Background.
Laparoscopic aortic surgery (LAS), performed since 1993, has undergone a number of technical improvements during recent years. The published results are comparable with those for open surgery. The aim of this article is to present the method with a focus on technical details, and at the same time present our experience with this technique.
Material and methods.
Eight patients with debilitating intermittent claudication were operated with a total laparoscopic aortofemoral bypass. Operations were performed through a transperitoneal retrorenal approach. Median age of the patients was 61 years (range 51 – 76). All patients had an aortoiliac occlusive disease of type D according to the Transatlantic Inter Society Consensus (TASC). Prior to the procedures an operation team followed a structured training programme that comprised using a training model and operating on pigs, and visited an international referral centre.
Results and interpretation.
All operations were successfully performed. No patient developed per- or post-operative complications. Median post-operative hospital stay was four days. LAS is a technically demanding procedure and it can be established through well targeted and carefully planned training.
Det har vært en rask utvikling innen laparoskopisk kirurgi de siste 20 årene. Dion og medarbeidere beskrev laparoskopisk aortakirurgi i 1993 (1), men det er først de siste årene det er rapportert større pasientmaterialer (2) – (4). Teknikken innebærer laparoskopisk frilegging av aorta med anlegging av anastomose mellom aorta og protesen. I begge lysker utføres vanlig frilegging av a. femoralis communis med etablering av nedre karanastomoser. Det har tatt lang tid å utvikle god nok teknikk og å opparbeide nok erfaring med laparoskopisk aortakirurgi. Resultatene som er publisert hittil, er sammenliknbare med resultatene etter åpen aortakirurgi (2) – (4). Mulige årsaker til at karkirurger ikke har drevet med laparoskopisk kirurgi med like stor entusiasme som gastrokirurger, urologer og gynekologer, er blant annet tekniske ufordringer ved laparoskopisk fridisseksjon av abdominal aorta og sying av karanastomoser. I denne artikkelen beskriver vi de første erfaringene med laparoskopisk aortakirurgi hos pasienter i Norden, og vi legger hovedvekt på selve operasjonsteknikken. I tillegg er det en beskrivelse av hvilke forberedelser vi mener er nødvendige for å kunne begynne med denne type operasjoner.
Materiale og metode
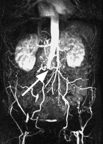
I perioden november 2005 til mars 2006 ble det ved Oslo vaskulære senter utført total laparoskopisk aortaoperasjon hos åtte pasienter med invalidiserende claudicatio intermittens grunnet uttalt aortoiliakal okklusiv sykdom (fig 1). Alle pasientene hadde type D-lesjon i henhold til TASC-inndelingen (Transantlantic Inter-Society Consensus) fra 2000, gjengitt i e-ramme 1 (5). Hos to pasienter ble det benyttet en talestyrt robotarm (AESOP) for styring av laparoskopet. Operasjonene ble utført i narkose, epiduralanalgesi ble anvendt kun hos de to første pasientene. Pasientene ble informert om prosedyren både muntlig og skriftlig, og alle forespurte ga skriftlig samtykke.
TASC-inndeling (Transantlantic Inter Society Consensus) av aterosklerotisk sykdom i infrarenale aorta og bekkenkar (5)
Etter år 2000-konsensusen
TASC-type C
Bilateral 5 – 10 cm lang avgrenset stenose av a. iliaca communis og/eller a. iliaca externa
Velavgrenset unilateral okklusjon av a. iliaca externa
Unilateral stenose av a. iliaca externa som ekstenderer til a. femoralis communis
Bilateral okklusjon av a. iliaca communis
TASC-type D
Utbredte, multiple unilaterale stenoser som rammer a. iliaca communis, a. iliaca externa og a. femoralis communis (vanligvis > 10 cm)
Unilateral okklusjon som involverer både a. iliaca communis og a. iliaca externa
Bilateral okklusjon av a. iliaca externa
Diffus sykdom i aorta og bilaterale iliacakar
Iliakal stenose hos en pasient med abdominalt aortaaneurisme eller annen lesjon som trenger aorta- eller iliacakirurgi
Forut for operasjonene fikk utvalgte personer opplæring i laparoskopisk aortakirurgi. Operasjonsteamet drev øvelser på treningsmodell, deretter ble det utført laparoskopisk aortakirurgi på griser. Vi besøkte et referansesenter for laparoskopisk aortakirurgi i Paris (Hôpital Ambroise Paré), der vi fikk anledning til å delta aktivt under operasjonene. Marc Coggia, som er en pioner på dette feltet, assisterte under våre to første operasjoner.
Resultater
Median alder hos pasientene var 61 år (51 – 76 år). Tre var i ASA-klasse III, og to hadde forhøyet kroppsmasseindeks (BMI) på henholdsvis 34 kg/m2 og 38 kg/m². Alle hadde hypertensjon og hyperkolesterolemi og fire led av kronisk obstruktiv lungesykdom. Seks pasienter røykte, fire av dem hadde kjent iskemisk hjertesykdom. Tre pasienter hadde tidligere gjennomgått abdominalkirurgi. Hos sju pasienter ble det lagt aortobifemoral bypass og hos én aortounifemoral. Øvrige operasjonsdata er angitt i tabell 1. Ingen pasienter måtte konverteres til åpen kirurgi. Median postoperativ liggetid var fire dager (spredning 3 – 8 dager). Pasientene kunne spise vanlig kost fra første postoperative dag, og alle hadde normal tarmfunksjon ved utskrivning. Ingen utviklet per- eller postoperative komplikasjoner.
Tabell 1
Pasient- og operasjonsdata ved laparoskopisk aortakirurgi
| Pasient |
ASA |
BMI (kg/m²) |
Operasjonstid (min) |
Aortaavklemmingstid (min) |
Blødning (ml) |
Sykehusopphold (dager) |
| 1 |
II |
24,3 |
261 |
55 |
300 |
4 |
| 2 |
II |
20,7 |
278 |
63 |
180 |
4 |
| 3 |
II |
19,5 |
380 |
105 |
200 |
3 |
| 4 |
II |
38,3 |
360 |
80 |
300 |
4 |
| 5¹ |
III |
34,3 |
428 |
110 |
300 |
4 |
| 6 |
III |
19,6 |
291 |
59 |
900 |
8 |
| 7¹ |
III |
19,5 |
290 |
49 |
500 |
4 |
| 8² |
II |
28,3 |
185 |
43 |
200 |
3 |
| Median |
II |
24,3 |
290 |
61 |
300 |
4 |
| [i] | ||||||
[i] ¹ Robotassistert laparoskopisk aortakirurgi
² Aortounifemoral bypass
Diskusjon
Erfaringer med laparoskopisk teknikk innen andre fagfelter har vist at man kan oppnå bedre postoperativ livskvalitet enn ved åpen teknikk (6). Kortere liggetid med mindre smerter, bedre tarmfunksjon og raskere mobilisering bidrar til dette. Sammenliknet med andre har våre pasienter hatt lite blodtap og kort liggetid (2, 7, 8). Kun ved få sentre i utlandet utføres i dag laparoskopisk aortakirurgi rutinemessig. Noe av kritikken som reises mot laparoskopisk kirurgi i startfasen er tidsforbruket. Median operasjonstid hos oss var 290 minutter, og mesteparten av tiden ble benyttet til fridisseksjon av intraabdominale kar og lyskeoperasjonene. Operasjons-, avklemmings- og anastomosetiden går betydelig ned med økende erfaring og med redusert forekomst av komplikasjoner (9, 10).
Gjennom forbedret teknikk, bedre logistikk og ikke minst lagarbeid kan operasjonstiden reduseres. Erfaringene fra annen laparoskopisk kirurgi viser at tidsforbruket går ned med økende antall operasjoner per operatør. Kontinuerlig og parallell trening på simulator er et viktig virkemiddel for å kunne oppnå dette (11).
Laparoskopisk aortakirurgi for aortoiliakal obstruktiv sykdom og fremfor alt lumbale aortaaneurismer er krevende og fordrer gode ferdigheter. Pasienter med aortoiliakale obstruksjoner har som regel utviklet et kollateralnett som tillater avklemming av aorta over en lengre periode uten vesentlige hemodynamiske konsekvenser. Median avklemmingstid hos våre pasienter var 61 minutter, og dette er i samsvar med publiserte data (2, 7, 8). Vi regner med ytterligere forbedring med økende erfaring. Et slik kollateralsystem er ikke alltid etablert hos pasienter med lumbale aortaaneurismer, og av den grunn bør avklemmingstiden være kort hos disse. For å oppnå god kunnskap og teknikk må man operere et visst antall pasienter med aortoiliakal obstruktiv sykdom før man begynner med abdominale aortaaneurismer. Coggia og medarbeidere (12) anbefaler ca. 50 operasjoner for å mestre teknikken godt og omtrent 15 operasjoner for obstruktiv aortoiliakal sykdom før oppstart med laparoskopisk aortaaneurismekirurgi.
Indikasjoner og kontraindikasjoner
Alle pasienter med okklusjon i infrarenale aorta og bekkenkar (TASC-type C- og -type D-lesjon) som ikke er tilgjengelige for endovaskulær behandling, kan vurderes for operasjon med total laparoskopisk teknikk. Pasienter med infrarenalt abdominalt aortaaneurisme kan også opereres laparoskopisk. I oppstartsfasen har vi vært svært selektive når det gjelder egnede pasienter, og lav ejeksjonsfraksjon (< 40 %, rutinemessig dobutaminstresstest utført) (2, 13, 14), behandlingstrengende koronar iskemisk sykdom og uttalte forkalkninger ved proksimalt anastomosested har vært kontraindikasjon. Pasienter med inflammatoriske abdominale aortaaneurismer eller rumperte abdominale aortaaneurismer er heller ikke egnet for laparoskopisk kirurgi.
Man kjenner fortsatt ikke langtidsresultater etter endovaskulær stentgraftbehandling av lumbale aortaaneurismer. Store undersøkelser som EVAR1 og DREAM har vist til dels høye komplikasjons- og reintervensjonsrater samt høye utgifter ved endovaskulære prosedyrer (15). Laparoskopisk aortakirurgi kan i fremtiden også være et tilbud til de fleste pasienter med infrarenale abdominale aortaaneurismer, inkludert dem som i dag tilbys endovaskulær behandling. Forutsetningen er at langtidsresultater, livskvalitetsdata og kostnad-nytte-kalkulasjoner ikke er dårligere enn ved andre etablerte behandlingsmetoder. Denne type data finnes ikke per dags dato. I tillegg kan laparoskopisk kirurgi være et behandlingsalternativ ved type 2-lekkasjer (lekkasje fra lumbale arterier) etter endovaskulær behandling. En annen pasientgruppe som kan ha nytte av teknikken er de som trenger bifurkaturprotese på grunn av okklusiv eller aneurismatisk aortoilikal sykdom før planlagt nyretransplantasjon.
Opplæring
I tillegg til engasjement og tilrettelagt logistikk er opplæringen innen laparoskopisk kirurgi basert på praktisk trening med treningsboks, simulator, operasjoner på dyr og operasjoner av mennesker under supervisjon (16). Det tar forholdsvis lang tid til å oppnå tilstrekkelig gode ferdigheter. Ledende kirurger innen laparoskopisk aortakirurgi angir at det trengs rundt 100 timers trening på boks/simulator før man går videre med øvelser på dyremodell (1, 2). For å trene laparoskopisk disseksjon bør man oppsøke et miljø med høy laparoskopisk virksomhet hvor det gis anledning til å assistere og delta aktivt. Her vil man kunne vurdere instrumenter, studere teknikker og ikke minst få gode råd. Vi mener at det optimale tidspunktet for et slikt besøk er når teknikken er godt innøvd på treningsboks og man behersker laparoskopisk bløtdelsdisseksjon.
Tidligere laparoskopisk erfaring forkorter opplæringen. Spesielt er operasjoner på bakre bukvegg, som venstre colon-reseksjon, venstre nyre- eller binyrereseksjon og paraaortal glandelstadiefastsettelse god erfaring.
Det mest krevende ved laparoskopisk aortakirurgi er å utføre anastomosen mellom aorta og protesen. Det finnes i dag ingen simulator for å kunne øve på laparoskopiske karanastomoser. Dette kan likevel trenes effektivt på treningsboks.
Den endelige samkjøringen av teamet, inkludert anestesipersonell, kan best testes under operasjon på gris. Ved de første inngrep hos pasienter er det nødvendig å ha med en erfaren veileder.
Teknikk
Teknikken kan variere – avhengig av operatørens preferanser med hensyn til tilgang, pasientleie, antall operatører, operatørenes posisjon ved operasjonsbordet og ikke minst antall porter og deres plassering på bukveggen. Retrokolisk disseksjon kan være vanskelig hos pasienter med lite intraabdominalt fett og hos pasienter som har gjennomgått venstre colon- eller nyrekirurgi. I slike tilfeller anbefalles retrorenal tilgang (17). Hos pasienter med intraabdominale adheranser kan retroperitoneal tilgang anvendes. Laparoskopisk aortakirurgi kan også utføres med pasientene i ryggleie og direkte tilgang til aorta abdominalis, tilsvarende som ved åpen kirurgi. Dette krever imidlertid en spesialhake for å holde tarmen borte fra operasjonsfeltet (18).
Det anbefales å velge teknikk på et tidlig tidspunkt slik at man målrettet kan utvikle sine ferdigheter. Teknikken som er beskrevet av Marc Coggia (17, 19) er fullstendig laparoskopisk, og resultatene kan sammenliknes med resultatene ved åpen aortakirurgi (2). Fridisseksjon av aorta og proksimal anastomose gjøres ved total laparoskopisk teknikk med pasienten i sideleie (fig 2). Distale anastomoser i lysker gjennomføres som ved åpen kirurgi. Sårene på bukveggen trenger ingen lukking av fascien, de lukkes med enkle suturer i subcutis og hud (fig 3).
Robotassistert laparoskopisk aortakirurgi
Det er begrensede erfaringer med bruk av robotteknologi innen laparoskopisk aortakirurgi (13, 14). Teknologien er lovende, men kostbar (rundt 11 millioner kroner). Spesielle instrumenter med flere grader av bevegelsesfrihet gjør det mulig å sy karanastomosen presist og raskt. Robotsystemet Da Vinci har tredimensjonalt bilde av operasjonsfeltet, noe som reduserer dybdesynsproblemet, men denne roboten kan kun anvendes for å sy anastomoser. Resten av operasjon må utføres med vanlige laparoskopiske instrumenter. AESOP-systemet er et relativt billig alternativ (ca. 600 000 kroner). AESOP kan anvendes til å styre laparoskopet uten uønskede bevegelser i operasjonsfeltet. Hos to av våre pasienter (pasient 5 og pasient 7) ble AESOP benyttet. Fordelene med kompliserte robotsystemer som da Vinci overskygges av høye priser og vedlikeholdsutgifter. AESOP er relativt billig og tilbyr god kameraassistanse.
Konklusjon
Laparoskopisk aortakirurgi er etter vår mening kommet for å bli, til tross for at man trenger mye trening og lang forberedelse. Det er lite postoperative smerter for pasientene og kort liggetid. Det gjenstår å dokumentere kostnad-nytte-effekten og om langtidsresultatene er like bra som etter åpen kirurgi.
Oppgitte interessekonflikter: Ingen
Tabell
| Hovedbudskap |
|
- 1.
Dion YM, Katkhouda N, Rouleau C et al. Laparoscopy assisted aortobifemoral bypass. Surg Laparosc Endosc 1993; 3: 425 – 9.
- 2.
Coggia M, Javerliat I, Di Centa I et al. Total laparoscopic bypass for aortoiliac occlusive lesion: 93-case experience. J Vasc Surg 2004; 40: 899 – 906.
- 3.
Dion YM, Griselli F, Douville Y et al. Early and mid-term results of totally laparoscopic surgery for aortoiliac disease: lessons learned. Surg Laparosc Endosc Percutan Tech 2004; 14: 328 – 34.
- 4.
Cau J, Ricco JB, Marchand C et al. Total laparoscopic aortic repair for occlusive and aneurysmal disease: first 95 cases. Eur J Vasc Endovasc Surg 2006; 31: 567 – 74.
- 5.
TASC Working Group. Management of peripheral arteriel disease (PAD). TransAtlantic InterSociety Consensus (TASC). J Vasc Surg 2000; 31: 214 – 7.
- 6.
Karolija D, Sauerland S, Neugebaueret E. Evaluation of quality of life after laparoscopic surgery. Evidence-based guidelines of the European Association for Endoscopic Surgery. Surg Endosc 2004; 18: 879 – 97.
- 7.
Wisselink W, Cuesta MA, Gracia C et al. Robot-assisted laparoscopic aortobifemoral bypass for aortoiliac occlusive disease: a report of two cases. J Vasc Surg 2002; 36: 1079 – 82.
- 8.
Nio D, Diks J, Linsen MAM et al. Robot assisted laparoscopic aortobifemoral bypass for aortoiliac occlusive disease: early clinical experience. Eur J Vasc Endovasc Surg 2005; 29: 585 – 90.
- 9.
Alimi YS, Hartung O, Cavalero C et al. Intestinal retractor for transperitoneal laparoscopic aortoiliac reconstruction: eksperimental study on human cadavers and initial clinical experience. Surg Endosc 2000; 14: 915 – 9.
- 10.
Kolvenbach R, Schwierz E, Wasilljew S et al. Total laparoscopically and robotically assisted aortic aneurysm surgery: a critical evaluation. J Vasc Surg 2004; 39: 771 – 6.
- 11.
Korndorffer JA jr., Scott DJ, Sierra R et al. Developing and testing competency levels for laparoscopic skills training. Arch Surg 2005; 140: 80 – 4.
- 12.
Coggia M, Javerliet I, Di Centa I et al. Total laparoscopic infrarenal aortic aneurysm repair: preliminary results. J Vasc Surg 2004; 40: 448 – 54.
- 13.
Brewster DC, Cronenwett JL, Hallett JW et al. Guidelines for the treatment of abdominal aortic aneurysms. Report of a subcommittee of the Joint Council of the American Association for Vascular Surgery and Society for Vascular Surgery. J Vasc Surg 2003; 37: 1106 – 17.
- 14.
Karkos CD, Baguneid MS, Triposkiadis F et al. Routine measurement of radioisotope left ventricular ejection fraction prior to vascular surgery: is it worthwhile? Eur J Vasc Endovasc Surg 2004; 27: 227 – 38.
- 15.
Rutherford RB. Randomized EVAR trials and advent of level i evidence: a paradigm shift in management of large abdominal aortic aneurysms? Semin Vasc Surg 2006; 19: 69 – 74.
- 16.
Krummel TM. Surgical simulation and virtual reality: the coming revolution. Ann Surg 1998; 228: 635 – 7.
- 17.
Coggia M, Di Centa I, Javerliat I et al. Total laparoscopic aortic surgery: transperitoneal left retrorenal approach. Eur J Vasc Endovasc Surg 2004; 28: 619 – 22.
- 18.
Alimi YS, Hartung O, Cavalero C et al. Intestinal retractor for transperitoneal laparoscopic aortoiliac reconstruction : experimental study on human cadavers and initial clinical experience. Surg Endosc 2000; 14: 915 – 7.
- 19.
Coggia M, Bourriez A, Javerliat I et al. Totally laparoscopic aortobifemoral bypass: a new and simplified approach. Eur J Vasc Endovasc Surg 2002; 24: 274 – 5.