Behandling av bevegelsesforstyrrelser med dyp hjernestimulering
Background.
Deep brain stimulation is an established symptomatic treatment of movement disorders such as Parkinson’s disease, tremor conditions and dystonia when medical treatment fails. We here present a review of indications and results for this treatment. We also present data om the activity related to patients with Parkinson’s disease in a representative year and data on implantations performed Rikshospitalet University Hospital in the period 1999 – 2007.
Material and methods.
The manuscript is based on non-systematic searches in PubMed, clinical experience, and internal statistics on implantations and clinical visits carried out at our centre.
Results and interpretation.
243 procedures were performed in our clinic in the period; 187 for Parkinson’s disease, 37 for tremor and 19 for dystonia. The vast majority of patients have been implanted with bilateral electrodes, and the targets were the subthalamic nucleus, the thalamus and the internal segment of globus pallidus. Studies have demonstrated that deep brain stimulation is an effective treatment of selected patients with Parkinson’s disease, tremors and primary dystonia. Many of these patients have no other efficient treatment options. Patients should be referred for preoperative assessment when symptoms of their movement disorder can no longer be treated sufficiently with medical therapies and when their quality of life is impaired. A broad and careful evaluation of patients’ symptoms and findings is important for correct patient selection for this treatment.
Bevegelsesforstyrrelser er en heterogen gruppe sykdommer og syndromer som forstyrrer evnen til å starte og kontrollere bevegelser. De karakteriseres av endringer i koordinasjon og hastighet av frivillige bevegelser, samt opptreden av ufrivillige bevegelser. Bevegelsesforstyrrelser kan forårsakes av sykdommer i en rekke deler av hjernen inkludert motorisk cortex og cerebellum, men de fleste er på en eller annen måte knyttet til basalgangliene. Symptomene fremkalles, i det minste delvis, av dysfunksjon innen motoriske kretser i hjernen som involverer basalgangliene, thalamus og cortex (1).
Stereotaktisk kirurgi i form av lesjoner i basalgangliene var en relativt vanlig behandling av Parkinsons sykdom i 1950- og 1960-årene, men ble mindre vanlig etter introduksjonen av behandling med levodopa. Kirurgisk behandling fikk imidlertid en renessanse etter at man oppdaget at mange pasienter med Parkinsons sykdom utvikler motoriske komplikasjoner ved langvarig bruk av dopaminerge medikamenter (2).
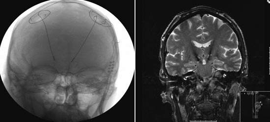
Ved dyp hjernestimulering implanteres elektroder i ulike deler av basalgangliene eller thalamus (fig 1), og kontinuerlig høyfrekvent elektrisk strøm leveres ved hjelp av en implantert eksternt programmerbar pulsgenerator, tilsvarende en hjertepacemaker. Den eksakte virkningsmekanismen er ikke fullstendig klarlagt. Dyp hjernestimulering har imidlertid erstattet lesjonskirurgi fordi denne behandlingen gir en klinisk effekt tilsvarende en lesjon, men uten å skade hjernen permanent og med færre bivirkninger (3). Effekten kan justeres ved hjelp av ekstern programmering av strømfeltets styrke og plassering. I tillegg er det med elektrisk hjernestimulering mulig å påvirke både mindre og dypere strukturer i hjernen enn dem man med rimelig trygghet kunne nå med lesjonsteknikk, slik som nucleus subthalamicus i mesencephalon (fig 2). Et annet betydelig fortrinn er muligheten for bilateral operasjon. Mens bilaterale lesjoner med gammel operasjonsteknikk i mange tilfeller ga permanente nevrologiske utfall, kan man med stimulering kontrollere bilaterale symptomer med lav komplikasjonsfrekvens. Behandlingen kan gi dramatisk og varig bedring av symptomer hos pasienter med ulike bevegelsesforstyrrelser, og disse pasientene har få andre behandlingsalternativer.
Dyp hjernestimulering har vært et medisinsk område i betydelig utvikling de siste årene. Implantasjon av hjernestimulator er i dag en etablert symptomatisk behandling av flere typer bevegelsesforstyrrelser når medikamentell behandling ikke gir tilstrekkelig effekt. Vi presenterer her en oversikt over indikasjonene for slik behandling og resultatene man kan forvente. Vi presenterer også aktivitetstall fra Rikshospitalet for operasjonsvirksomheten og omfanget av utredning og oppfølging av pasienter med Parkinsons sykdom, den største pasientgruppen innen dette feltet.
Materiale og metode
Artikkelen baserer seg på publikasjoner om dyp hjernestimulering identifisert via ikke-systematiske søk i PubMed og egen klinisk erfaring ved Nevroklinikken, Rikshospitalet. Aktivitetstall for årlige operasjoner er hentet fra Nevrokirurgisk avdelings statistikk. Aktivitetstall for antall preoperative vurderinger og postoperative oppfølginger av pasienter med Parkinsons sykdom er basert på pasienter registrert med ICD-10-diagnosene G20 – G23 i 2006. Tallene inkluderer både dagbehandlinger og døgnopphold i Nevrologisk avdeling. Vi har gjort en retrospektiv gjennomgang av journalopplysninger og ut fra den tilgjengelige informasjonen registrert resultatet av de preoperative undersøkelsene.
Indikasjoner for inngrepet
Aktuelle indikasjoner for dyp hjernestimulering er Parkinsons sykdom, essensiell tremor, sekundære tremortilstander, samt segmental og generalisert dystoni. Ved Rikshospitalet ble det i perioden 1999 – 2007 utført totalt 243 implantasjoner av elektroder på disse indikasjonene. Fordelingen av pasienter på operasjonsår og operasjonsindikasjon er vist i figur 3.
Pasientutvelgelse og operasjonsmetode
Ved Rikshospitalet foretas preoperativ vurdering av alle pasienter henvist for vurdering av dyp hjernestimulering ved en innleggelse i Nevrologisk avdeling. Pasientens symptomer og forventninger til inngrepet gjennomgås, og det foretas evaluering av diagnose, effekt av medikamenter, kognitiv funksjon, ev. psykiske symptomer, andre sykdommer og medikamentbruk. Ved usikkerhet rundt kognitivt funksjonsnivå eller psykisk lidelse foretas nevropsykologisk testing og psykiatrisk undersøkelse.
Endelig beslutning om operasjonsindikasjon tas i et tverrfaglig forum med deltakere fra de nevrologiske og nevrokirurgiske avdelinger. Våre inngrep planlegges i nevronavigasjonssystemet BrainLab, og baserer seg på fusjonering av MR caput, som tas dagen før operasjonen, med CT caput tatt i stereotaktisk ramme operasjonsdagen. Vi bruker en stereotaksiramme (CRW-ramme) som gir god mulighet for intraoperativ sterilitet. Ved alle implantasjoner i nucleus subthalamicus og globus pallidus gjøres elektrofysiologiske undersøkelser med mikroelektroderegistreringer for ytterligere presis lokalisering av målet for stimuleringen. Elektrodene legges inn under lokalanestesi for at pasienten skal kunne samarbeide underveis. Dette gjør det mulig å teste den kliniske effekten og ev. bivirkninger av stimulering peroperativt. Unntaket er stimulering i globus pallidus internus for dystoni der hele inngrepet skjer under generell anestesi. Inngrepenes siste del, med implantering av pulsgeneratoren på brystet og tunnelering av forlengelsesledninger subkutant fra skalpen og ned til denne, foretas i generell anestesi.
Etter at inngrepet er gjennomført, overflyttes pasienten første postoperative dag til Nevrologisk avdeling for videre oppfølging med stimulatorinnstilling og medikamentjusteringer. Det er behov for hyppige kontroller første halvår etter inngrepet, etter dette foretas kontroller 1 – 2 ganger per år og ved opptreden av komplikasjoner. Det totale antall opererte pasienter som krever regelmessig oppfølging øker stadig, og pasientgruppen utgjør etter hvert en betydelig del av Nevroklinikkens totale aktivitet.
Parkinsons sykdom
Parkinsons sykdom er en kronisk, progredierende sykdom kjennetegnet av kardinalsymptomene tremor, rigiditet og akinesi, og en rekke ikke-motoriske symptomer. Graden av ulike symptomer varierer betydelig blant pasientene. Behandling med levodopa og andre dopaminerge medikamenter er vanligvis effektivt i mange år etter sykdomsdebut. Imidlertid er langtidsbehandling ofte komplisert av medikamentinduserte motoriske komplikasjoner. En andel av pasientene utvikler ufrivillige bevegelser i form av dyskinesier og motoriske fluktuasjoner, der symptomene stadig varierer mellom perioder med god medikamenteffekt og perioder med mer uttalte symptomer (4). Selv optimal medikamentell behandling kan i mange tilfeller ikke kontrollere disse komplikasjonene tilfredsstillende. I tillegg har en del pasienter vedvarende tremor på tross av ellers adekvat medisinering, og noen få pasienter tolererer ikke dopaminerg medikasjon pga. bivirkninger. Dyp hjernestimulering bør da vurderes.
Ved Parkinsons sykdom kan elektrodene plasseres flere steder med ulike terapeutiske effekter. I dag er bilateral stimulering i nucleus subthalamicus den vanligste kirurgiske behandlingen av avansert Parkinsons sykdom. Ved Rikshospitalet ble denne metoden introdusert i 2001. Av totalt 186 inngrep for denne sykdommen i perioden 1999 – 2007 har 156 (83 %) vært i nucleus subthalamicus. I tillegg benyttes stimulering i Vim-kjernen (nucleus ventrointermedius) i thalamus hos enkelte pasienter med tremordominant sykdom, spesielt hos eldre.
De vanligste indikasjonene for kirurgisk behandling av Parkinsons sykdom er behandlingsresistent tremor, motoriske fluktuasjoner og/eller dyskinesier, samt bivirkninger som vanskeliggjør adekvat medisinering. Dyp hjernestimulering er imidlertid aktuelt bare hos en andel av disse pasientene. En grundig preoperativ vurdering av pasientens symptomer må gjennomføres før man kan avgjøre om pasienten vil ha nytte av en slik kostbar og komplisert behandling. Særlig viktig er det å vurdere i hvor stor grad pasientens motoriske plager responderer på levodopa. Dette fordi dyp hjernestimulering i nucleus subthalamicus ikke har effekt på motoriske symptomer som ikke responderer på medikamenter, bortsett fra at terapirefraktær tremor bedres. Pasienter med atypisk parkinsonisme eller demens har liten eller ingen effekt av slik behandling, og dette må derfor utelukkes. Tidligere og pågående psykisk sykdom må vurderes nøye, da inngrepet kan forverre slik sykdom. Alvorlig psykisk sykdom gjør også oppfølgingen av behandlingen vanskelig. Få pasienter over 70 år vil være aktuelle for subtalamisk stimulering pga. økt kirurgisk komplikasjonsrisiko og mulig dårligere behandlingseffekt (5).
Erfaringer ved Rikshospitalet
I 2006 ble 56 pasienter med Parkinsons sykdom utredet for kirurgisk behandling. Av disse fant man behandlingsindikasjon hos 21 pasienter (38 %). Andelen vurderte pasienter som fyller kriteriene for operasjon ved andre implantasjonssentre er lite kjent, men våre tall er sammenliknbare med en tidligere amerikansk studie (6). Den vanligste årsaken til at dyp hjernestimulering ikke var indisert, var dårlig effekt av levodopa på de motoriske symptomene, noe som oftest indikerer at sykdommen er kommet i et stadium hvor pasientene ikke vil ha tilstrekkelig nytte av dyp hjernestimulering. Før man vurderer hjernestimulering, bør pasienten ha forsøkt tilstrekkelig medikamentell behandling, og hos en tredel av pasientene ble resultatet av undersøkelsene medikamentjustering. Kognitiv svikt var også en meget vanlig kontraindikasjon for kirurgisk behandling. Figur 4 viser fordelingen av de forskjellige årsaker til at det ikke ble funnet operasjonsindikasjon.
I 2006 hadde Nevrologisk avdeling totalt 494 postoperative dag- og døgnopphold fordelt på 179 pasienter. Dette tallet omfatter også 29 pasienter som ble operert ved utenlandske sykehus i årene 2001 – 04. Batterikapasiteten til stimulatoren er begrenset til noen års varighet. Antallet stimulatorskifter øker derfor stadig og tilsvarer nå antall nye implantasjoner per år.
Effekter av inngrepet
Effekten av dyp hjernestimulering på motoriske symptomer ved Parkinsons sykdom er meget godt dokumentert. Subtalamisk stimulering har god effekt på kardinalsymptomene tremor, rigiditet og akinesi, og bidrar ofte til å jevne ut motoriske fluktuasjoner (7). De fleste pasienter får etter operasjonen en stabil motorisk funksjon nær den beste levodopaeffekten de hadde på forhånd. Dosen av levodopa og andre dopaminerge medikamenter kan gjennomsnittlig halveres, noe som bidrar til betydelig reduksjon av medikamentinduserte hyperkinesier. De fleste pasienter er likevel fortsatt avhengige av medisiner pga. medikamentenes effekter på ikke-motoriske symptomer (8). Studier har vist at subtalamisk stimulering tydelig bedrer pasientenes helserelaterte livskvalitet og er mer effektivt enn beste medikamentelle behandling ved avansert Parkinsons sykdom (9).
De fleste pasienter opplever optimal effekt av behandlingen en til seks måneder etter inngrepet. Etter at stimulatorinnstillinger er optimalisert og nødvendige medikamentjusteringer gjennomført, vil utviklingen av pasientens plager først og fremst avhenge av sykdommens videre progrediering. God effekt av subtalamisk stimulering er dokumentert for fem år etter inngrepet, men de fleste pasienter har sannsynligvis god nytte av behandlingen utover dette (10).
Implantasjon av elektroder i nucleus subthalamicus er generelt en trygg behandling, men alvorlige komplikasjoner forekommer. Vi har ikke opplevd dødsfall relatert til inngrepet ved Rikshospitalet, men en nylig publisert stor multisenterstudie rapporterte en mortalitet ved dyp hjernestimulering på 0,4 % (11). Andre alvorlige komplikasjoner forekommer hos en mindre prosentandel av pasientene og inkluderer hjerneblødning, infeksjoner, lungeemboli, feil på det implanterte systemet og selvmord. Dessuten kan stimuleringen i seg selv gi dysartri, parestesier og dyskinesier. Psykiske symptomer som depresjon, angstlidelse og hypomani er relativt vanlig i de første måneder etter dyp hjernestimulering, men kan ofte bedres ved endringer av stimuleringsvariabler og medikamentell behandling (12). Problemer senere i forløpet er først og fremst relatert til naturlig forverring av sykdommen, med utvikling av gangvansker, balanseproblemer og demensutvikling.
I tillegg til subtalamisk stimulering brukes fremdeles thalamusstimulering hos enkelte pasienter med Parkinsons sykdom. Dyp hjernestimulering i thalamus bedrer først og fremst tremor, og har liten effekt på andre symptomer. Fordi andre motoriske symptomer tilkommer hos de fleste pasienter over tid er vår praksis at dyp hjernestimulering i thalamus ved Parkinsons sykdom kun er aktuelt hos pasienter der tremor er det altoverskyggende symptomet. Dette gjelder særlig hos eldre pasienter, da thalamusstimulering er et enklere og raskere inngrep forbundet med færre kirurgiske komplikasjoner. Behandling kan utføres i høyere alder enn dyp hjernestimulering i de subtalamiske kjerner og gjøres hos pasienter opp mot 80 år, forutsatt at det ikke er kognitive, somatiske eller psykiatriske kontraindikasjoner.
Tremor
Tremor var den første indikasjonen for dyp hjernestimulering og er fortsatt en viktig indikasjon for slik behandling. Dyp hjernestimulering i Vim-kjernen i thalamus er effektivt for ulike tremorformer, uavhengig av dens etiologi. Så langt er det ingen patofysiologisk forklaring på årsaken til den nærmest universelle effekten av talamisk stimulering som ses ved ulike tremorformer (13). De fleste studier er imidlertid utført på pasienter med essensiell tremor eller tremor ved Parkinsons sykdom. Imidlertid kan også enkelte utvalgte pasienter med sekundær tremor i form av cerebellar tremor, Holmes tremor og tremor ved multippel sklerose ha effekt. I perioden 1999 – 2007 ble 37 pasienter operert med talamisk stimulering for ulike tremortilstander ved Rikshospitalet. I tillegg til dette kommer inngrep for parkinsonistisk tremor. De langt fleste pasienter har essensiell tremor, men enkelte pasienter med sekundær tremor er også blitt operert.
Essensiell tremor
Essensiell tremor er en typisk aksjonstremor som er til stede både ved bevegelse og i posisjon. En rekke medikamenter kan ha god effekt ved essensiell tremor, men en andel av pasientene har liten effekt av medikamenter (14). Dersom pasientens tremor påvirker spising, drikking, utføring av arbeid og andre daglige aktiviteter, bør dyp hjernestimulering vurderes, også hos pasienter i relativt høy alder. En rekke studier har vist at talamisk stimulering har god effekt ved essensiell tremor (15). Behandlingen bedrer pasientenes livskvalitet og har få kognitive bivirkninger (16). Thalamusstimulering er en effektiv behandling av tremor, og effekten er dokumentert å vare i mange år (17). De fleste bivirkninger er milde, men persisterende parestesier, smerte, dysartri og balanseforstyrrelser er relativt vanlig, særlig ved bilateral stimulering (18). Noen pasienter utvikler toleranse for thalamusstimulering, muligens er dette delvis relatert til progrediering av sykdommen.
Sekundær tremor
Spesielt lesjoner i cerebellum og hjernestammen kan gi opphav til invalidiserende tremor. Dette kan for eksempel sees ved multippel sklerose og cerebrovaskulær sykdom. Thalamusstimulering kan ha en dempende effekt ved denne typen tremor, men virkningen er ofte ikke så god som ved parkinsonistisk tremor og essensiell tremor. Dessuten er det hos disse pasientene viktig å skille selve tremorkomponenten fra øvrige nevrologiske plager som ataksi, som ikke vil bedres ved operasjon. I utvalgte tilfeller kan det likevel være indikasjon for hjernestimulering ved sekundær tremor.
Multippel sklerose kan forårsake uttalt intensjonstremor. Talamisk stimulering kan ha effekt, men fullstendig tremorsuppresjon er sjeldent (19). Imidlertid bør man vurdere behandlingen dersom tremoren har betydelig innvirkning på pasientens funksjonsnivå og livskvalitet. Holmes tremor forårsakes som regel av lesjoner i mesencephalon og er en kombinert hviletremor, posisjonstremor og intensjonstremor. Også pasienter med slik tremor kan ha god effekt av dyp hjernestimulering (20).
Dystoni
Dystoni er en tilstand med ufrivillige muskelkontraksjoner som fører til vridende, repeterte bevegelser av den kroppsregionen som er rammet, og ledsages ofte av unormale kroppsholdninger. Dystoni kan inndeles i primære og sekundære former, avhengig av om en underliggende sykdom kan påvises eller ikke (21). Ved generalisert dystoni er store deler av kroppen rammet. Ved fokal dystoni er kun en kroppsregion rammet, mens segmental dystoni betegner dystoni i to eller flere nærliggende kroppsregioner. Fokale dystonier kan ofte behandles tilfredsstillende med botulinumtoksin (22), mens medikamentell behandling oftest er utilstrekkelig ved omfattende segmental og generalisert dystoni.
Studier har vist at ulike dystonier er assosiert med signalendringer i kretser i det motoriske system som involverer basalgangliene (13). Etter at det ble vist god effekt av kirurgiske lesjoner i indre segment av globus pallidus hos pasienter med dystoni og dyskinesier som komplikasjon til Parkinsons sykdom (23), ble denne behandlingen også forsøkt ved primære dystonier med god effekt. Senere har dyp hjernestimulering i globus pallidus tatt over på samme måte som ved Parkinsons sykdom og tremortilstander.
Dyp hjernestimulering i indre segment av globus pallidus ble introdusert som behandling for alvorlig, intraktabel dystoni ved Rikshospitalet i 2004. Ved utgangen av 2007 er 19 pasienter behandlet ved vårt sykehus og fire pasienter er operert i utlandet. Vi er det eneste sykehus i Norge som har dette tilbudet. Behandlingen gir en markant reduksjon av dystone bevegelser, dystonirelatert smerte og funksjonsnedsettelse, og er nå etablert ved primær generalisert og segmental dystoni (24). Åpne, kliniske serier og vår egen erfaring indikerer at behandlingen også kan ha meget god effekt ved terapirefraktær cervikal dystoni, og kontrollerte studier pågår med vår deltakelse. Enkelte utvalgte pasienter med sekundær dystoni kan også være aktuelle for slik behandling, men effekten er ikke så god som ved primær dystoni (25). Dyp hjernestimulering er nylig vist å gi klart bedret helserelatert livskvalitet hos pasienter med segmental og generalisert dystoni (26). Bivirkninger relatert til behandlingen er relativt vanlige, men som regel milde og i de fleste tilfeller forbigående. Mild dysartri eller parestesier er de vanligste bivirkninger som av og til vedvarer på tross av optimal innstilling av stimuleringsvariabler (27). Behandlingen bør vurderes hos alle pasienter med terapirefraktær primær segmental og generalisert dystoni, samt hos pasienter med kompleks cervikal dystoni som ikke responderer tilfredsstillende på botulinumtoksin.
Konklusjoner
Dyp hjernestimulering er en meget effektiv behandling for utvalgte pasienter med Parkinsons sykdom, essensiell tremor og dystoni. Mange av disse pasientene har få eller ingen andre tilfredsstillende behandlingsalternativer. Behandlingen har godt dokumentert effekt på motoriske funksjoner og bedrer pasientenes livskvalitet. Dyp hjernestimulering har pga. få og stort sett reversible bivirkninger samt mulighetene for postoperative endringer av stimuleringsinnstillinger, i løpet av relativt kort tid fortrengt tidligere lesjonskirurgi.
Utviklingen av dyp hjernestimulering har gått raskt. Studier av nye målområder i hjernen og bruk av behandlingen ved andre sykdommer enn de som er presentert her pågår. Foreløpige resultater tyder på at dyp hjernestimulering i fremtiden også vil kunne tilbys enkelte pasienter med komplekse nevropsykiatriske sykdommer som tvangslidelse, Tourettes syndrom og alvorlig depresjon (13).
Oppgitte interessekonflikter:
Alle forfatterne har mottatt honorar, reisestøtte og/eller forskningsmidler fra Medtronic.
Tabell
| Hovedbudskap |
|
- 1.
Dietrichs E. Bevegelsesforstyrrelser og basalganglienes funksjon Tidsskr Nor Legeforen 2008; 128: 1968 – 71.
- 2.
Kringelbach ML, Jenkinson N, Owen SL et al. Translational principles of deep brain stimulation. Nat Rev Neurosci 2007; 8: 623 – 35.
- 3.
Schuurman PR, Bosch DA, Bossuyt PM, et al. A comparison of continuous thalamic stimulation and thalamotomy for suppression of severe tremor. N Engl J Med 2000; 342: 461 – 8.
- 4.
Larsen JP, Beiske AG, Bekkelund SI, et al. Diagnostikk og behandling av motoriske symptomer ved Parkinsons sykdom. Tidsskr Nor Legeforen 2008; 128: akseptert for publisering.
- 5.
Derost PP, Ouchchane L, Morand D et al. Is DBS-STN appropriate to treat severe Parkinson disease in an elderly population? Neurology 2007; 68: 1345 – 55.
- 6.
Okun MS, Fernandez HH, Pedraza O et al. Development and initial validation of a screening tool for Parkinson disease surgical candidates. Neurology 2004; 63: 161 – 3.
- 7.
Limousin P, Krack P, Pollak P et al. Electrical stimulation of the subthalamic nucleus in advanced Parkinson’s disease. N Engl J Med 1998; 339: 1105 – 11.
- 8.
Kleiner-Fisman G, Herzog J, Fisman DN et al. Subthalamic nucleus deep brain stimulation: summary and meta-analysis of outcomes. Mov Disord 2006; 21 (suppl 14): 290 – 304.
- 9.
Deuschl G, Schade-Brittinger C, Krack P et al. A randomized trial of deep-brain stimulation for Parkinson’s disease. N Engl J Med 2006; 355: 896 – 908.
- 10.
Krack P, Batir A, Van Blercom N et al. Five-year follow-up of bilateral stimulation of the subthalamic nucleus in advanced Parkinson’s disease. N Engl J Med 2003; 349: 1925 – 34.
- 11.
Voges J, Hilker R, Botzel K et al. Thirty days complication rate following surgery performed for deep-brain-stimulation. Mov Disord 2007; 22: 1486 – 9.
- 12.
Voon V, Kubu C, Krack P et al. Deep brain stimulation: neuropsychological and neuropsychiatric issues. Mov Disord 2006; 21 (suppl 14): 305 – 27.
- 13.
Wichmann T, Delong MR. Deep brain stimulation for neurologic and neuropsychiatric disorders. Neuron 2006; 52: 197 – 204.
- 14.
Dietrichs E. Essensiell tremor? Tidsskr Nor Legeforen 2008; 128: akseptert for publisering.
- 15.
Benabid AL, Pollak P, Gervason C et al. Long-term suppression of tremor by chronic stimulation of the ventral intermediate thalamic nucleus. Lancet 1991; 337: 403 – 6.
- 16.
Fields JA, Troster AI, Woods SP et al. Neuropsychological and quality of life outcomes 12 months after unilateral thalamic stimulation for essential tremor. J Neurol Neurosurg Psychiatry 2003; 74: 305 – 11.
- 17.
Rehncrona S, Johnels B, Widner H et al. Long-term efficacy of thalamic deep brain stimulation for tremor: double-blind assessments. Mov Disord 2003; 18: 163 – 70.
- 18.
Pahwa R, Lyons KE, Wilkinson SB et al. Long-term evaluation of deep brain stimulation of the thalamus. J Neurosurg 2006; 104: 506 – 12.
- 19.
Wishart HA, Roberts DW, Roth RM et al. Chronic deep brain stimulation for the treatment of tremor in multiple sclerosis: review and case reports. J Neurol Neurosurg Psychiatry 2003; 74: 1392 – 7.
- 20.
Nikkhah G, Prokop T, Hellwig B et al. Deep brain stimulation of the nucleus ventralis intermedius for Holmes (rubral) tremor and associated dystonia caused by upper brainstem lesions. Report of two cases. J Neurosurg 2004; 100: 1079 – 83.
- 21.
Kerty E. Primære og sekundære dystonier. Tidsskr Nor Legeforen 2008; 128: akseptert for publisering.
- 22.
Skogseid IM. Cervikal dystoni – diagnostikk og behandling. Tidsskr Nor Legeforen 2008; 128: akseptert for publisering.
- 23.
Laitinen LV, Bergenheim AT, Hariz MI. Leksell’s posteroventral pallidotomy in the treatment of Parkinson’s disease. J Neurosurg 1992; 76: 53 – 61.
- 24.
Kupsch A, Benecke R, Muller J et al. Pallidal deep-brain stimulation in primary generalized or segmental dystonia. N Engl J Med 2006; 355: 1978 – 90.
- 25.
Cif L, El Fertit H, Vayssiere N et al. Treatment of dystonic syndromes by chronic electrical stimulation of the internal globus pallidus. J Neurosurg Sci 2003; 47: 52 – 5.
- 26.
Mueller J, Skogseid IM, Benecke R et al. Pallidal deep brain stimulation improves quality of life in segmental and generalized dystonia: Results from a prospective, randomized sham-controlled trial. Mov Disord 2008; 23: 131 – 4.
- 27.
Vidailhet M, Vercueil L, Houeto JL et al. Bilateral deep-brain stimulation of the globus pallidus in primary generalized dystonia. N Engl J Med 2005; 352: 459 – 67.