Background
. Cerebral stroke caused by intracerebral hemorrhage is serious. This review presents updated knowledge about the condition.
Material and methods
. The review is based on pivotal articles published during recent years, identified through a PubMed search applying the key words «intracerebral haemorrhage», and our own clinical experience.
Results and interpretation
. Intracerebral hemorrhage strikes about 1 000 persons in Norway annually. Hypertension is the single most important risk factor. Cerebral CT confirms the diagnosis. Almost half of the patients die during the first month after the hemorrhage, many during the first two days. About 20 % of the patients can manage without help after the first six months. Treatment includes measures against increased intracranial pressure and in selected cases surgical evacuation of the haematoma, especially in cases of bleeding into the cerebellum. Recombinant factor VIIa infused within the first three hours to stop the bleeding can play an important role in the acute phase. Patients below the age of 45, patients without hypertension, and patients with lobar haemorrhage and signs of clinical deterioration should be thoroughly investigated to disclose a potential arteriovenous malformation or an aneurysm. Neurointensive care may give better clinical results and the condition should ideally be treated in an intensive care unit.
Spontan intracerebral blødning er en alvorlig tilstand som utgjør ca. 10 % av alle hjerneslag. Formålet med denne artikkelen er å gi en oversikt over tilstanden, med vekt på forekomst og risikofaktorer, årsaker, diagnostikk, forløp og prognose, forebygging og behandling.
Materiale og metode
Denne oversikten er basert på sentrale artikler publisert i de senere år, identifisert via søk i PubMed med utgangspunkt i søkeordet «intracerebral hemorrhage», samt egen klinisk erfaring.
Forekomst og risikofaktorer
Insidensen av spontan intracerebral blødning er i den vestlige verden 12 – 28/100 000 (1, 2), økende med alderen. Menn rammes litt hyppigere enn kvinner (1). Hypertensjon femdobler risikoen (3). Medikamentell behandling av hypertensjon reduserer risikoen betydelig (4). Lavt nivå av serum-kolesterol og overforbruk av alkohol er sannsynligvis også assosiert med økt risiko for hjerneblødning (5).
Årsaker
Det er vanlig å klassifisere hypertensjon både som en risikofaktor for og som en årsak til hjerneblødning. De vanligste lokalisasjoner er i striatum (særlig putamen), thalamus, pons og cerebellum (fig 1) (6). Man antar at blødninger i disse områder som regel skyldes ruptur av små arterioler, på basis av degenerative forandringer indusert av hypertensjon (6). Risikoen for residivblødning er klart korrelert til blodtrykk; 10 % per år ved diastolisk blodtrykk > 90 mm Hg og < 1,5 % per år ved diastolisk blodtrykk < 70 mm Hg (7).
Den nest hyppigste årsak er cerebral amyloid angiopati, som forårsaker såkalte lobære blødninger subkortikalt (8). Disse skyldes ruptur av små og mellomstore arterier i cortex og pia mater, med nedslag av amyloid materiale i karveggen. Amyloid angiopati ses oftest hos dem over 70 år. Lobære blødninger har en høy residivfrekvens, > 10 % per år (9).
I sjeldnere tilfeller kan blødningen knyttes til radiologisk påvisbare anomalier i blodkar. Det kan være arteriovenøse malformasjoner, aneurismer, kavernøse eller venøse angiomer og vaskulitter.
Arteriovenøse malformasjoner
Disse består i unormale karnøster der blod shuntes direkte fra arterie til vene uten å gå veien om kapillarnettet, slik at det dannes en fistel. De kan være lokalisert både nær cortex og dypt i hvit substans, og blødning fra en slik malformasjon rammer typisk pasienter under 40 år (10). Man har estimert den årlige blødningsrisikoen fra en arteriovenøs malformasjon til 2 – 4 % (10). Blødning fra en slik er assosiert med lavere morbiditet enn intracerebral blødning av annen årsak (11).
Aneurismer
Aneurismer som sprekker gir typisk subaraknoidalblødning, men kan også rumpere inn i hjerneparenkymet. Mistanke om dette bør vekkes når blødninger har kontakt med eller ligger nær arterier i hjernen, for eksempel ved lokalisasjon i fissura Sylvii nær a. cerebri media, eller i fissura interhemisphaerica nær a. cerebri anterior. Faren for ny blødning er meget stor. Aneurisme på en tilførende arterie til en arteriovenøs malformasjon er ikke helt uvanlig og kan være en krevende terapeutisk utfordring (12).
Kavernøse angiomer
Kavernøse angiomer er strukturer som består av kapillarliknende blodkar og bindevev, og er et relativt vanlig funn ved MR cerebrum. De anses som nokså benigne lesjoner som sjelden blør. Når et slikt «kavernom» imidlertid først har gitt opphav til en blødning, er faren for ny blødning angitt til over 4 % per år (13).
Venøse angiomer
Venøse angiomer, som består av abnormt dilaterte små vener som ses som strekliknende lesjoner ved MR, har meget lav blødningsrisiko, i praksis forsvinnende liten. Terapeutiske tiltak er ikke indisert (14).
Vaskulitter
Vaskulitter gir oftere infarkt enn blødning, men kan en sjelden gang forårsake ruptur av små arterier på bakgrunn av intens inflammasjon.
Hemoragisk infarkt
Dette kan noen ganger være en differensialdiagnose til primær intracerebral blødning ved tolking av CT-undersøkelse.
Diagnostikk
Blødning i putamen, thalamus og pons gir ofte akutt innsettende kontralaterale sensorimotoriske utfall som gjerne progredierer gjennom de første timene. Lobære blødninger gir gjerne kortikale symptomer som afasi, apraksi eller andre kognitive utfall, avhengig av lokalisasjon.
Krampeanfall er sjeldent (6 – 7 %) og indikerer lobær blødning. Cerebellære blødninger kan forårsake akutt innsettende svimmelhet, kvalme og brekninger, med raskt innsettende bevissthetsreduksjon grunnet trykk mot nærliggende vitale strukturer i medulla oblongata.
Hodepine er et sentralt symptom ved ca. 40 % av alle intracerebrale blødninger (15). Halvparten av pasienter med supratentoriell blødning har brekninger, mens dette er uvanlig ved infarkter med denne lokalisasjonen. Ved infratentorielle slag er brekninger vanlig ved både blødning og infarkt. Nakkestivhet er vanlig ved intraventrikulær blødning. Ca. 15 % av intracerebrale blødninger inntreffer under søvn (16).
Redusert bevissthetsnivå tidlig i forløpet opptrer ofte, det er uvanlig ved iskemisk slag. De fleste har et betydelig forhøyet blodtrykk i akuttfasen. Hele 60 % av pasientene har progredierende symptomer, og denne tidlige progredieringen skyldes ofte pågående blødning, med økning av hematomet gjennom de første timene (17). Denne relativt nye erkjennelse kan ha stor betydning for den akutte medisinske behandling.
CT caput
Til tross for at infarkt og blødning fremtrer forskjellig, er det ikke mulig å skille disse to tilstandene fra hverandre med sikkerhet uten bildediagnostikk. CT caput er det primære valg og bør utføres umiddelbart etter hospitalisering. Videre er det ofte uklart om det dreier seg om en spontan eller en traumatisk blødning, eksempelvis etter fall. CT gir informasjon om lokalisasjon og omfang av blødningen, om det er intraventrikulært blod og dermed fare for utvikling av hydrocephalus eller om det er fare for herniering under falx eller gjennom tentorialåpningen. CT med kontrast og nøyaktig samme snittføring som uten kontrast, gjerne supplert med CT-angiografi, kan gi informasjon om blødningskilde som arteriovenøs malformasjon eller aneurisme, og bør utføres på vid indikasjon.
Cerebral angiografi
En prospektiv undersøkelse av 206 personer med intracerebral blødning kartlagt med cerebral angiografi viste at det ved isolert intraventrikulær blødning ble påvist spesifikk blødningskilde hos 65 % (18). Blødningskilde ble videre påvist hos 50 % av dem < 45 år, uavhengig av lokalisasjon, og hos 44 % av pasienter uten kjent hypertensjon. Ved alder > 45 år og kjent hypertensjon fant man derimot bare blødningskilde hos 10 % av pasienter med lobært hematom og ikke hos noen med annen lokalisasjon. Stroke Council of the American Heart Association anbefaler at man hos alle < 45 år, hos alle med ren intraventrikulær blødning og hos alle uten kjent hypertensjon bør vurdere kartlegging med angiografi (19). For pasienter > 45 år med kjent hypertensjon kan angiografi være aktuelt ved lobær blødning, men anbefales ikke ved annen blødningslokalisasjon (19). I de senere år har CT-angiografi (CTA) og MR-angiografi (MRA) i stor grad overtatt for konvensjonell cerebral angiografi. I tillegg til at de nyere teknikkene eliminerer risikoen for tromboemboliske komplikasjoner, har MR den fordel at man også kan påvise kavernøse (og venøse) angiomer.
Supplerende undersøkelser
Øvrig utredning bør bestå i EKG og røntgen thorax med tanke på tegn til hypertensjon i form av venstre ventrikkel-hypertrofi og ev. forstørret hjerte. Videre anbefaler Stroke Council of the American Heart Association at det utføres enkle blodprøver for å avdekke eventuell generell blødningstendens – telling av leukocytter og blodplater, hemoglobin, INR og APTT (aktivert partiell tromboplastintid (cefotest)) samt elektrolytter (19). Hjerte- og lungefunksjon er sentralt i vurderingen av om intensivbehandling inklusive eventuell nevrokirurgisk intervensjon er gjennomførbart. Noen pasienter bør ut fra en klinisk helhetsvurdering, som inkluderer komorbiditet og alder, neppe utsettes for belastende intensivbehandling.
Forløp og prognose
Tidligere trodde man at intracerebral blødning var en øyeblikksbegivenhet der blødningen fant sted i løpet av minutter og nesten umiddelbart stoppet grunnet koagulasjon og mottrykk fra omgivende hjernevev. Vi vet nå at bortimot 40 % av hematomene der den første CT-undersøkelsen utføres innen tre timer etter symptomdebut ekspanderer i løpet av de første timene (17) (fig 2). Antakelig skyldes dette en kombinasjon av fortsatt blødning fra det rumperte kar og mekanisk skade av omgivende kar, noe som fører til blødninger også fra disse (20). CT-angiografi viser at kontrast akkumuleres ekstravasalt i hematomet hos nesten halvparten av dem som undersøkes innen seks timer etter symptomdebut. Slik lekkasje er assosiert med økt vekst av hematomet og økt dødelighet (21). Erkjennelsen av at blødningen ofte fortsetter i flere timer etter debuten kan ha stor betydning for moderne behandling av hjerneblødning.
De første døgn utvikles ødem i det umiddelbart omgivende hjernevev, dels grunnet frigjøring av osmotisk aktive serumproteiner fra hematomet, dels grunnet skade av blod-hjerne-barrieren (22). Dette ødemet varer fra noen dager til et par uker. Som en følge av disse mekanismene vil omtrent hver fjerde pasient vise tegn til klinisk forverring i løpet av det første døgnet og ytterligere noen flere de nærmeste døgn (23).
Intracerebral blødning er en alvorlig tilstand – 35 – 50 % av pasientene dør i løpet av den første måneden, halvparten av disse i løpet av de første to døgn (24). Etter et halvt år er bare ca. 20 % blitt så bra at de er uavhengige av hjelp fra andre (24). De viktigste prediktive faktorer for tidlig død er redusert bevissthetsnivå og stort volum på blødningen. I en pasientserie døde over 90 % av dem med Glasgow Coma Scale (GCS) < 9 og blødningsvolum > 60 ml innen en måned, mot 17 % av dem med GCS > 8 og < 30 ml blod (25). Blødningens volum kan estimeres ved formelen A x B x C dividert med 2, der A er blødningens største diameter, B er diameteren vinkelrett på A og C er antall snitt med synlig blod multiplisert med snittykkelse (25).
Forebygging
Behandling av hypertensjon er det mest effektive tiltak for å redusere morbiditet og mortalitet forårsaket av intracerebral blødning (19). Nøye kontroll av pasienter som behandles med warfarin er viktig – de fleste hjerneblødninger assosiert med denne behandlingen finner sted når INR er > 3 (26). Redusert bruk av narkotika (kokain, amfetamin og ecstasy) og redusert overforbruk av alkohol vil også minske risikoen for hjerneblødning (19).
Behandling
Den viktigste tidlige prediktor for klinisk resultat er blødningens volum (25). Målet med den tidlige medisinske behandling bør derfor være å stanse blødningen, begrense skadelig masseeffekt/redusere forhøyet intrakranialt trykk og optimalisere perfusjon og oksygenering av hjernen. I tillegg kommer spesifikke tiltak ved intraventrikulær blødning.
Stanse blødningen
Økning av hematomet de første timene skyldes persisterende blødning eller reblødning fra det rumperte kar samt sekundære blødninger i periferien av det koagulerte hematom (27). I tidlig fase er det derfor aktuelt å gi midler som medfører hemostase. Traneksamsyre 1 g intravenøst i repriser og rekombinant aktivert faktor VII (rFVIIa) er aktuelle midler. Faktor VII er en viktig naturlig hemostaseinitiator, og rFVIIa er derfor utprøvd i en randomisert intervensjonsstudie, publisert i 2005, med svært oppmuntrende resultat (28). Volumet av blødningen økte med 29 % (8,7 ml) i gruppen som fikk placebo, men bare med 11 % (2,9 ml) i gruppen som fikk 160 µg rFVIIa innen tre timer etter symptomdebut (p = 0,02). 30-dagersmortaliteten var 29 % i placebogruppen, mot 18 % i gruppene som fikk rFVIIa (p = 0,02). Mens 69 % av pasientene som fikk placebo var døde eller alvorlig funksjonshemmet (mRS 4 – 6) etter 90 dager, gjaldt dette 53 % i gruppene som fikk rFVIIa (p = 0,004). En ulempe var tromboemboliske komplikasjoner; 7 %, mot 2 % i placebogruppen.
Behandling med rFVIIa innen tre timer etter debut kan redusere både hematomets volum – og dermed mortaliteten – og gi et bedre klinisk resultat hos signifikant flere pasienter. Midlet er svært kostbart og kan gi tromboemboliske komplikasjoner (29). En fase 3-studie der man skal inkludere 675 pasienter pågår. Dersom denne bekrefter de positive resultatene, bør det gjennomføres kostnad-nytte-analyser før behandlingen eventuelt tas i bruk rutinemessig.
Begrense skadelig masseeffekt/redusere forhøyet intrakranialt trykk
I to randomiserte studier med deksametason versus placebo er det dokumentert manglende nytte av steroider – den ene viste dessuten at det var økt fare for infeksjoner. Kortikosteroider har derfor ingen plass i behandlingen av intracerebral blødning (19). Det samme gjelder glyserol. Osmoterapi med mannitol har ingen plass i profylakse (19), men bør benyttes ved truende transtentoriell herniering som et tiltak i påvente av kirurgisk behandling. Anbefalt dose er mannitol 20 % 0,5 g/kg hver 4. time. I denne ekstreme situasjon med truende herniering bør man også gi sedasjon med propofol og intubere og hyperventilere pasienten for å redusere det intrakraniale trykket via vasokonstriksjon. Slik aggressiv behandling bedrer langtidsresultatet når det anvendes på denne begrensede indikasjon (30). Behandling i nevrointensivenhet gir redusert dødelighet (31). Slike enheter er etablert i våre naboland (32). I dag behandles disse pasientene oftest i generelle intensivavdelinger. Spørsmålet om spesialiserte nevrointensivavdelinger har også en økonomisk side og må ses i sammenheng med størrelsen på pasientgrunnlaget i regionen.
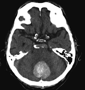
Nytten av kirurgisk evakuering av supratentorielle hematomer er omstridt. Randomiserte studier med kraniotomi versus beste medisinske behandling har ikke vist gevinst av kirurgisk intervensjon (33). I ikke-randomiserte pasientserier er det som regel heller ikke vist nytte av kirurgi. Stuporøse eller komatøse pasienter kan i enkelte situasjoner opereres på vital indikasjon, selv om hovedregelen er at man avstår fra kirurgi ved alvorlig bevissthetsreduksjon – GCS < 5. Små hematomer (< 10 ml) eller hematomer med minimale nevrologiske utfall ekspekteres. Tidlig kirurgisk evakuering av hematom, innen fire timer etter debut, kan innebære økt dødelighet grunnet tidlig reblødning (34). Kirurgisk evakuering anbefales derimot ved cerebellar blødning, grunnet faren for trykk mot vitale strukturer i hjernestammen, noe som kan ha fatale konsekvenser (fig 3), ved blødning med assosiert arteriovenøs malformasjon eller aneurisme, som bør behandles for å forebygge nye blødninger, og kanskje hos unge pasienter med moderat eller stor lobær blødning og tegn til klinisk forverring (19).
Optimalisere perfusjon og oksygenering av hjernen
Nesten alle pasienter med intracerebral blødning har høyt blodtrykk i akuttfasen, og håndtering av dette er omstridt. De fleste av disse har kronisk hypertensjon og dermed en høyreforskutt trykk-volum-kurve for cerebral autoregulering. Dette innebærer at dersom man senker blodtrykket medikamentelt, kan det gi redusert cerebral perfusjon allerede ved verdier som tolereres godt av normotensive. Altfor aggressiv senking av høyt blodtrykk i akuttfasen kan derfor indusere et så lavt perfusjonstrykk at hjerneskaden forverres. Mot dette synspunkt må man balansere faren for ny blødning ved et høyt intravaskulært trykk mot den rumperte karveggen. Amerikanske retningslinjer anbefaler nitroprussid ved systolisk blodtrykk > 230 mm Hg eller diastolisk blodtrykk > 140 mm Hg målt to ganger med fem minutters mellomrom (19). Ved systolisk blodtrykk < 180 mm Hg og diastolisk blodtrykk < 105 mm Hg anbefales det å vente. Ved verdier mellom disse målt to ganger med 20 minutters mellomrom anbefales labetalol eller enalapril. Ved systolisk blodtrykk < 90 mm Hg bør det gis intravenøs væske og deretter ev. pressor (dopamin/noradrenalin) (19). En sterk økning av blodtrykket hos en pasient med høyt intrakranialt trykk kan være ledd i den såkalte Cushing-refleksen, der hjernen forsøker å redde seg selv ved å skru opp blodtrykket. Da er behandlingen umiddelbare kirurgiske tiltak for å redusere det intrakraniale trykket, ikke medikamentell reduksjon av blodtrykket.
For øvrig bør man gi intravenøs væske med tanke på normovolemi, tilstrebe normale elektrolyttverdier og normal temperatur samt sikre ventilasjon og oksygenering. Krampeanfall må behandles med antiepileptika, gjerne Pro-Epanutin i metningsdose 15 mg FNE/kg satt langsomt intravenøst. Dersom krampeanfall bare har opptrådt på blødningstidspunktet og ikke senere, kan man overveie seponering etter en måned. Krampeanfall mer enn to uker etter blødningen indiserer langvarig antiepileptisk behandling.
Tiltak ved intraventrikulær blødning
Stor intraventrikulær blodmengde er assosiert med høy dødelighet, noe som skyldes at koagulert intraventrikulært blod hemmer den normale strøm av cerebrospinalvæske. I tillegg vil blodprodukter kunne gi tilstopping av araknoidale granulasjoner. Dette kan føre til utvikling av hydrocephalus. Ekstern drenasje av cerebrospinalvæske med ventrikkelkateter er derfor aktuelt. Intraventrikulær administrering av urokinase eller vevsplasminogenaktivator kan fremskynde normalisering av de patologiske strømnings- og drenasjeforholdene (35), men er ikke i vanlig bruk ved norske nevrokirurgiske avdelinger.
Konklusjon
Spontan intracerebral blødning er en alvorlig tilstand som er vanligst hos personer med hypertensjon, cerebral amyloid angiopati, aneurisme eller arteriovenøs malformasjon. Det kliniske bildet domineres av fokale nevrologiske utfall, ev. hodepine og redusert bevissthetsnivå. Det er høy mortalitet og morbiditet, og bare 20 % er i live og uavhengig av hjelp etter seks måneder. Viktige tiltak er bl.a. behandling av forhøyet intrakranialt trykk, inklusive vurdering av indikasjon for kirurgisk evakuering av hematomet. Pasienter med intracerebral blødning bør optimalt behandles i en nevrointensivenhet. Slike enheter, etter mønster fra våre naboland, bør vurderes etablert. Rekombinant aktivert faktor VII gitt innen tre timer kan bli et viktig tilskudd til behandlingen i den hyperakutte fase.
Oppgitte interessekonflikter: Ingen
Hovedbudskap
-
Intracerebral blødning rammer hvert år ca. 1 000 personer i Norge
-
Det kliniske bildet domineres av fokale nevrologiske utfall, hodepine og eventuelt redusert bevissthetsnivå
-
Nesten halvparten dør den første måneden, og bare 20 % er uavhengig av hjelp fra andre etter seks måneder
-
Behandlingen tar sikte på å redusere forhøyet intrakranialt trykk, eventuelt ved kirurgisk evakuering av hematomet, samt vurdering av medikamentelle tiltak for å stoppe blødningen
- 1.
Giroud M, Gras P, Chadan N et al. Cerebral hemorrhage in a French prospective population study. J Neurol Neurosurg Psychiatry 1991; 54: 595 – 8.
- 2.
Njolstad I, Arnesen E, Lund-Larsen PG. Body height, cardiovascular risk factors, and risk of stroke in middle-aged men and women. Circulation 1996; 94: 2877 – 82.
- 3.
Brott T, Thalinger K, Hertzberg V. Hypertension as a risk factor for spontaneous intracerebral hemorrhage. Stroke 1986; 17: 1078 – 83.
- 4.
Prevention of stroke by antihypertensive drug treatment in older persons with isolated systolic hypertension: final results of the Systolic Hypertension in the Elderly Program (SHEP). JAMA 1991; 265: 3255 – 64.
- 5.
Klatsky AL, Armstrong MA, Friedman GD. Alcohol use and subsequent cerebrovascular disease hospitalizations. Stroke 1989; 20: 741 – 6.
- 6.
Qureshi AI, Tuhrim S, Broderick JP. Spontaneous intracerebral hemorrhage. N Engl J Med 2001; 344: 1450 – 60.
- 7.
Arakawa S, Saku Y, Ibayashi S et al. Blood pressure control and recurrence of hypertensive brain hemorrhage. Stroke 1998; 29: 1806 – 9.
- 8.
Greenberg SM. Cerebral amyloid angiopathy; prospects for clinical diagnosis and treatment. Neurology 1998; 51: 690 – 4.
- 9.
O’Donnell HC, Rosand J, Knudsen KA et al. Apolipoprotein E genotype and the risk of recurrent lobar intracerebral hemorrhage. N Engl J Med 2000; 342: 240 – 5.
- 10.
Duong DH, Hartmann A, Isaacson S et al. Arteriovenous malformations of the brain in adults. N Engl J Med 1999; 340: 1812 – 8.
- 11.
Choi JH, Mast H, Sciacca RR et al. Clinical outcome after first and recurrent hemorrhage in patients with untreated brain arteriovenous malformation. Stroke 2006; 37: 1243 – 6.
- 12.
Salvesen R, Hugaas KA. Intrakraniale aneurismer assosiert med cerebrale arteriovenøse malformasjoner Tidsskr Nor Lægeforen 2000; 120: 1304 – 6.
- 13.
Kondziolka D, Lunsford LD, Kestle JR. The natural history of cerebral cavernous malformations. J Neurosurg 1995; 83: 820 – 4.
- 14.
Naff NJ, Wemmer JRN, Hoenig-Rigamonti K et al. A longitudinal study of patients with venous malformations: documentation of a negligible hemorrhage risk and benign natural history. Neurology 1998; 50: 1709 – 14.
- 15.
Gorelick PB, Hier DB, Caplan LR et al. Headache in acute cerebrovascular disease. Neurology 1986; 36: 1445 – 50.
- 16.
Nagakane Y, Miyashita K, Nagatsuka K et al. Primary intracerebral hemorrhage during asleep period. Am J Hypertens 2006; 19: 403 – 6.
- 17.
Brott T, Broderick J, Kothari R et al. Early hemorrhage growth in patients with intracerebral hemorrhage. Stroke 1997; 28: 1 – 5.
- 18.
Zhu XL, Chan MSY, Poon WS. Spontaneous intracranial hemorrhage: which patients need diagnostic cerebral angiography? Stroke 1997; 28: 1406 – 9.
- 19.
Broderick JP, Adams HP jr., Barsan W et al. Guidelines for the management of spontaneous intracerebral hemorrhage: a statement for healthcare professionals from a special writing group of the Stroke Council, American Heart Association. Stroke 1999; 30: 905 – 15.
- 20.
Kazui S, Naritomi H, Yamamoto H et al. Predisposing factors to enlargement of spontaneous intracerebral hematoma. Stroke 1997; 28: 2370 – 5.
- 21.
Becker KJ, Baxter AB, Bybee HM et al. Extravasation of radiographic contrast is an independent predictor of death in primary intracerebral hemorrhage. Stroke 1999; 30: 2025 – 32.
- 22.
Wagner KR, Xi G, Hau Y et al. Early metabolic alterations in edematous perihematomal brain regions following experimental intracerebral hemorrhage. J Neurosurg 1998; 88: 1058 – 65.
- 23.
Mayer SA, Sacco RL, Shi T et al. Neurologic deterioration in noncomatose patients with supratentorial intracerebral hemorrhage. Neurology 1994; 44: 1379 – 84.
- 24.
Counsell C, Boonyakarnkul S, Dennis M et al. Primary intracerebral haemorrhage in the Oxfordshire Community Stroke Project, 2: prognosis. Cerebrovasc Dis 1995; 5: 26 – 34.
- 25.
Broderick JP, Brott TG, Duldner JE et al. Volume of intracerebral hemorrhage: a powerful and easy-to-use predictor of 30-day mortality. Stroke 1993; 24: 987 – 93.
- 26.
A randomized trial of anticoagulants versus aspirin after cerebral ischemia of presumed arterial origin. The Stroke Prevention In Reversible Ischemia Trial (SPIRIT) Study Group. Ann Neurol 1997; 42: 857 – 65.
- 27.
Mayer SA, Lignelli A, Fink ME et al. Perilesional blood flow and edema formation in acute intracerebral hemorrhage: a SPECT study. Stroke 1998; 29: 1791 – 8.
- 28.
Mayer SA, Brun NC, Begtrup K et al. Recombinant activated factor VII for acute intracerebral hemorrhage. N Engl J Med 2005; 352: 777 – 85.
- 29.
O’Connell KA, Wood JJ, Wise RP et al. Thromboembolic adverse events after use of recombinant human coagulation factor VIIa. JAMA 2006; 295: 293 – 8.
- 30.
Qureshi AI, Geocadin RG, Suarez JI et al. Long-term outcome after medical reversal of transtentorial herniation in patients with supratentorial mass lesions. Crit Care Med 2000; 28: 1556 – 64.
- 31.
Diringer MN, Edwards DF. Admission to a neurologic/neurosurgical intensive care unit is associated with reduced mortality rate after intracerebral hemorrhage. Crit Care Med 2001; 29: 635 – 40.
- 32.
Sollid S. Pasienter med livstruende sykdom i hjernen Tidsskr Nor Lægeforen 2006; 126: 1210.
- 33.
Mendelow AD, Gregson BA, Fernandes HM et al. Early surgery versus initial conservative treatment in patients with spontaneous supratentorial intracerebral hematomas in the International Surgical Trial in Intracerebral Haemorrhage (STICH): a randomised trial. Lancet 2005; 365: 387 – 97.
- 34.
Morgenstern LB, Demchuk AM, Kim DH et al. Rebleeding leads to poor outcome in ultra-early craniotomy for intracerebral hemorrhage. Neurology 2001; 56: 1294 – 9.
- 35.
Naff NJ, Carhuapoma JR, Williams MA et al. Treatment of intraventricular hemorrhage with urokinase: effects on 30-day survival. Stroke 2000; 31: 841 – 7.