Background.
Headache is a complication of lumbar puncture that has been known for more than a hundred years. The aim of this paper is to provide an overview of the incidence and symptoms of, the risk factors for and the treatment of this type of headache.
Method.
The article is based on a literature search in PubMed for studies on headache after lumbar puncture followed by discretionary selection of publications.
Results.
Post-dural puncture headache (PDPH) is characterised by the occurrence of a headache with a significant orthostatic component within 5 days of a lumbar puncture. The incidence depends on a number of factors. Younger women with a previous history of headaches appear to be at highest risk. The incidence can be significantly reduced by using a thin lumbar puncture needle with an atraumatic tip. The condition is self-limiting and harmless, but leads to significant morbidity. Caffeine alleviates the symptoms and reduces the course of the illness. When bed rest and caffeine prove ineffective, an epidural blood patch works well for the majority, but there is no consensus on when such treatment should be offered.
Interpretation.
Headache frequently occurs after lumbar puncture. There is substantial evidence for recommending the use of a thin, atraumatic needle to reduce the incidence. For practical reasons, a needle thinner than 22 G is not suitable for diagnostic lumbar puncture.
Lumbalpunksjon, også kalt spinalpunksjon, innebærer å føre en nål gjennom veggen av durasekken (fig 1) (1) og inn i det cerebrospinalvæskefylte subaraknoidalrommet i den lumbale delen av ryggen. Dette gjøres vanligvis i diagnostisk øyemed – for å måle trykk i subaraknoidalrommet, for analyse av cerebrospinalvæske, for innsprøyting av kontrastmiddel for myelografi eller ved spinalanestesi. En sjelden gang kan lumbalpunksjon ha et terapeutisk siktemål, som f.eks. ved idiopatisk intrakranial hypertensjon. Hull i durasekken kan også forekomme etter epiduralanestesi/-analgesi.
Lumbalpunksjon kan forårsake såkalt postdurapunksjonshodepine (post-dural puncture headache, PDPH). Det skal ha vært «spinalanestesiens far» August Bier (1861 – 1949) som rapporterte de første tilfellene for godt over 100 år siden (2). Formålet med denne artikkelen er å gi en oppdatert oversikt over tilstanden.
Kunnskapsgrunnlag
Artikkelen bygger på et skjønnsmessig utvalg av artikler som ble funnet via søk i PubMed med følgende søkeord: «headache after lumbar puncture», «post-dural puncture headache», «post-lumbar puncture headache», «post-puncture headache», «post-spinal headache», «epidural blood patch». Søket ble avsluttet 31.8. 2011. Kun engelskspråklig og skandinavisk litteratur ble vurdert. Resultater fra randomiserte kontrollerte studier, konsensusdokumenter og systematiske oversikter er blitt vektlagt.
Definisjon
I henhold til det internasjonale hodepineforbundets klassifikasjon (ICHD-II) er postdurapunksjonshodepine en iatrogent betinget ortostatisk hodepine forårsaket av lavt trykk i spinalvæskerommet. Diagnostiske kriterier finnes i ramme 1 (3). Det er verdt å merke seg at slik hodepine kan oppstå betydelig senere enn fem dager etter lumbalpunksjon og at tilstanden i verste fall kan vare i måneder og sågar år (4).
Postdurapunksjonshodepine (i henhold til ICHD-II)
Hodepinen oppstår innen fem dager etter en lumbalpunksjon
Hodepinen forverres innen 15 minutter etter at man har satt seg opp eller reist seg fra liggende stilling, og avtar innen 15 minutter etter at man har lagt seg ned
-
Hodepinen ledsages av minst én av følgende:
Nakkestivhet
Tinnitus
Hyperacusis
Fotofobi
Kvalme
Hodepinen forsvinner spontant innen en uke eller innen 48 timer etter at lekkasjen av cerebrospinalvæske er behandlet effektivt (vanligvis ved epidural blodlapp)
Forekomst
Risikoen for å få hodepine som følge av spinalpunksjon er avhengig av en rekke forhold, og forekomsten vil derfor variere sterkt ut fra hvilke populasjoner som er studert og hvilke nåler og teknikker som har vært benyttet (5, 6). Diameteren på lumbalpunksjonsnålen, målt i gauge (gg) (7), og utformingen av spissen på den (fig 1) synes å være de viktigste enkeltfaktorer av betydning for forekomsten (5, 6, 8) – (12).
Ved en gjennomgang av litteratur fra 1966 frem til 2000 fant Ewans og medarbeidere at forekomsten ved bruk av nål med størrelse 20 – 22 gg (typisk for diagnostisk spinalpunksjon) lå på 20 – 40 % (5). Postdurapunksjonshodepine forekommer om lag dobbelt så hyppig ved diagnostisk lumbalpunksjon som ved spinalanestesi, og hovedårsaken er nok at det ved spinalanestesi vanligvis benyttes tynn nål, ofte med atraumatisk spiss (11).
I 2001 viste Strupp og medarbeidere at vel 12 % av 115 pasienter som ble utsatt for diagnostisk lumbalpunksjon med 22 gg (0,7 mm) atraumatisk nål fikk postdurapunksjonshodepine, mens vel 24 % av de resterende 115 som ble lumbalpunktert med 22 gg traumatisk nål fikk hodepine (1). Funnet ga grunnlag for en amerikansk anbefaling om å benytte 22 gg atraumatisk nål ved diagnostisk lumbalpunksjon (9). En senere studie med 58 pasienter har vist enda større forskjell (36 % versus 3 % postdurapunksjonshodepine) ved å benytte atraumatisk nål (10).
Praksis internasjonalt (11, 12) og ved de fleste nevrologiske avdelinger i Norge er ikke i tråd med disse funnene og med den amerikanske anbefalingen. En uformell henvendelse til samtlige 18 avdelingsoverleger i nevrologi i Norge i 2011 viste at det ved kun tre avdelinger rutinemessig ble benyttet atraumatisk nål ved diagnostisk lumbalpunksjon (upubliserte data).
Postdurapunksjonshodepine kan også forekomme ved utilsiktet durapunksjon, som ved mislykkede forsøk på å anlegge epiduralkateter hos obstetriske pasienter, men det skjer relativt sjelden (hos om lag 1 %) (7). Det er likevel verdt å merke seg at majoriteten av de fødende som får perforert dura, utvikler postdurapunksjonshodepine.
Patofysiologi
Oppdriften i cerebrospinalvæsken gjør at vekten av strukturene i sentralnervesystemet er redusert til rundt 50 g (13). Dette gjør at trykk og strekk på de sentralnervøse strukturene er redusert til et minimum. I oppreist stilling er trykket i cerebrospinalvæsken negativt, gjennomsnittlig rundt – 10 mm Hg (14), men det øker markant i horisontalt leie, vanligvis til rundt 7 – 15 mm Hg (15). En eldre forklaringsmodell (16) for hodepine forårsaket av spinalpunksjon er for lavt trykk som følge av vedvarende spinalvæskelekkasje gjennom det påførte hullet i dura, med drag på smertesensitive strukturer (hjernehinner, blodkar og nerver) som følge (17) – (19).
Mekanismene som ligger til grunn er nok mer kompliserte (20) – (25). I henhold til Monro-Kellie-Burrows-doktrinen – summen av volumene til cerebrospinalvæsken, blodet og hjernevevet i skallen holdes konstant – kan tap av cerebrospinalvæske resultere i kompensatorisk intrakranial vasodilatasjon. Relativ cerebrospinalvæskehypovolemi (23) som gir smertefull, ev. adenosinreseptormediert (24), vasodilatasjon er således en annen hovedhypotese. I en klinisk studie fant Clark og medarbeidere at et lavt nivå av substans P, et nevropeptid knyttet til nevrogen inflammasjon, ga tre ganger økt risiko for å utvikle hodepine etter spinalpunksjon (25). På bakgrunn av dette ble det postulert hypersensitivitet overfor substans P hos de disponerte som følge av en premorbid oppregulering av dets reseptor (nevrokinin-1-reseptor).
Risikofaktorer
Risikofaktorene for hodepine etter spinalpunksjon kan klassifiseres som ikke-modifiserbare eller modifiserbare (tab 1) (6, 25). Insidensen er relativt lav hos barn (26) og omvendt proporsjonal med alder hos voksne, med høyest forekomst i aldersgruppen 20 – 40 år. Postdurapunksjonshodepine forekommer sjelden hos personer over 60 år (5, 6, 27). Kvinner har dobbelt så høy risiko som menn (5, 6, 27). Personer med migrene eller annen kronisk hodepine og de som tidligere har hatt postdurapunksjonshodepine, har om lag tre ganger økt risiko for å utvikle tilstanden (5, 22). I en studie med 501 pasienter fant Kuntz og medarbeidere (28) at lav kroppsmasse (BMI) var en risikofaktor for hodepine etter spinalpunksjon. Forskjellen i gjennomsnittlig kroppsmasse var imidlertid svært beskjeden (24,3 kg/m² versus 25,8 kg/m²), og den kliniske relevansen av dette funnet er usikker.
Tabell 1
Risikofaktorer for å utvikle postdurapunksjonshodepine. Modifisert etter Bezov og medarbeidere (6)
| Ikke-modifiserbare |
Modifiserbare |
| Alder |
Størrelse og type av nål |
| Kjønn kvinne |
Teknisk utførelse |
| Lav kroppsmasseindeks? |
Vinkel på nål og nålens skjæreflate ved innstikk |
| Kjente hodepineproblemer eller tidligere postdurapunksjonshodepine |
Tilbakesetting av mandreng i nålenErfaring (med epidural-/spinalanestesi) |
| Lav konsentrasjon av substans P i cerebrospinalvæsken (25) |
Av de modifiserbare risikofaktorene er som nevnt nålen som benyttes den aller viktigste. Nålens kaliber er direkte assosiert med forekomsten av postdurapunksjonshodepine (5, 29, 30). Jo større den er, desto større blir riften i dura, og faren for vedvarende cerebrospinalvæskelekkasje øker. Av praktiske årsaker kan man imidlertid ikke benytte for tynne nåler. Ved diagnostisk lumbalpunksjon vil f.eks. bruk av nåler < 22 gg gjøre at innsamling av cerebrospinalvæske vil ta urimelig lang tid. Den amerikanske nevrologiforeningen (AAN) anbefaler derfor 22 gg som den tynneste nålen ved diagnostisk lumbalpunksjon (9).
Bruk av atraumatisk nål kan som nevnt også redusere forekomsten av postdurapunksjonshodepine betydelig (1, 5, 10, 31). En ikke-skjærende nål lager en mindre punksjonsdefekt i dura enn en skjærende, ved at durafibrene skyves til side i stedet for at de kuttes. Vanligvis benyttes en «introducer» for å penetrere huden med en atraumatisk nål, og av den grunn oppfattes gjerne bruken som teknisk mer utfordrende. Dette kan være en forklaring på at man i stor grad fortsatt benytter traumatisk nål i nevrologiske miljøer. Studier indikerer imidlertid at en skjærende nål kan være vanskeligst å bruke (30).
Økt antall innstikk, som uttrykk for liten erfaring hos den som utfører lumbalpunksjonen, kan kanskje bidra til å øke forekomsten av postdurapunksjonshodepine noe (32), men generelt er slike tekniske vanskeligheter av mindre betydning. Heller ikke pasientens leie, hydreringsgrad, punksjonsnivå, åpningstrykk, mengde cerebrospinalvæske tappet eller sengeleie etter lumbalpunksjon synes å ha stor betydning for utviklingen av postdurapunksjonshodepine (5, 33).
I en metaanalyse fra 2006 viste Richman og medarbeidere at vinklingen på nålen ved innstikk, kranialt i stedet for vinkelrett på ryggens lengdeakse, kan redusere forekomsten av postdurapunksjonshodepine signifikant (34). Å sette mandreng tilbake i nålen før nålen tas ut har også vist seg gunstig, spesielt når atraumatiske nåler brukes (5).
Kliniske karakteristika og diagnostikk
Ni av ti pasienter med postdurapunksjonshodepine får symptomene innen 72 timer etter en lumbalpunksjon (3, 27). Hodepinen inntrer eller forverres i oppreist stilling og avtar eller forsvinner i liggende. Forverringen etter å ha inntatt stående stilling opptrer vanligvis allerede innen 20 sekunder, det samme gjelder lindringen etter å ha lagt seg ned (15). Lokalisering, kvalitet og intensitet av smerten er av liten diagnostisk verdi.
Hodepinen kan bli invalidiserende (35) og fører ikke sjelden til hospitalisering (36). Pulserende smerte og ledsagende kvalme, lys- og lydskyhet kan gjøre det vanskelig å skille tilstanden fra et migreneanfall. Som det fremgår av de diagnostiske kriteriene (ramme 1) er ikke hørselstap og øresus uvanlig. Ved hodepine som ikke er stillingsavhengig, hjernenerveutfall, nakkestivhet og ledsagende feber og synsforstyrrelser er det viktig å utelukke andre tilstander. Viktige differensialdiagnoser er intrakranial venetrombose eller blødning, meningitt og preeklampsi (5, 37).
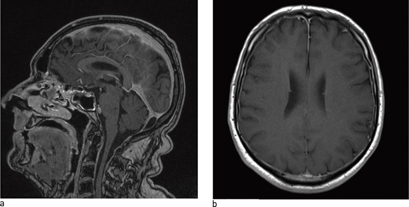
Ved lavtrykkshodepine, inklusive postdurapunksjonshodepine, vil MR caput gjerne vise diffus kontrastoppladning i pachymeninges (fig 2) og redusert ventrikkelstørrelse, ev. at cerebellare tonsiller strekker seg ned i foramen magnum, at basale cisterner er avflatet eller utslettet eller at hypofysen er forstørret (11). Ved tvil kan CT myelografi, cisternografi eller spinal MR med tynne snitt kunne avdekke hvor cerebrospinalvæskelekkasjen sitter (38).
Behandling og prognose
Postdurapunksjonshodepine er i utgangspunktet en selvbegrensende tilstand. Med konservativ tilnærming i form av hvile, god hydrering og symptomatisk behandling er vel 50 % bra innen fire døgn, drøyt 70 % innen en uke og over 85 % innen seks uker (27, 39). Koffein er førstelinjebehandling, og en nylig publisert Cochrane-rapport dokumenterer symptomlindring og forkortet sykdomsforløp (40). Også gabapentin, teofyllin og hydrokortison kan redusere hodepinen, men ikke forkorte sykdomsforløpet (40).
Det har vist seg at blod koagulerer ved kontakt med cerebrospinalvæske (41), og begrunnelsen for å anlegge epidural blodlapp er at blodet vil lukke duradefekten som punksjonsnålen har skapt. Prosedyren består i at man trekker ut 10 – 30 ml blod (6) fra en vene hos pasienten og injiserer dette langsomt i epiduralrommet. Etter prosedyren bør pasienten ligge i 1 – 2 timer. Over 75 % av pasienter vil bli hodepinefri etter dette. Dersom forsøket mislykkes, kan det ofte gjentas med bedre resultat (7, 35, 42). Noe av effekten kan kanskje skyldes spontan remisjon, siden resultatet er dårlig dersom behandlingen gis profylaktisk (42) eller innen 24 timer etter lumbalpunksjonen (43).
CT-veiledet injeksjon av fibrinlim kan være effektivt dersom anlegging av epidural blodlapp svikter (44), og kirurgisk lukking av lekkasjen, som i så fall må være lokalisert radiologisk, kan en sjelden gang være siste utvei (45). Komplikasjoner til epidural blodlapp forekommer sjelden, men adhesiv araknoiditt, subduralt hematom og bakteriell meningitt er rapportert (46). Det er ingen konsensus om når epidural blodlapp bør tilbys, men det synes ikke urimelig å tilby det til pasienter med svært sterk hodepine etter 24 – 48 timer.
Konklusjon
Spinalpunksjon er en viktig årsak til iatrogen morbiditet i form av postdurapunksjonshodepine. Forekomsten av slik hodepine kan imidlertid reduseres ved å benytte tynne atraumatiske nåler ved prosedyren.
Tabell
| Hovedbudskap |
|
- 1.
Strupp M, Schueler O, Straube A et al. «Atraumatic» Sprotte needle reduces the incidence of post-lumbar puncture headaches. Neurology 2001; 57: 2310 – 2. [PubMed]
- 2.
Bier A. Versüche uber Cocainiserung des Rückenmarkes. Dtsch Z Chir 1899; 51: 361 – 9. [CrossRef]
- 3.
Headache Classificaion Subcommittee of the International Headache Society. The International Classification of Headache Disorders: 2nd edition. Cephalalgia 2004; 24 (suppl 1): 79.
- 4.
Baerentzen FO, Mathiesen O. Postdural hovedpine gennem fire år. Ugeskr Læger 2007; 169: 3873 – 4. [PubMed]
- 5.
Evans RW, Armon C, Frohman EM et al. Assessment: prevention of post-lumbar puncture headaches: report of the therapeutics and technology assessment subcommittee of the american academy of neurology. Neurology 2000; 55: 909 – 14. [PubMed]
- 13.
Dahl HA, Olsen BR, Rinvik E. Menneskets anatomi. Oslo: Cappelen, 1993.
- 16.
MacRobert RG. The cause of lumbar puncture headache. JAMA 1918; 70: 1350 – 3. [CrossRef]
- 18.
Hatfalvi BI. Postulated mechanisms for postdural puncture headache and review of laboratory models. Clinical experience. Reg Anesth 1995; 20: 329 – 36. [PubMed]
- 19.
Kunkle EC, Ray BS, Wolf HG. Experimental studies on headache: Analysis of headache associated with changes in intracranial pressure. Arch Neurol Psychiatry 1943; 49: 323 – 58.
- 20.
Mokri B, Atkinson JL, Piepgras DG. Absent headache despite CSF volume depletion (intracranial hypotension). Neurology 2000; 55: 1722 – 4. [PubMed]
- 22.
Amorim JA, Valença MM. Postdural puncture headache is a risk factor for new postdural puncture headache. Cephalalgia 2008; 28: 5 – 8. [PubMed]
- 23.
Miyazawa K, Shiga Y, Hasegawa T et al. CSF hypovolemia vs intracranial hypotension in «spontaneous intracranial hypotension syndrome». Neurology 2003; 60: 941 – 7. [PubMed]
- 24.
Camann WR, Murray RS, Mushlin PS et al. Effects of oral caffeine on postdural puncture headache. A double-blind, placebo-controlled trial. Anesth Analg 1990; 70: 181 – 4. [PubMed]
- 28.
Kuntz KM, Kokmen E, Stevens JC et al. Post-lumbar puncture headaches: experience in 501 consecutive procedures. Neurology 1992; 42: 1884 – 7. [PubMed]
- 32.
Seeberger MD, Kaufmann M, Staender S et al. Repeated dural punctures increase the incidence of postdural puncture headache. Anesth Analg 1996; 82: 302 – 5. [PubMed]
- 33.
Sudlow C, Warlow C. Posture and fluids for preventing post-dural puncture headache. Cochrane Database Syst Rev 2002; nr. 2: CD001790. [PubMed]
- 40.
Basurto Ona X, Martínez García L, Solà I et al. Drug therapy for treating post-dural puncture headache. Cochrane Database Syst Rev 2011; nr. 8: CD007887. [PubMed]
- 41.
Cook MA, Watkins-Pitchford JM. Epidural blood patch: a rapid coagulation response. Anesth Analg 1990; 70: 567 – 8. [PubMed]
- 42.
Boonmak P, Boonmak S. Epidural blood patching for preventing and treating post-dural puncture headache. Cochrane Database Syst Rev 2010; nr. 1: CD001791. [PubMed]