En ung kvinne med nyresvikt

    ()

    sporsmal_grey_rgb
    Artikkel

    En kvinne i 30-årene ble innlagt med uttalt anemi etter 14 dager med bronkittsymptomer. Det ble påvist terminal nyresvikt, men utredningen ga ikke holdepunkter for glomerulonefritt, vaskulitt eller infeksjon som årsak. En grundig anamnese førte etter hvert til riktig diagnose.

    To uker før innleggelsen var kvinnen blitt slapp, subfebril, fått tung pust og utviklet hoste med blankt ekspektorat. Hun hadde fått 14 dagers behandling med fenoksymetylpenicillin av fastlegen, uten effekt. Hun tok kontakt med legevakten og ble innlagt i medisinsk avdeling på grunn av nedsatt allmenntilstand og alvorlig anemi.

    Siden 20-årsalderen hadde hun hatt høyt blodtrykk og var i en periode blitt behandlet med betablokker, men behandlingen var avsluttet på grunn av bivirkninger. Hun var tidligere utredet for sekundær hypertensjon uten andre funn enn lett forhøyet aspartataminotransferase (ASAT), alkalisk fosfatase (ALP) og kreatinkinase (CK). Hun var videre blitt utredet på medisinsk poliklinikk med spørsmål om leversykdom, uten at det var gjort sikre funn, og leverenzymenverdiene hadde vært stabile i lang tid.

    Ved innkomst var hun våken og samarbeidet greit. Allmenntilstanden var lett nedsatt. Blodtrykket var 200/130 mm Hg. Det var ellers ingen patologiske funn ved klinisk undersøkelse. Hun brukte ingen faste forskrevne medisiner. Blodprøver ved innkomst viste Hb 5,2 g/100 ml (11,7 – 15,3 g/100 ml), kreatinin 2 150 µmol/l (45 – 90 µmol/l), kalium 5,0 mmol/l (3,5 – 4,4 mmol/l), karbamid 89  mmol/l (3,1 – 7,9 mmol/l), fosfat 4,79 mmol/l (0,76 – 1,41 mmol/l), kalsium 2,08 mmol/l (2,15 – 2,51 mmol/l), CRP 15 mg/l (< 8 mg/l) og leukocytter 9,5 · 10⁹/l (3,7 – 10,5 · 10⁹/l). Det var også tegn til hemolyse, med forhøyet laktatdehydrogenase (LD) på 560 U/l (105 – 205 U/l) og lett trombocytopeni på 130 · 10⁹ (145 – 390 · 10⁹). Blodgassundersøkelse viste metabolsk acidose med pH 7,21 (7,35 – 7,45), bikarbonat 9 mmol/l (21 – 27 mmol/l), baseoverskudd –1 (–3 – 3 mmol/l). Urinstiks viste 3+ på blod, 3+ på leukocytter og 2+ på protein.

    Den klart forhøyede kreatininverdien ble tolket som tegn på akutt nyresvikt, som kan ha prerenale, renale og postrenale årsaker. De vanligste årsakene er akutt sirkulasjonskollaps og dehydrering (prerenale årsaker), akutt tubulær nekrose, glomerulonefritt/vaskulitt og akutt interstitiell nefritt (renale årsaker) og urinveisobstruksjon (postrenal årsak) (1).

    Akutt tubulær nekrose skyldes ofte toksisk effekt av medikamenter, hypotensjon eller sepsis – eller en kombinasjon av disse. Det var ingen holdepunkter for sepsis, hypotensjon eller dehydrering ved innkomst. Kvinnen hadde ikke startet med kjente nefrotoksiske medikamenter nylig. Prerenal nyresvikt på grunn av dehydrering virket lite sannsynlig, da hun hadde fått i seg mat og drikke og dessuten var hypertensiv.

    Akutt nyresvikt sekundært til avløpshinder kan oppstå på grunn av misdannelser eller sykdom i mange avsnitt av urinveiene. Årsakene varierer med alder og kjønn. Steinsykdom, retroperitoneale prosesser og tumorer i bekkenet er vanligste årsaker til avløpshinder hos voksne (1). Pasienten hadde ikke hatt smerter, hematuri eller andre symptomer på urolithiasis. Med tanke på malignitet hadde hun vært slapp og hatt nedsatt allmenntilstand, men det var kun akutt, og hun hadde ikke hatt vekttap, feber, eller andre symptomer på malign sykdom. Det var ingen nylige underlivssymptomer eller forandring i avføringsvanene, men hun hadde merket at urinmengden hadde gått ned de siste dagene før innleggelsen.

    Urinmikroskopi viste ingen sylindre, men 20 – 25 erytrocytter per synsfelt ved forstørrelse 40 ganger, og det var klumper av leukocytter. Ultralyd abdomen ble gjort i løpet av det første døgnet i sykehuset. Undersøkelsen viste små nyrer på 7,9 cm og 8,3 cm med hyperekkogent parenkym og utvisket bark-marg-grense som ved langtkommet kronisk nyresykdom. Det var ingen tegn til urinveisobstruksjon.

    Blodprøver viste normale nivåer av de vanligste markører for glomerulonefritt og vaskulitt, med blant annet normale verdier for antinukleære antistoffer (ANA), antinøytrofilt cytoplasmatisk antistoff (ANCA) og antiglomerulusbasalmembranantistoff (anti-GBM). Infeksjonsserologiske prøvesvar kom i løpet av de første par sykehusdøgnene – akutt nephropatia epidemica, cytomegalovirus, Epstein-Barr-virus og hepatitt ble utelukket. Serum-elektroforese og de hematologiske blodprøvene ga ikke holdepunkter for blodsykdom. Hjerne, hjerte og øyebunn ble undersøkt med tanke på tegn til endeorganskade. CT caput og MR caput ble tatt i løpet av den første uken på sykehuset og viste ikke tegn til hypertensiv encefalopati. Ekkokardiografi viste normalstor venstre ventrikkel med veggtykkelse i grenseområdet. Ellers var undersøkelsen upåfallende. Øyelege fant ingen øyebunnsforandringer.

    Det ble startet dialysebehandling på dag 2 av sykehusoppholdet på grunn av terminal nyresvikt.

    Ut fra normale funn i hjerne, hjerte og øyebunn var det ingen holdepunkter for at langvarig hypertensjon var årsak til nyresvikten. Det var ikke tegn til pyelonefritt eller avløpshinder. Nyresvikt sekundært til sepsis/multiorgansvikt var utelukket. Fravær av autoantistoffer i plasma og normal urinmikroskopi uten funn av sylindre svekket mistanken om glomerulonefritt eller vaskulitt med nyreaffeksjon (som systemisk lupus erythematosus eller sklerodermi), men dette kunne ikke utelukkes uten nyrebiopsi.

    På bakgrunn av akutt nyresvikt i kombinasjon med uttalt anemi og tegn til hemolyse med trombocytopeni og forhøyet laktatdehydrogenase (LD) vurderte man muligheten for trombotisk trombocytopenisk purpura (TTP). Denne tilstanden er karakterisert av trombocytopeni og mikroangiopatisk hemolytisk anemi, med omfattende trombosering i mikrosirkulasjonen. Feber, petekkier i hud og symptomer fra flere organsystemer er vanlig, f.eks. forvirring og hodepine ved hjerneaffeksjon og akutt nyresvikt ved nyreaffeksjon. Diagnosen stilles initialt på grunnlag av klinisk undersøkelse, tegn til hemolyse i blod og funn av schistocytter i blodutstryk.

    Man fant ingen kliniske tegn til trombotisk trombocytopenisk purpura fra sentralnervesystemet eller huden. På den annen side var haptoglobinnivået i blodet lavt (under 0,1 g/l), og i blodutstryk fant man en forhøyet andel schistocytter. Dette forsterket mistanken om trombotisk trombocytopenisk purpura. I tillegg til dialyse startet man derfor plasmaferese, som er standardbehandling ved denne tilstanden. Den fjerner autoantistoffene i plasma som igangsetter den patologiske tromboseringen ved trombotisk trombocytopenisk purpura. Etter sju dagers behandling var trombocyttallet og hemolysemarkørene normalisert. Trombocytopenien residiverte ikke.

    Pasienten hadde ikke de klassiske symptomene eller tegnene på trombotisk trombocytopenisk purpura. Funnet av små og atrofiske nyrer på ultralyd, som kunne tyde på langtkommet kronisk nyresykdom, svekket mistanken om at dette var et førstegangs TTP-anfall. Man gikk etter hvert bort fra trombotisk trombocytopenisk purpura som differensialdiagnose.

    Mikroangiopatisk hemolytisk anemi kan også oppstå ved alvorlig hypertensjon/hypertensiv krise alene. Dette skjer gjennom en kompleks patofysiologisk mekanisme hvor det høye blodtrykket gir så stor belastning på karveggen at det oppstår endotelskade, med påfølgende fibrinproduksjon og intravaskulær hemolyse (2). Antakelig kunne denne mekanismen forklare pasientens forbigående hemolyse.

    Det ble gjort perkutan nyrebiopsi på dag 5 av sykehusoppholdet. Det ble spurt om vaskulitt, trombotisk trombocytopenisk purpura, hemolytisk-uremisk syndrom (HUS) og hypertensiv nefropati ved innsendelse av nyrebiopsien.

    De vanligste indikasjonene for nyrebiopsi er uforklarlig akutt eller raskt progredierende nyresvikt, akutt nefrittisk syndrom, nefrotisk syndrom og kombinert glomerulær hematuri med proteinuri (3).

    Indikasjonen for nyrebiopsi ble nøye diskutert på forhånd. Eventuelle biopsifunn ville neppe ha konsekvenser for den videre behandlingen. Med et ultralydfunn som viste to atrofiske nyrer og med nyresvikt i biokjemisk endestadium ville hun uansett måtte få nyreerstattende behandling i form av dialyse og/eller nyretransplantasjon. Hovedargumentet for nyrebiopsi var at man ennå ikke hadde noen god forklaring på nyresvikten.

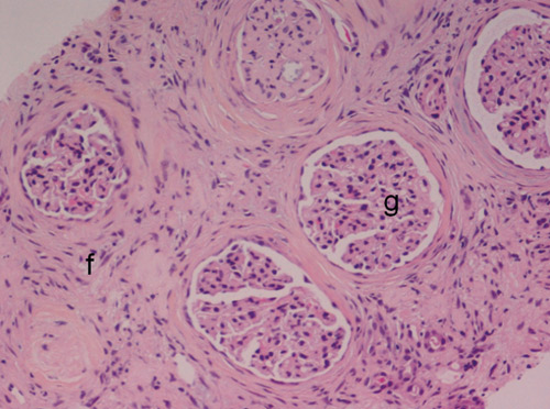
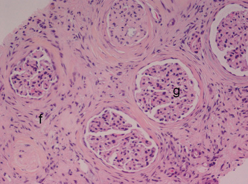
    Nyrebiopsien viste utbredt interstitiell fibrose og tubulær atrofi i det kortikale nyrevevet. De fleste glomeruli var relativt godt bevart. Det medullære vevet viste godt bevarte tubuli. Områdene med fibrose viste inflammatoriske forandringer med ødem og sparsom infiltrasjon av lymfocytter, forenlig med relativt akutte og pågående forandringer. Det ble ikke funnet holdepunkter for glomerulonefritt eller akutt trombotisk mikroangiopati. Immunfluorescensundersøkelse var negativ. Sammenholdt med den uttalte interstitielle fibrosen var glomeruli påfallende godt bevart i forhold til det man vanligvis ser ved «endestadiumnyre» (fig 1).

    Negative funn ved immunhistokjemisk undersøkelse utelukket ikke kronisk glomerulonefritt. Patologen kommenterte imidlertid i sitt svar at det histologiske bildet, med langtkomne kroniske forandringer i interstitium og tubuli, men relativt godt bevarte glomeruli, skilte seg fra det man vanligvis ser ved endestadiumnyresvikt. Da er oftest glomeruli, interstitium og tubuli affisert samtidig. Patologen kommenterte at det var kjent fra litteraturen at kinesisk urtemedisin kan inneholde nefrotoksiske stoffer som kan gi et slikt histologisk bilde, «Chinese herb nephropathy» – nefropati forårsaket av kinesisk urtepreparat. Aristolochiasyre er et stoff som har forekommet i enkelte kinesiske urtepreparater og som kan gi en endestadiumnefropati med uforholdsmessig affeksjon av interstitium og interstitium fremfor glomeruli. Andre kjente årsaker til et slikt histologisk bilde er endemisk Balkan-nefropati og fenacetinnefropati.

    Pasienten hadde ikke oppholdt seg på Balkan eller brukt det avregistrerte smertestillende legemidlet fenacetin. Det fremkom imidlertid at hun i 7 – 8 år hadde brukt forskjellige kinesiske urtemedisiner. Den siste tiden før innleggelsen hadde hun tatt større mengder enn vanlig på grunn av stigende blodtrykk. Medisinene hadde hun fått forskrevet fra en privat klinikk for kinesisk urtemedisin. Hensikten skulle være å rense blodet, nyrene og leveren samt senke blodtrykket. For å få bekreftet eller avkreftet diagnosen nefropati forårsaket av kinesisk urtepreparat leverte pasienten inn to glass med kinesiske urtepreparater som hun hadde tatt de siste månedene.

    Ved Avdeling for klinisk farmakologi ble det utviklet og satt opp en analysemetode for å påvise eventuelt innhold av aristolochiasyre i preparatene. Syren finnes i to former, aristolochiasyre (I) (3,4-metylendioksy-8-metoksy-10-nitorfenantren-1-karboksylsyre) og aristolochiasyre (II), som er det demetoksylserte derivatet av aristolochiasyre (I). Vår metode var basert på å påvise aristolochiasyre (I). Analysen ble utført med væskekromatografi kombinert med massespektrometri (LC-MS), med en ionefellemetode med to fragmenteringstrinn (to transisjoner). Bakgrunnen for å bruke denne teknikken var et ønske om høy kvalitativ sikkerhet. Analysen bekreftet at pillene i ett av kvinnens glass inneholdt aristolochiasyre (I) (fig 2). I fravær av annen åpenbar årsak til nyresvikten konkluderte man med at pasienten sannsynligvis hadde nefropati forårsaket av kinesisk urtepreparat.

    Pasienten fortsatte i hemodialyse og ble påmeldt nyretransplantasjon. Siden nefropati forårsaket av kinesisk urtepreparat er assosiert med høy risiko for utvikling av malignitet i urinveiene, besluttet man å gjøre en profylaktisk bilateral nefro-ureter-ektomi. Som ledd i transplantasjonsutredningen ble det hos nevrolog påvist en muskeldystrofi som kunne forklare de kroniske lett forhøyede CK-verdiene.

    Pasienten ble senere nyretransplantert. Hun går regelmessig til cystoskopi på grunn av økt risiko for blærekreft, men har ikke utviklet malign sykdom. Vedkommende som solgte preparatene, ble dømt til fengselsstraff.

    Diskusjon

    Diskusjon

    Nefropati forårsaket av kinesisk urtepreparat skyldes altså urtemedisiner som inneholder aristolochiasyre (4). Et annet navn er aristolochiasyrenefropati (aristolochic acid nephropathy). Aristolochiasyre er en av bestanddelene i planter i slekten i Aristolochia. De to mest kjente artene er A fangchi og A clematis. Den norske betegnelsen er holurt. Det er en uoversiktlig navnebruk innen kinesisk medisin. Navnene på de giftige artene i Aristolochia-slekten kan være til forveksling lik navnene på ufarlige planter som tilhører helt andre slekter. Gruppenavn som Fang ji, Mu tong og Ma dou ling kan omfatte plantedeler fra Aristolochia-arter (5).

    Flere tilfeller av nefropati forårsaket av kinesisk urtepreparat er beskrevet, fra både europeiske og asiatiske land (5). Den første systematiske oppsporingen av tilfeller ble gjort i Belgia, etter at sju unge kvinner i 1991 måtte starte med dialyse på grunn av «interstitiell nefritt av ukjent etiologi». Alle hadde brukt kinesiske urtemidler fra en slankeklinikk (6). Det viste seg at de hadde fått i seg aristolochiasyre via et preparat som var introdusert på slankeklinikken i 1990. Årsaken var en forveksling av navnene Han fang ji, som blir brukt på medisinplanten Stephania tetrandra, og Guang fang ji, som brukes på A fangchi. Det histologiske bildet minnet om funnene ved endemisk Balkan-nefropati, hvor forurensning med aristolochiasyre i matkorn har vært en mistenkt årsak. Etter dette er mer enn 100 tilfeller av nefropati forårsaket av kinesisk urtepreparat rapportert fra Belgia (4). Utover i 1990-årene ble den kausale sammenhengen mellom aristolochiasyre og nefropati sannsynliggjort da man i dyremodeller kunne reprodusere de histologiske og funksjonelle forandringene ved aristolochiasyreeksponering (7). Det ble også siden påvist aristolochiasyreforbindelser i nyrer fjernet fra pasienter med antatt nefropati forårsaket av kinesisk urtepreparat (8).

    Aristolochiasyren er svært karsinogen. Det er beskrevet kreftutvikling i form av overgangsepitelcellekarsinom i nyrebekken, ureter og/eller urinblære hos inntil halvparten av pasientene med aristolochiasyrenefropati (9). Syren metaboliseres i lever og nyrer til reaktive forbindelser som danner addukter med aminogruppene i purinbaser, blant annet deoksyadenosin i DNA (4). Denne bindingen er irreversibel. Risikoen for kreftutvikling er doseavhengig, og kreftsykdom kan oppstå så raskt som seks måneder etter eksponering, men også mange år senere.

    I en studie fulgte man 38 tidligere nefro-ureter-ektomerte pasienter med regelmessige cystoskopier (10). Tidligere hadde 17 av disse (45 %) fått påvist urotelcancer i ureter og/eller nyrebekken. I løpet av oppfølgingstiden på opptil 15 år ble kreftutvikling i urinblæren påvist hos ytterligere 15 (39 %). Flere av disse pasientene døde senere, til tross for adekvat behandling. Profylaktisk fjerning av nyrer og ureter, etterfulgt av regelmessig cystoskopi for å overvåke blæren, er derfor anbefalt ved denne tilstanden.

    Kurativ medikamentell behandling av nefropati forårsaket av kinesisk urtepreparat er ikke kjent. Nyretransplantasjon med bilateral nefro-ureter-ektomi er slik sett den eneste effektive behandlingen av tilstanden.

    I Norge og EU er alle preparater som inneholder aristolochiasyre klassifisert som reseptpliktige legemidler. Dette betyr at det i henhold til norsk legemiddellovgivning er forbudt å selge midler som inneholder denne syren hvis ikke det aktuelle midlet er godkjent av legemiddelmyndighetene. Slik godkjenning vil av naturlige grunner aldri bli gitt, og dermed er alle produkter som inneholder aristolochiasyre i praksis forbudt å importere til eller omsette i Norge. Dette regelverket har vært uendret siden mars 2000.

    Likevel er det en risiko for at produkter med aristolochiasyre kan bli omsatt via Internett, innkjøpt på reiser eller omsatt ulovlig her til lands. Kinesiske urtepreparater har vist seg å utgjøre en spesiell risiko på grunn av navneforveksling mellom ufarlige planter og planter fra Aristolochia-slekten. Mangelfull kvalitetssikring av innhøsting og produksjon av urter har rammet i mange land, blant annet Storbritannia og Frankrike (5). Dette er det første tilfellet i Norge.

    Denne kasuistikken viser at naturpreparater kan ha alvorlige bivirkninger som det er vanskelig å avdekke. Den illustrerer også at det er viktig å spørre om bruk av naturmidler ved uforklarlige symptomer og funn.

    Pasienten har gitt samtykke til at artikkelen blir publisert.

    Kommentarer  ( 0 )
    PDF
    Skriv ut

    Anbefalte artikler