Behandling av nøytropen enterokolitt

    ()

    sporsmal_grey_rgb
    Abstract
    Bakgrunn.

    Bakgrunn.

    Nøytropen enterokolitt er en livstruende komplikasjon som mest forekommer ved kjemoterapi for akutt leukemi. Vår erfaring med diagnostikk og behandling av slike pasienter presenteres.

    Materiale og metode.

    Materiale og metode.

    Ved en retrospektiv gjennomgang av journaler fra perioden 2000–08 registrerte vi pasienter behandlet for nøytropen enterokolitt ved Oslo universitetssykehus, Ullevål.

    Resultater.

    Resultater.

    16 pasienter med median alder 33 år var blitt behandlet for nøytropen enterokolitt. De hadde fått induksjonsbehandling for akutt myelogen (n = 9) eller lymfatisk (n = 4) leukemi, myelomatose eller lymfom (n = 3). Median fem dager etter start av induksjonsbehandling fikk pasientene aplasi. Alle fikk initialt konservativ behandling med bredspektrede antibiotika, væske- og elektrolyttilførsel. Ni overlevde etter konservativ behandling alene. Fire måtte opereres. Disse hadde lengst aplasiperiode (median 31 dager). Tre døde. Disse fikk kun konservativ behandling og de fikk raskere aplasi, som inntrådte etter median to dager. Disse pasientene hadde også størst antall fortykkede tarmsegmenter (median ni).

    Fortolkning.

    Fortolkning.

    Nøytropen enterokolitt er en heterogen tilstand, og behandlingen er hovedsakelig konservativ. Kirurgisk intervensjon er nødvendig hos pasienter med fri luft intraabdominalt, ileus og intraktabel tarmblødning. Kort tid til aplasi og mange affiserte tarmsegmenter synes å forverre prognosen.

    Abstract

    Background.

    Neutropenic enterocolitis is a life-threatening complication that usually occurs in connection with chemotherapy for acute leukemias. Our experience with diagnosis and treatment of these patients is presented.

    Material and methods.

    Medical records from patients treated for neutropenic enterocolitis at Ullevaal University Hospital in the period 2000–2008 were retrospectively reviewed.

    Results.

    16 patients with median age 33 years were treated for neutropenic enterecolitis. Induction chemotherapy was given for acute myelogenic (n = 9) or lymphatic (n = 4) leukemia, myelomatosis (n = 2) or lymphoma (n = 1). The patients developed aplasia five days (median) after start of chemotherapy. All patients were first treated conservatively with broad-spectrum antibiotics, fluids and electrolyte supplementation; nine of them recovered without complications. Four underwent surgery for perforation or ileus and these had the longest period with aplasia (median 31 days). Surgery for perforation is mainly limited resection and construction of ileostomy reservoirs (one or two). Three patients died. These were only treated conservatively; aplasia occurred quicker in these patients (after median two days) and they had the largest number of affected bowel segments (median nine).

    Interpretation.

    Neutropenic enterocolitis is a heterogenous condition and the treatment is mainly conservative. Surgical intervention is mandatory in patients with free intraabdominal air, ileus and intractable intestinal bleeding. The prognosis seems to worsen when aplasia develops after a short time and when there is a large number of affected bowel segments.

    Artikkel

    Nøytropen enterokolitt er en alvorlig komplikasjon til kjemoterapi. Tilstanden er rapportert hos 6 % av dem med maligne blodsykdommer (1), men kan også forekomme etter organtransplantasjon og kjemoterapi for maligne solide svulster. Nøytropen enterokolitt kan ha forskjellig alvorlighetsgrad – fra milde gastrointestinale symptomer til peritonitt og sepsis. Det eksisterer ingen internasjonalt aksepterte diagnostiske kriterier for tilstanden. CT og ultralyd er viktige undersøkelser for å diagnostisere og finne utbredelsen (2–4). Graden av veggfortykkelse i tarmen og aplasitidens varighet har vært foreslått som mulige prognostiske faktorer (2–4). Ved tidlig intensiv behandling med bredspektrede antibiotika kan mortaliteten reduseres (5). Kirurgi må overveies ved tegn på peritonitt, tarmperforasjon og intraktabel blødning.

    Vi presenterer her våre erfaringer med behandling av 16 pasienter med nøytropen enterokolitt ved Oslo universitetssykehus, Ullevål.

    Materiale og metode

    Materiale og metode

    Siden det ikke finnes noen diagnosekode for nøytropen enterokolitt, ble koder for ondartede svulster i lymfoid vev, hematopoetisk vev eller beslektet vev (ICD-kode C81-C91), ikke-infeksiøse enteritter og kolitter (ICD-kode K50-K52) samt tilhørende operasjonskoder (ICD-kode JAH og JF) benyttet i søket etter aktuelle pasienter.

    For disse måtte det være en kombinasjon av minst to diagnosekoder for at de skulle bli inkludert. Det foreligger aplasi ved nøytrofile granulocytter < 0,5 · 10⁹/l etter start av induksjonsbehandlingen med kjemoterapi. Vi definerte nøytropen enterokolitt som abdominalsmerter med eller uten blodig diaré og enterokolittforandringer med fortykkelse av tarmveggen påvist ved CT abdomen. Ved diaré ble avføringsprøve undersøkt for Clostridium difficile-toksin og patogene tarmbakterier. CT abdomen ble for alle pasienter gjennomført i arteriovenøs fase med snittykkelse 2 mm. Pasientene ble gitt 30 ml peroral kontrast (natriummetylglukamin 370 mg/ml (Gastrografin)) oppløst i vann til sluttvolum 1 l en time før undersøkelsen.

    Pasientene fikk væske- og elektrolyttsubstitusjon og blodprodukter ved persisterende anemi og koagulopati. Avhengig av allmenntilstand ble de ernært parenteralt, enteralt og/eller peroralt. Hvis det var feber eller frostanfall, ble det tatt blodkultur og iverksatt behandling med bredspektrede antibiotika. Ved ileus eller fri luft intraabdominalt ble pasientene operert.

    Antall dager med aplasi og antall dager fra aplasi oppsto til pasienten fikk gastrointestinale symptomer (smerter, kvalme, oppkast, diaré og blod per rectum) ble registrert. Alle CT-bilder ble retrospektivt gransket på nytt i forbindelse med denne gjennomgangen. Ved CT abdomen ble maksimal veggfortykkelse av tynn- og tykktarm målt og antall affiserte tarmsegmenter angitt. Veggfortykkelse i tarmen på minst 4 mm ble oppfattet som patologisk. Lengden på sykehusoppholdet inkluderte alle liggedøgn i sengepost, postoperativ avdeling og intensivavdeling. Mortaliteten ble definert som dødsfall på grunn av nøytropen enterokolitt under aktuelle sykehusopphold.

    Resultater

    Resultater

    16 pasienter (åtte kvinner) med median alder 33 år ble behandlet for kjemoterapiindusert nøytropen enterokolitt i perioden januar 2000-mai 2008. Ni hadde akutt myelogen leukemi, fire akutt lymfatisk leukemi, tre myelomatose eller lymfom.

    Median fem dager etter induksjonsbehandlingen fikk pasientene aplasi (tab 1). Pasientene hadde median 19 dager med aplasi. Abdominalsymptomer oppsto median åtte dager etter første aplasidag. Alle fikk initialt konservativ behandling med bredspektrede antibiotika, væske- og elektrolyttilførsel. 13 pasienter overlevde, hvorav ni fikk kun konservativ behandling, mens fire måtte opereres. Tre konservativt behandlede pasienter døde av multiorgansvikt. Hos disse gikk det kortere tid fra start av induksjonsbehandling til utvikling av aplasi (to dager) enn hos dem som overlevde operativ behandling (ti dager) eller utelukkende konservativ behandling (fem dager). Disse pasientene hadde også størst antall fortykkede tarmsegmenter (median ni). De opererte hadde lengre aplasitid enn de uopererte.

    Tabell 1

    Forskjellige faktorer hos pasienter med nøytropen enterokolitt inndelt etter type behandling, overlevelse og død. For å ivareta anonymiteten er pasientenes alder utelatt fra tabellen

    Alle pasienter (n = 16)

    Overlevde etter konservativ behandling (n = 9)

    Overlevde etter konservativ og kirurgisk behandling (n = 4)

    Døde etter konservativ behandling (n = 3)

    Faktorer

    Median

    Spredning

    Median

    Spredning

    Median

    Spredning

    Median

    Spredning

    Antall dager fra induksjonsbehandling til aplasi

    5

    1–13

    5

    3–10

    10

    4–13

    2

    1–7

    Antall dager med aplasi

    19

    10–74

    19

    11–46

    31

    14–74

    17

    15–56

    Dager fra aplasi til første abdominal symptomer

    8

    1–50

    4

    1–13

    10

    7–50

    8

    1–15

    Dager fra aplasi til CT abdomen-undersøkelse

    10

    1–50

    4

    1–13

    23

    11–50

    13

    10–16

    Antall fortykkede tarmsegmenter med enterokolittforandringer

    5

    1–9

    3

    1–9

    4

    2–9

    9

    7–9

    Største CT-verifiserte fortykkelse av tarmsegment (mm)

    11

    4–20

    11

    4–20

    10,5

    5–19

    15¹

    1

    [i]

    [i] ¹Største fortykkelse av tarmsegment ble målt hos kun én pasient, siden de øvrige to pasienter hadde pneumatosis intestinalis

    Fire pasienter ble operert, tre pga. fri luft intraabdominalt ved CT. Hos disse tre fant man tarmperforasjon. De opererte hadde lengst aplasiperiode (median 31 dager). Behandlingen var reseksjon og fremlegging av toløpet eller enløpet ileostomi.

    Pasientene var innlagt i sykehuset i median 55 dager (23–119 dager), derav ni dager (2–69 dager) i postoperativ avdeling og intensivavdeling.

    Diskusjon

    Diskusjon

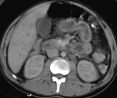
    Nøytropen enterokolitt er en alvorlig tilstand, med en mortalitet på 8–40 % (2, 6, 7). Den kan progrediere raskt fra milde magesmerter og subfebrilia til livstruende septisk sjokk. Klinisk undersøkelse er av begrenset verdi og må suppleres med CT-undersøkelse (fig 1) eller ultralyd abdomen, som gir best diagnostisk resultat og utelukker andre patologiske tilstander (2–4).

    I vårt materiale fikk de som døde aplasi kort tid etter induksjonsbehandling, og de hadde mange fortykkede tarmsegmenter (tab 1). Dette er funn som ikke har vært rapportert tidligere.

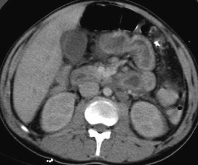
    Lang aplasitid ble påvist hos dem som trengte kirurgisk behandling. Kortvarig aplasi begrenser inflammasjonen til tarmmucosa (mukositt), langvarig aplasi forårsaker kontinuerlig bakteriell invasjon av tarmveggen, med ulcerasjoner (fig 2), nekrose og perforasjon. Disse funnene er i samsvar med observasjoner gjort av Wade & Nava (8). Imidlertid forekommer økt fortykkelse av tarmveggen også ved kolitt utløst av Clostridium difficile, transplantat-mot-vert-sykdom, cytomegalovirusinfeksjon og tarmiskemi (4). Derfor må disse tilstandene utelukkes hvis radiologiske funn skal ligge til grunn for diagnosen nøytropen enterokolitt.

    Tarmens veggtykkelse øker med varigheten av abdominale symptomer (2, 3). Cartoni og medarbeidere rapporterte 60 % mortalitet hos pasienter med tarmveggsfortykkelse > 10 mm (2).

    Behandlingen av nøytropen enterokolitt må vurderes individuelt ut fra kliniske og røntgenologiske funn. Generelt anbefales initialt konservativ behandling (5), (9–11) med bredspektrede antibiotika, væske- og elektrolyttilførsel og blodprodukter, og enteral ernæring tilstrebes. Derimot er kirurgi nødvendig hos pasienter med fri luft intraabdominalt eller alvorlig gastrointestinal blødning (9–11). Ved kirurgi skal nekrotiske og perforerte tarmsegmenter reseceres. Primære anastomoser bør unngås, særlig ved leukopeni og pågående kjemoterapi, hvor risikoen for anastomoselekkasje er stor (5, 9). I vårt materiale overlevde fire pasienter tarmreseksjon med fremlegging av stomi. Slik behandling er forenlig med aksepterte kriterier for kirurgi ved nøytropen enterokolitt (9, 10) og er vist å kunne bedre prognosen (5).

    Ved nøytropen enterokolitt er konservativ behandling hjørnesteinen, men kirurgi er nødvendig ved irreversible skader på tarmen og alvorlig blødning. Kort tid til aplasi etter induksjonsbehandling og patologisk fortykkelse av mange tarmsegmenter synes å innebære dårligere prognose.

    Oppgitte interessekonflikter:

    Ingen

    Kommentarer  ( 0 )
    PDF
    Skriv ut

    Anbefalte artikler