En kvinne med tilbakevendende arteriovenøse tromboser

    ()

    sporsmal_grey_rgb
    Abstract

    Background:

    Hypercoagulability leading to arterial or venous thrombosis and embolism in patients with cancer is a known phenomenon.

    Material and Methods:

    We describe a 62 year old woman with a clinical course compatible with catastrophic antiphospholipid syndrome but seronegative findings and mucinous lung cancer. The case is discussed with reference to literature from a non-systematic PubMed search.

    Results and Interpretation:

    Diagnoses of cerebral and cardiac infarcts, deep venous thrombosis and lung embolism led to a diagnosis of lung cancer by biopsy and positron emission tomography (PET). Early recurrence of venous and arterial thromboses or poor response to anticoagulation and antiplatelets should initiate cancer search in the assessment of such stroke patients. Especially the combination of venous and arterial thromboses should raise suspicion of cancer. PET and surgical cancer treatment should be evaluated at an early stage.

    Artikkel

    En 61 år gammel kvinne fikk brystsmerter og forbigående synstap, deretter vansker med bruk av høyre arm og taleforstyrrelser. Tilbakevendende arteriovenøse tromboser gjorde henne i løpet av fem måneder til en dement og pleietrengende pasient.

    En 61 år gammel kvinne hadde migrene med visuell aura med siste anfall ca. ett år før den  aktuelle innleggelsen. Fra 15-årsalderen røykte hun ca. 15 sigaretter daglig. En uke før den aktuelle innleggelsen fikk hun brystsmerter som strålte ut mellom skuldrene og synstap på høyre øye som varte i 5 – 10 minutter. To dager senere oppsøkte hun kiropraktor på grunn av smerter i bryst, nakke og skuldre. Dagen før innleggelsen merket hun igjen synstap på høyre øye med samme varighet. Innleggelsesdagen fikk hun vansker med å bruke høyre hånd, og datteren bemerket taleforstyrrelser. Hun ble innlagt i øyeavdelingen med diagnosen amaurosis fugax. Øyelegen fant ingen aktuell patologi, men reagerte på pasientens påfallende latens og problemer med å ta instruksjoner. Pasienten ble derfor overflyttet til nevrologisk avdeling for videre utredning.

    Ved innleggelsen hadde hun blodtrykk 152/80 mm Hg, temperatur 38,5 °C, regelmessig puls 68/min og respirasjonsfrekvens 15/min. Surstoffmetning var 99 % uten oksygen. Ved undersøkelsen hadde hun lett apati og kognitiv svikt, svarte med latens og var ikke orientert for dato. Det ble ikke funnet stenoselyder over halsarteriene eller bilyder over hjertet. Den somatiske undersøkelsen var ellers upåfallende. Orienterende blodprøver viste CRP 37 mg/l (normalt < 5), D-dimer > 20 mg/l (normalt 0,00 – 0,50) og troponin-T 0,5 µg/l (normalt < 0,03), ellers upåfallende funn i blodprøver. Elektrokardiografi (EKG) viste sinusrytme, markert P og T-inversjoner i V4-V6-avledningene.

    Vanlige symptomer ved akutt hjerneinfarkt i fremre kretsløp er hemiparese, afasi og endret mental funksjon. Ved akutt hjerneinfarkt i bakre kretsløp finnes ofte synsfeltutfall, dobbeltsyn, vertigo, koordinasjonssvikt, kvalme og oppkast. (Sub)febrilitet kan forekomme ved større hjerneinfarkter uten samtidig infeksjon. På grunn av kognitiv svikt, anamnestisk mistanke om afasi, feber og økt D-dimer ble sinusvenetrombose og tumor cerebri vurdert som aktuelle differensialdiagnoser. Andre differansialdiagnoser var encefalitt, hjerneblødning, metabolsk encefalopati, abscess eller andre intrakraniale infeksiøse eller inflammatoriske tilstander. Opplysninger om sannsynlig amaurosis fugax, sammen med opplysninger om kognitiv svikt, problemer å bruke høyre hånd og taleproblemer tydet mer på arterielle emboliske hjerneinfarkter. Computertomografi (CT) eller fortrinnsvis magnetisk resonanstomografi (MR) må utføres som øyeblikkelig hjelp for å kartlegge type og omfang av den akutte skaden i hjernen.

    CT av hjernen ble tatt noen timer etter innleggelsen, og viste sannsynlig ferskt infarkt omkring høyre fissura Sylvii og spredte lavattenuerende forandringer i begge hemisfærer. Spinalpunksjon viste normalt celletall. MR av hjernen etter spinalpunksjon bekreftet iskemiske lesjoner (diffusjonsavvik) i begge cerebrale og cerebellære hemisfærer (fig 1a, fig 1b).

    Iskemiske lesjoner i flere cerebrale kargebet er en sterk indikator på embolisk årsak. Cerebralt infarkt som skyldes embolisering fra hjertet til hjernen utgjør om lag ett av fire hjerneinfarkter. Potensielle årsaker til kardiale embolier er atrieflimmer og atrieflutter, myokardskade etter hjerteinfarkt, dilatert kardiomyopati, endokarditt, myokarditt, mekaniske klaffeproteser, atrieseptumpatologi og intrakardiale svulster. Vår pasient hadde feber, økt CRP og EKG-forandringer, noe som ga mistanke om endokarditt. Endokarditt er en bakteriell infeksjon på hjerteklaffene som kan gi tromber til hjernen og andre organer. Hovedkriteriene for diagnosen endokarditt er to positive blodkulturer med typiske mikroorganismer og karakteristiske ekkokardiografiske funn.

    På mistanke om endokarditt ble det dagen etter innleggelsen startet behandling med penicillin 20 millioner enheter per døgn intravenøst etter at blodkulturer var tatt. Transtorakal og transøsofageal ekkokardiografi med ultralydkontrast to dager etter innleggelse viste ikke tegn til endokarditt, men lett venstre ventrikkelhypertrofi, lett nedsatt diastolisk funksjon, noe stort venstre atrium, liten aortainsuffisiens uten hemodynamisk betydning, ingen septumpatologi, spesielt ikke tegn til åpentstående foramen ovale, men lett arteriosklerose i aorta descendens. En 24-timers EKG-registrering var normal og viste spesielt ikke tegn til atrieflimmer. Blodkultur var negativ.

    De ekkokardiografiske undersøkelsene og negative blodkulturene ga ikke holdepunkt for endokarditt. Høy D-dimer, markert P-takk på EKG og en sykehistorie med smerter i thorax ga mistanke om lungeemboli, eventuelt i tillegg dyp venetrombose. Pasienten var respiratorisk ubesværet med normofrekvent respirasjon. Klinisk var det ikke tegn til dyp venetrombose i underekstremitetene.

    CT av thorax to dager etter innkomst viste sikker lungeemboli i høyre overlapp og mulige embolier i segmentarteriene i begge underlappene, forstørrede lymfeknuter i mediastinum og litt pleuravæske. Pleuravæsken ble oppfattet som sekundært til lungeemboli. Behandlingen ble forandret fra platehemmende behandling til antikoagulasjonsbehandling med lavmolekylært heparin. CT abdomen, bekken og CT venografi viste på venstre side dyp venetrombose i alle tre leggvenepar opp til vena poplitea, ingen tromber distalt for dette opp til vena cava inferior. CT av abdomen viste forandringer i milt av usikker etiologi og var ellers upåfallende.

    Koagulasjonsprøver, inkludert aktivert protein C-resistens, protein C og protein S, antitrombin III, C3, C4, homocystein, faktor V-Leiden-mutasjon og protrombingenmutasjon var negative.

    Arterioarterielle embolier fører vanligvis til iskemiske lesjoner i ipsilateralt kargebet og ble initialt vurdert som mindre sannsynlig siden det hos pasienten forelå infarkter i flere karområder. Pasienten hadde røykt i mange år og det kunne allikevel foreligge ekstrakranial arteriosklerose med plakkaktivering på grunn av en infeksjonstilstand, selv om det var usannsynlig at dette skulle skje samtidig i alle fire halsarterier.

    Dupleks ultralydundersøkelse av ekstrakraniale og intrakraniale arterier viste normale forhold uten tegn til stenoser i carotis- og vertebralisarteriene eller cerebri media-arteriene. På grunn av anamnestiske opplysninger om brystsmerter, forhøyet troponin-T, negative ekkokardiografiske funn og manglende tegn til ekstrakranial arteriosklerose ble MR av myokard fire dager etter innleggelse utført med spørsmål om myokarditt.

    MR av myokard ble beskrevet som forenlig med myokarditt. Fem dager etter innleggelsen ble pasienten overflyttet til hjerteavdelingen for kontinuerlig rytmeovervåking med telemetri. Hun brukte vedvarende penicillin og lavmolekylært heparin og hennes kliniske tilstand var uforandret fra innleggelsen.

    Forstørrede lymfeknuter i mediastinum ble først vurdert som mulig reaktiv lymfadenopati i sammenheng med myokarditt, men antistoffer mot adenovirus, cytomegalovirus, parvovirus B12, influensavirus, Epstein-Barr-virus, enterovirus, varicella, humant herpes virus 6 og herpes simplex-virus 1 var negative. Muligheten for at hjertesykdom kunne forårsake embolisk hjerneinfarkt, ble vurdert som usannsynlig fordi det verken forelå fokal hypokinesi eller andre tegn til embolikilder i venstre ventrikkel.

    Komparentopplysninger fra pasientens datter ved innleggelse ga ikke holdepunkter for at pasienten hadde redusert vekt, blodig urin eller avføring eller andre allmennsymptomer som kunne gi mistanke om kreft. Likevel ga røyking og arteriovenøse tromber og embolier mistanke om kreft.

    Kreftmarkørene β₂-mikroglobulin, karsinoembryonalt antigen (CEA), kreftantigen CA-125, alfaføtoprotein (AFP) og beta-humant choriongonadotropin (β-HCG) var negative. Mammografi var negativ. Utredningen så langt hadde ikke påvist bakenforliggende sykdom. Som uavklart ble det anmerket forstørrede lymfeglandler i mediastinum med mulig årsak i infeksjon eller neoplasi.

    Dupleks ultralydundersøkelse av ekstrakraniale og intrakraniale arterier hadde vist normale forhold. Gjentatte ekkokardiografiske undersøkelser hadde ikke vist tegn til kardial embolikilde. Revmatolog ble konsultert og differensialdiagnosen vaskulitt ble drøftet. Pasienten ble henvist til CT av torakal aorta og proksimale halsarterier.

    CT angiografi av torakal aorta og proksimale halsarterier viste normalkalibrerte kar og ingen tegn til stenoser. En uke etter innkomst startet hun med warfarin med INR-mål 2,5, og lavmolekylært heparin ble seponert fem dager etter oppstart av warfarin. Penicillin ble seponert ti dager etter innleggelsen. Pasienten ble utskrevet til en rehabiliteringsinstitusjon tolv dager etter innleggelsen. Hun var da oppegående uten støtte innen- og utendørs, men hadde rom-retnings-vansker, apraksi, afasi og kognitiv reduksjon.

    Tre uker etter sykdomsstart fikk pasienten igjen synstap og forverring av rom-retningsvansker. Dette førte til ny innleggelse i nevrologisk avdeling. Klinisk hadde hun høyre homonym hemianopsi, økt apati og apraksi. Hun trengte hjelp til å finne frem i avdelingen. MR av hjernen viste flere nytilkomne iskemiske lesjoner, D-dimer var > 20 mg/l (normalt 0,00 – 0,50) og troponin-T hadde økt til 0,27 µg/l (normalt < 0,03). CT av thorax, supplert med CT av abdomen, viste infarkter i nyre og milt, forstørrede binyrer og vekst av lymfeknutene i mediastinum. INR ved innleggelse var 1,6.

    Tilfredsstillende oppfølging ved warfarinbehandling stiller store krav både til behandler og til pasient. Ved utelatte doser kan det raskt oppstå terapisvikt og tilbakevendende tromboser. Medisineringen med warfarin var ikke godt nok kontrollert. Men igjen var D-dimerverdien over målbart nivå og kreftsykdom, hematologisk sykdom og systemisk sykdom ble mistenkt som differensialdiagnoser. Troponin var forhøyet og derfor ble utredningen igjen startet med hjerteundersøkelser som mistenkt årsak for arterielle embolier i forskjellige organer.

    Ny ekkokardiografi viste uforandrede funn uten fokal hypokinesi, vegetasjoner på hjerteklaffene eller annen kardial embolikilde. Vi avsto fra biopsi av mediastinale lymfeknuter på grunn av antatt høy risiko for tromboser ved seponering av antikoagulasjonsbehandling før prosedyren og fordi lymfeknutene var så små at det var usikkert om man ville få representativt materiale. Undersøkelser utført av øre-nese-hals-lege, hudlege, endokrinolog og øyelege ga ikke holdepunkt for kreft. Sternal beinmargsbiopsi seks uker etter første innleggelse var normal.

    Klebrig blodplate-syndrom (sticky platelet syndrome, SPS) kjennetegnes av hyperaktive blodplater som klumper seg ved lave konsentrasjoner av adrenalin og/eller adenosindifosfat, og diagnostikken baseres på aggregometri og væskestrømcytometri. Hovedfunnet ved dette syndromet er arterielle og venøse tromboser der hyperaggregeringen reduseres ved bruk av acetylsalisylsyre (80 – 100 mg daglig) (1). Dette syndromet og seronegativt antifosfolipidsyndrom ble vurdert på grunn av residiverende og alvorlig trombosering, og acetylsalisylsyre ble kombinert med warfarin. Trombosene hos vår pasient progredierte også etter oppstart av acetylsalisylsyre, og på grunn av manglende effekt av denne ble klebrig blodplate-syndrom vurdert som usannsynlig. Pasienten hadde gjentatte alvorlige arterielle og venøse tromboser, og vi vurderte det kliniske forløpet til å være forenlig med katastrofalt antifosfolipidsyndrom, den alvorligste formen for antifosfolipidsyndrom. Tilbakevendende tromboser i større arterier og vener samt trombotisk mikroangiopati talte for katastrofalt antifosfolipidsyndrom.

    Pasienten ble vurdert av revmatolog seks uker etter første innleggelse og antifosfolipidantistoffsyndrom ble vurdert som ikke-aktuelt på grunn av negative antistoffer og fravær av trombocytopeni.

    Diagnosen myokarditt ble revurdert sju uker etter første innleggelse og forandret til funn forenlig med hjerteinfarkt etter at ekkokardiografifunn senere viste transmurale forandringer i lateralveggen av venstre ventrikkel med nedsatt kontraktilitet i dette området. De forstørrede lymfeknutene i mediastinum var fortsatt uavklarte, og vår arbeidshypotese var lungeneoplasi. Pasienten ble vurdert av lungelege under oppholdet og henvist til lungepoliklinikk og til positronemisjonstomografi (PET) med spørsmål om malignitet i lunger eller mulige metastaser i binyrene. Pasienten ble utskrevet til ny rehabiliterende behandling, med warfarin og acetylsalisylsyre med diagnosene embolisuspekte hjerneinfarkter, hjerteinfarkt, miltinfarkt og forstørrede lymfeglandler med ukjent malignitetspotensial i mediastinum.

    Vel tre måneder etter sykdomsstart og tolv dager etter utskrivning fra rehabiliterende behandling til hjemmet ble pasienten innlagt i medisinsk avdeling på grunn av smerter i venstre glutealregion og lår med økt konsistens og omfangsøkning på 6,4 cm i låret. INR-verdien var 2,3, D-dimer var > 20 mg/l (normalt 0,00 – 0,50). Ultralyd av venstre underekstremitet og CT av bekkenvener viste trombemasser i v. femoralis, v. iliaca interna og en mindre trombe i v. cava inferior i nivå med nyrevenene. Pasienten ble behandlet med kateterdirigert trombolyse i tre dager og ballongdilatasjon av en stenose distalt i v. iliaca. Warfarin ble deretter erstattet med intravenøs dalteparin på grunn av akutt dyp venetrombose under pågående warfarinbehandling med INR-verdi i målområdet og sterk mistanke om neoplasi.

    Ny CT av thorax viste uendret størrelse av lymfeknuter i mediastinum, men en liten fortetning i høyre lunges overlapp. Ultralydbronkoskopi med finnålsaspirasjon fra lymfeknutestasjon 4 og 7 i mediastinum viste lungekreft i form av et ikke-småcellet karsinom (mucinøst adenokarsinom). PET med fluorodeoksyglukose som isotop bekreftet tumorlokalisasjonen og avkreftet metastasering til binyrene, slik at tumorklassifiseringen ble T1N2M0 (T1 er tumor ≤ 3 cm i største dimensjon uten innvekst i omkringliggende vev, N2 er spredning til to lymfeknuter i mediastinum på samme side som hovedtumor, og M0 er ingen fjernmetastasering).

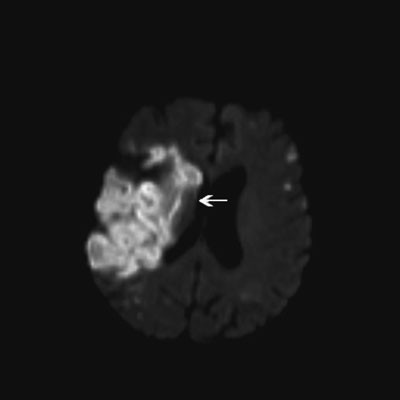
    Operativ behandling av primærtumor i lungen ble vurdert, men til tross for kombinasjonsbehandling med dalteparin og acetylsalisylsyre fikk pasienten i påvente av operasjon akutt venstre hemiparalyse, forverring av kognitiv svikt og ble helt pleietrengende. Hun hadde D-dimer > 20 mg/l (normalt 0,00 – 0,50) og troponin-T 3722 ng/l (normalt < 15). MR av hjernen viste et stort infarkt i høyre a. cerebri medias forsyningsområde (fig 2). Pasienten ble tverrfaglig vurdert som inoperabel på grunn av et aggressivt forløp med raskt tilbakevendende og multiple organtromboser. Risikoen for nye tromboemboliske hendelser som følge av perioperativ seponering av antikoagulasjonsbehandling ble vurdert som høyere enn den mulige operative nytten. Hun ble utskrevet til sykehjem og fikk palliativ strålebehandling mot mediastinum og høyre fossa supraclavicularis på grunn av infiltrative lymfeknuter subcarinalt, pretrakealt og i øvre høyre mediastinum. Som komplikasjon til hjerneinfarktene utviklet hun epilepsi. Klopidogrel ble kombinert med dalteparin og acetylsalisylsyre på grunn av akutt hjerteinfarkt med ST-segmentelevasjon under denne innleggelsen. Til tross for aggressiv antikoagulasjonsbehandling rapporterte datteren senere om en forbigående episode hvor det paretiske venstre beinet ble smertefullt, hvitt og kaldt, suspekt på perifer arteriell emboli. Ett år etter sykdomsdebut døde pasienten av hjerte- og lungesvikt betinget av betydelig tumorvekst. Autopsi ble ikke utført.

    Diskusjon

    Diskusjon

    Hos vår pasient ga kliniske funn og forløpet med raskt tilbakevendende arterielle og venøse tromboser og embolier mistanke om katastrofalt antifosfolipidsyndrom. Dette kan opptre ved kreft, og kombinasjonen med adenokarsinom i lungene er beskrevet (2). Hos vår pasient var trombocyttallene normale og lupusantikoagulant-, antifosfolipid- og antikardiolipinantistoffene forble negative.

    Vår pasient hadde et mucinøst adenokarsinom i høyre lunge som forårsaket det invalidiserende forløpet med raskt tilbakevendende arteriovenøse tromboser, til tross for tidlig antikoagulasjonsbehandling og platehemming. Kreftmarkører og omfattende bildeundersøkelser ga ikke sikre holdepunkter for kreftsykdom, selv om funnet av lymfeknutesvulst i mediastinum ga en begrunnet mistanke. Endelig kreftdiagnose ble først stilt fire og en halv måneder etter første innleggelse.

    Trombosesykdom sekundært til kreft ble beskrevet av Armand Trousseau allerede i 1865, og kombinasjon av disse to tilstandene kalles Trousseaus syndrom. Trousseau viste at venøs tromboflebitt kan være første tegn på mucinøse adenokarsinomer i lungene, ventrikkel og pancreas. Definisjonen av Trousseaus syndrom ble i 1977 utvidet til å omfatte også kronisk disseminert intravaskulær koagulasjon assosiert med trombotisk mikroangiopati, ikke-bakteriell trombotisk endokarditt på aorta- eller mitralklaff og arterielle tromboser (3). Tilbakevendende arteriovenøse tromboser ved kreft er tidligere beskrevet i Tidsskriftet hos en pasient med mucinøst adenokarsinom i ventrikkelen (4).

    En retrospektiv studie av 5 106 pasienter innlagt i en slagenhet med første gangs hjerneinfarkt viste at kreftsykdom ble påvist hos 24 pasienter (0,4 %). Av disse 24 ble kreftsykdom påvist etter det første hjerneinfarktet hos fire pasienter, mens 20 pasienter fikk kreftdiagnosen etter å ha fått et nytt slag innen fire måneder fra det første. 19 av 24 pasienter døde, median overlevelsesrate var på 58 dager etter hjerneinfarktet (5). Lungekreft og brystkreft var de hyppigste kreftformene (5).

    En studie av 96 kreftpasienter med verifisert hjerneinfarkt viste at lungekreft var den dominerende krefttypen (30 %), etterfulgt av primær hjernekreft (9 %) og prostatakreft (9 %) (6). Pasientene hadde en median overlevelsestid på 4,5 måneder etter hjerneinfarktet (6). En prospektiv studie av 842 pasienter med dyp venetrombose behandlet med antikoagulasjon (lavmolekylært heparin etterfulgt av warfarin) inkluderte 181 individer med kjent kreftsykdom. Man fant at risikoen for nye venetromboser innen ett år var betydelig høyere hos pasientene med kreft enn hos de øvrige pasientene (20,7 % versus 6,8 %). Risikoen for større blødning under antikoagulasjonsbehandling var også høyere i kreftgruppen (12,4 % versus 4,9 %) (7).

    En randomisert studie av 676 kreftpasienter med førstegangs venøs trombose viste at subkutan injeksjon av et lavmolekylært heparin (dalteparin) var mer effektivt enn warfarin og at frekvensen av residivtrombose var halvert hos pasienter som fikk dalteparin (9 %) sammenliknet med pasienter som fikk warfarin (17 %) (8). Ifølge amerikanske retningslinjer er lavmolekylært heparin anbefalt behandling hos pasienter med kreft og tromboser i 3 – 6 måneder eller lenger ved vedvarende tumoraktivitet (9).

    Konklusjon

    Konklusjon

    Kreftutredning bør gjøres hos slagpasienter ved tidlig tilbakevendende tromboser og dårlig respons på antikoagulasjonsbehandling og platehemming. Særlig kombinasjonen av arterielle og venøse tromboser bør gi mistanke om kreft hvis annen årsak ikke påvises. PET-helkroppsskanning og operasjon bør overveies tidligst mulig. Hos vår pasient ble risikoen for nye tromboemboliske hendelser vurdert som høyere enn mulig nytte av operativ behandling. Trombotisk sykdom ved kreft kan ha et svært aggressivt forløp og kan i seg selv være invalidiserende.

    Pasientens pårørende har gitt samtykke til at artikkelen blir publisert.

    Kommentarer  ( 0 )
    PDF
    Skriv ut

    Anbefalte artikler