Background.
The etiology of the overactive pelvic floor syndrome is not fully understood and no gold standards are available for diagnosis or treatment. The article presents an overview of literature, and discusses diagnostics and treatment.
Material and methods.
Literature was identified through a non-systematic search in PubMed, and discussed in light of the authors’ clinical experience with the patient group.
Results.
The main symptoms of overactive pelvic floor syndrome are pain and defecation difficulties; the latter often leads to chronic constipation. Other symptoms depend on which parts of the pelvic floor that are most affected. Pain is often chronic and ranges from mild to severe; it is aggravated by micturition, sexual intercourse, orgasm, defecation and sitting on hard surfaces, and reduces the ability to work and quality of life in general. Injection of Botulinum toxin in the pelvic floor muscles seems to alleviate pain in many patients. Physiotherapy of the pelvic floor and treatment offered by pain clinics can also be useful.
Interpretation.
A close cooperation between gastroenterologists, surgeons, urologists, gynecologists, neurologists, physiotherapists and possibly pain clinics is important to improve the situation for these patients.
Tilstanden overaktiv bekkenbunn-syndrom er lite omtalt i medisinsk litteratur. Ved Kompetansesenter for inkontinens og bekkenbunnsykdom ved Universitetssykehuset Nord-Norge møter vi regelmessig pasienter med denne tilstanden. Majoriteten av våre pasienter har en lang sykehistorie, og mange har vært feildiagnostisert før de diagnostiseres med overaktiv bekkenbunn-syndrom. Vårt inntrykk er at tilstanden er lite kjent blant leger generelt.
Enkelte studier tyder på at det kan være overrepresentasjon av depresjon og somatisering blant pasienter med dette syndromet (2). Det er vanskelig å avgjøre hva som er utløsende faktor. Som følge av at pasientgruppen er heterogen med multifaktoriell etiologi, mangel på diagnostisk og behandlingsmessig gullstandard, vil behandlingen ofte være utfordrende. Ved Universitetssykehuset Nord-Norge har det vært forsøkt ulike behandlingsalternativer for tilstanden basert på eksisterende litteratur. Mest benyttet har vært biofeedbacktrening, sakralnervestimulering samt Botox-injeksjoner i bekkenbunnsmuskulaturen. De to første alternativene har foreløpig ikke vist tilfredsstillende effekt på symptomer. Botox-injeksjoner har erfaringsmessig vist bedre resultater, og er av denne grunn blitt førstevalg som behandlingsalternativ ved sykehuset. Som supplerende behandling tilbys bekkenbunnsfysioterapi, psykolog og smerteklinikk avhengig av behov. Vårt inntrykk er at majoriteten av pasientene med overaktiv bekkenbunn-syndrom ikke har psykologisk betinget bakgrunn for sine plager, men at pasientene likevel kan profittere på kognitiv terapi og avspenningsterapi for å mestre smerter. Dette er imidlertid ikke dokumentert.
Det finnes per i dag ingen diagnosekode i ICD-10 som dekker tilstanden overaktiv bekkenbunn-syndrom. Analspasme (K 59.4) er det nærmeste, men denne diagnosen sikter til tilstanden proctalgia fugax, som er definisjonsmessig forskjellig fra overaktiv bekkenbunn-syndrom.
Vi møter flere kvinner enn menn med tilstanden. Kvinners bekkenbunn har en mer kompleks anatomi, og figurer og anatomibeskrivelser i artikkelen tar derfor utgangspunkt i forholdene hos kvinner. Formålet med artikkelen er å gi en oversikt over tilstanden, samt diskutere diagnostikk og behandling.
Materiale og metode
Artikkelen er basert på de erfaringer vi har høstet gjennom arbeidet med denne pasientgruppen ved Kompetansesenter for inkontinens og bekkenbunnsykdom ved Universitetssykehuset Nord-Norge. I tillegg ble det utført et ikke-systematisk litteratursøk i PubMed.
Anatomi
Bekkenbunnen er en kompleks struktur som utgjøres av integrerte lokale støttemuskelgrupper, nerver og skjelett. For kvinner er det vanlig å dele bekkenbunnen inn i tre deler: fremre del som inneholder urinblæren og urinrøret, midtre del som inneholder vagina, og bakre del som inneholder rectum. Hver av disse delene støttes av endopelviske fascier og diafragma pelvis som er hovedbestanddelene i bekkenbunnen (3).
Diafragma pelvis
Musklene som utgjør diafragma pelvis er m. levator ani og m. coccygeus. Sistnevnte muskel springer ut fra spina ischiadica og fester til nedre del av sacrum, der den fungerer ved å lukke bakre del av bekkenbunnen.
M. levator ani deles inn i tre deler. Det har vist seg utfordrende å forstå dens forløp og funksjon, og det hersker mye forvirring rundt terminologien for muskelens komponenter. Kearney og medarbeidere har gjennomgått litteraturen i forsøk på å fremskaffe en mer standardisert terminologi (4). De fant 16 overlappende betegnelser på ulike deler av m. levator ani. Imidlertid viste det seg å være relativt god overensstemmelse med henblikk på utspring og festepunkter av muskeldelene. Ettersom det ikke eksisterer konsensus for navngivning av bekkenbunnsmuskulaturen, har vi valgt å benytte nomenklaturen fra Kearney og medarbeidere (4). Inndelingen er som følger: m. puboviscerale, m. puborektalis (fig 1 og 2) og m. ileococcygeus (fig 2).
M. levator ani er normalt i konstant kontraksjon, og bidrar slik til at rectum, vagina og urinrøret er lukket ved å heve dem opp mot symfysis pubis (3).
Den anorektale vinkel
Rectum skilles fra vagina av perineum og den rektovaginale fascie. Ulikt resten av colon, har rectum både et komplett sirkulært og et longitudinelt muskellag. I distale ende av rectum fortykkes det sirkulære laget og danner den interne analsfinkter. Den eksterne analsfinkter består av tverrstripet muskulatur som bidrar til delvis voluntær kontroll av defekasjonsprosessen. Rectum som ligger i innhulningen av sacrum, forløper i retning av symfysen. I nivå med symfysen tar rectum en retningsendring som følge av kontraksjon av m. puborectalis. Denne kontraksjonen danner den anorektale vinkelen som utgjøres av aksen av rectum og aksen av analkanalen (fig 3).
Defekasjon er en synergiavhengig foreteelse, og vil normalt skje utelukkende når m. puborectalis slapper av. Anorektalvinkelen vil da rettes ut og gir mulighet for passasje av avføring fra rectum til analkanalen (fig 3). Normalt er vinkelen i hvile 90°, og ved defekasjon 123,3° ± 4,3 (3).
Den indre og ytre sfinkter er viktig for kontrollen av passasje av flytende avføring og gass som passerer på tross av at m. puborectalis er kontrahert (5).
Bekkenbunnsmuskulaturens funksjon
Bekkenbunnsmuskulaturen støtter bekkenorganene blære, vagina og rectum, og deres funksjon er avgjørende for normalt fungerende vannlating, defekasjon og samleie. Det er til enhver tid et komplekst samspill mellom de ulike deler av bekkenbunnsmuskulaturen for å utøve organenes ulike oppgaver.
Overaktiv bekkenbunn-syndrom
Overaktiv bekkenbunn-syndrom kan forstås som en sekkediagnose som inkluderer mange ulike symptomer lokalisert til bekkenbunnen, der intensiteten av symptomene varierer mye fra pasient til pasient. Fellestrekket er dyssynergi av bekkenbunnsmuskulaturen (6). I litteraturen finnes en rekke synonyme betegnelser på overaktiv bekkenbunn-syndrom (6). Eksempler er puborectalis syndrom (7), spastisk bekkenbunnsyndrom (8) og overaktiv bekkenbunn (6). Mest benyttet er betegnelsen spastisk bekkenbunnsyndrom. Dette er imidlertid en noe misvisende betegnelse. Spastisitet er definert som patologisk økt muskeltonus som følge av enten spinal eller cerebral årsak (9). For å stille diagnosen overaktiv bekkenbunn-syndrom er det derimot en forutsetning at man har utelukket patologisk innervasjon- og muskelstruktur i bekkenbunnen. Vi har valgt å benytte betegnelsen overaktiv bekkenbunn-syndrom som er mindre utbredt, men mer beskrivende for tilstandens patofysiologi.
Overaktiv bekkenbunn-syndrom ble første gang helhetlig beskrevet av Kuijpers og medarbeidere i 1985 (8). Studien var basert på røntgendefekografi av en liten pasientpopulasjon med kronisk obstipasjon, der det ble bemerket at anorektalvinkelen ikke økte ved defekasjon hos et flertall av pasientene. Som supplerende undersøkelse ble det utført røntgen colon transittid. Undersøkelsen viste normal motilitet i tarmen, men rektal retensjon hos ni av 12 pasienter. Det ble konkludert med at tilstanden representerte et funksjonelt problem med persisterende kontraksjon av m. puborectalis på tross av normal innervasjon. Resultatet ble kroniske tømmingsvansker (8).
Funksjonelle gastrointestinale tilstander defineres som ulike kombinasjoner av kroniske eller tilbakevendende gastrointestinale symptomer som ikke kan forklares av strukturelle eller biokjemiske abnormaliteter. Ved overaktiv bekkenbunn-syndrom dreier det seg om anorektale symptomer relatert til abnormalt fungerende, men normalt innerverte, og strukturelt intakte muskler (10). Det er i ettertid gjort flere studier som har bekreftet funnene til Kuijpers og medarbeidere (8), og som underbygger diagnosens validitet (10) – (14).
En av de vanligst forekommende funksjonelle tilstander på verdensbasis er irritabel tarm syndrom (15). Kjennetegnene for tilstanden er knipsmerter i nedre del av abdomen, avføringsforstyrrelse samt luftplager (15). Irritabel tarm-syndrom utgjør en differensialdiagnose til overaktiv bekkenbunn-syndrom, især der tilstanden domineres av obstipasjon. Hovedforskjellen ligger i smertelokalisasjon samt tonus i bekkenbunnsmuskulaturen.
Epidemiologi
Prevalensen av overaktiv bekkenbunn-syndrom er ukjent. Blant pasienter med kronisk obstipasjon har man påvist diagnosen hos 25 – 50 % (10). Dette kan reflektere en overestimering som følge av høye falskt positive rater sett i enkelte studier (10). Det er vist at omtrent 50 % flere kvinner enn menn rammes av funksjonell obstipasjon (16).
Studier viser videre at prevalensen av bekkenbunnssmerter relatert til overaktiv bekkenbunn-syndrom er 3,8 – 6,6 % i den generelle befolkningen i USA. Tilstanden synes å være vanligere hos kvinner, uten at dette er tallfestet (17, 18).
Symptomer
Man kan kategorisere symptomene til tre grupper (6). Symptomene kan opptre hver for seg, eller kombinert på tvers av symptomkategoriene (6).
Smerter. Overaktivitet av bekkenbunnsmuskulaturen er en viktig årsak til kroniske bekkenbunnssmerter generelt (13, 19) – (22). Smerter relatert til overaktiv bekkenbunn-syndrom er oftest lokalisert til bakre del av bekkenbunnen. Episodene varer fra timer til dager eller er konstante med krampeaktige forverringer (10). Typiske beskrivelser er diffuse bekkenbunnssmerter som forverres ved sitting, lave ryggsmerter og/eller postdefekasjonssmerter, samt dyspareuni hos kvinner, og ejakulasjonssmerter hos menn. Smerteintensiteten kan variere fra lite plagsom til uttalt, og kan redusere arbeidsevne og livskvalitet (19). Ytterligere karakteristika for bekkenbunnssmerter relatert til overaktiv bekkenbunn-syndrom er oppsummert i ramme 1 (10).
Kjennetegn for smerter relatert til overaktiv bekkenbunn-syndrom (10)
Minimum varighet 12 uker i løpet av foregående 12 måneder (trenger ikke være sammenhengende)
Kronisk eller tilbakevendende rektal smerte eller verk
Episoder varende 20 minutter eller lenger
Andre mulige årsaker til rektal smerte som for eksempel iskemi, irritabel tarm-syndrom, kryptitt, intramuskulær abscess, fissurer, hemoroider, prostatitt, og solitært rektal ulcer er blitt ekskludert
Reproduksjon av smerter ved palpasjon av m. puborectalis
Bekkenbunnssmerter i seg selv kan være symptom ved en rekke ulike tilstander. En systematisk oversikt over retningslinjer for utredning, diagnostisering, behandling og oppfølging av ulike spesifiserte smertetilstander i bekkenbunnen er nedfelt i «European Association of Urology: guidelines on chronic pelvic pain» (23). Denne bør leses før man konkluderer med diagnosen overaktiv bekkenbunn-syndrom.
Kroniske bekkenbunnssmerter som resultat av syndromet blir i litteraturen ofte beskrevet som en egen diagnose (10, 19, 24). Tilstanden har en rekke ulike betegnelser, der «levator ani syndrom» er den mest brukte (10).
Urinveissymptomer. Ved overaktiv bekkenbunn-syndrom dominert av urinveissymptomer, er symptomene et resultat av motstand mot urinstrøm som følge av overaktiv bekkenbunnsmuskulatur (23). Dette kan manifestere seg som: hesitasjon, dårlig stråle og residualurin. Smerter ved vannlating forekommer hyppig (6, 23). Alle nevnte symptomer gjelder for begge kjønn. Av symptomkategoriene forbundet med syndromet er urinveissymptomer minst omtalt i medisinsk litteratur.
Tømmingsvansker. Av de tre hovedgruppene av symptomer ved dette syndromet, er tømmingsvansker mest studert, ut fra antall publiserte studier. Symptomene oppstår som følge av at paradoks kontraksjon av m. levator ani under defekasjon skaper et rektalt tømmingshinder. Defekasjonen blir obstruert, og resultatet blir kronisk obstipasjon (13). Urge, følelse av inkomplett tømming, tyngdefølelse i perineum, samt defekasjonssmerter er andre vanlige symptomer (6, 12). Videre kan tømmingsvanskene disponere for ytterligere anorektale plager som hemoroider og analfissurer (6).
Etiologi
Årsaken er ikke klarlagt, men flere aktuelle forklaringsmodeller er presentert. De dominerende symptomene avhenger av hvilket kompartment som i størst grad er rammet, det samme gjelder etiologien. Generelt kan man si at mekanisk traume av levator ani-muskulaturen vil kunne gi bekkenbunnsdysfunksjon av ulik art og grad i alle tre bekkendelene (4). Eksempler er kirurgiske inngrep der smertebehandlingen ikke har vært tilfredsstillende (25), fødselsskader (26) og seksuelt misbruk (27). Annen patologi som gir smerter ved defekasjon, eksempelvis hemoroider og analfissurer vil også kunne være ledd i utviklingen av overaktiv bekkenbunn-syndrom (28). Mekanismen er sannsynligvis at smerteopplevelse forbundet med defekasjon fører til en ubevisst endring av defekasjonssprosessen. Resultatet blir et dysfunksjonelt tømmingsmønster der pasienten forsøker å presse ut avføringen ved hjelp av magemusklene, samtidig som de anale sfinkterene og bekkenbunnsmusklene kontraherer. Resultatet blir at avføringen fanges i rectumampullen og gir obstipasjon. Dette vil med tiden kunne føre til overaktiv bekkenbunn-syndrom (28). Det er nylig beskrevet at syndromet kan ha sammenheng med utvikling av indre rektalt prolaps (29).
Utredning/diagnostikk
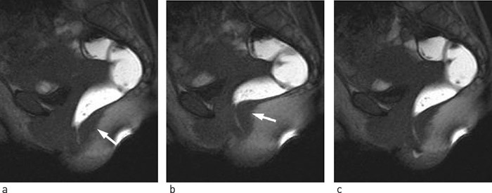
Overaktiv bekkenbunnssyndrom er en eksklusjonsdiagnose, og det finnes ingen gullstandard for diagnostisering. Klinisk vil det støtte diagnosen dersom smertene reproduseres ved digital palpasjon av bekkenbunnen og m. puborectalis (ramme 2). Injeksjon av lokalbedøvelse i m. puborectalis vil medføre smertefrihet, og kan brukes som hjelpemiddel for å vise hvor smerten kommer fra. En velegnet objektiv undersøkelse for å dokumentere overaktivitet i bekkenbunnsmuskulaturen er røntgen defekografi (3). Dette er en dynamisk undersøkelse der pasienten får et røntgentett klyster som skal kvitteres under gjennomlysning sittende på dostol. Testen bidrar følgelig med informasjon om strukturelle abnormaliteter i tillegg til funksjonelle parametre som: anorektal vinkel i hvile og under defekasjonsforsøk, diameter av analkanalen, og grad av rektal tømming. Røntgendefekografi av pasienter med syndromet vil vise overaktiv bekkenbunnsmuskulatur og eventuelt paradoks bevegelse under defekasjon, med opphevet evne til åpning av den anorektale vinkelen (8, 30) (fig 4). Nyere studier viser til MR-defekografi som en enda bedre egnet undersøkelsesmetode for å påvise patologiske forhold i bekkenbunnen, deriblant overaktiv bekkenbunn-syndrom (3, 30). Typisk klinisk bilde samt sikker eksklusjon av andre mulige årsaker kan gi diagnosen på tross av negative funn ved defekografi. Videre vil positive defekografifunn ikke være ensbetydende med diagnosen. Sensitivitet og spesifisitet for undersøkelsen er ikke tallfestet.
Diagnostiske hjelpemidler ved overaktiv bekkenbunn-syndrom (9)
Diagnostiske kriterier for funksjonell obstipasjon i henhold til Roma III-kriteriene (Roma III: Internasjonale diagnostiske kriterier og behandlingsforslag for funksjonelle gastrointestinale tilstander) (9)
Påvisning av uhensiktsmessige kontraksjoner eller manglende evne til relaksasjon av bekkenbunnsmuskulatur under defekasjonsforsøk. Oftest ved røntgendefekografi
Colon transittid bør utføres for å utelukke redusert tarmmotilitet
Reproduksjon av aktuell smerte ved palpasjon av m. puborectalis
Eksklusjon av andre tilstander som kan gi samme symptomer
Bekkenbunnselektromyografi, anorektal manometri og ballongdefekasjonstest er andre mulige undersøkelser (10).
Diagnostiske hjelpemidler er oppsummert i ramme 2.
Behandling
Det foreligger ingen vitenskapelig dokumentert behandling som kan helbrede spastisk bekkenbunn-syndrom. Generelt savnes store randomiserte studier på området. En svakhet ved de fleste eksisterende studier er at de opererer med små studiepopulasjoner, samt at kontrollgrupper ofte utelates basert på etiske hensyn.
Det er utført flere studier på biofeedbacktrening (11, 24, 31) – (33). Denne metoden innebærer en elektrisk informasjon om muskeltensjon i bekkenbunnen eller analkanaltrykk brukt for å lære pasientene mer effektive måter å kontrollere og slappe av i bekkenbunnsmuskulaturen under tømming. Publiserte resultater viser symptomreduksjon hos studiepopulasjoner på 31 – 89 % (31) – (34). Oppfølgingsperiodene varierte i gjennomsnitt fra 9,1 til 24 måneder i studiene. Ved Universitetssykehuset Nord-Norge tilbys biofeedbacktrening i kombinasjon med aktiv bekkenbunnsfysioterapi. Det instrueres i spesialutviklede øvelser som veiledning for å oppnå bedre kontroll på bekkenbunnsmuskulaturen.
Videre har det vært utført forsøk med sakralnervestimulering med til dels lovende resultater på symptomlindring (35). For både biofeedbacktrening og sakralnervestimulering hersker det tvil om langtidseffekten (33) – (35).
Det finnes flere studier som viser at botulinumtoksin kan være effektiv behandling for overaktiv bekkenbunn-syndrom (20, 21, 36) – (38). Botulinumtoksin A-injeksjoner er også brukt for mange andre smertesyndromer med god effekt (39, 40). Maria og medarbeidere publiserte i 2006 en studie der de behandlet 24 pasienter med 60IE boutulinumtoksin A i m. puborectalis, der 100 % oppnådde symptomfrihet (36). Oppfølgingstiden var i gjennomsnitt 39 måneder.
Konklusjon
Hovedsymptomene ved overaktiv bekkenbunn-syndrom er smerter og tømmingsvansker.
Diagnostikk av tilstanden kan gjøres med relativt enkle midler, men krever kunnskap om tilstandens forskjellige symptomer og bekkenbunnens anatomi. Behandlingen rettes mot den overaktive bekkenbunnsmuskulaturen, men helbredelse er vanskelig å oppnå. Injeksjon av botulinumtoksin A kan gi langvarig smertelindring.
Oppgitte interessekonflikter:
Ingen
Artikkelen er en videreutvikling av en studentoppgave ved Det medisinske fakultet, Universitetet i Tromsø (1).
Tabell
| Hovedbudskap |
|
- 1.
Rognlid M, Lindsetmo RO. Botulinumtoksin som behandling av spastisk bekkenbunnsyndrom. Studentoppgave profesjonsstudiet medisin stadium IV. Tromsø: Det medisinske fakultet, Universitetet i Tromsø, 2007.
- 2.
Corcos J, Schick E. The urinary sphincter. 1. utg. New York, NY: Marcel Dekker, 2001: 679 – 86.
- 4.
Kearney R, Sawhney R, DeLancey JO. Levator ani muscle anatomy evaluated by origin-insertion pairs. Obstet Gynecol 2004; 104: 168 – 73. [PubMed]
- 5.
Moore KL, Dalley AF. Clinically oriented anatomy. 4. utg. Philadelphia, PA: Lippincott Williams & Wilkins, 1999: 341 – 6.
- 6.
Baessler K, Schüssler B. Pelvic floor re-education. 2. utg. London: Springer, 2008: 83 – 91.
- 9.
Kerty E, Stien R. Behandling av spastisitet med botulinumtoksin. Tidsskr Nor Lægeforen 1997; 117: 2022 – 4. [PubMed]
- 12.
Carbognani P, Spaggiari L, Soliani P et al. The spastic pelvic floor syndrome: its diagnosis and treatment. Ann Ital Chir 1992; 63: 69 – 73. [PubMed]
- 14.
Lu R. Radiologic diagnosis of spastic pelvic floor syndrome (with analysis of 118 cases). Zhonghua Yi Xue Za Zhi 1990; 70: 268 – 70. [PubMed]
- 15.
Waldum HL. Legemiddelbehandling av irritabel tarm-syndrom. Tidsskr Nor Lægeforen 2002; 122: 401-2. [PubMed]
- 16.
Talley NJ, Weaver AL, Zinsmeister AR et al. Functional constipation and outlet delay: a population-based study. Gastroenterology 1993; 105: 781 – 90. [PubMed]
- 25.
Geile D, Haseitl M, Osterholzer G. Chronic disorders after interventions in the anorectal area–therapeutic possibilities. Kongressbd Dtsch Ges Chir Kongr 2002; 119: 134 – 41. [PubMed]
- 26.
Finamore P, Goldstein H, Whitemore K. Pelvic floor muscle dysfunction: a review. Journal of Pelvic Medicine & Surgery 2008; 14: 417 – 22. [CrossRef]
- 30.
Roos JE, Weishaupt D, Wildermuth S et al. Experience of 4 years with open MR defecography: pictorial review of anorectal anatomy and disease. Radiographics 2002; 22: 817 – 32. [PubMed]
- 31.
Wiesel PH, Dorta G, Cuypers P et al. Patient satisfaction after biofeedback for constipation and pelvic floor dyssynergia. Swiss Med Wkly 2001; 131: 152 – 6. [PubMed]
- 36.
Maria G, Cadeddu F, Brandara F et al. Experience with type A botulinum toxin for treatment of outlet-type constipation. Am J Gastroenterol 2006; 101: 2570 – 5. [PubMed]
- 39.
Ferreira JJ, Couto M, Costa J et al. Botulinum toxin for the treatment of pain syndromes. Acta Reumatol Port 2006; 31: 49 – 62. [PubMed]