Tredimensjonal ultralydundersøkelse i kardiologisk diagnostikk

    ()

    sporsmal_grey_rgb
    Abstract
    Bakgrunn.

    Bakgrunn.

    Bildediagnostikk med bruk av ultralydundersøkelse spiller en viktig rolle i kardiologien. Nye teknologiske fremskritt, som tredimensjonal fremstilling av hjertet, benyttes nå som et viktig supplement til dagens standardekkokardiografi.

    Kunnskapsgrunnlag.

    Kunnskapsgrunnlag.

    Basert på litteraturstudier i PubMed samt egne erfaringer gir vi en oversikt over de muligheter tredimensjonal ekkokardiografi (3D-ekko) har i dagens og morgendagens diagnostikk av hjertesykdommer.

    Resultater.

    Resultater.

    Tredimensjonal ekkokardiografi er et viktig supplement til dagens standardekkokardiografi. Best dokumentasjon foreligger når det gjelder beregning av venstre hjertekammers volum og ejeksjonsfraksjon samt i diagnostikk av mitralklaffsykdom. Metoden har teoretisk sett også fortrinn som veiledning ved kateterbaserte intervensjoner samt ved diagnostikk av kardiomyopatier og komplekse medfødte hjertefeil.

    Fortolkning.

    Fortolkning.

    Med bedret teknologi og dermed bedre bildefremstilling vil tredimensjonal ekkokardiografi bli et enda viktigere supplement til dagens standardekkokardiografi. Spesielt viktig er mer presis preoperativ diagnostikk ved klaffefeil som veiledning av kirurgisk prosedyrevalg.

    Abstract

    Background:

    Imaging diagnostics employing ultrasound play an important part in cardiology. New technological advances such as three-dimensional representation of the heart now make an important supplement to today’s standard echocardiography.

    Material and method:

    An overview based on PubMed literature studies and the authors’ own experience is provided of the opportunities three-dimensional echocardiography offers for present and future diagnosis of heart disease.

    Results:

    Three-dimensional echocardiography is an important supplement to today’s standard echocardiography. The best documentation is available for calculating left ventricular volume and ejection fraction and for diagnosing mitral valve disease. Theoretically, the method can also be used to advantage to assist in catheter-directed interventions and in the diagnosis of cardiomyopathies and complex congenital heart defects.

    Interpretation:

    With improved technology and hence improved imaging, three-dimensional echocardiography will be an even more important supplement to today’s standard echocardiography. More accurate preoperative diagnostics in connection with heart valve defects are particularly important for directing the choice of surgical procedure.

    Artikkel

    Tredimensjonal fremstilling av hjertet ved bruk av ultralyd (3D-ekko) har i prinsippet vært tilgjengelig de to siste tiår. Ved Oslo universitetssykehus, Rikshospitalet, har metoden vært evaluert fra midten av 1990-årene (1, 2). Målet var å utvikle bedre metoder for beregning av volum og venstre ventrikkel-masse. Dette er viktige mål for venstre hjertekammers funksjon, med betydning for behandling og pasientens prognose. De siste årene har det vært en rivende teknologisk utvikling – ikke minst med bruk av nye ultralydprober (multilineære prober) har man mulighet til å gjøre opptak i sanntid med bedre tidsoppløsning og romlig oppløsning (3). I tillegg er det utviklet mer avanserte verktøy for «offlineanalyse».

    Det er også muligheter i dag for å gjøre tredimensjonale registreringer ved bruk av transoesophagusekkografi. Dette gir muligheter for enda bedre anatomisk fremstilling av strukturer, noe som er spesielt nyttig ved diagnostikk av mitralklaffsykdom. Vi vil i det følgende gjennomgå metoden basert på litteraturstudier og egen erfaring.

    Kunnskapsgrunnlag

    Kunnskapsgrunnlag

    Artikkelen bygger på et skjønnsmessig utvalg av artikler som ble funnet via søk i PubMed med følgende søkeord: 3D echocardiography and – mitral stenosis (120 treff), – mitral regurgitation (398 treff), – aortic stenosis (191 treff), – aortic regurgitation (398 treff), – tumors (117 treff), – stress echo (33 treff), – ASD (57 treff), – VSD (27 treff). Søket ble avsluttet 30.12. 2011. Kun engelskspråklig litteratur ble vurdert. Treffene er gjennomgått og det ble gjort et skjønnsmessig utvalg der resultater fra randomiserte, kontrollerte studier og systematiske oversiktsartikler er blitt vektlagt.

    Hvordan blir fremstillingen «tredimensjonal»?

    Hvordan blir fremstillingen «tredimensjonal»?

    Det er flere ulike metoder for «tredimensjonal» fremstilling på ultralydskjermen eller arbeidsstasjonen. Mest kjent er bruk av 3D-briller, der opptaket vises i stereosyn. Mange blir trette i øynene ved bruk av slike briller, og alternative metoder blir derfor ofte valgt.

    Man kan bruke fargekoding for å få frem en dybdeeffekt – ved at de strukturer som befinner seg i samme dybde kodes med samme farge og intensitet. Lys-og-skygge-effekter gjør det også mulig å tolke bildet mer tredimensjonalt. Endelig er det utviklet en holografisk skjerm som gir en sann tredimensjonal fremstilling av hjertet uten at det trengs 3D-briller (Setred, Forskningsparken, Oslo).

    Volumanalyse

    Volumanalyse

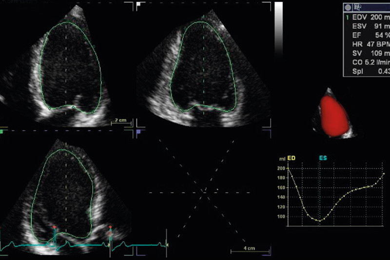
    Automatisk volumanalyse med angivelse av venstre ventrikkels ejeksjonsfraksjon (EF) kan gjøres fra tre ortogonale plan (4) eller fra hele fullvolumet, med fremstilling av volumkurve i hele hjertesyklusen (fig 1). 3D-ekko har en teoretisk fordel ved at volumet ikke beregnes ut fra en geometrisk modell, men kan estimeres direkte fra fullvolumopptak. Man unngår også å gjennomskjære apeks slik at volumet blir falskt lavt, noe som ofte er tilfellet ved konvensjonell todimensjonal avbildning. Metoden er validert mot MR-undersøkelse av hjertet, med god overenstemmelse for venstre ventrikkels volumer og ejeksjonsfraksjon (2, 4) – (7).

    Det har imidlertid vist seg vanskeligere å estimere høyre hjertekammers volum med tredimensjonal teknikk (8). Dette skyldes dels en mer kompleks geometrisk utforming av høyre ventrikkel som gjør at det er vanskelig å få med hele volumet i ett opptak, men ikke minst at høyre ventrikkels frie vegg er tynn og lokalisert mer fortil, hvor det er vanskelig å få gode ekkosignaler.

    Klaffefeil

    Klaffefeil

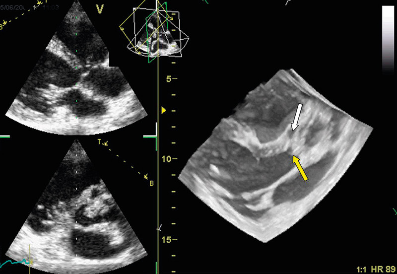
    Vurdering av klaffesykdom med bruk av 3D-ekko har vært validert i ulike studier. Foreløpig er det diagnostikk av patologiske mitralklaffer som er best dokumentert (9) – (12). Det har i løpet av de siste ti år foregått en endring i den kirurgiske behandling av mitralklaffsykdom. Nye kirurgiske teknikker har muliggjort reparasjon av mitralfeilen hos mange pasienter som før måtte ha klaffeerstatning. Slik reparativ kirurgi stiller strenge krav til presis diagnostikk av mitralklaffens form og funksjon, slik at riktig kirurgisk metode kan anvendes. Pasienter med mitralklafflekkasje utredes hos oss med 3D-ekko for nøyaktig lokalisering av klaffens skade (fig 2). Vi har spesiell nytte av det såkalte kirurgiske innsyn (surgeons view) fra venstre atrium, hvor hele mitralklaffen kan fremstilles i samme bilde som vist i figur 2.

    I dag er todimensjonal transoesophagusekkokardiografi påkrevd før kirurgisk teknikk velges ved behandling av mitralprolaps. Interessant nok er det nylig vist at tredimensjonal utvendig ekkokardiografi (transtorakal) var likeverdig med todimensjonal transoesophagusekkografi i lokalisering av mitralklaffprolaps (10). Tredimensjonal transoesophagusekkografi var enda mer presist i diagnostikken av kommisurale prolapser, som kan være vanskelige å reparere. Dette er viktig informasjon for planlegging av kirurgisk metode ved valg av ventil versus klaffebevarende, reparativ kirurgi. Ved en rekke hjertekirurgiske sentre i Europa gjøres det nå rutinemessig 3D-ekko før mitralklaffplastikk.

    Kvantitering av lekkasjer er også en viktig del av diagnostikken hos pasienter med mitralklafflekkasje. Todimensjonal fargedoppler har klare svakheter i denne diagnostikken. Studier viser at anvendelse av 3D-ekko med fargedoppler er et mer robust mål for estimering av klaffelekkasje og beregning av effektivt regurgitasjonsareal (EROA) (13, 14). Tredimensjonal ekkokardiografi med fargedoppler gir unike muligheter til å fremstille vena contracta i flere plan. Dermed kan man med en enkel teknikk planimetrere arealet svarende til v. contracta (14, 15).

    Det foreligger flere studier om evaluering av aortastenoser både med direkte planimetri (16) – (19) og med tredimensjonal fargedoppler for bestemmelse av slagvolum og derivering av arealet med kontinuitetslikningen (16, 20). Spesielt ved forekomst av septumvalk, noe som er vanlig hos eldre, var sistnevnte metode mer presis enn bruk av tradisjonell todimensjonal ekkokardiografi (20). Tredimensjonal ekkokardiografi gir også muligheter til å kvantitere aortainsuffisienser, der todimensjonal ekkokardiografi har åpenbare svakheter i dag (18).

    Med nye teknikker, som perkutane prosedyrer ved klaffefeil (implantasjon av kunstig aortaventil) og reparasjon av mitralklafflekkasje med transkateterteknikk (MitraClip), vil 3D-ekko kunne ha en sentral plass i gjennomføringen av prosedyrene (21). I løpet av få år kan det også bli aktuelt med tredimensjonal ekkokardiografi for nye perkutane teknikker, ikke bare for MitraClip. Det utvikles nå (i dyremodeller) teknikker for blant annet å erstatte/reparere chordae og for innsettinng av mitralring og nye perkutane mitraventiler.

    Hos pasienter med mitralstenose har metoden også vist seg å være mer presis enn de teknikker som anvendes rutinemessig i dag (12, 22) – (24). Fordelen med 3D-ekko er muligheten for å legge bildeplanet en face gjennom stenosens minste åpning, slik at det reelle stenosearealet blir mer presist estimert.

    Vi har nytte av 3D-ekko hos pasienter med restlekkasjer etter klaffeoperasjoner. Ved paravalvulære lekkasjer får man god oversikt over lekkasjens lokalisering og utbredelse. Andre kliniske problemstillinger hvor 3D-ekko benyttes hos oss er ved endokarditter. I tillegg til mer presis lokalisering vil man også få bedre oversikt over abscessutbredelse og eventuelle fisteldanninger (fig 3).

    Intrakardiale masser

    Intrakardiale masser

    Bedømming av intrakardiale masser kan også være utfordrende, selv med todimensjonal transoesophagusekkografi. Vi har hatt nytte av 3D-ekko til bedømming av myksomer (utbredelse, hvorvidt tumor er stilket og i ett tilfelle myksomets beliggenhet i venstre ventrikkel i forhold til papillmuskulaturen). Videre har vi utelukket trombe i venstre aurikkel hvor todimensjonal transoesophagusekkografi ikke kunne utelukke dette.

    Apikale «oppfyllinger» kan være vanskelige å tolke, spesielt hvorvidt det foreligger en trombe. 3D-ekko kan også her ha sine fordeler sammenliknet med 2D-ekko (25) – (27). Påvisning av ventiltrombose er også mulig med ny teknologi og gjøres rutinemessig hos oss der mistanke om dette foreligger.

    Kardiomyopatier

    Kardiomyopatier

    Ved hjelp av 3D-ekko med fullvolumopptak kan venstre hjertekammer fremstilles som multiple kortakser på skjermen (fig 4). Ved hjertemuskelsykdommer som hypertrofisk kardiomyopati får man bedre oversikt over fordelingen av hypertrofien. Spesielt ved mer apikale varianter kan dette være nyttig, da disse kan bli oversett ved rutineekkografi. Enkelte sjeldnere former for kardiomyopatier, som manglende modning av myokard (non-compaction cardiomyopathy), har karakteristiske trekk som lett kan fremstilles med 3D-ekko (fig 5). Det foreligger imidlertid foreløpig ingen god dokumentasjon på tilleggsnytten av tredimensjonal ekkografi ved ulike kardiomyopatier.

    Medfødte hjertefeil

    Medfødte hjertefeil

    3D-ekko har flere mulige anvendelsesområder innen diagnostikk av pasienter med medfødte hjertefeil. Vurdering av atrieseptumdefekt (ASD) (28) – (33) kan i enkelte tilfeller være vanskelig selv med transoesophagusekkografi. Dette gjelder spesielt bedømmelse av omfanget av defekten og av hvor gode mulighetene er for festekant for en kunstig propp. Der det er store defekter med liten festekant, kan man være best tjent med kirurgisk lukking.

    Tilsvarende har man anvendt tredimensjonal ultralydundersøkelse til diagnostikk og for veiledning av kateterbasert lukking av muskulære ventrikkelseptumdefekter (34). Ved mer komplekse hjertefeil kan man også teoretisk ha nytte av tredimensjonal ekkokardiografi.

    Myokardfunksjon

    Myokardfunksjon

    I tillegg til globale mål for venstre hjertekammer-funksjon, slik som ejeksjonsfraksjon, er det utviklet metoder for beregning av regional myokardfunksjon gjennom bestemmelse av deformasjon og deformasjonshastigheter (35). Disse beregningene har vært basert på vanlige todimensjonale ekkoregistreringer og er begrenset til ett plan. Siden hjertet er en tredimensjonal struktur med konstant masse, vil deformasjon i én akse (x) medføre deformasjon i øvrige akser (y, z). Dette kan teoretisk løses ved tredimensjonale registreringer hvor man kan beregne deformasjonen i alle disse aksene simultant.

    Bruk av 3D-ekko i diagnostikk av reversibel iskemi (stressekkokardiografi) har også en betydelig teoretisk fordel. Tredimensjonal stressekkokardiografi er i løpet av de siste årene blitt validert mot todimensjonal stressekkokardiografi (5, 36, 37). Fortsatt er sensitiviteten noe lavere for 3D-ekko, spesielt gjelder dette fremre vegg og lateralvegg. Spesifisiteten for de to metodene er noenlunde lik (80 – 90 %). Det er fortsatt en utfordring at tidsoppløsningen er begrenset, spesielt ved høye hjertefrekvenser. Videreutvikling av teknologien vil forhåpentligvis bedre temporal og spatial oppløsning av 3D-registreringene.

    Ressursbruk

    Ressursbruk

    I en travel klinisk hverdag er det viktig å ha med kostnad-nytte-vurderinger når det gjelder de undersøkelser vi foretar. 3D-ekko vil så langt være et supplement til en fullstendig todimensjonal ekkokardiografi. Etter vår mening bør alle sykehus som tilbyr klaffebevarende kirurgi ha 3D-ekko som en del av utstyrsparken. Ikke bare tertiære sentre vil ha nytte av teknologien – eksemplene over viser hvilken nytte andre sykehus og privatpraktiserende spesialister kan ha av den tilleggsinformasjonen 3D-ekko kan gi. Det er avgjørende at man er dedikert til oppgaven og bruker noe tid i starten for å lære seg teknikken samt holder kunnskapen ved like.

    Konklusjon

    Konklusjon

    Med bedret teknologi og dermed bedre bildefremstilling er tredimensjonal ekkokardiografi blitt et viktig supplement til dagens standard ekkokardiografi, både transtorakal og transøsofageal. I dag er metoden best dokumentert for kvantitering av venstre ventrikkels volum og ejeksjonsfraksjon og for kvalitativ bedømming av mitralklaffsykdom.

    Kommentarer  ( 0 )
    PDF
    Skriv ut

    Anbefalte artikler