Fra tonsillitt til koksitt

    ()

    sporsmal_grey_rgb
    Abstract

    We present a 19-year-old woman with a throat infection, increased temperature, a positive mononucleosis monospot test and clinical signs of a lower respiratory tract infection. The diagnosis was thought to be mononucleosis complicated by bacterial pneumonia, but she was later found to have Fusobacterium necrophorum in blood cultures. She subsequently developed metastatic abscesses in her lungs and hip joint and was diagnosed with Lemierre’s Syndrome. This case report highlights the importance of close links between clinicians and microbiologists in order to prevent morbidity and mortality in patients with an infectious disease.

    Artikkel

    Halsbetennelse er vanlig, men kan gi alvorlige komplikasjoner. Denne kasuistikken belyser diagnostiske utfordringer og viktigheten av samarbeid mellom mikrobiolog og behandlende lege.

    En 19 år gammel tidligere frisk kvinne utviklet halssmerter. Ved undersøkelse på legevakten tre dager senere var det kliniske tegn til bilateral tonsillitt – med CRP 200 mg/l og positiv monospot. Det ble startet erytromycinkur. Grunnet økende slapphet, høyfebrilitet og tiltakende icterus ble hun innlagt ved lokalsykehuset 12 dager etter symptomdebut.

    Ved innkomst hadde hun betydelige svelgeproblemer og bilateral tonsillitt. Lymfeknutene på halsen var hovne, og hun hadde moderat hepatosplenomegali. Røntgen thorax ved innkomst viste flekkformede fortetninger perihilært i høyre lunge.

    Tentativ diagnose var mononukleose med bakteriell superinfeksjon i øvre og nedre luftveier. Diagnosen var basert på anamnese, klinisk undersøkelse og røntgen- og laboratoriefunn. Det var allerede diagnostisert bilateral tonsillitt på legevakten. Dessverre ble det ikke utført mikrobiologisk undersøkelse med tanke på lokalt infeksjonsfokus i munnhule/hals ved innkomst. Det ble heller ikke tatt blodkulturer ved innkomst. Aktuelle differensialdiagnoser kunne vært tonsillitt med gruppe A-streptokokker, ev. anaerobe bakterier. Kvinnen var påfallende ikterisk, og det var derfor viktig å utelukke gallegangsobstruksjon. Hun var høyfebril, takykard og hadde tegn til begynnende organsvikt, så sepsis med utgangspunkt i luftveiene var også en viktig differensialdiagnose.

    Relevante blodprøver ved innkomst viste bilirubin 249 umol/l, ASAT 112 U/l, ALAT 176 U/l, CRP 181 mg/l, Hb 10,4 g/100 ml, trombocytter 68 · 10⁹/l, leukocytter 31,4 · 10⁹/l, kreatinin 173 umol/l, LD 472 U/l og haptoglobin 2,95 g/l. Blodgassverdier med 2 l oksygen var pH 7,49, pO₂ 7,0 kPa, pCO₂ 3,8 kPa, SaO₂ 88,7%. Ultralydundersøkelse viste ingen gallegangsobstruksjon, men ødematøse nyrer, hepatosplenomegali og grensestor milt. Hun ble behandlet med penicillin G og intravenøs væske. Penicillin G ble seponert fire dager etter innleggelsen pga. kløende utslett.

    Serologisk undersøkelse for Epstein-Barr-virus (EBV) før innleggelse viste grenseverdi for viralt kapsid-antigen (VCA)-IgM, og prøver tre dager etter innleggelse viste grenseverdi for EBV-VCA-IgM og EBV-VCA-IgG. IgG-antistoff mot Epstein-Barr-nukleært antigen ble ikke påvist.

    Antistoffutviklingen var som forventet for aktuell Epstein-Barr-virusinfeksjon. Dette, sammen med blodprøvesvar og funn av hepatosplenomegali, støttet den opprinnelige tentative diagnosen. Bakteriell superinfeksjon i luftveiene er en kjent komplikasjon til mononukleose. Pasienten fikk smalspektret penicillin fra dag 2. Før oppstart av antibiotikabehandling ble det tatt blodkulturer. Da kvinnen utviklet allergisk utslett etter fire dager, var det medisinsk forsvarlig å avslutte antibiotikabehandlingen siden hun hadde respondert på den med fallende CRP- og leukocyttnivåer. Det ble ikke tatt hensyn til vedvarende høyfebrilitet, da dette er vanlig ved mononukleoseinfeksjon. Alternativ antibiotikadekning ble ikke vurdert.

    Fire dager etter at det var tatt blodkulturer, kom det oppvekst av Fusobacterium necrophorum i en anaerob blodkulturflaske. Bakterien var følsom for penicillin, metronidazol, meropenem og moderat følsom for klindamycin. Pasienten ble umiddelbart satt på metronidazol intravenøst.

    Fusobakterier er obligate anaerobe gramnegative staver i familien Bacteroidaceae (1, 2). Denne familien inkluderer også genera Bacteroides, Prevotella og Porphyromonas. Det er rundt 15 forskjellige subspesies av Fusobacterium, hvorav F necrophorum og F nucleatum er de vanligste og mest virulente. F necrophorum finnes i vanlig halsflora og på slimhinner – de fleste infeksjoner er endogene. Den forekommer også i polymikrobielle infeksjoner (2). 10% av publiserte tilfeller med fusobakterieinfeksjon er assosiert med mononukleose (3).

    Mikrobiologen gjorde behandlende lege oppmerksom på at bakterien er assosiert med det sjeldne Lemierres syndrom, med komplikasjoner som peritonsillær abscess og septisk tromboflebitt. Det ble likevel ikke utført ytterligere undersøkelser, da pasienten var i klar bedring og vi hadde lite erfaring med syndromet og mulige komplikasjoner.

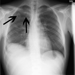
    Åtte dager etter innleggelsen utviklet kvinnen høyresidige pleurittiske smerter. Røntgen thorax viste to avrundede lesjoner i høyre lunge, en med luft-væske-speil (fig 1). Påfølgende CT thorax viste multiple kaviteter i lungene, forenlig med abscesser. Øre-nese-hals-undersøkelse dag 10 viste gråbrune belegg på tonsillene, men ingen tegn til peritonsillær abscess. Ekkokardiografi dag 13 viste ingen tegn til endokarditt.

    Lungetuberkulose med kavitet var her en differensialdiagnose, men tilstanden ble oppfattet som mononukleose og sekundærinfeksjon med F necrophorum, med multiple metastaserende lungeabscesser.

    Halsinfeksjoner med fusobakterier spres enten via aspirasjon til luftveier eller hematogent. Metastasering skjer hyppigst til lungene og pleurahulen (92%) (4). Andre involverte steder er ledd (ca. 20%), muskler (10%), bein (10%) og lever (10%) samt hud, milt og hjerteklaffer (3). Hoften er det vanligst affiserte leddet ved septisk artritt (3, 4).

    Anbefalt terapi er langvarig antibiotikabehandling. Bakterien er vanligvis følsom for penicillin, klindamycin, metronidazol og kloramfenikol (3).

    Pasienten ble utskrevet i klinisk bedring med peroral metronidazol dag 17. Hun ble fulgt med hyppige polikliniske kontroller med blodprøver og røntgen thorax.

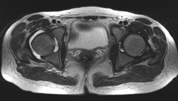
    Røntgen thorax to uker senere viste tilbakegang av lungefortetningene. Ultralydundersøkelse av halskar med tanke på tromboflebitt var negativ. Hun var subfebril på kveldstid. Blodprøver viste SR 108 mm/t og CRP 9 mg/l. Hun opplyste nå at hun under hele sykdomsforløpet hadde hatt vedvarende smerter i høyre hofte og lår. MR av høyre hofte tre uker etter utskrivning viste koksitt, men man avsto fra leddpunksjon for å forhindre iatrogene komplikasjoner (fig 2). Man fortsatte med konservativ behandling med metronidazol.

    Det ble konkludert med diagnosen Lemierres syndrom. Dette syndromet er ofte kalt «the forgotten disease», fordi det er relativt sjeldent og få leger kjenner til det. Man har ikke hatt en helt klar definisjon. Riordan foreslår i sitt materiale fra 2007 en definisjon basert på følgende triade, hvor alle tre kriterier må være oppfylt (3):

    • Sykehistorie eller kliniske funn forenlig med tonsillitt

    • Funn av metastatiske lungelesjoner eller lesjoner i andre organer

    • Funn av jugularvenetromboflebitt eller oppvekst av F necrophorum, ev. andre fusobakteriespesies i blodkulturer eller sterile væsker

    Vår pasient oppfylte alle de tre kriteriene for Lemierres syndrom. Hun hadde tonsillitt, metastatiske lungelesjoner og koksitt samt oppvekst av F necrophorum i blodkultur. Hun hadde ikke jugularvenetromboflebitt, men ultralydundersøkelsen ble utført sent i sykdomsforløpet etter flere uker med adekvat antibiotikabehandling. Det er rapportert om tilfeller der pasienter får total eller delvis tilbakegang av jugularvenetromboflebitt etter 10–14 dagers antibiotikabehandling (5).

    CT thorax fire uker etter utskrivningen viste betydelig tilbakegang av lungefortetningene. MR av høyre hofte tatt samtidig viste litt økende signal i beinmargen i høyre caput femoris, det kunne være en begynnende osteomyelitt. SR var 40 mm/t og CRP < 5 mg/l.

    Pasienten var symptomfri først seks uker etter utskrivningen. Man forsatte metronidazolbehandlingen i ytterligere fire uker. Pasienten fikk dermed antibiotika i til sammen tre måneder. MR høyre av hofte ni uker etter utskrivning viste tilbakegang av koksitt og ingen tegn til osteomyelitt. Ved kontroll seks måneder etter sykdomsdebut var pasienten symptomfri, hadde CRP < 5 mg/l og normalt røntgen thorax.

    Diskusjon

    Diskusjon

    Lemierres syndrom, også kalt necrobacillosis eller postanginal sepsis, er en alvorlig tilstand som hovedsakelig rammer unge, friske personer etter fusobakterieinfeksjon (6, 7). De første beskrivelsene av syndromet kom på begynnelsen av 1900-tallet (6–8). I 1936 beskrev den franske legen André Lemierre (1875–1956) 20 tilfeller (hvorav 18 døde) med anaerob sepsis fra øvre luftveier (6), etter fra ham har syndromet fått navn. Før penicillinet ble oppdaget var dette en relativt vanlig tilstand med høy dødelighet, opptil 90% (6). Med korrekt antibiotikabehandling er prognosen blitt betraktelig bedre. Det er rapportert en letalitet varierende fra 4% til 33% (7).

    Syndromet ble beskrevet i Tidsskriftet i 2002 (8). Man mener at forekomsten av F necrophorum som komplikasjon til infeksjoner i øvre luftveier har økt i de siste 15 år. Det kan være den nest vanligste årsaken til bakteriell tonsillitt – etter gruppe A-streptokokker (9). I en landsdekkende dansk undersøkelse fra 1998 ble hyppigheten av alvorlige tilfeller med Lemierres syndrom anslått å være fire per år – en insidens på 0,8/1 000 000 (7).

    Det er viktig med langvarig antibiotikabehandling pga. komplikasjoner med abscesser – aldri under to uker pga. høy forekomst av tilbakefall. Konsensus vedrørende total behandlingslengde finnes ikke. Hvert tilfelle må vurderes individuelt pga. forskjellig lokalisering av abscesser og variasjon i alvorlighetsgrad. Riordan anbefaler i sin oversiktsartikkel fra 2007 minst seks ukers total behandlingslengde (3). Vi valgte å behandle vår pasient i tre måneder pga. metastaserende lungeabscesser, koksitt og antydning til osteomyelitt.

    På tross av manglende kjennskap til Lemierres syndrom fikk vår pasient den rette behandlingen helt fra innkomst. Denne kasuistikken understreker dermed viktigheten av tett samarbeid mellom klinisk mikrobiolog, radiolog og behandlende lege. Man kom til riktig diagnose ved tolking av positiv blodkultur sammen med det kliniske bildet. Det ble ikke utført halsundersøkelse eller lokal bakteriologisk undersøkelse fra primærfokus i tonsiller ved innkomst. Det ble heller ikke utført målrettede undersøkelser i tidlig fase med tanke på Lemierres syndrom.

    Vi mistenker en betydelig underdiagnostisering av dette syndromet. Grunnen er nok en kombinasjon av manglende kunnskap og dermed lite prøvetaking, kombinert med at bakterien er sterkt følsom for oksygen og ofte ikke overlever transporten til laboratoriet. Ved vårt sykehus tas det av praktiske årsaker ikke rutinemessig anaerob blodkulturflaske av barn som del av en infeksjonsutredning. Ved sykehusinnleggelse foreslår vi at dette gjøres ved infeksjon i munnhule eller hals.

    Ved innleggelse av tonsillittpasienter bør det i tillegg til streptokokkdiagnostikk tas halsprøver med tanke på anaerobe bakterier. Forsinket diagnostikk kan i verste fall ha fatale konsekvenser. Denne kasuistikken er et eksempel på hvordan korrekt antibiotikavalg og behandlingslengde er avgjørende for å forhindre komplikasjoner, morbiditet og mortalitet.

    Pasienten har gitt samtykke til at artikkelen blir publisert.

    Oppgitte interessekonflikter:

    Ingen

    Kommentarer  ( 0 )
    PDF
    Skriv ut

    Anbefalte artikler