Background.
Colorectal cancer is a frequent disease in Norway. New and improved surgical techniques and the implementation of adjuvant and neoadjuvant therapy have improved 5-year survival rates significantly. Accurate preoperative assessment of tumour extent is essential for choosing the appropriate therapeutic strategy, and thus for patient prognosis. Both established and recent imaging methods are presented and discussed.
Material and methods.
This review is based on a selection of articles from Pub-Med, with an emphasis on meta-analyses and prospective investigations, and on the clinical experiences of the authors.
Results and interpretation.
Recto-/colonoscopy with biopsy is still the most common approach for diagnosis. In Norway, magnetic resonance imaging (MRI) is the preferred imaging modality for rectal cancer. With optimal technique MRI provides a good visualisation of important local prognostic factors. Endoscopic ultrasound is the modality of choice for small, superficial tumours. The role of multidetector computer tomography (MDCT) in the local evaluation of rectal cancer is not entirely established. The evaluation of metastases of regional lymph nodes is a challenge with all the available imaging modalities. CT-colonography is a recent method for imaging of the colon. It provides an accurate evaluation of the bowel, of tumour invasion outside the bowel wall and of extracolonic (glandula- and liver-) metastases. Double-contrast barium enema, or abdominal and pelvic CT are alternative methods for evaluation of colon cancer. CT of the thorax and abdomen is recommended for screening of distant metastasis .
Målsettingen med preoperativ bildediagnostisk utredning ved kolorektal kreft er å kartlegge lokal utbredelse av svulsten samt status når det gjelder glandelmetastaser og fjernmetastaser. Man skal lage et veikart for kirurgene og selektere pasienter som kan profittere på adjuvant eller neoadjuvant behandling.
Graderingssystemet til International Union Against Cancer (UICC står for Union Internationale contre le Cancer) og American Joint Committee on Cancer (AJCC) for stadieinndeling av svulster (TNM-systemet) er allment akseptert også for kolorektal kreft (1) (ramme 1). Gruppeinndelingen er basert på en kombinasjon av lokoregional tumorutbredelse og metastaser (tab 1).
Tabell 1
UICC-stadieinndeling for kolorektal kreft, etter American Joint Committee on Cancer fra 2006
| Stadium | T | N | M | Dukes |
| 0 | T is | 0 | 0 | 0 |
| I | T1 | 0 | 0 | A |
| I | T2 | 0 | 0 | A |
| IIA | T3 | 0 | 0 | B |
| IIB | T4 | 0 | 0 | B |
| IIIA | T1 – T3 | N1 | 0 | C |
| IIIB | T3 – T4 | N1 | 0 | C |
| IIIC | Alle T-stadier | N2 | 0 | C |
| IV | Alle T-stadier | Alle N-stadier | M1 |
TNM-klassifisering av kolorektal kreft
-
TNM-systemet (Tumor Node Metastasis)
-
TX: Tumors utbredelse kan ikke vurderes
-
Tis: Tumor in situ
-
T1: Tumor i submucosa
-
T2: Tumor i muscularis propria
-
T3: Tumor i perirektalt/perikolisk fettvev
-
T4: Tumor invaderer naboorganer
-
N0: Ingen regionale lymfeknutemetastaser
-
N1: Metastase i 1 – 3 lymfeknuter
-
N2: Metastaser i 4 eller flere lymfeknuter
-
M0: Ingen fjernmetastaser
-
M1: Fjernmetastaser
I de senere år har bruk av multidetektor-CT (MDCT), CT-kolografi, MR, PET og kontrastforsterket ultralyd (CEUS) ført til betydelige endringer i utredningen av kolorektal kreft. I denne artikkelen belyses de forskjellige metodenes plass i den preoperative utredningen.
Materiale og metode
Artikkelen er basert på ikke-systematiske PubMed-søk. I hovedsak er det nyere artikler, metaanalyser og prospektive studier som er lagt til grunn. Videre er den basert på forfatternes mangeårige kliniske erfaring i gastroradiologi.
Lokoregional utredning av rectumcancer
Med innføring av total mesorektal eksisjon (TME) som standard kirurgisk teknikk, standardisert preoperativ utredning og adjuvant/neoadjuvant stråleterapi eller kjemo-/stråleterapi i avanserte tilfeller har frekvensen av lokalt residiv gått betraktelig ned. Hvor nær tumor den kirurgiske reseksjonsrand (circumferencial resection margin, CRM) ligger, er i stor grad bestemmende for risikoen for utvikling av lokalt residiv (2). Den kirurgiske reseksjonsrand defineres som positiv når tumor ligger innen 1 mm fra fascien histopatologisk. Andre prognostisk viktige faktorer er antall positive lymfeknuter, tumors dybdeinfiltrasjon utenfor tarmveggen (3), infiltrasjon i karstrukturer og affeksjon av peritoneum (4).
Det er vist at frekvensen av positiv kirurgisk reseksjonsrand etter kirurgi, og dermed dårligere prognose, er betydelig lavere når behandlingsopplegget er planlagt i spesialiserte multidisiplinære grupper bestående av kirurg, radiolog, onkolog og patolog enn når kirurgen alene tar avgjørelsen (5).
Endorektal ultralyd
Endorektal ultralyd (EUS) er den eldste metoden for evaluering av lokal utbredelse av rectumcancer. Med denne metoden kan man identifisere alle fem lag av tarmveggen og nøyaktig fastslå tumors dybdevekst gjennom vegglagene. Nøyaktigheten i T-stadievurdering er 69 – 97 % (6) – (9). Vanskeligheten ligger ofte i å skille T2-tumorer fra tidlige T3-tumorer, fordi inflammatoriske forandringer i form av en desmoplastisk reaksjon rundt tarmrøret ikke kan skilles fra lettgradig tumorinfiltrasjon.
I en metaanalyse (10) ble endorektal ultralyd, CT og MR i predikeringen av T- og N-stadium ved rectumcancer evaluert. Man fant at endorektal ultralyd var den mest nøyaktige metoden når det gjaldt T-stadium, mens det ikke var noen signifikant forskjell mellom metodene i evaluering av lymfeknutespredning.
Metodens svakhet ligger hovedsakelig i den sterkt begrensede dybdeevalueringen, derfor er det dårligere nøyaktighet i avanserte enn i tidlige tumorstadier (11). Den viktige relasjonen mellom tumors ytre avgrensning og den mesorektale fascie kan ofte ikke visualiseres. Derfor er metoden best egnet for små og overflatiske tumorer der behandlingen kan være lokal eksisjon. Andre begrensninger er at proksimalt sittende og/eller stenoserende tumorer ofte ikke er tilgjengelige for evaluering, dessuten er metoden svært operatøravhengig.
Multidetektor-CT
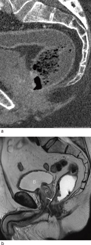
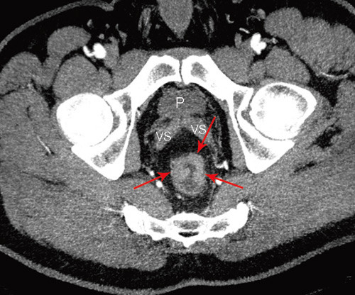
Bruk av CT i utredningen av fjernmetastaser ved kolorektal kreft er en godt etablert metode. CT-undersøkelsens rolle i den lokoregionale utredningen av rectumcancer er betydelig mer usikker. Studier fra de senere år har vist relativt dårlige resultater når det gjelder evaluering av perirektal tumorspredning, med en nøyaktighet på 52 – 74 % (6, 7, 12). Med MDCT-maskiner med minst 16 kanaler har man fått muligheten til å ta tynne bildesnitt som kan rekonstrueres i alle plan med samme gode bildekvalitet (fig 1, fig 2). Slik kan man få bilder parallelt og perpendikulært til tumors lengdeakse, analogt til MR-undersøkelsen. Det er vist at bruken av slike rekonstruerte bilder signifikant bedrer evalueringen med multidetektor-CT (13). Det finnes få studier der man har sammenliknet MDCT-undersøkelse med andre metoder ved rectumcancer, men resultatene så langt synes å være lovende (14) – (17).
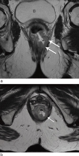
Man venter snart resultater fra en ny, stor multisenterstudie i Nederland der bruk av CT-undersøkelse ved rectumcancer evalueres. I en nyere artikkel av Beets-Tan og medarbeidere refereres det til preliminære resultater som viser at MDCT er likeverdig med MR i øvre/midtre del av rectum, mens MR er overlegen i nedre del (18). I forhold til MR har CT dårligere evne til å skille bløtdelssjiktene fra hverandre i dette området, hvor subtile detaljer som 1 – 2 mm infiltrasjon kan skille en T2-tumor fra en T4-tumor (fig 3).
MR
MR-undersøkelse med overflatespole er i dag standard ved rectumcancer i Norge. Metoden gir en god anatomisk oversikt over hele bekkenregionen og innebærer høy grad av nøyaktighet i kartleggingen av lokal tumorutbredelse. Evalueringen av T-stadium med MR har vist svært varierende resultater, fra 65 % til 86 % (19) – (23). Overestimering av T2-tumorer og underestimering av T3-tumorer er de vanligste feilene. I likhet med endorektal ultralyd kan heller ikke MR skille en desmoplastisk reaksjon rundt tarmen fra lettgradig malign innvekst. Den mesorektale fascie, som i de aller fleste tilfeller representerer den kirurgiske reseksjonsrand, identifiseres imidlertid lett, og avstanden mellom tumor og fascie kan måles med høy grad av nøyaktighet (fig 4). Det er vist at denne avstanden er en viktigere prognostisk faktor enn T-stadium i seg selv.
Evalueringen av status for kirurgisk reseksjonsrand blir svært nøyaktig med MR (4, 19, 21, 24 – 27). Reproduserbarheten ble nylig også evaluert i en stor multisenterstudie. 679 pasienter ved 11 europeiske sentre ble undersøkt, og 311 av disse ble primæroperert. Resultatene viste 92 % nøyaktighet i evalueringen av om kirurgisk reseksjonsrand var involvert eller truet (tumor innen 1 mm fra fascien) (28) (fig 5). Man undersøkte i denne studien også hvor nøyaktig MR kunne fastslå tumors dybdeinfiltrasjon i mesorectum utenfor muscularis propria (29). Den gjennomsnittlige forskjellen mellom infiltrasjonsdybden målt med MR og dybden målt ved histopatologisk analyse var – 0,05 mm.
For å oppnå så høy kvalitet på undersøkelsene er det helt avgjørende at det benyttes optimal teknikk. Dette gjelder både utstyr, sekvensvalg, tekniske variabler og snittføring (30). Norsk Gastrointestinal Cancer Gruppe (NGICG) har laget retningslinjer for gjennomføring av MR-undersøkelsene, med en anbefalt teknisk protokoll (31). Bruk av intravenøs kontrast anbefales ikke, siden dette ikke gir mer pålitelig diagnostikk (32). Ett unntak kan være ved mucinøse tumorer, der tumor og affiserte glandler kan ha et signal som er svært likt det omgivende fettvev. Etter egen erfaring kan intravenøs kontrast og fettundertrykte bildeserier lette vurderingen i disse tilfellene.
Bruk av intraluminal kontrast i bildediagnostikken av rectumcancer er kontroversielt. Det har vært hevdet at distensjon av rectum kan endre avstanden mellom tarmveggen og den mesorektale fascie i slik grad at det influerer på evalueringen av kirurgisk reseksjonsrand. Slater og medarbeidere fant i en MR-studie fra 2005 (33) at gjennomsnittlig avstand mellom tarm og fascie var signifikant mindre ved rektal distensjon enn uten. Dette var imidlertid ikke målt i nivå med tumor, men i friskt avsnitt av tarmen. I Trondheim har vi hittil benyttet et positivt kontrastmiddel (ultralydgel) i rectum ved MR-undersøkelsene, for å lette evalueringen, særlig av små svulster. Ved sammenfalt tarm kan disse være vanskelige både å identifisere og evaluere. De fleste anbefaler i dag imidlertid ikke intraluminal kontrast pga. faren for å komprimere fettvevet i mesorectum og undervurdere avstanden til fascien.
Glandelevaluering
Glandelutredning er vanskelig – uansett hvilken av de tilgjengelige metoder man bruker. I den tradisjonelle CT-evalueringen har man bare gått ut fra glandelstørrelsen. Dette har vist seg lite nøyaktig i evaluering av spredning fra rectumcancer, hvor mange metastatiske glandler er under 5 mm i diameter (34). Man har derfor forsøkt å finne andre kriterier enn størrelse som korrelerer bedre med histopatologisk status (35).
Brown og medarbeidere sammenliknet høyoppløselig MR-undersøkelse og histopatologisk undersøkelse på glandel-til-glandel-basis hos 42 pasienter med rectumcancer (34). Ved evaluering av veggkonturene samt homogenitet av glandlene oppnådde de en sensitivitet på 85 % og en spesifisitet på 98 % i vurderingen av om en glandel på > 3 mm var malign eller ikke. Koh og medarbeidere har gjort en MR-studie for å evaluere bruken av USPIO-kontrast (ultrasmall particles of iron oxide) ved kolorektale metastaser (36). Dette er spesielle jernholdige kontrastmidler som akkumuleres i normale lymfeknuter, men ikke i maligne. Resultatet var svært lovende. Kontrastmidlet er imidlertid ennå ikke kommersielt tilgjengelig, og flere og større studier er nødvendig. Heller ikke PET-CT har vist tilfredsstillende resultater når det gjelder glandelevaluering. Heriot og medarbeidere fant bare 29 % sensitivitet for positive glandler (37).
Lokoregional utredning av coloncancer
I motsetning til ved rectumcancer er det ingen internasjonal konsensus om nytten av nøyaktig preoperativ lokoregional utredning av coloncancer. Koloskopi er en veletablert førstehåndsmetode for diagnostikk av kolorektal kreft, og man lykkes å nå coecum i 85 – 95 % av tilfellene (38, 39). Ved koloskopi er det områder som er vanskelig tilgjengelige, og i en metaanalyse viste van Rijn og medarbeidere at middels store polypper, 5 – 9 mm, ikke ble oppdaget i 13 % (8 – 20 %) av tilfellene (40). Metoden er invasiv, og sedasjon er ofte nødvendig for å redusere ubehaget (41).
Risikoen for perforasjon ved koloskopi er liten, varierende fra 0,03 % til 0,19 % (42) – (44) i store utenlandske materialer – med færrest perforasjoner ved diagnostiske koloskopier. Internasjonalt brukes det mer sedasjon enn i Norge, noe som kan gi økt risiko for perforasjon. I den norske NORCCAP-studien ble det ikke påvist symptomgivende perforasjoner i en serie på 803 diagnostiske koloskopier (45).
CT-kolografi
Det er forventninger til denne nye teknikken, som har stort potensial i diagnostikk av kreft og polypper i colon. Studier ved ledende internasjonale sentre har vist utmerkede resultater for deteksjon av polypper hos asymptomatiske pasienter (46). Metaanalyser, derimot, viser stor spredning og bærer preg av at resultatene er publisert mens metoden var under innlæring (47). CT-kolografi er nylig omtalt i Tidsskriftet med en bred litteraturgjennomgang (48).
Den mest etablerte indikasjonen for CT-kolografi er ufullstendig koloskopiundersøkelse. Metoden forutsetter god tømming og distensjon av colon, og bygger på volumopptak i henholdsvis rygg- og bukleie. Ved hjelp av denne teknikken kan alle flater mellom haustralfoldene vurderes, det er ingen blinde områder som ved konvensjonell koloskopi (49). Det er nylig publisert nye retningslinjer for prosedyren (50). For at utredning av coloncancer med CT-kolografi skal fungere optimalt i klinisk praksis, er det viktig at pasienter med positive CT-funn kan komme direkte til koloskopi for biopsi og polyppektomi, slik at de slipper gjentatte krevende tarmtømminger. Denne rutinen er innarbeidet ved Ullevål universitetssykehus.
Risikoen for perforasjon og kardiovaskulære hendelser ved CT-kolografi er svært liten. Burling og medarbeidere viste i en serie på 17 067 pasienter fra 50 engelske sentre en perforasjonsfrekvens på 0,03 % (51).
Ved økende antall av laparaskopiske prosedyrer vil det være behov for eksakt angivelse av hvor tumor ligger. Ved koloskopi kan det være vanskelig, mens CT-kolografi gir et nøyaktig kart over anatomien. Når det foreligger obstruerende tumor gir CT-kolografi god oversikt over tarmen proksimalt for stenosen og over eventuelle synkrone lesjoner.
Røntgen colon
Konvensjonell røntgen colon med dobbelkontrast har lenge vært benyttet etter ufullstendig koloskopi ved utredning av kolorektal kreft. Denne undersøkelsen er relativt belastende og ubehagelig for pasientene. I forhold til CT-kolografi gir den økt strålebelastning, og den har lav sensitivitet (52). Selv de mest immobile pasientene kan undersøkes med CT, immobilitet er en klar begrensning ved konvensjonell røntgen colon. Ved Ullevål universitetssykehus er det ikke blitt gjort røntgen colon ved utredning av kolorektal kreft siden CT-kolografi ble innført.
CT abdomen
Den økte bruken av CT-undersøkelse i utredning av et vidt spekter av abdominale tilstander gjør at CT abdomen ofte er den undersøkelsen som først gir en indikasjon på diagnosen. Små tumorer kan lettere overses ved en konvensjonell CT-undersøkelse enn ved CT-kolografi. Små polypper vil ikke kunne identifiseres. Metodens styrke ligger i å kartlegge regional tumorvekst utenfor tarmveggen og eventuelle metastaser. Den kan vise tumors relasjoner til andre organer og påvise komplikasjoner som obstruksjon og perforasjon. En studie for å belyse nytten av CT preoperativt ga følgende funn som ikke var kjent på forhånd: lokal utbredelse (9 %), metastaser (15 %), sekundær kreft (4 %). Den planlagte operative behandlingen ble påvirket av preoperativ CT i 33 % av tilfellene (53).
MR
MR-kolografi er en ny metode som også forutsetter tømming av tarmen, fylling med enten et kontrastmiddel eller luft og intravenøs kontrasttilførsel. Metoden har vist høy sensitivitet for svulster og for polypper over 5 mm i diameter, men har foreløpig liten utbredelse i Norge (54).
Utredning av fjernmetastaser
Det er ingen konsensus om hva som er «riktig» metode for utredning for fjernmetastaser ved kolorektal kreft. Flere og flere i de kirurgiske miljøene rundt om i landet anvender imidlertid CT i denne sammenheng. I en og samme undersøkelse kan man slik få en evaluering av både lunger, lever og glandler, gjerne i samme seanse som den lokoregionale utredningen. Noen steder benytter man fortsatt ultralyd av leveren og røntgen thorax i den preoperative utredningen. Sensitiviteten ved disse metodene er imidlertid klart lavere enn ved CT-undersøkelse.
Ultralydundersøkelse uten intravenøs kontrast i deteksjonen av kolorektale levermetastaser har dårlig sensitivitet. I en metaanalyse fant Kinkel og medarbeidere (55) en gjennomsnittlig sensitivitet på 55 %. Dette anses ikke for å være tilstrekkelig hos høyrisikopasienter. Kontrastforsterket ultralyd (CEUS) kan øke sensitiviteten betraktelig (56), spesielt ved standardiserte videoopptak, men metoden er foreløpig lite tilgjengelig. Selv om man skulle velge å bruke ultralyd av lever og røntgen thorax i den videre oppfølgingen av ukompliserte pasienter postoperativt, anbefales CT-undersøkelse som utgangspunkt, slik at man senere kan evaluere om en lesjon i lever eller lunger er kommet til eller har vokst.
PET/PET-CT
Internasjonalt publiseres det et økende antall artikler om bruken av PET som preoperativ diagnostisk metode ved kolorektal kreft (55, 57, 58), men først og fremst er metoden brukt i diagnostikk og utredning av residiver (59, 60). Den er basert på fremstilling av økt glukosemetabolisme i kreftceller sammenholdt med normale celler og er således en funksjonell metode, i motsetning til annen bildediagnostikk. Tradisjonelle PET-bilder har dårlig anatomisk oppløselighet og er lite spesifikke, idet også inflammatoriske og infeksiøse tilstander gir økt glukosemetabolisme.
PET kan gi falskt negative resultater i tilfeller av mucinøst adenokarsinom, fordi denne typen tumor viser lav metabolsk aktivitet. I de senere år har man integrert PET-bilder og CT-bilder i PET-CT-skannere. Disse kombinerer de funksjonelle opplysningene i PET-bildene med de rent anatomiske CT-bildene, og dette gir høyere sensitivitet og spesifisitet enn hver av metodene for seg (61, 62).
I litteraturen er metoden anbefalt brukt i evaluering av pasienter med tilsynelatende resektable levermetastaser for å utelukke ytterlige intra- eller ekstrahepatiske tumormanifestasjoner (57, 61, 63). En annen indikasjon for PET-skanning er stigende verdier av biokjemiske tumormarkører under oppfølging av kolorektal kreft uten at man ved hjelp av konvensjonelle metoder kan identifisere residiv. I diagnostikk av residiver er det i mange studier vist at PET-undersøkelse både er mer sensitiv og mer spesifikk enn konvensjonelle bildediagnostiske metoder og overlegen i differensiering av arrvev og invasiv tumor (59, 60).
Helkropps-MR
Helkropps-MR (WB-MRI) med bevegelig undersøkelsesbord og raske bildesekvenser kan komme til å bli en konkurrent til PET-CT i evaluering av fjernmetastaser ved kolorektal kreft. MR-undersøkelse er billigere og mer tilgjengelig og utsetter ikke pasienten for skadelige stråler. Preliminære resultater av studie fra Maastricht viste at helkropps-MR var like bra som PET-CT i identifisering av fjernmetastaser (18).
Konklusjon
Nøyaktig preoperativ utredning er viktig for å kunne skreddersy behandlingen til pasienter med kolorektal kreft. Den stadig mer aggressive terapeutiske tilnærmingen til metastatisk sykdom rettferdiggjør en mer omfattende og ressurskrevende utredning for fjernmetastaser.
Koloskopi med biopsi er fortsatt nødvendig for å sikre diagnosen histologisk. I tilfeller av coloncancer hvor skopi ikke kan gjennomføres anbefales CT-kolografi. Førstevalget i lokal utredning av rectumcancer er MR-undersøkelse. Endoskopisk ultralyd er operatøravhengig, men kan være den mest nøyaktige metoden ved små og overflatiske tumorer. CT thorax og CT abdomen anbefales som screeningmetode for fjernmetastaser. Hvis man ikke har gjort CT-kolografi i utredningen av coloncancer, anbefales CT abdomen og CT bekken for å evaluere lokal utbredelse utenfor tarmveggen, glandelstatus og eventuelle levermetastaser.
Oppgitte interessekonflikter: Ingen
Tabell
| Hovedbudskap |
|
- 1.
American Joint Committee on Cancer. AJCC Cancer Staging Manual 7. utg. New-York: Springer-Verlag, 2006: 107 – 17.
- 2.
Wibe A, Rendedal PR, Svensson E et al. Prognostic significance of the circumferential resection margin following total mesorectal excision for rectal cancer. Br J Surg 2002; 89: 327 – 34.
- 3.
Merkel S, Mansmann U, Siassi M et al. The prognostic inhomogeneity in pT3 rectal carcinomas. Int J Colorectal Dis 2001; 16: 298 – 304.
- 4.
Brown G, Radcliffe AG, Newcombe RG et al. Preoperative assessment of prognostic factors in rectal cancer using high-resolution magnetic resonance imaging. Br J Surg 2003; 90: 355 – 64.
- 5.
Burton S, Brown G, Daniels IR et al. MRI directed multidisciplinary team preoperative treatment strategy: the way to eliminate positive circumferential margins? Br J Cancer 2006; 94: 351 – 7.
- 6.
Kwok H, Bissett IP, Hill GL. Preoperative staging of rectal cancer. Int J Colorectal Dis 2000; 15: 9 – 20.
- 7.
Beets-Tan RGH, Beets GL. Rectal cancer: review with emphasis on MR imaging. Radiology 2004; 232: 335 – 46.
- 8.
Nesbakken A, Lovig T, Lunde OC et al. Staging of rectal carcinoma with transrectal ultrasonography. Scand J Surg 2003; 92: 125 – 9.
- 9.
Adams DR, Blatchford GJ, Lin KM et al. Use of preoperative ultrasound staging for treatment of rectal cancer. Dis Colon Rectum 1999; 42: 159 – 66.
- 10.
Bipat S, Glas AS, Slors FJM et al. Rectal cancer: local staging and assessment of lymph node involvement with endoluminal US, CT and MR imaging – a meta analysis. Radiology 2004; 232: 773 – 83.
- 11.
Garcia-Aguilar J, Pollack J, Lee SH et al. Accuracy of endorectal ultrasonography in preoperative staging of rectal tumors. Dis Colon Rectum 2002; 45: 10 – 5.
- 12.
Rifkin MD, Ehrlich SM, Marks G. Staging of rectal carcinoma: prospective comparison of endorectal US and CT. Radiology 1989; 170: 319 – 22.
- 13.
Sinha R, Verma R, Rajesh A et al. Diagnostic value of multidetector row CT in rectal cancer staging: comparison of multiplanar and axial images with histopathology. Clin Radiol 2006; 61: 924 – 31.
- 14.
Matsuoka H, Nakamura A, Masaki T et al. A prospective comparison between multidetector-row computed tomography and magnetic resonance imaging in the preoperative evaluation of rectal carcinoma. Am J Surg 2003; 185: 556 – 9.
- 15.
Taylor A, Slater A, Mapstone N et al. Staging rectal cancer: MRI compared to MDCT. Abdom Imaging 2007; 32: 323 – 7.
- 16.
Mathur P, Smith JJ, Ramsay C et al. Comparison of CT and MRI in the pre-operative staging of rectal adenocarcinoma and prediction of circumferential resection margin involvement by MRI. Colorectal Dis 2003; 5: 396 – 401.
- 17.
Kulinna C, Scheidler J, Strauss T et al. Local staging of rectal cancer. J Comput Assist Tomogr 2004; 28: 123 – 30.
- 18.
Beets-Tan RG, Beets GL, van de Velde CJH. Staging in colorectal cancer. Eur J Cancer Suppl 2005; 3: 361 – 6.
- 19.
Beets-Tan RG, Beets GL, Vligen RF et al. Accuracy of magnetic resonance imaging in prediction of tumour-free resection margin in rectal cancer surgery. Lancet 2001; 357: 497 – 504.
- 20.
Beets-Tan RG. MRI in rectal cancer: the T stage and circumferential margin. Colorectal Dis 2003; 5: 392 – 5.
- 21.
Blomqvist L, Machado M, Rubio C et al. Rectal tumour staging: MR imaging using pelvic phased-array and endorectal coils vs endoscopic ultrasound. Eur Radiol 2000; 10: 653 – 60.
- 22.
Laghi A, Ferri M, Catalano C et al. Local staging of rectal cancer with MRI using a phased array body coil. Abdom Imaging 2002; 27: 425 – 31.
- 23.
Gagliardi G, Bayar S, Smith R et al. Preoperative staging of rectal cancer using magnetic resonance imaging with external phase-arrayed coil. Arch Surg 2002; 137: 447 – 51.
- 24.
Brown G, Richards CJ, Newcombe RG et al. Rectal carcinoma: thin-section MR imaging for staging in 28 patients. Radiology 1999; 211: 215 – 22.
- 25.
Blomqvist L, Rubio C, Holm T et al. Rectal adenocarcinoma: assessment of tumour involvement of the lateral resection margin by MRI of resected specimen. Br J Radiol 1999; 72: 18 – 23.
- 26.
Branagan G, Chave H, Clare F et al. Can magnetic resonance imaging predict circumferential margins and TNM stage in rectal cancer? Dis Colon Rectum 2004; 47: 1317 – 22.
- 27.
Lahaye MJ, Engelen SME, Nelemans PJ et al. Imaging for predicting the risk factors – the circumferential resection margin and nodal disease – of local recurrence in rectal cancer: a meta-analysis. Semin Ultrasound CT MR 2005; 26: 259 – 68.
- 28.
MERCURY Study Group. Diagnostic accuracy of preoperative magnetic resonance imaging in predicting curative resection of rectal cancer: prospective observational study. BMJ 2006; 333: 779.
- 29.
MERCURY Study Group. Extramural depth of tumor invasion at thin-section MR in patients with rectal cancer: results of the MERCURY Study. Radiology 2007; 243: 132 – 9.
- 30.
Brown G, Daniels IR, Richardson C et al. Techniques and trouble-shooting in high spatial resolution thin slice MRI for rectal cancer. Br J Radiol 2005; 78: 245 – 51.
- 31.
Norsk Gastrointestinal Cancergruppe. Grønnbok. www.ngicg.no/gronnbok/gronnbok.htm (21.9.2007).
- 32.
Vliegen RF, Beets GL, von Meyenfeldt MF et al. Rectal cancer: MR imaging in local staging – is gadolineum-based contrast material helpful? Radiology 2005; 234: 179 – 88.
- 33.
Slater A, Halligan S, Taylor SA et al. Distance between the rectal wall and mesorectal fascia measured by MRI: effect of rectal distension and implications for preoperative prediction of a tumour-free circumferential resection margin. Clin Radiol 2006; 61: 65 – 70.
- 34.
Brown G, Richards CJ, Bourne MW et al. Morphologic predictors of lymph node status in rectal cancer with use of high-spatial-resolution MR imaging with histopatholgic comparison. Radiology 2003; 227: 371 – 7.
- 35.
Kim JH, Beets GL, Kim M-J et al. High-resolution MR imaging for nodal staging in rectal cancer: are there any criteria in addition to the size? Eur J Radiol 2004; 52: 78 – 83.
- 36.
Koh D-M, Brown G, Temple L et al. Rectal cancer: mesorectal lymph nodes at MR imaging with USPIO versus histopatologic findings – intial observations. Radiology 2004; 231: 91 – 9.
- 37.
Heriot AG, Hicks RJ, Drummond EG et al. Does positron emission tomography change management in primary rectal cancer? A prospective assessment. Dis Colon Rectum 2004; 47: 451 – 8.
- 38.
Levine MS, Glick SN, Rubesin SE et al. Double contrast barium enema examination and colorectal cancer: a plea for radiologic screening. Radiology 2002; 222: 313 – 5.
- 39.
Winawer SJ, Stewart ET, Zauber AG et al. A comparison of colonoscopy and double contrast barium enema for surveillance after polypectomy. N Engl J Med 2000; 342: 1766 – 72.
- 40.
van Rijn JC, Reitsma JB, Stoker J et al. Polyp miss rate determined by tandem colonoscopy; a systematic review. Am J Gastroenterol 2006; 101: 343 – 50.
- 41.
Froehlich F, Harris JK, Wietlisbach et al. Current sedation and monitoring practice for colonoscopy; an international observational study (EPAGE). Endoscopy 2006; 38: 461 – 9.
- 42.
Cobb WS, Heniford BT, Sigmon LB et al. Colonoscopic perforations; incidence, management, and outcomes. Am Surg 2004; 70: 750 – 7.
- 43.
Anderson ML, Pasha TM, Leighton JA. Endoscopic perforation of the colon: lessons from 10-year study. Am J Gastroenterol 2000; 95: 3418 – 22.
- 44.
Iqbal CW, Chun YS, Farley DR. Colonoscopic perforations: a retrospective review. J Gastrointest Surg 2005; 9: 129 – 35.
- 45.
Gondal G, Grotmol T, Hofstad B et al. The Norwegian Colorectal Cancer Prevention (NORCAP) screening study. Baseline findings and implementations for clinical work-up in age groups 50 – 64 years. Scand J Gastroenterol 2003; 38: 635 – 42.
- 46.
Pickhardt PJ, Choi JR, Hwang Inku et al. Computed tomographic virtual colonoscopy for colorectal neoplasia in asymptomatic adults. N Engl J Med 2003; 349: 2191 – 200.
- 47.
Halligan S, Taylor SA. CT colonography: results and limitations. Eur J Radiol 2007; 61: 400 – 8.
- 48.
Ringstad G, Holmquist H, Brabrand K et al. CT-kolografi for påvisning av kreft og polypper i tykktarm Tidsskr Nor Lægeforen 2006; 126: 1470 – 3.
- 49.
Juchems MS, Fleiter TR, Pauls S et al. CT colonography; comparison of a colon dissection display versus 3D endoluminal view for the detection of polyps. Eur Radiol 2006; 16: 68 – 72.
- 50.
Taylor SA, Laghi A, Lefere P et al. European society of gastrointestinal and abdominal radiology (ESGAR): consensus statement on CT colonoscopy. Eur Radiol 2007; 17: 575 – 9.
- 51.
Burling D, Halligan S, Slater A et al. Potentially serious adverse events at CT colonography in symptomatic patients; national survey of the United Kingdom. Radiology 2006; 239: 464 – 71.
- 52.
Rollandi GA, Biscaldi E, DeCisso E. Double contrast barium enema: technique, indications, results and limitations of a conventional imaging methodology in the MDCT virtual endoscopy era. Eur J Radiol 2007; 61: 382 – 7.
- 53.
Mauchley DC, Lynge DC, Langdale LA et al. Clinical utility and cost-effectiveness of routine preoperative computed tomography scanning with colon cancer. Am J Surg 2005; 189: 512 – 7.
- 54.
Ajaj W, Goyen M. MR imaging of the colon: technique, indications, results and limitations. Eur J Radiol 2007; 61: 415 – 23.
- 55.
Kinkel K, Lu Y, Both M et al. Detection of hepatic metastases from cancer of the gastrointestinal tract by using non-invasive imaging methods (US, CT, MR imaging, PET): a meta-analysis. Radiology 2002; 224: 748 – 56.
- 56.
Albrecht T, Hohmann J, Oldenburg A et al. Detection and characterisation of liver metastases. Eur Radiol 2004; 14 (suppl 8): 25 – 33.
- 57.
Llamas-Elvira JM, Rodriguez-Fernandez A, Gutierrez-Sáinz J et al. Fluorine-18 fluorodeoxyglucose PET in the preoperative staging of colorectal cancer. Eur J Nucl Mol Imaging 2007; 34: 859 – 67.
- 58.
Kantorova I, Lipska L, Belohlavek O et al. Routine 18F-FDG-PET preoperative staging of colorectal cancer: comparison with conventional staging and its impact on treatment decision making. J Nucl Med 2003; 44: 1784 – 8.
- 59.
Watson AJ, Lolohea S, Robertson GM et al. The role of positron emission tomography in the management of recurrent colorectal cancer: a review. Dis Colon Rectum 2006; 50: 102 – 14.
- 60.
Huebner RH, Parks KC, Shepherd JE et al. A meta-analysis if the literature for whole-body FDG PET detection of recurrent colorectal cancer. J Nucl Med 2000; 41: 1177 – 89.
- 61.
Cohade C, Osman M, Leal J et al. Direct comparison of 18-F-FDG-PET and PET-CT in patients with colorectal carcinoma. J Nucl Med 2003; 44: 1797 – 803.
- 62.
Antoch G, Saoudi N, Kuehl H et al. Accuracy of whole-body dual-modality fluorine-18 – 2-fluoro-2-deoxy-D-glucose positron emission tomography (FDG-PET/CT) for tumor staging in solid tumors: comparison with CT and PET. J Clin Oncol 2004; 22: 4357 – 68.
- 63.
Gollub MJ, Schwartz LH, Akhurst T. Update on colorectal cancer imaging. Radiol Clin North Am 2007; 45: 85 – 118.