Høygradige gliomer hos voksne

    ()

    sporsmal_grey_rgb
    Abstract
    Bakgrunn.

    Bakgrunn.

    Høygradig gliom er en primær ondartet hjernesvulst som rammer ca. 200 norske pasienter hvert år. Artikkelen er en oppdatert oversikt over diagnostisering og behandling av høygradige gliomer hos voksne.

    Materiale og metode.

    Materiale og metode.

    Artikkelen er basert på gjennomgang av nyere relevant litteratur med utgangspunkt i ikke-systematiske søk i PubMed og forfatternes egne erfaringer med pasientgruppen.

    Resultater.

    Resultater.

    De vanligste symptomene ved høygradige gliomer er fokale nevrologiske utfall, epileptiske anfall og trykksymptomer. Pasientene må undersøkes med magnettomografi (MR) og diagnosen bekreftes ved biopsi. Det finnes per i dag ingen kurativ behandling av høygradig gliom. Standard behandling er kirurgisk reseksjon hvis mulig, etterfulgt av strålebehandling alene eller i kombinasjon med kjemoterapi (temozolomid). Prognosen er dårlig, med en femårsoverlevelse på 6,1 %.

    Fortolkning.

    Fortolkning.

    Diagnosebildet er sammensatt, med både nevrologiske symptomer og kognitive problemer. Dette krever god kommunikasjon med pasienten og tett samarbeid mellom de ulike avdelingene og primærhelsetjenesten. Symptomatisk behandling og tverrfaglig oppfølging er helt nødvendig.

    Abstract

    Background.

    High-grade glioma is a primary malignant brain tumour which affects about 200 Norwegian patients each year. Diagnosis and treatment of high-grade gliomas in adults has been reviewed.

    Material and methods.

    The article is based on recent literature retrieved through a non-systematic search in PubMed and the authors’ experience with the patient group.

    Results.

    The most common symptoms are focal neurological deficits, epileptic seizures and pressure symptoms. The patients should be examined by magnetic resonance (MR) imaging and the diagnosis confirmed with biopsy. No curative treatment is currently available for high-grade gliomas. The standard treatment is surgical resection followed by radiation therapy alone or in combination with chemotherapy (temozolomid). Five-year survival is only 6.1 %.

    Interpretation.

    The diagnosis is composite with both neurological symptoms and cognitive problems. This requires good communication with the patient and close cooperation between various departments and the primary health services. Symptomatic treatment and multidisciplinary follow-up is necessary.

    Artikkel

    Hvert år får ca. 200 norske pasienter over 15 år diagnosen høygradig gliom (HGG), en ondartet hjernesvulst med et aggressivt vekstmønster (1). Denne typen svulster har fortsatt en svært dårlig prognose. Forløpet kan likevel strekke seg over flere år, og dette stiller store krav til oppfølging og symptomrettet behandling for å sikre så god livskvalitet som mulig. Til forskjell fra andre maligne primærsvulster gir ondartede hjernesvulster ikke bare fysiske symptomer, men påvirker ofte også direkte pasientenes emosjonelle og kognitive funksjonsnivå. Grundig og fortløpende kommunikasjon med pasient og pårørende er derfor essensielt.

    Nevroonkologi er et høyspesialisert medisinsk kompetanseområde som omfatter både onkologi, nevrokirurgi, nevrologi, nevroradiologi og nevropatologi. Det beste tilbudet for pasienten involverer alle fem spesialiteter og tverrfaglige samarbeidspartnere.

    I det følgende gir vi en oppdatert oversikt over utredning, behandling og oppfølging av høygradig gliom og diskuterer sentrale momenter for å kunne gi et helhetlig helsetilbud til pasientgruppen.

    Materiale og metode

    Materiale og metode

    Artikkelen er basert på en gjennomgang av nyere relevant internasjonal litteratur med utgangspunkt i ikke-systematiske søk i PubMed samt forfatternes egne erfaringer med pasientgruppen.

    Symptomer og utredning

    Symptomer og utredning

    Høygradige gliomer vokser raskt og gir progredierende symptomer som utvikles i løpet av uker eller måneder. Fokale nevrologiske utfall, nyoppstått epilepsi, vedvarende nyoppstått eller endret hodepine eller mental endring hos en voksen bør gi mistanke om hjernesvulst (2). Det bør da gjøres magnetresonanstomografi (MR) med og uten kontrast. Hvis mistanken om hjernesvulst bekreftes, bør pasienten straks henvises til sykehus med spesialister i nevroradiologi og nevrokirurgi, som kan vurdere videre utredning. Blant annet er MR-spektroskopi (MRS) og diffusjonsvektet MR (DWI) nyttig for å skille høygradig gliom fra lavgradig gliom, hjerneinfarkt og hjerneabscess (3). Funksjonell MR (fMRI) og MR-traktografi (DTI) er nyttige preoperative undersøkelser hos pasienter med svulster i nær relasjon til språkområdene, motorisk hjernebark, synsbark og pyramidebanene (fig 1).

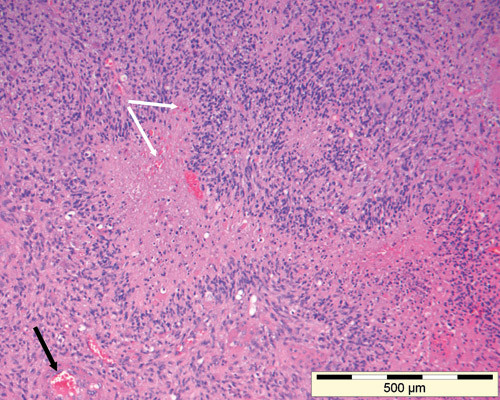
    Radiologisk diagnose er likevel beheftet med usikkerhet, og histologisk diagnose er derfor sentralt (3). Dersom beliggenhet eller pasientens tilstand forhindrer reseksjon av svulsten, bør man likevel tilstrebe å få tatt en biopsi. Frysesnitt fra svulsten kan vurderes peroperativt. Diagnosen sikres ved å mikroskopere fiksert vev som er innstøpt i parafin, skåret i tynne snitt og farget med histokjemiske og immunhistokjemiske metoder. Patologen må vurdere om biopsimaterialet er representativt, reaktivt eller neoplastisk, og om det dreier seg om en primær hjernesvulst eller en metastase (fig 2). Primære hjernesvulster klassifiseres etter histogenese (astrocytt-, oligodendroglia- eller ependymderivert svulst) og graderes i prognostisk øyemed etter WHO-klassifiseringssystemet (4). I dette systemet klassifiseres høygradige gliomer som grad III-IV.

    Epidemiologi

    Epidemiologi

    Høygradige gliomer er den vanligste av de primære ondartede hjernesvulstene hos voksne. Disse deles i fire undertyper: glioblastom, anaplastisk astrocytom, anaplastisk oligodendrogliom og anaplastisk oligoastrocytom. Glioblastom er den hyppigste undertypen av høygradig gliom og har også dårligst prognose. Tall fra Kreftregisteret viser at median alder ved diagnose høygradig gliom er 62 år (1), og lidelsen er hyppigst hos middelaldrende og eldre. Sekundært høygradig gliom kan oppstå ved malign transformasjon i et gliom med lavere malignitetsgrad (WHO-grad II–III) (malign transformasjon), og disse pasientene er ofte yngre.

    Insidensen er økende, og antallet nye pasienter per år har nær doblet seg siden 1980 (1). Dette skyldes hovedsakelig flere eldre i befolkningen og bedret diagnostikk, men endring i risikofaktorer kan ikke utelukkes.

    Prognose

    Prognose

    Data fra Kreftregisteret for perioden 2000 – 07 for histologisk bekreftede diagnoser viser median overlevelse for glioblastom på 9,1 måneder, og for anaplastisk astrocytom er median overlevelse på 18,4 måneder (1). Populasjonsbaserte data som dette viser kortere overlevelse enn kliniske studier fordi de inkluderer alle pasienter, både de over 70 år og pasienter med nedsatt funksjonsstatus og annen morbiditet.

    Behandling og prognostiske faktorer

    Behandling og prognostiske faktorer

    Det eksisterer per i dag ikke noen kurativ behandling for høygradige gliomer. Internasjonalt akseptert standardbehandling er kirurgisk fjerning av svulsten etterfulgt av strålebehandling og kjemoterapi (5) – (10). De viktigste prognostiske faktorene er alder, preoperativt nevrologisk funksjonsnivå, reseksjonsgrad og svulsttype (9).

    Ved denne diagnosen er det stor interesse for molekylærgenetiske markører med prognostisk betydning. De to viktigste markørene er 1p/19q-gendelesjon (markør for kjemosensitivitet og bedre prognose ved anaplastisk oligodendrogliom) (11), og metylert MGMT (markør for nedsatt reparasjonsevne i glioblastomceller under strålebehandling og kjemoterapi) (12).

    Kirurgisk behandling

    Kirurgisk behandling

    Høygradig gliom infiltrerer omkringliggende hjerne, og radikal kirurgi er ikke mulig. Man tilstreber å fjerne svulsten så radikalt som mulig, men med et godt funksjonelt resultat (fig 1). I praksis vil dette si at man fjerner den delen av tumoren som er synlig på kontrastforsterkede MR-bilder. Det er godt dokumentert at kirurgi gir forlenget overlevelse med bevart livskvalitet (10), og pasienten kan oftest mobiliseres raskt etter inngrepet. Når endelig histologisvar foreligger, tas det stilling til eventuell videre onkologisk behandling. Tradisjonelt har man vært tilbakeholden med kirurgisk behandling av høygradige gliomer hos eldre pasienter, men våre egne og andres data tyder på at også eldre i god allmenntilstand profitterer på operasjon og at den eldre aldersgruppen muligens underbehandles (13, 14).

    Onkologisk behandling

    Onkologisk behandling

    Fra slutten av 1970-årene er strålebehandling blitt brukt i behandlingen av høygradige gliomer. Postoperativ strålebehandling øker median overlevelse fra 4 – 6 måneder ved kirurgi alene til 10 – 11 måneder (15). Vanlig behandlingsregime er totaldose 54 – 60 Gy i fraksjoner på 1,8 – 2 Gy (30 behandlinger). Ved høy alder eller dårlig allmenntilstand gis kortere behandlingsregimer med totaldose opptil 30 – 45 Gy. Toleransen for strålebehandling er vanligvis god.

    Frem til for noen få år siden hadde kjemoterapi ingen plass i behandlingen av høygradige gliomer, men i 2005 ble det publisert en randomisert multisenterstudie som innledet en ny æra (5). I denne studien ble postoperativ strålebehandling (2 Gy × 30) alene sammenliknet med strålebehandling kombinert med det alkylerende medikamentet temozolomid til voksne pasienter med glioblastom. Toårsoverlevelsen var 11 % ved strålebehandling alene, men 27 % ved kombinasjonsbehandling. Forskjellen i overlevelse var signifikant også etter tre og fem års oppfølging (4 % versus 16 % etter tre år og 2 % versus 10 % etter fem år) (16).

    Postoperativ strålebehandling mot svulsten med margin i kombinasjon med temozolomid er nå standardbehandling for pasienter med glioblastom som er under 70 år og i god allmenntilstand. Ved god toleranse for konkomitant temozolomid gis deretter seks adjuvante kurer, standardregimet er fem dagers behandling hver 28. dag. Klinisk og radiologisk respons følges nøye under behandlingen. Foreløpig foreligger det ikke studier av kombinasjonsbehandling av pasienter over 70 år.

    Kombinasjonsbehandling med temozolomid er ennå ikke godkjent som standardbehandling ved anaplastisk gliom.

    I de første månedene etter avsluttet kombinasjonsbehandling kan MR vise økende og/eller nytilkommet kontrastopptak i bestrålt område, eventuelt med sentral nekrose. Dette kan radiologisk være svært likt svulstvekst, men er et uttrykk for behandlingsrespons. Tilstanden kalles pseudoprogresjon og forekommer hos 15 – 30 % av pasienter som har fått kombinasjonsbehandling. Pasienten er ofte klinisk stabil, og de radiologiske forandringene går tilbake innen noen måneder (17). Ved mistanke om tidlig residiv bør muligheten for pseudoprogresjon derfor alltid vurderes, og adjuvant behandling bør ikke avsluttes på basis av MR-funn alene. En sikker pseudoprogresjonsdiagnose kan kun stilles histologisk, men i praksis vil man ofte velge å følge det kliniske forløpet og avvente biopsi.

    Symptomatisk behandling

    Symptomatisk behandling

    25 – 40 % av pasientene med høygradig gliom har epileptiske anfall i sykdomsforløpet (18). Kirurgisk fjerning av svulstvev bedrer intrakraniale trykkforhold og reduserer ofte trykkrelaterte symptomer og epileptiske anfall. Pasienter som responderer godt på onkologisk behandling får ofte også færre epileptiske anfall (19). Pasienter som har hatt epileptiske anfall, bør likevel behandles med antiepileptika, fortrinnsvis midler som ikke har sedasjon eller kognitive problemer som bivirkning eller som kan påvirke beinmargen (18).

    Symptomforverring kan skyldes både svulstvekst og ødem. Deksametason reduserer peritumoralt ødem og har effekt innen 24–48 timer (19). Dette legemidlet har en rekke bivirkninger, og ved behandling over tid bør laveste effektive dose brukes (maksimal døgndose 16 mg). Dersom de nevrologiske utfallene skyldes svulstvekst mer enn ødem, vil effekten av deksametason være mindre. Sammenhengen mellom bruk av steroider og gastrointestinal ulcussykdom er omdiskutert, men antacida eller H₂-blokker anbefales ved høye steroiddoser og hos pasienter med høy risiko for å utvikle ulcus (19).

    Mange pasienter vil ha nytte av oppfølging av fysioterapeut, ergoterapeut, logoped og/eller (nevro)psykolog for å lære mestringsstrategier, opprettholde funksjon og forebygge komplikasjoner. Opptil 20 – 30 % av pasienter med høygradig gliom får tromboemboliske komplikasjoner, og tromboseprofylakse (støttestrømper, lavmolekylært heparin i profylaktiske doser) bør derfor vurderes hos immobiliserte pasienter (19). Tilrettelegging i hjemmet med hjelpemidler, assistanse ved transport og støtteapparat for pårørende er vesentlig. Økonomiske spørsmål og trygderettigheter er av stor betydning, og pasientene bør tilbys samtale med sosionom.

    Angst, depresjon og smerter forekommer hyppig, men er sannsynligvis underbehandlede symptomer hos pasienter med høygradig gliom. Terskelen bør være lav for å ta opp og behandle slike problemstillinger (20).

    Behandling ved residiv

    Behandling ved residiv

    Så godt som alle pasienter med høygradig gliom får residiv før eller senere. De aktive behandlingsalternativene ved residiv er fornyet svulstreseksjon, (stereotaktisk) rebestråling eller kjemoterapi. Ved betydelig svekket funksjonsnivå, tidlig residiv (< 6 måneder etter primæroperasjon) og/eller høy alder (> 70 år) velger man som regel å avstå fra aktiv residivbehandling.

    Det er ikke tvil om at enkelte pasienter har nytte av fornyet svulstreseksjon ved residiv (9). Rebestråling kan være aktuelt i enkelte tilfeller, spesielt hos yngre individer med høy Karnofsky-skår (> 60, dvs. at pasienten hovedsakelig er selvhjulpen), hvis opprinnelig strålevolum var lite og det har gått lang tid (minst 1 – 2 år) etter første strålebehandling. Strålebehandlingen kan enten gis med konvensjonell stråleteknikk (dose 30 – 35 Gy) eller med stereotaktiske teknikker (dose 15 – 20 Gy) med moderne lineærakselerator eller gammakniv (21, 22). I en metaanalyse med totalt 300 rebestrålte pasienter med glioblastom fant man en seks måneders progresjonsfri overlevelse hos opptil 39 % og klinisk bedring hos opptil 45 % (21). Strålenekrose opptrer hos opptil 30 % ved rebestråling, og denne risikoen må veies mot forventet gevinst av behandlingen.

    Pasienter i god allmenntilstand bør vurderes for systemisk behandling (vanligvis temozolomid), dersom ikke reoperasjon eller restråling er aktuelt. De fleste pasientene med høygradig gliom har tidligere fått temozolomid som en del av primærbehandlingen. Ved residiv innen åtte uker etter primærbehandling eller ved residiv under adjuvant del av primærbehandlingen kan dosekontinuerlig temozolomid vurderes (i lavere dose som gis daglig (7/7)). Ved residiv senere enn to måneder etter primærbehandlingen brukes standardregime (5/28) (23, 24).

    Høygradige gliomer er karrike svulster med en høy grad av angiogenese. Antiangiogenesebehandling som bevacizumab er derfor svært interessant. Fase 2-studier viser at bevacizumab, alene eller i kombinasjon med irinotecan, øker seks måneders progresjonsfri overlevelse hos pasienter med residiv, men gir ingen signifikant forlenget totaloverlevelse (25, 26). Fase 3-studier pågår nå, men bevacizumab er ennå ikke registrert for bruk ved residiv i Europa.

    Oppfølging

    Oppfølging

    Pasienter med høygradig gliom utgjør en heterogen gruppe. Det kliniske spekteret spenner fra unge pasienter som ofte lever med kreftdiagnosen i flere år og i perioder gjennomgår intensiv behandling, til eldre multimorbide pasienter med rask sykdomsprogrediering. Oppfølgingen må derfor i stor grad tilpasses den enkelte pasient. Både nevrokirurgiske, onkologiske og nevrologiske avdelinger involveres i varierende grad gjennom forløpet. En felles vurdering av et panel av involverte spesialister anbefales ved diagnosetidspunktet og ved behov gjennom forløpet.

    I perioder med stabil kreftsykdom kan pasientene likevel ha nevrologiske symptomer som krever oppfølging. Kognitive symptomer og epileptiske anfall er «skjulte» utfall som lett undervurderes, men som påvirker livskvaliteten i betydelig grad, ofte er uforenlig med sertifikat og kan begrense yrkesutøvelse og sosialt liv (27, 28). De kognitive symptomene forverres ofte ved sykdomsprogresjon (28). Tretthet, depresjon og bivirkninger av medikamenter og annen behandling påvirker også funksjonsnivået (27). Likevel viser studier at langtidsoverlevere (mer enn 16 måneders overlevelse etter diagnosetidspunkt) opplever å ha en akseptabel livskvalitet (27, 29) og at mange også utvikler strategier for å mestre sykdommen (30).

    Nevropsykologisk kartlegging og målrettet kognitiv rehabilitering er blitt et viktig tema i internasjonal nevroonkologi (31), og tilrettelagt og problemorientert rehabilitering av pasienter med høygradig gliom bør bli et mer sentralt emne også i Norge. Nye behandlingsmuligheter som forlenger overlevelsen krever økt fokus også på disse aspektene.

    Pårørende til pasienter med høygradig gliom lever med stor usikkerhet og under et betydelig press. De trenger kontaktpersoner i helsevesenet som kan gi nødvendig støtte gjennom sykdomsforløpet (20). Kontaktsykepleiere med erfaring med pasientgruppen er en god løsning for å gi kontinuitet og fungere som et bindeledd mellom pasient og sykehus. Et særlig viktig moment er å tilby god og kontinuerlig oppfølging av yngre pasienters barn.

    Samarbeid med primærhelsetjenesten er helt vesentlig, og fastlegen bør involveres tidlig i sykdomsforløpet. Pasientene ønsker ofte å være hjemme så lenge som mulig. Engasjerte og faglig trygge fastleger er derfor helt nødvendig, men det krever også støtte ved behov fra palliative uteteam og behandlende sykehusavdelinger. En studie fra Italia viser at med optimal oppfølging i hjemmet av palliative uteteam kan flere pasienter med høygradig gliom få dø hjemme (32).

    Internasjonale studier av den siste livsfasen ved høygradig gliom viser at pasientene kan ha uttalte og plagsomme symptomer og trenge spesialisert palliativ behandling, at symptomatologien også hyppig endrer seg i løpet av de siste ukene og at 75 % av pasientene innlegges akutt i sykehus i denne fasen (33, 34). Tall fra utlandet viser at bare 10 % av pasientene har kontakt med palliative avdelinger (33). Det er grunn til å tro at disse tallene er representative også for norske forhold. Etter vår mening er det et stort og fortsatt til dels udekket behov for intermediærløsninger og palliative sengeplasser for pasienter med høygradig gliom.

    Som leger for mange pasienter med høygradig gliom ser vi regelmessig hvordan symptomene påvirker pasientenes og de pårørendes livskvalitet og livsutfoldelse. Slike faktorer er sannsynligvis medvirkende til at pasientgruppen har vært lite synlig i den offentlige debatten. Det er nå opprettet en pasientforening for pasienter med hjernesvulst og deres pårørende (35).

    Konklusjon

    Konklusjon

    Innføringen av temozolomid i standardbehandlingen av høygradige gliomer har vært et viktig fremskritt for pasientene og de involverte fagfeltene. Høygradig gliom er dessverre likevel ikke en kurabel sykdom, men det foregår intens forskning for å utvikle nye behandlingsformer. Fremtidig behandling vil sannsynligvis bli mer individualisert og basert på svulstens molekylærbiologiske egenskaper. Parallelt med dette må det også fokuseres på tiltak som bedrer livskvaliteten og gir pasientene en meningsfylt økt livslengde. Tett samarbeid mellom ulike spesialiteter og profesjoner og oppbygging av det palliative tilbudet er helt nødvendig for å trygge kontinuitet og et helhetlig medisinsk tilbud.

    Oppgitte interessekonflikter:

    Alle forfatterne har mottatt reisestøtte fra Schering-Plough, produsent av temozolomid. Eirik Helseth har også mottatt ikke-bindende forskningsstøtte fra dette firmaet.

    Kommentarer  ( 0 )
    PDF
    Skriv ut

    Anbefalte artikler