En tidligere strålebehandlet kvinne med brystsmerter

    ()

    sporsmal_grey_rgb
    Abstract

    A 34-year-old woman developed chest pain during exercise. She had been treated for Hodgkin lymphoma with irradiation (mantle field) and cytotoxic drugs (ABVD) 15 years earlier, and had risk factors for coronary artery disease (smoker status and family history). An exercise ECG showed significant ST depressions and an echocardiogram was normal. She underwent coronary angiography, which revealed three vessel disease (including stenosis of the left main stem); bypass grafting was successfully performed.

    This case illustrates the fact that even young women may develop extensive coronary disease and that development of coronary artery disease may be accelerated after irradiation of the thorax.

    Artikkel

    Strålebehandling og kjemoterapi kan gi komplikasjoner mange år etter at kreftsykdommen er kurert. Vi beskriver en ung kvinne som ble henvist til utredning på grunn av brystsmerter 15 år etter at hun ble behandlet for Hodgkins sykdom.

    En kvinne på 34 år ble henvist til kardiologisk utredning på grunn av brystsmerter. Smertene artet seg som et retrosternalt press som typisk kom ved aktivitet og som bedret seg i hvile. Smertene ble lettere utløst ved aktivitet etter måltid.

    Hun hadde fått påvist Hodgkins sykdom i 1991 og ble da behandlet med cellegift og senere konsoliderende stråleterapi. Cellegift ble gitt i form av antracyklinet epirubicin totalt 360 mg, videre bleomycin, oncovin og dacarbazin (EBOD-kurer). Stråleterapi ble gitt som kappefelt, 23 behandlinger à 1,8 Gy, totalt 41,4 Gy. Strålefeltet inkluderte collum, supra- og infraklavikulære områder bilateralt og mediastinum inkludert hjertet (fig 1). Regelmessige kontroller avdekket ikke tegn til residiv.

    Det var betydelig opphopning av prematur hjertesykdom i familien, blant annet døde faren av koronarsykdom 48 år gammel. Pasienten røykte fem sigaretter om dagen og hadde LDL-kolesterol 3,2 mmol/l og HDL-kolesterol 1,4 mmol/l.

    Symptomene virket umiddelbart koronarsuspekte og hun hadde risikofaktorer for aterosklerose. Imidlertid kan brystsmerter hos unge kvinner være vanskelige å tolke, og angina pectoris hos så unge kvinner er uvanlig. Differensialdiagnostisk tenkte vi også på sykdom i øvre del av mage-tarm-kanalen, men koronarsykdom måtte utelukkes, og vi utførte derfor først arbeids-EKG.

    Pasienten ble innkalt til arbeids-EKG ved poliklinikken. Ved klinisk undersøkelse var hun slank (BMI 20 kg/m²), blodtrykket var 150/80 mm Hg og hun var takykard med hvilefrekvens 130 slag per minutt. Hun var engstelig før testen. EKG i hvile viste sinustakykardi, høy spenning og ST-depresjoner i V₄ – V₆. Hun ble belastet i til sammen fire minutter til maksimalt 100 W (7,6 metabolske ekvivalenter). Det tilkom en systolisk blodtrykksstigning til 186 mm Hg. Hjertefrevensen var maksimalt 160 slag per minutt. Hun avsluttet pga. slitenhet og økende press i brystet. Det tilkom en betydelig aksentuering av preeksisterende ST-segmentdepresjoner, og disse vedvarte i fem minutter etter avsluttet belastning. Brystsmertene hadde da gått tilbake.

    Hun hadde uttalt EKG-patologiske forhold i hvile med forandringer forenlig med hypertrofi av venstre ventrikkel med tegn til belastning. Hypertensiv hjertesykdom eller myokardsykdom var viktige differensialdiagnoser. Blodtrykket var imidlertid bare i øvre normalområdet. Anstrengelsesutløste brystsmerter ga mistanke om koronarsykdom, men tolkingen av EKG var usikker, og koronarsykdom gir vanligvis ikke takykardi slik vår pasient hadde. Det var derfor viktig å avklare med ekkokardiografi hvorvidt hun hadde underliggende myokardsykdom før eventuell undersøkelse med koronar angiografi.

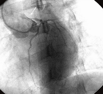
    Ekkokardiografi ble gjort med puls 99 og viste en normal venstre ventrikkel med ejeksjonsfraksjon ca. 50 %. Det ble ikke sett tegn til hypertrofi eller kardiomyopati. Det forelå en mindre lekkasje i aortaklaffen. Diagnosen koronarsykdom ble styrket, og det ble startet behandling med betablokker i form av metoprolol samt acetylsalisylsyre. De anstrengelsesutløste brystsmertene bedret seg etter at hun begynte med metoprolol. Koronar angiografi viste høygradig stenose i venstre hovedstamme, og uttalte stenoser både i a. circumflexa og i a. descendens anterior (fig 2). I høyre koronararterie var det signifikante stenoser både proksimalt og perifert. Hun ble operert med aortokoronar bypasskirurgi. Det postoperative forløpet ble komplisert med perikardeksudat og pleuravæske, men senere har forløpet vært ukomplisert. De anstrengelsesutløste brystsmertene har forsvunnet, og hun er tilbake i full jobb.

    Diskusjon

    Diskusjon

    Denne pasienten hadde økt risiko for utvikling av koronar hjertesykdom gjennom familiær disposisjon og røyking, og overveiende sannsynlig har stålebehandling mot thorax bidratt til rask sykdomsutvikling. Symptomene var typiske for angina pectoris med sentrale brystsmerter som kom ved anstrengelse og spesielt etter måltider, og dette førte relativt raskt til riktig diagnose. Hos flere kvinner enn menn kan sykdomsbildet domineres av tretthet, muskelsmerter og dyspné der symptomene kan peke mer i retning av andre organer enn hjertet (1). Siden koronarsykdom opptrer relativt sjelden hos kvinner før menopause, kan diagnosen bli forsinket eller oversett. Vår pasient hadde EKG-forandringer i hvile som først ble tolket som mulig hypertrofi av venstre ventrikkel med senkning av ST-segmentet. Arbeids-EKG hos kvinner er mindre sensitivt for påvisning av koronariskemi enn hos menn (2), og unge kvinner har flere falskt positive resultater ved arbeids-EKG enn eldre kvinner og menn (3). Studier har vist at positiv iskemisk respons i EKG, nedsatt arbeidskapasitet eller utløsning av angina ved arbeids-EKG er forbundet med dårligere prognose hos kvinner enn hos menn (4). Stressekkokardiografi eller myokardscintigrafi er alternative metoder for påvisning av redusert blodforsyning hos kvinner, og europeiske retningslinjer anbefaler slik utredning hos pasienter i tilfeller der EKG er vanskelig å tolke (5). Vår pasient har et klart patologisk hvile-EKG som ikke kunne forklares av myokardsykdom, og det kan hevdes at hos henne ville koronar angiografi vært indisert uansett resultat av arbeidsbelastningen.

    Strålebehandling mot thorax ved Hodgkins sykdom eller andre kreftformer bedrer overlevelsen, men behandlingen kan blant annet gi utvikling av prematur koronarsykdom (6), klaffesykdom (7) eller kronisk perikarditt (8). Flere grupper har beskrevet sammenheng mellom tradisjonelle risikofaktorer og stråleterapi mot mediastinum for utvikling av kransåresykdom (9, 10). Selv om dette er historiske data, er de aktuelle fordi pasienter med Hodgkins sykdom har lang forventet levetid. I dag gis mer moderne stråleterapi med lavere totaldoser, men det er uavklart hvordan dette vil påvirke risikoen for utvikling av kransåresykdom. Vår pasient hadde familiær disposisjon for prematur koronarsykdom og røykte daglig. Det er nærliggende å anta at strålebehandlingen 15 år tidligere kan ha bidratt til den utbredte koronarsykdommen i en alder av bare 34 år. Karakteristiske forandringer i koronararteriene ved stråleskade er ostielesjoner både i venstre og høyre koronararterie, som hos vår pasient, og mer diffuse og lange stenoser med glatt overflate bedømt angiografisk (11).

    Denne kasuistikken viser at også unge kvinner kan ha alvorlig koronar hjertesykdom, og at man bør være spesielt oppmerksom på prematur koronarsykdom hos pasienter som er strålebehandlet mot thorax, som tidligere lymfom- og sarkompasienter.

    Oppgitte interessekonflikter: Ingen

    Se kommentar side 187, 188 og kunnskapsprøve på www.tidsskriftet.no/quiz

    Kommentarer  ( 0 )
    PDF
    Skriv ut

    Anbefalte artikler