Når primærtumor og metastaser går hver sin vei

    ()

    sporsmal_grey_rgb
    Artikkel

    Hvilke terapeutiske konsekvenser kan det få når primærtumoren og metastasene utvikler seg i ulike retninger?

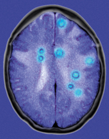
    Medulloblastomer er studert i to musemodeller og i et klinisk materiale ved hjelp av avanserte molekylærbiologiske metoder (1). Mutasjoner i primærtumoren gjorde den heterogen, og det var en liten subklon av cellene som metastaserte via cerebrospinalvæsken til leptomeningene. Ytterligere mutasjoner kom til. De var forskjellige i primærtumoren og i metastasene, men metastasemutasjonene var for en stor del de samme i den enkelte mus/pasient. Dette kan bety at et medikamentelt terapeutisk angrepspunkt i primærtumoren ikke gjenfinnes i metastasene – og det er som oftest de som tar livet av pasienten.

    – Funnene fra medulloblastomer er svært interessante, men ikke unike, sier professor Gunhild M. Mælandsmo, Institutt for kreftforskning, Oslo universitetssykehus. – Også i brystkreft vet vi at molekylære endringer i primærtumoren ikke nødvendigvis gjenspeiles i metastasene. Den rådende hypotesen er at primærtumoren er svært heterogen og at noen kloner har større evne til å invadere og dermed gi opphav til metastaser. De molekylære forskjellene mellom primærtumor og metastaser forsterkes videre ved at celler i begge lokalisasjoner akkumulerer nye mutasjoner.

    Moderne kreftbehandling vil i økende grad bli tilpasset den enkelte pasient. Denne utviklingen drives av teknologiske fremskritt – for eksempel sekvenseringsteknologi, som angir hvilke mutasjoner som finnes i en tumor, og av nye medikamenter rettet inn mot slike molekylære angrepspunkter. Disse nye funnene understreker behovet for å karakterisere de molekylære endringene i metastasene og ikke basere valget av terapi for metastatisk sykdom kun på funn gjort i primærtumoren. Slik vil målrettet kreftbehandling ha potensial til å bli langt mer effektiv enn den er i dag, sier Mælandsmo.

    Kommentarer  ( 0 )
    PDF
    Skriv ut

    Anbefalte artikler