Hjerneinfarkt eller hjerneblødning?

    ()

    sporsmal_grey_rgb
    Artikkel

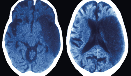
    Bildediagnostikk er helt nødvendig for å kunne skille sikkert mellom hjerneblødning og hjerneinfarkt. Det viser en metaanalyse.

    Forskerne gjennomgikk 19 prospektive studier med til sammen 6 438 pasienter (1). Koma, nakkestivhet, krampeanfall, hodepine, oppkast og diastolisk blodtrykk > 110 mm Hg er alle faktorer som enkeltvis er assosiert med signifikant høyere sannsynlighet for hjerneblødning.

    Systematisk sammenstilling av slike symptomer og tegn vil likevel bare øke posttestsannsynligheten for at det foreligger hjerneblødning med 50 %. Interessant nok viser en av grunnlagsstudiene at den samme økning i diagnostisk presisjon kan oppnås ved å legge til grunn et udefinert og usystematisk «klinisk inntrykk» av hvorvidt det foreligger hjerneblødning eller hjerneinfarkt, noe som tyder på at erfarne klinikere gjør andre og mer komplekse vurderinger enn det som er mulig å måle i slike studier.

    – Selv om artikkelens tittel indikerer det motsatte, viser analysene at det på klinisk grunnlag ikke er mulig å differensiere mellom infarkt og blødning, sier Lars Thomassen, professor ved Nevrologisk avdeling, Haukeland universitetssykehus.

    – I Bergen Stroke Registry, som omfatter 1 101 pasienter, har bare 20 % så alvorlige utfall at man kan anta forhøyet intrakranialt trykk. Siden blødninger utgjør ca. 10 % av alle slag, vil tegn til forhøyet intrakranialt trykk foreligge hos ca. 2 % av norske slagpasienter. Både hos disse 2 % og de øvrige 98 % er bildediagnostikk absolutt nødvendig, sier Thomassen.

    Kommentarer  ( 0 )
    PDF
    Skriv ut

    Anbefalte artikler