Hjertestans hos en ti måneder gammel gutt med ryggmargsskade

    ()

    sporsmal_grey_rgb
    Abstract

    A 10-month-old boy with a previous upper spinal cord injury was admitted to hospital with acute respiratory and circulatory distress. Shortly after admission the boy had severe bradycardia leading to asystolia and pulseless electrical activity. He was successfully resuscitated, and the investigation that followed excluded infection, congenital heart defect, arrhythmia and cerebral haemorrhage. Over the following days the patient had several episodes of isolated bradycardia and combined bradycardia and hypotension. It was concluded that the patient suffered from autonomic dysreflexia, triggered by a distended urinary bladder. He was treated with intermittent catheterization and a permanent pacemaker, and after 12 months there have not been any symptomatic episodes or registered arrhythmias.

    Autonomic dysreflexia is a common and well known complication of spinal cord injury above Th6, but the literature on paediatric patients is scarce. Our case report presents an infant with an atypical and severe episode of autonomic dysreflexia. Patients with spinal cord injury, their caregivers and health-care personal should be aware of this complication of spinal cord injury, in order to prevent and treat autonomic dysreflexia properly and avoid potentially fatal episodes.

    Artikkel

    En ti måneder gammel gutt med kjent ryggmargsskade ble innlagt med akutt respirasjons- og sirkulasjonssvikt. Kort tid etter innleggelsen fikk han hjertestans.

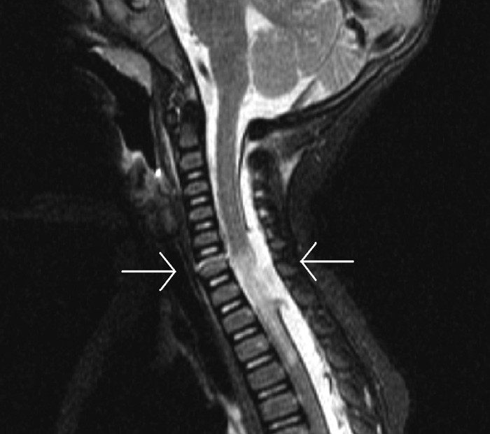
    Da gutten var seks måneder gammel, ble han innlagt i sykehus etter å ha vært involvert i en alvorlig bilulykke. CT av hodet viste små, inoperable blødninger subduralt over høyre hjernehalvdel og subaraknoidalt over venstre pannelapp. MR av ryggsøylen avdekket en skade på ryggmargen fra nivå C6 til TH4, en rift i dura fra nivå C6 til TH2 og et brudd i ryggvirvel C6 (fig 1). Nakkeskaden ble betraktet som ustabil, men på grunn av barnets alder og størrelse kunne man ikke tilrettelegge nakkekrage. Det ble anbefalt skånsom behandling av nakken, med særlig vekt på å unngå fleksjon og ekstensjon.

    Etter hvert kom barnet i gang med rehabilitering. Ryggmargsskaden var inkomplett, og nevrologisk status viste delvis bevart funksjon av armene og nærmest fullstendige lammelser i bena. Achilles- og patellarrefleksene var livlige, og det var tegn til begynnende spastisitet. Gjentatte ultralydundersøkelser viste normalt stor urinblære. Ved miksjonsobservasjon så man urinlekkasje og ingen sikker urinstråle, og målinger av resturin viste volumer på mellom 19 ml og 40 ml (normalt blærevolum hos en ettåring er ca. 25 – 30 ml). Funnene tydet på nevrogen blære, og det ble planlagt oppstart av ren, intermitterende kateterisering (RIK). Fire måneder etter ulykken ble han utskrevet til hjemmet. Av ulike årsaker ble oppstart av kateterisering utsatt til neste planlagte innleggelse.

    Nakkeskader hos barn er sjeldent, men kan innebære høy sykelighet og i verste fall død. For de minste barna er trafikkulykker vanligste årsak, mens fall- og sportsulykker er vanligere hos eldre barn (1). Ved høyenergiskade og der det er mistanke om hode- eller nakkeskade må nakken stabiliseres adekvat før klinisk og radiologisk undersøkelse. Behandlingen av nakkeskader avhenger av barnets alder, nevrologiske status og skadens omfang og nivå.

    Hos barn behandles stabile nakkeskader konservativt, og det er lite bevis for at kirurgisk behandling av ustabile nakkeskader begrenser nevrologisk skade (2). Tilpasning av nakkekrage eller annen stabiliserende struktur kan være utfordrende for mindre barn. Ved nevrologiske utfall er det viktig å komme raskt i gang med rehabilitering.

    Kort tid etter utskrivningen ble gutten forkjølet, men var i god allmenntilstand. En uke etter hjemkomst ble han utilpass og irritabel. Noen timer senere fikk han plutselig et anfall med cyanose på lepper og ekstremiteter. Anfallet varte i under ett minutt, han var ved bevissthet, og det var ikke kramper eller stivhet i kroppen.

    Foreldrene kontaktet lege, som diagnostiserte en dobbeltsidig ørebetennelse. Legen vurderte at gutten var i god allmenntilstand. På legekontoret fikk gutten et liknende anfall, men av lengre varighet og med nedsatt bevissthet. Luftambulansen kom til legekontoret, og man valgte å sedere og intubere pasienten før transport på grunn av ustabil respirasjon og sirkulasjon.

    Hvis et barn har tegn på respirasjons- eller sirkulasjonssvikt, skal det innlegges i sykehus som øyeblikkelig hjelp. Det er viktig å identifisere et slikt barn raskt, slik at man kan planlegge sikker og hurtig transport til sykehus og eventuelt starte behandling.

    Respirasjonsvansker hos barn er lett å diagnostisere. Den myke brystkassen gjør at inndragninger i halsgropen og mellom og under ribbeina blir spesielt godt synlig. Bruk av aksessoriske respirasjonsmuskler og økt respirasjonsfrekvens er tegn på besværet respirasjon. Dype inndragninger, svært rask eller redusert respirasjonsfrekvens, cyanose og oksygenmetning < 92 % er tegn på alvorlig respirasjonsbesvær (3).

    Sirkulasjonen kan være vanskelig å bedømme hos barn. Huden er et viktig organ i bedømmelsen – kalde, klamme ekstremiteter, cyanose og lang kapillær fyllingstid (> 2 sek) taler for sirkulasjonsinsuffisiens eller hypotermi. En pålitelig blodtrykksmåling forutsetter at størrelsen på blodtrykksmansjetten er riktig og at barnet er rolig. Målingen må vurderes ut fra alders- og kjønnsjusterte normalområder (4).

    En rekke tilstander kan forårsake respirasjons- og sirkulasjonssvikt hos barn. Plutselig respirasjonssvikt kan oppstå ved fremmedlegeme i luftveiene, epileptiske anfall, feberkramper og hjerneblødning. Respirasjonssvikt utløst av luftveisinfeksjoner vil som regel ha et gradvis forløp. Medfødte hjertefeil og hjerterytmeforstyrrelser, som forlenget QT-syndrom eller takyarytmier, kan gi akutt sirkulasjonssvikt. Dehydrering vil forverre sirkulasjonen over tid. Alvorlige infeksjoner som sepsis eller meningitt må alltid vurderes ved presentasjon av livstruende symptomer.

    Ved innkomst var barnet intubert og hadde sidelik, surklete respirasjon med frekvens på 28/min og oksygenmetning på 100 %. Han hadde en rektaltemperatur på 33,8 °C, var kjølig på ekstremitetene, men hadde et normalt blodtrykk på 80/40 mm Hg og puls på 95 slag/min. Det ble ikke sett petekkier eller cyanose. Kort tid etter innkomst ble det tatt blodkultur, og det ble gitt intravenøs cefotaksim (50 mg/kg) mot mulig alvorlig infeksjon. EKG var normalt. Innkomstprøvene viste Hb 9,2 g/100 ml (9,7 – 13,3 g/100 ml), leukocytter 8,4 · 10⁹ (6,6 – 16,2 · 10⁹), trombocytter 437 · 10⁹ (304 – 619 · 10⁹), CRP 26 mg/l (< 5 mg/l) og glukose 7,1 mmol/l (4,0 – 6,0 mmol/l). Kapillær blodgass viste en høy pO₂ som følge av høyt oksygentilskudd, men ellers normale verdier. Urinstiks var normal. På bakgrunn av guttens tidligere nakke- og hodeskade ble det bestilt CT av hjernen for å utelukke hjerneblødning.

    I røntgenavdelingen fikk barnet akutt bradykardi, fall i oksygenmetning og etter hvert asystole. Det ble startet med avansert hjerte-lunge-redning, og det ble gitt intravenøs adrenalin, albumin og væskestøt gjentatte ganger. Gutten hadde asystole og deretter pulsløs elektrisk aktivitet i 40 minutter før han plutselig fikk bedre farge og pulsgivende rytme. Blodgassundersøkelser under resusciteringen viste normale pH-verdier. CT-undersøkelsen viste intet patologisk, og ekkokardiografiundersøkelsen var normal. Blodprøvene fra de neste dagene viste ingen leukocytose, en beskjeden stigning av CRP til 37 mg/l og lett forhøyet prokalsitoninnivå på 2,52 µg/l (< 0,10 µg/l) som høyeste verdi. Det var ingen vekst av bakterier i urin, blod eller spinalvæske. Spinalvæsken var normal, og PCR-undersøkelse for flere virus var negative.

    Under respiratorbehandlingen ble det registrert flere kortvarige tilfeller av isolert bradykardi og kombinert bradykardi og blodtrykksfall. Ved ett av disse anfallene så man at gutten i utgangspunktet hadde oksygenmetning på 97 %, intraarterielt blodtrykk på 81/47 mm Hg og en sinusrytme på 113 slag/min (fig 2a). Blodtrykket falt så plutselig til 63/32 mm Hg, etterfulgt av bradykardi på 56 slag/min og oksygenmetning på 74 %. Deretter fikk han en asystole på ca. 1,5 sekunder (fig 2b). I et halvt minutt hadde han ikke utslag på blodtrykkskurven, og hjerterytmen falt til 20 slag/min med nærmest opphørt respirasjon. Uten spesifikke tiltak ble både blodtrykk, hjerterytme og oksygenmetning normalisert etter to minutter (fig 2c).

    Da pasienten ble innlagt med truet respirasjon og sirkulasjon, var det mistanke om alvorlig infeksjon. Han hadde hatt symptomer på øvre luftveisinfeksjon, etterfulgt av irritabilitet og plutselig forverring av vitale funksjoner. Ved mottak i sykehuset var han hypoterm. Dette kunne skyldes nedkjøling under transport eller en sepsis. Blodprøvene ga ingen klare svar på om det forelå en alvorlig infeksjon, men negative prøvesvar på spinalvæskeundersøkelse, urinstiks, blodkultur og urinkultur svekket hypotesen. Det var ikke holdepunkter for å anta at han hadde hatt kramper, dehydrering eller nedre luftveisinfeksjon. Ekkokardiografi viste ingen medfødte hjertefeil, og EKG viste ingen primær rytmeforstyrrelse eller forlenget QT-tid.

    Sett i lys av ryggmargsskaden ble det konkludert med at han mest sannsynlig hadde autonom dysrefleksi, og han ble utredet med tanke på utløsende årsaker. Det ble ikke funnet sår eller irriterende tilstander nedenfor ryggmargsskaden, og avføringen var normal og regelmessig. Det var kjent at pasienten hadde nevrogen urinblære, og det var ikke startet opp med ren, intermitterende kateterisering. Man mente derfor at den mest sannsynlige årsaken til den autonome dysrefleksien var utvidet urinblære. Dessverre ble ikke urinblæren undersøkt under de aktuelle anfallene. For å motvirke nye, alvorlige anfall fikk barnet implantert permanent pacemaker 12 dager etter innkomst, og foreldrene fikk opplæring i ren, intermitterende kateterisering. Senere cystometriundersøkelser påviste en nevrogen høytrykksblære, og ved en av disse prosedyrene fikk pasienten en moderat bradykardi. Etter ett år har han ikke hatt symptomgivende anfall eller arytmier registrert på pacemakeren.

    Diskusjon

    Diskusjon

    Autonom dysrefleksi er en vanlig og velbeskrevet komplikasjon etter ryggmargsskade. Den opptrer hos 51 % av barn og 48 – 90 % av voksne med skade i nivåer høyere enn Th6 (5, 6). Autonom dysrefleksi er mindre hyppig ved inkomplette og ikke-traumatiske ryggmargsskader (7). Dysrefleksien kan initieres av en rekke ulike tilstander nedenfor skaden. De aller vanligste tilstandene som utløser autonom dysrefleksi er utvidet urinblære og forstoppelse, som hos barn utgjør 85 % av de utløsende årsaker (5). Tilstander som trykksår, seksuell aktivitet, fødsel, rektaleksplorasjon og stramme klær og sko kan også utløse autonom dysrefleksi (7, 8).

    Autonom dysrefleksi forårsakes av manglende kommunikasjon mellom det autonome nervesystemet over og under ryggmargsskaden. En bestemt tilstand nedenfor skaden, som for eksempel utvidet urinblære, sender et kraftig sensorisk signal til sentralnervesystemet. De sensoriske signalene kommer ikke forbi ryggmargsskaden og til hjernen, men utløser en sympatisk respons fra ryggmargen nedenfor skaden. Den sympatiske aktiveringen gir generell vasokonstriksjon og blodtrykksstigning. Baroreseptorer i aortabue, koronar- og halsarterier oppfatter blodtrykksstigningen og formidler signalene til hjernen gjennom hjernenerve 9 (n. glossopharyngeus) og hjernenerve 10 (n. vagus). Hjernen prøver å senke blodtrykket ved å sende hemmende signaler nedover ryggmargen og til hjertet via n. vagus. De hemmende signalene som sendes nedover ryggmargen, blokkeres ved skaden. Dette forsterker den parasympatiske responsen med vasodilatasjon ovenfor skaden og bradykardi. Når den parasympatiske responsen ikke er tilstrekkelig for å senke blodtrykket, vil den autonome dysrefleksien bli opprettholdt inntil den utløsende årsaken opphører (6, 7) (fig 3).

    Det er vanskelig å diagnostisere autonom dysrefleksi, med mindre man kjenner til tilstanden fra før. Typiske symptomer er ansiktsrødme, hodepine, svetting og piloereksjon (gåsehud). Barn under fem år forteller sjelden om hodepine, og ingen får piloereksjon (5, 7). Diagnosen stilles ved at man registrerer en systolisk blodtrykksstigning på mer enn 15 mm Hg hos barn og mer enn 20 mm Hg hos voksne, ledsaget av en eller flere typiske symptomer og tegn (5, 8). En blodtrykksstigning må relateres til pasientens habituelle blodtrykk. Selv om bradykardi er typisk ved autonom dysrefleksi, kan variasjoner i responsen på den autonome påvirkningen gi både normal hjertefrekvens og takykardi (5, 7, 8). Alvorlighetsgraden av autonom dysrefleksi kan variere fra asymptomatisk, forbigående hypertensjon til livstruende tilstander som hjerneblødning og hjertestans (9).

    Den akutte behandlingen av autonom dysrefleksi retter seg mot å fjerne utløsende årsak og få blodtrykket ned. Pasienten skal bringes i sittende posisjon for å senke blodtrykket, og potensielle triggere som stramme klær, belte og sko fjernes. Deretter må man undersøke de vanligste utløsende årsakene, som utvidet urinblære og forstoppelse, og eventuelt sette inn tiltak mot dette. Ved en hypertensiv krise må man iverksette hurtigvirkende blodtrykkssenkende behandling, og nifedipin eller nitrater brukes mest på voksne og barn (8, 10, 11). Ved symptomgivende hypotensjon, bradykardi eller asystole må man følge vanlige retningslinjer for resuscitering, men samtidig prøve å identifisere og eliminere utløsende årsak.

    Vår pasient hadde en uvanlig klinisk manifestasjon av autonom dysfunksjon, både med tanke på alvorlighetsgrad og presentasjon. Vi har ikke lyktes i å finne kasuistikker om livstruende anfall av autonom dysrefleksi hos barn. Gutten oppfylte ikke kriteriet med blodtrykksstigning under anfall, men vi har ikke opplysninger om hans habituelle blodtrykk, og pasienter med ryggmargsskade kan ha et vedvarende lavt blodtrykk (11, 12). Det er derfor mulig at han kan ha hatt blodtrykksstigning. I en retrospektiv studie av autonom dysrefleksi hos barn hadde to barn under fem år ikke-signifikant blodtrykksstigning under anfall (5). De hadde også uspesifikke symptomer som slapphet og irritabilitet.

    Pasienten vår fikk hypotensjon under anfall, mens man ville ha forventet hypertensjon. Dette kan forklares ved en sterk parasympatisk stimulering med vasodilatasjon og vagal påvirkning av hjertet med negativ inotropi og senkning av hjerterytmen. Alvorlig hypotensjon og bradykardi etter ryggmargsskade (nevrogent sjokk) er velbeskrevet hos voksne, men forekommer i den akutte fasen etter skaden (6). Det er imidlertid flere kasuistikker som beskriver voksne pasienter med behov for permanent pacemaker på grunn av residiverende anfall av hypotensjon og bradykardi (12).

    Siden vår pasient ikke hadde hypertensjon, ble behandlingen rettet mot utløsende årsak og anfallsbegrensende tiltak. Den antatt utløsende årsak var en utvidet urinblære, og denne ble behandlet med regelmessig kateterisering. Behandlingen med pacemaker vil ikke ha effekt på vasodilatasjon og hypotensjon, men vil hindre en samtidig bradykardi, som vil forverre situasjonen. Pasienten har ikke hatt symptomgivende anfall eller arytmier etter at behandlingen med pacemaker og ren, intermitterende kateterisering ble startet, noe som understøtter diagnosen autonom dysrefleksi.

    Tilstanden var vanskelig å diagnostisere av flere grunner. Pasientens sykehistorie og kliniske tilstand ledet tankene mot infeksjon som grunnsykdom. Man var ikke oppmerksom på risikoen for autonom dysrefleksi, og foreldrene var heller ikke informert om denne tilstanden etter guttens første sykehusopphold. På grunn av alderen kunne han ikke redegjøre for sine symptomer, og han fikk alvorlig autonom dysrefleksi uten andre ledsagende tegn.

    Konklusjon

    Konklusjon

    Autonom dysrefleksi er en medisinsk akuttsituasjon med potensielt fatale konsekvenser. Vårt hovedbudskap er at alt helsepersonell som møter ryggmargsskadede må ha kjennskap til autonom dysrefleksi. På Internett finnes det fritt tilgjengelig evidensbaserte retningslinjer for diagnostikk og behandling (8). Pasienter som får ryggmargsskade og deres pårørende må informeres grundig om autonom dysrefleksi. Ved at pasienter, pårørende og helsepersonell har gode kunnskaper om tilstanden, kan man forebygge og behandle den på en effektiv måte.

    Pasientens foreldre har gitt samtykke til at artikkelen blir publisert.

    Kommentarer  ( 0 )
    PDF
    Skriv ut

    Anbefalte artikler