En mann i 60-årene med heshet, pustevansker og brystsmerter

    ()

    sporsmal_grey_rgb
    Artikkel

    En tidligere frisk mann ble innlagt med pustevansker, smerter i brystet, heshet og høye inflammasjonsmarkører etter å ha vært utredet i flere måneder. Tilstanden viste seg å være en sjelden og alvorlig sykdom som krever aggressiv behandling.

    En mann i midten av 60-årene ble innlagt ved medisinsk avdeling grunnet redusert allmenntilstand, muskelsmerter, verking i brystet og pustevansker. Plagene hadde tiltatt i løpet av et halvt år. Pustevanskene var verst om natten og han hadde våknet brått av åndenød ved flere anledninger. Pasienten klaget over en følelse av ikke å kunne puste inn riktig. De siste ukene hadde han utviklet generell morgenstivhet, nattesvette, heshet og smerter i venstre håndledd. CT thorax før innleggelse hadde vist normale forhold. Høye inflammsjonsmarkører var også blitt påvist flere uker i forveien hos fastlege. Ved innkomst var senkningsreaksjonen (SR) 99 mm (1 – 12 mm), CRP 71 mg/l (< 4 mg/l) og Hb 10,3 g/dl (13,7 – 17 g/dl), mens leukocytt-, kreatinin- og troponin T-verdiene var normale. EKG var upåfallende.

    Pasienten hadde et heterogent symptombilde. Myalgi, morgenstivhet, høy senkning og alder over 50 år kunne gi mistanke om polymyalgia rheumatica (PMR). Smerter i venstre håndledd kunne tyde på perifer artritt, noe som forekommer hos opptil en tredel av pasientene med polymyalgia rheumatica ved diagnosetidspunktet. Nattesvette og vekttap kan tilsvarende ses hos opptil 30 % av pasientene (1). De fleste med polymyalgia rheumatica har imidlertid proksimal muskelstivhet, mens vår pasient hadde diffus, utbredt myalgi. Pustevansker ses svært sjelden ved polymyalgia rheumatica, og man fant derfor ikke sikre holdepunkter for denne diagnosen.

    Nærmere klinisk undersøkelse neste dag viste at pasienten hadde bløtdelshevelse over venstre håndledd og var palpasjonsøm over venstre 1. metakarpofalangealledd. Pasientens mest fremtredende leddplager var imidlertid smerter i parasternale ledd, der han var meget palpasjonsøm. Plagene var mest uttalt i 2. og 3. kostosternalledd bilateralt. Smertene ble betydelig forverret ved forsert inn- og utpust. Thoraxekskursjon, som vanligvis er over 5 cm, var redusert til 1 cm.

    Artritt i parasternale ledd forekommer sjelden ved inflammatorisk revmatisk sykdom, men kan opptre ved spondylartropati, SAPHO-syndrom (synovitt, akne, pustulose, hyperostose og osteitt-syndrom) og Tietzes syndrom. Spondylartritt, spesielt i form av ankyloserende spondylitt debuterer svært sjelden etter 45 års alder og var derfor lite sannsynlig hos vår pasient. SAPHO-syndrom omfatter en gruppe sykdommer med liknende muskel- og skjelettmanifestasjoner, blant annet hyperostose og smerter i fremre brystvegg. Slike osteoartikulære manifestasjoner kan lett diagnostiseres ved CT-undersøkelse (2) og var ikke beskrevet hos denne pasienten. Tietzes syndrom er en idiopatisk kostokondritt, men er ikke assosiert med forhøyet senkning, allmennsymptomer og nattesvette.

    Av komorbiditet hadde pasienten mangeårig lettgradig astma og brukte inhalasjonssteroider. Han hadde blitt operert for nesepolypper flere år tidligere og gikk til oppfølging hos øre-nese-hals-lege, som også fulgte pasienten med regelmessig spirometri for astmaen. Lungefunksjonstester hadde vært tilfredsstillende. Siden debut av pusteplagene hadde pasienten fått forskrevet fire antibiotikakurer av fastlegen. Disse hadde gitt bare kortvarig bedring. De siste tre månedene hadde han fått prednisolon med startdose 30 mg i nedtrappende dose. Et seponeringsforsøk hadde ført til forverring av pusteplagene. Spirometri på lungepoliklinikken rett før innleggelse viste forsert vitalkapasitet (FVK) på 3,74 l (83 % av forventet) og forsert ekspiratorisk volum etter ett sekund (FEV₁) 2,32 l (63 % av forventet) uten effekt av ipratropiumbromid og salbutamol. Diffusjonstester ga normale funn.

    Pasientens reduserte spirometriverdier og de aktuelle pustevanskene ble tolket som en forverring av kjent bronkialastma. Han ble utskrevet til hjemmet med en økning i prednisolondose fra 10 mg til 20 mg og henvist til poliklinisk revmatologisk vurdering for videre utredning av leddsmerter og forhøyet senkningsreaksjon, samt til øre-nese-hals-undersøkelse på grunn av heshet.

    Ved undersøkelse på Revmatologisk poliklinikk to uker senere hadde pasienten negative tester for antinukleære antistoffer (ANA), ekstraherbare nukleære antigen (ENA) og antinøytrofile cytoplasmiske antistoffer (ANCA). SR hadde falt fra 99mm til 46 mm og CRP til 13 mg/l. Han hadde mindre leddsymptomer, men fortsatt smerter i fremre thoraxvegg. Funnene ved urinstiks og Urinmikroskopi var normale. Kliniske funn og laboratoriediagnostikk ga så langt ikke mistanke om spesifikk revmatisk autoimmun sykdom. Det ble rekvirert ny CT thorax og CT abdomen. Hesheten vedvarte, men ved fleksibel transnasal trakeolaryngoskopi av øre-nese-hals-lege fant man normale forhold.

    Pasientens heshet ble ikke oppfattet å ha direkte sammenheng med bakenforeliggende revmatisk autoimmun sykdom, da heshet sjelden er assosiert med slike sykdommer. Blant de få revmatologiske sykdommene som likevel kan gi heshet, er Wegeners granulomatose. Pasienter med denne sykdommen kan utvikle subglottisstenose som fører til heshet og stridor. Undersøkelser hos den aktuelle pasienten viste negativ ANCA, normal urinanalyse og ingen påvisbare lungeinfiltrater, som svekket sannsynligheten for Wegeners granulomatose.

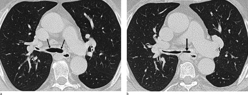
    To måneder senere viste CT-undersøkelse av thorax patologiske funn. Det ble påvist veggfortykkelse oppimot 5 mm både i trachea og begge hovedbronkiene samt tydelig avsmalet lumen i hele forløpet til begge hovedbronkiene (fig 1). Denne gangen ble det også tatt bilder i ekspirasjon, som viste kollaps av hovedbronkiene til 4 mm (fig 2). Radiolog mistenkte trakeomalasi og anbefalte utredning med bronkoskopi. Påfølgende bronkoskopi viste tydelige tegn til kollapstendens i sentrale luftveier, mest uttalt i området rundt karina og venstre bronkialtre. Overflatisk bronkialbiopsi viste regelmessig slimhinne og noe arraktig fibrose, men uten bruskvev i prøvematerialet.

    I tillegg til å påvise trakeomalasi stilte radiologen spørsmål om bakenforeliggende residiverende polykondritt, som kan gi bruskforandringer i form av trakeomalasi. Denne diagnosen ble støttet ved lungemedisinsk vurdering og bronkoskopifunn. Dette er en sjelden, autoimmunmediert sykdom, der betennelse i bruskvev er sentralt i patogenesen. Denne multiorgansykdommen kan affisere samtlige av kroppens organer med hyalinbrusk, inkludert øre, nese, øye, store luftveier, ledd, hjerte og hud (3). Typiske kliniske manifestasjoner ved affeksjon av store luftveier er heshet, inspiratorisk stridor og dyspné, som hos denne pasienten.

    Pasienten ble innlagt ved revmatologisk avdeling for oppstart av immunosuppressiv behandling. Han hadde utviklet tydelig inspiratorisk stridor, og de siste 14 dagene hadde han vært plaget av svie og rødhet i venstre øye. Det ble bemerket at han for ett år tilbake hadde hatt en episode med gyratorisk svimmelhet, men utredning med MR av caput og EEG hadde vist normale funn. Han hadde hatt et kortvarig liknende anfall senere. Grunnet alvorlig affeksjon av store luftveier ble det funnet indikasjon for oppstart av pulsbehandling med cyklofosfamid 15 mg/kg intravenøst kombinert med metylprednisolon 1 000 mg, seks infusjoner med fire ukers intervaller. Etter seks måneder hadde tilstanden stabilisert seg og han hadde mindre nattlige pustevansker og hostekuler. Inflammasjonsparametre var normalisert. Kontroll med CT thorax viste uendrede forhold, mens FEV₁ hadde falt til 1,62 l (49 % av forventet).

    Diskusjon

    Diskusjon

    Denne kasuistikken belyser en sjelden autoimmunmediert sykdom som kjennetegnes av betennelse i bruskvev. Residiverende polykondritt kan affisere mange organer, men øre, nese, ledd og luftveier er oftest affisert. Fremre thoraxvegg er et hyppig predileksjonssted for leddbetennelse. Residiverende polykondritt krever immunsuppressiv behandling med glukokortikoider, metotreksat, azatioprin, cyklofosfamid eller tumornekrosefaktor-α-hemmere (TNF-α-hemmere). Hos den aktuelle pasienten ble diagnosen stilt på bakgrunn av trakeomalasi, seronegativ perifer og parasternal artritt, mulig skleritt og forhøyede akuttfaseparametre. Andre sykdommer med liknende symptomer og funn ble utelukket.

    Få epidemiologiske studier er foretatt av residiverende polykondritt, men den årlige insidensen i en amerikansk studie er beregnet til 3,5 nye tilfeller per en million innbyggere (4). Residiverende polykondritt opptrer hyppigst i aldersgruppen 40 – 60 år, men kan opptre i alle aldre. Det er ingen forskjell i forekomst med hensyn til kjønn og rase. En genetisk assosiasjon til HLA-DR4 og DR6 er beskrevet. Hos voksne pasienter er samtidig annen revmatisk autoimmun sykdom, myelodysplastisk sykdom og malign hematologisk sykdom beskrevet hos opptil 30 % (3).

    De mest brukte kriterier for diagnose er McAdams-kriteriene (5), som krever til-stedeværelse av tre eller flere av følgende kliniske symptomer: bilateral aurikulær kondritt, ikke-erosiv, seronegativ polyartritt, nasal kondritt, okulær inflammasjon, kondritt i store luftveier og vestibulær og/eller kokleær dysfunksjon. Det finnes ingen spesifikke laboratoriefunn for sykdommen og ingen spesifikke autoantistoffer. Forhøyet SR, CRP, leukocytose eller trombocytose kan være til stede. I noen tilfeller er funn av anti-kollagen type 2-antistoffer rapportert, deres nytte og betydning må evalueres videre (3).

    Aurikulær affeksjon er den mest vanlige presentasjonsformen og forekommer hos omkring 40 % ved sykdomsstart og hos 80 % i forløpet (4). Ofte feildiagnostiseres symptomene initialt som infeksjon. Langvarig, residiverende betennelse kan føre til sammenfall av aurikkelen, såkalt «blomkåløre». Den aktuelle pasienten hadde ingen tegn til aurikkelinflammasjon, men hadde hatt to tidligere episoder med svimmelhet uten patologiske funn ved MR caput, og det kan derfor tenkes at symptomene var relatert til vestibulær affeksjon ved residiverende polykondritt. Hørseltap, tinnitus og svimmelhet forekommer ved betennelse av det indre øret og kan føre til både vestibulær og kokleær dysfunksjon.

    Perifer artritt og parasternal leddbetennelse forekommer hos omkring 70 % av pasientene og er den nest hyppigste presentasjonsformen etter aurikkelaffeksjon. Parasternal affeksjon ses nesten like hyppig som perifer artritt (3, 4). I en spansk studie hadde sju av 14 pasienter kostokondral leddbetennelse, mens ni pasienter hadde perifer artritt (6). For klinikeren er det derfor viktig å være oppmerksom på residiverende polykondritt som en differensialdiagnose ved fremre thoraxvegg-syndrom.

    Øyeaffeksjon forekommer hos 60 %, typisk i form av episkleritt, skleritt, uveitt og proptose (4). Hos den aktuelle pasienten var det bemerket rubor i sclera på venstre øye. Det er nærliggende å tolke funnet som tegn på skleritt eller episkleritt, da øyemanifestasjoner er hyppige og pasienten ikke hadde ledsagende symptomer på konjunktivitt. Omkring 60 % har neseaffeksjon under sykdomsforløpet (4). Ved langvarig, kronisk inflammasjon ses utvikling av sadelnese grunnet destruksjon av nesebrusk.

    Affeksjon av store luftveier (som inkluderer larynx, trachea og bronkier) anses som alvorlig organmanifestasjon ved residiverende polykondritt, selv om kliniske funn varierer fra asymptomatisk og subtil betennelse til livstruende komplikasjoner (3). Typiske symptomer er heshet, inspiratorisk stridor, dyspné og uproduktiv hoste. Pasientens skildring av nattlig oppvåkning med akutt åndenød kan forklares ut ifra typisk trakeal kollapstendens ved ekspirasjon grunnet trakeomalasi. Ofte fører trakeal kollapstendens til sekundære infeksjoner. Dette kan passe med at pasienten opplevde en kortvarig bedring etter hver antibiotikakur, men uten å bli symptomfri. For å kunne vurdere grad av inflammasjon, stenose og kollapstendens i luftveiene er bronkoskopi indisert hos alle pasienter med residiverende polykondritt som har respiratoriske symptomer. Pasienter med uttalt sentral luftveisobstruksjon kan ha behov for intervensjonbronkoskopi i form av ballongdilatasjon, stentimplantasjon, endobronkial laserbehandling eller trakeotomi, som kan være livreddende (7).

    CT thorax er svært nyttig for vurdering av affeksjon av store luftveier. Typiske funn er veggfortykkelse og lumeninnsnevring i tra-chea, larynx eller bronkier og/eller ekspiratorisk kollapstendens i trachea og store bronkier (fig 1, fig 2). For å påvise kollapstendens i store luftveier er det helt avgjørende å ta tilleggsbilder i ekspirasjon, som hos denne pasienten, da vanlig CT i inspirasjon kan være helt normal. Selv om trakeomalasi er et karakterisk funn ved residiverende polykondritt, kan det ikke regnes for å være patognomonisk, da slike funn også kan forekomme ved Wegeners granulomatose og annen kronisk betennelse i luftveiene. Histologisk bekreftet diagnose med påvisning av kondritt i form av perikondrale lymfocyttinfiltrater er ønskelig (3). I praksis viser det seg dog ofte vanskelig å få dype nok biopsier med tilstrekkelig bruskmateriale.

    Ekkokardiografiske kontroller bør gjøres regelmessig hos pasienter med residiverende polykondritt. Omkring 10 % utvikler klinisk signifikant aorta- eller mitralklaffaffeksjon, som skyldes destruksjon av brusk og kollagene strukturer i selve klaffen, aortaringen eller fortykkelse av aortaroten. Kirurgisk behandling kan være nødvendig, men resultatene har delvis vært nedslående (3). Ekkokardiografi hos vår pasient ga ingen mistanke om hjerteklaffaffeksjon.

    Behandlingen omfatter både medikamentell terapi og i noen tilfeller bronkoskopisk intervensjon som nevnt ovenfor (8). Hovedmålet er å oppnå symptomkontroll og hindre progresjon, samtidig som full tilbakegang ikke kan forventes ved irreversibel bruskskade (7). Behandlingsanbefalinger ved residiverende polykondritt baserer seg i stor grad på empiri og publiserte kasuistikker. Pasienter med lavgradig, lokalisert sykdom uten indre organaffeksjon kan ha nytte av ikke-steroide antiinflammatoriske legemidler. Dersom dette er uten effekt, er glukokortikoider i nedtrappende doser neste valget, eventuelt gitt som pulsbehandling initialt. De fleste pasienter vil imidlertid ha behov for annen immunosuppressiv behandling for å stabilisere tilstanden. Mest vanlig er bruk av cyklofosfamid, azatioprin og metotreksat, men TNF-α-hemmere, som etanercept, infliximab og adalimumab, har vist gode resultater i en rekke kasuistikker. Cyklofosfamid administreres oftest som pulsbehandling over noen måneder, med videre oppfølgende behandling med metotreksat eller azatioprin. Bruk av mykofenolatmofetil, anakinra, leflunomid, tocilizumab, rituksimab og intravenøs immunglobulin har derimot vist varierende effekt (3, 9, 10).

    Prognosen er de siste tiårene sannsynligvis blitt bedre på grunn av moderne medikamentell- og intervensjonsbehandling (7). I en tidligere studie er femårsoverlevelsen rapportert å være 74 % (4), mens en nyere studie viser overlevelse på 95 % etter fire år (8).

    Pasienten har gitt samtykke til at artikkelen blir publisert. Vi takker Petter Giæver ved Lungeavdelingen, Oslo universitetssykehus, som har bidratt med gode råd.

    Se kommentar side 311

    Kommentarer  ( 0 )
    PDF
    Skriv ut

    Anbefalte artikler