Background.
Permanent and reliable vascular access is of utmost importance for patients (with chronic renal failure) in need of haemodialysis. Autogenous arteriovenous fistula (AVF) on the forearm are robust and have the benefits of providing long-term access with relatively few complications. The main problem is insufficient blood flow due to stenoses requiring early intervention. The AVF therefore needs surveillance with regular clinical examination supplemented with imaging. In recent years Doppler sonography has gained an increasingly important role in the assessment of AVFs. This paper discusses AVFs and frequent complications and stresses the benefit of Doppler sonography in the planning and surveillance of AVFs.
Material and methods.
The survey is based on literature retrieved from a PubMed search, and our experience from sonographic examinations of AVFs in the Central Hospital of Lillehammer, Norway.
Results.
Doppler sonography is a non-invasive imaging modality without discomfort for the patient, and well suited for examination of AVFs. The method has a high sensitivity for detection of stenoses and other AVF-related problems, and can provide a detailed image of the course and diameter of blood vessels, with quantitative measurement of blood flow. Indications for Doppler sonography are preoperative mapping, assessment of fistula problems and maturity; it is also a useful method for continuous surveillance of fistulas.
Interpretation.
Doppler sonography can be used for immediate treatment of patients with sudden AVF problems; and if necessary endovascular intervention or surgery can follow. Recent European guidelines recommend the method as a standard procedure before and after creation of an AVF. Doppler sonography should have a central position in a multidisciplinary teamwork on surveillance of patients with AVFs in need of haemodialysis.
Antallet pasienter med kronisk nyresvikt og behov for hemodialyse øker (1). Hemodialyse forutsetter en permanent vaskulær tilgang, enten med sentralvenøst dialysekateter eller arteriovenøs fistel (AV-fistel). Problemer med vaskulær tilgang medfører betydelig morbiditet og høye kostnader (2).
Den mest brukte typen AV-fistel består av anastomose mellom a. radialis og v. cephalica på underarmen, og den ble først beskrevet i 1966 (Brescia-Cimino-fistel) (3). Høy blodstrøm gjennom en slik fistel muliggjør hemodialyse gjennom punksjon av fistelvenen og anslutning til dialysemaskin. Det er vist klare fordeler med AV-fistel i forhold til sentralvenøst kateter, med mindre forekomst av infeksjon og trombose, og redusert mortalitet (2, 4) – (7). Det er derfor en målsetting at flertallet av pasientene starter hemodialyse med AV-fistel (2, 4). For underarmsfistler er nativ vene (autolog fistel) å foretrekke fremfor fistler av kunstmateriale pga.mindre risiko for trombose, lengre levetid og lavere kostnader (2, 4, 6, 8) – (10).
En begrensning med autologe AV-fistler er at en betydelig andel ikke utvikles tilstrekkelig for å kunne brukes til hemodialyse (4, 11). Dette kan skyldes i utgangspunktet uegnede blodkar i armen, som for eksempel uttalt aterosklerose eller meget slanke vener. Slike forhold kan ha bakgrunn i en stadig eldre pasientgruppe med nyresvikt, ofte med høy komorbiditet og kardiovaskulære risikofaktorer som diabetes mellitus og hypertensjon (2, 9, 12).
I en AV-fistel kan det utvikles veggforandringer som over tid progredierer og fører til stenose og redusert blodstrøm (9). Som følge av dette kan det oppstå vansker med å gjennomføre hemodialyse. På basis av en stenose kan det også dannes en trombe i fistelen.
Det er i de senere år blitt utarbeidet retningslinjer som fremhever nødvendigheten av standardiserte kontroller og overvåking av fistler (2, 4). En klinisk vurdering med inspeksjon og palpasjon, i tillegg til blodstrømsmålinger under dialysen, kan i mange tilfeller gi mistanke om fistelkomplikasjoner (2, 4, 13). En nøyaktig kartlegging av årsaken til problemene krever likevel bildediagnostikk. Tradisjonelt ble dette utført som angiografi (fistulografi) med punksjon av fistelen og injeksjon av røntgenkontrastmiddel.
I de siste ti årene har utviklingen innenfor ultralydteknologien medført høy bildekvalitet og oppløselighet. Armens blodkar ligger godt tilgjengelig for undersøkelse med ultralyd, som er en ikke-invasiv metode, skånsom for pasienten, og utføres uten bruk av kontrastmiddel (fig 1). Med tillegg av dopplerteknikk kan også hemodynamiske forhold evalueres. En rekke studier har vist høy treffsikkerhet for ultralyddoppler i diagnostikken av stenoser (14) – (18). Som rutine ved ultralydundersøkelse inngår også måling av blodstrøm (blodvolum per tidsenhet) i fistelen, hvilket samsvarer godt med blodstrømsmålinger under dialyse, og har en viktig prediktiv verdi for dysfunksjon av en fistel (2, 9, 19, 20).
I denne artikkelen presenterer vi AV-fistler med de vanligste problemer som er knyttet til disse og fremhever nytten av ultralyddoppler som kartleggingsverktøy.
Materiale og metode
Artikkelen er basert på litteratursøk i PubMed og egne erfaringer i form av ultralydundersøkelser av AV-fistler ved Sykehuset Innlandet Lillehammer siden 2000.
Indikasjoner for ultralydundersøkelse av AV-fistler
Preoperativ undersøkelse
I tillegg til klinisk undersøkelse, har flere studier vist nytte av en nøye kartlegging av arterier og vener med ultralyddoppler før ev. anleggelse av AV-fistel (8, 21) – (24). Til tross for upåfallende kliniske funn, kan pasienten ha uttalt aterosklerose, arterielle stenoser, venøse tromber, eller meget lav kaliber eller avvikende forløp av arterie eller vene. Omvendt kan en pasient med rikelig subkutant vev på underarmen ha en adekvat vene som vanskelig kan påvises ved inspeksjon (4, 12, 23). Det er vist at preoperative ultralydfunn også kan ha betydning for valg av teknikk, lokalisasjon eller side ved fistelkirurgi hos opptil 31 % av opererte pasienter (23). I nyere retningslinjer er nå ultralyddoppler anbefalt som en preoperativ standardundersøkelse (2, 4).
Det undersøkes både arterielle og venøse forhold fra subclaviaregion til håndledd, fortrinnsvis i den ikke-dominante armen. Blodstrømmen i arterier kartlegges med dopplermålinger, signifikante arterielle stenoser beskrives, og diameter av a. radialis distalt på underarm måles. Grad av arteriell veggkalk vurderes.
V. cephalica på underarmen undersøkes med tanke på tromber, diameter, forløp, dybde fra hud og større sidegrener, med bruk av turniké. Til slutt undersøkes det venøse avløpet på overarm og i v. subclavia. Ved funn som vurderes som uegnet for fistel, undersøkes også den dominante armen.
Resultat av undersøkelsen vurderes av nefrolog i samråd med radiolog og karkirurg, i sammenheng med pasientens totale situasjon og ønskemål, og det tas stilling til om pasienten er kandidat for AV-fistel.
Det er påvist sammenheng mellom målt kardiameter og modning av AV-fistler (12, 21, 22, 24). For venediameter > 2,0 mm preoperativt viste en studie tilstrekkelig fistelmodning hos 76 %, mens venediameter ≤ 2,0 mm kun førte til modning hos 16 % (24). Det foreligger per i dag ingen konsensus om optimale preoperative grenseverdier for kardiameter, men flere studier har foreslått minimum arteriediameter på 1,6 mm og venediameter 2,0 mm (12, 21, 22, 24). En høygradig forkalket a. radialis antas å være uegnet for å kunne gi god nok blodtilførsel til en AV-fistel (2, 12, 25).
Med obligatorisk preoperativ ultralyd i tillegg til vektlegging av kirurgisk erfaring og teknikk, har flere studier vist at det er mulig å konstruere en velfungerende AV-fistel hos de fleste av disse pasientene, også hos eldre med diabetes og annen komorbiditet (25, 26).
Fistelmodning
Etter anleggelse av en AV-fistel trenger denne en modningsperiode før den kan brukes til hemodialyse, vanligvis minst 4 – 6 uker (4). I denne perioden skjer en gradvis remodellering og dilatasjon av både arterien og venen, som muliggjør en betydelig økning av blodstrømmen gjennom fistelen. Klinisk baseres vurderingen av modningsgrad i hovedsak på palpasjon og auskultasjon utført av nefrolog eller dialysesykepleier (2, 4, 13, 19). Flere studier har nå pekt på verdien av ultralydundersøkelse før fistelen tas i bruk, særlig ved mistanke om forsinket modning (9, 18, 19, 27). Ultralyd kan identifisere pasienter med utilfredsstillende modning, og kartlegge bakenforliggende årsaksforhold. En ultralydundersøkelse etter fire ukers modning og påvist venediameter minst 4 mm og blodstrøm minst 500 ml/min kan i høy grad forutsi om fistelen utvikles tilfredsstillende (19).
Ved dialysestart er den optimale situasjonen at pasienten har en velfungerende AV-fistel. En slik fistel har vært definert til å ha en minste venediameter på 6 mm, ligge mindre enn 6 mm fra hud, og ha en blodstrøm på minst 600 ml/min (rule of 6s) (2, 19). Forsinket fistelmodning kan føre til at fistelen ikke kan brukes til hemodialyse, eller kan gå tapt pga. trombose (9). Det er en fordel at dialysesykepleier (som skal stikke på fistelen) er til stede ved ultralydundersøkelsen, og direkte på skjerm får demonstrert venens dimensjon i ulike avsnitt, nøyaktige forløp, dybde fra hud, større sidegrener og ev. veggforandringer.
Ultralyd ved kliniske problemer
Det kan oppstå en rekke kliniske problemer relatert til AV-fistler, som for eksempel smerter, hevelse, problemer med stikking, vansker med å oppnå adekvat dialysekvalitet og høyt venetrykk. Klinisk undersøkelse kan iblant gi holdepunkt for en stenose eller større, venøse sidegrener (2, 13), men gir ikke alltid en sikker avklaring. For nærmere diagnostikk er det i nyere retningslinjer foreslått ultralydundersøkelse som en egnet metode (2, 4, 9, 16, 17).
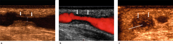
Høy blodstrøm kan føre til utvikling av veggforandringer i venen (intimahyperplasi) som gradvis kan forårsake innsnevring av venen, og ev. en signifikant stenose. Med ultralyddoppler kan en stenose lokaliseres og graderes basert på doppler- og diametermålinger, og blodstrøm i fistelen kan måles og sammenliknes med tidligere verdier (fig 2). Ved påvist signifikant stenose, ofte kombinert med målt synkende blodstrøm i fistelen, foreligger vanligvis indikasjon for snarlig PTA-behandling (fig 3) (4, 9, 27).
Hvis det er punksjonsvansker ved dialysen og det finnes tilgang til ultralydutstyr, kan stikkingen gjøres under direkte ultralydveiledning. I andre situasjoner kan det være ønskelig at fistelens forløp og dybde tydeliggjøres med hudmerking eller tegning (2).
I noen tilfeller kan fistelen være umiddelbart truet. En plutselig «taus» fistel er indikasjon for snarlig undersøkelse, og en fisteltrombose bør behandles med tidlig intervensjon (2, 4). Ultralydundersøkelse som øyeblikkelig hjelp kan da uten forsinkelse kartlegge trombens lokalisasjon og utbredelse (fig 4). Direkte kontakt kan deretter tas med intervensjonsradiolog og/eller karkirurg med tanke på intervensjon, for eksempel trombolytisk behandling kombinert med PTA (28). Det er rapportert at de fleste tromboserte fistler kan reddes med endovaskulær teknikk (4, 27) – (29).
Andre ultralydfunn som aneurisme, pseudoaneurisme eller «stjelende» venøse sidegrener bør tas opp til tverrfaglig diskusjon.
Forløpskontroller
I tidlig stadium fører en fistelstenose ikke alltid til kliniske problemer. Tidlig påvisning av stenoser og behandling av disse med PTA har i flere studier vært omtalt som viktig for å sikre lang levetid for en AV-fistel (15, 18). Det finnes altså grunnlag for regelmessige ultralydundersøkelser, i tillegg til den løpende kliniske overvåkingen av en fistel. Vi har som mål å undersøke fistlene rutinemessig med ultralyd hver 3. måned. Ved lang tids bruk uten problemer og stabile forhold ved klinisk undersøkelse og ultralyd, blir frekvensen redusert til hver 6. måned.
Diskusjon
Basert på prognoser av økende antall pasienter med kronisk nyresvikt og behov for hemodialyse, i tillegg til omtalte fordeler med AV-fistel, er det antatt at behov for AV-fistler kommer til å øke. Dette krever beredskap til å ta seg av problemer knyttet til anleggelse og overvåking av slike fistler. En definert målsetting er å starte hemodialyse med AV-fistel hos flest mulig av disse pasientene, istedenfor med sentralvenøst kateter (2, 4). Det er derfor av største betydning at nyresviktpasienter i god tid henvises til nefrolog (1, 2, 4, 6, 26). Samtidig bør det så langt som mulig være en intensjon å «spare» vener i aktuell arm (unngå punksjon av armvener) (2, 4, 25). Etter vurdering av pasientens totale situasjon, henvises så pasienter som kan være aktuelle for hemodialyse til preoperativ ultralydundersøkelse. Dette må gjøres i god tid før beregnet dialysestart, slik at det finnes rom for planlegging, fistelkirurgi og påfølgende modningsperiode (3, 4, 8, 11, 16).
Ultralyddoppler har ved vårt sykehus vært brukt til undersøkelse av AV-fistler siden 2000. Tidsbruk for en undersøkelse anslås vanligvis til 20 – 30 min. Resultatet av ultralydundersøkelsen diskuteres på tverrfaglig møte. Metoden er hos oss blitt en fast komponent i et tverrfaglig samarbeid om AV-fistler. Samarbeidet omfatter i dag nefrolog, dialysesykepleier, karkirurg og radiolog (både ultralydundersøker og intervensjonsradiolog).
Angiografiens betydning i fisteldiagnostikken er i dag foreslått begrenset til undersøkelse innenfor rammen av PTA-behandling av en allerede påvist stenose, mens angiografi i ren diagnostisk hensikt bør unngås (4). Ved sammenlikning med MR-angiografi er det fremhevet fordeler med ultralyddoppler som fravær av kontrastmiddel og ikke minst lavere kostnad (10, 17).
En fungerende AV-fistel har vært beskrevet som hemodialysepasientens livline og må overvåkes nøye både klinisk og med bildediagnostikk. I tillegg til ultralydundersøker, har intervensjonsradiolog fått en viktig rolle i behandlingen av fistelrelaterte komplikasjoner. Flere publikasjoner har lagt vekt på betydningen av et multidisiplinært samarbeid når det gjelder pasienter med AV-fistler (4, 10, 25, 26, 30). På sykehus med dialysefunksjon er det anbefalt oppretting av et tverrfaglig team bestående av nefrolog, dialysesykepleier, karkirurg og radiolog.
Det bør legges til rette for muligheter til rask kommunikasjon mellom medlemmene i teamet så snart det oppstår problem relatert til en AV-fistel. Ved mistanke om truende havari av en fistel, bør pasienten henvises som øyeblikkelig hjelp til ultralydundersøkelse og derfra ev. direkte videre til radiologisk eller kirurgisk intervensjon.
Konklusjon
I tråd med retningslinjer i nyere litteratur bør ultralyddoppler i dag spille en sentral rolle i behandlingen av pasienter som får hemodialyse ved AV-fistel. Undersøkelsen bør foretas allerede før anleggelse av en fistel, og siden gjentas som ledd i et system med tverrfaglig samarbeid.
Oppgitte interessekonflikter:
Ingen
Tabell
| Hovedbudskap |
|
- 1.
Leivestad T. Annual report 2007. The Norwegian Renal Registry (Norsk nefrologiregister). www.nephro.no/nnr/AARSM2007.pdf (29.5.2009).
- 2.
Vascular Access 2006 Work Group. Clinical practice guidelines for vascular access. Am J Kidney Dis 2006; 48 (suppl): 176 – 247.
- 3.
Brescia MJ, Cimino JE, Appel K et al. Chronic hemodialysis using venipuncture and a surgically created arteriovenous fistula. N Engl J Med 1966; 275: 1089 – 92.
- 4.
Tordoir J, Canaud B, Haage P et al. EBPG on vascular access. Nephrol Dial Transplant 2007; 22: ii88-ii117.
- 5.
Dhingra RK, Young EW, Hulbert-Shearon TE et al. Type of vascular access and mortality in U.S. hemodialysis patients. Kidney Int 2001; 60: 1443 – 51.
- 6.
Ortega T, Ortega F, Diaz-Corte C et al. The timely construction of arteriovenous fistula: a key to reducing morbidity and mortality and to improving cost management. Nephrol Dial Transpl 2005; 20: 598 – 603.
- 7.
Allon M, Daugirdas J, Depner TA et al. Effect of change in vascular access on patient mortality in hemodialysis patients. Am J Kidney Dis 2006; 47: 469 – 77.
- 8.
Ascher E, Gade P, Hingorani A et al. Changes in the practice of angioaccess surgery: impact of dialysis outcome and quality initiative recommendations. J Vasc Surg 2000; 31: 84 – 92.
- 9.
Wiese P, Nonnast-Daniel B. Colour Doppler ultrasound in dialysis access. Nephrol Dial Transpl 2004; 19: 1956 – 63.
- 10.
Thalhammer C, Aschwanden M, Staub D et al. Duplex sonography of hemodialysis access. Ultraschall Med 2007; 28: 450 – 71.
- 11.
Rooijens PP, Tordoir JH, Stijnen T et al. Radiocephalic wrist arteriovenous fistula for hemodialysis: meta-analysis indicates a high primary failure rate. Eur J Vasc Endovasc Surg 2004; 28: 583 – 9.
- 12.
Malovrh M. Native arteriovenous fistula: preoperative evaluation. Am J Kidney Dis 2002; 39: 1218 – 25.
- 13.
Beathard GA, Arnold P, Jackson J et al. Physician Operators Forum of RMS Lifeline. Aggressive treatment of early fistula failure. Kidney Int 2003; 64: 1487 – 94.
- 14.
Tordoir JH, de Bruin HG, Hoeneveld H et al. Duplex ultrasound scanning in the assessment of arteriovenous fistulas created for hemodialysis access: comparison with digital subtraction angiography. J Vasc Surg 1989; 10: 122 – 8.
- 15.
Malik J, Slavikova M, Malikova H et al. Many clinically silent access stenoses can be identified by ultrasonography. J Nephrol 2002; 15: 661 – 5.
- 16.
Dumars MC, Thompson WE, Bluth EI et al. Management of suspected hemodialysis graft dysfunction: usefulness of diagnostic US. Radiology 2002; 222: 103 – 7.
- 17.
Doelman C, Duijm LE, Liem YS et al. Stenosis detection in failing hemodialysis access fistulas and grafts: comparison of color Doppler ultrasonography, contrast-enhanced magnetic resonance angiography, and digital subtraction angiography. J Vasc Surg 2005; 42: 739 – 46.
- 18.
Grogan J, Castilla M, Lozanski L et al. Frequency of critical stenosis in primary arterio-venous fistulae before hemodialysis access: should duplex ultrasound surveillance be the standard of care? J Vasc Surg 2005; 41: 1000 – 6.
- 19.
Robbin ML, Chamberlain NE, Lockhart ME et al. Hemodialysis arteriovenous fistula maturity: US evaluation. Radiology 2002; 225: 59 – 64.
- 20.
Schwarz C, Mitterbauer C, Boczula M et al. Flow monitoring: performance characteristics of ultrasound dilution versus color Doppler ultrasound compared with fistulography. Am J Kidney Dis 2003; 42: 539 – 45.
- 21.
Wong V, Ward R, Taylor J et al. Factors associated with early failure of arteriovenous fistulae for haemodialysis access. Eur J Vasc Endovasc Surg 1996; 12: 207 – 13.
- 22.
Silva MB, Hobson RW, Pappas PJ et al. A strategy for increasing use of autogenous hemodialysis access procedures: impact of preoperative noninvasive evaluation. J Vasc Surg 1998; 27: 302 – 8.
- 23.
Robbin ML, Gallichio MH, Deierhoi MH et al. US vascular mapping before hemodialysis access placement. Radiology 2000; 217: 83 – 8.
- 24.
Mendes RR, Farber MA, Marston WA et al. Prediction of wrist arteriovenous fistula maturation with preoperative vein mapping with ultrasonography. J Vasc Surg 2002; 36: 460 – 3.
- 25.
Konner K, Hulbert-Shearon TE, Roys EC et al. Tailoring the initial vascular access for dialysis patients. Kidney Int 2002; 62: 329 – 38.
- 26.
Allon M, Robbin ML. Increasing arteriovenous fistulas in hemodialysis patients: problems and solutions. Kidney Int 2002; 62: 1109 – 24.
- 27.
Turmel-Rodriguez L, Mouton A, Birmele B et al. Salvage of immature forearm fistulas for haemodialysis by interventional radiology. Nephrol Dial Transpl 2001; 16: 2365 – 71.
- 28.
Mercado C, Salman L, Krishnamurthy G et al. Early and late fistula failure. Clin Nephrol 2008; 69: 77 – 83.
- 29.
Rajan DK, Clark TW, Simons ME et al. Procedural success and patency after percutaneous treatment of thrombosed autogenous arteriovenous dialysis fistulas. J Vasc Interv Radiol 2002; 13: 1211 – 8.
- 30.
Nguyen VD, Griffith C, Treat L. A multidisciplinary team approach to increasing AV fistula creation. Nephrol News Issues 2003; 17: 54 – 6.