En mann i 70-årene med magesmerter og vekttap

    ()

    sporsmal_grey_rgb
    Artikkel

    En mann i 70-årene ble innlagt med magesmerter, spisevegring og uttalt vekttap. Han hadde over flere år vært innlagt gjentatte ganger med bryst- og magesmerter. Ny utredning ga uventede funn og regranskning av tidligere CT-bilder førte til at man endelig kom på sporet av riktig diagnose.

    Pasienten var storrøyker med kjent kronisk obstruktiv lungesykdom, hypertensjon og diabetes mellitus type 2. Han brukte lisinopril 10 mg og doxazosin 8 mg mot hypertensjon samt acetylsalisylsyre 75 mg på grunn av generell arteriosklerose og forebyggende mot blodpropp.

    Ved den aktuelle innleggelsen anga han sterke smerter over hele magen med utstråling til bryst og hals. Smertene ble beskrevet som kontinuerlige, med forverring etter måltider. På grunn av magesmertene hadde pasienten særlig de siste månedene kviet seg for å spise.

    Ved klinisk undersøkelse ble det funnet lett forhøyet blodtrykk på 155/ 85 og normal kroppstemperatur. Pasienten var meget tynn, med vekt på 45 kg, høyde 182 cm og kroppsmasseindeks (BMI) 13. Man fant på venstre side svak puls i lysken og i arteria dorsalis pedis. Øvrig organstatus var uten anmerkning.

    Pasienten hadde sterke smerter med utstråling til både bryst og hals. Man ønsket derfor først å utelukke akutt hjertesykdom (ustabil angina og hjerteinfarkt).

    Blodprøver, inkludert troponiner, hvite blodlegemer, trombocytter, differensialtelling, kreatinin, elektrolytter, albumin, bilirubin, levertransaminaser, CRP og senkning var alle innenfor referanseområdet. Man bemerket imidlertid lett nedsatt hemoglobin 10,8 (11,5 – 15 g/l) og lett forhøyet amylase 364 U/l (< 350 U/l).

    EKG viste venstre ventrikkel-hypertrofi, men var ellers normalt. Det ble utført ekko-doppler av hjertet uten funn av relevant patologi. Dagen etter innleggelsen ble det gjort belastnings-EKG med suboptimal belastning til 90 watt på grunn av utmattelse, uten at det tilkom verken brystsmerter, iskemitegn eller rytmeforstyrrelser.

    Med negative hjertemarkører (troponin T) målt tre ganger, ingen iskemitegn eller hjerterytmeforstyrrelser ved EKG og ingen patologi ved ekko-doppler av hjertet konkluderte man med at pasienten neppe hadde akutt hjertesykdom. Lang sykehistorie og smertenes karakter talte også mot akutt hjertesykdom. Man valgte ikke å gjøre stressekko, da pasienten hadde smerter i hvile uten forverring ved anstrengelser.

    Pasienten beskrev svimmelhet i forbindelse med fysisk anstrengelse og ble derfor undersøkt av nevrolog som gjorde ultralyd med doppler av halskar. Denne undersøkelsen viste en moderat stenose proksimalt i høyre arteria carotis externa, men ingen signifikante precerebrale stenoser, og det var normale strømhastigheter i begge a. carotis og arteria vertebrales. Pasienten ble også undersøkt hos karkirurg grunnet klaudikasjonssmerter i venstre legg. Ultralyd med doppler av underekstremitetsarterier viste åpne hovedstammer, men arteriosklerotiske forandringer perifert. Pasienten ble anbefalt røykestopp og gangtrening.

    Pasientens hovedplager var magesmerter og vekslende avføring. Han var lett anemisk med et alarmerende vekttap. Man mistenkte at pasienten hadde en okkult blødning og valgte å seponere acetylsalisylsyre. Det var naturlig å utrede videre med tanke på malignitet og gå gjennom alle undersøkelser gjort tidligere.

    Pasientens bryst- og magesmerter oppsto for ca. 10 år siden. Han klaget da også på løs avføring med 2 – 3 kvitteringer per dag, men han hadde ikke observert blod eller slim i avføringen. Vekten var allerede da redusert med 15 kg, til 70 kg. Det ble den gang gjort en omfattende utredning med gastroskopi som påviste refluksøsofagitt og uttalt gastroduodenitt. Protonpumpehemmer, og senere H₂-blokker, ble gitt uten effekt på magesmertene. Koloskopi påviste polypper i rectum, men ellers ingen patologi. Videre viste ultralyd abdomen bilaterale nyrecyster, oppfattet som benigne, parapelvine cyster, og ellers normale funn.

    To år senere tilkom friskt blod i avføringen. Ultralyd abdomen var uendret. Koloskopiundersøkelsen ble gjentatt og viste fortsatt kun polypper. Disse ble fjernet. Histologien var benign med hyperplastiske polypper og tubulære adenomer med lett dysplasi. Ny gastroskopi med tynntarmsbiopsier var normal. Cøliakiserologi viste normale verdier for antivevtransglutaminase, og pasienten hadde heller ikke egenskapene HLA-DQ2 og HLA-DQ8, noe som gjorde cøliakidiagnosen svært lite sannsynlig.

    Ved MR abdomen ett år senere fikk man mistanke om kronisk pankreatitt, men det var utilstrekkelig fremstilling av pancreas. Man anbefalte CT av pancreas, men det ble ikke utført. Pasienten brukte en periode pancreasenzymer som substitusjon, uten effekt på plagene.

    Magesmerter med vekslende avføring (form, konsistens og frekvens) og luftplager sammen med negative røntgen- og histologiundersøkelser bidro til at man stilte diagnosen irritabel tarm-syndrom (IBS) åtte år før den aktuelle innleggelsen. Irritabel tarm-syndrom er en fellesbetegnelse for gastrointestinal sykdom som karakteriseres av magesmerter og endret tarmfunksjon. Organisk sykdom som årsak til plagene må være utelukket når diagnosen stilles.

    Under den aktuelle innleggelsen fortalte pasienten om smertenes relasjon til måltider og om blodtilblandet diaré. Sterke smerter i forbindelse med måltider gjorde at han vegret seg for å spise.

    Ved irritabel tarm-syndrom hos pasienter over 50 år er såkalte «røde flagg» sentrale med tanke på kreft: anemi, vedvarende feber, kronisk og økende diaré og familiehistorie med kolorektalcancer (1).

    Vår pasient hadde negativ familiehistorie. Han hadde heller ikke feber. Urovekkende var allikevel betydelig vekttap og sterke magesmerter som fra starten av førte til flere gjentatte undersøkelser for å utelukke malignitet. Differensialdiagnostisk finnes det flere tilstander som kan gi blodtilblandet avføring og magesmerter, deriblant divertikkelblødning, arteriovenøse malformasjoner (angioektasier), polypper, ikke-iskemisk kolitt (clostridium difficile, idiopatisk eller inflammatorisk tarmsykdom) og iskemisk kolitt.

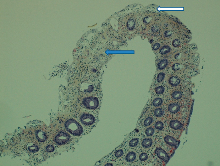
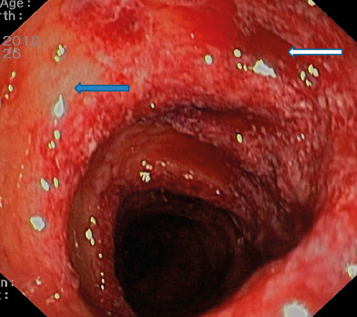
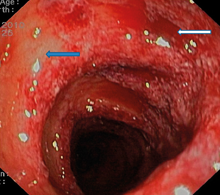
    Opplysningen om friskt blod i avføringen førte til at man valgte å gjøre CT colon på mistanke om kolitt. CT colon viste en uspesifikk veggfortykkelse i venstre del av colon. Røntgen av tynntarm påviste verken kalibervekslinger, fortykket vegg eller stenoser. Ved koloskopi fant man forandringer med flekkvis rubor, ødem og submukosale blødninger i colon sigmoideum og colon descendens opp til venstre fleksur (fig 1). Histologi av tykktarmslimhinnen viste løsnet overflateepitel, fravær av krypter i tillegg til atrofi og ødem (fig 2).

    Det histologiske funnet passet ikke med inflammatorisk tarmsykdom, men var typisk for iskemisk kolitt. Samlet passet dette best med iskemisk skade av tarmen.

    Man gransket på nytt CT abdomen utført for tre år siden. Undersøkelsen var gjort med intravenøs kontrast på mistanke om kronisk pankreatitt som årsak til magesmertene. Det ble ikke funnet tegn til pankreatittforandringer, men det ble bemerket uttalte arteriosklerotiske forandringer i abdominalaorta, proksimale bekkenkar, arteria mesenterica superior og truncus celiacus. De beskrevne forandringene i abdominalkarene ble den gang ikke fulgt videre opp. På bakgrunn av CT- funnet fra tre år tidligere valgte man nå å utføre abdominal CT- angiografi. Undersøkelsen viste en 2,5 cm lang okklusjon av a. mesenterica superior og en 8 mm lang okklusjon av truncus celiacus, begge okkludert fra avgangen fra lumbalaorta. A. mesenterica inferior var åpen, men med sannsynlig signifikant avgangsstenose, dvs. 75 % eller større reduksjon av karets tverrsnittsareal (fig 3).

    Tykk- og tynntarm forsynes hovedsakelig av a. mesenterica superior og a. mesenterica inferior. Til duodenum bidrar også kar fra truncus celiacus (2). Flere tilstander kan gi iskemisk kolitt, men spesifikk årsak kan være vanskelig å finne. Hos vår pasient var arteriosklerose mest sannsynlige årsak. Vår pasient var storrøyker, hadde distal klaudikasjon med påviste arteriosklerotiske forandringer i perifere kar i underekstremitetene, hypertensjon og diabetes mellitus. Man mistenkte derfor nedsatt blodforsyning til tarm som årsak til hans plager.

    Pasienten ble henvist til universitetssykehus, der det på intervensjonsradiologisk avdeling ble utført endovaskulær behandling med vellykket rekanalisering og stentbehandling av a. mesenterica superior. Etter dette har pasienten ikke hatt smerter etter måltider og har ved kontroller lokalt fortalt om god appetitt og vektøkning på 10 kg i løpet av fem måneder. Koloskopikontroll viste normal tykktarmslimhinne opp til venstre fleksur, og man startet igjen med platehemmer i form av acetylsalisylsyre 160 mg daglig.

    Diskusjon

    Diskusjon

    Mesenteriell iskemi deles i tre hovedkategorier basert på funn: akutt mesenteriell iskemi, kronisk mesenteriell iskemi (også kalt intestinal angina) og iskemisk kolitt (1,3 – 5).

    Akutt mesenteriell iskemi er en livstruende tilstand som krever rask og presis diagnostikk og behandling. Mortaliteten er høy, 60 – 80 % (5).

    Insidensen av kronisk mesenteriell iskemi står for 1 – 2 % av alle abdominale tilstander (5). Tilstanden er progressiv og vanligvis relatert til generell arteriosklerose, og a. mesenterica superior er involvert i 85 % av alle tilfeller (5). De fleste pasienter er eldre enn 60 år, røyker og har arteriosklerotiske forandringer i andre regioner som koronarkar, precerebrale kar og perifere kar. Hovedsymptomer er måltidsrelaterte magesmerter og vekttap. Symptomenes alvorlighetsgrad avhenger av hvor mange av de tre mesenteriale arteriene (truncus coeliacus , a. mesenterica superior og a. mesenterica inferior) som er signifikant stenotiske eller okkluderte (3, 6). Det er vanlig å anta at minst to av de tre arteriene må være signifikant stenotiske eller okkluderte for å gi symptomer (7). Kronisk mesenteriell iskemi deles i fire hovedstadier etter Fontaine (5): Symptomfri periode, periode med intermitterende magesmerter, periode med konstante magesmerter og til slutt iskemisk nekrose i tarm (tarminfarkt).

    Ved kronisk mesenteriell iskemi kan det oppstå akutte iskemiske episoder i colon fordi kollateralutviklingen er marginal, med redusert blodgjennomstrømming i tarmvegg og høyt bakterieinnhold i tarmlumen. Iskemi i colon forekommer kun i 12 % av tilfeller med mesenteriell iskemi (5).

    Ved akutt transistorisk iskemisk kolitt er venstre colon, som i stor grad forsynes av a. mesenterica inferior, affisert hos 75 % av pasientene (4). Rectum forsynes både av a. mesenterica inferior og a. iliaca interna fra begge sider, og er av den grunn sjelden affisert. Akutt transistorisk iskemisk kolitt kan gi akutte magesmerter med blodig diaré, men symptomene avtar spontant i løpet av noen dager og krever ingen spesifikk behandling. Prognosen er god. Sykdommen gir ikke varige mén som for eksempel striktur (2). Hyppigheten av akutt transistorisk kolitt øker med alder (særlig over 60 år), men kan forekomme i alle aldersgrupper hos voksne pasienter (3, 6). Kvinner er mer disponert enn menn.

    En spesifikk og sensitiv test savnes i diagnostikken av akutt og kronisk mesenteriell iskemi. Ved akutt mesenteriell iskemi ses forhøyet CRP, leukocytose, forhøyet laktat og acidose (8). Disse blodmarkørene er uspesifikke og må ses i sammenheng med anamnese og det kliniske bildet. De nevnte blodmarkørene har ingen verdi ved utredning av kronisk mesenteriell iskemi. Radiologiske undersøkelser er aktuelle ved utredning både av akutt og kronisk mesenteriell iskemi. En hemodynamisk signifikant stenose defineres som 75 % arealreduksjon av lumen i arterien. Dersom stenosen er sirkulær, tilsvarer dette 50 % reduksjon av lumens diameter, men ofte er lumen uregelmessig forsnevret, noe som gjør gradering av stenosen vanskeligere. CT-angiografi gir muligheten til å vurdere lumen i flere plan og dermed også vurdere om en asymmetrisk stenose er signifikant eller ikke.

    Computertomografi (CT) er mye brukt i generell og spesiell abdominal diagnostikk, men man bør være oppmerksom på at undersøkelsen i dag i stor grad «skreddersys» til problemstillingen angitt i henvisningen. Ved spørsmål om arteriell patologi vil man gjøre undersøkelsen med tynne snitt, like etter at kontrast er gitt intravenøst, mens kontrasten enda fyller arterietreet godt (CT-arteriografi/ CT-angiografi). Ofte gjøres i tillegg en serie sent i kontrastfasen (portovenøs kontrastfase), etter at man har fått god kontrastmetning av parenkymatøse organer. Dette gir bred fremstilling av abdominale organer og er en god undersøkelse ved uklare abdominale tilstander med flere alternative differensialdiagnoser. CT med intravenøs kontrast og tynne snitt gjort i arteriell fase (CT-arteriografi) er i dag gullstandard for vurdering av sentrale arterier i abdomen. MR-arteriografi er et alternativ, men undersøkelsen tar lengre tid og er mer sårbar for pasientbevegelse enn CT-undersøkelsen.

    Proksimale stenoser og okklusjoner i mesenterielle kar kan eventuelt også påvises ved hjelp av ultralyd/doppler. Vurderingen krever at undersøker har betydelig erfaring i å vurdere kar. Et positivt funn ved ultralyd vil vanligvis føre til en CT-arteriografi for å objektivisere funnet. Adipositas og mye luft i tarm gjør diagnostikken med ultralyd mer usikker og vanskelig. Dette sammen med at undersøkelsen er svært undersøkeravhengig, gjør at den brukes lite i denne sammenhengen. Iskemiske prosesser i abdominale organer utvikles som regel sakte. Det gir mulighet for å utvikle gode kollateralkretsløp, noe som ofte medfører at kroniske iskemiske forandringer i abdominale kar oppdages sent.

    Asymptomatiske pasienter bør man ikke behandle, men følge opp med regelmessige kontroller. Ved intermitterende og konstante magesmerter er behandling derimot indisert. Behandling av kronisk mesenteriell iskemi er i utgangspunktet symptomlindrende, med mål om å bedre ernæringstilstanden og å forebygge utvikling av tarminfarkt (5). Man anbefaler hyppigere og mindre måltider for å unngå magesmerter. Behov for endovaskulær eller kirurgisk behandling vurderes ved CT-arteriografi av abdominale kar. Fordi pasientgruppen i stor grad består av eldre, multimorbide pasienter, er vanligvis endovaskulær behandling førstevalg, særlig ved korte okklusjoner eller stenoser. Ved lange okklusjoner eller stenoser og ved akutt mesenteriell iskemi vil ofte kirurgisk behandling som bypass eller trombendarterektomi være bedre egnet.

    Konklusjon

    Konklusjon

    Hovedbudskapet er at man bør tenke på tilstanden mesenteriell iskemi ved uklare, måltidsrelaterte magesmerter med vekttap, særlig dersom det foreligger risikofaktorer for arteriosklerotisk sykdom.

    Samtykke til publisering er gitt.

    Kommentarer  ( 0 )
    PDF
    Skriv ut

    Anbefalte artikler