En gravid kvinne med magesmerter og feber

    ()

    sporsmal_grey_rgb
    Abstract

    Ectopic deciduosis is most often located in the ovaries, cervix and uterus, but can also be located on peritoneal surfaces of pelvic- and abdominal organs. The findings from surgical biopsies taken during pregnancy are mostly asymptomatic and incidental. Deciduosis of the appendix is rare, but it is a known differential diagnosis to acute appendicitis in pregnancy. We report a 27-year-old woman, Gravida 1, Para 0 in gestational week 35, who presented with acute right abdominal pain. She underwent an acute caesarean section for possible abruptio placentae. Acute appendicitis was a differential diagnosis. Peroperative findings revealed an inflamed and enlarged appendix suspicious for tumour. A pathological examination of the appendix showed decidual changes through the entire wall without signs of appendiceal endometriosis. In conclusion, symptomatic ectopic deciduosis in pregnancy is rare and may imitate acute appendicitis. This is an important differential diagnosis in pregnant women with tumour-suspect findings.

    Artikkel

    Gravide pasienter med akutte magesmerter og feber representerer en diagnostisk utfordring. Her beskrives en pasient som illustrerer hvor vanskelig det kan være.

    En tidligere stort sett frisk førstegangsgravid 27 år gammel kvinne med ukomplisert svangerskap i svangerskapsuke 35 tok selv kontakt med fødeavdelingen etter tre dagers sykehistorie med smerter i høyre fossa iliaca og lyske. Hun opplyste også at hun følte seg «strammere i livmoren» enn vanlig og at både hun og ektemannen hadde hatt symptomer med vanntynn diaré og oppkast de siste to dagene. Hun var fra før plaget med bekkenløsningssmerter, men smertene i lysken hadde oppstått etter at hun redde opp sengen. Ved innkomst hadde hun ingen vaginalblødning eller tegn på vannavgang. Kardiotokografi (CTG) var variabel og fin, og pasienten kjente godt med fosterliv. Temperaturen var 38 °C og urinstiks ga utslag 2+ for leukocytter.

    Det kliniske bildet ble først vurdert til å være virusinfeksjon med gastroenteritt i kombinasjon med lyskestrekk og bekkenløsning. Hun ble observert fire timer i avdelingen før hun reiste hjem med avtale om kontroll tidlig neste dag.

    Få timer senere kom pasienten tilbake til avdelingen med økte smerter. Ved gjentatt undersøkelse var hun generelt stram i abdomen og i tillegg bankøm over høyre nyrelosje. Hun oppga også dysuri og pollakisuri. Ultralyd viste et vitalt foster i hodeleie. Fostervannsmengden var i nedre normalområde, og placenta lå på bakre flate. Svar på blodprøver tatt tidligere samme dag viste CRP 220 mg/l og leukocytter 22 x 10⁹/l.

    Med bakgrunn i lett bankømhet over høyre nyrelosje, dysuri, høy CRP og utslag i urin ble det antatt å foreligge høyresidig pyelonefritt, og det ble startet opp med ampicillin 2 g x 4.

    Neste dag var smertene tiltakende og CRP var økt til 257 mg/l. Vakthavende ved kirurgisk avdeling ble kontaktet for vurdering av akutt abdomen. Pasienten var da uttalt palpasjonsøm på høyre side av abdomen og viste tegn til slippømhet. Samtidig var uterus svært stram.

    Akutt appendisitt i et langtkomment svangerskap kan være vanskelig å diagnostisere fordi appendix ofte blir forskjøvet til atypisk sted i forhold til McBurneys punkt. På grunn av stram uterus kunne man heller ikke se bort ifra placentaløsning.

    Det ble utført hastesectio gjennom Pfannenstiel-snitt og man forløste en velskapt jente med fødselsvekt 2600 g og apgarskår 8 – 9. Fostervannet var blakket uten blodtilblanding og det var ingen tegn til retroplacentært hematom. Det forelå upåfallende forhold ved begge adnexa. Det var blakket væske i buken som man oppfattet som puss. Pfannenstiel-snittet ble derfor utvidet til et nedre midtlinjesnitt for å finne infeksjonsfokus. Cøkalpolen var oppdrevet og ødematøs. Det var også appendix, som lå retrocøkalt og var perforert helt distalt. Området var innbakt i et stort infiltrat med mykt, løst vev som ga inntrykk av en tumor. Appendektomi ble utført og inkluderte det myke vevet i resektatet. Høyre tube og ovarium, lever og galleblære var makroskopisk upåfallende.

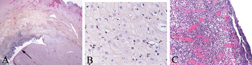
    Appendixpreparatet var ca. 7,5 cm langt og 1,6 cm bredt. Serosaoverflaten var ujevn og til dels glinsende med gråbrun farge. På overflaten fantes også fibrinbelegg. Snittflaten viste en fortykket vegg med mucinøst utseende fast-elastiske grålige knuter som delvis obstruerte appendixlumen (fig 1).

    Histopatologisk undersøkelse viste flak og knuter av store polygonale celler svarende til deciduaceller i alle vegglag. I områder presset de deciduale knutene inn i appendixlumen med erosjon og regenerasjon av slimhinneepitelet (fig 2a). Cellene hadde ovale, regelmessige kjerner med små nukleoler samt rikelig, eosinofilt til lett basofilt cytoplasma (fig 2b). I noen av knutene var deciduacellene omgitt av blålig myksoid substans. Ved spesialfarging ble det påvist PAS (periodic acid-Schiff)-positive cytoplasmatiske granula. Deciduaflakene splittet i områder opp muscularis propria, som manglet fokalt. Decidua var rikelig vaskularisert, og i noen områder ble det funnet kjertelliknende strukturer eller spalter kledd av et enlaget avflatet kubisk epitel. Epitelet var immunreaktivt for antistoffer mot keratin og epitelmembranantigen (EMA)-forenlig med mesotel. I deciduaflakene i serosa var det videre rikelig infiltrasjon av betennelsesceller bestående av nøytrofile granulocytter samt noen lymfocytter, plasmaceller og eosinofile granulocytter (fig 2c). På den mesotelkledde overflaten var det stedvis fibrinbelegg. I lamina propria og submucosa var det fokal lett kronisk betennelse, men ingen påfallende akutt betennelse som man ser ved «vanlig» akutt appendisitt. Hele appendix ble innstøpt og undersøkt mikroskopisk uten at endometriose ble funnet.

    Immunhistokjemisk undersøkelse som ble gjort for å bekrefte den morfologiske diagnosen, viste positivitet for vimentin, fokal svak positivitet for desmin samt kjernepositivitet for progesteronreseptor i deciduacellene. Cellene var negative for muskelspesifikt aktin, S100 og epitelmarkørene cytokeratin og epitelmembranantigen.

    Pasienten ble per- og postoperativt dekket med metronidazol 1 gram x 1 og cefuroksim 1,5 gram x 3. CRP steg til 496 mg/l andre postoperative dag, men var falt til 29 mg/l ved utreise fem dager senere. De bakteriologiske prøvene tatt under inngrepet viste ingen oppvekst av mikrober eller sopp.

    Diskusjon

    Diskusjon

    Ektopisk decidua er et velkjent fenomen som hyppigst finnes i indre genitalia som uterus, cervix og ovarier. Tilstanden er også beskrevet i andre serosakledde organer som peritoneum, oment, diafragma, lever, milt, nyrebekken, lymfeknuter i bekkenet og lunge (1). Forandringene ble først beskrevet i 1887 (2). Ektopisk decidua i appendix ble derimot første gang beskrevet i 1905 (3). Ektopisk decidua er et vanlig funn i histologiske preparater hos gravide, men er som regel asymptomatisk og fører svært sjelden til kliniske symptomer. Symptomene vil avhenge av lokalisasjon, og det er rapportert om alvorlig intraperitoneal blødning (4) og blødning fra nyrebekkenet (5). Buttner og medarbeidere fant ektopisk decidua i 97 % av biopsier fra omentum majus under keisersnitt og under operasjon ved ekstrauterine svangerskap (6). I de fleste av preparatene fant man fokal decidualisering og i noen få forelå diffus decidualisering (6). I en annen studie fant man ektopisk decidua i 5,5 % av tubene ved post partum-sterilisering (1). Tilbakegang av forandringene skjer i 4. – 6. uke etter fødselen (6).

    Hvordan ektopisk decidua oppstår, er ikke klarlagt. Det kan være en fysiologisk forandring av den submesoteliale stroma. En annen mulighet er decidualisering av allerede eksisterende endometriose. Endometriose i appendix er svært sjeldent og forekommer i 0,2 % av alle tilfeller med endometriose (7). Denne diagnosen ble avkreftet i vårt tilfelle etter mikroskopisk undersøkelse. Begge forandringene er mulige under progesteronpåvirkning i et svangerskap. Embryologisk har stroma i endometriet og subserosa samme opphav; det intraembryonale cølom. Cølomepitelet og den underliggende stroma utvikler seg til peritoneum, subperitoneal stroma og Müllerske ganger som igjen blir til tube, uterus, cervix og øvre del av vagina. De subserøse cellene er pluripotente og kan transformere seg til decidua under adekvat stimulering (progesteron). Muligheten for å finne slike celler øker med svangerskapets varighet.

    Det er beskrevet få liknende tilfeller som vår pasient, der ektopisk decidua har gitt kliniske funn som ved akutt appendisitt. Decidualvev forandrer seg under et svangerskap. Cellene får store vakuoler som kan rumpere, hvorpå innholdet slippes ut i stroma og gir en lokal betennelsesreaksjon. Pasientens symptomer kan delvis forklares med lokal peritonitt, som ble bekreftet med histopatologisk undersøkelse. Det er dog beskrevet flere tilfeller der pasientene har hatt makroskopisk blek appendix, men likevel blitt symptomfrie etter appendektomi (8). Andre årsaker til at ektopisk decidua kan gi smerter, kan være at vevet ekspanderer under hormonpåvirkning i løpet av første trimester, noe som kan føre til irritasjon og mekanisk kompresjon. Decidua kan også produsere prostaglandiner som kan gi økt muskelkontraksjon i appendixveggen (9). Decidualisering av appendix kan gi residiverende smerte og ubehag i høyre fossa under svangerskapet. Disse kan oppfattes som kronisk eller subakutt appendisitt.

    Det er beskrevet flere tilfeller der ektopisk decidua er blitt feiltolket som peritoneal karsinomatose eller maligne lymfeknutemetastaser i bekkenet (10). I vårt tilfelle var det makroskopiske funnet tumorsuspekt med oppdrevet og svært ødematøs coecum.

    Vi mener vi ikke kunne ha behandlet vår pasient annerledes, selv med retrospektiv kunnskap. Muligheten for at det ufødte barnet og/eller moren skulle bli skadelidende var betydelig. Placentaløsning kunne ikke utelukkes og akutt keisersnitt var dermed uunngåelig.

    Konklusjon

    Konklusjon

    Symptomgivende ektopisk decidua hos gravide er svært sjeldent, men kan gi kliniske funn som ved typisk akutt appendisitt. Det er også viktig å huske denne differensialdiagnosen ved tumorsuspekte funn hos gravide.

    Oppgitte interessekonflikter: Ingen

    Se kunnskapsprøve på www.tidsskriftet.no/quiz

    Kommentarer  ( 0 )
    PDF
    Skriv ut

    Anbefalte artikler