Background.
Over the last years, endovascular treatment (intra-arterial thrombolysis, thrombembolectomy, angioplasty or intracranial stenting) has been used to treat acute ischemic stroke. The aim of this article is to discuss endovascular treatment of stroke, based on 3 cases and the present knowledge in this field.
Material and methods.
Three patients presented with symptoms of acute stroke and received endovascular treatment. The cases are discussed with reference to literature identified in Pubmed.
Results and interpretation.
A prospective randomized study of intraarterial thrombolysis within 6 hours of symptom debut has been published, but there is no randomized study on mechanical thrombectomy in acute stroke. Several phase II studies have however shown promising results. The patients presented here illustrate the need for urgent diagnosis and collaboration between various specialities when neurointervention is considered. Patients with symptomatic intracranial stenosis, already on anti-platelet therapy, should be evaluated for angioplasty with or without stenting. Patients with acute ischemic stroke who have not had effect of intravenous thrombolysis, or have been admitted too late to receive such treatment, should be assessed quickly for mechanical thrombectomy, intra-arterial thrombolysis or both.
Årlig er det om lag 15 000 tilfeller av akutt hjerneslag i Norge, og 75 % av de rammede har iskemisk slag (1, 2). 2 % av pasientene er under 45 år, og 50 000 – 60 000 mennesker her i landet lever med følgetilstander etter hjerneslag (3). De samlede årlige utgifter til behandling og oppfølging av hjerneslagpasienter ligger på rundt 7 – 8 milliarder norske kroner (1). Akuttbehandlingen er av stor betydning for det videre forløpet. Pasienter med symptomer på akutt hjerneslag bør i tråd med gjeldende retningslinjer tidligst mulig til undersøkelse for å utelukke blødning (CT caput uten kontrast), og en vurdering av om pasienten skal ha intravenøs trombolytisk behandling, bør gjøres innen tre timer etter symptomdebut (4). Slik behandling virker bedre på tromber i perifere cerebrale kar enn på tromber i større cerebrale kar som a. carotis interna og a. cerebri media (5). Okklusjon av små blodårer perifert innebærer lavere dødelighet enn okklusjon av større cerebrale kar (som a. cerebri media, a. cerebri anterior, a. carotis interna, a. vertebralis og a. basilaris).
I de senere år er det etablert ulike typer endovaskulær behandling av iskemisk hjerneslag, rettet mot okklusjon av de større cerebrale blodårer. Dette dreier seg om invasive teknikker som intraarteriell trombolytisk behandling og/eller trombektomi og angioplastikk uten eller med innleggelse av stent. I den prospektive, randomiserte studien PROACT II ga intraarteriell trombolytisk behandling (prourokinase) signifikant bedre klinisk resultat enn placebo hvis behandlingen ble gitt innen seks timer etter symptomdebut (6). Endovaskulær behandling kan være aktuelt dersom det er manglende effekt av intravenøs trombolytisk behandling og hos pasienter der dette ikke kan gis eller ikke har effekt. Bortsett fra når det gjelder intraarteriell trombolytisk behandling innen seks timer foreligger det ingen prospektive, randomiserte studier omkring nytteverdien av endovaskulære behandlingsteknikker, men flere fase 2-studier antyder at selekterte pasientgrupper har nytte av slik behandling (6) – (10). Formålet med denne artikkelen er å illustrere når slik behandling kan være aktuelt og diskutere status innen feltet.
Materiale og metode
I 2006 – 07 jobbet jeg som nevrointervensjonist ved Stanford Hospital and Clinics. Jeg fikk regelmessig henvist pasienter med symptomer på akutt hjerneslag fra Stanfords slaggruppe. Denne gruppen besto av nevrologer og sykepleiere med spesialutdanning innen hjerneslag. Gruppen disponerte blant annet sin egen MR-maskin, og de har deltatt aktivt i mange multisenterstudier om hjerneslag. Fremstillingen baserer seg på tre pasienthistorier som illustrerer nyere endovaskulære behandlingsteknikker for å oppnå revaskularisering ved symptomer på fersk cerebral iskemi. Pasienthistoriene diskuteres med bakgrunn i gjeldende praksis ved et relativt stort slagsenter (Stanford) og gjennomlesing av nyere litteratur, fremskaffet ved søk i Pubmed med søkeordene «intra-arterial thrombolytics», «mechanical thromboembolectomy», «MERCI», «ischemic stroke», «cerebral angioplasty», «intracranial stent», «intracranial atherosclerosis», «wingspan», «intracranial atheromatous disease» og «intra-arterial rtPA». I tillegg til basisartikler på bakgrunn av randomiserte studier innen hjerneslag ble nyere artikler (fra etter 2002) foretrukket om de var publisert i anerkjente tidsskrifter.
Angioplastikk av stenose i a. carotis interna
Pasient 1 var en 63 år gammel mann med ett års sykehistorie med episodevis svakhet i høyre hånd. Han ble medikamentelt behandlet for hypertensjon og fikk i tillegg platehemmende medikasjon i form av klopidogrel (Plavix). Det var en økning i antall anfall, med svakhet også i høyre bein, nummenhet i høyre ansiktshalvdel og påvirket taleevne. Uken før innleggelsen hadde han daglige anfall, det siste døgnet uten at symptomene gikk helt tilbake. Situasjonen ble oppfattet som residiverende transitoriske iskemiske anfall (TIA), og ved innleggelsen ble det gjort cerebral MR og MR-angiografi av pre- og intracerebrale kar. Det ble påvist signalforandringer i det fremre vannskilleområdet på venstre side – et lite, ferskt infarkt parietalt i venstre hemisfære og signifikant stenose på venstre distale a. carotis interna. Funnene ble diskutert med Stanfords slaggruppe, pasienten og hans pårørende. Det ble besluttet umiddelbart å overføre pasienten til angiografilaboratoriet, der han ble gitt generell anestesi.
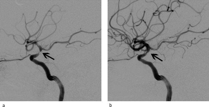
Ved cerebral angiografi fant man at det forelå en 90 % distal venstresidig stenose i a. carotis interna med redusert blodgjennomstrømming av venstre hjernehalvdel (fig 1a). Angiografisk bedømt forelå det få kollateraler og forsinket blodgjennomstrømming i venstre cerebrale hemisfære via a. comunicans anterior og a. comunicans posterior. Det var indikasjon for angioplastikk av stenosen. Ved bruk av ballongkateter (Maverick II) ble stenosen dilatert. Angiografisk ble reststenosen beregnet til 46 % (fig 1b). Etter ett døgn i intensivavdeling og to dager i slagavdeling ble pasienten utskrevet til hjemmet med uendret platehemmende medikasjon. Han var da symptomfri og uten svakhet i høyre hånd. Ved poliklinisk kontroll fire måneder senere var han fortsatt symptomfri, og blodtrykket var spontant normalisert.
Stenting av stenose i a. basilaris
Pasient 2 var en 78 år gammel mann med gjentatte reversible episoder med kraftig svimmelhet og snøvlete tale de siste måneder, hvilket man vurderte som residiverende TIA fra bakre kretsløp. Det var tidligere gjort perkutan koronar intervensjon (PCI) og bypasskirurgi, og han hadde hyperlipidemi, hypertensjon og en stabil kronisk leukemi som ikke var behandlingstrengende. Før det aktuelle brukte han platehemmende medisiner (acetylsalisylsyre og klopidogrel). Den dagen han ble innlagt hadde han hatt uttalte balanseproblemer, som resulterte i fall og uforståelig tale. Cerebral MR viste et lite infarkt av eldre dato i pons, et lite, ferskt iskemisk område i pons og ferske iskemiske forandringer i venstre cerebellære hemisfære. MR-angiografi viste en uregelmessig stenose i midtre del av a. basilaris, bedømt til 90 % på det smaleste. Det forelå indikasjon for angioplastikk av stenosen for å hindre stort infarkt i bakre skallegrop/hjernestamme. Etter diskusjon med familien og Stanfords slaggruppe ble han flyttet til angiografilaboratoriet og lagt i narkose.
Diagnostisk cerebral angiografi ble utført og pasientens basilarisstenose (fig 2a) samt den kollaterale sirkulasjonen ble evaluert. Det var minimal kollateral blodforsyning fra fremre kretsløp. Det ble gjort tre forsøk med angioplastikk (Maverick II-ballongkateter). Dette ga ikke tilstrekkelig blodstrøm i distale a. basilaris. Man la derfor en Wingspan-stent (Boston Scientific) i stenosen. Stenten bidro til forbedret blodstrøm til det distale basilariskretsløpet. Angiografisk reststenose ble målt til 50 % (fig 2b). Pasienten lå ett døgn i intensivavdeling etter prosedyren før han ca. en uke senere ble utskrevet til hjemmet med mild bilateral dysmetri i overekstremitetene, men uten dysartri eller ataksi. Medikasjonen var den samme som ved innkomst. Etter tre måneder var han restituert til samme funksjonsnivå som før siste hjerneslag, uten nye TIA.
Trombektomi
Pasient 3 var en 71 år gammel mann med kjent atrieflimmer som unnlot å bruke warfarin regelmessig fordi han stadig fikk plagsomme blåmerker når han seilte (aktiv seiler). Uken før det aktuelle var han hospitalisert for et akutt infarkt i venstre frontallapp og fikk intravenøs trombolytisk behandling. Han var utskrevet og nærmest fullt restituert da han plutselig falt om med afasi og høyresidig hemiparese. Ved innleggelsen ble han evaluert på National Institute of Health Stroke Scale (NIHSS) til 18. Det ble utført CT av hodet, som viste nytilkommet høyattenuasjon i distale a. carotis interna og a. cerebri media («dense media») på venstre side. Undersøkelsen viste også et subakutt infarkt i venstre frontallapp. Det var ingen blødning. Det var kontraindisert å gi intravenøs trombolytisk behandling fordi han hadde fått dette en uke tidligere. Mekanisk trombektomi uten eller med intraarteriell trombolytisk behandling opp mot ingen intervensjon (med ev. hemikraniektomi ved behov) ble diskutert. Familien motsatte seg sterkt hemikraniektomi og ønsket at trombektomi skulle forsøkes. Pasienten ble raskt overflyttet til angiografilaboratoriet. Det var ikke tid til å gi narkose.
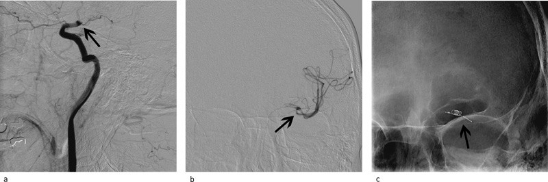
Ved cerebral angiografi ble det påvist akutt okklusjon av distale del av a. carotis interna på venstre side (carotis terminus) (fig 3a), manglende fremstilling av bakre a. comunicans posterior samt tynn første gren av høyre a. cerebri anterior. Begge carotisbifurkasjoner på halsen var normale. Ved hjelp av et trombektomikateter (MERCI-slynge, Concentric Medical Mountain View, California) ble venstre a. carotis interna, media og anterior åpnet opp (fig 3b, 3c, fig 4a, 4b). Blodgjennomstrømmingen til venstre hemisfære ble med angiografi verifisert gjenopprettet nesten tre og en halv time etter symptomdebut. Umiddelbart etter var pasienten noe mer våken og kunne med noe møye si navnet sitt (NIHSS 14). CT av hodet viste ingen blødning, men ødem i venstre hemisfære. CT dagen etter viste lavattenuerende forandringer i deler av a. cerebri medias forsyningsområde på venstre side. Han lå i flere dager i intensivavdeling. Ny vurdering angående hemikraniektomi ble aldri nødvendig. Pasienten ble overført til opptrening i slagenhet, der han fire uker etter prosedyren var i klinisk bedring.
Diskusjon
Symptomgivende intrakraniale stenoser
Pasient 1 og pasient 2 fikk begge den anbefalte platehemmende behandling for TIA, men hadde residiverende TIA og symptomer på fersk iskemi, hvilket ble bekreftet med diffusjonsvektet MR. Hos begge disse var intrakranial aterosklerose årsaken til symptomene. Det er anslått at 8 – 10 % av akutte hjerneslag skyldes intrakranial aterosklerose (11). Pasient 1 opplevde forverring av symptomene etter blodtrykksbehandling og fikk etter blokking av stenosen spontant normalisert blodtrykket.
Tidligere var det kun aktuelt med medikamentell behandling ved symptomgivende intrakranial aterosklerose. Warfarin-Aspirin Symptomatic Intracranial Disease Study (WASID-studien) viste at det var en risiko på 12 % og 15 % for å få et nytt slag etter henholdsvis ett og to år for pasienter som fikk acetylsalisylsyre (12). Hele 23 % av pasientene med høygradig stenose (> 70 %) og hjerneslag som den kvalifiserende episode fikk nytt slag i løpet av det kommende år, trass i medikamentell behandling (13). Thijs & Albers har beskrevet en serie pasienter med intrakranial aterosklerose der hele 56 % fortsatt fikk TIA eller hjerneslag på tross av antitrombotisk behandling (14). Det finnes imidlertid ingen data som støtter behandling av asymptomatiske intracerebrale stenoser uavhengig av stenosegrad. Endovaskulære prosedyrer, som perkutan transluminal angioplastikk uten eller med innleggelse av stent, kan utføres på symptomgivende stenoser hvis platehemmende medikasjon ikke gjør pasienten symptomfri. Marks og medarbeidere utførte perkutan transluminal angioplastikk hos 120 symptomatiske pasienter optimalt medikamentelt behandlet for intrakranial aterosklerose der stenosegraden var over 50 %. Gjennomsnittlig oppfølgingstid var 42,3 måneder. Resultatet var en årlig hjerneslagsrate på 4,4 % (3,2 % i behandlet område) (9, 15). Denne behandlingen ga lavere risiko for nytt slag enn medikamentell behandling alene.
Pasient 2 illustrerer hvordan iskemi fra bakre kretsløp kan skyldes intrakranial aterosklerose i a. basilaris. For denne pasienten var perkutan transluminal angioplastikk ikke tilstrekkelig for å sikre gjennomblødning i distale a. basilaris. Han sto i fare for å utvikle et større infarkt i bakre skallegrop – med mulig fatal utgang. I dette tilfellet var innleggelse av stent nødvendig. En ny fleksibel, selvekspanderende nitinol mikrostent laget for intracerebrale vaskulære stenoser (Wingspan, Boston Scientific/Target) ble benyttet. Det er rapportert 6,1 % prosedyrerelatert morbiditet og mortalitet ved stentinnleggelse (10). Publiserte studier med langtidsoppfølging som kan fortelle om hvor lenge en stent kan holde intrakraniale kar åpne eller hvor lenge stentbehandlede pasienter forblir symptomfrie finnes ikke. I siste artikkel om multisenterstudien om Wingspan ble det presentert en forekomst av stentstenose (in-stent stenosis) hos 29,7 % av pasientene etter en gjennomsnittlig oppfølgingstid på 5,9 måneder for 84 behandlede stenoser i 78 pasienter. Flest tilfeller av stentstenoser var det i fremre kretsløp, og 76 % av pasientene var asymptomatiske (16).
Når skal en intrakranial stenose behandles? De to første pasientene hadde begge en noe langtrukken symptomdebut med mange TIA og små infarkter på tross av optimal medikamentell behandling. For begge disse gikk det vel ett døgn fra symptomdebut til innleggelse og behandling. Revaskularisering kan gi blødning inn i ferske infarkter. Ved store ferske iskemiske infarkter var holdningen ved Stanford at man skulle vente 4 – 6 uker med å gjøre perkutan transluminal angioplastikk uten eller med stentinnleggelse. Ved mindre infarkter, pågående TIA og der man antar at et nytt infarkt kan bli fatalt ble perkutan transluminal angioplastikk uten eller med stentinnleggelse anbefalt i akuttfasen. Risikoen for å få hjerneslag ved symptomatisk intrakranial stenose er ikke konstant over tid. Data indikerer at pasienten løper den høyeste risikoen for et nytt hjerneslag umiddelbart etter sitt kvalifiserende TIA eller hjerneslag (13). Med andre ord, en pasient med akutt hjerneslag/TIA på bakgrunn av intrakranial aterosklerose bør behandles raskt, som ved Stanford. Det er å håpe at en randomisert studie vil kunne avklare dette i fremtiden. Pasientene ble overvåket nøye i intensivavdeling etter behandling. Det er viktig med nært samarbeid mellom nevrolog, nevrointervensjonist og anestesiolog/intensivmedisiner. Behandlingen er ikke over selv om pasienten har forlatt angiografilaboratoriet.
Endovaskulær behandling ved akutte okklusjoner
Pasient 3s historie er en illustrasjon på akutt carotis terminus-okklusjon (såkalt T-okklusjon) forårsaket av emboluser fra hjertet, der både a. cerebri anterior og a. cerebri media var okkludert. Pasienten oppnådde umiddelbart noe bedring. Han ble ikke behandlet i narkose på grunn av manglende anestesitilbud der og da. Ved Stanford ble mange pasienter behandlet uten narkose fordi man anså at tid til revaskularisering var viktigst og ikke ville tape tid ved å vente på anestesiservice. Pasienten ble fulgt svært nøye opp i intensivavdeling etter prosedyren. Dødeligheten ved en slik tilstand er ifølge Hacke og medarbeidere hele 78 % (17). MERCI-slyngen (Mechanical Embolus Removal in Cerebral Ischemia) er eneste godkjente mekaniske utstyr for trombektomi (Food and Drug Administration per november 2007), forutsatt at den benyttes innen åtte timer etter symptomdebut (7, 8). Smith og medarbeidere rapporterte at revaskularisering ble oppnådd i 46 % av tilfellene (7).
Dette er høyere enn spontan revaskularisering, som hos historiske kontrollpersoner ble beregnet til ca. 18 % (6). Det var bedre klinisk resultat hos behandlede der det ble oppnådd revaskularisering (modifisert Rankin Scale (mRS) < 2) etter 90 dager enn hos dem som ikke ble revaskularisert (46 % versus 10 % av pasientene) (7). En kombinasjon av mekanisk trombektomi og intraarteriell trombolytisk behandling kan gi høyere rekanaliseringsrate enn bare trombektomi, med mulig forbedret klinisk resultat (8). Ved intraarteriell trombolytisk behandling blir rekombinant human vevsplasminogenaktivator (rtPA) applisert direkte i tromben eller i dens umiddelbare nærhet. Anvendt dose ved intraarteriell trombolytisk behandling er betydelig lavere enn ved intravenøs administrasjon av rtPA. Pasient 3 var ikke kandidat for intravenøs trombolytisk behandling (kontraindikasjon) eller hemikraniektomi (ikke akseptert av familien), men ble revaskularisert ved mekanisk trombektomi.
Erfaringen fra Stanford er at intravenøs trombolytisk behandling ikke er like effektivt ved okklusjoner distalt i a. carotis interna som ved okklusjoner lenger perifert i kartreet, noe også studier antyder (5). Trombektomi uten eller med intraarteriell trombolytisk behandling er ikke kontraindisert etter intravenøs behandling. Tvert imot, mekanisk trombektomi innen åtte timer fra symptomdebut blir valgt for pasienter som ikke responderer klinisk på intravenøs trombolytisk behandling og det foreligger okklusjon i carotis terminus, a. cerebri media/anterior/basilaris. Andre trombektomikatetre kan også anvendes, for eksempel gåsehalsslynge (goose-neck snare) (18). Åttetimersregelen er bestemt ut fra konsensus. Fremtidige studier vil avgjøre om man ved bruk av perfusjonsvektet CT- eller MR-undersøkelse kan identifisere iskemimønstre som bedre kan selektere dem som har nytte av kateterbasert gjenopprettelse av blodstrøm til hjernen og på hvilket tidspunkt i sykdomsutviklingen slik behandling vil gi færrest komplikasjoner.
Mandava & Kent har påpekt at verken intraarteriell trombolytisk behandling eller trombektomi gir bedre klinisk resultat om man tar hensyn til pasientenes utgangspunkt og sammenlikner med beste medisinske behandling. Deres metaanalyse baserer seg på prognostiske modeller og inkluderer studier hvor urokinase er brukt, hvilket ikke er tilgjengelig i vår del av verden. Imidlertid har de et poeng – det er behov for flere studier (19). I mellomtiden må vi i Norge ta innover oss resultater fra fase 2-studier og anbefalingene fra American Heart/American Stroke Association (4) Flere studier, blant annet PROACT II, bekrefter sammenhengen mellom rask revaskularisering og godt klinisk resultat (mRS < 2). Siden trombolytisk behandling kan fremkalle systemisk og intracerebral blødning, kan det virke besnærende å åpne okklusjonen av større cerebrale arterier mekanisk ved fysisk å fjerne den okkluderende trombe. Mekanisk revaskularisering kan teoretisk gjenopprette normal blodstrøm raskere enn kjemisk lyse. Vi mangler kunnskap om hvilke pasientgrupper som egner seg best for mekanisk trombektomi versus intraarteriell trombolytisk behandling versus konservativ behandling.
Avslutning
Pasienter som er medikamentelt behandlet for intracerebral aterosklerotisk stenose og med TIA/hjerneslag bør behandles raskt etter første TIA eller hjerneslag. Det er vist redusert forekomst av nytt hjerneslag etter perkutan transluminal angioplastikk sammenliknet med historiske kontrollpersoner. Det foreligger ingen tilsvarende studier når det dreier seg om stenting av intrakraniale stenoser, fordi langtidsresultater mangler. Vi mangler prospektive, randomiserte studier som dokumenterer nytteverdien av nevrointervensjonsprosedyrene.
Intraarteriell trombolytisk behandling og mekanisk trombektomi er rettet mot okklusjoner av større intracerebrale kar der intravenøs trombolytisk behandling har liten effekt og det naturlige forløp er forbundet med høy morbiditet og mortalitet. I flere studier er det dokumentert at klinisk resultat er avhengig av hvor raskt man oppnår revaskularisering. Kun intraarteriell trombolytisk behandling er dokumentert i en randomisert studie (6).
Vi er i startfasen av en æra der endovaskulære teknikker kan bli et viktig supplement i behandlingen av akutt hjerneslag. Akutt slagbehandling er akuttmedisin, og samarbeid mellom nevrolog, nevrointervensjonist og anestesiolog/intensivmedisiner er svært viktig. De foreløpige fase 2-studier av endovaskulær behandling er lovende, men randomiserte studier mangler. Utredning med CT caput uten intravenøs kontrast, CT-perfusjon og CT-angiografi fra og med aortabuen til og med circulus Willisi gir raskt svar på om det foreligger blødning, om det foreligger en karokklusjon og om hjernevev står i fare for å bli permanent skadet. Den samme informasjonen kan man få med MR-teknikk, men MR er mindre tilgjengelig. Fremtidige studier vil vise om disse bildeteknikkene kan gjøre oss mindre avhengige av tidsfaktoren når vi skal velge behandlingsstrategi ved akutt hjerneslag.
Oppgitte interessekonflikter:
Forfatteren har mottatt reisestøtte fra Boston Scientific/Target og Concentric Medical.
Oppgitte interessekonflikter: Se til slutt i artikkelen
Tabell
| Hovedbudskap |
|
- 1.
Fjærtoft H, Indredavik B. Kostnadvurderinger ved hjerneslag Tidsskr Nor Lægeforen 2007; 127: 744 – 7.
- 2.
Ellekjær H, Selmer R. Hjerneslag – like mange rammes, men prognosen er bedre Tidsskr Nor Lægeforen 2007; 127: 740 – 3.
- 3.
Russell D, Dahl A, Lund C. Primærprofylakse mot hjerneslag Tidsskr Nor Lægeforen 2007; 127: 754 – 8.
- 4.
Adams HP jr., Zoppo G, Alberts MJ et al. Guidelines for the early management of adults with ischemic stroke: a guideline from the American Heart Association/American Stroke Association Stroke Council, Clinical Cardiology Council, Cardiovascular Radiology and Intervention Council, and the Atherosclerotic Peripheral Vascular Disease and Quality of Care Outcomes in Research Interdisciplinary Working Groups. The American Academy of Neurology affirms the value of this guideline as an educational tool for neurologists. Circulation 2007; 115: e478 – 534.
- 5.
Linfante I, Llinas RH, Selim M et al. Clinical and vascular outcome in internal carotid artery versus middle cerebral artery occlusions after intravenous tissue plasminigen activator. Stroke 2002; 33: 2066 – 71.
- 6.
Furlan A, Higashida R, Wechsler L et al. Intra-arterial prourokinase for acute ischemic stroke. The Proact II study: a randomized controlled trial. Prolyse in Acute Cerebral Thromboembolism. JAMA 1999; 282: 2003 – 11.
- 7.
Smith WS, Sung G, Starkman S et al. Safety and efficacy of mechanical embolectomy in acute ischemic stroke: results of the MERCI trial. Stroke 2005; 36: 1432 – 40.
- 8.
Flint AC, Duckwiler GR, Budzik RF et al. Mechanical thrombectomy of intracranial internal carotid occlusion: pooled results of the MERCI and Multi MERCI Part I trials. Stroke 2007; 38: 1274 – 80.
- 9.
Marks MP, Wojak JC, Firas A et al. Outcome of angioplasty for atherosclerotic intracranial stenosis. Stroke 1999; 30: 1065 – 9.
- 10.
Fiorella D, Levy EI, Turk AS et al. US multicenter experience with the wingspan stent system for the treatment of intracranial atheromatous disease: periprocedural results. Stroke 2007; 38: 881 – 7.
- 11.
Sacco RL, Kargman DE, Gu Q et al. Race-ethnicity and determinants of intracranial atherosclerotic cerebral infarction. The Northern Manhattan Stroke Study. Stroke 1995; 26: 14 – 20.
- 12.
Chimowitz MI, Lynn MJ, Howlett-Smith H et al. Comparison of warfarin and aspirin for symptomatic intracranial arterial stenosis. N Engl J Med 2005; 352: 1305 – 16.
- 13.
Kasner SE, Chimowitz MI, Lynn MJ et al. Warfarin Aspirin Symptomatic Intracranial Disease Trial Investigators. Predictors of ischemic stroke in the territory of a symptomatic intracranial arterial stenosis. Circulation 2006; 113: 555 – 63.
- 14.
Thijs VN, Albers GW. Symptomatic intracranial atherosclerosis: outcome of patients who fail antithrombotic therapy. Neurology 2000; 55: 490 – 7.
- 15.
Marks MP, Wojak JC, Firas A et al. Angioplasty for symptomatic intracranial stenosis: clinical outcome. Stroke 2006; 37: 1016 – 20.
- 16.
Levy EI, Turk AS, Albuquerque FC et al. Wingspan in-stent restenosis and thrombosis: incidence, clinical presentation, and management. Neurosurgery 2007; 61: 644 – 50.
- 17.
Hacke W, Schwab S, Horn M et al. «Malignant» middle cerebral artery territory infarction: clinical course and prognostic signs. Arch Neurol 1996; 53: 309 – 15.
- 18.
Wikholm G. Transarterial embolectomy in acute stroke. AJNR Am J Neuroradiol 2003; 24: 892 – 4.
- 19.
Mandava P, Kent TA. Intra-arterial therapies for acute ischemic stroke. Neurology 2007; 68: 2132 – 9.