50 år gammel mann med slapphet og monoklonal gammopati

    ()

    sporsmal_grey_rgb
    Abstract

    This article presents an extremely rare case of monoclonal gammopathy of undetermined importance (MGUS) (known for 16 years) that progressed to multiple myeloma during cytotoxic treatment of malignant lymphoma. Morphological and immunochemical studies were used to characterize the two blood diseases. Identification of type 2 (malignant lymphoma) and type 1(multiple myeloma) disease indicate that the condition was biclonal. The malignant lymphoma responded completely to treatment with chlorambucil and the multiple myeloma responded partially to treatment with melphalan and prednisolone some months later. Diagnosis and follow up of MGUS is commented on.

    Artikkel

    16 år etter at pasienten fikk diagnosen «benign gammopati» utviklet han en lymfoproliferativ sykdom. Få måneder etter avsluttet behandling for denne tilstanden fikk han sin andre blodsykdom. Funn som taler for biklonal sykdom gjennomgås, likeledes hvordan «monoklonal gammopati av usikker betydning» kan diagnostiseres og følges opp.

    I 1984 ble en 50 år gammel mann innlagt i medisinsk avdeling på grunn av økt trettbarhet og slapphet. Det var normal organstatus. Hb 13,2 g/100 ml, SR 22 mm og totalt serum-protein 82 g/l. Proteinelektroforese var forenlig med «benign monoklonal gammopati», og immunelektroforese viste en lavkonsentrert monoklonal komponent (M-komponent) i β₂-regionen. Det monoklonale proteinet var av typen IgA κ. M-komponentens konsentrasjon ble ikke bestemt. Konsentrasjonen av de øvrige immunglobuliner var normal, og det ble ikke påvist lette kjeder i urinen. I beinmargsutstryk fra sternum var det 2 % plasmaceller.

    Internasjonalt blir betegnelsen «monoklonal gammopati av usikker betydning» (MGUS) benyttet i økende grad i stedet for «benign gammopati». Tilstanden defineres som funn av M-komponent i serum med konsentrasjon mindre enn 30g/l, ingen eller bare små mengder monoklonale lette kjeder i urinen, ingen påvisbare osteolytiske lesjoner, ingen anemi, hyperkalsemi eller nyresvikt som skyldes utskilling av monoklonale lette kjeder. Det skal ikke være holdepunkter for andre lymfoproliferative sykdommer av B-celletype. Andelen plasmaceller i beinmargsutstryk skal være mindre enn 10 % (1, 2).

    Forekomsten stiger med økende alder og affiserer omtrent 5 % av personer over 70 år (2). Kumulativ risiko for at tilstanden skal utvikle seg til en malign tilstand er anslått til å være 12 % etter ti år og 25 % etter 20 år (3). Konsentrasjonen av M-komponenten på diagnosetidspunktet er en signifikant prediktor for sykdomsutvikling, og risikoen for progrediering til malign sykdom er større når det foreligger M-komponent av typene IgA eller IgM sammenliknet med IgG (3).

    Ved utskrivning av pasienten ble det anbefalt at han skulle gå til kontroll hos egen lege hver sjette måned. Han ble fulgt med kontroller i 16 år uten at det ble påvist progrediering av tilstanden. Når diagnosen er stilt, er det uansett immunglobulintype vanlig å anbefale kontroll etter tre og seks måneder og deretter en til to ganger årlig, eller oftere dersom det ses stigning i M-komponenten, eller dersom nye symptomer og funn registreres (4). I tillegg til kvantitering av M-komponenten bør konsentrasjon av kalsium i serum, hemoglobinnivå og nyrefunksjon følges, og urinprøve bør undersøkes med tanke på forekomst av lette kjeder. Røntgenundersøkelser bør tas ved skjelettsymptomer.

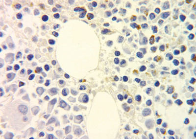
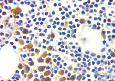
    I august 2000 ble mannen innlagt i sykehus på grunn av nedsatt allmenntilstand og vekttap de siste tre måneder. Han hadde lagt merke til forstørrede lymfeknuter på halsen, bilateralt over clavicula og i armhulene. På bakgrunn av kliniske funn og sykehistorie var reaktiv lymfeknuteforstørrelse som man kan se ved bindevevssykdommer og infeksjoner mindre sannsynlig. Under mistanke om malign sykdom ble det gjort CT-undersøkelse som viste forstørrede intratorakale og intraabdominale lymfeknuter, mens det var normale forhold i bekkenet. Lymfeknutebiopsi fra høyre side av halsen viste at det forelå et B-cellelymfom av typen småcellet lymfocytært lymfom (CD5–, CD10–, CD20+ (delvis svak), CD79a+, CD43+, CD23+, CD3–, CD45RO–). Immunhistokjemisk undersøkelse viste at lymfomet var av typen IgA λ. En perkutan beinmargsbiopsi fra bakre del av hoftekammen viste en svært cellerik beinmarg med infiltrasjon av lavgradig non-Hodgkins lymfom. Immunhistokjemiske undersøkelser viste økt antall monoklonale plasmaceller av type IgA κ mellom lymfominfiltratene (fig 1). Det ble ikke påvist morfologiske overgangsformer mellom de to celletypene, noe som sammen med de immunhistokjemiske funn indikerte at det dreide seg om to separate monoklonale cellepopulasjoner (fig 2). Beinmargsutstryk ble ikke gjort. Hb var 12,6 g/100 ml, SR, trombocytter og de øvrige blodprøver var normale. Leukocytter var 7,2 · 10⁹/l og maskinell differensialtelling viste 53 % lymfocytter. Konsentrasjonen av IgA var 5,3 g/l og det forelå en M-komponent av typen IgA κ ved proteinelektroforese av serum. IgG-nivået i serum var normalt, mens IgM-nivået var redusert til 0,1 g/l.

    I september var han til poliklinisk vurdering hos onkolog ved kreftavdeling. Blodprøvene var fortsatt normale, og da leukocytter var 6,3 · 10⁹/l ble det konkludert med at det ikke var tegn til leukemisering i blodbildet, men immunfenotyping ble ikke utført.

    Pasientens lymfom ble vurdert til å være i sykdomsstadium IV A (Ann Arbor- klassifikasjonen). Det forelå imidlertid ikke behandlingsindikasjon på diagnosetidspunktet eller ved vurderingen en måned senere.

    Ut fra immunhistokjemiske og morfologiske undersøkelser var det liten sannsynlighet for noen sammenheng mellom pasientens monoklonale gammopati av usikker betydning og det nyoppdagede lavgradige maligne non-Hodgkins lymfom. Den samlede relative risiko for progrediering av denne typen gammopati til en malign tilstand er rapportert å være 7,3, men risiko for å utvikle myelomatose er økt med en faktor på 25, og for å utvikle makroglobulinemi med en faktor på 46 (3). Risikoen for å utvikle malignt lymfom er imidlertid bare moderat økt med en faktor på 3,9.

    Ved kontroll ved lokalsykehus tre måneder senere hadde han nattesvette og fått økende lymfeknutesvulst på halsen, men ikke vekttap. CT-undersøkelse viste økende lymfeknutestørrelse i mediastinum og abdomen, særlig bak v. cava inferior og abdominalaorta. Blodprøver, også Hb og SR, var normale. På grunn av lymfeknutestørrelsen og allmennsymptomer forelå det behandlingsindikasjon. Det ble gitt seks kurer med klorambucil 28 mg daglig i fem dager hver fjerde uke. Etter denne behandlingen var han klinisk og bildemessig i komplett remisjon da det verken ved klinisk undersøkelse eller CT-undersøkelse kunne påvises forstørrede lymfeknuter.

    Da det dreide seg om et lavgradig malignt non-Hodgkins lymfom i avansert stadium hadde behandlingen et palliativt mål, men med håp om at oppnådd remisjon kunne bli av noen varighet. Det er nå kjent at småcellet lymfocytært lymfom kan forløpe individuelt svært ulikt, avhengig av om det foreligger en somatisk hypermutasjon i IgVH-genet i lymfomcellene eller ikke (5). Hos pasienter med småcellet lymfocytært lymfom som uttrykker muterte antistoffgener er prognosen god, mens umutert gen gir dårlig prognose med median overlevelse ca. 90 måneder fra diagnosetidspunktet. Småcellet lymfocytært lymfom forekommer sjeldnere enn kronisk lymfatisk leukemi (fig 3). Ut fra de diagnostiske kriterier for kronisk lymfatisk leukemi og de blodprøvedata vi hadde, forelå det ikke leukemisering hos vår pasient.

    I august 2001, tre måneder etter avsluttet behandling kom han til kontroll. SR var økt til 92 mm og Hb-konsentrasjonen var falt til 12,9 g/100 ml. Klinisk undersøkelse var uten anmerkning. Tre uker senere anga han ryggsmerter de to siste uker, men ingen andre symptomer. Organstatus var fortsatt normal, men SR var nå 100 mm, Hb 11,4 g/100 ml, kalsiumnivået forhøyet til 2,72 mmol/l, mens øvrige blodprøver var normale.

    Til tross for at det var mindre sannsynlig at pasienten hadde utviklet en annen malign sykdom, som f.eks. myelomatose, under pågående behandling med alkylerende cytostatikum, ble det gjort utredning på nytt, både med tanke på blodsykdom og andre tilstander som forårsaker forhøyet SR. Muligheten for at plasmacellene som var ansvarlige for pasientens monoklonale gammopati av usikker betydning var primært resistente mot klorambucil, ble vurdert.

    Beinmargsutstryk inneholdt 26 % patologiske plasmaceller og immunelektroforese med kvantitering av immunglobuliner viste at konsentrasjonen av IgA κ hadde økt til 32,5 g/l, og at IgG-nivået var falt til under normalt nivå. IgM-nivået var uforandret lavt. Det ble ved elektroforese ikke påvist lette kjeder i urinen. Røntgenundersøkelse av skjelettet viste ingen osteolytiske lesjoner, bare en beskjeden kompresjon av 12. torakale virvel.

    Konklusjonen ble at pasientens monoklonale gammopati av usikker betydning hadde utviklet seg til myelomatose, til tross for nylig avsluttet cytostatisk behandling mot lymfomet med det alkylerende cytostatikumet klorambucil som normalt også skulle være virksomt mot myelomatose. Man vurderte om den gitte cellegiftbehandlingen temporært hadde påvirket utviklingen av myelomatose, enten ved å bremse den, eller ved å påskynde den.

    På grunn av hyperkalsemi, anemi og ryggsmerter ble det startet behandling med melfalan 18 mg daglig i fire dager og prednisolon 100 mg daglig i fire dager hver sjette uke. Han fikk også pamidronat 60 mg intravenøst hver fjerde uke. Etter sju kurer med kjemoterapi hadde IgA-nivået falt til 3,5 g/l, han var normokalsemisk og smertefri. Senere tilbakefall av myelomatose ble behandlet med melfalan, prednisolon, cyklofosfamid, vinkristin, karmustin, thalidomid og deksametason. Han utviklet etter hvert behandlingsresistens og døde av myelomatose nær fire år etter at han fikk diagnosen malignt lymfom.

    Diskusjon

    Diskusjon

    Våre funn hos pasienten reiste til å begynne med spørsmålet om hans myelomatose og det småcellede B-cellelymfomet kunne ha utviklet seg fra den samme celleklonen som ga opphav til monoklonal gammopati av usikker betydning, eller om lymfomet har en separat og uavhengig opprinnelse. Litt kort defineres en klon som en eller en gruppe genetisk identiske celler som kommer fra samme opprinnelige morcelle. En klon av celler i B-cellerekken produserer antistoff med samme monoklonale spesifisitet. Spesifisiteten er særlig bestemt av V-regionen som koder for immunglobulinets variable domener, og for malignt transformerte celler i B-cellerekken har tilstedeværelse eller ikke av somatiske hypermutasjoner i den variable V-regionen prognostisk betydning (5). En idiotype er et sett av en eller flere idiotoper (en antigendeterminant i den variable region av immunglobulinet) som skiller en klon av immunglobulinproduserende celler fra andre kloner. Sammensetningen av ulike tunge og lette kjedeklasser og subklasser i immunglobulinmolekylet danner den isotypiske variasjon.

    Biopsimaterialet viste seg i ettertid ikke å være godt nok for molekylærgenetiske og cytogenetiske undersøkelser, og vi har ikke holdepunkter som støtter molekylær utvikling fra et felles premalignt stadium til B-cellelymfom og senere til myelomatose. De immunhistokjemiske undersøkelsene viste monoklonale plasmaceller av κ-type mellom de lymfatiske infiltratene som var av λ-type, noe som indikerer to separate monoklonale cellepopulasjoner, altså biklonalitet. Dette taler imot at pasientens lymfom har felles opphav med hans myelomatose, selv om man kan tenke seg en felles genetisk sårbarhet for å utvikle malign hematologisk sykdom.

    Det er ganske enestående at en pasient som har monoklonal gammopati av usikker betydning, utvikler myelomatose under pågående behandling for malignt lymfom. I en pasient-kontroll-studie så man at pasienter som hadde denne typen gammopati og som senere utviklet en malign hematologisk sykdom, hadde M-komponent av κ-type signifikant oftere enn de som ikke utviklet sykdom. Men forfatterne som vi antar tar hensyn til forholdet 2 : 1 mellom κ og λ lette kjeder hos mennesket, tolker funnet med forsiktighet da det var overraskende lav prosentandel κ-kjeder i kontrollgruppen, og hvor en del data var ukjente (6). Forekomsten av malign transformasjon hos pasienter med monoklonal gammopati av usikker betydning av typen IgA er noe høyere enn hos pasienter med M-komponent av typene IgM og IgG (7, 8).

    Det har vært rapportert at pasienter med type IgA har utviklet non-Hodgkins lymfom, men IgA uttrykt på B-lymfomceller ved småcellet lymfocytært lymfom er uvanlig (9). Bortsett fra ved Waldenstrøms makroglobulinemi er ikke M-komponenter i serum med sikkerhet assosiert med malignt lymfom som skiller ut bare små mengder antistoff. Det har vært hevdet at monoklonal gammopati som forekommer sammen med andre maligne sykdommmer enn myelomatose, makroglobulinemi og non-Hodgkins lymfom, er tilfeldige funn og at det ikke er assosiasjon mellom monoklonal gammopati av usikker betydning og kreft utenfor B-cellerekken (9, 10). På den annen side er det i kliniske studier funnet en assosiasjon mellom ikke-hematologiske maligne sykdommer og monoklonal gammopati av usikker betydning på det tidspunkt M-komponenten ble påvist (11).

    Det er beskrevet flere tilfelle av malignt lymfom og myelomatose som opptrer samtidig hos pasienter (12) – (15). En pasient som hadde malignt lymfom, men som var i remisjon, utviklet myelomatose 30 måneder etter lymfomdiagnosen var stilt (16), og en annen pasient utviklet non-Hodgkins lymfom i lymfeknuter på halsen under behandling for myelomatose (17). Man har også sett på assosiasjonen mellom kronisk lymfatisk leukemi og myelomatose hos 11 pasienter, og funnene i studien støtter vår konklusjon om at pasienten hadde biklonal sykdom (18). Til forskjell fra vår pasient hadde ingen av de refererte pasientene kjent monoklonal gammopati av usikker betydning før de fikk diagnosen malign sykdom.

    Den monoklonale komponenten transformerte til myelomatose under behandling med et alkylerende stoff, klorambucil, som tidligere ble benyttet i behandlingen av myelomatose. Sannsynligvis var vår pasient primært resistent for klorambucil som terapeutikum for myelomatose, og det er en mulighet for at kjemoterapi per se kan ha startet progredieringen fra monoklonal gammopati av usikker betydning til myelomatose. Det uventede hos vår pasient var at lidelsen etter 16 års observasjon transformerte til myelomatose under kjemoterapi for malignt lymfom. Vår pasient fikk i sin tid behandling for non-Hodgkins lymfom og myelomatose i tråd med dagens handlingsprogram for disse tilstandene (4, 19).

    I utredning av pasienter kan det være viktig å avdekke forekomst av monoklonal gammopati av usikker betydning. Risiko for progrediering til myelomatose eller en annen beslektet tilstand er beregnet til 1 % årlig (3). Siden denne prosentandelen ikke avtar med årene, må pasienter med antatt monoklonal gammopati av usikker betydning utredes og siden følges på ubestemt tid, først og fremst med tanke på utvikling av myelomatose, men også med tanke på andre maligne hematologiske sykdommer.

    Oppgitte interessekonflikter: Ingen

    Se kommentar side 2680 og kunnskapsprøve på www.tidsskriftet.no/quiz

    Kommentarer  ( 0 )
    PDF
    Skriv ut

    Anbefalte artikler