Background.
Massive hemispheric brain infarctions are associated with high mortality, due to cerebral oedema, increased intracranial pressure, distortion of the brain stem and herniation. Decompressive craniectomy involves opening of the dura mater to give more space for the brain. This review describes hemicraniectomy and discusses its usefulness, especially in massive cerebral infarctions.
Material and methods.
Literature up to January 2007 was retrieved from Medline with the terms «hemicraniectomy» and «decompressive craniotomy» in combination with «stroke» and «cerebral infarction». 39 studies were found of patients operated with decompressive craniotomy for cerebral infarction in the period 1990 – 2006.
Results and interpretation.
Hemicraniectomy for massive supratentorial brain infarction has been insufficiently documented. Hemicraniectomy performed within 48 hours of stroke onset has recently been compared to medical management alone in three randomized studies. A pooled analysis of patients (93 patients aged < 60 years) with massive infarction in the arteria cerebral media territory, indicated a significantly lower one-year mortality and a significantly larger proportion with a one-year outcome of mRS <3 after hemicraniectomy than after medical management alone. The following key questions still need to be answered: surgical timing, the relevance of hemispheric dominance, the extension of infarcted brain, and whether the reduced mortality justifies the morbidity among survivors (particularly in older age groups). Even though increased survival has now been documented, the decision to perform hemicraniectomy in patients with massive brain infarction must still be made on an individual basis.
Uttrykket «massivt hjerneinfarkt» ble lansert i 1951 (1). I dag brukes begrepet om akutte hjerneinfarkter som omfatter større deler av en hjernehemisfære. Slike infarkter skyldes oftest en akutt okklusjon av arteria cerebri media alene, eventuelt sammen med okklusjon av a. cerebri anterior eller a. cerebri posterior. Vanlige årsaker til hjerneinfarkt er kardiale emboluser, aterosklerose og disseksjon (2). Ved to av tre massive infarkter, om lag 5 % av alle iskemiske hjerneslag, utvikles et hjerneødem som representerer en livstruende romoppfyllende prosess (2, 3). Tradisjonelt ble massivt hjerneinfarkt behandlet medisinsk med mannitol intravenøst, hyperventilasjon i respirator, barbituratanestesi og moderat hypotermi (4, 5). Det har vist seg at slike tiltak er lite effektive, og en studie viser at tre av fire pasienter døde (6). Resultatene ved avlastende hemikraniektomi synes å være bedre (7, 8). I 1999 ble det i Tidsskriftet publisert to norske kasuistikker (9, 10).
I denne oversiktsartikkelen gir vi en beskrivelse av hemikraniektomi og diskuterer nytten av inngrepet ved massivt hjerneinfarkt. Vi omtaler ikke andre indikasjoner for hemikraniektomi, som massiv intrakranial blødning, traumatisk hjerneskade, intracerebralt hematom, encefalitt eller cerebral venetrombose.
Materiale og metode
Etter litteratursøk i Medline i 2006 og nytt søk i januar 2007 med søkeordene «hemicraniectomy» og «decompressive craniotomy» i kombinasjon med «stroke» og «cerebral infarction» fant vi 39 serier publisert i tidsrommet 1990 – 2006 med pasienter som var operert med avlastende kraniotomi. I litteraturen er det i alt rapportert 1 137 personer operert med dekompressiv kraniektomi. Vi fant 12 serier med totalt 559 pasienter som fikk konservativ behandling, publisert i 1990 – 2006. Det er mulig at en del av pasientene går igjen i flere studier. I ni av studiene ble opererte sammenliknet med pasienter behandlet konservativt ved samme institusjon.
Hemikraniektomi – bakgrunn
Inngrep på hjerneskallen kan ha vært blant menneskenes første forsøk på kirurgi, og inngrep i rituell eller magisk hensikt kan ha gitt opphav til erkjennelsen av at hull i kraniet kan avhjelpe økt trykk i hodet. I vestlig medisinsk tradisjon regnes Celsus (25 f.Kr.–50 e.Kr.) som den som først beskrev akutt nevrokirurgi (11). Avlastende kirurgi ved kronisk intrakranial hypertensjon ble praktisert tidlig i det 19. århundre (12). I 1888 viste Victor Horsley (1857 – 1916) at stasepapiller kunne gå tilbake dersom et stort stykke av skalletaket ble fjernet (13). Theodor Kocher (1841 – 1917) beskrev og praktiserte avlastende inngrep ved bl.a. akutte hodeskader (14). Med bedre kirurgisk teknikk og anestesi viste Kerr i 1968 betydningen av stor avlastende kraniektomi og duraplastikk ved posttraumatisk hjerneødem (15).
Den første kraniotomi ved hjerneinfarkt ble trolig utført i Firenze i 1933 (16). I de følgende tiår fulgte sporadiske rapporter om pasienter operert dels under mistanke om andre patologiske tilstander (1, 17). Før CT-diagnostikken kom i bruk var det vanskelig å skille mellom infarkt og blødning (18), men CT-undersøkelse gjorde det mulig å følge forløpet anatomisk. I 1981 beskrev Rengachary og medarbeidere tre overlevende etter hemikraniektomi ved massivt hjerneinfarkt (19). På samme tid begynte forsøk med medikamentell trombolytisk behandling (20, 21). Til tross for blødningsrelatert mortalitet har slik behandling bedret prognosen ved hjerneinfarkt (22). Dette har gjort at man innen slagmedisinen er blitt mer aktiv og mer risikovillig (23), noe som har resultert i en mer pågående holdning som dermed på nytt gjorde kirurgiske behandlingstiltak aktuelt.
Kliniske symptomer og forløp
Initiale symptomer ved massivt hjerneinfarkt er homonym hemianopsi og slappe pareser kontralateralt til infarktet. Pasienten kan ha noe funksjon i underekstremiteten. Konjugert blikkdeviasjon mot infarktet indikerer skade av det frontale blikksenteret (24). Initialt er pasientene som regel våkne (24). Global afasi er regelen dersom infarktet rammer dominant hemisfære. Infarkt i høyre hemisfære gir ofte venstresidig neglekt. Ved den sekundære kliniske forverringen ses såkalte hernieringstegn: fallende bevissthet, pupillforandringer uni- eller bilateralt, bilateralt Babinskis tegn og endret respirasjon. Disse tegnene inntrer i løpet av 24 timer hos én av tre pasienter med massivt hjerneinfarkt, og er til stede innen 72 timer hos tre av fire. Hos halvparten inntreffer døden innen 96 timer (2, 3, 6).
Bildediagnostikk
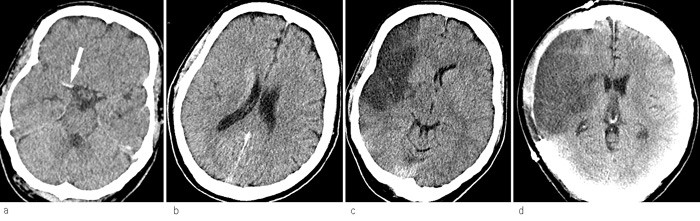
Trombemasser i a. cerebri media kan ses på CT uten kontrast hos én av fire pasienter med kliniske tegn til infarkt i a. cerebri medias forsyningsområde (fig 1a) (25). En hyperdens a. cerebri media varsler sekundær forverring med en sensitivitet på 89 % og en spesifisitet på 60 % (26). Tidligere tegn til hjerneødem ved CT ses som hypodensitet i basalgangliene og ved at grensen mellom grå og hvit substans blir vanskeligere å definere på syk side (25). Andre tidlige tegn er redusert volum av fissura Sylvii og utplanert kortikalt relieff. Etter 3 – 6 timer er det hypodensitet i infarktområdet, på figur 1a og figur 1b ser man at et økende hjerneødem komprimerer sideventrikkelen (25). Figur 1c viser hvordan midtlinjen blir forskjøvet. Ventrikkelen på motsatt side utvides når forskyvningen obstruerer tredje ventrikkel og foramina Monroi.
Hjernearterienes perfusjonsområder er ikke så konstante som det man vanligvis tror (27). Følgene av en okkludert a. cerebri media kan derfor variere. Det kan være bedre å semikvantitere tidlige funn på CT med for eksempel ASPECT-skår (The Alberta Stroke Program Early Computed Tomography score) (28). Tidlig utbredt hypodensitet er en markør for dårlig prognose og tilsier oppfølging med nye CT-undersøkelser uavhengig av kliniske symptomer. Diffusjonsvektet MR er i ferd med å bli en etablert metode, men CT har fortsatt mange fordeler, ikke minst på grunn av tilgjengelighet.
Overvåking og patofysiologi
Ved massivt hjerneinfarkt er det viktig å overvåke kliniske symptomer og monitorere fysiologiske variabler (29). For klinisk overvåking anbefales standardiserte metoder, f.eks. Glasgow Coma Scale (GCS), Scandinavian Stroke Score (SSS) eller NIH Stroke Scale (NIHSS), med støtte i liberal bruk av bildediagnostikk. Et intrakranialt trykk (ICP) på over 20 – 25 mm Hg er assosiert med dårlig prognose, men etter massivt hjerneinfarkt er det ikke tilstrekkelig å overvåke dette alene (30, 31).
Når sekundær klinisk forverring inntrer, har et flertall av pasientene ikke et intrakranialt trykk forenlig med et kritisk lavt cerebralt perfusjonstrykk (30, 31). Sekundær klinisk forverring med hernieringstegn inntrer hos eldre ved et lavere intrakranialt trykk enn hos yngre (31). Kliniske tegn på herniering kan skrive seg fra torsjon av hjernestammen (32). Forskyvning av hjernens midtlinje og hernieringstegn kan oppstå ved en interhemisfærisk trykkforskjell på noen få mm Hg (31, 33).
Hemikraniektomi
Det er to prinsipper for avlastende kirurgi ved massivt hjerneinfarkt – ekstern dekompresjon, hvor man fjerner en stor beinlapp og legger dura åpen, og intern dekompresjon, hvor man fjerner infarsert hjernevev. Metodene kan kombineres (34). Reseksjon av tinninglappen kan teoretisk redusere faren for transtentorial herniering, men dette er ikke bekreftet i kliniske studier (34). Videre kan det ved reseksjon være vanskelig å skille levedyktig vev fra vev som er irreversibelt ødelagt. Vår fremgangsmåte bygger på publiserte anbefalinger (7, 35, 36).
Pasienten (i narkose) legges på ryggen med hodet dreid fra infarktet. Hudsnittet legges langs midtlinjen fra pannen mot occiput og videre lateralt like over forløpet av sinus transversus, så over og foran øret mot arcus zygomaticus. Kraniotomien gjøres i ett stykke «fra sinus til sinus til sinus»: Fra arcus, over tinningbeinet forbi sutura lambdoidea og fremover langs midtlinjen, uten å åpne pannebihulen. Sporet går videre parallelt med gulvet i fremre skallegrop. Lille kilebeinsvinge drilles ned epiduralt, som illustrert i figur 2. Selve hemikraniektomien gir noe trykkreduksjon, men for å oppnå best avlastende effekt bør dura åpnes (37). Dura åpnes i et kors eller ved et stjerneformet snitt ut til beinkantene, deretter kan et implantat skyves innunder og om nødvendig festes med enkle suturer. Hjernen vil oftest protrudere gjennom åpningen, og en stor hemikraniektomi med diameter over 12 cm anbefales (35, 36) for å redusere skjærekrefter og venøs stase, som kan øke ødemet. Blødning epiduralt eller i musculus temporalis kan kreve reoperasjon (36).
Beinlappen oppbevares sterilt pakket ved minus 70 °C slik at den kan reimplanteres på et senere tidspunkt. Ett alternativ er midlertidig implantasjon subkutant på pasientens abdomen (38). Dersom huden over en hemikraniektomi fortsatt buker etter de første ukene, kan dette bety at det har dannet seg et subduralt hygrom eller hydrocephalus, hvilket bør avklares ved CT-undersøkelse. Det er vanlig å legge beinlappen tilbake etter to til fire måneder. Dette forutsetter et infeksjonsfritt operasjonssår og at hjernen ikke lenger protruderer. Bedret cerebral perfusjon og kognitiv funksjon etter at beinlappen er lagt tilbake er beskrevet (39).
Komplikasjoner ved hemikraniektomi
Bare i tre studier omtales osteomyelitt, og hos til sammen seks (7 %) av i alt 85 overlevende måtte beinlappen fjernes på grunn av en slik komplikasjon (34, 36, 40). Ved osteomyelitt blir beinlappen som regel kassert og erstattes av en tilpasset kranieprotese. Det er mulig at denne komplikasjonen er underrapportert, i en stor prospektiv undersøkelse av sårinfeksjoner innen nevrokirurgi fant man en insidens av osteomyelitt etter standard kraniotomi på 0,5 % (41). Osteomyelitt bidrar sannsynligvis lite til perioperativ mortalitet, derimot er nok en liten kraniektomi en mer vanlig årsak til komplikasjon (35).
Kunnskapsgrunnlaget
I litteraturen er det rapporter fra hemikraniektomi av om lag 1 000 pasienter med massivt hjerneinfarkt. Vekslende datakvalitet gjør tolking vanskelig, og det verserer ulike definisjoner av «malignt» hjerneinfarkt. I noen studier har man sammenliknet dem som er operert med dem som har fått medisinsk behandling ved samme institusjon (8, 42, 43). Et problem med disse studiene er at pasientene har vært selektert til medisinsk behandling basert på grad av komorbiditet, fordi man har antatt at hjerneskaden var irreversibel, fordi samtykke til operasjon manglet – eller det har vært historiske kontrollpasienter. De som ikke ble operert, var dessuten gjennomsnittlig opptil ni år eldre enn de opererte. Disse undersøkelsene oppfyller derfor ikke kriteriene for kontrollerte studier (43).
Randomiserte studier
Nylig er det publisert preliminære resultater fra tre åpne kontrollerte, randomiserte studier: den amerikanske HeADDFIRST (Hemicraniectomy and Durotomy for Deterioration From Infarction Relating Swelling Trial), den tyske DESTINY (Decompressive Surgery for the Treatment of Malignant Infarction of the Middle Cerebral Artery) og den franske DECIMAL (DEcompressive Craniectomy In MALignant Middle Cerebral Artery Infarcts) (44). Alle disse er relativt små, inklusjonskriteriene er forskjellige og beviskraften hos hver av dem for seg kan være usikker. Den nederlandske HAMLET-studien (Hemicraniectomy After MCA infarction with Life-threatening Edema Trial) har de klareste inklusjonskriteriene (45), og siden 2002 har man rekruttert 59 pasienter (Jeannette Hofmeijer, personlig meddelelse).
Gruppene bak DESTINY, DECIMAL og HAMLET rapporterte nylig preliminære resultater for totalt 93 randomiserte pasienter med massivt hjerneinfarkt (> 50 %) i a. cerebri medias forsyningsområde (46). Pasientene var i aldersgruppen 18 – 60 år og hadde National Institutes of Health Stroke Scale (NIHSS)-skår > 15. 51 ble behandlet med hemikraniektomi, 42 fikk konservativ behandling. Med hemikraniektomi innen 48 timer etter iktus var det signifikant flere (43 % mot 23 %, p < 0,0001) i live etter ett år sammenliknet med dem som fikk maksimal nevrointensiv behandling alene. Av de opererte var det signifikant flere (78 % mot 29 %, p = 0,014) med fysisk funksjon tilsvarende modifisert Rankin Scale (mRS) 3 eller bedre, dvs. de var ikke eller bare delvis avhengige av hjelp til daglige gjøremål (46).
Det var imidlertid systematiske forskjeller mellom studiene. Av randomiserte pasienter i HAMLET var det relativt færre med afasi: 39 % mot 66 % i DESTINY og 61 % i DECIMAL (46). De randomiserte pasientene i HAMLET var gjennomsnittlig ca. 4,5 år eldre (46). I HAMLET ble pasientene randomisert og eventuelt operert etter gjennomsnittlig 30 timer, mot 24 timer i DESTINY og 16 timer i DECIMAL, noe som avspeiler ulikheter i forsøksprotokollene (44, 46).
Tidspunkt for operasjon var tema for tre studier. I to definerte man «tidlig» versus «senere» ut fra klokketid, med et skille ved henholdsvis seks timer og 24 timer (tab 1) (8, 34, 47). Mori og medarbeidere hadde en klinisk definisjon (34): «tidlig» var operasjon før pasientene fikk kliniske tegn på herniering. Studiene er ikke randomiserte, én var prospektiv, men hadde historiske kontrollpasienter (8). Metodene for vurdering og rapportering varierte betydelig. Studiene gir derfor ikke noe entydig svar på om operasjonstidspunktet skal bestemmes ut fra antall timer fra iktus eller ut fra pasientens kliniske utvikling. Heller ikke den randomiserte studien (46) har til nå gitt svar på dette, og det er usikkert om studiens design gir grunnlag for å konkludere om hva som er beste operasjonstidspunkt.
Tabell 1
Sammenfatning av tre studier med vekt på tidspunkt for hemikraniektomi ved massivt hjerneinfarkt.
| Operert tidlig |
Operert senere |
|||||||||||||||
| Studie |
År |
Antall |
Antall timer operert etter iktus |
Antall med herniering (%) |
Glasgow Coma Scale ved operasjon |
Alder snitt (år) |
Antall døde (%) |
Antall |
Antall timer operert etter iktus |
Antall med herniering (%) |
Glasgow Coma Scale ved operasjon |
Alder snitt (år) |
Antall døde (%) |
Definisjon «tidlig» versus «senere» |
||
| Schwab og medarbeidere (8) |
1998 |
31 |
21 |
4 (13) |
Ikke angitt |
50 |
5 (16) |
32 |
39 |
24 (75) |
Ikke angitt |
49 |
11 (32) |
«Tidlig»: operert ≤ 24 timer etter iktus. Gruppen «senere» var historiske kontrollpasienter |
||
| Cho og medarbeidere (47) |
2003 |
12 |
4,3 |
Ikke angitt |
Ikke angitt |
60 |
1 (8) |
30 |
68 |
Ikke angitt |
Ikke angitt |
64 |
11 (37) |
«Tidlig»: operert ≤ 6 timer etter iktus |
||
| Mori og medarbeidere (34) |
2004 |
21 |
60 |
0 (0) |
11,2 |
65 |
4 (19) |
29 |
66 |
26 (90) |
6,6 |
64 |
8 (28) |
«Tidlig»: definert som operert før kliniske hernieringstegn |
||
Prognostiske markører
Obervasjonsstudier har vist at det er dårligere utfall hos pasienter over 50 eller 60 år og når infarktet inkluderer området for a. cerebri anterior og/eller a. cerebri posterior (42, 48). I en retrospektiv multisenterstudie med 188 pasienter fant man en mortalitet etter ett år på 22 % hos pasienter uten slike risikomarkører, mot en ettårsmortalitet på 55 % hos dem med én markør og på 67 % hos dem med to (48). En systematisk gjennomgang av data for 138 pasienter identifiserte alder over 50 år som en signifikant markør for dårligere utfall, mens tid fra iktus til operasjon, preoperative hernieringstegn og infarkt utover området for a. cerebri media ikke var signifikant (43). Hvis infarktets utbredelse i selv ikke er avgjørende, kan det avspeile at størrelsen, målt ved CT-undersøkelse eller angitt i «perfusjonsområder», ikke gir tilstrekkelig innsikt i patofysiologien ved massivt hjerneinfarkt (49).
Livet etter hemikraniektomi
Hemikraniektomi gir redusert dødelighet og færre som overlever med svær funksjonshemning (8, 34, 46, 47). Noen pasienter er blitt helt selvhjulpne (9), og enkelte har kunnet gå tilbake til arbeid (40, 50).
Angitt insidens av depresjon varierer fra 21 % til 67 % (36, 51) – (53). Forskjellen kan sannsynligvis forklares ut fra ulik seleksjon og forskjellige diagnostiske kriterier.
Livskvaliteten etter hemikraniektomi har imidlertid vært lite studert – utover angivelse av livskvalitet ut fra fysisk funksjonsnivå. I fire små studier anføres det at flertallet overlevende har en livskvalitet på nivå med slagpasienter generelt (36, 40, 50, 54), mens det i én ble vist sterkt redusert livskvalitet hos overlevende etter hemikraniektomi (52). Fysisk funksjonsnivå er som regel kartlagt ut fra spørreskjemaundersøkelse. Selv om pasientene oppfatter seg som fysisk uføre, ser det ut til at de i mindre grad ser seg som handikappet psykososialt (54). På grunn av forskjellige metoder er disse studiene vanskelig å tolke. Videre mangler vi foreløpig data om livskvaliteten hos dem som har overlevd uten operasjon.
Infarkt i dominant hemisfære
Det har vært diskutert om man bør utføre hemikraniektomi ved infarkt i dominant hemisfære. Én studie (48) antyder at hemisfæredominans spiller mindre rolle for utfallet vurdert med Glasgow Outcome Scale (GOS). Språkfunksjonen bedres signifikant i månedene etter et massivt infarkt i dominant hemisfære (55, 56). Det kan avspeile at neglekt kan være like invalidiserende som afasi (40). Lite er kjent om restitusjon av neglekt og andre symptomer fra ikke-dominant hemisfære. Nevrofysiologisk testing av kognitive funksjoner tyder på sterkt redusert oppmerksomhet hos de fleste pasientene på tross av et ganske godt fysisk funksjonsnivå. Dette er til hinder for rehabilitering til lønnet arbeid (55).
Pasientenes preferanser
I fire studier ble pasientene spurt om de i ettertid helt eller nesten sikkert ville gitt samtykke til operasjon. Av i alt 62 overlevende svarte 48 (77 %) at de sannsynligvis ville gitt samtykke (7, 40, 53, 55). I én av studiene bekreftet pårørende til ni av ni pasienter at de også ville ha samtykket til operasjon (7).
Diskusjon
Avlastende hemikraniektomi bygger på en elementær mekanisk tankerekke, Monroe-Kellie-doktrinen: Når volum (hjerneødem) tilføres et lukket rom (kraniehulen), vil trykket øke. Ved å ta bort en større del av kraniet og åpne dura mater gjør man plass for den svulmende hjernen. Dette vil kunne senke det intrakraniale trykket og reversere hjernevevets forskyvning. Lavere intrakranialt trykk vil gi økt perfusjonstrykk og dermed bedre perfusjon og oksygenering av livskraftig hjernevev.
Heterogen seleksjon, ulik indikasjon og ulikt tidspunkt for operasjon gjør det vanskelig ut fra tidligere studier av hemikraniektomi ved massivt hjerneinfarkt å konkludere sikkert. Begrepene «massivt» og «malignt» har vært definert forskjellig, og det kan ha vært underrapportering av komplikasjoner. Funksjonelt utfall har vært beskrevet ulikt og ufullstendig. Ulik dødelighet kan også avspeile metodologiske ulikheter. I en studie var det betydelig dødelighet også i perioden 3 – 12 måneder (48). En ytterligere kilde til skjevhet kan være at man fortrinnsvis publiserer gode resultater. Operative inngrep som a priori virker logiske, er ikke alltid effektive ved utprøvning i randomiserte kliniske undersøkelser. Det foreligger imidlertid resultater, basert på tre randomiserte undersøkelser (46), som viser at hemikraniektomi innen 48 timer hos pasienter under 60 år er mer effektivt enn maksimal intensivbehandling alene. Men dersom inngrepet redder flertallet av pasientene til et liv der de er lite selvhjulpne og har omfattende afasi eller neglekt, kan det være et problem. Indikasjonen er derfor ikke nødvendigvis avklart.
Forløpet etter et massivt infarkt er vanskelig å forutsi presist (3, 49), og tidspunkt for operasjon kan defineres på forskjellige måter:
anatomisk, enten initialt (utbredt hypodensitet, hyperdens a. cerebri media) eller i forløpet når CT-undersøkelse viser komprimerte væskerom og økende midtlinjeforskyvning
fysiologisk, ut fra klinisk forløp, ved fallende bevissthet før første tegn til herniering (34)
Pasienter som utvikler anisokori og andre tegn til herniering kan ha dårligere prognose, dette er kjent ved akutt epiduralt hematom (57). På den annen side: Hvis en klokkestyrt strategi gir lavere mortalitet, kan «forbedringen» avspeile at noen individer fikk unødvendig hemikraniektomi. Dette spørsmålet krever større studier enn det som er nødvendig for kun å vise nytten av inngrepet.
Det er økt mortalitet med økende alder og større sannsynlighet for et dårligere funksjonelt utfall i seg selv eller som surrogatvariabel for komorbiditet og sviktende sosialt støtteapparat (55, 58, 59). Det er imidlertid sprikende oppfatninger om «aldersgrenser» for hemikraniektomi. Øvre grense har variert fra 40 år til 60 år (36, 40, 42, 45), mens andre har operert pasienter på opptil 80 år (34, 47). Når betegnelsene «eldre» og «yngre» brukes så ulikt, blir funnene vanskelige å implementere.
Pasienter med massivt hjerneinfarkt bør få trombolytisk behandling så tidlig som mulig (23). Man kunne tenke seg at mislykket trombolytisk behandling diskvalifiserte for hemikraniektomi (22), men en liten studie antyder at det går bedre, ikke dårligere, med dem som blir hemikraniektomert etter at trombolytisk behandling ikke har ført frem (59).
Selv om noen blir restituert til et godt funksjonelt utfall etter hemikraniektomi (8, 9, 40), er et massivt hjerneinfarkt så omfattende at det, uansett behandling, virker mindre realistisk å forvente et meget godt resultat (58). Likevel, skillet mellom et «godt» og et «dårlig» resultat ligger ikke bare på det beskrivende plan. Skillet er ikke minst normativt – tuftet på forventning og tidligere erfaring, områder hvor pasient, pårørende og lege kan ha divergerende syn (60). Derfor kan det være mindre kontroversielt å enes om hva som er «dårlig» enn hva som er «godt» utfall etter et massivt hjerneinfarkt. Spørsmål om utfall gjelder ikke primært hva personen mistet, men hva hun/han sitter tilbake med. Utfallet hos den som overlever et massivt hjerneslag handler derfor ikke bare om medisinske variabler, det handler også om forventning og ressurser i vid forstand i og omkring pasienten (48, 58).
Konklusjon
Hemikraniektomi gir økt sjanse til å overleve et massivt hjerneinfarkt. Det er likevel nødvendig med flere studier for å avklare om operasjonen bør gjøres innen et visst antall timer etter iktus, om preoperative hernieringstegn innebærer dårligere prognose, om man bør ha aldersgrenser og hva et infarkt i dominant hemisfære betyr for prognosen på sikt. Mangelen på kunnskap om slike forhold innebærer at det er en krevende oppgave å informere pårørende før og etter hemikraniektomi. Inntil videre bør man legge vekt på inngrepets livreddende hensikt og at man etter hemikraniektomi må påregne omfattende funksjonshemning.
Oppgitte interessekonflikter: Ingen
Tabell
| Hovedbudskap |
|
- 1.
King AB. Massive cerebral infarction with ventriculographic changes suggesting brain tumor. J Neurosurg 1951; 8: 536 – 9.
- 2.
Heinsius T, Bogousslavsky J, Van Melle G. Large infarcts in the middle cerebral artery territory. Etiology and outcome patterns. Neurology 1998; 50: 341 – 50.
- 3.
Qureshi AI, Suarez JI, Yahia AM et al. Timing of neurologic deterioration in massive middle cerebral artery infarction: a multicenter review. Crit Care Med 2003; 31: 272 – 7.
- 4.
Bovim G, Johnsen HJ, Zwart JA. Forhøyet intrakranialt trykk ved hjerneinfarkt – en retrospektiv undersøkelse. Tidsskr Nor Lægeforen 1995; 115: 203 – 6.
- 5.
Hofmeijer J, van der Worp HB, Kappelle LJ. Treatment of space-occupying cerebral infarction. Crit Care Med 2003 31: 617 – 25.
- 6.
Hacke W, Schwab S, Horn M et al. «Malignant» middle cerebral artery territory infarction: clinical course and prognostic signs. Arch Neurol 1996; 53: 309 – 15.
- 7.
Delashaw JB, Broaddus WC, Kassell NF et al. Treatment of right hemispheric cerebral infarction by hemicraniectomy. Stroke 1990; 21: 874 – 81.
- 8.
Schwab S, Steiner T, Aschoff A et al. Early hemicraniectomy in patients with complete middle cerebral artery infarction. Stroke 1998; 29: 1888 – 93.
- 9.
Lindegaard K-F, Røste GK. Livreddende hemikraniektomi ved akutt massivt hjerneinfarkt. Tidsskr Nor Lægeforen 1999; 119: 4190 – 2.
- 10.
Sollid S, Kloster R, Ingebrigtsen T. Dekomprimerende hemikraniektomi – livreddende behandling ved akutt hjerneinfarkt. Tidsskr Nor Lægeforen 1999; 119: 4199 – 201.
- 11.
Lindekleiv H. Nevrokirurgi i antikken. Tidsskr Nor Lægeforen 2005; 125: 3494 – 6.
- 12.
Spiller WG, Frazier CH. Cerebral decompression. Palliative operations in the treatment of tumor in the brain, based on the observation of fourteen cases. J Am Med Assoc 1906; 17: 679 – 83.
- 13.
Horsley V. Discussion on the treatment of cerebral tumours. Br Med J 1893; 2: 1365 – 9.
- 14.
Kocher T. Hirnerschütterung, Hirndruck und chirurgische Eingriffe bei Hirnkrankheiten. I: Kocher T. Die Therapie des Hirndruckes. Wien: A. Hölder, 1901: 262 – 6.
- 15.
Kerr FWL. Radical decompression and dural grafting in severe cerebral edema. Mayo Clin Proc 1968; 43: 852 – 64.
- 16.
Greco T. Le thrombosi posttraumatiche della carotide. Arch Ital Chir 1935; 39: 757 ñ 84.
- 17.
van Trotsenburg L, Vinken PJ. Fatal cerebral infarction simulating an acute expanding lesion. J Neurol Neurosurg Psychiatry 1966; 29: 241 – 3.
- 18.
Besson G, Robert C, Hommel M et al. Is it clinically possible to distinguish nonhemorrhagic infarct from hemorrhagic stroke? Stroke 1995; 26: 1205 – 9.
- 19.
Rengachary S, Batnitzky S, Morantz R et al. Hemicraniectomy for acute massive cerebral infarction. Neurosurgery 1981; 8: 321 – 8.
- 20.
Pessin MS, del Zoppo GJ, Estol CJ. Thrombolytic agents in the treatment of stroke. Clin Neuropharmacol 1990; 13: 271 – 89.
- 21.
Thomassen L, Waje-Andreassen U, Maintz C. Trombolytisk behandling ved akutt hjerneinfarkt – en tidsstudie ved organisering av et nytt behandlingstilbud. Tidsskr Nor Lægeforen 1999; 119: 2978 – 81.
- 22.
Wardlaw JM, del Zoppo G, Yamaguchi T et al. Thrombolysis for acute ischaemic stroke. Cochrane Database Syst Rev 2003: CD000213.
- 23.
Russell D, Thomassen L, Indredavik B et al. Pasienter med akutt hjerneinfarkt bør få trombolytisk behandling Tidsskr Nor Lægeforen 2004; 124: 1666 – 7.
- 24.
Wijdicks EFM, Diringer MN. Management of massive hemispheric cerebral infarct: is there a ray of hope? Mayo Clin Proc 2000; 75: 945 – 52.
- 25.
Hordnes J, Thomassen L, Waje-Andreassen U et al. Tidlige CT-forandringer ved akutt hjerneinfarkt Tidsskr Nor Lægeforen 2001; 121: 2147 – 9.
- 26.
Manno EM, Nichols DA, Fulgham JR et al. Computed tomographic determinants of neurologic deterioration in patients with large middle cerebral artery infarctions. Mayo Clin Proc 2003; 78: 156 – 60.
- 27.
van der Zwan A, Hillen B, Tulleken CA et al. A quantitative investigation of the variability of the major cerebral arterial territories. Stroke 1993; 24: 1951 – 9.
- 28.
Barber PA, Demchuk AM, Zhang J et al. Validity and reliability of a quantitative computed tomography score in predicting outcome of hyperacute stroke before thrombolytic therapy. Lancet 2000; 355: 1670 – 4.
- 29.
Næss H, Waje-Andreassen U, Thomassen L. Overvåking ved akutt hjerneinfarkt Tidsskr Nor Lægeforen 2006; 126: 444 – 6.
- 30.
Schwab S, Aschoff A, Spranger M et al. The value of intracranial pressure monitoring in acute hemispheric stroke. Neurology 1996; 47: 393 – 8.
- 31.
Frank JI. Large hemispheric infarction, deterioration, and intracranial pressure. Neurology 1995; 45: 1286 – 90.
- 32.
Fisher CM. Brain herniation: a revision of classical concepts. Can J Neurol Sci 1995; 22: 83 – 91.
- 33.
Carhuapoma JR, Qureshi AI, Bhardwaj A et al. Interhemispheric intracranial pressure gradients in massive cerebral infarction. J Neurosurg Anesthesiol 2002; 14: 299 – 303.
- 34.
Mori K, Nakao Y, Yamamoto T et al. Early external decompressive craniectomy with duroplasty improves functional recovery in patients with massive hemispheric embolic infarction: timing and indication of decompressive surgery for malignant cerebral infarction. Surg Neurol 2004; 62: 420 – 30.
- 35.
Wagner S, Schnippering H, Aschoff A et al. Subopimum hemicraniectomy as a cause of additional cerebral lesions in patients with malignant infarction of the middle cerebral artery. J Neurosurg 2001; 94: 693 – 6.
- 36.
Curry WT, Sethi MK, Ogilvy CS et al. Factors associated with outcome after hemicraniectomy for large middle cerebral artery territory infarction. Neurosurgery 2005; 56: 681 – 92.
- 37.
Yoo DS, Kim DS, Cho KS et al. Ventricular pressure monitoring during bilateral decompression with dural expansion. J Neurosurg 1999; 91: 953 – 9.
- 38.
Flannery T, McConnell RS. Cranioplasty: why throw the bone flap out? Br J Neurosurg 2001; 15: 518 – 20.
- 39.
Winkler PA, Stummer W, Linke R et al. Influence of cranioplasty on postural blood flow regulation, cerebrovascular reserve capacity, and cerebral glucose metabolism. J Neurosurg 2000; 93: 53 – 61.
- 40.
Walz B, Zimmermann C, Bottger S et al. Prognosis of patients after hemicraniectomy in malignant middle cerebral artery infarction. J Neurol 2002; 249: 1183 – 90.
- 41.
Korinek AM. Risk factors for neurosurgical site infections after craniotomy: a prospective multicenter study of 2944 patients. Neurosurgery 1997; 41: 1073 – 81.
- 42.
Holtkamp M, Buchheim K, Unterberg A et al. Hemicraniectomy in elderly patients with space occupying media infarction: improved survival but poor functional outcome. J Neurol Neurosurg Psychiatry 2001; 70: 226 – 8.
- 43.
Gupta R, Connolly ES, Mayer S et al. Hemicraniectomy for massive middle cerebral artery territory infarction. A systematic review. Stroke 2004; 35: 539 – 43.
- 44.
Unterberg A, Juettler E. The role of surgery in ischemic stroke: decompressive surgery. Curr Opin Crit Care 2007; 13: 175 – 9.
- 45.
Hofmeijer J, AmelinkGJ, Algra A et al. Hemicraniectomy after middle cerebral artery infarction with life-threatening edema trial (HAMLET). Trials 2006; 7: 29.
- 46.
Vahedi K, Hofmeijer J, Juettler E et al. Early decompressive surgery in malignant infarction of the middle cerebral artery: a pooled analysis of three randomised controlled trials. Lancet Neurol 2007; 6: 215 – 22.
- 47.
Cho DY, Chen TC, Lee HC. Ultra-early decompressive craniectomy for malignant middle cerebral artery infarction. Surg Neurol 2003; 60: 227 – 33.
- 48.
Uhl E, Kreth FW, Elias B et al. Outcome and prognostic factors of hemicraniectomy for space occupying cerebral infarction. J Neurol Neurosurg Psychiatry 2004; 75: 270 – 4.
- 49.
Bosche B, Hamann GF, Dohmen C et al. There is more to it than: the greater the infarction volume, the more probable it is a malignant MCA infarction. Stroke 2006; 37; 762 – 4.
- 50.
Woertgen C, Erban P, Rothoerl RD et al. Quality of life after decompressive craniectomy in patients suffering from supratentorial brain ischemia. Acta Neurochir (Wien) 2004; 146: 691 – 5.
- 51.
Fandino J, Keller E, Barth A et al. Decompressive craniectomy after middle cerebral artery infarction. Retrospective analysis of patients treated in three centres in Switzerland. Swiss Med Wkl 2004; 134: 423 – 39.
- 52.
Foerch C, Lang JM, Krause J et al. Functional impairment, disability, and quality of life outcome after decompressive hemicraniectomy in malignant middle cerebral artery infarction. J Neurosurg 2004; 101: 248 – 54.
- 53.
Erban R, Kevrekidis IG, Adalsteinsson D et al. Long-term outcome after hemicraniectomy for space occupying right hemispheric MCA infarction. Clin Neurol Neurosurg 2006; 108: 384 – 7.
- 54.
Vahedi K, Benoist L, Kurtz A et al. Quality of life after decompressive craniectomy for malignant middle cerebral artery infarction. J Neurol Neurosurg Psychiatry 2005; 76: 1181 – 2.
- 55.
Leonhardt G, Wilhelm H, Doerfler A et al. Clinical outcome and neuropsychological deficits after right decompressive hemicraniectomy in MCA infarction. J Neurol 2004; 249: 1433 – 40.
- 56.
Kastrau F, Wolter M, Huber W et al. Recovery from aphasia after hemicraniectomy for infarction of the speech-dominant hemisphere. Stroke 2005; 36: 825 – 9.
- 57.
Cohen JE, Montero A, Israel ZH. Prognosis and clinical relevance of anisocoria-craniotomy latency for epidural hematoma in comatose patients. J Trauma 1996; 41: 120 – 2.
- 58.
Jørgensen HS, Reith J, Nakayama H et al. What determines good recovery in patients with the most severe strokes? The Copenhagen Stroke Study. Stroke 1999; 30: 2008 – 12.
- 59.
Rabinstein AA, Mueller-Kronast N, Maramattom BV et al. Factors predicting prognosis after decompressive hemicraniectomy for hemispheric infarction. Neurology 2006; 67: 891 – 3.
- 60.
Wik KE, Lindegaard K-F, Brunborg B et al. Livet etter akutt hjernehinneblødning Tidsskr Nor Lægeforen 2005; 125: 152 – 4.