Background.
Contraceptive implants with progestogens are options for women who need long-term contraception. Implanon which contains etonogestrel (the active metabolite of desogestrel) effectively prohibits ovulation over a period of three years. This study presents aberrations from insertion and removal procedures for Implanon in the period 2 February 2002 – 30 June 2008.
Material and methods.
Information about sales of Implanon in Norway is taken from statistics provided by Farmastat Norway. Aberrations from procedures for insertion and removal of Implanon are based on reports from doctors to the producer. Non-palpable implants to be removed at Volvat Medical Centre in Oslo, were localized by ultrasound and removed surgically.
Results.
In the period 2 February 2002 – 30 June 2008, the producer Organon AS (now Schering- Plough AS) sold 12 898 Implanon implants in Norway and recorded 112 aberrations from existing procedures, the first one 3 March 2003. 18 patients were referred for removal of implants (too deeply inserted) at Volvat Medical Centre in the period 19 January 2004 – 30 June 2008.
Interpretation.
The number of unsuccessful or wrongly inserted implants indicates that doctors should have practiced and be better informed about insertion and removal procedures before using this method. Localization and removal of implants inserted too deeply requires high-frequency ultrasound equipment and surgical experience.
Det finnes flere typer hormonelle prevensjonsmidler som alternativ til p-piller. Når det gjelder rene gestagenmetoder, finnes det en type hormonspiral, et depot injeksjonspreparat, og to implantater: Jadelle består av to staver som inneholder gestagenet levonorgestrel. Implanon består av en stav som inneholder gestagenet etonogestrel, den aktive metabolitten til desogestrel. Dette implantatet ble introdusert i Norge 2.2. 2002 og består av en 4 cm lang og 2 mm tykk stav laget av etinyl-vinylacetat, og inneholder 68 mg etonogestrel. Det settes inn under huden på innsiden av den ikke-dominante overarmen. Til dette finnes en egnet applikator (fig 1). Implantatet gir effektiv ovulasjonshemning i tre år (1) – (4). Halveringstiden for etonogestrel er ca 25 timer (5), og kvinnens ovulasjon er tilbake fra seks uker til tre måneder etter fjerning (3, 6). Det anbefales at implantatet settes inn fra menstruasjonens første til femte dag for å oppnå størst mulig pålitelighet fra dag én etter innsetting (3, 6). Graviditet må utelukkes før innsetting.
Fordelen med denne typen prevensjonsmiddel er lang varighet, og antall graviditeter per 100 brukere per år (Pearl Index) er tilnærmet null (4, 6, 7). Dette er imidlertid under forutsetning av at implantatet er satt inn korrekt. Artikkelen gir en oversikt over avvik fra innsettings- og uttaksprosedyrer for Implanon registrert av produsenten i perioden 2.2. 2002 – 30.6. 2008.
Materiale og metode
Informasjon om salgstall for Implanon er fra Farmastat. Studieperioden er fra 2.2. 2002 til 30.6. 2008. Antall og type avvik fra prosedyrer for innsetting og uttak av Implanon er basert på meldinger fra lege til produsent. Ikke-palpable implantater hos pasienter som ble henvist til Volvat Medisinske Senter, ble lokalisert med ultralyd med 11 MHz lydhode og fjernet kirurgisk.
Resultater
Ifølge Farmastat ble det i studieperioden solgt 12 898 implantater i Norge (8). Det ble ikke registrert avvik fra innsettings- og uttaksprosedyrene før 3.3. 2003, og frem til 30.6. 2008 ble det i alt registrert 58 tilfeller der implantatet ble med applikatoren ut, eller falt i gulvet i forbindelse med innsettingen. Åtte implantater ble fjernet da de var satt så overflatisk at det medførte smerter og ubehag ved bruk av armen. Tre ble utstøtt spontant mens ni var satt inn enten på feil sted (over bisepsmuskelen), eller skjøvet inn i vevet bøyd som en hestesko. Ett implantat var satt inn på lateralsiden av venstre underarm. Det ble i alt registrert ni graviditeter. Fire var gravide før staven ble satt inn, en ble gravid etter innsetting av en demonstrasjonsstav uten virkestoff, mens hos tre var staven ikke satt inn i utgangspunktet (negativ etonogestrelanalyse i serum). Informasjon om den siste graviditeten mangler. 33 implantater var satt inn for dypt og kunne ikke palperes. Av disse ble i alt 18 kvinner henvist til Volvat Medisinske Senter i Oslo for fjerning i perioden 19.1. 2004 – 30.6. 2008. Implantantatene ble lokalisert med ultralyd. Tre var i subkutant fettvev, ett var i bicepsmuskelen og ett like over a. og v. brachialis i aksillen ca 15 cm proksimalt for albuleddet. De resterende 13 implantatene lå like over eller under muskelfascien. Sju ble fjernet av kirurg ved annen poliklinikk/sykehus. I de resterende åtte tilfellene ønsket kvinnene å beholde implantatet. Samlet antall avvik var 112, noe som utgjør 0,87 % av antall solgte implantater i hele perioden.
Diskusjon
For å unngå feilinnsetting må man følge gjeldende prosedyrer for innsetting og uttak som beskrevet i pakningsvedlegget. Kanylen skal stikkes inn under huden på medialsiden av den ikke-dominante overarmen, 6 – 8 cm proksimalt for albuleddet og like under furen til bisepsmuskelen. Huden skal løftes og kanylen føres helt inn i en subdermal posisjon parallelt med huden. Ved å trykke på stopperarmen løses denne fra applikatoren, vris i 90° og holdes i ro mens applikatoren trekkes tilbake. Da er implantatet plassert korrekt (fig 2). Legen og pasienten skal kunne palpere implantatet ved avslutning av prosedyren. Legen bør også sjekke at implantatet ikke sitter igjen i kanylen. Ved fjerning legges et ca. 2 mm longitudinelt snitt over den distale enden av implantatet. Enden presses ut i åpningen manuelt, og implantatet fjernes med en liten arteriepinsett. Begge prosedyrer skjer i lokalanestesi. Avslutningsvis settes det på en tape og kompress.
Det er ingen formelle krav til kompetanse for innsetting og uttak av implantater, men for å unngå feilinnsettinger anbefales leger med liten eller ingen erfaring å tilegne seg denne under tilsyn av en mer erfaren kollega (9), eventuelt ta kontakt med produsenten som tilbyr kurs der det er mulig å trene på en kunstig arm.
Dersom implantatet trekkes ut sammen med applikatoren, kan det føre til uønsket graviditet. Graesslin & Korver anfører at 50,3 % av dokumenterte graviditetene skyldtes at implantatet ikke var satt inn i utgangspunktet (7). I vårt materiale var manglende innsetting årsak til fire av ni graviditeter.
Ismael og medarbeidere skriver at implantatet kan migrere i kranial eller kaudal retning, dog mindre enn 2 cm (10). I vårt arbeid ble alle implantatene lokalisert ca. 2 cm proksimalt for innstikksstedet. Ingen implantater var knekt eller fragmentert ved uttak. Mourtialon og medarbeidere beskriver et tilfelle der implantatet forårsaket perforasjon og okklusjon av a. brachialis (11). Det ble ikke registrert skade på nerver eller kar i dette materialet.
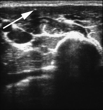
Implantatet er ikke røntgentett. Lokalisering av ikke-palpable implantater må gjøres med MR-undersøkelse eller høyfrekvent ultralyd (12) – (14). Mansour og medarbeidere anbefaler bruk av et lineært lydhode med 12 – 15 MHz som ideelt (12). I denne studien er det brukt et 11 MHz lydhode. Dersom det er usikkerhet om hvorvidt implantatet befinner seg i kroppen, bør det først utføres etonogestrelanalyse i serum (14). En slik analyse tilbys kostnadsfritt av produsenten. Slik analyse ble foretatt før pasienten ble henvist i de tilfellene der det var tvil om implantatet i det hele tatt var satt inn. Ved bruk av ultralyd vises implantatet best i tverrsnitt som en hvit prikk som kaster en skygge ned i underliggende vev (fig 3). Når implantatet er lokalisert, tegner man posisjonen med tusj på huden. Deretter legges i lokalanestesi et longitudinalt snitt på 1 – 3 cm, og man dissekerer seg så forsiktig ned i vevet til implantatet er lokalisert. Unngå kontakt med nerver og kar. Implantatet fjernes med en arteriepinsett. Avslutningsvis sys det med resorberbar tråd, om mulig intrakutant.
Konklusjon
Antall feil- og mislykkede innsettinger viser at det er av vesentlig betydning at legen gjør seg kjent med og øver på innsettings- og uttaksprosedyrer før metoden tas i bruk. Fjerning av implantater som ikke kan palperes, bør utføres av spesialister med kirurgisk kompetanse og adekvat ultralydutstyr for å unngå unødige ulemper for pasienten.
Oppgitte interessekonflikter:
Forfatteren er medisinsk rådgiver for Schering-Plough, en del av MSD.
Tabell
| Hovedbudskap |
|
- 1.
Blumenthal PD, Gemzell-Danielsson K, Marintcheva-Petrova M. Tolerability and clinical safety of Implanon. Eur J Contracept Reprod Health Care 2008; 13: 29 – 36.
- 2.
Gezginc K, Balci O, Karatayli R et al. Contraceptive efficacy and side effects of Implanon. Eur J Contracept Reprod Health Care 2007; 12: 362 – 5.
- 3.
Mäkäräinen L, van Beek A, Tuomivaara L et al. Ovarian function during the use of a single contraceptive implant: Implanon compared with Norplant. Fertil Steril 1998; 69: 714 – 21.
- 4.
Erkkola R, Landgren BM. Role of progestins in contraception. Acta Obstet Gynecol Scand 2005; 84: 207 – 16.
- 5.
Huber J. Pharmacokinetics of Implanon. Contraception 1998; 58 (suppl): 85 – 90.
- 6.
Hohmann H, Creinin MD. The contraceptive implant. Clin Obstet Gynecol 2007; 50: 907 – 17.
- 7.
Graesslin O, Korver T. The contraceptive efficacy of Implanon: a review of clinical trials and marketing experience. Eur J Contracept Reprod Health Care 2008; 13 (suppl 1): 4 – 12.
- 8.
Norsk legemiddelinformasjon Totalstatistikk. Salgstall Implanon 2. februar 2002 – 30. juni 2008. Oslo: Farmastat AS, 2008.
- 9.
Mascarenhas L. Insertion and removal of Implanon. Contraception 1998; 58 (suppl): 79 – 83.
- 10.
Ismael H, Mansour D, Singh M. Migration of Implanon. J Fam Plann Reprod Health Care 2006; 32: 157 – 9.
- 11.
Mourtialon P, Tixier H, Loffroy R et al. Vascular complication after insertion of a subcutaneous contraceptive implant. Acta Obstet Gynecol Scand 2008; 87: 1256 – 8.
- 12.
Mansour D,Walling M, Glenn D et al. Removal of non- palpable etonogestrel implants. J Fam Plann Reprod Health Care 2008; 34: 89 – 91.
- 13.
Vidin E, Garbin O, Roderiguez B et al. Removal of etonogestrel contraceptive implants in the operating theatre: report of 28 cases. Contraception 2007; 76: 35 – 9.
- 14.
Singh M, Mansour D, Richardson D. Location and removal of non- palpable Implanon implants with the aid of ultrasound guidance. J Fam Plann Reprod Health Care 2006; 32: 153 – 6.