En 76 år gammel mann med bilyd etter hjerteinfarkt

    ()

    sporsmal_grey_rgb
    Abstract

    A 76-year-old, previously healthy man who presented with acute onset of central chest pain is described. An ECG taken in the ambulance showed ST-elevation in chest leads V1 to V4, whereupon thrombolyis was initiated before hospitalization. A new ECG taken on admission at the local hospital showed reduced ST-elevation. Shortly afterwards, auscultation followed by eccocardiography revealed a ventricular septal rupture. The patient was transferred to the regional hospital, and emergency repair of the ventricular septum was performed successfully. On the 6th postoperative day, the patient suffered septal rupture recurrence and subsequently died of multi-organ failure. Postinfarction ventricular septal rupture is a serious complication with a high mortality. Cardiac surgery is indicated in most cases. Delayed diagnosis may result in early death for a considerable number of patients. The present case underscores the importance of cardiac auscultation in patients with suspected myocardial infarction before angiography or primary coronary intervention is performed.

    Artikkel

    Gode kliniske rutiner er avgjørende for tidlig diagnostisering av sjeldne komplikasjoner ved akutt hjertesykdom. En nyoppstått bilyd etter et akutt hjerteinfarkt er et alvorlig funn, og sykehistorien illustrerer at en enkel undersøkelse som auskultasjon alltid skal gjøres ved akutt hjerteinfarkt.

    En 76 år gammel tidligere frisk mann ble innlagt i lokalsykehuset med et akutt fremreveggsinfarkt. Kvelden før innleggelsen hadde han moderate smerter midt i brystet som gikk over av seg selv. Innleggelsesdagen fikk pasienten på nytt kraftige brystsmerter, ble kaldsvett og uvel etter at han hadde stått opp og dusjet. Prehospitalt EKG tatt av ambulansepersonalet viste ST-elevasjoner over fremre vegg, fra V1 til V4, i tillegg til R-tap prekordialt (fig 1). EKG ble elektronisk overført til lokalsykehuset hvor indikasjonen for trombolytisk behandling ble stilt. Pasienten ble behandlet med tenecteplase (Metalyse) prehospitalt ca. en time etter symptomdebut.

    Ut fra sykehistorie og EKG var det klar indikasjon for reperfusjonsbehandling. Bruk av primær perkutan koronar intervensjon (PCI), hvor infarktarterien åpnes med katetermetodikk i akuttfasen, har økt kraftig de siste årene. Prehospital trombolytisk behandling tilrådes ifølge europeiske retningslinjer ved akutt infarkt med ST-elevasjon (STEMI) dersom det finnes et kvalitetssikret system for dette og primær perkutan koronar intervensjon ikke er tilgjengelig eller mer enn 90 minutter unna (1). På grunn av lang transporttid (> 90 minutter) til invasivt senter ble det gitt trombolytisk behandling helt i tråd med de retningslinjer som er etablert i vår region.

    Ved ankomst til sykehuset 15 minutter senere viste EKG uendret ST-elevasjon over fremre vegg. Det ble gitt enoksaparin (Klexane), acetylsalisylsyre og morfin. Omtrent en halv time etter innleggelsen ble pasienten smertefri, og EKG viste tilbakegang av ST-elevasjonene. Det var ingen arytmier, og pasienten var stabil respiratorisk og sirkulatorisk.

    Tilbakegang av smerter og EKG-forandringer talte for at den trombolytiske behandlingen hadde hatt effekt.

    Ved innleggelsen i lokalsykehus ble det auskultert systolisk bilyd styrke 3 – 4, best hørbar ved nedre venstre sternalrand. Det var ingen opplysninger om bilyd fra tidligere.

    En nyoppstått bilyd etter et akutt hjerteinfarkt er et viktig funn og kan tyde på akutt mitralinsuffisiens grunnet papillemuskelruptur eller ventrikkelseptumruptur. Begge komplikasjoner kan raskt føre til alvorlig sirkulasjonssvikt med lavt blodtrykk, rask hjertefrekvens og redusert urinproduksjon.

    Ekkokardiografi kort tid etter innleggelsen ga mistanke om ventrikkelseptumruptur, og pasienten ble umiddelbart transportert til St. Olavs Hospital.

    Ekkokardiografi er nødvendig for å skille mellom ventrikkelseptumruptur og akutt mitralinsuffisiens. Ved hjelp av ekkokardiografi lokaliseres rupturen. Shuntfraksjonen kan beregnes for å vurdere størrelsen av rupturen. I tillegg får man informasjon om infarktstørrelse, mitralinsuffisiens og ventrikkelfunksjon.

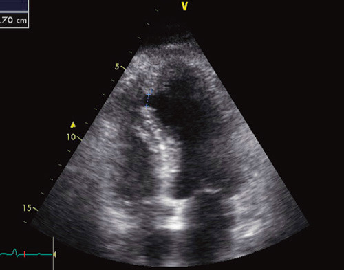
    Utredning ved St. Olavs Hospital med ny ekkokardiografisk undersøkelse viste infarktskade over apikale septum, for øvrig hyperdynamisk ventrikkel med ejeksjonsfraksjon på 50 %. Det ble påvist en ruptur i apikale septum med diameter 7 mm og 2 : 1 shunt (fig 2). Koronar angiografi viste 90 % stenose i midtre avsnitt av fremre nedadstigende gren av venstre koronararterie (LAD), for øvrig ingen signifikant koronarpatologi. Pasienten var fortsatt hemodynamisk stabil med normalt blodtrykk, men økt hjertefrekvens på 90 slag/min. Biomarkører for hjertemuskelskade ved ankomst viste CK-MB-masse 172 µg/l (normalt < 5 µg/l) og troponin T-verdi 4,330 µg/l (normalt < 0,01 µg/l). Øvrige laboratorieverdier var uten anmerkning.

    Ventrikkelseptumruptur er en av de mest alvorlige komplikasjoner etter transmuralt hjerteinfarkt og har en forekomst på 1 – 2 % (2). Ventrikkelseptumruptur etter infarkt finnes i ca. 60 % av tilfellene i anteriore eller apikale avsnitt av septum, men kan også oppstå i posteriore avsnitt ved et nedreveggsinfarkt. Deler av det infarserte septum gir etter for trykket i venstre ventrikkel og rumperer. Det oppstår en venstre-til-høyre-shunt som oftest er stor (blodgjennomstrømningen i lungekretsløpet er mer enn dobbelt så høy som i den systemiske sirkulasjonen). Ved nyoppstått hjertesvikt i forløpet av et hjerteinfarkt er ventrikkelseptumruptur og papillemuskelruptur betydningsfulle differensialdiagnoser. Viktig for tidlig diagnose og vellykket behandling er auskultasjon av en nyoppstått pansystolisk bilyd. Denne høres best ved nedre, venstre sternalrand ved ventrikkelseptumruptur og ved apex ved papillemuskelruptur.

    Koronarangiografi kan gjennomføres hvis pasienten er stabil. Ofte foreligger en okklusjon av den relevante koronararterien (ofte LAD). Ubehandlet dør de fleste, bare 7 % ville overleve mer enn ett år (2). Rask kirurgisk behandling tilstrebes derfor i de fleste tilfeller.

    En slik øyeblikkelig hjelp-operasjon medfører høy risiko for død eller alvorlige komplikasjoner. Bruk av skåringssystemer gjør det lettere å angi konkrete tall i samtalen med pasienten og pårørende. Mange hjertekirurgiske avdelinger bruker i dag Euroscore, som er spesielt utviklet for hjertekirurgi og der risikoen ved inngrepet kan beregnes direkte online (www.euroscore.org). Vår pasient hadde ifølge Euroscore en operasjonsrisiko på 42 %.

    Pasienten ble overflyttet til St. Elisabeth – klinikk for hjerte- og lungekirurgi for øyeblikkelig hjelp-kirurgi omtrent sju timer etter infarktet. Etter narkoseinnledning ble det innlagt aortaballongpumpe.

    Aortaballongpumpe bør innsettes så tidlig som mulig ved ventrikkelseptumruptur. Den reduserer den motstanden venstre ventrikkel arbeider mot (minsker arterietrykket) og bidrar derved til å redusere shuntvolumet ved en ventrikkelseptumruptur. I tillegg øker aortaballongpumpen diastolisk aortatrykk, som fører til økt blodstrøm i koronararteriene.

    Pasienten ble sternotomert og lagt på hjerte-lunge-maskin. Venstre ventrikkel ble åpnet med en 5 cm lang incisjon parallelt med venstre koronararterie. En knapt 1 cm stor defekt i ventrikkelseptum nær apex ble lukket med en 3 x 4 cm stor perikardlapp (patch). Innsying av lappen var vanskelig fordi hjertemuskulaturen i apex og mot lateralveggen var infarsert. Operasjonen forløp ukomplisert, og transøsofageal ekkokardiografi viste ingen restdefekt ved avsluttet operasjon.

    En rekke metoder er beskrevet for kirurgisk behandling av ventrikkelseptumdefekt. Målet med operasjonen er å lukke defekten med en lapp laget av forskjellige materialer. Den klassiske tilnærmingen innbærer at alt nekrotisk vev fjernes og at lappen festes med individuelle suturer som settes fra høyre ventrikkel gjennom septum og lappen. Mange kirurger bruker i dag en metode som betegnes som endokardlappreparasjon med infarkteksklusjon, der en stor lapp festes med fortløpende sutur på venstre ventrikkel-siden av septum uten å fjerne noe vev. Blodtrykket i venstre ventrikkel presser lappen mot defekten og tetter hullet. Metoden er teknisk lettere å gjennomføre og forkorter operasjonstiden, noe som kan ha stor betydning for pasienter i kardiogent sjokk. Posteriore ventrikkelseptumrupturer kan i enkelte tilfeller opereres uten å åpne ventrikkelen. Da brukes en dobbelt lappeteknikk med biatrial tilgang (3).

    Postoperativt kom pasienten seg gradvis etter initial støtte med aortaballongpumpe til 4. dag og levosimendan det første døgnet. 6. postoperative dag tilkom økende oksygenbehov på respirator og det ble igjen auskultert en bilyd, styrke 3, over venstre sternalrand. Røntgen thorax viste lungeødem, og fornyet ekkokardiografi viste reruptur av ventrikkelseptum. Pasienten utviklet anuri til tross for volumbehandling og furosemidinfusjon. Det ble ikke funnet indikasjon for et nytt hjertekirurgisk inngrep. Pasienten døde neste dag.

    Diskusjon

    Diskusjon

    Denne sykehistorien illustrerer betydningen av auskultasjon ved akutt hjerteinfarkt. Selv om diagnosen og behandlingen var korrekt, oppsto en livstruende komplikasjon med behov for øyeblikkelig hjelp-kirurgi. Kirurgisk behandling av ventrikkelseptumruptur ble for første gang utført i 1957 av D.A. Cooley i Houston, USA, og senere av J.W. Kirklin fra Mayo Clinic (2). Det anbefales at pasienter med ventrikkelseptumruptur opereres snarest etter at diagnosen er stilt. Om lag 60 – 70 % av pasientene utskrives fra sykehuset i live (2). I et fåtall tilfeller, der ventrikkelseptumruptur ikke er av hemodynamisk betydning, kan operasjonen utsettes.

    Intravenøs trombolytisk behandling senker mortaliteten ved akutt hjerteinfarkt (4, 5). I kombinasjon med Albyl-E reduseres i tillegg antall reinfarkter (1 % versus 2 %) og iskemiske hjerneslag (0,3 % versus 0,6 %) (5). Trombolytisk behandling øker risikoen for alvorlige blødninger, men det er ikke holdepunkter for at trombolytisk behandling øker risikoen for ventrikkelseptumruptur (6). Imidlertid synes ventrikkelseptumruptur å opptre tidligere i infarktforløpet hos pasienter som har fått trombolytisk behandling (7). I en engelsk undersøkelse var median tid fra infarktsymptomer til diagnose av ventrikkelseptumruptur 24 timer for pasienter som fikk trombolytisk behandling, mot seks dager for pasienter som ikke fikk slik behandling (7). Store nyere studier bekrefter dette (6, 8). Mekanismen er ukjent, men man spekulerer på om trombolyse kan føre til akutt blødning i infarktområdet og derved svekke vevsstrukturen av hjertemuskelen. Siden kollagenfiberinnhold reduseres tidlig i nekrotiske områder kan ruptur bli resultatet (8).

    Hos vår pasient tilkom en ny ruptur (reruptur) på samme sted omtrent en uke etter inngrepet. Behandlingstrengende reruptur er en åpenbar risiko ved denne typen inngrep der man prøver å sy inn en lapp i delvis nekrotisk vev. I litteraturen beskrives reruptur i om lag 20 % av tilfellene (9). Trombolysebehandling er muligens en risikofaktor for utvikling av reruptur (9).

    Selv om trombolytisk behandling senker mortaliteten ved akutt hjerteinfarkt, kan bivirkninger av behandlingen føre til et uheldig utfall i spesielle situasjoner, uavhengig av en primær vellykket reperfusjon av infarktområdet. Bivirkningene kan i stor grad relateres til at det gis systemisk fibrinolytisk behandling av et lokalt problem, nemlig okklusjon av et koronarkar. Lokal reperfusjonsbehandling med perkutan koronar intervensjon er den foretrukne behandling når dette kan tilbys innen 90 minutter ved et senter med stor erfaring i slik behandling (9).

    Konklusjon

    Konklusjon

    Sykehistorien illustrerer at gode kliniske rutiner er avgjørende for tidlig diagnostisering av sjeldne komplikasjoner ved akutt hjerteinfarkt. Ventrikkelseptumruptur synes å opptre tidligere enn vanligvis forventet etter trombolysebehandling, og det kan være en økt risiko for reruptur etter slik behandling. Hjerteauskultasjon er obligat ved innleggelse av pasienter med ST-elevasjonsinfarkt, og dette må gjøres før angiografi og eventuell primær perkutan koronar intervensjon. Med den sterke og velbegrunnede oppmerksomheten rundt tidsaspektet i denne situasjonen, kan en slik selvfølgelighet bli uteglemt – med uheldige kliniske konsekvenser.

    Oppgitte interessekonflikter: Ingen

    Se kommentar side 48 og kunnskapsprøve på www.tidsskriftet.no/quiz

    Kommentarer  ( 0 )
    PDF
    Skriv ut

    Anbefalte artikler