Hjerneskade under carotiskirurgi og stenting

    ()

    sporsmal_grey_rgb
    Artikkel

    Cerebrale mikroembolier påvist under kirurgisk behandling eller stenting av carotisstenoser, er assosiert med ipsilaterale iskemiske cerebrovaskulære hendelser og nye iskemiske lesjoner.

    Gevinsten av kirurgisk behandling eller stenting versus medikamentell behandling av høygradige symptomatiske carotisstenoser avhenger av komplikasjonsfrekvens under prosedyren. Det er kjent at cerebrale mikroembolier kan påvises ved transkranial dopplerundersøkelse under slike prosedyrer. Den kliniske betydningen av disse mikroemboliene er imidlertid omdiskutert.

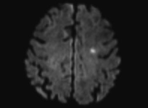
    I en ny studie har vi undersøkt 91 pasienter, hvorav 61 ble behandlet med carotisendarterektomi og 30 med carotisangioplastikk og stenting (1). Transkranial doppler med embolideteksjon og for første gang også embolidifferensiering ble utført kontinuerlig under alle prosedyrene. Mikroembolifunn ble relatert til nye kliniske cerebrovaskulære hendelser under prosedyren og nye iskemiske lesjoner på cerebral diffusjonsvektet MR etter prosedyren.

    Studien viste at cerebrale mikroembolier, både solide og gassembolier, var assosiert med nye iskemiske hendelser under prosedyren og med nye iskemiske lesjoner på cerebral diffusjonsvektet MR. Flest mikroembolier ble påvist ved behandling av lavekkogene lipidholdige plakk, hvilket samsvarer med tidligere studier som har vist at disse plakkene er mer ustabile enn de mer ekkorike fibrotiske plakkene. Iskemi på cerebral diffusjonsvektet MR før prosedyren var også assosiert med økt frekvens av mikroembolier under prosedyren.

    Cerebrale mikroembolier under carotiskirurgi og stenting er altså assosiert med iskemisk hjerneskade undersøkt ved cerebral diffusjonsvektet MR og klinisk vurdering. Cerebrale mikroembolier er et mål på plakkenes instabilitet og risiko for cerebrovaskulære hendelser.

    Kommentarer  ( 0 )

    Anbefalte artikler