En kvinne med kronisk nyresvikt, progredierende hudforkalkninger og sepsis

    ()

    sporsmal_grey_rgb
    Abstract

    A 60-year-old woman with chronic kidney failure, caused by lithium nephropathy, is presented. She had been on haemodialysis for several years, and had developed secondary hyperparathyroidism. She also suffered from diabetes mellitus type II, hypertension and Pickwick syndrome. On the abdominal skin, she had foci of ulceration and necrosis, and biopsy specimens from these lesions ante mortem showed calcifications in the blood vessel walls (required for the diagnosis of calcifylaxis). During the last two months of her life, the size of these necrotic areas increased and in the end they converged to a continuous lesion measuring 20 x 30 cm. This is an extraordinarily large calcifylactic lesion. The patient died from septicaemia arising from the large foci of ulcerations, necrosis and calcifications on the abdominal skin. She had similar but smaller alterations on the skin of the right breast. We report the detailed findings of autopsy, and discuss the mechanisms leading to calcifylaxis. Central factors in the pathogenesis are alterations of the calcium- and phosphate-equilibrium related to chronic kidney failure and hyperparathyroidism.

    Artikkel

    En pasient med nyresvikt hadde to små, subkutane knuter på abdomen. I løpet av fem uker vokste knutene til et sammenhengende, brunsvart sårområde med forkalkninger og nekroser som ledet til sepsis.

    En 60 år gammel kvinne ble innlagt ved Medisinsk avdeling pga. dyspné, tretthet og smerter i hele kroppen. Pasienten hadde en kjent, litiumbehandlet manisk-depressiv lidelse. Hun hadde utviklet kronisk nyresvikt på bakgrunn av biopsiverifisert litiumnefropati og hadde derfor fått hemodialyse tre ganger per uke de siste tre årene. Pasienten hadde i tillegg sekundær hyperparatyreoidisme, hypertensjon, type 2-diabetes og Pickwick-syndrom.

    Ved innleggelsen var pasienten svært overvektig og immobil, og var i redusert allmenntilstand. Hun var hypoksisk med sO₂ (a) 86 %. Røntgen thorax viste rikelig pleuravæske på venstre side, et mulig pneumonisk infiltrat samt respiratorisk acidose. I tillegg ble det bemerket at hun hadde to subkutane kuler på abdomen, den ene med svart nekrose i midten. Disse hadde hun hatt i noen uker og hver av kulene hadde diameter 2 – 3 cm.

    På mistanke om pneumoni ble det startet antibiotikabehandling intravenøst. Etter to ukers behandling ble hun afebril med fallende infeksjonsparametre, og hennes dyspné var betydelig redusert. Hun ble henvist til plastikkirurgisk vurdering med tanke på å få fjernet hudforandringene på abdomen. Tre uker etter innleggelsen ble det gjort en partiell reseksjon av nekrotisk abdominalhud. Plastikkirurgen hadde også sett pasienten ved innkomsten og presiserte i journalnotatet at de nekrotiske hudområdene på abdomen hadde økt i størrelse etter innleggelsen. De hadde nå diameter 2 x 2 cm på høyre side av abdomen og 14 x 3 cm på venstre side (fig 1).

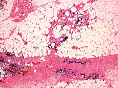
    Det ble tatt hudbiopsier til histologisk undersøkelse, og mikroskopi viste hud og subkutant vev med utstrakte kalsifikasjoner både i blodkar og i interstitielt vev. Warfarinrelaterte hudnekroser kunne utelukkes siden pasienten ikke benyttet preparatet. Siden kalsifikasjonene ble funnet også i karvegger (fig 2), ble dette vurdert som sannsynlig kalsifylaksi på bakgrunn av kronisk nyresvikt og sekundær hyperparatyreoidisme.

    Kalsifylaksi ses hovedsakelig hos pasienter med kronisk nyresvikt og sekundær hyperparatyreoidisme. Tilstanden er assosiert med feilernæring, overvekt og diabetes. Som regel manifesterer den seg som smertefull, iskemisk kutan nekrose på underekstremiteter eller abdomen. Små og middels store blodkar affiseres, og mikroskopisk ser man forkalkninger både interstitielt og i karvegger. Dette fører til iskemi med påfølgende ulcerasjoner og nekroser i hud og subkutant vev.

    Sårene på abdomen fortsatte å vokse, med økende nekroser. Den medisinske behandlingen ble forsøkt optimalisert. Dialysedosen ble økt, og pasienten fikk i en måneds tid daglig hemodialyse. I tillegg intensiverte man behandlingen av hennes hyperparatyreoidisme med oppstart av ikke-kalsiumholdig fosfatbinder (Sevelamer) samt kalsimimetikum (Cinacalcet). Det ble også gitt bisfosfonater på bakgrunn av kasuistisk rapport om gunstig effekt på slike hudlesjoner. Bredspektrede antibiotika ble gitt i flere runder på grunn av stadig forhøyede infeksjonsparametre, men effekten var dårlig.

    Mekanismene for kalsifylaksi er bare ufullstendig forstått. Forstyrrelser i kalsium- og fosfatstoffskiftet relatert til kronisk nyresvikt og sekundær hyperparatyreoidisme er antatt å være sentralt i patogenesen. Høye serum-fosfat- og/eller serum-kalsiumverdier (høyt produkt s-kalsium x s-fosfat) kombinert med vanskelig regulerbar sekundær hyperparatyreoidisme er oftest relatert til tilstanden. Denne pasienten hadde korrigert serum-Ca 2,9 mmol/l, serum-fosfat 3,22 mmol/l og serum-PTH 102 pmol/l initialt i sykdomsforløpet. Diabetes og adipositas er også viktige risikofaktorer for å utvikle tilstanden, og var relevante hos denne pasienten. Behandlingen er primært å regulere pasientens sekundære hyperparatyreoidisme. Nivåreduksjon av serum-fosfat og serum-kalsium er her sentralt. Dette forsøkes oppnådd med diettiltak og ikke-kalsiumholdige fosfatbindere og eventuelt intensivert hemodialyse.

    I håp om å bedre kalsium-fosfat-homøostasen ble vår pasient i en måneds tid hemodialysert daglig, men uten klinisk effekt. Det er ingen studier til nå som dokumenterer at økt dialysedose bedrer prognosen ved kalsifylaksi. Kirurgisk paratyreoidektomi kan være aktuelt, men vår pasient var dessverre ikke operabel under sykdomsforløpet. Nyere behandlingstilbud, som også ble forsøkt hos denne pasienten, er kalsimimetika som synes å kunne redusere nivåene av både PTH, kalsium og fosfat i serum. Bisfosfonat ble også forsøkt og antas å kunne redusere kalsiumavleiringer lokalt og dempe inflammasjonsmarkører, i tillegg hemmes osteoklastenes aktivitet.

    Til tross for målrettede tiltak fikk man hos denne pasienten aldri kontroll på hennes sekundære hyperparatyreoidisme, og PTH-verdien falt kun minimalt i perioden. PTH-verdien i terminalfasen var 97,6 pmol/l , korrigert serum-Ca 2,5 mmol/l, ionisert-Ca 1,25 mmol/l og serum-fosfat 3,26 mmol/l.

    Øvrige behandlingstiltak vil være bl.a. vektreduksjon og bedret blodsukkerkontroll. Vår pasient var betydelig adipøs og immobilisert. Hun var totalt pleietrengende og avhengig av elevasjonssystemer (kran) ved stell, så tiltakene var vanskelige å gjennomføre.

    Fem uker etter den akutte innleggelsen målte de to nekrotiske og forkalkede sårene på abdomen til sammen 20 x 30 cm. Plastikkirurgene mente det ville være et for stort traume for pasienten å få operert bort disse nekrosene, og det var også tvilsomt om man ville klare å lukke defekten etter hudreseksjonen. Hudforandringene ble derfor behandlet konservativt. I tiden som fulgte utviklet det seg også et tilsvarende nekrotisk sår på høyre bryst. Pasienten ble nå gradvis mer astenisk, somnolent og fikk økende smerter. Dialysebehandlingen ble avsluttet ti uker etter innleggelsen, etter en totalvurdering av pasientens prognose og i samråd med pasientens familie. Hun ble nå også høyfebril med et klinisk bilde av sepsis. Pasienten døde 11 uker etter innleggelsen.

    Der var ikke påvist noe sikkert utgangspunkt for hennes sepsis. Man var usikker på om pneumoni eller andre lungeforandringer hadde bidratt til det terminale utfallet. Hun hadde periodevis vært mentalt uklar og somnolent, så hjerneforandringer kunne ikke sikkert utelukkes. I tillegg ønsket man en nærmere undersøkelse av de nekrotiske hudområdene på abdomen og høyre bryst. Det ble på denne bakgrunn rekvirert obduksjon.

    Ved obduksjonen fant man på høyre mamma et nekrotisk hudsår på 10 x 10 cm. Under overflaten var det fast infiltrasjon i subkutant vev. På nedre del av abdomen var det et tilsvarende sårområde med store nekroser som målte totalt 20 x 30 cm (fig 3). Det var normale forhold i kroppshuler, hjerne, lunger og fordøyelseskanal. Hjertet var moderat forstørret med vekt 660 g og med betydelig aterosklerose i koronararteriene, men ellers upåfallende forhold. Begge nyrene var små. Den venstre veide 140 g og den høyre 175 g. Det var tallrike små cyster i begge nyrene, og barkhøyden i nyreparenkymet var tydelig redusert. Mikroskopi av nyrevev viste segmental og global sklerose av glomeruli, og cystisk dilaterte tubuli. Der var interstitiell fibrose og betydelige kalkavleiringer. Parathyreoideakjertlene var moderat forstørret, likeledes venstre binyre. Mikroskopi av de ulcererte og forkalkede områdene fra abdomen viste nekrotisk materiale, granulasjonsvev og betydelige forkalkninger både i blodkar og interstitielt (fig 4). Funnene var forenlige med kalsifylaksi. Det ble ikke påvist noe annet mulig utgangspunkt for hennes sepsis enn disse hudsårene.

    Diskusjon

    Diskusjon

    Klinisk undersøkelse og resultatene av autopsien viste at pasienten døde av sepsis utgående fra store, nekrotiske ulcerasjoner i huden på abdomen og over høyre bryst. Ulcerasjonene var en følge av kalsifylaksi på bakgrunn av en intraktabel sekundær hyperparatyreoidisme hos en kronisk dialysepasient. På bakgrunn av tidligere ultralydundersøkelse og scintigrafi av parathyreoidea var tertiær hyperparatyreoidisme mistenkt, men pasienten ble ikke funnet egnet for kirurgisk behandling.

    Alvorlig kalsifylaksi er sjeldent, men tilstanden er angitt å forekomme i større eller mindre grad hos 4 % av alle pasienter i hemodialyse. Det er beskrevet en økende prevalens etter at kalsiumholdige fosfatbindere og aktivt vitamin D kom i vanlig bruk i behandlingen av sekundær hyperparatyreoidisme. I tillegg til at kalsifylaksi i seg selv er sjeldent, hadde denne pasienten uvanlig store områder med slike forandringer. Nyere kalsiumfrie fosfatbindere, kalsimimetika og eventuelt kirurgisk behandling, gjør at man ofte unngår de mest alvorlige tilfellene av sekundær eller tertiær hyperparatyreoidisme.

    Mikroskopisk ser man ved kalsifylaksi forkalkninger både interstitielt og i karvegger, sammen med ulcerasjoner og nekroser i huden og det subkutane vevet. Histologisk påvisning av kalknedslag i karvegger kan være nødvendig for å skille tilstanden fra arteriosklerotisk perifer karsykdom. Kalsifylaksi ble først beskrevet av ungareren Hans Selye i 1962, ut fra eksperimenter med dyr (1). En grundig beskrivelse av kalsifylaksi hos mennesker ble gitt av Gipstein og medarbeidere i 1976 (2). Benevnelsen kalsifiserende uremisk arteriolopati er foreslått for å tilkjennegi at kalkavleiringer i veggene på arterioler og arterier er av sentral betydning ved tilstanden (3). Kalkavleiringene ses hovedsakelig i veggene av arterioler og små og mellomstore arterier. Alle organer kan affiseres, men hud og skjelettmuskulatur angripes hyppigst. Karforandringene leder til iskemisk nekrose av det involverte vevet.

    Kalsifylaksi må ikke forveksles med metastatiske kalsifikasjoner, som er betydelig vanligere og et mer uspesifikt resultat av hyperkalsemi. Metastatiske kalsifikasjoner kan også gi store, tumorliknende forandringer i hud og muskulatur, men har ikke de typiske forkalkningene i karvegger som ses ved kalsifylaksi.

    Prognosen ved utviklet kalsifylaksi er i de fleste tilfeller meget dårlig. Mortaliteten er angitt til 60 – 80 %, og de fleste dør på grunn av sårinfeksjoner med sepsis utgående fra affisert vev med kalsifylaksi, eller utvikling av multiorgansvikt (4) – (6). Behandlingen vil i slike tilfeller være palliativ, med effektiv analgesi, lindrende pleie og eventuelt hospicebehandling. Også vår pasient fikk i den avsluttende fasen hovedsakelig palliativ behandling.

    Oppgitte interessekonflikter:

    Ingen

    Kommentarer  ( 0 )
    PDF
    Skriv ut

    Anbefalte artikler