Ervervet Horners syndrom

    ()

    sporsmal_grey_rgb
    Abstract
    Bakgrunn.

    Bakgrunn.

    Skade i de sympatiske fibrenes forløp fra hypothalamus til øyet og ansiktet kan gi Horners syndrom, som består av den klassiske triaden miose, ptose og hemifacial anhidrose.

    Materiale og metode.

    Materiale og metode.

    Denne oversiktsartikkelen er basert på egne erfaringer og skjønnsmessig utvalg av artikler funnet via ikke-systematisk søk i PubMed. Kasuistikker fra egen praksis tjener som eksempler.

    Resultater.

    Resultater.

    Basert på lokalisasjon av skaden klassifiseres ofte et Horners syndrom som enten sentralt, pre- eller postganglionært. Ved førstnevnte tilstand preges det kliniske bildet av symptomer og tegn fra sentralnervesystemet. Preganglionært syndrom skyldes som oftest tumor eller traume. Postganglionært syndrom er ofte assosiert med smerte/hodepine og ses hyppigst ved carotisdisseksjon eller under anfall med klasehodepine. Generelt er anhidrose sjeldent fremtredende, og ved postganglionær type i praksis fraværende. Farmakologiske tester kan benyttes i diagnostikken. Apraklonidin synes å være et godt alternativ til kokain for å få bekreftet et Horners syndrom. I utredningen anbefales generelt MR, eventuelt med spesialsekvenser.

    Fortolkning.

    Fortolkning.

    Forløpet av de langstrakte okulosympatiske fibrene er komplekst og ufullstendig forstått. Topografisk diagnostikk kan være utfordrende, men i majoriteten av tilfellene påvises en spesifikk årsak.

    Abstract

    Background.

    Horner’s syndrome is characterized by the classic triad of eyelid ptosis, miosis and facial anhidrosis and is caused by an interruption of the oculosympathetic nerve pathway somewhere between its origin in the hypothalamus and the eye.

    Material and methods.

    This review is based on own experiences and a discretionary selection of articles found through non-systematic searches in PubMed. Cases from own practice serve as examples.

    Results.

    Based on localization of the nerve pathway interruption, a Horner’s syndrome is often classified as central, pre- or postganglionic. For the central type the syndrome is associated with other symptoms and signs from the central nervous system. The preganglionic type is most often caused by a tumor or trauma. The postganglionic type is often associated with pain/headache; most frequently it is seen as a consequence of carotid artery dissection or during cluster headache. Anhidrosis is rarely prominent, and in the postganglionic subtype it is virtually absent. Pharmacological tests can be used in diagnostics. Apraclonidine seems to be a good alternative to cocaine to confirm Horner’s syndrome. MRI is generally recommended in the evaluation, if necessary with special sequences.

    Interpretation.

    The path of the long oculosympathetic fibers is complex and not fully understood. Topographic diagnostics may be challenging, but in most cases a specific cause is identified.

    Artikkel

    Formålet med denne oversiktsartikkelen er å minne om et symptomkompleks som er relativt sjeldent, men som er relevant for flere medisinske og kirurgiske spesialiteter. Horners syndrom er en triade av symptomer (ensidig ptose, miose og hemifacial anhidrose) forårsaket av en skade eller dysfunksjon av den sympatiske innervasjonen til hodet og øyet. Årsakene til slik unilateral okulosympatisk parese (OSP) er tallrike, både godartede og ondartede, og de kan være lokalisert en rekke steder. Hos opptil 1/3 forblir årsaken ukjent (1). Bilateral okulosympatisk parese forekommer sjeldent, men det er rapportert ved systemiske autonome nevropatier (spesielt hos diabetikere) og ved cervikal spinal skade (2). Denne artikkelen vil redegjøre for relevant anatomi ved Horners syndrom og for diagnostisk evaluering av tilstanden.

    Materiale og metode

    Materiale og metode

    Artikkelen bygger på et skjønnsmessig utvalg av litteratur som ble funnet via ikke-systematisk søk i PubMed, samt på egne erfaringer som nevrolog med spesiell interesse for temaet. Pasientene som presenteres har samtykket til at bilder og sykehistorier publiseres.

    Historikk

    Historikk

    Den sveitsiske legen Johan Friedrich Horner (1831 – 86) beskrev i 1869 en 40 år gammel kvinne som hadde hodepine og som var rød, tørr og varm i høyre ansiktshalvdel. Det virket som om høyre øye var litt innsunket og i tillegg hadde hun lett hengende øyelokk og anisokori med minst pupill på denne siden. Horner konkluderte med at symptomkomplekset måtte skyldes en lammelse i den sympatiske grensestrengen på halsen (3, 4). Dette udødeliggjorde hans navn, men det bør nevnes at den franske fysiologen Claude Bernard (1813 – 1878) allerede i 1852 hadde beskrevet et tilsvarende syndrom hos forsøkskaniner som fikk skåret over sympatiske fibre på halsen, og at Silas Weir Mitchell (1829 – 1914) i 1864 beskrev en isolert Horner-triade hos en 24 år gammel soldat med skuddskade i halsen (5).

    Den norske øyelegen Johan Georg Ræder (1889 – 1956) var en av de første som beskrev et sentralt Horners syndrom. I 1918 rapporterte han i Norsk Magazin for Lægevidenskaben (6), og senere i Brain (7), om en ung mann som i måneder hadde hatt smerter i og rundt venstre øye. Pasienten hadde Horners syndrom, og i tillegg var det objektive tegn til affeksjon av trigeminusnerven. Det viste seg at pasienten hadde en tumor på skallebasis i fossa media, eller «paratrigeminalt» som foreslått av Georg Monrad-Krohn (1884 – 1964). Ræders syndrom er i dag erstattet med paratrigeminalt (okulosympatisk) syndrom. Idiopatiske former forekommer, men carotispatologi (disseksjon) overses nok i en del tilfeller (8). Smertefullt inkomplett Horners syndrom som forekommer daglig i perioder på uker skyldes sannsynligvis klasehodepine (pasient 1).

    Den okulosympatiske banen og pupillen

    Den okulosympatiske banen og pupillen

    Tradisjonelt beskrives den okulosympatiske banen (som strengt tatt ikke er en velavgrenset bane) som en seriekobling av tre sett nerveceller (fig 1). Den starter som et sentralt (1. ordens) nevron i hypothalamus. Dets akson ender høyt i ryggmargen. Herifra fortsetter et preganglionært (2. ordens) nevron med et akson som, via ventrale spinalrot og den sympatiske grensestrengen, ender i ganglion cervicale superius på halsen der det danner synapser med flere 3. ordens nevroner. Aksonene til disse ender blant annet i pupillen. Oppbygningen og forløpet av den okulosympatiske banen er ikke fullstendig forstått og er langt mer komplisert enn denne skjematiske fremstillingen. Det følgende er en noe mer detaljert beskrivelse:

    Sentral del

    Sentral del

    Isolert Horners syndrom ipsilateralt i forhold til skaden i hypothalamus har vært rapportert en rekke ganger. Hos én pasient var det også en liten ipsilateral lesjon i insula (9). Informasjon av emosjonell og sensorisk karakter, spesielt via insula og amygdala, ender i posterolaterale del av hypothalamus, og nyere data tyder på at den sentrale delen også inkluderer nevroner fra cerebral cortex (10, 11). Fra hypothalamus går det fibre til hjernestamme og ryggmarg. Blant annet er det projeksjoner til laterale parabrakiale kjerne i øvre og midtre del av hjernestammen samt til nucleus solitarius i dorsomediale del av medulla oblongata. Disse kjernene er igjen tett forbundet med ventrolaterale medulla (VLM). Signaler fra øvre del av ventrolaterale medulla formidles videre via aksoner lateralt i ryggmargens sidehorn (den intermediolaterale cellesøylen) til nivå C8-Th3 der de preganglionære fibrene har sitt utspring (Budges ciliospinale senter). Det er verdt å merke seg at fibrene er ukrysset og at en skade derfor sitter ipsilateralt til de kliniske manifestasjonene.

    Ved sentral årsak påvirkes vanligvis svettingen i hele hodet, halsen, arm og overkropp på den affiserte siden. Anhidrosen overskygges imidlertid ofte av andre symptomer og tegn. En sjelden gang ses Horners syndrom ved større skade i hjernen, som ved store mediainfarkter eller blødninger i thalamus. Av og til ses det ved mindre skader i øvre og midtre del av hjernestammen, men oftest er det assosiert med infarkt i laterale del av medulla oblongata (9). Det utgjør da en del av det klassiske symptomkomplekset Wallenbergs syndrom (pasient 2). Ikke bare ved vaskulære katastrofer, men også ved demyeliniserende sykdom og annen betennelsessykdom, romoppfyllende prosesser (svulster), syringomyeli/-bulbi og traumer mot nakkeregionen kan et sentralt Horners syndrom forekomme, da nesten alltid i en konstellasjon med andre nevrologiske symptomer og funn.

    Preganglionær del

    Preganglionær del

    Fibrene til øyet forlater primært ryggmargen i nivå Th1, mens fibrene som regulerer svette (sudomotoriske) og årene i huden (vasomotoriske) i ansiktet går ut nedenfor i nivå Th2-Th3. Samtlige 2. ordens nevroner følger spinale ventralrøtter i de respektive nivåer og forlater columna spinalis som en del av spinalnerven, men forlater også denne nesten umiddelbart og går inn den sympatiske grensestrengen like lateralt for ryggvirvellegemet, i ganglion stellatum (uten å danne synapser), og fortsetter fra øvre åpning av brystkassen opp halsen til ganglion cervicale superius, som ligger i nivå med carotisbifurkaturen (C2-C3). Det er viktig å merke seg de preganglionære fibrenes forløp (fig 1a): tett inntil columna vertebralis, over apex av lungen og i nær relasjon til øvre ribbein, arteria carotis communis, arteria subclavia og vena subclavia samt thyroidea (10).

    Patologi i samtlige av disse strukturene kan ved påvirkning av grensestrengen gi Horners syndrom med varierende grad av anhidrose. Direkte traume mot ryggmarg eller drag på plexus brachialis kan skade ventrale røtter og gi sympatiskusaffeksjon. Spontan pneumothorax er en velkjent (12), men uvanlig årsak (pasient 3). En rekke iatrogene årsaker er også beskrevet (kanylering av v. subclavia, halskirurgi, thoraxdren m.m.). Det kan sågar forekomme ved vanlig epiduralanestesi (anestetikumet vandrer kranialt) (13). Klassisk er det forårsaket av en tumor nær lungetoppen som gir nevrogen smerte i arm, atrofi i hånd, Horners syndrom og destruksjon av øvre ribbein, et syndrom beskrevet av Pancoast i 1932 (14). Det er imidlertid sjelden at isolert Horners syndrom er første tegn på malign sykdom (15), men det forekommer (pasient 4).

    Postganglionær del

    Postganglionær del

    Etter å ha forlatt ganglion cervicale superius tvinner 3. ordens nevroner seg rundt a. carotis interna i et plexus i adventitia (plexus caroticus). Slik følger de arterien helt gjennom sinus cavernosus før fibre langs arteria ophthalmica fortsetter inn i øyehulen og ender i Müllers muskel i øvre øyelokk (m. tarsalis superior/Mülleri) og mindre glatt muskulatur i nedre øyelokk (m. tarsalis inferior) samt til tårekjertelen. En annen del sender fibre i nervus nasociliaris (som kommer fra 1. gren av n. trigeminus) og innerverer m. dilatator pupillae. I forløpet gjennom sinus cavernosus følger de postganglionære sympatiske fibrene nervus abducens, og disseksjoner eller oppfylninger i dette området gir vanligvis ikke isolert okulosympatisk parese, men det kan forekomme. Affeksjon av 3. ordens nevroner fører sjelden til anhidrose. Dette skyldes at majoriteten av vaso- og sudomotoriske fibre følger a. carotis externa. Isolert anhidrose, manifestert som kontralateral ensidig facial rødme (flushing) og svette, kalles Harlequins syndrom (16) og er ofte godartet (16, 17). De fleste pasienter med isolert Horners syndrom har en lesjon av 3. ordens nevron. Smerte på halsen og/eller hodepine skyldes da gjerne carotisdisseksjon (pasient 5).

    Pupillen

    Pupillen

    Størrelsen på pupillen reguleres av den sympatisk innerverte m. dilatator pupillae, som består av radiært forløpende glatt muskulatur og en ring av glatt muskulatur, m. sphincter pupillae, som er parasympatisk innervert (fig 1). Som kjent er pupillens størrelse først og fremst avhengig av belysningen. I mørke vil pupillene dilatere som følge av kombinert sympatisk dilatatorkonstriksjon og sfinkterrelaksasjon. Ved mørkelegging av pupillene er en rask reflektorisk pupillutvidelse avhengig av sympatikus. En okulosympatisk skade vil derfor medføre at den affiserte pupillen vil bli mer avhengig av en passiv og langsom sfinkterrelaksasjon. Asymmetrien vil føre til en anisokori som er mest uttalt etter 4 – 5 sekunder. Først etter 10 – 20 sekunder slutter pupillen å dilatere. Fenomenet kalles redilatasjonsforsinkelse (redilatation lag) og er et kjennetegn på Horners syndrom.

    Utredning og diagnostikk

    Utredning og diagnostikk

    Det kan være vanskelig å skille en reell okulosympatisk skade fra såkalt pseudo-Horners syndrom. En liten forskjell i størrelsen på de to pupillene (> 0,4 mm) i et normalt individ er ikke uvanlig (hos opptil 20 %) (18). Normale, men «tunge øyelokk» kan også gi inntrykk av ptose. Patologisk nedhengende øyelokk skyldes svekket m. tarsalis eller m. levator palpebra, og kan ha flere årsaker, men ensidig lett ptose assosiert med ipsilateral miose skyldes sjelden annet enn okulosympatisk parese.

    Kliniske funn

    Kliniske funn

    Miose. De mest karakteristiske funnene er en relativ miose av pupillen og en anisokori som fremtrer tydeligst i dempet belysning (pasient 3). Ved direkte og indirekte belysning vil man vanligvis finne normal pupillreaksjon, men redilatasjonsforsinkelse kan eventuelt observeres. Infrarødt lys (ved for eksempel pupillometri) vil avdekke at pupillen forblir relativt liten i komplett mørke.

    Ptose. Et lett nedhengende øyelokk, typisk et par millimeter, er karakteristisk. Man kan også observere lett elevasjon av nedre øyelokk, «opp-ned-ptose». Ptosen kan gi inntrykk av enoftalmus (pasient 1).

    Anhidrose. Avbrutt sympatisk innervasjon til ansiktets blodårer og svettekjertler vil kunne gi rødme (flushing) pga. vasodilatasjon, og tørrhet pga. manglende svetteutsondring. Denervasjonen vil imidlertid kunne gjøre blodårene supersensitive for sirkulerende adrenalin, og derfor er vanligvis ansiktshalvdelen med den sympatiske defekten blekest. Anhidrose er relativt sjeldent fremtredende, men når det observeres (skillet går eksakt i midtlinjen av ansiktet) eller påvises (termografi eller påføring av alizarinpudder), utelukker det vanligvis postganglionær skade. Unntaket er forstyrret facial rødme og svette i et lite område medialt i pannen. Det går nemlig noen få sudomotoriske fibre langs a. carotis interna. Disse når (via n. supraorbitalis) huden i dette området.

    Pupillometri

    Pupillometri

    I klinisk praksis er «det blotte øyet» ofte tilstrekkelig til å vurdere om det foreligger ptose og miose. Redilatasjonsforsinkelse kan også raskt og enkelt observeres uten spesielle hjelpemidler, men sensitiviteten er lav (15). Ved å bruke digitalt infrarødt pupillometer kan de dynamiske egenskapene til pupillene vurderes mer objektivt og vitenskapelig (19). Et raskt, standardisert lysstimulus vil utløse pupillrefleks, og ut fra hurtige digitale fotografier av pupillresponsen kan en rekke verdier kalkuleres. Sen dilatasjon (økt redilatasjonstid) ses typisk ved sympatisk defekt.

    Farmakologisk testing

    Farmakologisk testing

    I de fleste lærebøker og artikler som omhandler topografisk diagnostikk ved Horners syndrom, for eksempel en artikkel i dette tidsskriftet for knappe 20 år siden (20), er det inngående omtale av bruk av øyedråper med kokain og amfetamin (fig 2). Selv om de har inngått som gullstandarder i studier av Horners syndrom, er de i praksis vanskelig å få tak i. Apraklonidin (Iopidine) er et anvendelig og godt alternativ til kokain (2). Utgangspunktet for farmakologisk testing er at dersom 3. ordens okulosympatiske nevron skades, vil noradrenalin (NA) forsvinne fra den nevromuskulære synapsekløften og α₁-reseptor i den glatte dilatatormuskulaturen vil ikke bli stimulert. Det vil imidlertid kunne skje en oppregulering av α₁-reseptorer slik at det oppstår hypersensitivitet for stimulering med noradrenerge legemidler (18). Ved 1.- eller 2.-ordens okulosympatisk parese vil 3. ordens nevroner fortsatt frigjøre noradrenalin, men i reduserte mengder.

    Kokainøyedråper, som regel i 4 % løsning, kan skaffes via de fleste sykehusapotek. Stoffet virker indirekte sympatomimetisk ved å binde seg til et transporterprotein i den sympatiske nerveenden og redusere reopptak av noradrenalin fra synapsespalten slik at det blir økt stimulering av α₁-reseptorer og dermed pupilldilatasjon. Maksimal effekt ses etter ca. tre kvarter. På grunn av opphevet eller redusert noradrenalinfrigjøring ved okulosympatisk parese vil pupillen ved Horners syndrom forbli uendret. Sensitiviteten er imidlertid lav, og testen kan ikke differensiere mellom 1., 2. og 3. ordens lesjon.

    Hydroksyamfetaminøyedråper (1 %) får intakte 3. ordens sympatiske nevroner til å tømme lagret noradrenalin fra endeterminalen. Dersom kokaintest allerede har bekreftet Horners syndrom, vil altså en dilaterende pupill etter amfetamintest indikere sentral- eller preganglionær skade, mens manglende respons taler for postganglionær skade. Testen må utføres 1 – 2 døgn etter kokaintest og har da relativt god diagnostisk nøyaktighet. Det er vanskelig å få tak i hydroksyamfetamin, og testen er derfor lite praktisk.

    Apraklonidinøyedråper (0,5 %) synes å være et relativt pålitelig alternativ til kokain for å bekrefte at det foreligger et Horners syndrom (2). Ut fra klinisk erfaring fungerer det utmerket. Effekten baserer seg på en hypersensitiv dilatator i iris pga. denervasjon (se ovenfor). I akuttfasen, før α₁-reseptorer er oppregulert, vil derfor falskt negative resultater forekomme. Apraklonidin er en direkte alfaagonist med svak α₁-aktivitet, men sterk α₂-aktivitet. I et normalt øye vil α₂-stimulering tendere til å redusere nivået av noradrenalin, og effekten av α₁-stimuleringen er ikke tilstrekkelig til å dilatere pupillen. En hypersensitiv pupill ved Horners syndrom vil imidlertid dilatere. Faktisk vil man kunne reversere anisokorien slik at pupillen med Horners syndrom blir størst. En eventuelt reversering av ptosen kan også forekomme (pasient 6).

    Radiologi

    Radiologi

    Det finnes ingen klare retningslinjer for hvordan et Horners syndrom bør utredes. Ved en sentral skade vil som oftest assosierte symptomer og tegn bidra til å lokalisere årsaken, og MR av cerebrum eller cervikotorakalmedulla vil avdekke den. Også ved preganglionær skade, som oftest forårsaket av traume eller tumor, vil ledsagende symptomer og tegn være veiledende. I fravær av traume bør et nyoppstått Horners syndrom assosiert med ipsilateral skulder-/armsmerte gi mistanke om okkult malignitet. Ved mistanke om lesjon i lunge, mediastinum eller ventralt på hals vil CT med kontrast ofte være tilstrekkelig for å lokalisere lesjonen. MR kan imidlertid bli nødvendig dersom det er mistanke om affeksjon av cervikalcolumna eller plexus brachialis.

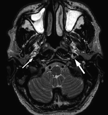
    De fleste isolerte Horners syndrom er postganglionære og kan volde diagnostisk hodebry. Carotisdisseksjon er en av de viktigste årsakene som bør utelukkes. Utredning med MR-angiografi er å foretrekke fremfor CT (og ultralyd), da disse undersøkelsene er for lite sensitive, spesielt ved disseksjoner i nærheten av skallebasis (21). Også konvensjonell angiografi kan være utilstrekkelig dersom lumen av karet ikke innsnevres (22). Horners syndrom ledsaget av parese i 3., 4., 5. eller 6. hjernenerve gir mistanke om lesjon i sinus cavernosus, i det paratrigeminale området eller i orbitale apex. Ved mistanke bør man utføre grundige, fokuserte MR-undersøkelser av disse områdene.

    Alle pasientene har gitt samtykke til at artikkelen blir publisert.

    Kommentarer  ( 0 )
    PDF
    Skriv ut

    Anbefalte artikler