Background.
Supracondylar humerus fractures are common in children. Severe complications are rare. We present an overview of treatment options and prognosis.
Material and methods.
The article is based on a non-systematic search in PubMed and experience from our own clinical research.
Results.
The injury is usually caused by falling from a height with the arm in extension. The mean age is about 6 years. Undisplaced fractures are treated conservatively with a cast. Displaced fractures should not be treated with a cast alone, as this may cause malunions and permanent neurovascular complications. The rate of complications after traction of displaced fractures is substantially lower than for immobilisation in cast alone. Traction and percutaneous pinning yield similar results, but percutaneous pinning is less expensive−mainly because it shortens the hospital stay. In addition, the risk of cubitus varus deformity seems to be reduced. Today the treatment of choice is closed reduction and percutaneous pinning. Choice of pin configuration is at the surgeon’s discretion. Crossed pins are more common than two lateral pins, although medial pins can affect the ulnar nerve. However, the affection is almost always transient. Deep infection after percutaneous pinning is very rare.
Interpretation:
Percutaneous pinning of displaced supracondylar humerus fractures in children is cheap and the results are good.
Suprakondylær humerusfraktur er det vanligste bruddet ved albuen hos barn, og representerer omkring 5 % av alle brudd blant barn under 16 år (1, 2). Det er litt flere gutter enn jenter blant pasientene, og venstre side affiseres oftere enn høyre (3, 4). I de fleste publikasjoner er gjennomsnittsalderen ved skadetidspunktet ca. seks år (5). Den lave alderen kan forklare hvorfor de fleste bruddene forekommer under lek og ikke i forbindelse med organisert idrett. Skademekanismen er som regel fall på strak arm fra en høyde (3). Når albuen er ekstendert, ligger olecranon låst i fossa olecrani i distale del av humerus. Underarmen vil dermed virke som en brekkstang som forårsaker fraktur anteriort i distale humerus rett proksimalt for festet til leddkapselen. Dette fører til en ekstensjonsfeilstilling av distale fragment. Fleksjonsfeilstilling er sjeldent, og skyldes som regel direkte traume mot flektert albue. Trampolinerelaterte skader har økt det siste tiåret, og skadeomfanget er beskrevet i flere studier, også fra Norge (6). Forekomsten av brudd generelt blant barn ser ut til å øke i den vestlige verden (2, 7). Det er uklart om mer bruk av trampoline bidrar til denne økningen, eller om denne aktiviteten har erstattet andre skademekanismer.
Formålet med denne artikkelen er å gi en oversikt over behandlingsalternativer og prognose for suprakondylære humerusfrakturer hos barn.
Materiale og metode
Artikkelen er basert på erfaring fra egen forskning og et ikke-systematisk søk i PubMed. Det er gjort et utvalg av artikler fra søket og av referansene i disse artiklene.
Klassifikasjon
Suprakondylære humerusfrakturer hos barn klassifiseres i dag etter Gartlands klassifikasjon (fig 1) (8). Denne klassifikasjonen har god intra- og interobservatør reliabilitet (9). Gartland type 1 er en udislokert fraktur. Type 2 er en dislokert fraktur med intakt bakre cortex. Disse frakturene er av ren ekstensjonstype, ettersom den posteriore cortex stabiliserer bruddet i rotasjon. Type 3 er en helt dislokert fraktur uten kontakt mellom bruddfragmentene og har ofte rotasjonsfeilstilling i tillegg til ekstensjonsfeilstilling. Disse bruddene er assosiert med nevrovaskulær skade. Det er rapportert pulsløs ekstremitet i opptil 20 % av Gartland type 3-frakturer (4).
Behandling av udislokerte brudd
Behandlingen av udislokerte brudd er konservativ og gir nesten aldri komplikasjoner (10). Ved vår avdeling gipses albuen i 90° i tre-fire uker (avhengig av alder), med røntgenkontroll etter en uke.
Behandling av dislokerte brudd
Dislokerte brudd har historisk sett vært forbundet med til dels alvorlige komplikasjoner. Stor hevelse og karskade kan føre til kompartmentsyndrom, iskemi og Volkmanns kontraktur. I tillegg var forekomsten av feilstilling (cubitus varus) høy (11).
Lukket reponering og fiksering i gips eller fatle
Tradisjonelt har behandlingen vært lukket reponering og fiksering i gips eller fatle. For å holde det distale fragmentet reponert må albuen flekteres i over 90° i gips. Denne behandlingen gir relativt mange komplikasjoner, der cubitus varus-feilstilling i albuen (fig 2) er den vanligste og kompartmentsyndrom med påfølgende Volkmanns iskemi den mest alvorlige (12). Dessverre er denne metoden fortsatt vanlig i flere deler av verden (13).
Åpen kirurgi
Åpen kirurgi har vært forbundet med stivt ledd, myositis ossificans, vekstforstyrrelser og infeksjoner, samt iatrogene nevrovaskulære komplikasjoner og er derfor ikke å anbefale (8, 14).
Strekkbehandling
I 1939 beskrev Dunlop lateral strekkbehandling og viste til gode resultater (15). Strekkbehandling kan enten gjøres med armen strukket ut lateralt (3, 15) eller over hodet på pasienten (16) – (18). Metoden gir ingen risiko for iatrogen nevrovaskulær skade. Den gir redusert risiko for kompartmentsyndrom med påfølgende Volkmanns kontraktur sammenliknet med gipsbehandling alene (10, 16). Ulempen er lang liggetid i sykehus (2 – 3 uker). Resultater etter strekkbehandling er undersøkt retrospektivt ved Telemark sentralsykehus (16). 26 barn ble etterundersøkt klinisk gjennomsnittlig sju år etter skaden. 15 barn var behandlet med vertikalt olecranonstrekk og 11 med lukket reposisjon og gips. Det var ingen nevrovaskulære komplikasjoner. Selv om pasientmaterialet er lite, fant forfatterne at strekkbehandlingen ga mindre reduksjon av den normale valgusstillingen i albuen enn behandling med lukket reponering og gips.
Perkutan pinneteknikk
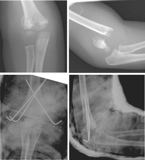
Perkutan pinneteknikk ble beskrevet første gang av Judet i 1947 (19), og er den dominerende behandlingsmetoden i verden i dag (14, 20) – (22). Bruddet reponeres lukket og fikseres med Kirschner-pinner som føres inn perkutant. Pinnene settes enten i kryss fra hver kondyl og opp i diafysen, eller kun fra lateralsiden. I tillegg immobiliseres bruddet i gips. I Skandinavia har man hatt lang tradisjon for både strekkbehandling og perkutan pinneteknikk (10, 23). Fordelen med perkutan pinning sammenliknet med immobilisering i gips alene er bedre kontroll over bruddfragmentene, og dermed bedre reposisjon uten å måtte immobilisere albuen så flektert at faren øker for kompartmentsyndrom i anteriore fossa med risiko for påfølgende Volkmanns kontraktur (24). Det er vist at at perkutan pinning er billigere enn strekkbehandling pga. kortere liggetid i sykehus, og at behandingsmetoden gir lavere risiko for varusfeilstilling (21). Ulempene ved metoden er hovedsakelig pinneinfeksjon og risiko for iatrogen skade av nevrovaskulære strukturer, hovedsakelig n. ulnaris ved bruk av medial pinne (25). Dyp infeksjon er meget sjeldent, og forekommer i under 0,2 % av tilfellene (26). Antibiotikaprofylakse i forbindelse med operasjonen er derfor ansett som unødvendig og blir ikke gitt rutinemessig (26).
Det er uenighet i litteraturen om den optimale pinneplasseringen. En kadaverstudie fra 1994 utført av Zionts og medarbeidere viste at kryssende pinner er mer biomekanisk stabile enn to laterale pinner (27), men man har ikke kunnet påvise klinisk konsekvens av dette (20, 22, 28). Hovedargumentet mot kryssende pinner er risiko for skade på n. ulnaris (29). Komplette utfall av n. ulnaris forekommer sjelden, og skyldes som regel skade på nerven i forbindelse med frakturen eller reposisjonen. Mindre alvorlige utfall/nevrapraksi går som regel tilbake etter fjerning av pinnen (26, 30). En metaanalyse fra 2007 konkluderte med at valg av pinnekonfigurasjon betyr lite for komplikasjonsrisikoen og kan derfor være opp til den enkelte kirurg (25). På Akershus universitetssykehus har vi som rutine å bruke kryssede pinner. Det er uklart hvor mange pinner som er nødvendig (31). I de fleste studier har man benyttet to pinner som standard, og latt kirurgen vurdere behovet for flere pinner peroperativt. I et retrospektivt materiale på 112 brudd fra Akershus universitetssykehus var 67 % operert med to kryssede pinner, 26 % med tre pinner (to laterale og en medial) og 5 % med fire pinner (to laterale og to mediale) (5).
Komplikasjoner
Volkmanns iskemi
Den mest alvorlige komplikasjonen, Volkmanns iskemi med påfølgende kontraktur, kan inntreffe etter kompartmentsyndrom i fossa cubitalis som følge av blødning fra a.brachialis eller postiskemisk ødem. Permanente sekveler etter karskader ved suprakondylære humerusfrakturer er likevel en sjeldenhet i dag. I perioden 2001 – 07 mottok Rikshospitalet kun fem barn med sirkulasjonssvikt etter suprakondylære humerusfrakturer som var blitt behandlet ved andre sykehus med lukket reposisjon og pinning (32). Disse ble eksplorert og a. brachialis ble funnet interponert i frakturen hos alle. Ved klinisk etterundersøkelse mer enn ett år senere hadde alle normal symmetrisk funksjon i overekstremitetene, inkludert normal nevrovaskulær status og bevegelsesutslag.
Nevrovaskulære utfall preoperativt er et varsel om potensiell karskade. Det er konsensus om at angiografi ikke er indisert i tilfeller med nevrovaskulære utfall, ettersom dette tar tid og ikke endrer behandlingen (33). Dersom ekstremiteten er pulsløs, skal man forsøke lukket reponering og perkutan pinning så raskt som mulig (34). Fraværet av puls kan skyldes trombose, karskade, aneurisme eller at a. brachialis er skadet eller fastklemt i bruddet (32, 35) – (37), men skyldes som regel karspasme (38). I de aller fleste tilfellene vil pulsen komme tilbake når bruddet reponeres (fig 3). Noen forfattere anbefaler å eksplorere fossa cubitalis dersom ekstremiteten forblir pulsløs etter reponering og pinning av frakturen (35). Reigstad og medarbeidere anbefaler eksplorering av arterien i alle tilfeller der ekstremiteten forblir pulsløs også etter rereponering av frakturen (32). Behovet for eksplorering av en pulsløs, kald og hvit ekstremitet er åpenbar, mens det er noe diskusjon vedrørende håndteringen av en pulsløs, men varm og rosa hånd (39). I en systematisk oversiktsartikkel om emnet ble det konkludert med at behandlingen avhenger av kliniske funn, og at det er forsvarlig å avvente eksplorering av en varm, men pulsløs ekstremitet (33). Det er imidlertid nødvendig med grundig overvåking av armen, og nye tegn på iskemi bør føre til rask eksplorering av arterien.
Cubitus varus
Cubitus varus er den vanligste permanente komplikasjonen etter suprakondylære humerusfrakturer hos barn, uansett behandlingmetode (fig 2). Andelen pasienter med cubitus varus synes å være høyere etter strekkbehandling enn etter perkutan pinneteknikk, selv om det ikke finnes randomiserte studier der man har sammenliknet metodene (21, 24). Ved Haukeland universitetssykehus gikk man over fra strekkbehandling til pinnefiksasjon i 1990-årene. Young og medarbeidere har etterundersøkt 46 pasienter som ble behandlet med strekk og 45 pasienter som ble behandlet med pinneteknikk ved Haukeland universitetssykehus (40). De fant ingen forskjell i andel komplikasjoner eller funskjonelt resultat mellom de to metodene, men strekkbehandling førte til lengre sykehusinnleggelse (gjennomsnittlig 11 dager mot to dager for pasienter behandlet med pinneteknikk). Forekomsten av cubitus varus etter perkutan pinning er i de fleste studier under 10 %, selv om så høyt som 14 % er rapportert (34). I et retrospektiv materiale fra Akershus universitetssykehus var det også en relativt høy andel varusfeilstillinger blant pasientene som møtte til etterundersøkelse (11 av 78 brudd, 14,1 %) (5). Pasientene hadde imidlertid få funksjonelle plager.
En engelsk studie av 291 frakturer rapporterte kun 3 % varusfeilstillinger etter perkutan pinning av slike brudd (41). Denne studien baserte seg imidlertid bare på gjennomgang av journalene, og pasientene ble ikke etterundersøkt. Det er nødvendig å etterundersøke pasientene for å avdekke forekomst av feilstillinger, ettersom de fleste har få plager og ikke kontakter helsevesenet. I studien fra Akershus universitetssykehus er det sannsynlig at pasientene med cubitus varus var overrepresentert i gruppen som møtte til kontroll. Pårørende kan ha sett på undersøkelsen som en anledning til å finne ut om tilstanden kunne behandles. Dersom en slik seleksjonsskjevhet har forekommet, vil vi likevel kunne anse våre behandlingsresultater som akseptable. Årsaken til cubitus varus er feiltilheling, og ikke vekstforstyrrelse, som man tidligere antok (42). Dette forklarer hvorfor cubitus varus observeres lenge før man ville forvente å kunne se klinisk feilstilling dersom årsaken hadde vært vekstforstyrrlese i mediale kondyl (14, 28, 43). En god reposisjon og adekvat fiksasjon er nøkkelen til å unngå tilstanden. Vi anbefaler å ekstendere armen forsiktig etter at frakturen er pinnet for å anslå cubitusvinkelen før man aksepterer osteosyntesen. Med lukket reposisjon og pinnefiksasjon av dislokerte frakturer er risikoen for å få en varusfeilstilling likevel så stor at pasienter og foreldre bør informeres om den i forbindelse med operasjonen. Feilstillingen kan være meget kosmetisk skjemmende, men fører som regel ikke til funksjonelle plager. Noen forfattere har imidlertid rapportert økt risiko for lateral kondylfraktur og posterolateral instabilitet ved stor cubitus varus (44, 45). Behandlingen er eventuelt korrigerende osteotomi, men det finnes i dag ingen konsensus om hvor store feilstillinger som kan aksepteres.
Diskusjon
Suprakondylære humerusfrakturer hos barn har i dag en meget god prognose. Perkutan pinning og fiksering i gips er en god og trygg metode som langt på vei har eliminert de tidligere fryktede komplikasjonene ved brudd med feilstilling.
Strekkbehandling var tidligere en vanlig behandling ved bruddskader, men er i dag i stor grad erstattet av invasive fiksasjonsmetoder. Nye implantater og miniinvasive teknikker som begrenser bløtvevsskader og arrdanning har ført til at stadig flere brudd opereres. En god osteosyntese tillater rask mobilisering, slik at man unngår stivhet, selv om dette ikke er noe stort problem hos barn. Ulempen er at mange metoder krever en ny operasjon for å fjerne osteosyntesematerialet. Vår praksis er å la pinnene stikke ut gjennom huden slik at de kan fjernes på poliklinikken. Tid med gips er 3 – 4 uker, avhengig av alder. Rutinemessig kontroll etter en uke er ikke nødvendig (46). Det er heller ikke nødvendig med fysioterapi etter avgipsing og pinnefjerning. Det er vist at over 90 % av bevegelsesutslaget i albuen kommer tilbake uten fysioterapi innen fem uker, og ytterligere forbedring kan forventes i opptil et år etter skaden (47, 48). Dette var også Gartlands kliniske erfaring. I sin klassiske artikkel fra 1959 skriver han: «Formal physical therapy is not required (…) Children possess their own special brand of magic and will regain full function if left to their own devices» (8).
I de kirurgiske fag har man i økende grad innsett at operasjoner utført om natten gir høyere risiko for komplikajsoner (49). Gartland 3-frakturer hos barn er likevel en fraktur som tradisjonelt er blitt operert så fort som mulig, også om natten. Det ortopediske miljøet har i de seneste årene debattert hvorvidt tid til operasjon affiserer resultatet. Flere retrospektive serier viser ingen forskjell i perioperative komplikasjoner eller behov for åpen reposisjon mellom pasienter operert før sammenliknet med pasienter operert etter at det har gått åtte timer fra skadetidspunktet. Noen forfattere hevder at det er trygt å vente til neste dag med å operere selv helt dislokerte (Gartland 3) frakturer (50) – (52). En artikkel presenterte 11 pasienter som utviklet kompartmentsyndrom etter en lukket, nevrovaskulær intakt suprakondylær humerusfraktur (53). Pasientene var identifisert i datasystemene til åtte sykehus i tre land i perioden 1995 – 2005. Gjennomsnittlig tid til operasjon fra skadetidspunktet var 22 timer.
Dette viser at alvorlige komplikasjoner kan forekomme også etter tilsynelatende ukompliserte frakturer, selv om det forekommer meget sjelden. En systematisk metaanalyse av Loizou og medarbeidere konkluderte med at Gartland 3-rakturer bør opereres innen 12 timer (54). I materialet fra Akershus universitetssykehus var verken lang tid fra skade til operasjon eller operasjon på natten assosiert med mindre tilfredshet (5). Det er likevel risikabelt å endre praksis basert på retrospektive studier ettersom det er en stor fare for seleksjonsskjevhet. Bruddene som vakthavende lege valgte å operere om natten, kan ha skilt seg vesentlig ut fra dem som ble operert dagen etter. I vår studie fant vi at Gartland 3-frakturene ble operert raskere og av mer erfarne kirurger enn Gartland 2-rakturene (5). Vi slutter oss derfor til andre forfattere som fremdeles anbefaler å vurdere operasjon så raskt som mulig, spesielt ved stor dislokasjon og nevrovaskulære utfall (53) – (56).
Oppgitte interessekonflikter:
Ingen
Tabell
| Hovedbudskap |
|
- 2.
Hedström EM, Svensson O, Bergström U et al. Epidemiology of fractures in children and adolescents. Acta Orthop 2010; 81: 148 – 53. [PubMed]
- 3.
Piggot J, Graham HK, McCoy GF. Supracondylar fractures of the humerus in children. Treatment by straight lateral traction. J Bone Joint Surg Br 1986; 68: 577 – 83. [PubMed]
- 4.
Pirone AM, Graham HK, Krajbich JI. Management of displaced extension-type supracondylar fractures of the humerus in children. J Bone Joint Surg Am 1988; 70: 641 – 50. [PubMed]
- 8.
Gartland JJ. Management of supracondylar fractures of the humerus in children. Surg Gynecol Obstet 1959; 109: 145 – 54. [PubMed]
- 11.
Mann TS. Prognosis in supracondylar fractures. J Bone Joint Surg Br 1963; 45: 516 – 22. [PubMed]
- 12.
Henrikson B. Supracondylar fracture of the humerus in children. A late review of end-results with special reference to the cause of deformity, disability and complications. Acta Chir Scand Suppl 1966; 369: 1 – 72. [PubMed]
- 13.
Bhende HS. Clinical measurement of varus-valgus deformity after supracondylar fracture of the humerus. J Bone Joint Surg Br 1994; 76: 329 – 30. [PubMed]
- 14.
Flynn JC, Matthews JG, Benoit RL. Blind pinning of displaced supracondylar fractures of the humerus in children. Sixteen years’ experience with long-term follow-up. J Bone Joint Surg Am 1974; 56: 263 – 72. [PubMed]
- 15.
Dunlop J. Transconcylar fractures of the humerus in childhood. J Bone Joint Surg Am 1939; 21: 59 – 73.
- 16.
Aamodt A, Gronmark T. Suprakondylære humerusfrakturer hos barn. Tidsskr Nor Lægeforen 1991; 111: 1240 – 2. [PubMed]
- 17.
Kramhøft M, Keller IL, Solgaard S. Displaced supracondylar fractures of the humerus in children. Clin Orthop Relat Res 1987; nr. 221: 215 – 20. [PubMed]
- 18.
Rodriguez Merchan EC. Supracondylar fractures of the humerus in children: treatment by overhead skeletal traction. Orthop Rev 1992; 21: 475 – 82. [PubMed]
- 19.
Judet J. Traitement des fractures épiphysaires de l'enfant par broche transarticulaire. Mem Acad Chir (Paris) 1947; 73: 562 – 6. [PubMed]
- 20.
Foead A, Penafort R, Saw A et al. Comparison of two methods of percutaneous pin fixation in displaced supracondylar fractures of the humerus in children. J Orthop Surg (Hong Kong) 2004; 12: 76 – 82. [PubMed]
- 21.
Prietto CA. Supracondylar fractures of the humerus. A comparative study of Dunlop’s traction versus percutaneous pinning. J Bone Joint Surg Am 1979; 61: 425 – 8. [PubMed]
- 22.
Topping RE, Blanco JS, Davis TJ. Clinical evaluation of crossed-pin versus lateral-pin fixation in displaced supracondylar humerus fractures. J Pediatr Orthop 1995; 15: 435 – 9. [PubMed]
- 24.
France J, Strong M. Deformity and function in supracondylar fractures of the humerus in children variously treated by closed reduction and splinting, traction, and percutaneous pinning. J Pediatr Orthop 1992; 12: 494 – 8. [PubMed]
- 25.
Brauer CA, Lee BM, Bae DS et al. A systematic review of medial and lateral entry pinning versus lateral entry pinning for supracondylar fractures of the humerus. J Pediatr Orthop 2007; 27: 181 – 6. [PubMed]
- 26.
Bashyal RK, Chu JY, Schoenecker PL et al. Complications after pinning of supracondylar distal humerus fractures. J Pediatr Orthop 2009; 29: 704 – 8. [PubMed]
- 27.
Zionts LE, McKellop HA, Hathaway R. Torsional strength of pin configurations used to fix supracondylar fractures of the humerus in children. J Bone Joint Surg Am 1994; 76: 253 – 6. [PubMed]
- 28.
Ariño VL, Lluch EE, Ramirez AM et al. Percutaneous fixation of supracondylar fractures of the humerus in children. J Bone Joint Surg Am 1977; 59: 914 – 6. [PubMed]
- 29.
Slobogean BL, Jackman H, Tennant S et al. Iatrogenic ulnar nerve injury after the surgical treatment of displaced supracondylar fractures of the humerus: number needed to harm, a systematic review. J Pediatr Orthop 2010; 30: 430 – 6. [PubMed]
- 30.
Brown IC, Zinar DM. Traumatic and iatrogenic neurological complications after supracondylar humerus fractures in children. J Pediatr Orthop 1995; 15: 440 – 3. [PubMed]
- 32.
Reigstad O, Thorkildsen R, Grimsgaard C et al. Supracondylar fractures with circulatory failure after reduction, pinning, and entrapment of the brachial artery: Excellent results more than 1 year after open exploration and revascularization. J Orthop Trauma 2010; e-publisert 16.11.2010. [PubMed] [CrossRef]
- 36.
Luria S, Sucar A, Eylon S et al. Vascular complications of supracondylar humeral fractures in children. J Pediatr Orthop B 2007; 16: 133 – 43. [PubMed]
- 38.
Harris IE. Supracondylar fractures of the humerus in children. Orthopedics 1992; 15: 811 – 7. [PubMed]
- 40.
Young S, Fevang JM, Gullaksen G, et al. Deformity and functional outcome after treatment for supracondylar humerus fractures in children: a 5- to 10-year follow up of 139 supracondylar humerus fractures treated by plaster cast, skeletal traction or crossed wire fixation. J Child Orthop 2010; 4: 445 – 53.
- 42.
Smith L. Deformity following supracondylar fractures of the humerus. J Bone Joint Surg Am 1960; 42: 235 – 52.
- 43.
D’Ambrosia RD. Supracondylar fractures of humerus–prevention of cubitus varus. J Bone Joint Surg Am 1972; 54: 60 – 6. [PubMed]
- 45.
O’Driscoll SW, Spinner RJ, McKee MD et al. Tardy posterolateral rotatory instability of the elbow due to cubitus varus. J Bone Joint Surg Am 2001; 83-A: 1358 – 69. [PubMed]
- 52.
Mehlman CT, Strub WM, Roy DR et al. The effect of surgical timing on the perioperative complications of treatment of supracondylar humeral fractures in children. J Bone Joint Surg Am 2001; 83-A: 323 – 7. [PubMed]