En 64 år gammel mann med kognitiv svikt og redusert gangfunksjon

    ()

    sporsmal_grey_rgb
    Abstract

    Intravascular lymphomatosis is a rare disease, characterized by occlusion of small arterioles and veins by malignant lymphoma cells. It often affects the central and peripheral nervous system and the skin. This case report illustrates the diagnostic challenge. Most patients develop rapidly progressive dementia combined with focal neurological symptoms. No relevant clinical, radiological or laboratory tests are available to diagnose the disease. Blood samples and bone marrow are usually normal. Diagnosis is often delayed and made post mortem. Brain biopsy could be diagnostic. The prognosis is poor, but early aggressive chemotherapy can potentially prolong the life span and in a few cases be curative. Intravascular lymphomatosis should be considered in patients with a combination of rapidly developing encephalopathy and focal neurological signs.

    Artikkel

    En tidligere frisk 64 år gammel mann oppsøkte lege med gradvis økende sykdomsfølelse med kognitive problemer, svimmelhet og nedsatt gangfunksjon, balansesvikt og urgepreget vannlating. Han var i løpet av få uker blitt noe klosset og hadde problemer med å spise med kniv og gaffel. Ved anamnesen fremkom ingen opplysninger om arvelige sykdommer i familien. Pasienten brukte ingen faste medikamenter, og det var ingen uvanlige miljømessige eksponeringer. Cerebral MR viste intet sikkert patologisk. Grunnet hurtig forverring tok pasienten på ny kontakt med lege, og han ble innlagt ved Nevrologisk avdeling, Rikshospitalet.

    Ved innleggelse fant man upåfallende somatisk status. Han var orientert for sted og egne personalia, men ikke for tid. Han hadde økt latenstid og samarbeidet ikke helt tilfredsstillende. Nevrologisk fant man patologiske følgebevegelser ved undersøkelse av øyemotilitet, økt tonus i underekstremiteter, retardasjon i over- og underekstremiteter, intensjonstremor og dysdiadokokinesi i venstre overekstremitet, store vansker med posisjonssans og ataktisk gange. Det forelå generell hyperrefleksi og bilateral plantar inversjon. Pasienten hadde klare sentralnevrologiske funn som tydet på affeksjon av flere systemer.

    På grunn av relativt rask sykdomsutvikling, men med normal cerebral MR, vurderte vi i første rekke en infeksiøs/inflammatorisk tilstand som viral encefalitt, varicella zoster-infeksjon, cerebral vaskulitt eller muligens en meget raskt progredierende nevrodegenerativ tilstand eller paramalign encefalopati som limbisk encefalitt.

    Kognitiv svikt kunne gi mistanke om demensutvikling som f.eks. Alzheimers sykdom, men den hurtige progresjonen og øvrige kliniske funn ble ikke tolket som forenlig med en slik lidelse. Creutzfeldt-Jakobs sykdom ble vurdert som en svært aktuell differensialdiagnose.

    Gangforstyrrelsen var ataktisk og hadde ikke et parkinsonistisk preg, hvor man typisk ser småskrittet gange, lutende kroppsholdning og nedsatt medsving av armene. Det forelå heller ingen typisk tannhjulsrigiditet og det var ingen tremor i hvile. Pasienten hadde pyramidale og cerebellare utfall og en svært rask sykdomsutvikling som er uvanlig ved parkinsonisme.

    Triaden kognitiv svikt, gangvansker og urininkontinens er karakteristisk for normaltrykkshydrocephalus, men vår pasient hadde vesentlig mer sammensatte kliniske funn, og cerebral MR viste normal ventrikkelstørrelse.

    Det ble iverksatt en bred utredning. En rekke laboratorieprøver ble utført, med normale resultater. Av patologiske prøvesvar ble det bemerket en relativ monocytose med leukocyttall i øvre normalområde, senkningsreaksjon 24 mm (referanseverdi for menn > 50 år er 2 – 20 mm etter 1 time), laktatdehydrogenase (LDH) 238 U/l (referanseverdi for voksne < 70 år er 105 – 205 U/l). Spinalvæskeundersøkelse viste forhøyet totalprotein 0,82 g/l (aldersavhengig normalområde er 0,15 – 0,50 g/l, ofte noe høyere hos eldre). Glukoseratio (spinalvæske/blod) var normal. Ved celletelling i spinalvæske var det 2 – 3 leukocytter (normalområde 0 – 4 celler/µl), men ved cytologisk undersøkelse ble det beskrevet økt antall monocytære celler. Det ble ikke påvist antistoffer mot Borrelia burgdorferi eller Treponema pallidum, men varicella zoster-IgG var positiv i spinalvæske. Agaroseelektroforese av spinalvæske var normal.

    EEG viste innslag av bifrontal langsom aktivitet, inkludert såkalt 3/sekund-deltaaktivitet med høyresidig overvekt og med et utseende liknende trifasiske bølger, et mønster typisk for bl.a. Creutzfeldt-Jakobs sykdom. Ved cerebral MR med T2-vektede sekvenser var det tilkommet nokså utbredte høysignalforandringer i hvit substans periventrikulært, i sentrum semiovale samt i mesencephalon på venstre side. MR angiografi av intracerebrale kar og konvensjonell cerebral angiografi viste ingen sikker patologi. Technetium-SPECT av hjernen viste nedsatt perfusjon fortil og basalt i begge frontallapper og flekkvis nedsatt perfusjon sentroparietalt på begge sider.

    Elektromyogram/nevrografi viste moderat til lette forandringer i underekstremiteter forenlig med motorisk nevropati. Det var normalverdier for langkjedede fettsyrer. MR av ryggmarg, røntgen thorax, CT thorax og ultralyd av abdomen viste ingen aktuelle forandringer. Dopplerundersøkelse av halskar og kardiologiske undersøkelser var normale. Hematologisk vurdering med biopsi fra høyre crista iliaca viste en normocellulær beinmarg uten holdepunkter for primær eller sekundær beinmargssykdom.

    Til tross for omfattende utredning var vi ikke i stand til å påvise underliggende malign sykdom. Høydose intravenøs behandling med kortikosteroid ble startet forsøksvis, og pasienten fikk bedre motorisk og kognitiv funksjon. Med bakgrunn i forbigående god effekt av høydose metylprednisolon konkluderte vi med at det måtte foreligge en steroidresponderende encefalopati, muligens av postinfeksiøs type.

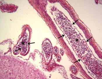
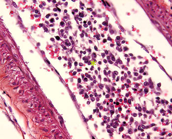
    Pasienten ble innlagt på ny to ganger. Ved siste innleggelse, fem måneder etter at han henvendte seg til fastlegen, var pasienten kraftig svekket. Han hadde da en betydelig redusert allmenntilstand, forverring av spastisk paraparese og ataksi. Det forelå uttalt global kognitiv funksjonsforstyrrelse med klart svekket hukommelse og apraksi. Man fant språklig og atferdsmessig perseverasjon og emosjonell inkontinens. Pasienten ble overflyttet til et bo- og rehabiliteringssenter og døde etter om lag en måned. Det ble utført autopsi, og nevropatologisk undersøkelse viste intravaskulært storcellet B-cellelymfom med infarkter i storhjernen (ramme 1) (fig 1 – 3).

    Ramme 1

    Histopatologisk beskrivelse ved autopsi

    Makroskopisk undersøkelse: Hjernen var stor (1 520 g, gjennomsnittlig normalvekt for mann 60 år er 1 370 g (1 100 – 1 700 g)). Meningene var fibrøst fortykkede. Det var ubetydelig aterosklerose i de basale hjernekarene. Ved gjennomskjæring ble det sett multiple, uregelmessige, brungrå flekker i storhjernens hvite substans, mest uttalt i venstre frontalpol og begge bakhodepoler. Det var moderat, symmetrisk utvidet ventrikkelsystem.

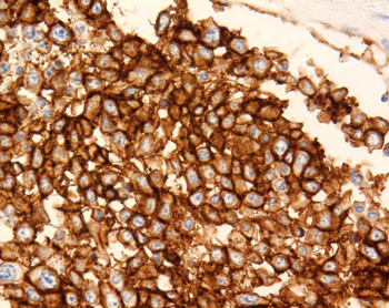
    Mikroskopisk undersøkelse: Snitt fra de makroskopisk forandrede områdene i storhjernen viste større og mindre infarkter av varierende alder i grå og hvit substans. I mange intracerebrale og meningeale blodkar var lumina fylt av store, abnormt utseende lymfoide celler (fig 1 og fig 2). Liknende celler ble ikke sett i eller utenfor karvegger eller i selve hjernevevet. Ved immunhistokjemisk undersøkelse var tumorcellene positive for lymfocyttmarkøren CD45 og B-cellemarkørene CD20 (fig 3) og CD79a. De var negative for T-cellemarkøren CD3 samt markørene CD43, CD5, bcl-2, bcl-6, CD10, cyclin-D1 og TDT. Spredte celler (ca. 10 %) var positive for proliferasjonsmarkøren Ki67. In situ-hybridisering med hensyn til Epstein-Barr-virus var negativ.

    Diskusjon

    Diskusjon

    Intravaskulær lymfomatose, også kalt angiotropt storcellet lymfom eller malign angioendoteliose, er en neoplastisk proliferasjon av B-celler, i sjeldne tilfeller T-celler, i kapillærer og små vener. Etter gjeldende klassifikasjon benevnes tilstanden intravaskulært storcellet B-cellelymfom (1). Tilstanden forekommer oftest i nervesystemet og hud. Opptil 85 % av pasientene har affeksjon av hjernenerver eller perifere nerver. En tredel har manifestasjoner i hud. Vanligvis påvises ikke maligne celler i lymfeknuter, beinmarg, andre lymfoide organer, perifert blod eller spinalvæske (2). I de fleste tilfellene starter sykdommen med mentale forandringer, utvikler seg raskt til demens, og så tilkommer fokalnevrologiske utfall. I andre tilfeller har pasientene feber av ukjent årsak i lengre tid før de nevrologiske symptomene starter. Eldre rammes hyppigst, men tilstanden er også rapportert hos yngre. Et dødfødt barn med denne tilstanden er beskrevet (3).

    Subakutt encefalopati og demensutvikling kan ledsages av generaliserte epileptiske anfall, myoklonus og fokalnevrologiske utfall. Hjerneinfarkter eller direkte tumorinfiltrasjon er ansvarlig for de nevrologiske symptomene (4).

    Der er beskrevet perifer nevropati, både av aksonal og demyeliniserende form, samt radikulopati og myopati. Hudaffeksjonen består gjerne av noduli, indurerte plakk og teleangiektasier. Andre organer kan en sjelden gang rammes. Nyre-, lever-, lunge-, prostata- og thyreoideaaffeksjon er rapportert (5).

    Av supplerende undersøkelser kan fire vanlige, men uspesifikke funn ses hos de fleste pasienter: lett anemi, økt senkningsreaksjon, økt LDH, lett økt proteinnivå i spinalvæske, som regel uten pleocytose (økt celletall i spinalvæsken). Vår pasient hadde alle disse funnene unntatt anemi. Det kan være vanskelig å fortolke en moderat forhøyelse av totalprotein i spinalvæsken. I dette tilfellet vurderte vi en verdi på 0,82 g/l som patologisk sett i lys av aktuelle kliniske funn og øvrige, supplerende undersøkelser. Vi fant ingen maligne celler i perifert blod, beinmarg eller spinalvæske. Langkjedede fettsyrer ble undersøkt som ledd i utredning av hvit substans-sykdom (white matter disease). Små, uspesifikke, multifokale, hyperintense lesjoner utgjør de vanligste funnene på T2-vektede bilder ved cerebral MR, med eller uten kontrastoppladning. Dette var tilfelle hos vår pasient. Hos én pasient er det beskrevet store, konfluerende, hyperintense områder parietalt og oksipitalt, som ved posterior leukoencefalopati, og i dette tilfellet ble pasienten kortikalt blind (6).

    I mangel av patognomoniske funn er diagnosen meget vanskelig å stille, men hjernebiopsi kan gi en tidlig diagnostisk avklaring. I en nylig publisert artikkel (7) fremholdes det at positronemisjonstomografi kan være til hjelp i diagnostiseringen.

    På grunn av rask demensutvikling i kombinasjon med myoklonier kan tilstanden lett tolkes feilaktig som Creutzfeldt-Jakobs sykdom. Andre feildiagnoser er cerebral vaskulitt, cerebrale infarkter av annen årsak eller infeksjon. Vi overveide alle disse mulighetene. Rask og dramatisk, men bare forbigående respons kan oppnås med høydose kortikosteroidbehandling. Vi registrerte dette hos vår pasient. Kombinasjon av forskjellige cytostatika er forsøkt, med stort sett skuffende resultat. De fleste pasientene dør i løpet av det første året. Det er rapportert noen få kasuistikker hvor tidlig diagnose ble etterfulgt av massiv kjemoterapi, og hvor man oppnådde remisjon og helbredelse (4). Stamcelletransplantasjon kan være effektivt (8).

    Konklusjon

    Konklusjon

    Hos pasienter med raskt progredierende encefalopati med fokale nevrologiske utfall bør muligheten av intravaskulær lymfomatose overveies. Uspesifikke kliniske symptomer og mangel på typiske kliniske eller radiologiske funn gjør at diagnosen ofte først stilles ved autopsi. Hjernebiopsi kan påvise de maligne cellene i blodårene, og tidlig behandling kan igangsettes.

    Oppgitte interessekonflikter: Ingen

    Kommentarer  ( 0 )
    PDF
    Skriv ut

    Anbefalte artikler