Strålebeskyttelse av barns bryst ved høyoppløselig CT av lungene

    ()

    sporsmal_grey_rgb
    Abstract
    Bakgrunn.

    Bakgrunn.

    Statens strålevern anbefaler vismut som beskyttelse av strålefølsomme overflateorganer ved CT-undersøkelser. I studien vurderes nytten av denne typen stråleskjerming av unge jenters bryster ved høyoppløsnings-CT (high resolution computed tomography; HRCT) ved utprøving på fantom.

    Materiale og metode.

    Materiale og metode.

    Skjold med ett, to og tre lag vismut ble lagt over et homogent fantom. Bildestøy, artefakter og CT-tall (gråtoner i bildet, som beskriver vevets tetthet) ble vurdert fra bildeopptakene. Stråledosen ble målt i barnefantom.

    Resultater.

    Resultater.

    CT-tall ble målt i flere punkter i bildene. I de to øverste centimeterne av fantomet var CT-tallene inntil 33 % forhøyet med to og tre lag vismut i forhold til bildet uten vismut. Med ett lag var CT-tallene inntil 8 % forhøyet. Støy i bildene ble målt på samme måte, og var opptil 56 % forhøyet ved bruk av to og tre lag vismut, og opptil 14 % forhøyet med ett lag. Overflatedosen i brystregionen ble redusert med 30 %, 45 % og 75 % med hhv. ett, to og tre lag vismut.

    Fortolkning.

    Fortolkning.

    Bruk av skjold med ett lag vismut ser ut til å ha liten innflytelse på CT-bildene. Barneradiologisk avdeling ved Ullevål universitetssykehus benytter nå vismutbeskyttelse med ett lag vismut ved høyoppløsnings-CT av jenter opptil 16 år.

    Abstract

    Background.

    The Norwegian Radiation Protection Authority recommends bismuth to protect radiosensitive surface organs during CT imaging. A study based on the use of phantoms was therefore initiated to investigate the usefulness of this protection on the breasts of young girls undergoing high-resolution computed tomography (HRCT) of the chest.

    Material and methods.

    Shields covered with one, two or three layers of bismuth were placed on a homogenous phantom. CT numbers (pixel values in the images which describe the density of the tissue imaged), noise and artifacts were evaluated from the images of the phantom. Dosimeters were used for dose measurements in an anthropomorphic phantom of a child.

    Results.

    Areas close to the shield in the images of the phantom had CT numbers up to 33 % higher with two and three layers of bismuth than in the images without shielding. With one layer the CT numbers were up to 8 % higher. Noise in the same area was up to 56 % higher with two and three layers of bismuth than without, and up to 14 % higher with one layer. The surface dose in the breast region was reduced with 30 % with one layer of bismuth, 45 % with two and 75 % with three layers of bismuth.

    Interpretation.

    Shielding with one layer of bismuth seems to have little effect on the CT images. The Department of pediatric radiology at Ullevaal University Hospital now uses bismuth protection with one layer as a routine during HRCT of girls up to 16 years of age.

    Main findings
    Tabell

    Hovedbudskap

    • Vismut anbefales som strålebeskyttelse av strålefølsomme overflateorganer ved CT-undersøkelser, men er ikke kommersielt tilgjengelig for barn

    • Vi ønsket å vurdere om vismutskjold kan brukes ved aksial høyoppløsnings-CT av unge jenter

    • Vismutskjold kan brukes i ett lag, og dermed vil stråledosen reduseres ved denne typen undersøkelse av unge jenter

    Artikkel
    Innledning

    CT er undersøkelser som gir høye stråledoser til pasient, og bruk av CT har økt kraftig de siste årene (1). Barn er spesielt følsomme for ioniserende stråling. FN anslår at de har 2 – 3 ganger større sannsynlighet for å få senvirkninger, og da i hovedsak kreft, i løpet av livet som følge av bestråling, enn voksne (2). Det er derfor spesielt viktig under CT-undersøkelser av barn, at stråledosen er så lav som mulig. Høyoppløsnings-CT av unge jenter gir en betydelig stråledose til brystene. Bryster er spesielt strålefølsomme organer, særlig når de er i vekst (3). Statens strålevern anbefaler bruk av vismut som beskyttelse av strålefølsomme overflateorganer under CT-undersøkelser (4). For barn er ikke vismutskjold kommersielt tilgjengelig, og Anne-Cath Vestlys avdeling, Barneradiologisk avdeling ved Ullevål universitetssykehus ønsket derfor å undersøke om det var mulig å bruke denne typen strålebeskyttelse på barn, og hvor tykt det burde være ved høyoppløsnings-CT av unge jenter. For å undersøke dette ble vismutskjold av ulike tykkelser prøvd ut på fantomer.

    Materiale og metode

    Materiale og metode

    Vismutskjold er et strålebeskyttende skjold (F & L Medical Products, Vandergrift, PA, USA) som består av grunnstoffet vismut innbakt i lateks. Vismutskjoldet legges i selve strålefeltet under CT-undersøkelser, og vismuten i skjoldet absorberer noe av strålingen, slik at underliggende vev får en redusert stråledose (4). Materialet egner seg derfor godt som strålebeskyttende materiale for strålefølsomme overflateorganer. Hvert flak med vismut innbakt i lateks har en blyekvivalens på 0,015 mm bly (5). Det ble laget vismutskjold med ett, to og tre lag vismut for å undersøke hvor mange lag med vismut som var hensiktsmessig å bruke. Disse ble lagt over et 1 cm tykt lag med skumgummi for å løfte eventuelle artefakter vekk fra det diagnostisk interessante området.

    Opptakene ble gjort med en dual slice GE HiSpeed NX/i Pro, med standard HRCT-protokoll, med 120 kV, 80 mA, aksiale snitt på 1 mm med intervall 10 mm, rotasjonstid på 0,7 sekunder, 15 bilder.

    To fantomer ble skannet med ett, to og tre lag vismut. For å vurdere støy, artefakter og CT-tall (pikselverdiene i bildet, som beskriver tettheten til vevet og gir ulike gråtoner) ble det benyttet et homogent fantom av perspeks med diameter 16 cm (RTI Electronics AB, Sverige). Bildene av det homogene fantomet ble vurdert ved at støy og CT-tall ble målt gjennom fantomet fra regionen rett under vismutskjoldet, og nedover i bildet av fantomet. CT-tall er pikselverdiene i CT-bildet, som gjenspeiler tettheten i tilhørende vev. Dette gir oss gråtonene i CT-bildet, og kontrasten mellom disse gjør at man kan skille ulike organer med ulik tetthet. Bildene ble også vurdert med henblikk på hvor artefaktene fra vismuten plasserte seg.

    Til dosemålingene og vurdering av artefakter ble det benyttet et antropomorft fantom av en ettåring (CIRS Tissue Simulation Technology, USA, Modell 704-D). Det ble målt overflatedose i brystregionen, og dose til lungevev. Dosemålingene ble gjort med TLD (Thermo Luminescence Dosemeters) (TLD 200, Harshaw, USA). Dosimetrene er krystaller av litiumfluorid som absorberer ioniserende stråling, og kan avleses etter bruk. Dosimetrene ble tapet i par til hvert bryst på fantomet, og lagt inn i lungevevet i fantomet. Disse ble byttet for hvert skann, og avlest i etterkant. De har normalt en feilmargin på 20 % (6).

    Resultater

    Resultater

    Bildene av det homogene fantomet ble vurdert med tanke på støy, CT-tall og artefakter. Støy og CT-tall ble målt i bildene fra opptak med ingen, ett, to og tre lag vismut. Støy og CT-tall ble vurdert ved at gjennomsnittlig pikselverdi og standardavvik ble målt i 12 sirkulære områder med 1 cm mellomrom nedover i fantomet. Verdiene ble plottet i figur 1 og 2 som funksjon av avstand fra fantomets overkant for de ulike vismuttykkelsene. I de to øverste centimeterne i fantomet mot vismutskjoldet var CT-tallene inntil 33 % forhøyet med to og tre lag vismut i forhold til bildet uten vismut. Med ett lag var CT-tallene inntil 8 % forhøyet. Støy i det samme området var inntil 56 % forhøyet med to og tre lag vismut i forhold til bildet uten vismut, og inntil 14 % forhøyet med ett lag.

    Dosene til brystene målt med dosimetrene er i figur 3 gjengitt som gjennomsnittet av dosen fra fire dosimetre for hver måling. Det var stor spredning i målingene. Dosen til brystene sank gjennomsnittlig med 30 % ved bruk av ett lag vismut. Ved bruk av to og tre lag sank dosen med hhv. 45 % og 75 %. Dose til lungevev var meget lav både med og uten bruk av vismut. Bildene av barnefantomet ble også vurdert kvalitativt med henblikk på artefakter. Det var tydelige artefakter rundt vismutskjoldet og ut på sidene, men i bildene med ett lag vismut ble det ikke funnet artefakter som påvirket det diagnostisk aktuelle området. I bildene med to og tre lag vismut var effekten av forhøyede CT-tall synlig ved at bildene var noe lysere (høyere pikselverdier) i området rett under skjoldet.

    Diskusjon

    Diskusjon

    Dosemålingene viser at i alle tilfeller reduseres dosen til brystene betraktelig ved bruk av vismutskjold. Det var stor spredning i dosemålingene, trolig på grunn av stor usikkerhet i målinger gjort med TLD (Thermo Luminescence Dosemeters) generelt. Allikevel er den gjennomsnittlige dosereduksjonen i samme størrelsesorden som ved andre studier (5, 6), og det vil i så måte være ønskelig å kunne anvende disse i klinikken så lenge bildekvaliteten er tilfredsstillende. Bildekvalitetsmålingene viser at støy i bildene øker når dosen går ned, noe som er forventet. Økning i støy ved bruk av ett lag vismut er beskjeden, og mesteparten av denne økningen ligger i området rett under vismutskjoldet, i et område som normalt ikke er diagnostisk interessant ved denne type undersøkelse. CT-tallene er også forhøyet i området rett under skjoldet, noe som kommer av en herdingseffekt (beam hardening), der strålen blir filtrert gjennom vismutskjoldet og får en høyere gjennomsnittsenergi etterpå. Strålingens dempning i vev og fantomer avhenger av strålens energi, og CT-tallene påvirkes dermed av denne filtreringen. Allikevel er det kun rett under skjoldet at denne effekten er tydelig (fig 2), slik at dette ikke vil påvirke diagnostisk kvalitet i bildene. Artefaktene i form av striper rundt skjoldet er tydelige, men ble vurdert av radiolog til ikke å påvirke de diagnostiske områdene.

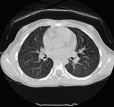
    Dosereduksjonen til brystene er betydelig ved bruk av kun ett lag vismut, og ett lag vismut ga mindre artefakter, støy og herdingseffekter enn to og tre lag. På bakgrunn av dette ble bruk av skjoldet med ett lag vismut vurdert som trygt, og det ble bestemt at skjoldet skulle benyttes på pasienter (fig 4). Ved Ullevål universitetssykehus er ett lag vismut nå i rutinemessig bruk som strålebeskyttelse av brystene til jenter under 16 år som kommer til aksial høyoppløsnings-CT av lungene. Skjoldet plasseres over 1 cm skumgummi og er laget i ulike størrelser for å passe best mulig til barna som kommer inn til undersøkelse. Dette er viktig for å unngå artefakter (striper i bildene) som følge av at skjoldet henger for langt ned på sidene. Av hygieniske grunner pakkes skjoldene inn i plast, og festes deretter på pasienten med tape. Dette gjør at både plast og tape enkelt kan fjernes etter undersøkelsen, hvilket ikke er mulig hvis skjoldene festes direkte med tape uten plast mellom. CT-bildene av unge jenter med vismut over brystene ser eksempelvis ut som i figur 5. Bildene vurderes som diagnostisk tilfredsstillende av barneradiolog, da artefaktene rundt skjoldet verken når inn gjennom thoraxveggen eller påvirker fremstillingen av bein- og bløtvev.

    Ved bruk av vismutbeskyttelse under vanlige volumopptak med kontrast vil man også kunne oppnå dosereduksjon til strålefølsomme organer ved forhåndsdefinerte opptaksparametere. Imidlertid er det vanlig å bruke automatisk dosemodulering under disse volumopptakene, noe som vil kunne oppveie dosebesparelsen eller i verste fall øke stråledosen til pasienten ved bruk av vismutskjold. Dette er avhengig av hvilken type skanner man bruker.

    Oppgitte interessekonflikter:

    Ingen

    Kommentarer  ( 0 )
    PDF
    Skriv ut

    Anbefalte artikler