signifikante funn eller der viktige behandlingsaspekter ble omtalt.
Operative behandlingsmetoder sammenliknet med konservativ behandling
Perkutan pinning sammenliknet med konservativ behandling. I en Cochrane-oversikt (17) ble perkutan pinning sammenliknet med konservativ behandling av ustabile, hovedsakelig dorsalt dislokerte frakturer. For noen av utfallene var felles utfallsestimat beregnet i metaanalyser. I fem av de inkluderte randomiserte, kontrollerte studiene med totalt 347 pasienter ble ulike funksjonsutfall undersøkt, og i samtlige var resultatet signifikant bedre etter pinnefiksasjon enn etter konservativ behandling. Evidensstyrken var moderat.
I tre små randomiserte, kontrollerte studier med til sammen 135 pasienter ble anatomiske utfall vurdert. Det var ikke grunnlag for å sammenfatte resultatene i metaanalyser, og ikke i noen av studiene fant man noen signifikante forskjeller mellom pinning og gipsing – unntatt i én liten studie med 50 pasienter, der anatomisk skår var bedre med pinning. Det var også mindre komplikasjoner assosiert med pinning. Evidensstyrken for begge utfallene var lav. Det ble ikke konkludert vedrørende hvilke pasienter og hvilke frakturer som skal behandles og hvilken pinningmetode som var best.
Ekstern fiksasjon sammenliknet med konservativ behandling. I en Cochrane-oversikt (18) ble ekstern fiksasjon sammenliknet med konservativ behandling av ustabile, hovedsakelig dorsalt dislokerte frakturer. Ti av de inkluderte randomiserte, kontrollerte studiene med til sammen 651 pasienter viste at ekstern fiksasjon holdt reposisjonen signifikant bedre enn konservativ behandling. Seks randomiserte, kontrollerte studier med til sammen 352 pasienter viste at ekstern fiksasjon forebygger sekundær dislokasjon og feiltilheling signifikant bedre enn gipsing. Effektestimatet i metaanalysen viste lav evidensstyrke for begge utfallene.
I 13 randomiserte, kontrollerte studier med til sammen 730 pasienter ble ulike funksjonsutfall vurdert. Resultatene var ikke sammenfattet i noen metaanalyse, og kvaliteten på utfallsvurderingen var moderat eller lav. I disse studiene ble det rapportert bedre funksjonsskår for pasienter behandlet med ekstern fiksasjon, men det var stort frafall i enkelte studier og ved bruk av sensitivitetsanalyser ble resultatene ikke-signifikante. Ekstern fiksasjon er assosiert med høyt antall komplikasjoner, selv om disse betegnes som mindre alvorlige, som for eksempel pinneinfeksjoner. Når det gjelder mer alvorlige komplikasjoner, som for eksempel komplekst regionalt smertesyndrom, ble det ikke funnet noen statistisk signifikant forskjell. Heller ikke for ekstern fiksasjon ble det konkludert noe om hvilke pasienter og hvilke frakturer som skal behandles.
Sammenlikning av ulike typer operative behandlingsmetoder
Sammenlikning av ulike typer pinninger. I en Cochrane-oversikt (17) ble ulike typer pinning av ustabile, dorsalt dislokerte frakturer sammenliknet. Studiene var små, og det var ikke grunnlag for å sammenfatte resultatene i en metaanalyse.
I én randomisert, kontrollert studie med 120 pasienter sammenliknet man Kapandji-pinning med transstyloideusfiksasjon. Det var ingen signifikante forskjeller for noen av de målte utfallene, men en tendens til økt forekomst av komplikasjoner ved Kapandji-pinning.
Sammenlikning av ulike typer ekstern fiksasjon. I en Cochrane-oversikt (19) ble ulike typer ekstern fiksasjon av ustabile eller potensielt ustabile frakturer sammenliknet. I to av de inkluderte randomiserte, kontrollerte studiene sammenliknet man behandling med overbroende ekstern fiksasjon versus pinning og gipsing. Her fant man ingen signifikante forskjeller i funksjon eller deformitet. Én randomisert, kontrollert studie viste ingen statistisk signifikant forskjell i komplikasjoner. Én randomisert, kontrollert studie hvor overbroende ekstern fiksasjon ble benyttet viste at supplement med en ekstra pinne i bruddfragmentet ga signifikant bedre røntgenologisk og funksjonelt resultat enn ekstern fiksasjon alene.
I tre randomiserte, kontrollerte studier ble ikke-overbroende sammenliknet med overbroende ekstern fiksasjon. I én av disse studiene fant man ingen statistisk signifikante forskjeller i funksjon, mens det i en annen ble påvist statistisk signifikant bedre grepsstyrke, håndleddsfleksjon og røntgenologisk resultat ved bruk av ikke-overbroende ekstern fiksasjon. I den tredje studien fant man statistisk signifikant bedre funksjonelt og røntgenologisk resultat av overbroende ekstern fiksasjon sammenliknet med ikke-overbroende. Det var ingen forskjell i komplikasjonsfrekvens. I to av studiene var det ingen forskjeller mellom statiske og dynamiske eksterne fiksasjoner. Studiene var små og for forskjellige til at resultatene kunne slås sammen i metaanalyser. Kvaliteten på utfallsmålene ble således vurdert som lav.
Beintransplantat eller beinsubstitutter som del av operativ behandling. Det finnes én systematisk oversikt (20) der man har sammenfattet resultater fra studier der beintransplantat eller beinsubstitutter som tilleggsbehandling til bl.a. ekstern fiksasjon av distale radiusfrakturer er evaluert. Tilleggsbehandlingen medførte ingen statistisk signifikant bedring av resultatet.
Plateosteosyntese sammenliknet med ekstern fiksasjon. Vi fant én systematisk oversiktsartikkel (21) der plateosteosyntese ble sammenliknet med ekstern fiksasjon av ustabile distale radiusfrakturer. Oversikten inkluderte intraartikulære frakturer. I tre av de ti inkluderte studiene ble volare vinkelstabile plater vurdert. Det samlede resultatet var at funksjonelle variabler som grepsstyrke, nøkkelgrepsstyrke, pronasjon og supinasjon var signifikant bedre i plategruppen etter seks og 12 uker. Senere var resultatene relativt like.
Metaanalysen viste ingen heterogenitet i funksjonsutfallene studiene imellom. Funksjonsskåringen Disabilities of the Arm, Shoulder and Hand (DASH-skår), som er den mest benyttede, var bedre i plategruppen både etter tre måneder og etter ett år, men det var påvist heterogenitet mellom studiene. Det ble funnet signifikant færre komplikasjoner ved plating enn ved behandling med ekstern fiksasjon. Det var ikke forskjell mellom behandlingsgruppene dersom pinneinfeksjonene ble utelatt. Det var ikke heller ingen forskjell i radiologiske mål etter et år.
Sensitivitetsanalyser viste at komplikasjonsutfallet var det eneste som hadde høy kvalitet. Det var ikke evidens til å uttale seg om hva som skulle tilsi valg av den ene eller den andre behandlingsmetoden ut fra aldersgruppe eller kjønn. Én randomisert, kontrollert studie viste bedre Gartland-Werley-funksjonsskår for de enkle intraartikulære frakturene i plategruppen også etter 24 måneder.
Diskusjon
Det er publisert mye om behandling av distale radiusfrakturer, men kvaliteten på studiene er varierende. Et generelt problem er at de ofte inkluderer svært heterogene grupper. Pasientene kan være i alderen 18 – 100 år, uten at man differensierer mellom yngre og eldre pasientgrupper. Dette er for øvrig i tråd med gjeldende praksis ved sentre som Haukeland universitetssykehus og Oslo universitetssykehus, der biologisk alder vektlegges mer enn kronologisk hos kognitivt friske pasienter.
I tillegg finnes det mange forskjellige klassifiseringssystemer for distale radiusfrakturer, og frakturene inndeles noe ulikt. Flere av klassifikasjonssystemene er heller ikke reproduserbare i stor nok grad (22, 23). For en del sammenlikninger er målemetodene for utfall forskjellige. Vanlige graderingssystemer for funksjonstesting inkluderer gjerne anatomiske og kliniske utfall, og ofte benyttes modifiserte utgaver av eksisterende graderingssystemer. Ifølge forfatterne av oversiktene medførte dette at resultatene ikke kunne slås sammen.
Heterogeniteten gjør styrken på utfallene lav, og det blir vanskelig å konkludere. Dette er årsaken til at ingen av de inkluderte studiene entydig kunne besvare vårt forskningsspørsmål vedrørende hvilke pasientgrupper som har nytte av operativ behandling istedenfor konservativ.
En stor andel av pasienter med distale radiusfrakturer kan behandles konservativt (18), det gjelder dem med frakturer med ingen eller liten feilstilling. Utfordringen ligger i å selektere hvilke frakturer som bør opereres (3) – (7). Gjennomgangen angir ingen endring av de anatomiske grenser for instabilitet som bedre inkluderer frakturene som taper stilling under behandlingsforløpet enn dem det henvises til i innledningen til denne artikkelen (3) – (6).
Når det gjelder spørsmålet om hvilke typer operativ behandling som gir best resultat for ustabile, dislokerte frakturer, finnes det en del dokumentasjon. Både pinning kombinert med stabiliserende bandasje (17) og ekstern fiksasjon (18) gir bedre resultater enn konservativ behandling. Det finnes imidlertid ikke dokumentasjon for å si noe om den relative effekten av de to. Det er heller ikke noen forskjell mellom ulike typer ekstern fiksasjon (19).
Tilleggsbehandling med beintransplantasjon eller beinsubstitutter forbedrer ikke resultatene (20). Foreliggende kunnskapsgrunnlag gir holdepunkter for at plateosteosyntese gir bedre funksjonelt resultat enn ekstern fiksasjon (21). Dette understøttes av annen litteratur (24, 25). I en systematisk oversikt av lav kvalitet (25), som både inkluderte den gamle platetypen og de nyere vinkelstabile platene, påviste man bedre DASH-skår, supinasjon og bedre gjenopprettelse av volar tilt i plategruppen, mens det var en tendens til at ekstern fiksasjon ga bedre grepsstyrke. Når man fjernet studiene av lavere kvalitet enn randomiserte, kontrollerte studier, viste subgruppeanalysene at kun de vinkelstabile platene ga bedre resultater enn ekstern fiksasjon. Imidlertid foreligger det ikke studier om langtidsresultater.
Oversiktsartikkelen til Cui og medarbeidere (21) viste at det var færre komplikasjoner ved plateosteosyntese enn ved ekstern fiksasjon, men at forskjellen forsvinner når man ser bort fra pinneinfeksjonene. Det er også rapportert komplikasjoner ved bruk av de nyere vinkelstabile platene (24, 26). Også for disse er det færre komplikasjoner enn ved bruk av ekstern fiksasjon (24). Komplikasjonene har dels med dårlig operasjonsteknikk å gjøre, fordi osteosyntesematerialet kan feilplasseres slik at det blir skade på sener eller leddbrusk. Dels kan komplikasjonene også skyldes selve metoden. Det er blant annet påvist at mange distale radiusfrakturer kan ledsages av leddbåndsskader i håndroten (27) og stabiliserende strukturer av distale radioulnare ledd (28).
Vi har foreløpig ingen oversikt over konsekvensene av den korte eller manglende immobiliseringen som benyttes ved de nyere vinkelstabile platene for disse leddbåndsskadene. Dertil kan kostnad-nytte-analyser fremtvinge operative metoder der man også må ta hensyn til ressursbruken, både når det gjelder operasjonstid, implantatkostnad, postoperative kontroller og eventuell komplikasjonsrisiko. Foreløpig vet vi ikke om disse analysene er i favør av de nyere vinkelstabile platene.
Studiene differensierer i liten grad mellom yngre og eldre pasientgrupper. De gir derfor ingen svar på hvordan vi best behandler unge pasienter med feilstilte ekstraartikulære brudd eller dislokerte intraartikulære brudd, eller hvordan vi best behandler eldre pasienter med osteoporotiske bein. Kunnskapsgjennomgangen gir lite nye data om hvor stor restfeilstilling som tåles. Det er således et behov for gode studier som viser hvor de anatomiske grenser for funksjonsnedsettelsen går, og om det er pasientgrupper som eventuelt tåler en større restfeilstilling enn andre.
Begrensninger ved bruk av den kunnskapsbaserte metoden
Det ligger begrensninger i en kunnskapsbasert praksis for utarbeiding av behandlingsretningslinjer. En viktig faktor er tiden det tar før en systematisk gjennomgang av randomiserte studier foreligger etter at en ny metode er tatt i bruk. Ofte vil en systematisk gjennomgang ikke i stor nok grad inkludere gjeldende behandlingsmetode(r). Dette ser vi også når det gjelder behandling av distale radiusfrakturer.
Som eksempel nevnes den storstilte bruken av volare vinkelstabile plater gjennom siste tiår. Disse platene ble initialt tatt i bruk uten at det forelå dokumentasjon. Selv etter flere års bruk finnes det kun én systematisk oversiktsartikkel av over middels kvalitet som inkluderer denne behandlingstypen (21). I Cochrane-databasen har det siden oktober 2008 foreligget en protokoll for en oversikt med tittelen Internal fixation and comparisons of different fixation methods for treating distal radial fractures in adults (29), som er meget aktuell for vår problemstilling. Selv etter fire år er rapporten fortsatt ikke ferdigstilt.
Den lange tiden det tar før systematiske oversikter foreligger, forsterker det fenomenet at den enkelte kirurg velger metode basert på personlig preferanse og erfaringer mer enn på foreliggende kunnskapsbasert litteratur. Det må imidlertid nevnes at operasjonsvurderingen og behandlingen av distale radiusfrakturer har fått økt oppmerksomhet gjennom at Norsk ortopedisk forening har satt søkelys på dette. Distale radiusfrakturer er ikke lenger bare en oppgave for turnusleger, det er et spennende fagfelt for høyspesialiserte ortopeder og håndkirurger. Forhåpentlig vil den økte oppmerksomheten avspeiles i behandlingsresultatene og i færre klagesaker.
Behov for videre forskning
På tross av de mange artiklene om distale radiusfrakturer er det fortsatt stort behov for videre forskning. I første omgang er det viktig å identifisere forskningsspørsmålene og prioritere mellom disse. Det hadde vært ønskelig å kunne vurdere utfallene i de forskjellige alders- og bruddtypegruppene, noe som ikke er gjort i noen av de inkluderte systematiske oversiktene i denne kunnskapsgjennomgangen.
Det eksisterer en rekke forskjellige klassifikasjonssystemer for distale radiusfrakturer. Dessverre er de alle av begrenset praktisk nytte når man skal velge optimal behandling. Vi trenger forskning på kriterier som med større sikkerhet kan forutsi hvilke brudd som vil redislokere ved konservativ behandling og som derfor bør behandles operativt. Sammenhengen mellom bruddstilling og funksjon er velkjent, men hvor går grensene for hva som er akseptabel stilling? Og hvilket kontrollopplegg bør man følge for å sikre tilheling i tilfredsstillende stilling? Fortsatt ser vi et betydelig antall brudd som tilheler med symptomgivende feilstilling.
I stedet for enda flere mindre enkeltsenterstudier som ikke kan tilfredsstille kravene til god evidens, trengs det gode prospektive randomiserte, kontrollerte multisenterstudier. Det er også behov for opprettelse av registre og analyse av registerdata for å fange opp endringer i forekomst av komplikasjoner ved innføring av nye metoder.
I denne artikkelen legger vi vekt på behandlingen av distale radiusfrakturer. Allikevel er det viktig å ha klart for seg betydningen av å forhindre slike brudd. Her ligger det betydelige forskningsoppgaver. Hvilke tiltak virker, hvordan kan ressursene brukes mest mulig effektivt for å forhindre distale radiusfrakturer, og kan distale radiusfrakturer gi et indirekte mål på beintetthet og være prediktor for andre typer brudd?
Nye behandlingsretningslinjer?
Kunnskapsgrunnlaget for behandling av distale radiusfrakturer var tenkt benyttet til utarbeiding av behandlingsretningslinjer. Det er fortsatt mange ubesvarte spørsmål, og det er behov for gode prospektive, randomiserte multisenterstudier, slik at vi får det beste grunnlaget for behandlingsanbefalinger overfor pasientene.
På tross av begrenset dokumentasjon når det gjelder valg av behandling for ulike pasientgrupper og bruddtyper, vet vi en del om håndtering av distale radiusfrakturer. Vi bør på dette grunnlaget utarbeide retningslinjer for behandling, slik at det blir mindre variasjon i behandlingspraksis og færre pasientklagesaker enn det vi har i dag.
Vi takker Kunnskapssenteret ved forsker/prosjektleder Katrine B. Frønsdal, forsker/prosjektmedarbeider Bjørn Anton Graff, forskningsleder/prosjektansvarlig Inger Natvig Norderhaug samt forskningsbibliotekar Sari Ormstad og forskningsbibliotekar Ingrid Harboe for bistand i gjennomgangen av kunnskapsgrunnlaget. Takk også til Leiv M. Hove, Torstein Husby, Knut Melhuus, Adalsteinn Odinsson, Magne Røkkum, Knut Skoglund og John H. Williksen, alle medlemmer i konsensusgruppen, for bidrag i gjennomgangen av kunnskapsgrunnlaget.
HOVEDBUDSKAP
Pinner og stabiliserende bandasje eller ekstern fiksasjon gir bedre behandlingsresultat for ustabile distale radiusfrakturer enn konservativ behandling
Plateosteosyntese gir bedre korttidsresultat for ustabile distale radiusfrakturer enn ekstern fiksasjon
Nyere studier kan tyde på at de vinkelstabile platene kan være årsaken til at det er bedre resultater i plategruppen, men dette må bekreftes i gode prospektive randomiserte, kontrollerte multisenterstudier
- 1.
Hove LM. Distal radius fractures. A study of occurrence, treatment and complications. Doktoravhandling. Bergen: Universitetet i Bergen, 1994: 1 – 160.
- 3.
Lafontaine M, Delince P, Hardy D et al. L’instabilité des fractures de l’extrémité inférieure du radius: à propos d’une série de 167 cas. Acta Orthop Belg 1989; 55: 203 – 16. [PubMed]
- 9.
McQueen M, Caspers J. Colles fracture: does the anatomical result affect the final function? J Bone Joint Surg Br 1988; 70: 649 – 51. [PubMed]
- 10.
Fernandez DL. Correction of post-traumatic wrist deformity in adults by osteotomy, bone-grafting, and internal fixation. J Bone Joint Surg Am 1982; 64: 1164 – 78. [PubMed]
- 11.
McQueen MM, Michie M, Court-Brown CM. Hand and wrist function after external fixation of unstable distal radial fractures. Clin Orthop Relat Res 1992; 285: 200 – 4. [PubMed]
- 12.
McQueen MM, Hajducka C, Court-Brown CM. Redisplaced unstable fractures of the distal radius: a prospective randomised comparison of four methods of treatment. J Bone Joint Surg Br 1996; 78: 404 – 9. [PubMed]
- 13.
Husby T, Walløe A, Willumstad Thomsen M. Behandler vi distale radiusfrakturer dårlig? Abstrakt i Vitenskapelige forhandlinger ved Kirurgisk høstmøte 2006. Oslo: Norsk kirurgisk forening, Den norske legeforening, 2006: 39.
- 14.
Kunnskapssenteret. Slik oppsummerer vi forskning. Håndbok for Nasjonalt kunnskapssenter for helsetjenesten, 2011. www.kunnskapssenteret.no/Verkt%C3%B8y/Slik+oppsummerer+vi+forskning.2139.cms (30.4.2012).
- 15.
Cochrane Handbook for Systematic Reviews of Interventions. www.cochrane-handbook.org/ (14.1.2012).
- 17.
Handoll HH, Vaghela MV, Madhok R. Percutaneous pinning for treating distal radial fractures in adults. Cochrane Database Syst Rev 2007; nr. 3: CD006080. [PubMed]
- 18.
Handoll HH, Huntley JS, Madhok R. External fixation versus conservative treatment for distal radial fractures in adults. Cochrane Database Syst Rev 2007; nr. 3: CD006194. [PubMed]
- 19.
Handoll HH, Huntley JS, Madhok R. Different methods of external fixation for treating distal radial fractures in adults. Cochrane Database Syst Rev 2008; nr. 1: CD006522. [PubMed]
- 20.
Handoll HH, Watts AC. Bone grafts and bone substitutes for treating distal radial fractures in adults. Cochrane Database Syst Rev 2008; nr. 2: CD006836. [PubMed]
- 29.
Handoll HH, Watts AC. Internal fixation and comparisons of different fixation methods for treating distal radial fractures in adults. Cochrane Database Syst Rev 2008; nr. 4: CD006951.