En 47 år gammel kvinne med akutt forvirring etter innsetting av total hofteprotese

    ()

    sporsmal_grey_rgb
    Artikkel

    En kvinne med invalidiserende venstresidig coxartrose fikk innsatt en total hofteprotese. Postoperativt følte pasienten seg rar og anga unormalt syn, og hun fikk høy feber med rask CRP-stigning.

    Pasienten var uføretrygdet på grunn av ryggplager og astma, og var tidligere utredet for høy puls med 24-timers-EKG. Det forelå ingen opplysninger om konklusjon etter denne undersøkelsen ved innleggelsen. Det var ingen opphopning av koronarsykdom i familien.

    Pasienten hadde sluttet å røyke for ti år siden, og av faste medikamenter brukte hun inhalasjonspreparat mot astma (kombinert adrenergikum og kortikosteroid), simvastatin og antihistamin (deksklorfeniramin). Ved innleggelsen var pasienten i god allmenntilstand, og det var normale funn ved auskultasjon av hjerte og lunger. Hun ble operert med innsetting av sementert total hofteprotese med hybridteknikk (CTP femurstamme/Trilogy cup) i epiduralanestesi. Avdelingens tromboseprofylakse var ved operasjonstidspunktet melagatran/ximelagatran (Exanta).

    Peroperativt fikk pasienten noen få sekunder med takykardi med frekvens på 130 med ledsagende synkope ved kompresjonssementering av femurkomponenten. Ingen endring av blodtrykket ble observert og pasientens tilstand stabiliserte seg umiddelbart. Operasjonsteknisk var det et ukomplisert inngrep.

    På oppvåkningsenheten var pasienten slapp og noe desorientert. Hun følte seg rar og anga unormalt syn. Det var ingen kliniske tegn til dyp venetrombose. Ved orienterende nevrologisk undersøkelse fant man pasienten somnolent og desorientert. Hun hadde vansker med å forstå enkle instruksjoner. Visus var påvirket med uklart syn i deler av synsfeltet. Det var lett nedsatt kraft i høyre overekstremitet.

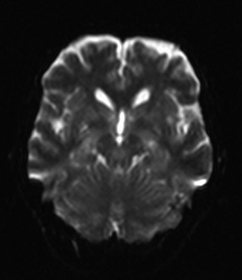
    Supplerende undersøkelser med CT caput viste ingen sikre patologiske forhold, men mulig hypodenst område i venstre oksipitalregion. Cerebral MR, inkludert diffusjonsvektede serier, viste små foci med diffusjonsrestriksjon i begge cerebrale og cerebellare hemisfærer (fig 1), som uttrykk for akutte iskemiske lesjoner. CT thorax avkreftet lungeemboli i de store lungekar. D-dimer var > 4,0 mg/l.

    Multiple akutte iskemiske lesjoner i flere cerebrale kars forsyningsområder er en sterk indikasjon på embolisme som etiologi.

    For å finne embolikilden ble transtorakal ekkokardiografi bestilt til neste dag. Før denne undersøkelsen fikk pasienten feber med temperatur på 39,0 °C, puls på 136 og stigende CRP til 258. Pasienten var fremdeles urolig og desorientert. Urinstiks var negativ. På mistanke om begynnende sepsis med ukjent fokus ble det startet antibiotikabehandling.

    Det er normalt at CRP stiger de følgende dagene etter protesekirurgi, og det var kjent at pasienten hadde hatt takykardiepisoder tidligere. Grunnen til at man mistenkte begynnende sepsis, var høy feber, rask stigning av CRP til høyere verdier enn forventet etter protesekirurgi, samt pasientens forvirringstilstand.

    Ved transtorakal ekkokardiografi ble det funnet normale forhold, men pga. høy hjertefrekvens var dette ikke en optimal undersøkelse for å finne en eventuell emboluskilde. Man gjorde derfor en transøsofageal ekkokardiografi med kontrast. Denne viste lekkasje til venstre atrium, forenlig med åpentstående foramen ovale.

    Paradoks cerebral embolisme skyldes emboluser til hjernen via åpentstående foramen ovale. Vår pasient hadde ingen anamnese på tromboembolisk sykdom og fikk standard postoperativ antitrombotisk behandling. Pasienten hadde uspesifikke cerebrale symptomer, med forvirring og endret bevissthet. Ved akutt cerebral tromboembolisme dominerer vanligvis fokale nevrologiske utfall symptombildet. Vår pasient hadde feber, takykardi og stigende CRP uten påviselig infeksjonsfokus. Infeksjon i forløpet av akutt hjerneslag er ikke uvanlig, men ses vanligvis etter noen døgn. Embolisme som skyldes platetromber eller fibrinrike tromber gir ikke høy feber eller forhøyet CRP. Feber kan ses ved store hjerneinfarkter uten samtidig infeksjon, på grunn av vevsskaden. Cerebral MR et døgn etter symptomdebut viste hos vår pasient multiple punktformede hyperintense lesjoner i hvit substans i begge hemisfærer.

    På bakgrunn av symptomer, kliniske funn og funn ved MR og transøsofageal ekkokardiografi vurderte man det som mulig at pasientens tilstand kunne skyldes paradoks cerebral embolisme. Dette fenomenet ble beskrevet første gang i 1877 av Cohnheim, og inntil 1999 var det kun beskrevet 170 tilfeller av denne formen for embolisme (1). Behandling med kortikosteroid har ikke støtte i litteraturen (2).

    For å utelukke annen embolikilde ble det utført tripleksskanning av halskar, noe som viste normalt strømningsmønster og -retning. Det var ingen stenoser eller aterosklerotiske påleiringer. Vi kunne ikke påvise sikker kardial embolikilde, men vi kunne heller ikke sikkert utelukke paradoks emboli av fibrintromber.

    Det er ikke klarlagt om pasienter med hjerneinfarkt ved samtidig åpentstående foramen ovale er best tjent med antitrombotisk behandling med platehemmer eller antikoagulasjon som sekundærprofylakse (3). Ved vårt sykehus er det vanlig å gi platehemmer ved hjerneinfarkt, dersom det ikke samtidig påvises en venetrombe i en ekstremitet eller et septumaneurisme i venstre atrium. Ettersom pasienten hadde multiple cerebrale emboluser etter ortopedisk inngrep med økt risiko for trombedanning, valgte vi antikoagulasjonsbehandling med warfarin og med INR-mål 2,5 – 3,0.

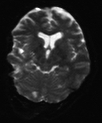
    Kontroll- MR caput en uke senere viste at de bilaterale foci med diffusjonsrestriksjon i det vesentlige var gått tilbake. Det gjensto kun sparsomme aktuelle signalforandringer frontoparietalt på høyre side samt i høyre lillehjernehemisfære (fig 2). FLAIR-sekvensene viste imidlertid flere bilaterale subkortikale høysignalforandringer av iskemisk karakter og av ukjent dato.

    Andre har tidligere vist at man ved kontroll-MR av cerebrum kan ha tilbakegang av signalforandringer ved cerebral fettembolisme (4).

    Pasienten ble overflyttet til avdeling for nevrorehabilitering. Ved utskrivningen en måned etter operasjon var hun orientert, hadde normal kraft og normalt bevegelsestempo i ekstremitetene. Visus var lett nedsatt. Det ble påvist tendens til øresus. Ved kontroll etter fem måneder var pasienten i god allmenntilstand og følte seg helt restituert. Nevrologisk undersøkelse ga normale funn og synet hadde normalisert seg. Kartlegging av kognitiv funksjon viste normale resultater. Sju måneder etter den emboliske hendelsen ble det foretatt perkutan lukning av åpentstående foramen ovale.

    Diskusjon

    Diskusjon

    Fettembolisyndromet ble beskrevet første gang av von Bergmann i 1873, og siden er det kommet hypoteser som kan forklare patofysiologien ved dette syndromet (5, 6). Manipulasjon av beinmargskanalen under innsetting av femurkomponent eller margnagle medfører at trykket i margkanalen stiger fra normale 30 – 50 mm Hg til 800 mm Hg. Ved samtidig sementering og innsetting av protese vil trykket øke til 1 400 mm Hg. Fett og beinmarg vil da bli presset ut i de metafyseale vener og derfra nå høyre hjertekammer og videre opp i lungekretsløpet. Mikroemboluser av fett og beinmarg kan visualiseres via peroperativt transøsofageal ekkokardiografi. Lungen er det vanligste målorganet ved fettembolisyndromet, som i uttalte tilfeller kan føre til interstitielt ødem eller akutt lungesviktsyndrom (acute respiratory distress syndrome, ARDS). Det kliniske symptom er respirasjonssvikt som forårsaker hypoksisk skade på andre organer (5).

    Hos enkelte pasienter vil embolusene nå det systemiske kretsløp og kunne ramme andre organer, som hjerne, hjerte og nyrer. Man har to forklaringsteorier. Den ene er at det dreier seg om en mekanisk hypotese, og den går ut på at fett og beinmarg passerer transpulmonalt via pulmonale venøs-arterielle shunter eller intrakardial shunt via åpentstående foramen ovale mellom hjertets to forkammer. En slik tilstand kalles paradoks cerebral embolisme. Den andre teorien springer ut av en biokjemisk hypotese om at en direkte effekt av frie fettsyrer på cellemembranen medfører inflammasjon som så aktiverer koagulasjonskaskaden og forårsaker mikrotromber i de fleste organene (5, 6). Pasienter med høy forekomst av triglyserider målt preoperativt, har høyere risiko for fettembolisme (7), men det er usikkert om disse pasientene har en høyere forekomst av cerebral embolisme.

    Vår pasient hadde åpentstående foramen ovale som en mulig årsak til den cerebrale fettembolien. I et obduksjonsmateriele fant man at ca. 27 % av alle undersøkte hjerter hadde åpentstående foramen ovale (8). Det er beskrevet tilfeller hvor pasientene har fått cerebral fettemboli uten at man har kunnet verifisere noe åpentstående foramen ovale ved anvendelse av transøsofageal ekkokardiografi (2, 9, 10). I to kasuistikker av Colonna og medarbeidere og Sasano og medarbeidere fikk pasientene akutt hjertestans peroperativt, og resuscitering ble forsøkt i flere minutter (9, 10). Den ene pasienten døde, og ved obduksjon fant man ingen med åpentstående foramen ovale (9). Den cerebrale fettembolien hos de to nevnte pasientene fra litteraturen kan forklares ved at en mekanisk kompresjon av thorax medfører økt trykk i lungekretsløpet, hvilket igjen fører til at fett og beinmarg blir presset gjennom de venøs-arterielle shuntene, som tidligere beskrevet. Man ville forvente at cerebral fettemboli ville forekomme hos flere pasienter når man nå vet hvor vanlig åpentstående foramen ovale er (8)

    Cerebrale emboluser er påvist hos 40 – 60 % av pasienter under proteseoperasjoner ved undersøkelse med transkranial ultralyddoppler (9, 10). Disse emboliene er små og betegnes som mikroembolier. Det er ikke klart hvorfor de færreste pasientene utvikler kliniske manifestasjoner på embolisme peroperativt. Edmonds og medarbeidere undersøkte 20 pasienter for peroperativ cerebral embolisme under hofteproteseoperasjon med transkranial ultralyddoppler og registrerte 1 – 200 embolussignaler hos åtte pasienter (11). Forfatterne målte ikke nevrologiske utfall, og ut fra denne studien kan man derfor ikke si noe sikkert om antall signaler som var assosiert med eventuelle nevrologiske utfall.

    Installering av sement i margkanalen øker trykket markant under innsetting av en hofteprotese. Man har sammenliknet innsetting av sementert versus ikke-sementert og unilateral versus bilateral hofteprotese (7). Man fant at det ikke var signifikant forskjell mellom de ulike prosedyrene med henblikk på fettembolisk syndrom.

    Forebyggende tiltak er gjort de siste årene for å minske risikoen for fettemboluser. Et vanlig tiltak er skylling av margkanalen med en pulserende trykksugspyler (Puls Vac) (7, 12). Et annet effektivt tiltak er å anvende et såkalt vakuumdren under implantasjon av femurkomponenten (5). Under sementering anvendes en sementrestriktor, samtidig med at man sementerer under trykk for å fordele sement godt ut i det spongiøse beinvev. Den sementrestriktoren som flest bruker, er laget av plastpolymer og har en større diameter enn margkanalens trangeste punkt. Under innsetting av sementrestriktoren vil det derfor oppstå et økt trykk i margkanalen, noe som igjen medfører at fett og beinmarg presses ut i venene. I en kadavarstudie fikk man ved anvendelse av en ekspanderende sementrestriktor mindre trykk i margkanalen under innsetting av restriktoren sammenliknet med bruk av vanlige sementrestriktorer (12).

    Sluttkommentarer

    Sluttkommentarer

    Denne kasuistikken viser at utvikling av en delirisk tilstand hos en pasient som er nyoperert med hofteprotese innen de første tre postoperative dagene, bør føre til differensialdiagnostisk overveielse om eventuell paradoks cerebral embolisme. Selv om fenomenet ikke er helt forklart patofysiologisk, vil bedre kjennskap til paradoks cerebral embolisme medføre bedre diagnostikk og behandling. Det settes inn om lag 7 000 hofteproteser i året i Norge, og pasientgruppen har ofte behov for andre typer proteseoperasjoner. Riktig diagnose av paradoks cerebral embolisme gir bedre behandling i akuttfasen og gjør at man stiller bedre forberedt ved eventuelt innsetting av protese i den andre hoften, i kne eller revisjonsprotese.

    Oppgitte interessekonflikter: Ingen

    Se kommentar side 833 og kunnskapsprøve på www.tidsskriftet.no/quiz

    Kommentarer  ( 0 )
    PDF
    Skriv ut

    Anbefalte artikler