Background.
Pulmonary air-leakage (PAL), especially pneumothorax, is a potentially severe complication of pulmonary disease in newborn infants. It is often related to therapeutic procedures such as resuscitation and mechanical ventilation.
Material and methods.
This is a prospective study of infants with PAL who were born in the period 1989 – 2006 and were hospitalised in an intensive care unit.
Results.
PAL occurred in 54 of 39 101 (1.4 per 1000) live-born infants; 34/54 (63 %) were boys and 34/54 (63 %) were born at term. 38/54 (70 %) PAL cases had asphyxia and different pulmonary diseases, 16/54 (30 %) PAL-incidences occurred spontaneously and 23/54 (43 %) were diagnosed < 1 hour after birth. PAL occurred during resuscitation for perinatal asphyxia or initiation of mechanical ventilation in 18/54 (33 %) patients, during CPAP-treatment in 12/54 (22 %), and during mechanical ventilation after the start-up phase in 8/54 (15 %) patients. Of 271 infants treated with mechanical ventilation, 144 (53 %) were preterm infants with RDS. 64/114 (born 1992 – 2006) of these received a porcine surfactant and 3/64 (5 %) developed PAL. The remaining 50 ventilated RDS-patients born in the same time period had a milder disease; 3/50 (6 %) of these developed PAL (p > 0.05).
Interpretation.
PAL often occurred spontaneously and shortly after birth in connection with resuscitation and stabilization for respirator treatment. The risk for PAL in mechanically ventilated infants was lower once the start-up process had been completed. In infants who had received porcine surfactant for RDS the incidence of PAL during mechanical ventilation was low.
Tabell
| Hovedbudskap |
|
Pulmonal luftlekkasje (spesielt pneumothorax) oppstår ikke sjelden hos nyfødte. I en studie med røntgenundersøkelse av normalt vaginalt fødte fullbårne barn forekom pneumothorax og/eller pneumomediastinum hos 2,3 %, og halvparten av disse var asymptomatiske (1). Det er økt risiko for luftlekkasje hos premature barn med åndenødssyndrom, hos barn der det foreligger andre typer primær lungesykdom (f.eks. lungehypoplasi), hos nyfødte med behov for resuscitering etter fødselsasfyksi (spesielt ved mekoniumaspirasjon) og hos dem som har behov for respiratorbehandling (2). I noen tilfeller kan tilstanden være livstruende (trykkpneumothorax).
Hensikten med denne studien var å registrere forekomsten av pulmonal luftlekkasje i en neonatal intensivenhet. Alder ved diagnosetidspunkt, underliggende sykdomstilstander, mekanismer for lungeskade og behandlingsbehov ble også registrert. Luftlekkasje hos pasienter som ble respiratorbehandlet for neonatalt åndenødssyndrom ble spesielt vurdert i relasjon til bruk av surfaktant. Studien er et ledd i evalueringen av et lokalt respiratorprogram for nyfødte med alvorlig lungesvikt (etablert i 1989) (3) og således et ledd i kvalitetssikringen av dette programmet.
Materiale og metode
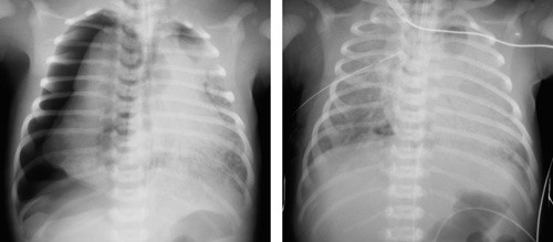
Det ble gjort en prospektiv registrering av pulmonal luftlekkasje hos barn født i perioden 1989 – 2006 og innlagt i neonatalenheten, Sykehuset i Vestfold, Tønsberg. Sykehuset hadde i den aktuelle perioden 90 % av fødslene i fylket, mens 0,7 % ble født ved regionsykehus og de resterende 9 % ved andre sentral- og lokalsykehus. Materialet er således nært populasjonsbasert. Luftlekkasje ble diagnostisert røntgenologisk ut fra pasientens sykdomsbilde (fig 1). Alle bilder ble vurdert av to radiologer, og minst én av dem, som regel begge, var spesialist i radiologi.
Surfaktantbehandling ble innført fra og med 1992. Indikasjon for behandlingen var respiratorbehov og arteriell/alveolær (a/A) pO₂-ratio på < 0,22 (a/A pO₂-ratioen er forholdet mellom arteriell pO2 og FO₂(I) (oksygenfraksjonen i inspirasjonsluften). Den beregnes etter formelen pO₂(a)/(95 · FO₂ – pCO2 (a)). Statistiske analyser ble gjort med Fischers eksakte test. En p-verdi < 0,05 ble ansett å angi signifikant forskjell mellom grupper.
Resultater
Av 39 101 levendefødte i den aktuelle perioden var det 54 (1,4 per 1 000) med pulmonal luftlekkasje. Hos 51 (94 %) forelå det pneumothorax, og tre (6 %) hadde pneumomediastinum alene. Av de 51 med pneumothorax hadde fem i tillegg pulmonalt interstitielt emfysem, tre subkutant emfysem og én pneumomediastinum. Det var ensidig pneumothorax hos 37/51 (73 %) (19 høyresidig og 18 venstresidig). Av alle med luftlekkasje var 34 barn (63 %) født til termin (≥ 37 ukers svangerskapsalder), og det var 34 gutter (63 %).
Tabell 1 viser forekomsten av luftlekkasje fordelt på vektgrupper, alder ved diagnosetidspunkt, underliggende sykdom, mekanismer for lungeskade og behandling.
Tabell 1
Data for 54 nyfødte med pulmonal luftlekkasje
| Totalt antall barn |
Luftlekkasje |
||
| Antall |
(%) |
||
| Fødselsvekt (g) |
|||
| < 1 500 |
213 |
4 |
(1,9) |
| 1 500 – 2 499 |
1 417 |
18 |
(1,3) |
| ≥ 2 499 |
37 471 |
32 |
(0,1) |
| Alder ved diagnose (t) |
|||
| < 1 |
24 |
(44) |
|
| 1 – 24 |
23 |
(43) |
|
| > 24 |
7 |
(13) |
|
| Sykdom |
|||
| Neonatalt åndenødssyndrom |
16 |
(30) |
|
| Asfyksi |
9 |
(17) |
|
| Mekoniumaspirasjon |
7 |
(13) |
|
| Lungehypoplasi |
4 |
(7) |
|
| Pneumoni |
1 |
(2) |
|
| Våt lunge (wet lung) |
1 |
(2) |
|
| Mekanismer |
|||
| Resuscitering/stabilisering |
18 |
(33) |
|
| Spontant |
16 |
(30) |
|
| Nasal CPAP |
12 |
(22) |
|
| Under respiratorbehandling |
8 |
(15) |
|
| Behandling |
|||
| Thoraxdren |
22 |
(41) |
|
| Ingen |
17 |
(31) |
|
| Oksygen |
14 |
(26) |
|
| Punksjon |
1 |
(2) |
|
Totalt ble 271 barn respiratorbehandlet (tab 2). Den største gruppen besto av 144 (53 %) premature med neonatalt åndenødssyndrom, og 114 av dem var født i perioden 1992 – 2006. En naturlig surfaktant (Curosurf) ble gitt til 64 av disse barna, og tre av dem 64 (5 %) fikk pulmonal luftlekkasje. De øvrige 50 barna med samme tilstand født i samme tidsrom og respiratorbehandlet hadde mindre alvorlig lungesvikt. Av disse fikk tre (6 %) pulmonal luftlekkasje (p = 1,0).
Tabell 2
Pulmonal luftlekkasje hos 271 pasienter under respiratorbehandling (etter innledende stabiliseringsfase med intubering)
| Antall totalt |
Luftlekkasje |
||
| Indikasjon |
Antall |
(%) |
|
| Totalt |
271 |
8 |
(3) |
| Neonatalt åndenødssyndrom |
144 |
6 |
(4,2) |
| Asfyksi |
50 |
1 |
(2) |
| Sepsis/pneumoni |
30 |
1 |
(3,3) |
| Misdannelser |
29 |
0 |
– |
| Annet |
18 |
0 |
– |
Seks barn (11 %) døde. Fire av disse hadde misdannelser med lungehypoplasi (to diafragmahernie og to Potters syndrom), én hadde sepsis med gruppe B-streptokokker og én lungesvikt pga. immaturitet.
Diskusjon
Neonatal pulmonal luftlekkasje ble diagnostisert hos 1,4 per 1 000 levendefødte. Pneumothorax var den dominerende formen (95 %). Symptomgivende luftlekkasje er således relativt sjeldent hos nyfødte. Luftlekkasje ville imidlertid blitt påvist langt hyppigere dersom man hadde tatt røntgen thorax av alle nyfødte (også tilsynelatende friske) (1). Ved de første åndedragene genereres høye transpulmonale trykkvariasjoner i lungene, og alveolruptur med luftlekkasje kan inntreffe som følge av alveolær overdistensjon. Dette illustreres i det aktuelle materialet, hvor tilstanden ofte oppsto spontant og ble diagnostisert kort tid etter fødselen (røntgenundersøkelse pga. respirasjonssymptomer hos barn født uten komplikasjoner og ikke utsatt for intervensjon). Flesteparten var barn født til termin. Hos disse kan muskelkraften ved de første åndedragene være stor, og store intramurale trykkforskjeller genereres. Overvekten av gutter er overensstemmende med funn gjort i en dansk studie (4).
Resuscitering for fødselsasfyksi og intubering for innledning av respiratorbehandling gir risiko for luftlekkasje. Overtrykksventilering med maske/bag eller på trakealtube kan medføre ukontrollert høye luftveistrykk, med ruptur av lungealveoler. Risikoen er spesielt stor hvis pasienten har primær lungesykdom, f.eks. lungehypoplasi, eller neonatalt åndenødssyndrom pga. surfaktantmangel (oftest sterkt premature barn). Den høye forekomsten av luftlekkasje hos sterkt lavvektige barn er forenlig med slike mekanismer. Tilkobling av trykkmanometer mellom trakealtube og ventilasjonsbag eller bruk av ny ventilasjonsteknologi (f.eks. NeoPuff) gir mulighet for å kontrollere inspirasjonstrykket.
Insidensen av luftlekkasje hos premature nyfødte ventilert for alvorlig åndenødssyndrom var lav under selve respiratorkjøringen etter de innledende stabiliseringsprosedyrer (ikke luftlekkasje påvist ved røntgenkontroll etter stabiliseringsfasen, men påvist ved senere undersøkelse). Ved alvorlig lungesvikt gis surfaktant straks barnet er intubert. Randomiserte studier har vist redusert forekomst av luftlekkasje ved surfaktantbehandling (5). I vårt materiale var det ingen forskjell mellom barn med alvorlig lungesvikt behandlet med surfaktant og barn som ikke fikk surfaktant pga. mildere sykdom, vurdert ut fra a/A pO₂-ratio. Surfaktant har altså en beskyttende effekt av mot pulmonal luftlekkasje ved alvorlig neonatalt åndenødssyndrom.
Ved pulmonalt interstitielt emfysem fanges gass i det perivaskulære vevet i lungene. Denne type luftlekkasje rammer oftest premature som respiratorbehandles for neonatalt åndenødssyndrom (6). Tre av våre fem pasienter med tilstanden hørte til denne gruppen.
Ifølge en ledende lærebok i neonatologi oppstår luftlekkasje hos 5 – 10 % av de respiratorbehandlede (2). Våre data viser lavere insidens (3 %), noe som indikerer at det lokale respiratorprogrammet har fungert godt. Forsiktighet med høye inspirasjonstrykk (ved bare ett tilfelle med luftlekkasje var det brukt inspirasjonstrykk > 30 cm H₂O) og aktiv bruk av surfaktant kan være årsaker til dette. Det er vist at lavt trykk ved respiratorbehandlingen, lav inspirasjons-ekspirasjons-ratio (< 1) og høye frekvenser (≥ 60 per min) gir redusert risiko for pneumothorax (2, 7), det samme synes å være tilfellet for moderne respiratorteknikker, som synkronisert ventilasjon (8) og volumstyring (9). Effekten av muskelparalyse er usikker (10), og høyfrekvent oscillasjonsventilering kan øke risikoen for luftlekkasje (11). Sistnevnte ventilasjonsteknikk bør derfor helst utføres i avdelinger der man har erfaring med denne metoden. Prenatal steroidbehandling har i den aktuelle perioden vært gitt ved truende fødsel ved < 34 ukers svangerskapsalder. Dette kan ha gitt lavere forekomst av neonatalt åndenødssyndrom og dermed indirekte ført til lavere forekomst av pneumothorax i denne pasientgruppen.
Pneumothorax hos barn med åndenødssyndrom var i vårt materiale også assosiert med nasalt applisert kontinuerlig positivt luftveistrykk (CPAP). Ujevn alveolær ventilasjon, ventilmekanismer pga. partiell luftveisobstruksjon og høye transpulmonale trykk generert ved kraftig spontanrespirasjon hos pasienter som motarbeider CPAP-systemet (spesielt større barn) kan være forklaringer på dette. Det er funnet at behandling med kontinuerlig positivt luftveistrykk hos premature med åndenødssyndrom mer enn dobler risikoen for pneumothorax (12).
Ved trykkpneumothorax og pneumothorax hos respiratorpasienter vil innleggelse av pleuradren være nødvendig. En vesentlig del av pasientene i vårt materiale hadde behov for slik behandling (41 %). Størsteparten (ca. 60 %) hadde imidlertid moderat symptomgivende luftlekkasje, med spontan tilbakegang under tilførsel av oksygen eller bare romluft. I et dansk materiale (4) ble hele 68 % behandlet med thoraxdren. Dette kan reflektere ulike kriterier for slik intervensjon, men også forskjeller i sykdomspanoramaet ved de ulike neonatalavdelinger.
Dødeligheten hos barn med påvist luftlekkasje var relativt høy (11 %), spesielt gjelder dette barn med misdannelsessyndromer med lungehypoplasi. Slike barn blir raskt alvorlig hypoksiske etter fødselen og responderer dårlig på resuscitering. Bruk av høye luftveistrykk for å oksygenere barnet medfører ruptur av lungealveoler, med trykkpneumothorax som følge. Dersom tilstanden er kjent på forhånd (diagnostisert intrauterint), kan elektiv intubering og forsiktig ventilasjon trolig forhindre pneumothorax i en del slike tilfeller.
Arbeidet er støttet av forskningsmidler fra Sykehuset i Vestfold, Tønsberg. Vi takker Radiologisk avdeling, Sykehuset i Vestfold, Tønsberg, for vurderingen av røntgenbildene, bildene til artikkelens figur samt for innspill til manuskriptet.
Oppgitte interessekonflikter:
Alf Meberg deltok på et internasjonalt møte i 2006 om surfaktant med støtte fra den norske forhandler av surfaktantpreparatet Curosurf (Nycomed). For de andre forfatterne er det ingen oppgitte interessekonflikter.
Oppgitte interessekonflikter: Se til slutt i artikkelen
- 1.
Steele RW, Metz JR, Bass JW et al. Pneumothorax and pneumomediastinum in the newborn. Radiology 1971; 98: 629 – 32.
- 2.
Greenough A, Milner AD. Acute respiratory disease. I: Rennie JM, red. Roberton’s Textbook of neonatology. 4. utg. Philadelphia, PA: Elsevier Churchill Livingstone, 2005: 468 – 53.
- 3.
Meberg A, Solberg R. Respiratorbehandling ved en subregional neonatalenhet. Erfaringer fra Vestfold Sentralsykehus 1989 – 94. Tidsskr Nor Lægeforen 1995; 115: 1724 – 7.
- 4.
Ainsworth AP, Ruager AR, Holtved E. Neonatal pneumothorax. Ugeskr Læger 2000; 162: 6679 – 82.
- 5.
Collaborative European Multicenter Study Group. Surfactant replacement therapy for severe neonatal respiratory distress syndrome: an international randomized clinical trial. Pediatrics 1988; 82: 683 – 91.
- 6.
Yu VY, Wong PY, Bajuk B et al. Pulmonary air leak in extremely low birthweight infants. Arch Dis Child 1986; 61: 239 – 41.
- 7.
Heicher D, Kasting DS, Richards JR. Prospective clinical comparison of two methods of mechanical ventilation of neonates: rapid and short inspiratory time versus slow rate and long inspiratory time. J Pediatr 1981; 98: 957 – 61.
- 8.
Greenough A, Milner AD, Dimitriou G. Syncronized mechanical ventilation for respiratory support in newborn infants. Cochrane Database of Systemic Reviews 2004, Issue 3. Art. No.: CD000456. DOI: 10.1002/14651858.CD000456.pub2. www.mrw.interscience.wiley.com/cochrane/clsysrev/articles/CD000456/frame.html (9.12.2006).
- 9.
McCallion N, Davis PG, Morley CJ. Volume-targeted versus pressure-limited ventilation in the neonate. Cochrane Database of Systematic Reviews 2005, Issue 3. Art. No.: CD003666.DOI. 10.1002/14651858.CD003666.pub2. www.mrw.interscience.wiley.com/cochrane/clsysrev/articles/CD003666/frame.html (9.12.2006).
- 10.
Cools F, Offringa M. Neuromuscular paralysis for newborn infants receiving mechanical ventilation. Cochrane Database of Systematic Reviews 2005, Issue 2. Art. No.: CD002773. DOI: 10.1002/14651858.CD002773.pub2. www.mrw.interscience.wiley.com/cochrane/clsysrev/articles/CD002773/frame.html (9.12.2006).
- 11.
Henderson-Smart DJ, Bhuta T, Cools F et al. Elective high frequency oscillatory ventilation versus conventional ventilation for acute pulmonary dysfunction in preterm infants. Cochrane Database of Systematic Reviews 2003, Issue 4. Art. No.: CD 000104. DOI: 10.1002/14651858.CD000104. www.mrw.interscience.wiley.com/cochrane/clsysrev/articles/CD000104/frame.html (9.12.2006).
- 12.
Ho JJ, Subramanaim P, Henderson-Smart DJ et al. Continuous distending pressure for respiratory distress syndrome in preterm infants. Cochrane Database of Systemic Reviews 2002, Issue 2. Art. No.: CD002271. DOI: 10.1002/14651858.CD002271. www.mrw.interscience.wiley.com/cochrane/clsysrev/articles/CD002271/frame.html (9.12.2006).