Transabdominal ultrasonografi ved inflammatorisk tarmsykdom

    ()

    sporsmal_grey_rgb
    Abstract
    Bakgrunn.

    Bakgrunn.

    Transabdominal ultrasonografi er de siste 15 årene blitt brukt i økende grad til å vurdere pasienter med inflammatorisk tarmsykdom. Ved Medisinsk avdeling, Haukeland universitetssykehus utføres om lag 300 slike undersøkelser årlig. Artikkelen gir en oversikt over bruk av ultrasonografi ved ulcerøs kolitt og Crohns sykdom.

    Materiale og metode.

    Materiale og metode.

    Artikkelen er basert på ikke-systematiske søk i PubMed samt materiale fra vårt eget litteraturarkiv.

    Resultater.

    Resultater.

    Ved Crohns sykdom ses ofte strukturendringer i og fortykkelse av tarmveggen med transabdominal ultrasonografi. Ved ulcerøs kolitt er strukturen ofte bevart, sykdommen begrenset til tykktarmen og veggen lett eller moderat fortykket. Sensitiviteten og spesifisiteten for å oppdage inflammatorisk tarmsykdom ligger rundt henholdsvis 85 % og 95 %. For Crohns sykdom alene er tilsvarende funn 88 % og 93 %. Hos pasienter med komplisert Crohns sykdom er transabdominal ultrasonografi best til påvisning av stenoser (sensitivitet 74 – 100 %, spesifisitet 91 – 100 %) og noe dårligere til å påvise fistler (sensitivitet 71 %, spesifisitet 96 %) og abscesser (sensitivitet 81 %, spesifisitet 93 %). Lokal hyperemi i tarmveggen taler for aktiv inflammasjon og kan påvises med fargedoppler.

    Fortolkning.

    Fortolkning.

    Transabdominal ultrasonografi er nyttig ved primærutredning og oppfølging av pasienter med inflammatorisk tarmsykdom. At klinikerne selv utfører undersøkelsen, gir potensielt mer effektiv og billigere primærutredning og oppfølging av pasienter med inflammatorisk tarmsykdom.

    Abstract

    Background.

    During the last 15 years transabdominal ultrasonography has been used increasingly for assessment of patients with inflammatory bowel disease. Approximately 300 such examinations are performed annually in the medical department at Haukeland University Hospital. This article reviews the use of ultrasonography in ulcerative colitis and Crohn’s disease.

    Material and methods.

    The articles referred to were found in our own literature archive or in PubMed (a non-systematic search was performed).

    Results.

    Patients with Chron’s disease often have thickened bowel wall and altered wall structure (as shown by transabdominal ultrasonography). In ulcerative colitis the wall structure is often preserved, the disease limited to the colon and the wall only slightly to moderately thickened. The sensitivity for diagnosing inflammatory bowel disease is around 85 % and the specificity 95 % and that for Crohn’s disease is 88 % and 93 %. In patients with complicated Crohn’s disease transabdominal ultrasonography is best for detecting stenoses (sensitivity 74 – 100 %, specificity 91 – 100 %), but less effective for fistulas (sensitivity 71 %, specificity 96 %) and abscesses (sensitivity 81 %, specificity 93 %). Local hyperaemia in the bowel wall suggests inflammation and can be detected with colour Doppler.

    Interpretation.

    Transabdominal ultrasonography is useful for primary diagnostics and in follow-up of patients with inflammatory bowel disease. The examinations are most successful when performed by a clinician who knows the patient and is familiar with bowel ultrasonography.

    Artikkel

    Insidensen og prevalensen for Crohns sykdom og ulcerøs kolitt er høy i Skandinavia, Storbritannia og Nord-Amerika, og økende i andre land med vestlig livsstil (1). Transabdominal ultrasonografi av tarm er en ikke-invasiv, lett tilgjengelig undersøkelsesmetode som de siste 15 årene er blitt benyttet i diagnostikk av inflammatorisk tarmsykdom. I motsetning til en del andre undersøkelsesmetoder, som CT, MR og røntgen av tynntarm med sonde, kan klinikeren selv utføre ultrasonografi og bruke metoden til å undersøke sine «egne» pasienter. Ved Medisinsk avdeling, Haukeland universitetssykehus er ultralydundersøkelser av pasienter med inflammatorisk tarmsykdom inkludert i den daglige rutinen, på linje med endoskopiundersøkelser. Årlig utfører vi ca. 300 undersøkelser på denne typen pasienter.

    I denne artikkelen ønsker vi å belyse hvordan ultrasonografi kan anvendes til å vurdere pasienter med inflammatorisk tarmsykdom. Hovedfokus er Crohns sykdom, men ulcerøs kolitt blir også omtalt.

    Materiale og metode

    Materiale og metode

    Artikkelen er basert på en gjennomgang av artikler i vårt eget litteraturarkiv, noen relevante referanser hentet fra disse artiklene og våre egne erfaringer med ultrasonografi ved inflammatorisk tarmsykdom. Det er også gjort ikke-systematiske litteratursøk i PubMed, som resulterte i et skjønnsmessig utvalg av artikler.

    Pasientforberedelser

    Pasientforberedelser

    Ultralydundersøkelser av pasienter med inflammatorisk tarmsykdom krever vanligvis ingen forberedelser. Det er en fordel om pasienten møter fastende (> 4 timer) slik at det blir mindre luft og innhold i tarmen og dermed bedre innsyn. Inntak av klare væsker (hydrosonografi) før undersøkelsen kan gjøre det lettere å fremstille bakre tarmvegg og se intraluminale prosesser. To til tre glass vann er tilstrekkelig for undersøkelse av ventrikkel og duodenum mens ved undersøkelse av tynntarm anbefales opptil 2 l polyetylenglykolløsning peroralt eller via sonde (2, 3). Undersøkelsen utføres vanligvis i ryggleie, men både skrått sideleie og stående stilling kan noen ganger bedre innsynet.

    Ultralydmodaliteter og normalfunn

    Ultralydmodaliteter og normalfunn

    Undersøkelsen innledes med orienterende B-mode skanning av hele abdomen ved bruk av et 3,5 – 5 MHz kurvilineært lydhode (4). Man kan da vurdere ulike abdominale organer, eventuelt finne patologi som ligger dypere i buken enn rekkevidden til høyfrekvente lydhoder (7,5 – 14 MHz) og dessuten se større patologiske tarmlesjoner. Lavfrekvente lydhoder (< 4MHz) kan vanligvis ikke brukes til å vurdere detaljer som for eksempel lagdeling og små blodkar i tarmveggen. Undersøkelsen utføres derfor etterpå med høyfrekvente lydhoder. Dette gir bedre bildeoppløsning, og fremstillingen av tarmveggen optimaliseres (5).

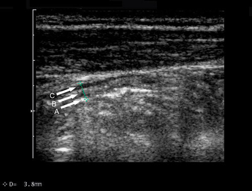
    Med høyfrekvent ultrasonografi ses vanligvis fem lag i en normal tarmvegg (6, 7) enten man vurderer veggen fra serosa (transdusernære tarmvegg) eller fra mucosasiden (dorsale, transduserfjerne tarmvegg) (fig 1). Hvis det ses færre eller flere enn fem vegglag, kan dette indikere sykdom. For å undersøke om et tarmavsnitt er patologisk eller ikke, måles blant annet tarmveggens tykkelse. Lagdelingen i tarmveggen gjør at det oppstår overgangsekko når ultralydbølgene passerer fra et vegglag til et annet. Tykkelsen av tarmveggen måles oftest av den ventrale, transdusernære tarmveggen og vil da inkludere lagene 2 – 4, siden lag 1 i dette tilfellet er overgangsekkoet mellom lumen og mucosa. Overgangsekkoet mellom serosa og muscularis propria vil dessuten dekke en liten del av muscularis propria og således føre til at ventralsiden fremstår noe tynnere enn dorsalsiden med ultralyd. Siden dorsalsiden ofte er vanskelig å fremstille, velger man imidlertid ventralsiden som utgangspunkt for målingene.

    I ileum anses veggen som patologisk fortykket dersom den måler mer enn 3 mm (8, 9). I tykktarmen varierer verdiene mellom normal og fortykket vegg fra 2,0 mm til 3,5 mm med økende tykkelse jo lengre distalt man kommer. Blodkar i tarmveggen er vanligvis så små at de ikke kan ses i B-mode ved transabdominal undersøkelse, men ved hjelp av fargedoppler kan blodstrøm fremstilles i disse karene (10). Ved bruk av høyfrekvente lydhoder må innstillingen justeres slik at lave blodstrømshastigheter kan oppdages. Veggfilteret må settes lavt, og hastighetsskalaen bør ligge rundt 2 – 8 cm per sekund. Grunnet bevegelsesartefakter bør pasienten holde pusten under dopplerundersøkelsen.

    Primærdiagnostikk

    Primærdiagnostikk

    Crohns sykdom er karakterisert ved transmural betennelse i tarmveggen. Dette medfører at tarmveggens lagdeling hos pasienter med aktiv sykdom ofte er forandret, eventuelt helt borte. I stedet ses gjerne et kontinuerlig mørkere ekko gjennom hele tarmveggen (11). Veggen er ofte betydelig fortykket i de affiserte områdene, og i uttalte tilfeller kan man måle tykkelser opptil 1,5 cm (12). Crohns sykdom kan gi flekkvise manifestasjoner i hele gastrointestinalkanalen, men hos de fleste er funnene begrenset til tynn- og/eller tykktarm. Nesten halvparten av pasientene har affeksjon av terminale ileum (13), og sykdom er lettere å påvise hos disse sammenliknet med pasienter som har affeksjon av dypereliggende tarmavsnitt (14).

    Ulcerøs kolitt lokalisert til rectum kan være vanskelig å påvise med transabdominal ultralyd. Man kan følge colon fra sigmoideum til coecum med ultralyd og således påvise om det foreligger sigmoiditt, venstresidig kolitt, subtotal- eller totalkolitt. Siden affeksjonen vanligvis er kontinuerlig fra rectum og videre proksimalt ved ulcerøs kolitt, er det lettere å kartlegge utbredelsen enn ved Crohns sykdom der sykdommen kan være lokalisert til flere atskilte områder i en ellers normal tarm. Ved ulcerøs kolitt finner man vanligvis ikke veggtykkelse over 6 mm ved transabdominal ultrasonografi (15), og lagdelingen i tarmveggen er ofte bevart (11). Dette kommer av at inflammasjonen som regel ikke går lenger inn i tarmveggen enn til submucosa. Lag 2 og 3, som hovedsakelig svarer til henholdsvis mucosa og submucosa, er ofte fortykket ved ulcerøs kolitt (11) (fig 2). Ved mild og overflatisk Crohns sykdom kan man noen ganger gjøre tilsvarende funn med bevart lagdeling og mindre uttalt veggtykkelse.

    I en studie med 487 pasienter undersøkt med transabdominal ultralyd, ble inflammatorisk tarmsykdom påvist med 85 % sensitivitet og 95 % spesifisitet (16). Sensitiviteten for Crohns sykdom og ulcerøs kolitt var henholdsvis 88 % og 84 % i denne studien. I en metaanalyse fra 2005 fremkom det at sensitiviteten og spesifisiteten for å oppdage Crohns sykdom ved bruk av ultralyd var henholdsvis 88 % og 93 %, med grenseverdi for normal/patologisk tarmveggtykkelse på 3 mm (8). Sensitiviteten og spesifisiteten var henholdsvis 75 % og 97 % hvis grenseverdien ble satt til 4 mm. I metaanalysen konkluderte man med at ultralyd er velegnet til både å bekrefte og å utelukke Crohns sykdom i en populasjon tilsvarende det man kan finne i annenlinjetjenesten.

    Ultralyd har vist seg å være et nyttig verktøy sammen med endoskopiske undersøkelser innen primærdiagnostikken av inflammatorisk tarmsykdom. I erfarne hender kan en ultralydundersøkelse være en enklere og mer tilgjengelig metode enn CT og MR til å vurdere tarmveggen. Ultralyd er i flere studier sammenliknet med andre bildedannende metoder. I én studie sammenliknet man ultralyd med kontrastrøntgen, immunoscintigrafi og CT til påvisning av Crohns sykdom i tynntarm (17). Man fant at ultralyd hadde diagnostisk nøyaktighet på 90,4 % mens den for CT og immunoscintigrafi var henholdsvis 87,7 % og 82,2 %. Spesifisiteten for ultralyd (93,3 %) var høyere enn for CT (83,3 %) og immunoscintigrafi (86,7 %). I denne studien var ultralyd mindre sensitiv (66,7 %) ved tidlig Crohns sykdom.

    Diagnostikk av komplikasjoner

    Diagnostikk av komplikasjoner

    Funn av stenoser, fistler og abscesser kan ha direkte betydning for den videre håndteringen av pasienten både med tanke på eventuell kirurgisk intervensjon og intensivert medikamentell behandling.

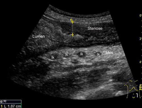
    Stenoser kan forekomme ved Crohns sykdom (fig 3). Man ser da ofte betydelig fortykket vegg og avsmalnet lumen og en prestenotisk utvidelse. Den fortykkede tarmveggen i stenosen har liten eller ingen motilitet. Bortfall av lagdeling i stenosen indikerer ødem i tarmveggen og sannsynlig akutt inflammasjon, mens mer bevart lagdeling kan indikere fibrose (18). Det er viktig for valg av behandling å vite om den fortykkede veggen i en stenose skyldes hovedsakelig aktiv inflammasjon eller fibrose. Ved aktiv inflammasjon kan pasienten ha nytte av medisinsk behandling, mens kirurgi vanligvis er indisert ved kroniske betennelsesforandringer og fibrose (18). Hvis man ved hjelp av fargedoppler ser rikelig med kar i stenoseområdet, tolkes det som et uttrykk for inflammatorisk aktivitet. Da kan medikamentell behandling være verdt å forsøke. Ultralyd er i flere studier brukt til å påvise stenoser hos pasienter med Crohns sykdom. I disse studiene har ultralyd en sensitivitet på 74 – 100 % og en spesifisitet på 91 – 100 % (9, 14, 19).

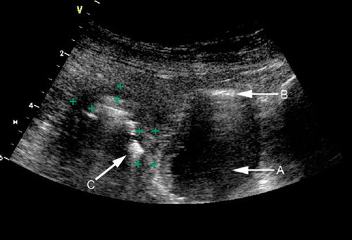
    Danning av fistler er en hyppig komplikasjon ved Crohns sykdom. Fistlene utgår fra tarmveggen og kommuniserer med andre tarmsegmenter, mesenteriet eller andre strukturer som urinblære, vagina eller perineum (12). Ved ultrasonografi ses fistler ofte som avlange hypoekkogene områder. Små, hyperekkogene flekker kan noen ganger ses innenfor slike områder på grunn av innhold av luft, debris eller avføring i fistelen (9, 20). I noen tilfeller kan man sannsynliggjøre fisteldanning til tross for at man på ultralyd ikke ser fistelen. Dette gjelder spesielt for enterovesikale fistler (fig 4).

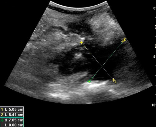
    Intraabdominale abscesser er en annen kjent komplikasjon ved Crohns sykdom (fig 5). De oppstår vanligvis sekundært til fistulerende sykdom eller etter kirurgiske inngrep (21). Med ultralyd ser man hypoekkogene områder med uregelmessige avgrensninger. Små, hyperekkogene lesjoner kan noen ganger forekomme inne i abscesshuler på grunn av luft eller debris (12). Maconi og medarbeidere konkluderte i 2003 med at transabdominal ultralyd kan være et like godt førstevalg til å påvise fistler og abscesser ved Crohns sykdom som kontrastrøntgen eller CT (22). Fistler ble påvist med 71 % sensitivitet og 96 % spesifisitet, mens abscesser ble påvist med 81 % sensitivitet og 93 % spesifisitet. Våre erfaringer er at dype abscesser er best å visualisere med CT, mens overflatiske og små abscesser ses best med ultralyd.

    Ved ulcerøs kolitt finner man sjelden stenoser, fistler eller abscesser. Toksisk kolitt forekommer sjeldnere enn før, men dette er en alvorlig tilstand som kan resultere i tarmperforasjon. Vanligvis diagnostiseres denne tilstanden med røntgen oversikt abdomen, men ultralyd er et strålefritt alternativ til å oppdage og eventuelt følge opp denne tilstanden (23).

    Behandlingsovervåkning og sykdomsaktivitet

    Behandlingsovervåkning og sykdomsaktivitet

    Allerede i 1984 kunne man med transabdominal ultrasonografi påvise betydelig reduksjon i veggtykkelsene hos pasienter med Crohns sykdom i etterkant av medisinsk behandling (24). I en annen studie ble det gjort tilsvarende funn etter akutt medisinsk behandling hos pasienter med ulcerøs kolitt (25). Metoden kan også benyttes til å følge pasienter med Crohns sykdom postoperativt. Risikoen for tilbakefall er høy hos dem som ikke har fått reduksjon i veggtykkelsene 6 – 12 måneder etter operasjon (26, 27).

    Inflammatorisk tarmsykdom er assosiert med nydanning av blodkar og økt blodtilførsel i veggen til de betente tarmsegmentene (28). Fargedoppler kan brukes til å vurdere kartetthet semikvantitativt (fig 6) og er til en viss grad assosiert med sykdomsaktivitet (29, 30). Spalinger og medarbeidere fant at pasienter med inaktiv sykdom (Crohn’s disease activity index (CDAI) < 150) hadde signifikant mindre kartetthet (p < 0,001) enn pasienter med aktiv sykdom (CDAI > 150) (29). Fargedoppler anbefales hovedsakelig til å følge endringer av blodsirkulasjon i tarmveggen over tid hos den enkelte pasient.

    De fleste pasientene med inflammatorisk tarmsykdom lever med sykdommen gjennom store deler av livet, og sykdomsforløpet kan være svært varierende. For klinikeren er det derfor viktig å ha et praktisk verktøy til å vurdere sykdomsaktivitet. En sammenliknende studie mellom ultralyd og MR til påvisning av Crohns sykdom i aktiv fase viste at begge modalitetene hadde god sensitivitet (87 %) til å oppdage aktiv inflammasjon (31). MR hadde derimot noe lavere spesifisitet enn ultralyd (71 % for MR og 100 % for ultralyd). Hos pasienter med Crohns sykdom har man også undersøkt om kombinasjon av veggtykkelse, lengde av fortykket tarmsegment, tap av lagdeling eller funn med fargedoppler kan relateres til CDAI-skår, men korrelasjonene var i noen studier ikke optimale (32, 33). Derimot var sammenhengen mellom ultralydfunn og endoskopisk aktivitet bedre (32). Imidlertid har man i andre studier påvist god korrelasjon mellom CDAI-skår og ultralydfunn (29, 34).

    Kostnader

    Kostnader

    Vi har ikke funnet studier der man spesifikt har undersøkt kostnadseffektivitet ved bruk av transabdominal ultrasonografi ved inflammatorisk tarmsykdom. Imidlertid er kostnader per undersøkelse generelt lavere ved ultralyd, fordi ultralydmaskiner er billigere i innkjøp enn CT- og MR-maskiner, er mindre plasskrevende og krever ikke ytterligere arbeidsstasjoner for senere gjennomgang av undersøkelsene. Driftskostnadene for ultralyd er også lavere enn for CT, MR, ileokoloskopi og scintigrafi fordi det krever mindre personell (35). Siden nøyaktigheten ved transabdominal ultrasonografi av tarm er tilsvarende eller bedre enn MR, CT og scintigrafi (36), kan det ofte erstatte slike undersøkelser og dermed gi innsparinger.

    Konklusjon

    Konklusjon

    Bildekvaliteten på ultralydskannere er betydelig høynet de siste 10 – 15 år, og dette bidrar til bedret diagnostikk av patologiske forandringer i tarm. Ultralydundersøkelsen har sine begrensninger, men i flere studier har ultralyd vist seg å være nyttig både ved Crohns sykdom, ulcerøs kolitt og andre tarmsykdommer.

    Ved primærdiagnostikk av inflammatorisk tarmsykdom har metoden vist høy sensitivitet og spesifisitet. Metoden kan også brukes til å påvise stenoser, fistler og abscesser, noe som kan ha betydning for valg av behandling og oppfølging av pasienter med inflammatorisk tarmsykdom.

    Våre erfaringer viser at transabdominal ultralyd er et nyttig redskap ved inflammatorisk tarmsykdom, og vi mener at en slik pasientvennlig og relativt billig metode bør benyttes i enda større grad både ved norske sykehus og i spesialistpraksis (37). Når undersøkelsen utføres av klinikeren selv, enten på poliklinikken eller ved sykesengen på avdelingen, mottas hurtig og viktig informasjon om sykdommens aktivitet og utbredelse.

    Vi takker Svein Ødegaard for verdifulle råd ved utarbeiding av dette manuskriptet.

    Oppgitte interessekonflikter:

    Ingen

    Kommentarer  ( 0 )
    PDF
    Skriv ut

    Anbefalte artikler