En mann i 60-årene med alvorlig respirasjonssvikt

    ()

    sporsmal_grey_rgb
    Artikkel

    En mann i begynnelsen av 60-årene med kjent lungesarkoidose ble henvist for utredning med henblikk på lungetransplantasjon på grunn av alvorlig respirasjonssvikt. Anamnestiske opplysninger gjorde at det ble påvist en tilstand som krevde en helt annen behandling enn først antatt.

    Pasienten hadde vel 20 år tidligere fått diagnosen sarkoidose basert på transbronkiale biopsier som viste granulomatøs betennelse. Ti år senere fikk han påvist immunsvikt av type vanlig variabel immunsvikt (common variable immune deficiency, CVID) og startet substitusjonsbehandling med immunglobulin. Utfall i biokjemiske leverprøver to år senere førte til leverbiopsi som viste granulomer forenlig med sarkoidose. De siste to år hadde pasienten tiltakende dyspné og respirasjonssvikt, og hadde startet med langtidsbehandling med oksygen. På henvisningstidspunktet viste arteriell blodgassanalyse (pO₂(a)) 7,1 kPa (10,0 – 14,0 kPa) med oksygen 3 l/min på nesekateter. Han trengte oksygen 8 l/min for å komme opp i pO₂ 8,0 kPa. Røntgen thorax var uendret over flere år og viste sparsomme fibrøse drag (fig 1). Spirometri var også uendret, med verdier midt i det forventede området. Gassdiffusjonskapasitet var imidlertid redusert til 48 % av forventet. Tre ukers behandling med prednisolon 20 mg daglig var forsøkt uten effekt på symptomer, lungefunksjon eller blodgasser. Han ble derfor henvist for vurdering av lungetransplantasjon, eventuelt optimalisering av behandling for sarkoidose.

    Pasienten hadde i løpet av en toårsperiode utviklet respirasjonssvikt med stort oksygenbehov uten at det radiologisk eller spirometrisk var tilkommet forandringer som forklarte utviklingen. Hvis sarkoidose var årsaken, måtte forklaringen være sarkoidoseassosiert pulmonal hypertensjon. Dette kunne passe med redusert gassdiffusjonskapasitet. I henvisningen var det imidlertid anført at det var normale funn ved ekkokardiografi og at det ikke var funnet tegn til forhøyet trykk i det lille kretsløp. Det var lite sannsynlig at fibrose kunne forklare respirasjonssvikten, ettersom de radiologiske forandringene var beskjedne og han hadde normale spirometriverdier. Lungetransplantasjon er et behandlingstilbud for selekterte pasienter med kronisk respirasjonssvikt som følge av lungesykdom i sluttstadiet. Det eksisterer nasjonale og internasjonale retningslinjer for seleksjon av pasienter som kan tilbys slik behandling (1). Sarkoidose med respirasjonssvikt og eventuelt pulmonal hypertensjon er en tilstand der lungetransplantasjon kan være aktuelt. Immunsvikt er en relativ kontraindikasjon mot lungetransplantasjon. Pasienter med vanlig variabel immunsvikt som får adekvat substitusjonsbehandling og ikke har alvorlige infeksjonsproblemer, kan imidlertid aksepteres hvis de ellers fyller kriteriene og ikke har andre kontraindikasjoner.

    Da pasienten ble innlagt på Rikshospitalet, hadde han leppe- og neglesengcyanose til tross for oksygen 8l/min på nesekateter. Ved klinisk undersøkelse var det normal respirasjonslyd og ingen fremmedlyder over  lungene. Han hadde ingen spidernævi. Blodprøver viste SR 1 og Hb 17,7 g/100 ml (12 – 15). Han hadde forhøyet laktatdehydrogenase 302 U/l (105 – 205), alkalisk fosfatase 144 U/L (35 –  105) og bilirubin 64 µmol/l (5 – 25) og lav IgG 3,2 g/l (6,1 – 14,9). ASAT, ALAT, totalprotein og albumin var innen normalområdet. Lungefunksjonsundersøkelser viste forsert vitalkapasitet 4,0 l (102 % av forventet,) forsert ekspiratorisk volum i ett sekund 3,2 l (104 % av forventet) og gassdiffusjonskapasitet 3,7 SI-enheter (42 % av forventet). Høyresidig hjertekateterisering viste normalt trykk i det lille kretsløp og normal lungekarmotstand.

    Blodprøvene var til liten hjelp for videre utredning utover å verifisere vanlig variabel immunsvikt som var inadekvat behandlet. Utfallene i leverprøver var marginale, bortsett fra at bilirubinverdiene var forhøyet. Lungefunksjonsmålingene bekreftet at pasienten hadde normal belgfunksjon, men redusert gassdiffusjonskapasitet. Ekkokardiografi hadde ikke gitt holdepunkter for pulmonal hypertensjon. Dette ble bekreftet ved høyresidig hjertekateterisering. Hvorfor hadde pasienten alvorlig respirasjonssvikt? Med normal belgfunksjon, radiologisk beskjedne fibroseforandringer og normalt trykk i det lille kretsløp kunne ikke lungesarkoidose være årsaken. I så fall ville vi forventet betydelig redusert lungefunksjon ved spirometri, eller ved isolert nedsatt gassdiffusjon en alvorlig grad av pulmonal hypertensjon.

    Pasienten fortalte at han bare brukte oksygentilførsel på dagtid. Om natten sov han godt uten oksygentilførsel og våknet uthvilt om morgenen. På grunn av disse opplysningene ble blodgasser målt i liggende og sittende stilling uten oksygentilførsel. Målt i sittende stilling ble det funnet pO₂(a) 6,4 kPa (10) – (14), O₂-metning 84 %, pCO₂(a) 3,0 kPa. Liggende flatt i seng var tilsvarende verdier pO₂(a) 8,4kPa, O₂ metning 93 %, pCO₂(a) 3,2kPa.

    Blodgassundersøkelsene avdekket betydelig respirasjonssvikt i sittende stilling som bedret seg når pasienten la seg ned. Dyspné i sittende og stående stilling som bedres eller oppheves i horisontalt leie, kalles platypné. Redusertoksygenmetning i stående stilling som bedres i horisontalt leie, kalles ortodeoksi. Platypné og ortodeoksi er sjeldne fenomener, oftest assosiert med intrakardial shunting som ved åpentstående foramen ovale eller interatriale defekter. Ved ekkokardiografi så man imidlertid ikke tegn til hjertesykdom. En annen årsak til platypné er intrapulmonal shunting. Pulmonalkretsløpet er et lavtrykksystem, og både perfusjon og ventilasjon foregår mest i basale lungeavsnitt. Ved shunting intrapulmonalt vil ventilasjon-perfusjons-forholdene bedres når pasienten legger seg ned, mens mer blod passerer via shunter i oppreist stilling. Intrapulmonal shunting ses særlig ved kroniske leversykdommer, og konstellasjonen leversykdom og shunting kalles hepatopulmonalt syndrom. Slik shunting opptrer også ved avgrensede solitære eller multiple anatomiske atrioventrikulære malformasjoner, ofte assosiert med Oslers sykdom. Den videre utredningen tok derfor sikte på å kartlegge om det forelå intrapulmonal shunting, eventuelt finne årsaken til denne, og beregne shuntfraksjonen.

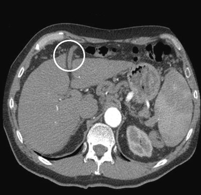
    Tilsendte røntgenundersøkelser fra henvisende sykehus ble revurdert. Som bifunn på CT av thorax/ øvre abdomen tatt ti måneder før innleggelse på Rikshospitalet ble det bemerket at det forelå åpentstående umbilikalvene samt slyngede vener i øvre abdomen som ga mistanke om portal hypertensjon (fig 2).

    Påvisning av åpentstående eller rekanalisert umbilikalvene på CT kan være et uspesifikt funn, men skyldes ofte portal hypertensjon med utvikling av kollateralt kretsløp. Portal hypertensjon kan være assosiert med hypoksemi via flere mekanismer: portopulmonal hypertensjon, hypoksemi sekundært til hydrothorax/ascites ved leversvikt eller hepatopulmonalt syndrom.

    Det ble gjort CT av lever/øvre abdomen med intravenøs kontrast som viste at leveren var liten med grovbuklet overflate som ved cirrhose og at det forelå massivt utviklet kollateralkretsløp i form av rekanalisert vena umbilicalis samt kollateraler i milthilus og langs ventrikkelens minorside til distale oesophagus som tegn på portal hypertensjon. Det var ingen fokale lesjoner.

    Pasienten hadde avansert leversykdom med portal hypertensjon, til tross for beskjedne utfall i biokjemiske leverprøver. Bortsett fra at det i en leverbiopsi mange år tidligere var påvist granulomer, hadde han ingen kjent leversykdom. Riktignok er lever nesten alltid affisert ved sarkoidose i gastrointestinalkanalen, men alvorlig leversykdom med portal hypertensjon utvikles sjelden (2). Vår pasient hadde imidlertid også vanlig variabel immunsvikt, som er assosiert både med autoimmune manifestasjoner og med granulomatøs inflammasjon i ulike organer, inklusive lever (3). Patologisk kan tilstanden imitere sarkoidose (4, 5). Leveraffeksjon ved vanlig variabel immunsvikt har oftest et mildt forløp, men kolestase og utvikling av portal hypertensjon forekommer (6, 7).

    For å verifisere diagnosen hepatopulmonalt syndrom, måtte en eventuell shunting fremstilles visuelt og shuntstørrelse beregnes. Ekkokardiografi med saltvannskontrast kan benyttes for å påvise intrapulmonal eller intrakardial shunting (8). Kontrasten lages ved å løse 0,5 ml romluft fysikalsk i 9,5 ml fysiologisk saltvann, som så infunderes som bolus i en kubitalvene. Gassboblene i saltvannet vil normalt kun gjenfinnes i høyre hjertehalvdel, fordi de filtreres bort i lungekarsengen. Hvis det foreligger en høyre-venstre-shunt, vil gassbobler også gjenfinnes i venstre hjertehalvdel. For å skille intrakardiale og intrapulmonale shunter måles tiden det tar før gassboblene gjenfinnes i venstre hjertehalvdel. Ved en intrakardial høyre-venstre-shunt kan gassboblene ses i venstre hjertehalvdel innen tre hjerteslag etter at kontrasten har nådd høyre atrium. Hvis det foreligger en intrapulmonal shunt, vil det ta mer enn tre hjerteslag før gassboblene gjenfinnes i venstre hjertehalvdel.

    Det ble utført ekkokardiografi med intravenøs saltvannskontrast (fig 3). Hos vår pasient ble det observert overgang av gassbobler fra høyre til venstre hjertehalvdel 4 – 5 hjerteslag etter injeksjon. Dette indikerte at det forelå en høyre til venstre intrapulmonal shunt. For å beregne shuntfraksjonen ble det utført nukleærmedisinsk scintigrafi med intravenøs injeksjon av 99mTc-MAA, og deretter registrering av helkroppsscintigrammer fra ventral- og dorsalsiden. Gjennomsnittsverdi forfra og bakfra ble beregnet til 25 %, altså en signifikant shunting og i overensstemmelse med visuell bedømmelse av scintigrammene.

    Beregning av shunten baseres på lekkasje av isotopen forbi lunger til det systemiske kretsløpet. Ved technetiumscintigrafi benyttes makroaggregert albumin > 20 µm i diameter, som normalt fanges opp i mikrokapillærene i lungekarsengene, som har en diameter på 8 – 15 µm. Grad av isotopopptak i andre organer (hjerne, nyrer) reflekterer mengden kontrast som har omgått lungekapillærsengen via intrapulmonal eller intrakardial shunting. Hos vår pasient var intrakardial shunting ekskludert ved ekkokardiografi med saltvannskontrast. Verken ekkokardiografi eller nukleærmedisinsk shuntkvantitering kan skille lokaliserte AV-malformasjoner fra diffuse dilatasjoner i lungekarsengen. Hepatopulmonalt syndrom er primært assosiert med diffuse dilatasjoner, men avgrensede shunter tilgjengelig for embolisering er beskrevet (9).

    Pasienten ble utskrevet med en annen diagnose enn den han kom inn med. Lungetransplantasjon – som han var henvist for – var ikke aktuelt fordi hans granulomatøse lungesykdom ikke var årsak til respirasjonssvikten. Han ble i stedet utredet for levertransplantasjon, som er den eneste behandlingsformen med kurativt siktemål ved hepatopulmonalt syndrom. Som ledd i utredningen ble det tatt ny leverbiopsi som viste nodulær regenerativ hyperplasi og portal betennelse. Et slikt funn forekommer hyppig ved leverpatologi assosiert med vanlig variabel immunsvikt (6). Portal hypertensjon ble bekreftet ved venografi med wedge-trykkmåling av portvenetrykket via en levervene (15 – 17 mm Hg mot normalt ca. 7 mm Hg). Pasienten er senere blitt levertransplantert.

    Diskusjon

    Diskusjon

    Hepatopulmonalt syndrom er karakterisert ved hypoksemi forårsaket av utvidelse av pulmonalkarsengen hos pasienter med leversykdom (10). Avhengig av diagnostiske kriterier ses tilstanden hos 4 – 47 % av pasienter med kronisk leversykdom (10,10 –  15). Debutsymptomet er oftest dyspné hos pasienter med mangeårig leversykdom. Hos vår pasient ble utredningen forsinket fordi man ikke hadde erkjent at pasienten hadde en leversykdom da han utviklet respirasjonssvikt. Pasientens opplysninger om bedring av dyspné i liggende stilling (platypné) og påvisning av økende hypoksemi stående (ortodeoksi) illustrerer verdien av en god sykehistorie. Informasjonen bidro til at det ble utført undersøkelser som påviste intrapulmonal shunting.

    Hypoksemi ved hepatopulmonalt syndrom omfatter ventilasjon-perfusjon-uforlikelighet, intrapulmonal shunting og redusert oksygendiffusjon (fig 4). Hovedårsaken er shunting. Mekanismen er utvikling av intrapulmonal vaskulær dilatasjon på kapillærnivå. Diffus dilatasjon av den pulmonale sirkulasjon fører til høyre-venstre-shunt, passasje av ikke-oksygenert blod til venstre hjertehalvdel og dermed hypoksemi. Patofysiologisk fungerer riktignok ikke intrapulmonal vaskulær dilatasjon som sanne anatomiske shunter, fordi oksygeneringen bedres noe ved innånding av 100 % oksygen. Den antatte mekanismen ved intrapulmonal vaskulær dilatasjon er at oksygenmolekyler ikke når å diffundere fra alveol til sentrum av det korresponderende dilaterte karet for å oksygenere hemoglobinet i røde blodlegemer. Tilførsel av oksygen øker strømmen av oksygenmolekyler, slik at perfusjonsdefekten reduseres. Dette forklarer hvorfor vår pasient til en viss, men beskjeden grad, responderte på oksygentilførsel.

    Årsaken til intrapulmonal vaskulær dilatasjon er ikke klarlagt. Nedsatt evne til eliminasjon av sirkulerende pulmonale vasodilatatorer på grunn av sviktende leverfunksjon er foreslått – likeledes at en skadet lever danner stoffer med vasodilaterende egenskaper. Klinisk ser det ut til at forekomst av spidernævi er positivt korrelert til grad av pulmonal vasodilatasjon og til forstyrrelser i gassutvekslingen (16). Nitrogenoksid (NO) har en rolle ved hepatopulmonalt syndrom (17, 18). Dette er grunnlaget for bruk av vasokonstriktive preparater – som NO-hemmere – som korttidsbehandling for hypoksemi ved hepatopulmonalt syndrom før og etter levertransplantasjon.

    Hvilken tilstand lå til grunn for leversykdom hos vår pasient? Var det sarkoidose med vanlig variabel immunsvikt? Eller var granulomene i lunge- og leverbiopsiene en vevsrespons ved vanlig variabel immunsvikt? Pasienter med denne sykdommen kan ha autoimmune manifestasjoner i flere organer, og disse kan debutere før hypogammaglobulinemi påvises. Vår pasient kan primært ha hatt vanlig variabel immunsvikt, selv om lungeforandringene kom tidlig og leverforandringene senere. Portal hypertensjon og kolestase er de hyppigste manifestasjonene på leversykdom ved denne lidelsen, men ses sjelden ved sarkoidose (6). Påvisning av nodulær regenerativ hyperplasi i den siste leverbiopsien passer med histologiske forandringer i lever hos pasienter med vanlig variabel immunsvikt og tilskrives autoimmune mekanismer (6). Disse pasientene kan utvikle et sarkoidoseliknende sykdombilde med granulomer i lunger og lever (5). Patogenesen er ukjent, men forhøyet nivå av tumornekrosefaktor (TNF) på bakgrunn av TNF-polymorfisme er foreslått (19).

    Hvordan behandles hepatopulmonalt syndrom? Ulike tilnærminger for å bedre oksygeneringen har vært forsøkt: embolisering av intrapulmonale AV-malformasjoner, medikamenter med vasokonstriktive egenskaper og optimalisert behandling av leversykdommen. Ingen har hatt særlig effekt på graden av shunting (10, 12, 17, 20, 21). Den mest lovende behandlingen er levertransplantasjon. Internasjonale transplantasjonssentre har rapportert betydelig bedring av hypoksemi og reduksjon av intrapulmonal shunting, men dette kan ta uker til måneder. Mortaliteten etter levertransplantasjon er imidlertid høyere hos pasienter med hepatopulmonalt syndrom enn hos pasienter uten. Transplantasjonsvurdering anbefales i The American Association for the Study of Liver Diseases Practice Guidelines (22) – (27).

    Pasienten har gitt samtykke til at artikkelen blir publisert.

    Kommentarer  ( 0 )
    PDF
    Skriv ut

    Anbefalte artikler