Background.
Invasive coronary angiography is the gold standard for diagnosing coronary artery disease. CT angiography (CTA) is a non-invasive alternative that is more available and less expensive. Previous Norwegian experience with 16-channel CT has been less successful than that reported from other countries. Improved image resolution has increased expectations of a better diagnostic accuracy, but a new local assessment of the method’s usefulness is needed before routine usage is implemented.
Material and methods.
Patients with suspected stabile coronary disease, referred to invasive coronary angiography, were first assessed with 64-channel CT angiography. Patients with atrial fibrillation or previous bypass operation were not included. All patients who fulfilled the eligibility criteria were included in the study (104), but 13 who had an Agatston calcium score ≥ 800 and three for whom the examinations were technically unsuccessful were excluded; the study material therefore consisted of 88 patients. We assessed the method’s ability (diagnostic accuracy) to detect diameter stenoses ≥ 50 % in coronary segments ≥ 2 mm (without stent).
Results.
When 4 % non-interpretable segments were interpreted as positive (stenotic), the sensitivity was 97 %, the specificity 78 % and the positive and negative predictive values were 77 and 98 % on a patient level. For 50 patients who did not have significant stenosis, CTA correctly identified 39, but overestimated the degree of stenosis in 11 patients.
Interpretation.
64-channel CTA is best at ruling out obstructive coronary artery disease in patients with intermediate risk of such disease. Few patients with significant lesions were missed due to false negative CTA evaluations, but false positive findings are a problem in low risk populations.
Tabell
| Hovedbudskap |
|
Referansemetoden for anatomisk diagnostikk av koronarsykdom er invasiv koronar angiografi, men undersøkelsen er ressurskrevende og utføres kun ved et fåtall større sykehus i Norge. Omkring 40 % av prosedyrene leder i dag til at man utelukker koronarsykdom eller til fortsatt råd om medisinsk behandling (personlig meddelelse, Per Mølstad, Feiringklinkken, 2006). Koronar CT-angiografi (CTA) er foreslått som et alternativ der det er symptomer, men moderat risiko for obstruktiv koronarsykdom (1). Metoden er ikke-invasiv, billigere og tilgjengelig også ved mindre sykehus. Erfaringer fra store universitetsklinikker i utlandet har vist tilfredsstillende overensstemmelse mellom CTA-resultater og resultater av invasiv koronar angiografi, men i to studier med 16-detektorraders koronar CT-angiografi fra lokalsykehus i Norge samt den eneste internasjonale multisenterstudien med blindet ekstern vurdering av stenosegrad ble det konkludert med begrenset diagnostisk treffsikkerhet (2) – (4). Den teknologiske utviklingen, med bl.a. kortere rotasjonstid og flere detektorrader, gir bedre bildekvalitet ved CT-angiografi av koronarkar, og CT med 64 detektorrader er nå den mest aktuelle teknologien. Igjen er det publisert imponerende gode resultater fra enkeltsenterstudier med slikt utstyr (5) – (7). Både mulig skjevhet i publikasjonsseleksjonen og usikkerhet rundt hvordan metoden fungerer ved et senter der man ikke har muligheter til løpende kontroll med invasiv koronar angiografi gjorde at vi fant det viktig å foreta en egen vurdering av metodens nytteverdi i et norsk lokalsykehus.
Materiale og metode
Personer med mistenkt stabil koronarsykdom og klinisk indikasjon for invasiv utredning ble først undersøkt med 64-detektorraders koronar CT-angiografi ved Sykehuset Østfold Moss. Alle pasienter henvist til invasiv koronar angiografi fra tre sykehuspoliklinikker og fire privatpraktiserende kardiologer i Østfold ble i perioden juni 2006 til juni 2007 fortløpende vurdert for studien. Etter eksklusjon av dem med serum-kreatininnivå > 150 µmmol/l (> 120 µmmol/l hos diabetikere), atrieflimmer, frekvente ekstrasystoler, hjertefrekvens > 80 per minutt etter medisinering, tidligere bypassoperasjon, kjent røntgenkontrastmiddelreaksjon og akutt koronarsyndrom ble 104 pasienter inkludert. Gjennomsnittlig tidsintervall mellom CT-angiografi og invasiv koronar angiografi var 25 ± 6 dager. Tre CTA-undersøkelser var mislykket (en pga. ekstrasystoler, en pga. bevegelsesartefakter og en pga. kontrast gitt på feil tidspunkt), og 13 pasienter ble ekskludert etter protokoll pga. mye kalk i koronarkarene (kalsiumskår ≥ 800). Segmenter med stent ble også ekskludert. Analysene omfattet 88 pasienter. Bakgrunnsvariabler i pasientmaterialet er vist i tabell 1.
Tabell 1
Bakgrunnsvariabler i pasientmaterialet (CCS = Canadian Cardiovascular Society)
| N = 88 |
|
| Alder (år) |
61 ± 9 |
| Antall menn |
49 (56 %) |
| Kjent koronarsykdom |
17 (19 %) |
| Hypertensjon |
45 (51 %) |
| Røykere |
17 (19 %) |
| Diabetes |
13 (15 %) |
| Arvelig belastet |
28 (32 %) |
| Typisk angina |
50 (57 %) |
| CCS-funksjonsklasse II + III |
67 (76 %) |
| BMI (kg/m²) |
27 (± 4) |
| S-kolesterol (mmol/l) |
4,7 (± 1,1) |
| Kalsiumskår (median Agatstons skår) |
89 (3 – 267) |
Studien var godkjent av regional komité for medisinsk og helsefaglig forskningsetikk for Øst-Norge, og alle deltakerne ga skriftlig informert samtykke.
Koronar CT-angiografi
CT-undersøkelsen ble utført med en Toshiba 64-detektorraders CT-maskin (Toshiba Aquilion CFX). Prosedyren startet med en EKG-styrt serie uten intravenøs kontrast med lavdoseteknikk (75 mAs, 120 kV) for å måle kalsium i koronararteriene (Agatstons skår) og planlegge hovedundersøkelsen. Etter pasientinformasjon, pusteteknikktrening og 0,4 mg nitroglyserin sublingvalt ble en bolus med 100 ml iodixanol (Visipaque 320 mg/ml) injisert med en hastighet på 5 ml/s, etterfulgt av 40 ml NaCl. Pasienter med kroppsvekt over 95 kg fikk 110 ml kontrast injisert med en hastighet på 6 ml/s.
CT-skanningen ble automatisk satt i gang når maskinen målte en på forhånd definert tetthet (Houndsfield Units, HU) i aorta descendens, dvs. tettheten målt før kontrastinjeksjonen + 100 HU tilkommet ved injeksjonen. Følgende innstillinger på CT-apparatet ble benyttet: 120 – 135 kV, 350 – 400 mA avhengig av vekt, rotasjonshastighet omkring 400 ms avhengig av hjertefrekvens, snittykkelse 0,5 mm, pitch 0,20 – 0,33 og skannetid 8 – 12 sekunder. Bildene med best oppløsning ble rekonstruert fra forskjellige deler av hjertesyklusen, oftest fra diastolen, fordi koronarkarene da ligger mest i ro. Koronartreet ble delt opp i 17 segmenter etter anbefalinger publisert av American Heart Association (8). Kun kar som ved invasiv koronar angiografi var ≥ 2 mm ble inkludert i analysene. Korteste diameter i stenosen ble målt manuelt og stenosegraden angitt i prosent av gjennomsnittlig referansediameter før og etter stenosen. Radiologene hadde erfaring med generell CT og hadde vært på flere studiebesøk for å lære koronar CT-angiografi, men hadde ikke erfaring i invasiv koronar angiografi.
Bildene ble tolket av to radiologer som ikke hadde kliniske opplysninger og som var blindet for hverandres vurdering og resultatet av invasiv koronar angiografi. Konsensus mellom de to radiologene ble sammenliknet med resultatet av den invasive undersøkelsen. For å unngå tilsynelatende uoverensstemmelser pga. karnomenklatur ble opptakene fra CT-undersøkelsen og fra den invasive koronare angiografien sammenliknet etter at tolkingssvaret var avgitt, på møter der både kardiologer og radiologer var til stede.
Invasiv koronar angiografi
Invasiv koronar angiografi på Feiringklinikken ble utført etter vanlig standard. Angiogrammene ble analysert i ettertid av en erfaren angiografør, som var blindet for kliniske opplysninger og resultatet av CT-angiografien, ved hjelp av kvantitativ koronaranalyse (QCA, Medis, QCA-CMS 4.1, Leiden, Nederland).
Statistikk
Resultatet av CTA-undersøkelsen ble sammenliknet med referansemetoden invasiv koronar angiografi på både segment- og pasientnivå. CT-angiografiens diagnostiske treffsikkerhet i å påvise signifikante stenoser på ≥ 50 % presenteres som prosent korrekt diagnose, sensitivitet, spesifisitet og positiv og negativ prediktiv verdi med 95 % konfidensintervall. Gjennomsnittsverdier med standardavvik er angitt ved normalfordelte data, ellers median med 25- og 75-prosentiler. Shapiro-Wilks test ble brukt for å vurdere normalfordeling av kontinuerlige variabler. T-test ble brukt for sammenlikning av kontinuerlige normalfordelte data, mens Kruskal-Wallis’ test ble brukt der dataene ikke var normalfordelt. Ved kategoriske data er Fishers eksakte test eller khikvadrattest benyttet. De øvrige statistiske utregningene ble gjort i STATA versjon 10 (College Station, Texas, USA).
Resultater
Pasientanalyse
Med invasiv koronar angiografi fikk 38 (43 %) av de 88 inkluderte pasientene påvist ett eller flere koronarsegmenter med ≥ 50 % stenose. Ved hjelp av CT-angiografi ble 37 (97 %) av disse korrekt diagnostisert med signifikant koronarsykdom i minst ett karsegment når ikke-tolkbare segmenter (4 %) ble regnet som positive. For tre pasienter ble klassifikasjonen sann positiv selv om stenosen ble påvist i feil segment. Ut fra CT-angiografi kom man korrekt frem til at 39 (78 %) av 50 pasienter var uten signifikante stenoser, men hos 11 ble stenosegraden overvurdert. Den diagnostiske treffsikkerheten varierte med om ikke-tolkbare CT-segmenter ble regnet som positive eller negative i analysen (tab 2). Når ikke-tolkbare segmenter ble regnet som negative, var sensitiviteten på pasientnivå 89 % (95 % KI 77 – 99 %). Dersom de ikke-tolkbare segmentene i stedet ble regnet som positive, steg sensitiviteten til 97 % (95 % KI 93 – 100 %), med fall i spesifisitet fra 82 % (95 % KI 72 – 93 %) til 78 % (95 % KI 67 – 90 %). Kun én pasient med signifikant koronarstenose ble da feilvurdert med falskt negativ diagnose med CT-angiografi. Obstruktiv koronarsykdom ble falskt positivt feildiagnostisert hos henholdsvis 11 og ni pasienter alt ettersom ikke-tolkbare segmenter ble regnet som stenotiske eller ikke.
Tabell 2
Diagnostisk nøyaktighet av koronar CT-angiografi på pasientnivå ut fra om ikke-tolkbare segmenter regnes som negative (
| Klassifisering av ikke tolkbare CTA-segmenter | ||
| Negative (%) |
Positive (%) |
|
| Sensitivitet |
89 (77 – 99) |
97 (93 – 100) |
| Spesifisitet |
82 (72 – 93) |
78 (67 – 90) |
| Positiv prediktiv verdi |
79 (66 – 91) |
77 (65 – 89) |
| Negativ prediktiv verdi |
91 (83 – 100) |
98 (93 – 100) |
| Korrekt diagnose |
85 |
86 |
Kun ti pasienter (11 %) var helt uten synlige arteriosklerotiske veggforandringer. Fordelingen av ett-, to- og trekarsykdom gjaldt henholdsvis 17 (19 %), 16 (18 %) og fem (6 %) pasienter.
Av de 88 inkluderte pasientene var 71 (88 %) uten kjent koronarsykdom før undersøkelsen, men 84 (96 %) hadde en eller flere risikofaktorer for koronar hjertesykdom (tab 1). Arbeids-EKG ble utført hos alle, unntatt én, og var positivt hos 47 pasienter (54 %) og negativt og usikkert hos henholdsvis 18 (21 %) og 22 (25 %).
Hjertefrekvensen var 63 ± 11, målt rett før CTA-undersøkelsen. Peroral betablokker ble på forhånd brukt av 67 pasienter (76 %), og 39 (44 %) fikk tilleggsdose undersøkelsesdagen. I forbindelse med CT-angiografien så vi kun ett tilfelle av utslett etter intravenøs kontrast. Det var en beskjeden, ikke-signifikant stigning i serum-kreatininnivå tredje dag (fra 78 ± 17 µmol/l til 80 ±18 µmol/l, målt hos 83 av de 88 pasientene, p = 0,09) sammenliknet med nivået før undersøkelsen.
Segmentanalyse
Av 79 koronarsegmenter der det ble funnet signifikant stenose ved invasiv koronar angiografi, ble det ved hjelp av CT-angiografi påvist 70 (89 %) korrekt når ikke-tolkbare segmenter ble regnet som stenotiske. Den diagnostiske nøyaktigheten av CT-angiografi sammenliknet med invasiv koronar angiografi er angitt i tabell 3. Den varierer med hvorvidt ikke-tolkbare CT-segmenter ble regnet som positive eller negative eller ble ekskludert fra analysen.
Tabell 3
Diagnostisk nøyaktighet av koronar CT-angiografi på segmentnivå ut fra om ikke-tolkbare segmenter ekskluderes fra analysen (41 færre segmenter) eller regnes som negative (
| Klassifisering av ikke-tolkbare CTA-segmenter | |||
| Ekskludert (%) |
Negative (%) |
Positive (%) |
|
| Sensitivitet |
87 (79 – 95) |
77 (68 – 87) |
89 (82 – 96) |
| Spesifisitet |
95 (94 – 97) |
95 (94 – 97) |
92 (90 – 94) |
| Positiv prediktiv verdi |
59 (50 – 69) |
59 (50 – 69) |
49 (41 – 47) |
| Negativ prediktiv verdi |
99 (97 – 100) |
98 (95 – 100) |
99 (97 – 100) |
| Korrekt diagnose |
95 |
94 |
92 |
Ut fra invasiv koronar angiografi ble det identifisert 979 evaluerbare segmenter ≥ 2 mm i diameter. Segmenter etter okklusjoner og 14 segmenter med stenter var da ekskludert. Med CT-angiografi kunne 938 (96 %) av segmentene vurderes. På grunn av kalk (åtte segmenter), bevegelsesartefakter (18 segmenter) og tynn arterie/lite kontrast (15 segmenter) kunne 41 (4 %) segmenter i 19 pasienter ikke tolkes. Disse segmentene var lokalisert perifert i koronartreet (distale segmenter eller grener) i 32 av 41 (78 %) tilfeller. Av ikke-tolkbare segmenter var ni (22 %) signifikant stenosert.
Feilvurderte stenoser – falskt negative og falskt positive
Med CT-angiografi ble åtte av 79 (10 %) signifikante stenoser underestimert og én oversett, alle i første halvdel av materialet. De underestimerte stenosene ble kvantitert 30 – 49 % med CTA-undersøkelse. Fem av de ni falskt negative var i proksimale eller midtre segment.
Ved hjelp av CT-angiografi ble det påvist signifikante stenoser (≥ 50 %) som ikke kunne verifiseres med invasiv undersøkelse i 42 av 979 (4 %) segmenter. I ti (24 %) av segmentene viste invasiv koronar angiografi 40 – 48 % stenose. Pasienter med falskt positive segmenter hadde signifikant (p < 0,001) høyere gjennomsnittlig kalsiumskår (267 ± 214) enn resten av gruppen (124 ± 176), men det var ingen forskjell i gjennomsnittlig hjertefrekvens, henholdsvis 63 ± 10 og 62 ± 11 (p = 0,73).
Diskusjon
I denne studien var CT-angiografi godt egnet til å utelukke obstruktiv koronarsykdom. Vi fant en høy negativ prediktiv verdi (98 %) når 4 % ikke-tolkbare segmenter ble regnet som stenotiske i en gruppe stabile pasienter med intermediær (43 %) prevalens av signifikant koronarsykdom. Risikoen for å overse betydningsfull koronarsykdom hos pasientene var liten, da det i studien ble påvist betryggende høy sensitivitet (97 %). Derimot så vi at man med CT-angiografi i forhold til invasiv koronar angiografi hadde en tendens til å overestimere stenosegraden. Det førte til falskt positive CT-svar og redusert spesifisitet (78 %). Obstruktiv koronarsykdom påvist med CT-angiografi kunne kun verifiseres hos 77 % (positiv prediktiv verdi) av pasientene med invasiv gullstandard (fig 1).
Andre sentre har med 64-detektorraders CT i liknende pasientgrupper rapportert 88 – 100 % evaluerbare segmenter, høy sensitivitet (94 – 100 %), høy spesifisitet (90 – 97 %) og negativ prediktiv verdi (93 – 100 %) på pasientnivå. Positiv prediktiv verdi (83 – 97 %) var i noen av studiene lavere, da det med CT-angiografi er en tendens til å overestimere stenosene i forhold til invasiv koronar angiografi (5) – (7, 9, 10). Våre resultater har samme mønster, men lavere spesifisitet og lavere positiv prediktiv verdi enn det man har oppnådd i enkeltsenterstudier ved universitetssykehus i utlandet. OCTAVIA-studien fra Gjøvik/Feiringklinikken og en undersøkelse fra Volda/St. Olavs Hospital i Trondheim (3, 4) liknet mye på vår studie – med unntak av at man der benyttet 16-detektorraders CT.
Med vår 64-detektorraders CT, som har bedre tids- og romoppløsning, har andelen evaluerbare koronarsegmenter økt fra henholdsvis 79 % og 85 % til 96 %. Vi fant sensitivitet (97 %) og negativ prediktiv verdi (98 %) på samme nivå, men bedret spesifisitet (78 %) og positiv prediktiv verdi (77 %) sammenliknet med henholdsvis 29 – 82 % og 53 – 57 % i de tidligere publiserte norske studiene. En nyere metaanalyse viste at sensitiviteten for å oppdage stenoser økte fra 83 % til 93 %, mens spesifisiteten var uforandret – 96 % – når man gikk fra 16 til 64 detektorraders CT (11). Ny teknologi med 64 detektorrader er et viktig og nødvendig fremskritt først og fremst fordi en større del av koronartreet kan vurderes konklusivt, men også fordi den diagnostiske treffsikkerheten skjerpes.
Kliniske implikasjoner
Den diagnostiske treffsikkerheten varierer med om ikke-tolkbare CT-segmenter ekskluderes eller regnes som positive eller som negative i analysen. I klinisk praksis vil det være mest nærliggende å regne ikke-tolkbare segmenter som positive for å unngå å overse behandlingskrevende stenoser.
En høy negativ prediktiv verdi (98 %) gjør CT-angiografi velegnet til å utelukke at pasienten har signifikant koronarsykdom. Prevalensen av obstruktiv koronarsykdom var 43 % i hele gruppen, og negativ CTA-undersøkelse reduserte sannsynligheten for å ha ≥ 50 % stenose til 2 % (1 – negativ prediktiv verdi). Positiv undersøkelse økte sannsynligheten for signifikante stenoser til 77 %. Den reduserte positive prediktive verdi (77 %) gjør at det etter en positiv CTA-undersøkelse fortsatt er 23 % sjanse for at man i vårt materiale ved invasiv koronar angiografi ikke finner obstruktiv koronarsykdom.
Muligheten til å påvise/utelukke sykdom ved hjelp av en spesiell metode er i tillegg til metodens sensitivitet og spesifisitet avhengig av sykdomsprevalensen, eller pretestsannsynligheten, i den undersøkte gruppen. Når sykdomssannsynligheten før undersøkelsen er meget lav, vil den forbli lav uansett utfallet av en test med den spesifisitet og sensitivitet vi har påvist. Ved høy pretestsannsynlighet for sykdom vil positivt utfall ikke være klinisk nyttig og negativt resultat fortsatt innebære betydelig sannsynlighet for sykdom (tab 4). Høyrisikopasienter bør henvises direkte til invasiv koronar angiografi og lavrisikopasienter bør ikke utsettes for ytterligere utredning. Hvor konklusiv bildediagnostikken kan regnes å være, vil selvsagt variere etter bildekvaliteten på den individuelle undersøkelsen. Pasienter som før undersøkelsen har en intermediær sannsynlighet for sykdom (25 – 50 %), vil ha størst diagnostisk nytte av CT-undersøkelse. De som var inkludert i vår studie, var ikke på forhånd stratifisert etter sannsynlighet for sykdom. I klinisk praksis er det nødvendig å gjøre en pretestvurdering for å identifisere dem som vil ha nytte av CT-angiografi som alternativ til invasiv koronar angiografi. Denne vurderingen krever kunnskap og erfaring og bygger på risikofaktorer for koronarsykdom, symptomer og funn samt resultater av andre ikke-invasive undersøkelser.
Tabell 4
Sannsynligheten for at en pasient har obstruktiv koronarsykdom etter henholdsvis positiv og negativ CT-angiografi under ulik pretestsannsynlighet for å være syk når testen har sensitivitet 97 % og spesifisitet 78 %. PPV = positiv prediktiv verdi, NPV = negativ prediktiv verdi
| Pretestsannsynlighet for ≥ 50 % koronarstenose = prevalens (%) |
Posttestsannsynlighet for ≥ 50 % koronarstenose etter positiv CTA = PPV (%) |
Posttestsannsynlighet for ≥ 50 % koronarstenose etter negativ CTA = (1– NPV) (%) |
|
| 75 |
93 |
10 |
|
| 50 |
82 |
4 |
|
| 25 |
60 |
1 |
|
| 10 |
33 |
0 |
|
| 5 |
19 |
0 |
|
| 1 |
4 |
0 |
Når ikke-tolkbare segmenter ble regnet som positive, fant man ved CTA-diagnostisering korrekt 39 av 50 pasienter (78 %) uten obstruktiv koronarsykdom – personer som dermed kunne ha unngått utredning med invasiv prosedyre. De ville fått en ikke-invasiv raskere avklaring lokalt, med mindre risiko og til en betydelig lavere kostnad. Dette skal veies opp mot 11 unødvendige henvisninger pga. lav positiv prediktiv verdi (77 %) på pasientnivå. For ikke å overse pasienter med signifikant koronarsykdom vil man ved CTA-tolkingen ha en tendens til å overvurdere stenosene. Da CT-angiografi er foreslått som dørvakt før invasiv undersøkelse, må unødvendige viderehenvisninger og dobbeltundersøkelser trekkes fra gevinsten av at mange slipper invasiv undersøkelse. En forsiktig tolkingsstrategi der grensesignifikante stenoser oppgraderes kan imidlertid resultere i overdiagnostisering og relativt lav positiv prediktiv verdi. Siden mange pasienter har grensesignifikante stenoser og diffuse symptomer, vil nye terapeutiske dilemmaer kunne oppstå.
Felles for CT-angiografi og invasiv koronar angiografi er at de kun gir anatomisk informasjon. Kompletterende iskemidiagnostikk vil ofte være nyttig for å kunne ta kliniske beslutninger, spesielt der det er atypiske symptomer (12). Både diagnostisk nøyaktighet og strålehygieniske hensyn tilsier at metoden ikke er egnet til screening av asymptomatiske personer. Andre studier har vist at CT-angiografi innebærer betydelig stråleeksposisjon. Med 16-detektors apparat målte man gjennomsnitlig 14,7 ± 2,2 mSv, hvilket var signifikant høyere enn ved diagnostisk invasiv koronar angiografi (5,6 ± 3,6 mSv hos sammenliknbare pasienter) (13). Ved høy kalsiumskår reduseres den diagnostiske treffsikkerheten. Noen forfattere har foreslått at man ikke går videre med fullstendig CT-undersøkelse dersom det er mye kalk i koronarkarene (14), mens andre ikke har funnet signifikant forskjell i grupper med moderat forhøyet (578 ± 16) og lav (14 ± 16) kalsiumskår (15). Vi ekskluderte etter protokollen 13 pasienter med kalsiumskår ≥ 800.
For å få skarpe CTA-bilder er det avgjørende med lav (< 60 per min), regelmessig hjertefrekvens (16). Optimal medisinering med f.eks. betablokker er etter vår erfaring ofte nødvendig for å oppnå et godt diagnostisk resultat.
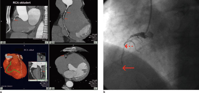
Okklusjoner viste seg å kunne være et diagnostisk problem med CT-angiografi. Retrograd fylling førte til relativ god fremstilling av karet distalt for okklusjonen, og man kunne derfor risikere underestimering av en kort proksimal okklusjon (fig 2).
Den beste CT-teknologien gir fortsatt dårligere tids- og romoppløsning enn invasiv koronar angiografi. CT-angiografi egner seg best for å utelukke obstruktiv koronarsykdom – invasiv koronar angiografi beholder fortsatt statusen som gullstandard.
Begrensninger
Vårt materiale omfattet kun koronarsegmenter ≥ 2 mm i diameter, men det er sjelden aktuelt å revaskularisere mindre kar. Selv om nyere studier har vist lovende presisjon også i stentede segmenter (17) ble slike (n = 14) ekskludert fra vår studie, da metoden foreløpig ikke anses som god nok for dette formål (1).
Denne enkeltsenterstudien med relativt få pasienter resulterte i brede konfidensintervaller på pasientnivå. CT-tolkingen, basert på konsensus mellom to radiologer som hver for seg hadde brukt mye tid på bl.a. bilderekonstruksjoner, kan ha gitt mer pålitelige resultater enn hva man kan forvente i vanlig klinisk praksis. Radiologene var imidlertid nybegynnere i CT-angiografi, og med mer erfaring vil tidsforbruket kunne reduseres. I forbindelse med studien ble det avholdt møter mellom kardiolog fra invasivt senter og CT-tolkende leger der undersøkelser ble sammenliknet. Dette påvirket ikke allerede innleverte studieresultater, men ga mulighet til verdifull læring. CT-laboratorier som starter uten slikt tett samarbeid, vil kunne få andre resultater.
Konklusjon
CT-undersøkelse kan med stor grad av sikkerhet utelukke obstruktiv koronarsykdom. Få pasienter med signifikant koronarsykdom overses, men falskt positive funn vil utgjøre et problem i pasientgrupper med lav risiko. 64-detektors CT-angiografi er et diagnostisk alternativ til invasiv undersøkelse ved intermediær sykdomsrisiko.
Prosjektet er støttet økonomisk av Forsknings- og utviklingsavdelingen ved Sykehuset Østfold.
Oppgitte interessekonflikter:
Ingen
- 1.
Budoff MJ, Achenbach S, Blumenthal RS et al. Assessment of coronary artery disease by cardiac computed tomography: a scientific statement from the American Heart Association Committee on Cardiovascular Imaging and Intervention, Council on Cardiovascular Radiology and Intervention, and Committee on Cardiac Imaging, Council on Clinical Cardiology. Circulation 2006; 114: 1761 – 91.
- 2.
Hamon M, Biondi-Zoccai GG, Malagutti P et al. Diagnostic performance of multislice spiral computed tomography of coronary arteries as compared with conventional invasive coronary angiography: a meta-analysis. J Am Coll Cardiol 2006; 48: 1896 – 910.
- 3.
Rødevand O, Hogalmen G, Gudim LP et al. Limited usefulness of non-invasive coronary angiography with 16-detector multislice computer tomography at a community hospital. Scand Cardiovasc J 2006; 40: 76 – 82.
- 4.
Kolnes K, Velle OH, Hareide S et al. Multislice computed tomography coronary angiography at a local hospital: pitfalls and potential. Acta Radiol 2006; 47: 680 – 6.
- 5.
Mollet NR, Cademartiri F, van Mieghem CA et al. High-resolution spiral computed tomography coronary angiography in patients referred for diagnostic conventional coronary angiography. Circulation 2005; 112: 2318 – 23.
- 6.
Leschka S, Alkadhi H, Plass A et al. Accuracy of MSCT coronary angiography with 64-slice technology: first experience. Eur Heart J 2005; 26: 1482 – 7.
- 7.
Raff GL, Gallagher MJ, O"Neill WW et al. Diagnostic accuracy of noninvasive coronary angiography using 64-slice spiral computed tomography. J Am Coll Cardiol 2005; 46: 552 – 7.
- 8.
Austen W, Edwards JE, Frye RL et al. A reporting system on patients evaluated for coronary artery disease. Report of the Ad Hoc Committee for Grading of Coronary Artery Disease, Council on Cardiovascular Surgery, American Heart Association. Circulation 1975; 51 (suppl 4): 5 – 40.
- 9.
Ropers D, Rixe J, Anders K et al. Usefulness of multidetector row spiral computed tomography with 64- x 0.6-mm collimation and 330-ms rotation for the noninvasive detection of significant coronary artery stenoses. Am J Cardiol 2006; 97: 343 – 8.
- 10.
Pugliese F, Mollet NR, Runza G et al. Diagnostic accuracy of non-invasive 64-slice CT coronary angiography in patients with stable angina pectoris. Eur Radiol 2006; 16: 575 – 82.
- 11.
Vanhoenacker PK, Heijenbrok-Kal MH, Van Heste R et al. Diagnostic performance of multidetector CT angiography for assessment of coronary artery disease: meta-analysis. Radiology 2007; 244: 419 – 28.
- 12.
Schuijf JD, Wijns W, Jukema JW et al. Relationship between noninvasive coronary angiography with multi-slice computed tomography and myocardial perfusion imaging. J Am Coll Cardiol 2006; 48: 2508 – 14.
- 13.
Coles DR, Smail MA, Negus I et al. Comparison of radioation doses from multislice computed tomography coronary angiography and conventional diagnostic angiography. J Am Coll Cardiol 2006; 47: 1840 – 5.
- 14.
Kuettner A, Trabold T, Schroeder S et al. Noninvasive detection of coronary lesions using 16-detector multislice spiral computed tomography technology: initial clinical results. J Am Coll Cardiol 2004; 44: 1230 – 7.
- 15.
Cademartiri F, Mollet NR, Lemos PA et al. Impact of coronary calcium score on diagnostic accuracy for the detection of significant coronary stenosis with multislice computed tomography angiography. Am J Cardiol 2005; 95: 1225 – 7.
- 16.
Cademartiri F, Mollet NR, Runza G et al. Diagnostic accuracy of multislice computed tomography coronary angiography is improved at low heart rates. Int J Cardiovasc Imaging 2006; 22: 101 – 5.
- 17.
Cademartiri F, Mollet N, Lemos PA et al. Usefulness of multislice computed tomographic coronary angiography to assess in-stent restenosis. Am J Cardiol 2005; 96: 799 – 802.